Обычная среда в полости рта на вкус воспринимается как нейтральная. Это позволяет распознавать вкусовые оттенки пищи, и когда-то помогало нашим предкам выживать. Постоянный посторонний привкус говорит о нарушении естественного баланса и возможных проблемах со здоровьем. Серьезность этих проблем различная, и по-настоящему разобраться в причинах способен только врач. Но предварительно определить, насколько велик риск для здоровья, можно самостоятельно.
Причина №1: плохая гигиена полости рта
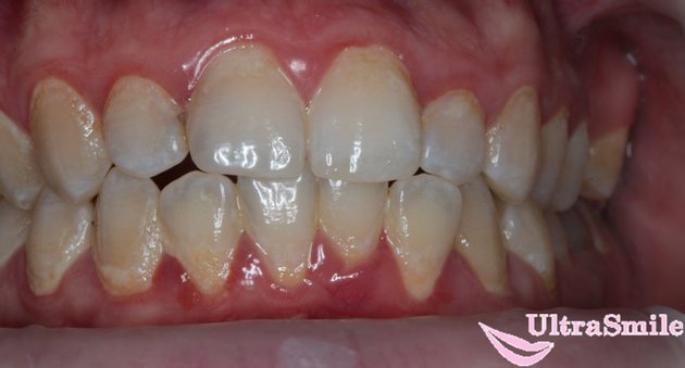
Если вы недостаточно хорошо очищаете зубы и десны или же вовсе игнорируете ежедневные процедуры по уходу, то у вас на зубах начнет скапливаться налет. Первоначально по своей консистенции он мягкий, но под воздействием солей из слюны он минерализуется и твердеет. Такой налет является отличной «базой» для размножения патогенных бактерий, его невозможно очистить без помощи стоматолога и процедуры профессиональной гигиены. Продукты жизнедеятельности бактерий и минерализованный отвердевший налет способствуют ощущению того, что привкус соли появился на губах и во рту.

Особенность вкусовых рецепторов
Стоит отметить! У нас во рту находится множество вкусовых рецепторов, благодаря которым мы имеем возможность ощущать все разнообразие вкусов, коими балует нас природа.
Приятность послевкусия в основном зависит от количества и качества съеденной нами пищи, однако, это случается не всегда.
Давайте вспомним о том, что ротовая полость – это входные ворота в наш организм, и часто непонятный вкус является следствием неправильной работы желудочно-кишечного тракта.
И это не единственная причина.
В любом случае, это состояние требует выяснения причин и своевременных действий.
О неправильной работе организма говорит любой привкус кроме нейтрального, но сегодня мы рассмотрим именно соленый вкус.
Причина №2: кровоточивость десен
Появился привкус соли, и вы не знаете, с чем это может быть связано? Причиной подобного явления могла стать кровоточивость десен. Возникнуть она могла на фоне травмирования слизистой или в результате развития гингивита, пародонтита.
Кровь близка по своему ионному составу к морской воде. В ее составе присутствуют ионы натрия и хлорида, за счет чего люди с подобной патологией ощущают привкус соленого.
Солено во рту может стать и по причине того, что вы недавно удалили зуб. Ведь после этой процедуры образовалась ранка, которая сначала кровоточит, а потом из нее долго выделяется сукровица. Поврежденным тканям нужно время на заживление, после этого неприятный симптом больше не побеспокоит.

Гомеопатия как средство лечения солёного привкуса
Существует ряд гомеопатических компонентов, действие которых направлено на уничтожение специфического привкуса. Различные препараты эффективно справляются с гнилостным, горьким, сладким и металлическим оттенком вкуса, а также избавляют от привкуса крови или неприятного запаха. Устранить солёный привкус можно при помощи следующих компонентов:
- Меркуриус. Устраняет гнилостный, металлический, сладкий и солоноватый привкус.
- Фосфорус. Препарат показан при ощущении кислого, сладкого или солоноватого вкуса, особенно после употребления пищи.
- Цикламен. Предназначен для борьбы с солоноватым привкусом.
- Нукс вомика. Применяется при выраженных металлических или солёных ощущениях, а также при серном привкусе, чаще всего после приёма пищи или в утренние часы.
- Станнум — ощущение горького, солёного или сладкого в ротовой полости.
- Теридион — при слабом солёном оттенке вкуса.
- Сульфур. Избавляет от солоноватого и горького послевкусия.
- Цинк — кровяной или солёный привкус.
- Тараксокум — солёные или кислые ощущения вкуса любых продуктов, особенно жирной и мясной пищи.
Что конкретно поможет тому или иному пациенту определяет специалист. Он же назначит периодичность приёма и дозировку препарата, а также продолжительность курса терапии.
При лечении солоноватого привкуса прогноз в целом благоприятный. Однако, это возможно лишь при строгом соблюдении всех рекомендаций специалиста. Не следует игнорировать симптомы и заниматься самолечением, поскольку это может привести к серьёзным последствиям.
Ощущение привкуса во рту знакомо каждому человеку после употребления соленой или пересоленной пищи. Это явление хоть и может быть неприятным, но это только временно.
Намного хуже обстоит дело, если соленый вкус сохраняется во рту надолго или присутствует постоянно. Такие ощущения неприятны, но особо они могут не беспокоить.
Однако, часто такое явление сигнализирует о возникшей проблеме со здоровьем в организме, поэтому лучше всего сразу установить причину такого вкуса.
Причина №3: злоупотребление соленой пищей
Почему губы соленые, а во рту вкус соли? Самая банальная причина – вы поели соленую пищу. Помните, что соль в большом количестве вредна для организма, она негативно действует на сердечно-сосудистую систему, почки и печень, желудок, задерживает жидкость в тканях, и при этом способствует плохой усвояемости кальция, так полезного для наших зубов и костей. Соль ускоряет старение организма, ухудшает работу кровеносных сосудов.
В качестве альтернативы этому продукту ученые советуют добавлять в пищу полезные и безопасные натуральные заменители – сельдерей, пряные травы и приправы, чеснок, сушеную морскую капусту. Чтобы сохранить соли, которые содержатся в натуральных продуктах, рекомендуется готовить их на пару, а не обжаривать и не варить.
Чрезмерное употребление соли может оставлять вкус на губах и языке
Медикаментозная терапия
Привкус соли во рту (причины у женщин нельзя определить самостоятельно, необходима комплексная диагностика) требует индивидуального лечения в каждом отдельном случае, поскольку провоцирующим фактором выступают многочисленные внешние и внутренние изменения.
Схему терапии подберет профильный врач, ссылаясь на результаты проведенного обследования и сопутствующие симптомы, которые беспокоят женщину.
От установленного диагноза зависит, какие препараты специалист будет рекомендовать своему пациенту:
Ampiox
| Группа лекарств | Название | Применение |
| Противовирусные средства | Ацикловир, Зовиракс | Таблетки следует принимать, не разжевывая и запивать водой. Взрослым назначают по 200 мг 5 раз в сутки. Минимальный временной интервал составляет 4 ч. Минимум курс лечения продолжается 5 суток. |
| Антигистаминные препараты | Супрастин, Лоратадин | Препараты уменьшают отек мягких тканей и воспаление. Лекарство принимают внутрь во время еды. Взрослая дозировка составляет 25 мг 2-3 раза в сутки. Тяжелые и экстренные ситуации допускают введение препарата внутривенно или внутримышечно. |
| Иммуностимуляторы | Имудон, Иммунал | В сутки взрослым пациентам максимум можно принимать по 8 таблеток. Не разжевывать и запивать водой. Указанную дозировку следует разделить на 2-3 приема. Курс лечение продолжается 10 дней. |
| Препараты регенераторы тканей | Каротолин, Солкосерил | Лекарство принимают внутрь. Дозировка препарата зависит от установленного диагноза и подбирается индивидуально, от 0,01 до 0,18 г в сутки. Минимум курс лечения продолжается 3-6 месяцев. |
| Местные антисептики | Фурацилин, Метрогил | Лекарства используются наружно или принимаются внутрь. Рекомендуемая дозировка для взрослого пациента составляет 0,1 г 4-5 раз в день после еды. Курс лечения продолжается 5-6 суток. |
| Антибактериальные препараты | Гентамицин, Ампиокс | Лекарства назначаются в случае развития сильного воспалительного процесса, возбудителями которого являются бактерии. Препарат вводят внутримышечно или внутривенно. Рекомендуемая дозировка для взрослых составляет 3 мг/кг в сутки. Ее следует разделить на 2-3 введения. Продолжительность лечения составляет 7-10 дней. |
| Противогрибковые препараты | Нистатин, Леворин | Препараты помогают остановить размножение грибковой флоры. Лекарство принимают внутрь. Таблетки проглатывают целиком, не разжевывают и запивают достаточным количеством жидкости. Дозировка для взрослого пациента составляет 500 000 ЕД 3-4 раза в сутки. В среднем лечение продолжается 10-14 дней. |
| Противовоспалительные средства | Ацетаминофен, Ибупрофен | Лекарство следует принимать внутрь после еды и запивать большим количеством воды. Взрослым пациентам назначают по 500 мг максимум 4 раза в сутки. Продолжительность терапии составляет 5-7 дней. |
| Назальные спреи | Тизин, Назонекс | Лекарства назначаются при развитии заболеваний носоглотки. Взрослым пациентам следует заводить по 2-4 капли в каждый носовой проход 1-4 раза в сутки. Лечение продолжается 3-5 дней. Можно сделать перерыв на 2-3 дня и продолжить терапию. |
| Лекарства для уменьшения спазмов | Но-шпа, Спазмалгон | Лекарство принимают внутрь и запивают небольшим количеством жидкости. Взрослая дозировка составляет 40-80 мг 2-3 раза в сутки. Внутримышечное или внутривенное введение препарата предусмотрено в экстренных ситуациях. |
Общеукрепляющее действие оказывают витаминные комплексы, которые назначаются дополнительно пациентам. Они содержат необходимые минеральные вещества и витамины, чтобы повысить защитные силы организма.
Причина №4: обезвоживание
Если во рту появился соленый привкус, то пора подсчитать, сколько чистой воды вы выпиваете в день. Потому что именно нарушение баланса жидкости в организме часто становится ответом на вопрос о том, почему беспокоит соленый привкус. В нашей слюне содержится хлорид натрия, проще говоря – это обычная соль. При потере жидкости в организме сгущаются кровь и слюна, появляется сухость во рту. Слюна проходит процесс дегидратации, отчего соли в ней становится больше, а жидкости и других полезных минералов – меньше. Чем сильнее обезвоживание, тем отчетливее проступает неприятный симптом.
Причиной обезвоживания могли послужить низкоуглеводная диета, прием мочегонных препаратов, отравление и расстройство желудка, прием алкогольных напитков, злоупотребление крепким кофе или газировкой, большое количество выкуренных сигарет. Обезвоживание может развиться на фоне интенсивных физических нагрузок, после длительного времяпрепровождения на палящем солнце или в жарких, душных помещениях.
Нарушение баланса жидкости в организме часто становится причиной беспокоит соленый привкус
Как избавиться от привкуса соли во рту
Чтобы избавиться от навязчивого солёного привкуса, следует пересмотреть режим дня и питания, устранить все инфекционные процессы в организме, пройти полное обследование, если симптомы не исчезают долгое время.
Лечение лекарствами
Поскольку спровоцировать появление солёного привкуса могут различные патологии, для устранения неприятных симптомов используют разные препараты.
Методы терапии
| Причина | Лечение |
| Стоматологические заболевания | Санация ротовой полости, укрепление дёсен при помощи Хлоргексидина, геля Холисал |
| Болезни носоглотки | · промывание носа физраствором; · сосудосуживающие капли – Назол, Риназолин;
· противовирусные препараты – Кагоцел, Лавомакс |
| Воспаление миндалин | · антисептические растворы для полоскания – Мирамистин, Ротокан; · антисептики в виде таблеток для рассасывания – Лизобакт, Стрепсилс;
· антибиотики – Цефалексин, Амоксициллин. |
| Воспаление слюнных желёз | · антибактериальные препараты – Стрептомицин, Бензилпенициллин, их вводят непосредственно в протоки желёз; · жаропонижающие средства – Ибупрофен;
· йодистый калий – улучшает процесс отделения слюны. |
| Болезни верхних дыхательных путей | · муколитики – Амброксол; · противовоспалительные средства – Ибупрофен, Дексаметазон;
· противовирусные – Римантадин; · антибиотики – Амоксиклав, азитромицин |
| Заболевания сердечно-сосудистой, нервной системы | · препараты для улучшения мозгового кровообращения – Норваск, Пирацетам; · нейролептики – Трифтазин, Сульпирид;
· фибринолитики – Стрептокиназа; · уколы с витаминами группы B. |
Народные средства
Нетрадиционные методы лечения помогут устранить воспалительные процессы, патогенных микроорганизмов, слизь и мокроту, которые часто провоцируют появление солоноватого привкуса.
Народные методы лечения:
- При скоплении слизи в носу, гайморовых и придаточных пазухах – вкладывать в ноздри ватные турунды, пропитанные смесью из равного количества свежего свекольного сока и мёда. Продолжительность процедуры – четверть часа, сеансы следует проводить раз в 6–8 часов.
- Противовоспалительный сбор – смешать по 30 г эвкалипта, липового цвета, соцветий ромашки, добавить 15 г льняного семени. Заварить 250 мл кипятка 1 ст. о. смеси, через полчаса процедить. Раствор можно использовать для полоскания горла или ротовой полости, делать процедуру нужно не менее четырёх раз за день.
- При хроническом тонзиллите нужно смешать 10 г измельчённого прополиса со 100 мл спирта, убрать в тёмное место на неделю. В 120 мл тёплой воды растворить 10 мл настойки, полоскать горло 2–3 раза в сутки.
- Для улучшения отхождения мокроты нужно 220 мл кипятка заварить 5 г листьев мать-и-мачехи, через 3 часа процедить. Пить по 30 мл лекарства трижды в день за час до приёма пищи.
Чтобы быстро избавится от привкуса соли, можно пожевать несколько обжаренных кофейных зёрен, корень сельдерея или петрушки, лимон.
Настойкой прополиса можно полоскать ротовую полость
Причина №5: прием некоторых лекарственных средств
Ощущение соли во рту и на губах появляется при употреблении гормональных, антигистаминных препаратов, антидепрессантов и диуретиков. Часто проблема свойственна для людей, которые лечатся от онкологии при помощи химиотерапии. Если постоянный привкус соли связан именно с приемом определенных лекарственных препаратов, то при их отмене он исчезнет без следа. Если же таблетки нужно принимать на постоянной основе, то почему бы не посетить лечащего врача, чтобы он подобрал иной препарат? Тем самым вы сможете избавиться от проблемы.
Появление симптома
Знайте! Из вышеизложенного ясно, что причин солёных губ существует очень много. Одни связаны с ощущением вкуса слюны, поменявшегося вследствие болезни, или других жидкостей тела.
Другие вызваны нарушением вкусовых ощущений. Следует добавить лишь несколько случаев.
Течение по задней стенке горла, вызывающее солёность губ и ротовой полости, появляется при погодных изменениях — понижении температуры или снижении влажности воздуха.
Обильное выделение слизи провоцирует пряная еда.
Химикаты, которыми часто пользуется современный человек, дым и парфюмерия раздражают слизистую и ведут к тому же результату.
Причина №6: ЛОР-заболевания
Соленый привкус иногда имеет довольно банальные причины появления: например, бактериальный синусит, аллергический ринит, тонзиллит, фарингит, гайморит или простуда. При воспалении в синусах появляется слизь, которая состоит из белка муцина, соли, нуклеиновых кислот и воды. При остром течении заболевания сопли стекают по стенкам носоглотки в горло, соответственно, возникает ощущение соли. При вялотекущем воспалении ЛОР-органов слизь также постоянно беспокоит своим появлением во рту.
ЛОР -заболевания также способствуют появлению соленого привкуса
Осложнения при игнорировании солености слюны
Умышленное игнорирование симптома в виде повышенной солености слюны, отсутствие мер, направленных на диагностику и терапию основного заболевания, способно привести к развитию следующих осложнений и негативных последствий в будущем:
- гастрит и появление язвенных образований на слизистой оболочке ЖКТ;
- обструкция стенок пищевода, вызванная периодическими выбросами содержимого желудка;
- истощение организма и развитие анемии;
- стоматит, гингивит и другие воспалительные заболевания ротовой полости, спровоцированные инфекционными микроорганизмами;
- распространение метастаз в соседние органы и ткани, если причина появления соленой слюны связана с онкологией;
- усугубление стоматологических проблем с разрушением зубов и воспалением десен.
Люди, у которых происходит регулярный заброс желчи в желудок, могут столкнуться с воспалением стенок желчного пузыря, а также образованием в его полости посторонних конкрементов.
Причина №7: дисфункция слюнных желез
Появляется специфический вкус соли во рту в результате развития разных заболеваний, наносящих урон функциональности слюнных желез:
- синдром Шегрена: это аутоиммунное системное поражение соединительной ткани. При заболевании страдают преимущественно слезные и слюнные железы. Патология может развиться на фоне ревматоидного артрита или красной волчанки,
- ксеростомия: заболевание характеризуется сухостью полости рта, что объясняет наличие соленого вкуса во рту. Такая патология может развиться у тех, кто принимает антигистаминные препараты или антидепрессанты, страдает гипертонией и сахарным диабетом. Возникает заболевание и у людей, проходивших лучевую терапию в области головы и шеи. Однако согласно некоторым исследованиям, ксеростомия чаще всего возникает у пожилых людей. От 10 до 60% пожилых людей во всем мире страдают сухостью полости рта. Причем, чаще заболевание поражает женщин1.
Виной всему может стать слюнокаменная болезнь, которая вызвана закупоркой слюнных желез. Прочитать о ней более подробно вы сможете отдельную статью на сайте, специально подготовленную журналистами редакции портала.
Сухость во рту вызывает специфический привкус
Соленый вкус, возникающий на фоне ксеростомии, сам по себе не опасен. Но опасны заболевания, которые его вызвали, а также неприятны последствия сухости слизистой. Дело в том, что слюна – это защитник полости рта от атаки бактерий. Также слюна вымывает частицы еды, помогает нам размягчать пищу. Но если ее мало, то неизбежно возникают трудности с проглатыванием пищи и проблемы с желудком, а также появляются стоматологические проблемы. У человека с ксеростомией велик риск стремительного развития дисбактериоза полости рта, кариеса, пульпита, периодонтита, гингивита, стоматита. Также при сухости слизистой возникает стойкий неприятный запах изо рта.
Нормален ли вкус соли на губах?
Пациенты нередко задают специалистам подобный вопрос. Стоит отметить, что на него нет однозначного ответа, всё зависит от конкретных случаев. Однако точно известно, что редкое кратковременное ощущение не является опасным признаком.
Но есть случаи, когда человек чувствует это на протяжении долгого времени, что сильно мешает ему наслаждаться едой, постоянно вызывает жажду, а также делает его более раздражительным. Тогда, несомненно, необходимо обратиться к специалисту, потому что это может являться симптомом серьёзных нарушений в работе организма.
Почему проблема возникает у женщин
Во рту привкус соли. Что это значит? Чаще всего явление возникает у женщин, например, перед месячными или в период беременности. Соленость во рту может быть по причине обезвоживания организма в результате токсикоза. Другая причина – дисгевзия. Это заболевание, при котором происходит нарушение вкуса. В период беременности под действием гормонов подобное состояние возникает часто, и носит временный характер – после родоразрешения все проходит без следа.
Беременность часто становится причиной токсикоза
Соль на губах и во рту у прекрасной половины человечества может быть из-за частых перепадов настроения и эмоциональности. Причина ее появления – слезы. Однако слезы могут стать частым спутником не только для женщин, но и для всех остальных, если имеются более серьезные проблемы со здоровьем: аллергия, заболевания глаз, светобоязнь.
У пожилых женщин вкус соли на губах и во рту возникает по причине климакса. Часто явление сопровождает сухость слизистой, невозможность проглотить твердые или крупные кусочки пищи, зуд и жжение.
Сопутствующие симптомы и на что они указывают
По различным сопутствующим симптомам можно понять, что происходит с организмом, и насколько все серьезно. Следует помнить, что самодиагностика не дает исчерпывающего результата – ее задача определить, насколько срочно нужно обращаться к врачу, или проблему можно решить самостоятельно. В любом случае при неотложных состояниях неприятный привкус – это последнее, на что обращает внимание пациент.
Если этот симптом тревожит больного, значит, время на самодиагностику есть.
| Симптом | О чем говорит |
| Привкус постоянный | Эта ситуация возникает, когда имеются проблемы в ротовой полости или соседних органах, и процесс носит хронический характер. Постоянное поступление крови, слизи, слезной жидкости или гноя создает неприятные ощущения. Такая же ситуация бывает при злоупотреблении соленой пищей, алкоголем и обезвоживании. |
| Привкус появляется по утрам после еды | Это связано с особенностями продуктов. Копчености и соления на завтрак формируют устойчивое послевкусие на длительное время. Такой же эффект может дать кофе или крепкий чай за счет обезвоживания. |
| Привкус по утрам | Возможно, это реакция на средства по уходу за зубами. Более серьезные причины – патологии желудка, вызывающие рефлюкс содержимого, отрыжку, изжогу. В этом случае симптом появляется ранним утром, когда пациент просыпается. |
| Соленая слюна | Такой симптом наблюдается при обезвоживании, избытке соленой пищи, патологиях слюнных желез, заболеваниях почек, сахарном диабете. |
| Привкус соли на губах | Связан с воспалением, повреждением слизистой губ, избыточным потоотделением, аллергией, слезотечением. |
| Ощущение соленых зубов | Возникает при нарушении гигиенических норм – это вкус минерализовавшегося зубного налета. |
| Сладко-соленый привкус | Появляется при обезвоживании, беременности, хронических воспалительных процессах, иногда – кровоточивости. Зачастую не связан с содержанием сахара в тех веществах, которые попадают в слюну. |
| Горько-соленый привкус | Возникает при патологиях слюнных желез, заболеваниях привратника, гастрите, язвенной болезни желудка, болезнях почек, сахарном диабете, отравлении. |
| Кисло-соленый привкус | Связан с ГЭРБ, повреждениями пищевода, нарушением гигиенических норм, обезвоживанием. |
| Пища кажется соленой | Такой эффект возникает при сочетании обезвоживания и недостаточно влажной пищи, психических заболеваниях. |
| Появляется кашель | Признак воспалительного процесса в горле, сильного обезвоживания (кашель при глотании). |
Прием препаратов может вызвать любой из оттенков соленого вкуса – это индивидуальная реакция. Если неприятные ощущения сильно беспокоят, появляются другие симптомы, следует обратиться к врачу – возможно, стоит найти другое средство или изменить дозировку.
Почему проблема возникает у мужчин
Во рту соленый привкус. Что это, и почему возникает у мужчин? Часто подобное явление встречается у спортсменов или людей, занимающихся изнурительным физическим трудом. Во время физических перегрузок или тренировок повышается давление, сильнее приливает кровь. А как мы уже выяснили, в крови содержатся ионы натрия, хлорида и железа. Это объясняет, почему после физического труда или занятий активным спортом соленые губы у человека, и ощущение соли во рту.
Не стоит злоупотреблять алкоголем
С утра после бурной вечеринки или посиделок с друзьями задаетесь вопросом о том, почему во рту привкус соли? Причина может крыться в злоупотреблении алкоголем. Не забывайте, что алкогольные напитки оказывают сильный обезвоживающий эффект. Переизбыток алкоголя в крови вызывает интоксикацию, дегидратацию организма. Чтобы восстановить баланс жидкости и полезных минералов в организме, не забудьте пить в последующие дни много дистиллированной воды и минералки.
Этиология
На фоне того, что существует широкий спектр источников формирования солёного привкуса во рту все этиологические факторы можно разделить на несколько групп – патологические и физиологические.
Наиболее распространённой причиной формирования считается обезвоживание организма. Как известно, для нормальной работы внутренних органов и систем, человеку необходимо принимать внутрь не меньше двух литров жидкости в сутки. Однако довольно много людей предпочитают утолять жажду одним или двумя стаканами очищенной воды. Это недопустимо, поскольку происходит изменение химической структуры слюны, что связано с поступлением необходимого количества воды. Недостаток жидкости становится причиной того, что слюна, по вкусовым ощущениям, становится более солёной.
Второй фактор, почему недостаточное поступление жидкости в организм обуславливает солёный привкус, заключается в том, что некоторые люди, в качестве терапии вынуждены применять желчегонные лекарства. На этом фоне наблюдаются частые позывы к мочеиспусканию, что, в свою очередь, и влечёт за собой обезвоживание организма.
Также обезвоживание может развиваться из-за обильной диареи и сильного токсикоза у представительниц слабого пола в период вынашивания ребёнка.
Помимо этого, к патологическим причинам привкуса соли во рту следует отнести:
- наличие воспаления слюнных желез или патологическое влияние на них болезнетворных микроорганизмов. Такие состояния приводят к изменению количества выделяемой слюны и, как следствие, приобретение ею солоноватого привкуса;
- образование камней в слюнных протоках – это настолько редкий недуг, что встречается лишь у одного процента людей из общего количества населения земного шара;
- развитие инфекций, которые формируются на фоне несоблюдения гигиены полости рта;
- синусит – это воспалительный процесс слизистого слоя придаточной пазухи носа, который, в свою очередь, является следствием простуды или инфекции. Болезнь сопровождается повышенной секрецией и скоплением слизи, которая при переполнении носовых пазух стекает в полость рта по задней стенке глотки. Именно это и вызывает столь неприятный привкус;
- гайморит – механизм появления солёного привкуса во рту соответствует предыдущему расстройству;
- респираторные заболевания, сопровождающиеся таким симптомом, как кашель, который в некоторых случаях влечёт за собой отделение мокроты. Мокрота имеет вязкую консистенцию и солёный привкус;
- гастрит и панкреатит;
- аллергическую реакцию;
- патологии со стороны щитовидной железы;
- сахарный диабет;
- недостаточное поступление в организм витаминов.
Это наиболее частые болезни, которые могут проявляться подобным симптомом. Но есть несколько недугов, которые лишь в редких случаях способствуют появлению солоноватого привкуса. К таким патологиям можно отнести:
- неврозы;
- тромбоз кровеносных сосудов;
- ишемию;
- эпилепсию;
- гипертонию;
- атеросклероз;
- инсульт.
Физиологические причины, почему во рту постоянно солоноватый привкус:
- несоблюдение правил гигиены полости рта;
- удаление зуба – препараты для обезболивания и антисептические средства могут изменить состав слюны;
- период вынашивания ребёнка;
- онкологические заболевания – в таких ситуациях солоноватость вызывает не сама патология, а лекарственные препараты, необходимые для его лечения;
- слёзы – при обильном их выделении нередко попадают в полость носа или рта;
- продолжительное пристрастие к алкоголю – это приводит к нарушению водно-солевого баланса и появлению солоноватости во рту;
- употребление в пищу некачественных продуктов.
Что можно сказать о детях
Если ребенок ощущает во рту и на губах привкус соли, то причины могут быть совершенно разными. Виной всему может стать недостаточная гигиена полости рта, обезвоживание или внутренние заболевания организма. Здесь, чтобы выявить проблему, нужно понаблюдать за малышом. Если явление носит постоянный характер, то необходимо обратиться к педиатру, показать ребенка стоматологу. Врачи осмотрят маленького пациента, проведут ряд исследований, выдадут направление на анализы. При наличии постоянного вкуса соли во рту пройти обследование у терапевта и стоматолога необходимо и взрослым.
Notice
: Undefined variable: post_id in /home/c/ch75405/public_html/wp-content/themes/UltraSmile/single-item.php on line 45Notice : Undefined variable: full in /home/c/ch75405/public_html/wp-content/themes/UltraSmile/single-item.php on line 46
Оцените статью:
(17 оценок, среднее: 4,88 из 5)
профилактика
- И. М. Макеева, В.Ю. Дорошина, М.Г. Аракелян. Ксеростомия и средства, облегчающие ее проявления. Стоматология. 2013;92(5): 12-13
Консультирующий специалист
Литвиненко Ольга Викторовна
Рейтинг врача: 10 из 10 (2) Специализация: Стоматолог-терапевт, ортопед Стаж: 21 лет
Лечение
Устранение солёного привкуса во рту носит строго индивидуальный характер и напрямую зависит от причин появления подобного признака.
Если формирование такого проявления обуславливается физиологическими факторами, то будет достаточно:
- скорректировать рацион;
- пить не меньше двух литров жидкости в сутки;
- соблюдать правила гигиены полости рта;
- принимать лекарства только по предписанию лечащего врача;
- полоскать рот лекарственными отварами на основе ромашки, шалфея, коры дуба и календулы.
Подобные правила применяются и в качестве профилактики солёного привкуса в полости рта.
Более серьёзного подхода к лечению требуют патологические факторы появления солоноватого привкуса. В таких ситуациях применяются:
- медикаментозная терапия – для устранения того или иного воспалительного процесса, ликвидации болезнетворных микроорганизмов и дополнительной симптоматики;
- диетотерапия – при условии, что вызвали такой признак болезни ЖКТ;
- хирургические операции.
В профилактических целях необходимо регулярно проходить осмотры у гастроэнтеролога, стоматолога, ЛОР-врача, а также несколько раз в год проходить полное медицинское обследование.
Солёный привкус во рту может появиться у каждого из нас. Кто-то ощущает это периодически и непродолжительное время, а у кого-то подобное чувство сохраняется на протяжении нескольких месяцев. Чтобы привкус соли не портил настроение и не доставлял вам никакого дискомфорта, а также в дальнейшем не мог спровоцировать развития тяжёлых осложнений, необходимо установить и устранить причину такого явления.
Многие люди, столкнувшиеся с такой проблемой, даже не стараются узнать, почему же появился во рту солёный привкус, а просто пытаются перебить его, заедая какими-либо продуктами, например, сладостями. Однако, это является выходом из положения, поскольку имеет кратковременный эффект. К тому же, бесконтрольное употребление сладкого может привести к ожирению, и, как следствие, к заболеваниям пищеварительного тракта.
Комментарии
Какого врача прежде всего нужно посетить, если постоянно возникает соленый привкус во рту?
Агата (16.05.2019 в 19:44) Ответить на комментарий
Напишите свой комментарий Отменить ответ
К какому врачу обратиться? Диагностика возможных патологий
При появлении неприятного симптома в виде ощущения соленой слюны в ротовой полости необходимо записаться на консультацию к врачу-стоматологу, отоларингологу и терапевту. Ребенок должен быть осмотрен педиатром.
В случае необходимости доктор может назначить прохождение следующих методов диагностики:
- отбор мазка со слизистой оболочки ротовой полости, миндалин и горла;
- ЭКГ сердца;
- УЗИ печени, желчного пузыря, слюнных желез;
- гастроскопия пищевода и желудка;
- МРТ костей черепа и непосредственно центров головного мозга;
- сдача капиллярной и венозной крови для проведения клинического и биохимического анализа;
- сбор утренней мочи.
По результатам диагностического обследования лечащий врач получает возможность установить основной вид заболевания, который вызывает ощущение соленой слюны во рту. После постановки диагноза пациенту назначается соответствующая терапия.
Диагностика
Если соленый привкус приобрел стойкий характер, следует обратиться к своему лечащему врачу, чтобы выяснить причины.
При первичном обследовании врач должен ознакомиться с историей болезней пациента, учесть все жалобы и отметить симптомы, при необходимости осмотреть визуально и методом пальпации (при увеличении лимфоузлов).
Обратите внимание! Затем назначается комплекс необходимых анализов, чтобы точно определить возможное заболевание:
- Развернутый анализ крови на наличие инфекции;
- Анализ крови на биохимию для определения количества ферментов, вырабатываемых почками;
- Общий анализ мочи покажет степень обезвоживания;
- Санация ротовой полости (исследование слизистых выделений поможет определить, что привело к воспалительному процессу – аллергия или инфекция);
- УЗИ гайморовых и носовых пазух даст четкую картину структуры мягких тканей и наличие гноя;
- Рентген перегородок носа покажет наличие хрящевой перегородки или ее искривление;
- МРТ и КТ дадут полный обзор любой ткани во всех деталях при помощи изображения на микро-срезах.
Важно! После полученных результатов обследования пациент направляется к узкому специалисту для прохождения дальнейшего лечения.


