1617
Аномалия «акульи зубы» – вовсе не такая уж безобидная шутка природы, как может показаться.
Она не только причиняет психологический и физический дискомфорт человеку, но и способна привести к серьезным последствиям для зубочелюстной системы.
Чтобы избавиться от нее, может понадобиться помощь не только стоматолога-хирурга, но и ортодонта.
Причины аномалии
Полиодонтия – аномалия числа элементов зубного ряда, характеризующаяся появлением сверхкомплектных единиц (норма – 20 временных и 32 постоянных зуба).
Сегодня патология диагностируется очень часто. Точная природа заболевания до сих пор неизвестна.
Изначально медики предполагали, что отклонение от нормы может быть связано с проблемами, возникающими в процессе закладки зубов, то есть на этапе формирования зубных зачатков, и отчасти были правы.
Современная медицина более доказательно выступила с этой проблемой, и несколько лет назад выдвинула две основных гипотезы, которые могут стать основными факторами развития аномалии:
- Акульи зубы у человека – это атавизм (появление у данного человека признаков, свойственных отдалённым предкам). Благодаря научным исследованиям, удалось установить, что изначально человек должен был рождаться с большим количеством зубов, и организм зачастую пытается вернуть это состояние.
Так же известно, что наши предки имели на обеих челюстях по 6 резцов. Из этого следует, что аномальные признаки могут быть наследием анатомических особенностей, изживших себя в далеком прошлом.
- Неправильное внутриутробное развитие ребенка. Данная версия самая оправданная с точки зрения науки. Плохая экология, изобилие малоизвестных вирусов, зависимость беременных женщин от алкоголя и наркотиков, а также бесконтрольный прием запрещенных медицинских препаратов приводят к расщеплению зубных зачатков.
А ведь действительно, закономерность присутствия аномалии у детей, рожденных матерью с вредными привычками, отмечается все чаще.
У детей в возрасте 4-6 лет дефект развития могут спровоцировать следующие факторы:
- генетическая наследственность;
- перенесенный малышом рахит;
- серьезные инфекционные заболевания, которыми переболел ребенок в младенчестве;
- преимущество мягких продуктов питания в ежедневном рационе.
Однако перечисленные объяснения нельзя назвать полностью доказанными факторами, поэтому ученные продолжают тщательно исследовать природу патологии.
Примечательно! Наличие дополнительных зубов мудрости у взрослых не является аномалией!
Специалисты трактуют полиодонтию, как проблему, связанную с большим количеством зубов. Это значит, что в зубном ряду пациента могут присутствовать избыточные элементы, которых в норме не должно быть. Даже одна единица сверхкомплекта считается нарушением процесса развития костных органов рта.
Важно! Аномалия диагностируется с одинаковой частотой, как у детей, так и у взрослых. Разница лишь в том, что у ребенка можно обнаружить не более 4 дополнительных зубов, а взрослого человека их число может быть больше, мало того, располагаться они могут не только в зубном ряду, но и за его пределами.
Специалисты разделяют полиодонтию на 2 вида:
- Ложная. Возникает на фоне не выпавшего временного зуба у ребенка. Элемент прочно закреплен и может полноценно выполнять свои функции на протяжении не одного десятка лет. В стоматологии зафиксированы случаи, когда молочные единицы обнаруживались у 50-летних пациентов.
- Истинная. Характеризуется патологическим формированием сверхкомплектных зачатков. Чаще развивается на фоне генетической предрасположенности или вследствие неблагоприятного фактора.
В зависимости от расположения «лишних» элементов, патология разделяется на формы:
- Типичная. Дополнительные элементы располагаются в зубном ряду.
- Атипичная. Избыточные элементы могут прорезываться на любом участке полости рта.
Важно! Все формы и разновидности аномалии требует индивидуального подхода в лечении.
Внешний вид человека при отсутствии верхних резцов и способы исправления дефекта.
Читайте здесь о сути применения депрограмматора Койса.
Жаберные дуги в челюсти акулы
Без жабр акула не сможет дышать. Они — основанная причина того, что кислород попадает внутрь легких акулы. Акула периодически втягивает воду в приоткрытые челюсти. Уже отсюда она поступает к жабрам, и кислород начинает поступать в легкие акулы. Именно поэтому челюсть акулы всегда немного приоткрыта, чтобы в случае надобности, она могла быстро обогатить свой организм кислородом. А расположение зубов в челюсти помогает ей делать это максимально эффективно.
Жабры соединены друг с другом путем прикрепления хрящевых копул. Они частично сращиваются друг с другом. Зачем жабры устроены таким образом? У этого есть своя причина.
Перед тем, как ее узнать, добавим еще один важный факт. В жабрах акулы есть небольшие отростки, тонкие и напоминающие тычинки. Они размещены так, чтобы находиться на одном уровне друг с другом. Для чего?
Благодаря своему расположению тычинки в жабрах акулы, которые крепятся через хрящи к челюсти, препятствуют выпадению больших объемов пищи через жабры. Из-за этого акула может меньше охотиться и сразу переваривать большее количество пищи, чем если бы часть ее выпадала обратно в воду через жабры. Таким образом, можно сделать вывод что жабры не только помогают акуле дышать, но и способствуют экономии энергии и времени акулы.

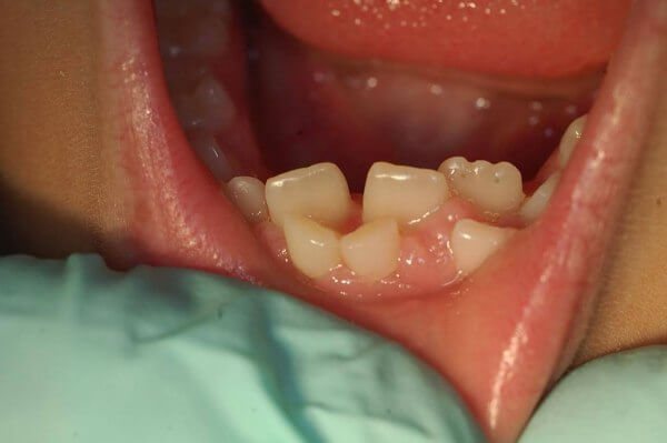
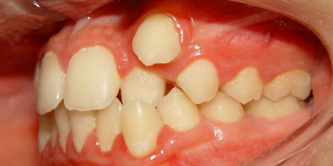
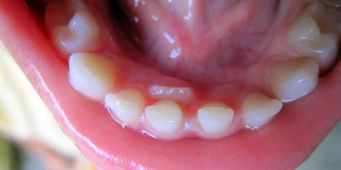
Основные признаки

- Избыточные зубы появляются на небной поверхности и деснах. Их структура и форма искажена.
- Нарушения окклюзии.
- Проблемы с произношением.
- Разворот зубов из основного комплекта в сторону.
- Слишком близкое расположение зубных элементов друг к другу.
- Затруднение процесса пережевывания пищи и, как следствие, нарушение органов ЖКТ.
- Воспаление слизистых структур вследствие травмирования их «лишними» элементами.
Дополнительные молочные зубы у детей могут появляться в младенчестве или с первого дня жизни. Симптомы следующие:
- нарушение процесса приема пищи – ребенок постоянно кусает маму, что делает невозможным кормление грудью;
- сбои в работе органов пищеварения;
- набухание слизистой носовых путей;
- повышенное слюноотделение;
- негативные изменения температуры тела;
- отек тканей, окружающих прорезывающийся зуб.
Запомните! Малыш наиболее остро воспринимает не проблемы с речью, возникшие на фоне заболевания, а насмешки со стороны сверстников, которые становятся следствием серьезных нарушений психики.
В каких случаях обращаться к врачу
Если процесс сопровождается неприятными ощущениями и ребенок постоянно жалуется, то не следует затягивать с визитом к специалисту. Показано обращение к врачу в следующих случаях:
- молочный зуб не выпадает в течение трех месяцев после появления постоянного;
- развивается воспалительный процесс;
- молочный зубик сильно шатается, доставляя ребенку беспокойство и дискомфорт.
Сопутствующие патологии
По статистике, аномалия чаще развивается по причине прочности молочных зубов, которые растут криво и не желают освобождать место постоянным элементам.
Но, как правило, с течением времени ситуация изменяется в лучшую сторону, и новые зубы находят правильное место в ряду, вытесняя молочных предшественников. Однако в последнее время все чаще встречаются клинические картины, характеризующиеся наличием сложных аномалий в развитии органов полости рта.
Рассмотрим предрасполагающие факторы:
- Сверхкомплектность. Проблема заключается в появлении избыточного количества зубных единиц. Чаще всего, их число выше нормы. Данное отклонение спровоцировано генетикой и в ряде случаев передается по наследству. Медики нередко отмечали наличие лишнего зуба у детей, в анамнезе которых было указано, что данную патологию имели их бабушка или дедушка. К радости, современная стоматология проводит успешную экстракцию таких зубов.
- Недоразвитости челюстей. Данное состояние в медицине называют микрогнатией или микрогенией. В первом случае речь идет о малых размерах верхней челюсти, а во втором – недоразвитость отмечается на подвижной. Аномалия развивается по ряду причин, в число которых специалисты вносят нарушения правильного питания беременной женщины, сбои в обменных процессах плода, раннюю утрату временного комплекта зубов и негативный генетический фактор.
Зуб акулы мегалодона
Эти древние рыбы жили более четырехсот миллионов лет назад, от них произошли современные акулы. Да — эти морские хищники в четыре раза древнее динозавров. Как и у нынешних акул, у мегалодонов почти не было костей, только хрящи. Единственная кость в их теле — челюсть.
В те времена мы бы не узнали Землю. Обширные территории, в наше время далекие от побережья, были в те времена дном океанов или островами. Поэтому находят клыки морских зверей даже там, где моря нет и в помине. Мегалодоны были одними из крупнейших животных на Земле, их зубы достигали пятнадцати сантиметров в длину.

Люди давно обращали внимания на необычные окаменелости. Им приписывалась мистическая сила. В Восточной Европе и в Сибири зубы мегалодона называли громовыми стрелами. Считалось, что молния, ударив в землю, разлетается черными осколками. Такие «осколки» использовались для защиты домов от молний.
На западе Европы эти ископаемые артефакты считались либо языками, либо клыками драконов. Считалось, что они могут даровать нашедшему их рыцарю защиту в бою. Также именно с их помощью лечили оспу и лихорадку, а также отравление.
В наше время клык мегалодона — мечта как археологов, так и «черных копателей». Шутка ли — за него можно выручить целых пять миллионов долларов!
Лечебные мероприятия
Чтобы вовремя воспрепятствовать развитию акульей челюсти и не упустить этапы формирования «лишних» единиц, необходимо постоянно контролировать состояние зубочелюстной системы в период смены молочного комплекта постоянным.
Ребенок может жаловаться на болезненные ощущения во рту, дискомфорт в процессе откусывания твердых продуктов. Важно не оставлять без внимания эти, казалось бы, безобидные признаки.
Необходимо оценивать улыбку малыша – если до 5 лет между его передними зубами не образовались достаточно широкие промежутки, это может грозить в дальнейшем сужением зубочелюстного ряда. Данное явление почти всегда влечет за собой появление сверхкомплектных единиц или способствует кривизне коренных органов.
Аномалия лечится различными способами. Методика определяется, беря во внимание сопутствующие патологии и сложность конкретного случая.
В первую очередь врач оценивает расположение проблемных молочных зубов и проводит их удаление. Это позволит своевременно нормализовать развитие коренных элементов. Как правило, после таких манипуляций проблема устраняется.
Далее, в процессе жизни ребенка, зубочелюстной ряд саморегулируется до нормального состояния. Это происходит под воздействием губ и языка, которые при постоянном контакте с кривым рядом заставляют зубы принять оптимальное положение.
Если саморегуляция невозможна, а патология перешила на этап активного развития, медики рекомендуют ортодонтическое лечение, заключающееся в ношение брекет-системы или каппы. Конструкция на протяжении длительного времени будет оказывать на зубы воздействие, постепенно смещая их в оптимальное положение.
Что касается профилактических мероприятий, то их не существует, особенно, если пришлось столкнуться с неблагоприятной генетической предрасположенностью.
Нет таких предупредительных процедур, которые бы на 100% оградили человека от формирования акульей челюсти. Однако медики дают некоторые рекомендации, соблюдение которых позволит снизить риск возникновения аномалии:
- ребенок должен регулярно употреблять в пищу твердые продукты, что поможет молочным элементам выпасть своевременно;
- проблемы, возникшие в полости рта малыша, необходимо устранять на стадии их раннего развития.
Более подробно врачебные рекомендации рассмотрим в конце статьи.
Несмотря на то, что акульи зубы встречаются нечасто, в 80% случаев данная патология безобидная и легко поддается коррекции. Главное, вовремя заметить возникшую проблему и поспешить ее ликвидировать.
Лечение
Появление второго зубного ряда – это прямое показание для посещения детского стоматолога. Однако не стоит сразу настраиваться на негативный исход. Правильная лечебная тактика полностью устраняет эту проблему без развития каких-либо последствий. Главное – это раннее начало терапии и выявление причины патологии. Дальнейшая лечебная тактика напрямую зависит от этиологического фактора:
- Лишний молочный зуб. Удаление молочника – это наиболее частая стоматологическая рекомендация, после выполнения которой не требуется коррекция постоянных зубов. Коренные «жители» самостоятельно смещаются на пустое место. Если этого не происходит, ортодонт корректирует положение брекет-системой, каппами или съёмными ортодонтическими конструкциями. Как правило, молочный зуб удаляется парами, что влияет на правильное формирование прикуса.
- Недостаточное развитие челюсти. Решением этой проблемы служит искусственная стимуляция развития посредством съёмных или несъёмных конструкций. Главная трудность лечения – это малый возраст юного пациента, что сказывается на уходе за протезами. Отличные терапевтические результаты показывает инвизилайн – эластичная каппа, которая просто надевается и не требует специального ухода.
- Гипердонтия. Лечение включает проведение челюстной рентгенографии, введения местного обезболивания, удаления проблемного зуба и ушивания раны.
Важность правильного дыхания
Когда естественный процесс дыхания через нос нарушается, челюстно-лицевой аппарат ребенка начинает развиваться неправильно, что и провоцирует появление второго ряда зубов.
Дело в том, что коренные зубы имеют больший размер в сравнении с «молочниками», соответственно и места для прорезывания им необходимо больше.
Чтобы этап их появления на поверхности десны не прерывался, важно чтобы структура челюсти была правильно сформирована. В случае нарушения этого процесса, можно ожидать непредвиденных проблем.
Челюстная дуга расширяется в возрасте 5-10 лет, поэтому нужно следить за своевременным появлением физиологических промежутков между зубными единицами.
На этапах формирования важная роль отведена языку. Он оказывает оптимальное давление на обе челюсти. Если ребенок подвержен частым простудным заболеваниям, затрудняется носовое дыхание, и он начинает дышать посредством рта.
В такой ситуации правильное положение языка изменяется – он опускается глубже в ротовую полость, теряя контакт с зубными рядами. В таком случае постоянные зубы могут прорезаться в любом месте, нарушая линию правильной зубочелюстной дуги.
Показания к вытяжению зуба и применяемые современные способы.
В этой публикации мы расскажем об особенностях дистализации моляров верхней челюсти.
Чем опасно
Несмотря на непривлекательный внешний вид такой улыбки, беспокоиться не стоит. Чаще всего стоматологи советуют не предпринимать никаких действий. Корень молочного зуба размягчается, и зубная единица через определенный промежуток времени выпадает самостоятельно. Ребенок способствует этому, расшатывая зубик языком или руками.
Иногда бывают ситуации, когда корень слишком крепкий. Если процесс слишком затянулся, можно отправиться к стоматологу для удаления ненужного рудимента. После проведенной манипуляции постоянный зубик постепенно сместится на место удаленного, и закрепится на нем. Язык является очень мощной мышцей. Под его давлением зубной ряд выравнивается должным образом примерно за месяц. Дополнительные приспособления и усилия не требуются.
Возможные последствия
На устранение последствий полиодонтии медикам порой требуется много времени. Неправильное или несвоевременное лечение может повлечь за собой следующие проблемы:
- нарушение прикуса;
- развитие речевых дефектов;
- воспалительные процессы в мягких тканях;
- остеомиелит челюстных костей в хронической форме;
- разрушение зачатков;
- неправильное прорезывание коренных единиц;
- вред, нанесенный психическому здоровью человека вследствие появления эстетического недостатка.
Если запустить патологию и дать ей развиваться до полного формирования прикуса, лечение усложниться в разы.
Чтобы с максимальной точностью определить топографию аномалии, медики назначают взрослым пациентам ряд диагностических мероприятий. Усложняется и процесс удаления ложных зубов, который проходит под местным наркозом, а в ряде случаев требует общей анестезии.
Этапы проведения следующие:
- отслаивание слизистой;
- вскрытие костной ткани;
- экстракция зуба;
- удаление костных дефектов при помощи остеопластического материала;
- зашивание слизистой.
Как стало понятно, своевременное удаление сверхкомплектных элементов в раннем возрасте не представляет никакой сложности. Однако процесс удаления ретинированных акульих зубов требует строгого соблюдения специалистом определенной схемы проведения процедуры.
Пациенту после такого вмешательства придется скрупулезно соблюдать правила гигиены, изменить рацион питания, пропить курс антибиотиков, назначенных врачом и, возможно, продолжить лечение ортодонтическими конструкциями.
Амулет зуб акулы: значение и история
Акульи амулеты были распространены везде, где только водились эти рыбы. Акула не чувствует боли, убивает жертву одним укусом, не знает страха. Народы Океании поклонялись акуле также, как славяне — медведю.
Клыкам доисторических акул — мегалодонов — в древности приписывали способность защищать от яда. Их называли «жабьим камнем». Растертый жабий камень также считался сильным любовным зельем.
Акула — хищник, из зубов которого и по сей день делают талисманы.
Амулет из акульего зуба имеет следующие значения:
- Олицетворяет силу воли и беспощадность.
- Зуб белой акулы отводит козни и интриги врагов.
- Клык бычьей акулы способствует заживлению ран.
- Зуб акулы тигровой защищает от колдовства, сглаза и порчи.
В наше время акула стала тотемным животным бизнесменов и журналистов: они — «акулы пера» и бизнеса. Представителей этих профессий часто сравнивают с морским хищником, и считается, что акулий клык или резец поможет им улучшить качества, необходимые для работы.
Превентивные меры
Стоматологи составили памятку для родителей, направленную на профилактику развития аномалий челюстно-лицевого аппарата у детей:
- научить малыша дышать только носом;
- искоренить привычку ребенка тянуть в рот различные предметы и сосать палец;
- ежедневно следить за состоянием десенной ткани, зубных единиц, слизистой и развитием кариозных процессов;
- внести коррективы в рацион чада, что поможет развить оптимальные жевательные рефлексы;
- запретить прикасаться к растущему зубу языком или пальцами;
- посещать детского стоматолога для контрольных осмотров не реже 1 раза в 3 месяца.
При возникновении следующих ситуаций необходима безотлагательная врачебная помощь:
- если постоянный зуб прорезался, а его молочный предшественник не думает выпадать на протяжении 3 месяцев и более;
- если наблюдается шаткость «молочника», но выпадение так и не происходит, а малыш при этом испытывает дискомфорт;
- при возникновении малейших болезненных ощущений и подозрений на воспалительные процессы.
В видео врач рассказывает, что нужно делать, когда постоянные зубы растут во втором ряду.
Талисманы из клыков других хищников
Клыки и дргих хищных животных также используют в качестве амулетов.
Их можно применять вместе с акульим зубом, чтобы усилить эффект. Для этого лучше всего подойдут части тела следующих животных:
- Медведь. Животное-защитник леса, символ добрых сил. Подобно акульему зубу, медвежий коготь или клык защищает от черной магии. Днем носите на теле, ночью кладите под подушку. Сглаз и порча будут вам не страшны. Также оберег помогает при зубной боли. В наше время популярен у неоязычников.
- Волк. Волчий клык означает уверенность в себе, отвагу и мужество. Он подойдет людям, отчаянно нуждающимся во «внутреннем стержне», нерешительным и робким. Излишняя скромность и стеснительность уйдут, если носить оберег постоянно. Также его оценят по достоинству военнослужащие и силовики, которые постоянно рискуют здоровьем и жизнью.
- Тигр. В отличие от других хищников, символизирует чувственность, любовь и страсть. Поэтому зуб или коготь тигра — мощнейший любовный амулет. При этом он также улучшает способности носителя к самоконтролю и управлению эмоциями. Людям, склонным к импульсивным поступкам, живущим эмоциями, такой оберег поможет направить эту черту характера в правильное русло. Также его по достоинству оценят путешественники и ученые.
- Крокодил. Сильное, стремительное и при этом скрытное животное. Амулет из клыков крокодила может подарить человеку спокойствие и уверенность в себе, а также понимание, когда следует переходить к решительным действиям. Подойдет людям, мечтающим стать хладнокровнее.
Отзывы
Различные аномалии зубочелюстных рядов оказывают негативное влияние на красоту улыбки.
Дефекты создают препятствия для общения и провоцируют развитие у человека субъективного и искаженного мнения о своем внешнем виде, в результате чего он начинает испытывать глубокий эмоциональный стресс.
К таким последствиям могут привести и акульи зубы, неправильный прикус, нарушения дикции.
Если вам уже приходилось сталкиваться с такой проблемой, и после прочтения статьи возникло желание поделиться с читателями эффективным способом устранения аномалии, оставьте свой отзыв в комментариях ниже.
Если вы нашли ошибку, пожалуйста, выделите фрагмент текста и нажмите Ctrl+Enter.
Теги исправление прикуса
Понравилась статья? Следите за обновлениями
Предыдущая статья
Когда субпериостальные имплантаты – единственная возможность восстановить целостность зубного ряда
Следующая статья
Технология реставрации зубов фронтальной зоны стеклокерамическими коронками
Можно ли сделать амулет самостоятельно
Чтобы сэкономить деньги, можно приобрести просто самое главное — клык, а уже амулет из зуба акулы сделать самостоятельно. Такой оберег, кстати, будет гораздо сильнее, чем купленный в сувенирной лавке. Во-первых, вы сразу настроите его на свою энергетику. Во-вторых — можете привести поделку в полное соответствие с традицией, которой придерживаетесь.
Амулет, сделанный собтвенноручно, будет гораздо эффективнее аналога из сувенирного магазина.
Ничего сложного в изготовлении такого оберега нет. О самом простом варианте мы уже говорили — амулет можно носить на шее или в кармашке. Небольшой зуб можно подвесить к браслету или носить как сережку.
Допускается и носить его на связке ключей, как брелок, или подвешивать в машине. Проявите фантазию и создайте себе такой оберег, который хотели бы носить сами. При желании можно покрыть зуб лаком, украсить камнями, вставить в оправу. Ювелир может добавить к оберегу серебро или золото, продеть в него цепочку.
Регенеративная программа: пояснение врачей
Доктор Фрейзер и его команда оценивали экспрессию генов в эмбриональном развитии некоторых видов акул. Ученые выделили образцы экспрессии из нескольких генов, в итоге приведшие к формированию зубной пластинки. Это набор эпителиальных клеток, из которых и «растут» зубы, именно эта пластинка и обеспечивает непрерывную регенерацию зубов у акул.
Примечательно, что такая же зубная пластинка имеется и у людей, она дает «жизнь» двум основным комплектам зубов: молочным и постоянным. Но как только зубы постоянного прикуса полностью формируются, зубная пластинка исчезает.
Ученые отметили и факт сверхкомплектных зубов — «лишних», которые могут быть вполне полноценными и участвовать в акте жевания. Ученые установили, что основная причина их формирования — некоторые генетические сбои.
Сопоставление этих факторов, схожесть пластинки, которая у акул является источником постоянного роста зубов, открывает перед врачами новые возможности лечения и регенерации зубов. Доктор Фрейзер отметил: исследования продолжаются и сейчас. Главная цель — понять, как можно использовать второй шанс и последующие, которые оставила природа.
Зубная пластинка — источник развития зубов, теряется в подростковом возрасте. Разработка методов, которые помогут сохранить ее, поможет достичь новых целей и вершин в стоматологии.
Как исправить ситуацию?
Тактика лечения детей со сверхкомлектными зубами постоянного прикуса практически всегда оказывается радикальной — удаление. Но лечение иногда связано с некоторыми сложностями и будет требовать длительного исследования и участия сразу нескольких специалистов.
Если коронка сверхкомплектного зуба является полноценной, правильной, рентгеновский снимок позволяет увидеть корни и степень их развития, то вопрос удаления решается в индивидуальном порядке, нередко с привлечением ортодонтов. Тандемом докторов выбирается зуб, который необходимо удалить, и главный критерий выбора — возможные последствия. Обычно удаляется тот зуб, который имеет неправильное расположение в полости рта, нарушает не только эстетические, но и функциональные нормы. Иногда именно сверхкомплектный зуб оказывается более перспективным, чем зуб, входящий в постоянный комплект.
Для того, чтобы решить вопрос о лечении детей с наличием сверхкомплектных зубов, понадобится длительное и тщательное исследование: прицельные рентгеновские снимки, ортопантомограмма (обширный снимок челюстей ребенка), осмотр несколькими специалистами и стоматологические тесты. Только после анализа данных решается судьба каждого зуба, какой из них придется удалить.
Дети с наличием сверхкомплектных зубов нуждаются в пристальном внимании стоматологов. В индивидуальном порядке составляется график профилактических посещений терапевта и ортодонта.
Индийский журнал The Times of India описал уникальный случай. В декабре 2019 года к стоматологу обратился 7-летний мальчик, который жаловался на боль в зубах всей нижней челюсти. При обследовании ребенка, была выявлена опухоль — одонтома, которая спровоцирована нарушением развития тканей зубов. Сама опухоль имела крупный размер 5×3,5 см. Как отмечали Индийские специалисты — это огромное количество клеток в толще челюсти, из которых формируются сверхкомплектные зубы.
У 7-летнего мальчика, имя которого держат в секрете, удалили 80 сверхкомплектных зубов. Если же операцию провели бы позже, то это количество могло быть и больше, по прогнозам докторов, около 200. Известен случай удаления 232 зубов у подростка. По странному стечению обстоятельств, операция также была проведена в Индии.
Внешний вид и описание талисмана
Амулет выглядит как огромный клык. Это зуб, который потеряла акула, или возможно, кто-то вырвал его изо рта хищника. Зуб может быть немного обработанный, чтобы он не был таким острым, а также в нем делают отверстие, чтобы повесить амулет на шею. Размер зуба большой, порой до 15 сантиметров. Он выглядит как острый клык.
Будьте осторожны, зуб акулы действительно острый. При неправильном ношении, есть риск получить травму.
Сама же акула – опасный хищник, живущий на море. Она бесстрашная и способна наводить панический ужас. Именно это и привлекает многих людей, они хотят получить ее зуб.
Акула – опасный хищник.
От акулы невозможно спрятаться, она быстро двигается и у нее хороший нюх. Но акулий зуб перенял противоположные качества, то есть, он помогает скрыться от недоброжелательных помыслов и действий.
Амулет оказывает действие на следующие направления:
- Защищает от врагов, их коварных замыслов и черной магии.
- Дает дополнительную энергию человеку, если он быстро тратит свою.
- Наделяет человека способностями акулы. Он способен работать быстрее и эффективнее, принимать резкие решения, стать сильнее духовно, получить бесстрашие.
- Дает силу воли, непоколебимость, уверенность в своих способностях.
- Способен оказывать оздоровительный эффект. Помогает при тошноте, головокружении, головной боли, высоком давлении.
Талисман в виде подвески.
Аналоги талисмана
Существуют и другие талисманы хищников. Среди них:
- Медвежьи клыки. Они повышают иммунитет, дают силу и энергию. Способы помочь женщине забеременеть.
- Волчий зуб – символ охоты. Способствует хорошей охоте, помогает найти больше дичи.
- Крокодильи зубы способы защитить водителей машин. Они справятся с любыми трудностями на дороге.
- Клык тигра поможет найти свою любовь и защитить близких от порчи.
Этиология проблемы
Достоверно стоматологам до сих пор неизвестно, что же вызывает возникновение акульих зубов у детей, но среди наиболее вероятных причин
числятся следующие:
- последствие перенесенного в младенчестве или раннем возрасте рахита (при нехватке витамина D), что приводит к недоразвитости всего скелета ребенка;
- инфекционное заболевание, протекавшее в период перед сменой молочных зубов на постоянные;
- некоторые генетические сбои, относительно безвредные для здоровья;
- наследственные заболевания, вызывающие комплексную недоразвитость малыша (синдром Прадера – Вилли и другие).
Что касается первого пункта, то недостаток витамина D во время активного роста ребенка возникает по двум причинам: либо из-за его отсутствия в пище младенце, что часто бывает при искусственном вскармливании, либо из-за нехватки солнечного света (ультрафиолета), который синтезирует выработку этого компонента в организме. Отсюда следует простой вывод, что здоровое развитие костной системы и, в том числе, зубов закладывается в очень раннем возрасте.
Акульи зубы у малыша провоцируют дополнительный риск возникновения между ними мягких и твердых отложений на эмали.
Инфекция, перенесенная малышом в раннем возрасте, может вызвать задержку при сохранении нормального темпа роста коренных (которые закладываются еще на пятом месяце беременности). В норме молочные зубы, достигнув определенного возраста, начинаются расшатываться благодаря специальному природному механизму, вызывающему рассасывание их корней в деснах.
Если же из-за инфекции, вызвавшей задержку роста, этот процесс был заторможен, постоянные зубы могут просто-напросто «догнать» молочников и начать прорезаться, формируя акулью челюсть.
Последствия всех описанных ситуаций способны доставить много хлопот в будущем — как ребенку, так и его родителям: если молочники, будучи еще крепкими, вовремя не уступят место постоянным, последние могут вырасти наклоненными вперед, назад или вообще повернутыми вокруг вертикальной оси. Излишне говорить, к каким негативным последствиям для здоровья и личной жизни будущего взрослого человека это приведет.
Обратите внимание!
провоцируют дополнительный риск возникновения между ними мягких и твердых отложений на эмали, так как расстояние между рядами совсем небольшое, а добраться туда щеткой заметно труднее.
Как носить амулет и кому он подходит
Амулет акулий клык подойдет тем, кто страдает от чрезмерной скромности и нерешительности. Он позволит человеку стать настойчивее. Талисман используется в тех профессиях, где важны качества хищника. К примеру, дипломат, бизнесмен или военный. А вот если амулет носит школьник или студент, он не будет так сильно бояться экзаменов.
Обычно талисман носится в качестве подвески на шею. Он больше подойдет мужчинам, ведь чаще, именно они связаны с бизнесом. Но его носят и женщины – те, которые строят карьеру. Амулет также можно повесить у входа в дом подобно подкове, если вы хотите защитить свое жилье от недоброжелателей.
Особенности смены прикуса
К годовалому возрасту у малыша, как правило, прорезывается 12 сменных элементов улыбки. Их корни впоследствии рассасываются к 4-5 годам, единицы постепенно становятся подвижными и в большинстве случаев выпадают самостоятельно. Но бывают и отклонения от нормы, когда прикус меняется слишком рано или, наоборот, слишком поздно.
| Возраст | Последовательность прорезывания |
| 7 лет | сначала появляются центральные резцы – в первую очередь верхней, после – нижней челюстей |
| 7-9 лет | происходит смена боковых резцов |
| 9-10 лет | формируются постоянные клыки нижней челюсти, после – верхней (промежуток между прорезыванием может достигать 1 года) |
| 11-12 лет | в этот период чаще всего происходит прорезывание «шестерок», «семерок» |
| 16 лет и старше | появляются «восьмерки» или так называемые зубы мудрости. Но так как в последнее время они больше считаются рудиментом, чем обязательным элементом прикуса, то у многих детей они отсутствуют. Более того «мудрецы» у некоторых людей даже не формируются в зачатках на протяжении всей жизни, у других же, прорезываются после 20 и даже после 30 лет. |
Диагностика
Диагностика не вызывает особых проблем практически при всех формах. Как правило, пациенты сами сообщают о данном заболевании, ведь не так и сложно заметить, что у вас есть лишний зуб, особенно если его рост вызывает серьезные проблемы с дикцией и прикусом.
Если же имеют место ретинированные сверхкомплектные зубы, то наиболее подходящим способом их диагностики является рентген. В этом случае стоматолог легко определить, где и сколько у вас имеется лишних зубов.
Если с помощью рентгена невозможно установить точное местоположение проблемного зуба, то врач может назначить томографию. Раннее диагностирование болезни не позволит ей развиваться и причинять серьезные неудобства.
Что делать?
В большинстве случаев проблема решается сама по себе: корень молочника в конце концов рассасывается, и он выпадает. Постепенно постоянный зуб занимает положенное ему место. Если процесс затягивается, детские стоматологи рекомендуют удалять молочники, чтобы дать возможность постоянным единицам занять правильное положение.
Показать ребенка стоматологу следует обязательно, если:
- через 3 месяца после прорезывания постоянного зуба молочник остается на своем месте,
- молочник шатается, но приносит дискомфорт ребенку,
- десна в месте шатающейся единицы воспалилась, появилась болезненность и отечность.
Не бойтесь удаления молочников, так как современные стоматологические клиники оборудуют специальные детские кабинеты. Если зуб шатается, врач аккуратно выдернет его, это безболезненный процесс.
Даже если корень молочника еще не рассосался, стоматолог использует анестетик в виде спрея, который заморозит десну без уколов. Акульи зубы в большинстве случаев появляются за резцами на нижней челюсти (реже это случается на верхней челюсти).
Что делать, если ребенок родился с зубами?
Доктора предлагают два пути решения — удалить и оставить. Как выбрать между ними? Сегодня, стоматологи не могут прийти к единому мнению, и предпочитают решать в индивидуальном порядке. Все зависит от вида прорезавшегося зуба.
Если зуб неонатальный, неполноценный, то чаще его удаляют за ненадобностью и из-за риска возможных осложнений. Сложнее решить вопрос, если зуб оказался комплектным. Такие зубы не рекомендовано удалять, более того, родители и стоматологи должны сделать все, чтобы его сохранить до естественной смены.
Достигнуть этих целей можно путем спектра профилактических процедур:
- полноценная гигиена полости рта,
- насыщение зубов минеральными компонентами,
- полноценное грудное вскармливание
- профилактические посещения стоматолога.
Преждевременная потеря молочных зубов — одна их главных и наиболее распространенных причин патологий постоянного прикуса.
Правила и закономерности прорезывания
Первая закономерность: элементы улыбки появляются парно. Если прорезался один, вскоре появится его «сосед». В большинстве случаев у малышей режутся сразу по 2, а то и по 4 элемента улыбки одновременно.
Вторая закономерность: в основном первыми стоит ждать зубы нижней челюсти. Это правило не распространяется только на боковые резцы верхней челюсти – здесь им принадлежит пальма первенства.
















