Современные методы диагностики позволяют своевременно выявить опасные изменения структуры внутренних органов, способные в дальнейшем развивиться в раковую опухоль.
Одним из таких заболеваний, приводящих без должной терапии к серьезным осложнениям, является кишечная метаплазия желудка. В 100% клинических случаев она сопровождает рак желудка и атрофический гастрит, более чем в 80% — язвенное поражение желудка, около половины пациентов страдает дуоденитом. Чаще всего недуг поражает пожилых людей, но может встречаться и у больных зрелого возраста.
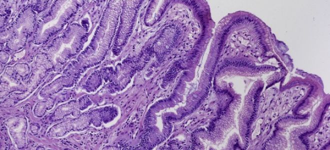
Кишечная метаплазия – что это

Чаще всего страдают люди пожилого возраста. Согласно статистике, у 80% инфицированных обнаруживают хронический гастрит, а также язвенную болезнь двенадцатипёрстной кишки.
В здоровом состоянии ткани, которые покрывают стенки желудка, постоянно обновляются. При повреждении увеличивается деление клеток, что приводит к повышенной миграции и восстановлению клеточного обновления. У больных с диагнозом «хронический гастрит» этот процесс нарушается, в результате развивается неспособность желудочных желёз к выполнению своих функций, что приводит к метаплазии.
Возможные осложнения
Неправильное лечение или его полное отсутствие может привести к развитию серьезных осложнений, среди которых развитие неоплазии и дисплазии желудка пациента, нарушение функций эпителия и атрофия желез. При поселении микроорганизмов развивается некротический очаг воспаления, носящий хронический характер. Он приводит к постепенному перерождению тканей, которые в итоге замещаются больными клетками.
Рак желудка – это онкологический процесс с поражением слизистого и более глубоких слоев этого органа
Спровоцировать ускорение развития новообразований может и присутствие других патогенных микроорганизмов, которые могут синтезировать канцерогенные вещества. Чтобы избежать серьезных осложнений патологии, нужно своевременно проводить диагностику и, соответственно, лечение.
На фото рак желудка
Каковы особенности заболевания
Существует два вида метаплазии желудка: тонкокишечная (полная) и толстокишечная (неполная). Хотя теперь такое четкое разграничение ставится под сомнение. Тонкокишечная метаплазия не относится к предраковым заболеваниям, тогда как толстокишечная считается предраком. Причина в том, что тонкокишечная метаплазия характеризуется перестройкой органа на другой тип секреции с сохранением функции метаплазированных клеток. При толстокишечной метаплазии нарушаются процессы дифференцировки клеток и процесс имеет схожесть с дисплазией. Это говорит о злокачественности.
Опасность состоит в том, что особых специфических симптомов при данном заболевании нет. Все зависит от причины, вызвавшей заболевание, и ее проявлений. При хроническом гастрите с повышенной кислотностью будут наблюдаться боли на голодный желудок, частая изжога, чувство голода по ночам. При язвенной болезни будут беспокоить боли определенной локализации в голодном состоянии с обострениями весной и осенью. Если причиной метаплазии является заброс кишечного содержимого в желудок, то проявляться это состояние будет чувством горечи во рту, болями, нередко рвотой. Если причины в забросе содержимого желудка в пищевод, то симптомами будут изжога и отрыжка кислым.
Очень часто заболевание как таковое не проявляется и таким симптомам, как изжога, отрыжка, незначительные боли, может не придаваться особого значения, что чрезвычайно опасно. В любом случае, если у человека наблюдаются такие симптомы, как отсутствие аппетита, тошнота, рвота, неприятные ощущения или боли в эпигастральной области, необходимо обратиться к врачу для обследования и постановки диагноза.
Особенности для разных частей желудка: антральный отдел, пилорическая область
Метапластические изменения могут происходить в любой части желудка, занимая только часть слизистой или всю толщу. Очаги располагаются в оболочке тела, дна или пилорической области, реже – в антральном отделе.
Желудок — это достаточно сложный орган
Важно! Патологические изменения слизистой желудка считаются предраковым состоянием, поэтому заболевание относится к категории опасных. Исследования, которые проводились многими учёными, подтвердили наличие метаплазии у 94% больных, страдающих раком желудка.
Наблюдения последних двух десятилетий подтвердили, что изменения тканей при кишечной метаплазии и раке желудка по кишечному типу (классификация по Лаурену) полностью совпадают.
Симптоматика
Выраженных признаков патология не имеет. Симптоматическая картина, как правило, напоминает другие заболевания ЖКТ. Больного могут беспокоить:
- снижение аппетита и потеря веса;
- тошнота, в некоторых случаях — рвота;
- отрыжка с кислым привкусом;
- боли в области желудка, возникающие натощак или в течение ночи;
- горечь во рту;
- изжога;
- симптомы, характерные для язвенной болезни.
Метаплазия желудка: что это за патология, причины и лечение
Метаплазия желудка — изменение строения тканей слизистой оболочки желудка. Под влиянием неблагоприятных факторов они становятся схожими с оболочками тонкого и толстого кишечника, благодаря чему нарушается основные функции пищеварительного тракта.
Это не отдельное заболевание, а очень тревожный симптом неполадок в организме. К тому же, при прогрессирующей метаплазии клетки начинают перерождаться, приводя к онкологии и летальному исходу.
К метаплазии приводят много факторов, главные из которых — регулярные погрешности питания, вредные привычки и системный прием медикаментозных препаратов. Под таким воздействием клетки слизистой оболочки желудка перестают выполнять свою функцию, развивается воспалительный процесс с дальнейшим изменением структуры оболочки.
- Тонкокишечная полная метаплазия чаще всего вызвана наличием хронического гастрита и приводит к образованию очагов изменений. Характерным признаком полной метаплазии является обнаружение в эпителии слизистой оболочки желудка ядер (клеток) Панета. Измененные ткани не только формируют стенки тонкого кишечника, но и начинают так же функционировать.
- Толстокишечная метаплазия еще более опасна. При этой патологии эпителий желудка практически полностью состоит из клеток толстого кишечника. Нарушается нормальный процесс формирования желез желудка, а также его пищеварительная функция. Это состояние является предраковой угрозой, ведь у более чем 94% пациентов с опухолями желудка процесс начинался именно так.
Развитие таких изменений происходит с разной скоростью. Считается, что к метаплазии склонны пожилые люди (особенно старше 70 лет), но зачастую такое заболевание встречается и у более молодых пациентов. Степень определяется согласно объему внедряемой ткани и площади поражения.
Имеется три вида изменений:
- Легкая метаплазия, при которой деструкция пищеварительного тракта не превышает 5%.
- Средняя степень характеризует изменения до 20%.
- Тяжелая форма, со степенью поражения свыше 25%.
ВАМ ВСЕ ЕЩЕ КАЖЕТСЯ, ЧТО ВЫЛЕЧИТЬ ЖЕЛУДОК ТЯЖЕЛО?
Судя по тому, что вы сейчас читаете эти строки — победа в борьбе с заболеваниями желудочно-кишечного тракта пока не на вашей стороне.
И вы уже думали о хирургическом вмешательстве? Оно и понятно, ведь желудок — очень важный орган, а его правильное функционирование — залог здоровья и хорошего самочувствия. Частые боли в животе, изжога, вздутие, отрыжка, тошнота, нарушение стула. Все эти симптомы знакомы вам не понаслышке.
Но возможно правильнее лечить не следствие, а причину? Рекомендуем прочитать историю Галины Савиной, как она вылечила желудок. Читать статью >>
Когда в эпителии желудка образуются клетки разнообразных органов желудочно-кишечного тракта, к примеру, толстого или тонкого кишечника, речь идет о желудочной метаплазии. Данная проблема проявляется на фоне другой патологии, когда погибают здоровые клетки, расположенные в эпителиальной оболочке. Новообразованные клетки начинают выполнять физиологичные функции кишечника, что сопровождается потерей свойств желудка.
Основные разновидности
Тонкокишечная полная метаплазия чаще всего вызвана наличием хронического гастрита и приводит к образованию очагов изменений У метаплазии также существует градация по типам изменений в тканях. Она проводится по месту локализации поражений и бывает следующих видов.
Классификация по типам поражений:
Очаговая и диффузная форма метаплазии чаще всего встречается в антральном отделе желудка.
Полная метаплазия
Для полной метаплазии характерно наличие всех клеток, свойственных тонкой кишке, которые обычно выстилают регулярные тубулярные образования. Бокаловидные клетки, как правило, не лежат сплошным слоем, а перемежаются, как и в тонкой кишке, каемчатыми абсорбтивными энтероцитами, не секретирующими слизь. Глубокие отделы ямок идентичны кишечным криптам. Они выстланы бескаемчатым базо-фильным эпителием, содержат клетки Панета. Наличие клеток Панета — наиболее важный признак полной кишечной метаплазии.
Основы питания при патологии
Как и в случае с другими заболеваниями органов пищеварительного тракта, добиться улучшения состояния и выздоровления возможно только при соблюдении рекомендованной диеты:
- из рациона исключается пища, раздражающая слизистую желудка — острые и соленые блюда, копчености, свежее молоко, дрожжевой хлеб, выпечка и мучные сладости. Различного рода кислые, консервированные и маринованные продукты также противопоказаны;
- предельно опасны алкоголь и соль!!!;
- голодать ни в коем случае нельзя — это провоцирует развитие язвы; кушайте почаще маленькими порциями, забудьте о переедании;
- от привычки наедаться на ночь тоже придется отказаться: поврежденная слизистая оболочка желудка так же, как и Вы, нуждается в отдыхе;
- блюда лучше всего готовить на пару или воде, и принимать пищу не сразу после готовности в горячем виде, а дать ей немного остыть до теплого состояния.
По поводу народных средств необходимо проконсультироваться с врачом. Устранить первопричину заболевания они, конечно, не могут, но травяные настои способны справиться с некоторыми симптомами.
Неполная метаплазия
При неполной (толстокишечной) метаплазии бокаловидные клетки расположены среди высоких призматических клеток, напоминающих колоноциты. Клетки Панета не выявляются. В эпителии выражен полиморфизм ядер, значительно увеличены ядерно-цитоплазматические отношения.
При неполной метаплазии в отличие от полной поверхностные отделы желез почти не отличаются от глубоких, что свидетельствует о нарушении созревания и дифференциации. Четко отличается неполная метаплазия от полной и по своим гистохимическим характеристикам. При неполной кишечной метаплазии обнаруживаются при специальной окраске сиаломуцины и сульфамуцины, которые отсутствуют при полной.
Наиболее часто при хронических гастритах встречается полная метаплазия, неполную находят всего у 11% больных всеми доброкачественными заболеваниями желудка. В то же время при раке желудка она наблюдается у 94% пациентов. Это позволяет причислить ее к предраковым изменениям и требует непременной дифференцированной оценки кишечных метаплазии.
Дисплазия при гастрите
Дисплазию, которую также следует рассматривать как предраковые изменения, разграничивают на две степени:
- дисплазия низкой степени характеризуется удлинением ямок, увеличением диаметра и гиперхроматозом ядер, увеличением ядерно-цитоплазматических соотношений, преобладанием диплоидных клеток;
- при дисплазии высокой степени слизистая оболочка утолщается и фокусы дисплазии могут возвышаться над поверхностью слизистой оболочки. Наблюдается клеточная атипия с анизокариозом, гиперхроматозом ядер. Среднее содержание ДНК и число клеток в фазе синтеза ДНК резко повышены. Клеточная анаплазия может быть настолько выраженной, что дифференциальная диагностика с карциномой становится очень трудной. Наиболее важным признаком тяжелой дисплазии является экспрессия р53.
А.Kaлинин и пр.
«Метаплазия при гастрите» и другие статьи из раздела
Кишечная метаплазия, её типы и риски развития доброкачественных новообразований до конца не изучены. В работе медики основываются на нарушениях клеточного обмена, которые провоцируют развитие по кишечному типу.
Причины возникновения
Несмотря на многочисленные исследования в данной области, механизм возникновения таких патологий до конца не изучен.
Считается, что первопричиной метаплазии является жизнедеятельность хеликобактер пилори, которая также вызывает некоторые виды гастрита и язвы. В некоторых случаях она не была обнаружена, поэтому утверждать прямую взаимосвязь очень трудно.
Другие причины развития метаплазии:
Кроме того, недуг может развиться при кишечной дисфункции, когда происходит заброс дуоденального и гастрального содержимого в пищевод. Уничтожается нормальная микрофлора желудка, происходят патологические процессы в верхних слоях эпителиальной ткани.
Основные симптомы
Ситуацию ухудшает то, что обычно метаплазия развивается на фоне хронического гастрита или язвы, поэтому пациенты принимают признаки за симптоматику уже имеющихся заболеваний Одна из главных угроз этого недуга заключается в практически бессимптомном течении. На ранних стадиях, когда лечение особо успешно, болезнь проявляет себя незначительным дискомфортом, на который обычно никто не обращает внимание.
Ситуацию ухудшает то, что обычно метаплазия развивается на фоне хронического гастрита или язвы, поэтому пациенты принимают признаки за симптоматику уже имеющихся заболеваний.
Основные признаки метаплазии желудка:
У большинства пациентов симптомы проявлялись нерегулярно и без большой интенсивности. Это значительно усложняет задачу диагностики, а также приводит к значительному прогрессу заболевания.
Методы диагностики
Основным исследованием, способным обнаружить или заподозрить патологические изменения эпителия желудка является эндоскопия.
Что может показать метаплазию:
При обращении к гастроэнтерологу могут быть назначены специальные обследования, а процедуру эндоскопии необходимо будет пройти несколько раз. Важное значение при дальнейшей терапии имеет обнаружение первопричины заболевания.
Стандартом диагностики считается гистологическое исследование, при котором выявляют форму заболевания. Во время процедуры изучают небольшие кусочки тканей, взятые из организма человека. Метод забора клеток или эпителия называется биопсией. Это обязательный способ подтверждения диагноза при подозрении на образование злокачественных опухолей.
Для определения степени поражения дополнительно проводится исследование желудочно-кишечного тракта с помощью эндоскопического оборудования с окрашиванием клеток. Предполагаемые патологические ткани подкрашивают специальной краской – метиленовой синью, которая абсолютно безопасна для здоровья человека. Повреждённые клетки приобретают особый окрас и становятся видны под микроскопом.
Способы диагностирования патологии
Нередко метаплазия обнаруживается случайно во время эндоскопии по поводу других заболеваний ЖКТ. Основным методом для подтверждения диагноза станет проведение ФГДС с биопсией, в процессе исследования врач-гистолог как раз определит наличие в слизистой чужеродных клеток, продуцирующих сульфамуцин.
Данный секрет активно поглощает канцерогены, впоследствии провоцирующие развитие раковой опухоли. Кроме того, в крови пациента повышается содержание раково-эмбрионального антигена (РЭА).
Чтобы определить степень распространения поражения используется метод хромоэндоскопии. Специальный краситель подкрашивает больные клетки так, что их возможно увидеть под микроскопом. Таким образом, при постановке диагноза отмечаются также тип, размеры и локализация аномальных изменений.
Хронический гастрит с очаговой метаплазией
Хронический гастрит — воспаление слизистых тканей желудка, нарушенное образование желудочных кислот повышенной, пониженной ферментации Хронический гастрит — воспаление слизистых тканей желудка, нарушенное образование желудочных кислот повышенной, пониженной ферментации. Пониженная кислотность образует самые опасные формы болезни, ведущие к отмиранию железистых клеток, зачастую приводя к злокачественному процессу, если не пройти вовремя медицинское обследование, лечение, то может привести к смертельному исходу.
Хронический гастрит считается болезнью цивилизации. Питание тяжёлой, вредной пищей, злоупотребление алкоголем, газированными напитками и другими вредными веществами — приводит к таким последствиям, как развитие различных патологий пищеварительной системы.
Рабочая классификация хронического гастрита по морфологическому признаку выделяет одну из своих патологических разновидностей – метаплазию желудка. Хронический гастрит с очаговой метаплазией – это патология, при которой клетки желудочных тканей под воздействием неблагоприятных причин имеют повреждения, на месте которых появляются клетки, аналогичные другому органу: толстому или тонкому кишечнику.
Впоследствии этими клетками выполняется своя физиологически установленная функция, прекращая функцию свойственную желудку. Эта болезнь диагностируется редко по причине специфики изменений слизистой ткани желудка.
Период обострения метаплазии способен к злокачественному перерождению.
Как диагностируют?
Чем раньше будет проведена диагностика и выявлена желудочная метаплазия, тем больше шансов на благоприятный исход. Запущенная патология опасна необратимыми последствиями, которые ухудшат пищеварительную функцию.
Вылечить метаплазию желудка возможно после постановки точного диагноза и определения ее вида. Патологическая пролиферация определяется посредством комплексного обследования. При подозрении на отклонение требуется обратиться к гастроэнтерологу, который соберет анамнез и назначит делать такие диагностические процедуры:
- биопсия слизистой желудка;
- анализ крови;
- ультразвуковое обследование органов брюшной полости;
- фиброгастродуоденоскопия.
Вернуться к оглавлению
Лечение кишечной метаплазии слизистой желудка
Пациенты с метаплазией желудка должны настраиваться на длительное лечение. Специалист подберет комплексную терапию, включающую в себя медикаментозные средства, рецепты народной медицины, диету и корректировку привычного распорядка дня.
Используются следующие категории лекарственных препаратов:
Медикаментозная терапия требует тщательного соблюдения, наблюдения за прогрессом в лечении заболевания и корректировка препаратов и доз, при неэффективности лечения.
Кардинальным решением проблемы является операция. Проводится она после полного обследования, оценки рисков и шансов на успех и состояния пациента.
Хирургическое вмешательство также рекомендуется при низкой эффективности приема медикаментов, чтобы не допустить перерождения патогенных тканей эпителия в злокачественную опухоль.
Народные средства
Огромное значение при патологиях желудочно – кишечного тракта занимает диетическое питание Вместе с тем, эффективность некоторых домашних методик признают даже специалисты, поэтому нелишним будет взять на вооружение некоторые рецепты.
Рецепты народной медицины при метаплазии:
Принимаемые средства стоит обязательно обговорить с лечащим врачом. Только специалист может одобрить и разрешить использование средств народной медицины, которые многие из нас привыкли считать совершенно безопасными.
При самолечении и игнорировании медикаментозной терапии последствия могут быть самые плачевные, вплоть до летального исхода.
Огромное значение при патологиях желудочно – кишечного тракта занимает диетическое питание. Следует раз и навсегда изменить привычный образ жизни, отказаться от вредных привычек и больше времени уделять своему здоровью.
Метаплазия не лечиться за один день, тем более, что велик риск рецидивов. Именно поэтому, стоит запомнить принципы диетического питания, которые помогут поддерживать органы ЖКТ здоровыми и снизить риск опухолей.
Основные тезисы диеты при метаплазии:
Лечение
Терапия включает медикаментозное и хирургическое лечение, диету, средства народной медицины.
Схему лечения разрабатывает врач, учитывая клиническую картину, полученные результаты диагностики, индивидуальные особенности организма больного и его возраст.
Медикаментозное лечение
Обычно врачи назначают:
- антибиотики для уничтожения патогенной микрофлоры;
- одновременно назначаются пробиотики для восстановления нормальной бактериальной флоры желудка – Линекс, Бифиформ;
- при повышенной кислотности желудочного сока – Омепразол;
- при изжоге – Фосфалюгель, Маалокс;
- для снижения секреторной активности – Ранитидин;
- гастропротекторы – для защиты слизистой от разрушения.
Профилактика
Особых мероприятий для предупреждения развития метаплазии нет. Это принципы здорового питания, отказ от вредных привычек и самолечения (в том числе и народными рецептами), а также посильные физические нагрузки.
Все эти рекомендации помогут не только избежать развития этой страшной патологии, но и значительно улучшат качество жизни. Метаплазия желудка — серьезный недуг, которые тяжело поддается лечению. К развитию заболевания приводят много факторов, некоторые из которых сложно предотвратить.
При обнаружении симптомом проблем органов ЖКТ, следует обязательно посетить врача для дальнейшего обследования. Опасность метаплазии заключается в бессимптомном начале и быстрому прогрессу до необратимых изменений.
Какими факторами может быть спровоцирован недуг, каковы основные симптомы и методы диагностики заболевания, а также подходящие виды лечения — вся интересующая информация по теме в нашей статье.
Отзывы больных
Мой отец умер в 40 лет от рака желудка, поэтому услышав от врача новость о патологических изменениях слизистой, я был просто в шоке. К счастью, медицина за это время намного продвинулась вперед, появились новые методики. После обследования ситуация немного улучшилась, так как у меня была «несложная» стадия метаплазии, поддающаяся медикаментозному лечению. Сейчас прохожу полный курс, судя по анализам прогресс положительный. В семье пришлось полностью пересмотреть все взгляды на питание, отказаться от алкоголя и бросить курить. В целом, настраиваюсь на успех, на всякий случай ищу хорошего хирурга за границей.
Практические рекомендации
Лечение метаплазии должно начинаться как можно раньше, и нужно строго соблюдать все рекомендации Лечение метаплазии должно начинаться как можно раньше, и нужно строго соблюдать все рекомендации. Необходимо наладить режим дня и бодрствование. Продолжительность сна должна составлять 7-8 часов. Немаловажным является правильное питание. Есть нужно, небольшими порциями 4-5 раз в день, избегая длительных перерывов. Стоит исключить из рациона молоко, жареное, острое, соленое. Исключаются кофе, крепко заваренные чаи, газированные напитки, алкоголь. В рационе должно присутствовать достаточное количество фруктов и овощей. Полезны разные виды каш. Последний прием пищи должен быть как минимум за 2 часа до сна. Соблюдение такой диеты крайне важно. Как и при любой другой патологии кишечника она составляет значительную часть лечения.
Главным является лечения основного заболевания. В случае хронического гастрита и обнаружения носительства бактерии Хеликобактер, необходима эрадикационная терапия с обязательным контролем излечения. Для этого используют установленные схемы терапии первой или второй линии.
При гастроэзофагеальной рефлюксной болезни используются средства для коррекции желудочной секреции:
- антацидные препараты (фосфалюгель, магнагель, маалокс);
- Н2-гистаминоблокаторы (ранитидин, циметидин, фамотидин);
- ингибиторы протонной помпы (омепрозол, рабепрозол).
Применяют прокинетики (домперидон) и репаранты (сукральфат, солкосерил). Используют и неспецифические противовоспалительные средства. Но действие их не до конца изучено.
Применяют и методы народной медицины, делают различные отвары трав. Например, отвар из ромашки, тысячелистника, календулы, корня алтея. Берется по чайной ложке каждой из трав и заливается кипятком. Настаивается в течение часа и употребляется по 20-30 мл 3-4 раза в день за полчаса до еды. Однако необходимо понимать, что методы народной медицины применяются как дополнительные и только после консультации врача.
Обычно при правильном лечении и соблюдении всех рекомендаций процесс метаплазии замедляется. Вопрос о полном излечении теперь дискутируется. Считается, что атрофия тканей желудка может полностью излечиться, а участки метаплазии полностью не излечиваются, а лишь останавливаются в развитии. Поэтому все пациенты должны постоянно проходить контроль состояния слизистой желудка.
Все те, у кого обнаружена метаплазия желудка, ставятся на диспансерный учет. Обычно наблюдение проводит врач-гастроэнтеролог по месту жительства. При отсутствии его этим занимается врач-терапевт. Раз в 1-2 года необходимо проводить диагностическую фиброэзогастродуоденоскопию для контроля заболевания и предупреждения развития рака.
https://fitsmed.ru/atrophic-hyperplastic-gastritis-with-intestinal-metaplasia-intestinal-metaplasia-of-the-stomach-is-a-common-severe-disease/
https://gastritinform.ru/yazva.bezgastritov.ru/yazva/ochagovaya-kishechnaya-metaplaziya-zheludka-vylechivaetsya-li/
Диета
Лечение не будет полным без соблюдения правильного питания. Пациентам рекомендуется:
- исключить из меню молочные продукты, а также те, которые раздражают слизистую желудка (жареные, острые, солёные);
- не употреблять алкоголь, кофе, газированные напитки;
- питание должно быть дробным, не менее 5–6 р./день;
- последний приём пищи – за 2–3 часа до сна;
- в рационе обязательно должны присутствовать свежие овощи, фрукты.
Диетологи советуют вводить в рацион разнообразные каши. Пищу рекомендуется употреблять только в теплом виде.
Слишком горячая еда действует раздражающе на слизистую желудка, а холодная долго переваривается и провоцирует выделение соляной кислоты.
Фотогалерея: продукты, которые можно употреблять
Можно есть мясо, приготовленное па пару. Оно сохраняет много полезных веществ для организма, столь необходимых в период болезни
Абсорбирующие свойства рисовой каши успешно используются для эффективного выведения токсинов и шлаков
Свежие фрукты — источник клетчатки и витаминов
Свежие овощи и овощи, приготовленные на пару, не повредят желудку и будут прекрасным дополнением к диете



