Гнойным периоститом или флюсом именуют воспалительный процесс, локализованный в области надкостницы. На десне появляется новообразование, в котором накапливается гнойный секрет. Такое состояние угрожает здоровью и даже жизни человека, поэтому при появлении ранних признаков проблемы требуется экстренное вмешательство специалистов.
Ключевой методикой терапии при флюсе десны у взрослого становится прием антибиотиков. Сегодня разработано множество эффективных препаратов.
Лечение медикаментами в домашних условиях
Существует несколько форм выпуска препаратов для облегчения симптомов заболевания такие как:
- таблетки;
- растворы для полоскания;
- мази и гели.
Такие формы препарата чаще всего назначают для широкого воздействия, поскольку таблетки принимаются перорально. Они обладают противовоспалительным и антиаллергенным свойством.
Наиболее действенными таблетками являются:
- Нимесил (Нимит) – одно из лучших обезболивающих средств, а также эффективно борется с воспалительными процессами. Продолжительность терапии зависит от формы болезни с дозировкой препарата 1 таблетка 2 раза в день;
- Диазолин – антиаллергический препарат, который воздействует на отеки и уменьшает гнойники. Принимать следует по 1 таблетке до 3 раз в день, в зависимости от состояния воспаления десен;
- Диклофенак – одно из лучших средств устраняющих сильную зубную боль. Применять можно до 2 раз в день 25-50 мл.
Растворы для полоскания
В большинстве случаев растворы и настои назначаются как профилактические меры или дополнительные меры в лечении флюса. В их составе небольшая доля этилового спирта, поэтому они являются хорошими антисептиками.

- Ротокан – травяной раствор на спиртовой основе. При наличии флюса используется для обеззараживания и снятия воспаления с десен и слизистой оболочки ротовой полости. Для использования следует растворить чайную ложку средства в стакане теплой воды и полоскать рот каждые два часа;
- Малавит – натуральный травяной препарат с добавлением серебрянных и медных частиц, благодаря чему является сильным антибактериальным средством. А также помогает снять отеки и сдерживает инфекцию, препятствуя ее распространению. Для использования нужно 10 капель препарата и стакан теплой воды, сделав раствор, следует полоскать рот до 7 раз в сутки до улучшения состояния;
- Хлоргексидин – сильный антисептик, применяемый не только в стоматологии. Способствует восстановлению тканей и обладает противовоспалительным местным действием. Для полоскания следует использовать раствор 0,5 % до 4 раз в сутки.
Мази и гели
Препараты такой формы лучше способствуют устранению воспалительных процессов и быстро восстанавливают поврежденные ткани. Некоторые также устраняют болевые ощущения.
При флюсе наиболее популярны следующие препараты:
Мазь Вишневского – используется при флюсе для воздействия на гнойные образования и снятия отечности. А также снимает боль и благодаря ксероформу входящему в состав эффективно борется с вредными бактериями. Использовать следует для профилактики возникновения инфекции после операции на гнойниках;
- Метрогил дента – гель обладает сильным местным действием – обезболивает и устраняет сильные отеки. Его следует наносить на слизистую оболочку на 30 минут, в это время нельзя употреблять пищу или пить. Действия выполнять 3 раза в сутки до уменьшения воспаления;
- Левомеколь – используется в случаях сильного нагноения, благодаря широкому антибактериальному воздействию. Применять следует 3 раза в день с помощью ватного или марлевого тампона.
Эффективность лечения
Высокоэффективного лечения флюса антибиотиками можно достичь на ранней стадии развития воспалительного процесса.
Если гнойник еще не сформировался, то прием лекарств позволит избежать хирургического вмешательства. Но при позднем обращении к доктору потребуется вскрытие флюса. После выпуска гноя и очищения раны можно начать медикаментозное лечение.
Самостоятельный прием препаратов во многих случаях неэффективен и не решает проблему. Только специалист, учитывая стадию патологии, группу бактерий, тип антибиотика и множество других факторов, может определить правильный курс лечения.
Антибиотики при флюсе
В стоматологии антибиотики являются наиболее эффективным, поскольку сдерживают воспалительный процесс и препятствуют распространению инфекции по организму.
Терапия с помощью антибиотиков предотвращает появление гнойных образований. Если же не удалось этого избежать, то их используют после оперативного срезания гнойника, они помогают ускорить процесс реабилитации.
Эффективность лечения зависит от переносимости препарата, а также степени заболевания и некоторых личностных факторов пациента.
Действенными при флюсе являются:
- Доксициклин;
- Амоксициллин;
- Амоксилав;
- Линкомицин;
- Ципролет;
- Ципрофлоксацин;
- Трихопол.
Причины появления флюса
Узнав о появлении флюса, многие недоумевают: отчего он появился, если ничего не болело? Однако появлению периостита всегда предшествует длительное нахождение в полости рта инфекционного процесса. Для появления флюса в десневой карман зуба должна каким-то образом проникнуть инфекция.
Основными причинами этой патологии являются:
- кариозное поражение зубного корня;
- занесение инфекции в зуб при лечении (чаще из-за нарушения асептики);
- некачественная пломбировка зубных каналов;
- долгое нахождение временной пломбы;
- инфекция в десневом кармане;
- механические повреждения зубов (трещина в зубе из-за травмы);
- инфекционный очаг в полости рта (ангина, тонзиллит, фурункулез и др.)
Какой препарат выбрать?
После осмотра специалист определит степень заболевания и назначит нужный препарат. Вне зависимости от формы или степени флюса лечение обязательно начинается с антибиотиков.
Прежде чем начать лечение флюса в домашних условиях антибиотиками, врач должен провести диагностику для определения возбудителя инфекции.
Если флюс был вызван стрептококами или стафиллококами, то стоматолог назначит доксициклин, цифран, линкомицин или ампиокс.
При флюсе могут быть назначен прием следующих антибиотиков:
- Ампиокс – антибиотик с широким спектром воздействия на воспалительный процесс, особенно вызванный стафилококковыми бактериями.
- Цифран – препарат сильного действия, который практически не вызывает побочных эффектов. Антибиотик можно принимать всем, за исключением пациентов с аллергией на компоненты препарата.
- Доксициклин – жидкий антибиотик, который вводят внутривенно с помощью шприца. Борется с бактериями, которые вызывают нагноения. Противопоказан для лиц младше 16 лет, для остальных пациентов курс и частоту приема обозначает врач.
- Линкомицин – эффективный препарат в борьбе с инфекцией, но имеет множество противопоказаний и побочных эффектов.
- Амоксициллин – сильный антибиотик, который оказывает широкое действие на вредные бактерии способствующие развитию флюса. Имеет противопоказания к применению для беременных, страдающих печеночной недостаточностью или лейкозом лимфы. Можно использовать для детей от 12 лет.
- Амоксилав – препарат в виде порошка и таблеток. Соединяет в себе амоксициллин и клавулоновую кислоту. Благодаря такому тандему оказывает эффективное местное влияние на воспаления и гнойники.
- Ципрофлоксацин – относится к фторхиноловой группе препаратов. Является бактерицидным антибиотиком с широким влиянием. Запрещен к применению для кормящих женщин, пациентам, не достигшим 18 лет, а также людям страдающим колитом.
Важно знать, что антибиотики являются препаратами, сильно воздействующими на организм, и имеют довольно много противопоказаний и побочных действий. Наиболее распространенным противопоказанием является непереносимость компонентов препарата.
А также их не рекомендуется принимать при беременности, лактации, возможно лишь в случаях, когда польза для матери превышает вред для ребенка. Средство запрещено для маленьких детей и людям с ослабленным иммунитетом.
Читать также: Отекла щека
Перед назначением курса антибиотиков специалист учесть особенности организма пациента и его заболевания. Если правила назначения не были соблюдены или у пациента возникло новое заболевание во время приема медикаментов, то возможно возникновение побочных эффектов.
- проблемы в роботе желудочно-кишечного тракта;
- прорывные обильные кровотечения;
- слабость мышц;
- аллергическая реакция;
- отечность;
- смена давления.
При возникновении любых побочных эффектов следует незамедлительно прекратить прием антибиотиков и обратиться за медицинской помощью.
Противопоказания
До назначения антибиотика стоматолог обязательно обследует больного на наличие (отсутствие) противопоказаний. Основным ограничением является индивидуальная непереносимость компонентов. Так же противопоказаниями являются:
- периоды вынашивания ребенка и лактации;
- гиперчувствительность;
- дети со слабым иммунитетом;
- груднички;
- патологии сердца, кровеносной системы, печени, почек;
- склонность к аллергии;
- бронхиальная астма.
Эти условия обязательно учитываются врачом для уменьшения риска нанесения вреда здоровью.
Мы подскажем что делать, если щелкает челюсть при открытии рта. А здесь можно узнать, заразен ли стоматит для окружающих.
Противовоспалительные таблетки
Противовоспалительные препараты при флюсе оказывают сильное обезболивающее действие, снимают отек и ослабляют воспаление. Некоторые из применяемых лекарственных средств способны снимать высокую температуру, которая иногда сопровождает симптомы периостита.
Таблетки от флюса с выраженным обезболивающим эффектом, активно устраняют воспаление на всех стадиях заболевания. Суточная доза препарата составляет 200 мг (по 1 таблетке 100 мг дважды в день). Длительность лечения зависит от клиники периостита и необходимости лечения зубной боли.
Лекарственное средство от флюса из группы антиаллергических препаратов. Обладает сильным противоотечным действием, снижает выработку биологически активных веществ воспаления в месте развития гнойника. Принимается диазолин в зависимости от выраженности отека тканей десны и щеки по 1 таблетке (100 мг) 1-3 раза в день до улучшения состояния.
Диклофенак
Противовоспалительный препарат, оказывающий мощное противовоспалительное действие, значительно ослабляет зубную боль. Для устранения болевого синдрома применяется по 25-50 мг 1-2 раза в день.
Формы выпуска
В аптечной сети антибиотики представлены в разных вариантах. Какой именно их них будет назначен врачом, зависит от локализации воспаления и сложности течения болезни:
- Мазь, гель – подходят для быстрого снятия болевого симптома на начальной стадии развития болезни. Наносятся на воспаленный участок с частотой не более 3-х раз в день, долго удерживаются на слизистой и не смываются слюной.
- Препараты, растворяемые в воде (таблетки, капсулы, порошки). Полученный на их основе раствор принимается внутрь или применяется для полоскания полости рта. Их кратность применения и дозировка определяются стоматологом.
- Инъекции – удобный и быстрый способ воздействия на заболевания. Вводимое внутримышечно или внутривенно лекарство, быстро приникает в кровь. Результат его действия заметен значительно раньше, чем препаратов в других формах выпуска.
Чем полоскать рот при флюсе
Растворы для полоскания на начальных этапах заболевания могут оказать противовоспалительное действие и предотвратить развитие гнойника. Если все же стоматологу пришлось вскрывать очаг нагноения, то он обязательно подскажет, чем прополоскать флюс, что бы избежать дальнейшего распространения воспаления и быстрее устранить симптомы.
Обычная питьевая сода является самым простым и надежным средством от периостита. Она быстро устранит отек, надолго облегчит боль и остановит воспалительный процесс. Для приготовления раствора для полоскания от флюса необходимо полную чайную ложку соды растворить в 200 мл остывшей прокипяченной воде. Полоскать рот каждые 2 часа до стихания острых проявлений заболевания. Затем процедуру можно повторять 4-5 раз в сутки до полного выздоровления.
Основу препарата составляет спиртовой настой лекарственных трав: календулы, ромашки аптечной и тысячелистника. Полоскание рта при флюсе раствором ротокана оказывает антисептическое действие, уменьшает болезненные проявления, снимает воспаление. 5 мл средства (1 чайная ложка) растворяют в стакане теплой воды и полощут каждые 2-3 часа до стихания боли. В стадии затихания воспалительного процесса процедуру проводят 3-4 раза в день.
В состав препарата входят натуральные экстракты лекарственных трав, ионы серебра и меди, благодаря чему Малавит обладает антибактериальным эффектом, снимает даже выраженный отек тканей, облегчает боль и предупреждает распространение инфекции. 5-10 капель лекарственного средства следует растворить в теплой, но не прокипяченной воде. Полоскать ротовую полость 5-7 раз в день до улучшения состояния. С целью закрепления противовоспалительного действия процедуру повторять трижды в день до момента полного выздоровления.
Хлоргексидин
Препарат губительно действует практически на все группы патогенных микроорганизмов. При местном применении оказывает выраженное противовоспалительное и ранозаживляющее действие. Полоскание рта при флюсе проводят 0,5% водным раствором хлоргексидина 4 раза в сутки до стихания клинических проявлений.
Благодаря входящему в состав лекарственного средства активному йоду, бетадин отлично борется с патогенными бактериями, устраняет воспаление, препятствует образованию гнойного очага и способствует скорейшему заживлению поврежденных тканей. Для приготовления раствора для полоскания полости рта чайную ложку 1% препарата растворяют в четверти стакана теплой воды и полощут 4 раза в день до облегчения симптомов.
Лечение
Флюс подлежит лечению в обязательном порядке. И чем раньше оно начнется, тем лучше. Через 6-7 дней с момента появления абсцесс может самопроизвольно вскрыться. Инфекция из гнойной полости в таком случае проникает вглубь тканей, доходит до кровеносного русла и со временем вызывает сепсис – заражение крови, которое нередко приводит к летальному исходу.
Лечение всегда включает местные и общие методы. Как хирургические, так и терапевтические. С момента обращения к стоматологу до полного выздоровления проходит не меньше недели.
Местное лечение
Первый этап лечения – вскрытие абсцесса – гнойного мешка. Выполняется независимо от того, будет ли сохранен причинный зуб или его решат удалять.
Этапы:
- Разрез десны. Сначала врач делает местную анестезию, затем рассекает десневые ткани скальпелем. Разрез, как правило, составляет не более 1-2 см в длину.
- Вычищение гнойного содержимого. Полость стерилизуют – промывают антисептическими растворами.
- Дренирование. Чтобы края раны не слиплись и не помешали оттоку гноя и сукровицы, в рану вставляют специальную полоску из резины – дренаж.
Общее лечение
Направлено на устранение причины, вызвавшей флюс. Если болезнь развилась на фоне пульпита, стоматолог высверливает пораженные кариесом твердые ткани, удаляет пульпу и очищает корневые каналы – проводит полноценное эндодонтическое лечение.
При периодонтите удаляется некротизированная пульпа (если она не была удалена ранее), стерилизуются каналы. Если они были запломбированы до этого – их пломбируют повторно. При лечении осложненных флюсом пульпита и периодонтита зуб не закрывают сразу временной пломбой, оставляя возможность гною выходить по каналам наружу.
Если причиной флюса стал зуб с искусственной коронкой или штифтом, каналы не трогают, но после снятия воспалительного процесса проводится резекция верхушки больного корня, то есть ее отсечение. При невозможности провести эндодонтическое лечение причинный зуб удаляют. Например, если коронка разрушена более, чем на 50% и ее нельзя восстановить штифтом, культевой вкладкой или коронкой. Такие зубы не представляют функциональной ценности и не подлежат сохранению.
Если болезнь возникла на фоне периодонтита, с зубом никакие операции не проводятся. Выполняется вскрытие абсцесса, а в дальнейшем – пародонтологическое лечение.
Резекция верхушки корня зуба при флюсе
Противовоспалительная терапия
Дополнительно к местному и общему лечению прописывают 5-7 сеансов физиотерапевтических процедур. Снимает воспаление:
- флюктуоризация – лечебное воздействие на ткани переменным током слабого напряжения;
- электрофорез с лидазой – с помощью тока лекарство активно распространяется по поврежденным тканям;
- ультравысокочастотная терапия – лечение электромагнитным полем;
- воздействие ультразвуком – массаж тканей на клеточном уровне, стимулирующий регенерацию;
- лазеротерапия – воздействие лазерным светом, усиливающее эффект от медикаментозной терапии.
Антибиотики
Применение антибиотиков является важным моментом в успешной терапии флюса. На ранней стадии эти лекарственные средства могут остановить распространение инфекции и предотвратить появление гнойника. На более поздних этапах, когда гнойный очаг уже сформировался, антибактериальные препараты назначаются после его вскрытия для профилактики осложнений и скорейшего выздоровления.
Антибиотики при флюсе нельзя принимать самостоятельно. Только стоматолог может дать рекомендацию, какой именно препарат следует пить и в какой дозировке. Это будет зависеть от возраста и веса пациента, его состояния и наличия лекарственной непереносимости.
Наиболее часто используемые антибактериальные средства при флюсе:
- Линкомицин
- Амоксициллин
- Ципролет
- Амоксиклав
- Доксициклин
- Ципрофлоксацин
- Трихопол
- Флемоксин солютаб
- Бисептол
- Левомицетин
Антибактериальные препараты нельзя использовать менее 5-7 дней или бросать после улучшения состояния. Это может вызвать лекарственную устойчивость у микроорганизма, вызвавшего флюс, и привести к утрате эффективности препарата при повторном возникновении заболевания.
Ключевые особенности антибактериальной терапии
Воспаление надкостницы нужно лечить с соблюдением нескольких ключевых правил:
- Антибиотики при периостите пьют через идентичные промежутки времени, это позволит создать в крови нужную концентрацию активного вещества. Чаще всего интервал между приемами составляет 8 часов, тогда принимать препарат придется по три раза в сутки.
- Какие антибиотики принимать при флюсе на десне и в каких количествах, определяет врач. Изменять предписанные дозировки запрещено. Если стали проявляться побочные эффекты, следует незамедлительно обратиться в клинику.
- Запивать лекарство рекомендовано негазированной столовой водой. Применение для этих целей других жидкостей провоцирует снижение эффективности средства.
- Продолжительность курса выбирается специалистом, но не может быть короче пяти дней.
Некоторые пациенты при исчезновении негативной симптоматики прерывают терапию досрочно, делать это категорически запрещено. Такой поступок усугубит течение болезни и приведет к развитию осложнений. Корректировать длительность терапии может только зубной врач после проведения соответствующих лабораторных исследований.
- В процессе терапии соблюдают диету. Антибиотики негативно воздействуют на органы пищеварения, поэтому перегружать ЖКТ трудноперевариваемой пищей запрещено. Вводите в меню больше овощей, ягод и фруктов. Забудьте о жареных, жирных, копченых блюдах, алкогольных напитках, сладостях, а также продуктах с содержанием консервантов и прочих химических добавок.
-
Применение антибиотиков приводит к гибели полезной микрофлоры кишечника и развитию дисбактериоза, что проявляется сбоем пищеварения, избыточным газообразованием, болью в желудке и кишечнике. Предотвратить побочные эффекты поможет применение пробиотиков и пребиотиков: Лактофильтрума, Хилака Форте, Линекса.
- Перед началом терапии вдумчиво прочитайте инструкцию, которая прилагается к препарату. Изучите все нюансы использования конкретного средства.
Мази и гели
Местное использование мазей при периостите способствует скорейшему угасанию воспалительных процессов, более быстрому заживлению поврежденных тканей, эффективному устранению болевого синдрома.
Мазь Вишневского
При флюсе мазь Вишневского способна остановить развитие гнойного процесса, быстро ликвидировать отечность тканей и облегчить зубную боль. Входящий в состав препарата ксероформ оказывает антибактериальное действие, березовый деготь усиливает кровоток в месте повреждения, а касторовое масло способствует более глубокому проникновению лечебных компонентов.
Читать также: Боль в щеке причины
Мазь Вишневского используют в начальных стадиях заболевания или после вскрытия гнойника. Препарат наносится на стерильную небольшую марлевую салфетку и прикладывается на кожу щеки в области воспаления на несколько часов.
Использовать мазь Вишневского при подозрении на наличие гнойного очага в месте периостита нельзя. Это может спровоцировать ухудшение состояния и развитие осложнений.
Метрогил дента
Препарат выпускается в форме геля, в состав которого входят антибактериальные компоненты: метронидазол и хлоргексидин. Лечебные вещества отлично проникают в очаг воспаления, быстро снимают болевые ощущения, устраняют отек тканей и предотвращают развитие гнойных осложнений. Гель обильно наносится непосредственно на слизистую десны над местом периостита. После его применения следует воздержаться от питья или приема еды минимум 30 минут. Процедуру повторяют трижды в день до стихания воспалительных реакций.
Левомеколь
В состав мази входят ингредиенты, которые обладают широким спектром антибактериальной активности и способствуют быстрой регенерации тканей. Левомеколь не теряет своих свойств при наличии гноя, поэтому является предпочтительным в случаях, когда не удалось избежать процесса нагноения. Мазь используют трижды в день. Ее наносят на стерильный марлевый или ватный тампон и прикладывают к флюсу на 2-3 часа. Если было произведено вскрытие гнойного очага, то препарат можно вводить непосредственно в образовавшуюся полость. Лечить зубной флюс Левомеколем необходимо до полного выздоровления.
Действенные антибиотики
Сегодня выпускается обширный перечень лекарств, применяемых при флюсе зуба. Они производятся в следующих формах:
- Таблетки или капсулы. Подобные препараты легко дозировать и принимать. Оболочка быстро растворяется в желудочном соке, и действующее вещество попадает в кровоток. Антибиотик в такой форме выпуска можно пить при флюсе как у взрослых, так и у детей.
- Мази и кремы. Накладываются непосредственно на область надкостницы. Такими средствами лечится только ранняя стадия болезни, они эффективно снижают болезненные ощущения, которыми сопровождается периостит, оказывают противовоспалительное действие. Мазь необходимо использовать по несколько раз в сутки.
- Растворы для инъекций. Такие антибиотики применяются в стоматологии при воспалении надкостницы в запущенной стадии. Укол ставится внутривенно или внутримышечно. Действующее вещество мгновенно попадает в кровеносную систему и достигает очага инфекции.
Отдельно можно выделить такую форму антибактериальных препаратов, как сиропы. Их применяют для терапии малышей, в стоматологии сиропы используются крайне редко.
Лучшие антибиотики в форме таблеток
Чаще всего для лечения флюса используются антибиотики в форме таблеток, они позволяют быстро вылечить заболевание. В список самых действенных препаратов входят:
- Линкомицин. Его стоматологи рекомендуют чаще, чем все остальные средства. Этот препарат признается наиболее сильным и характеризуется широким спектром действия. Линкомицин при флюсе пьют в дозировке 500 мг в сутки, капсулу запивают чистой водой. В некоторых ситуациях после применения средства отмечается появление побочных эффектов: гипертонии, приступов тошноты, головокружения. Пациентам, страдающим от тяжелых нарушений в функционировании печени и почек, Линкомицин заменяют на другой препарат.
- Ципролет. Антибиотик из группы фторхинолонов, являющийся действенным против большинства микроорганизмов, которые становятся причиной появления флюса. Бактерии не в состоянии адаптироваться к влиянию Ципролета, чем и обусловлена его эффективность.
- Ципрофлоксацин. Является прямым аналогом Ципролета. Производится в дозировках 250, 500 и 750 мг. Ципрофлоксацин нельзя использовать во время беременности, кормления малыша грудью, а также в возрасте до 18 лет. Пить эти таблетки лучше натощак.
- Амоксициллин. Разновидность полусинтетических пенициллинов. Его запрещено употреблять при индивидуальной чувствительности к веществу, а также инфекционном мононуклеозе. Дозировка Амоксициллина подбирается по индивидуальной схеме для каждого пациента. В исключительных случаях после применения Амоксициллина при флюсе проявляется крапивница, признаки конъюнктивита или насморк. В такой ситуации придется прервать терапию и подобрать другой препарат.
- Ампиокс. В состав средства входят ампициллин и оксациллин, благодаря этому оно обладает комплексным действием. Продолжительность терапии составляет около 7 дней. Иногда наблюдается проявление аллергической реакции на медикамент, в этом случае стоит заменить его на другой антибиотик.
- Бисептол. Один из самых востребованных препаратов при периостите. Его популярность обусловлена минимальным перечнем побочных действий. Бисептол не показан при флюсе во время беременности, а также при диагностировании тяжелых заболеваний печени, почек и крови. Разрешен для терапии взрослых и детей. Конкретная дозировка подбирается в соответствии с массой тела человека. В редких случаях Бисептол приводит к появлению аллергических проявлений, головным болям или приступам тошноты.
- Доксициклин. Один из самых сильных препаратов, поэтому суточная доза не превосходит 100 мг. Доксициклин запрещен к применению при вынашивании ребенка, порфирии, миастении, лейкопении, а также тяжелой печеночной недостаточности. При флюсе Доксициклин принимают один раз в сутки или делят разовую дозу на два приема.
- Цифран. Входит в группу фторхинолонов. Его применение позволяет быстро остановить распространение воспалительного процесса и устранить причину болезни. Подходит для терапии легких и тяжелых форм периостита. При флюсе Цифран надо принимать по два раза в сутки. Во время терапии рекомендовано воздержаться от посещения пляжа, так как компоненты препарата повышают чувствительность кожи. Цифран показано применять не менее двух недель.
- Азитромицин. Современный медикамент из группы макролидов. Его преимущество заключается в мягком воздействии на организм. Список противопоказаний и вероятных побочных эффектов минимален. Азитромицин разрешен к использованию во время вынашивания малыша, подходит для лечения людей с аллергией на пенициллин.
- Флемоксин Солютаб. Действующим веществом этого средства является амоксициллин. Главная особенность препарата – его быстрая всасываемость в кровь. Компоненты молниеносно переносятся к эпицентру инфекции и подавляют воспаление. Флемоксин повсеместно применяется в педиатрии.
Таблетки от флюса на десне отпускаются только при предъявлении рецепта от врача. Их бесконтрольное применение приводит к негативным последствиям.
Инъекционные препараты
Чтобы выяснить, какой антибиотик лучше назначить пациенту с флюсом зуба, врач определяет степень тяжести болезни и состояние больного. В тяжелых ситуациях рекомендовано введение лекарства внутривенно или внутримышечно, с помощью инъекций удается быстро достичь положительного результата.
Среди наиболее популярных медикаментов выделяют:
- Амоксиклав. Комплексный препарат, содержащий амоксициллин и клавулановую кислоту. Позволяет подавлять активность большинства известных патогенных микроорганизмов. Амоксиклав справляется с задачей лучше, чем цефалоспорины и пенициллины. Разрешен для детей и людей пожилого возраста. Применение Амоксиклава запрещено при тяжелых заболеваниях печени, лимфолейкозе, а также индивидуальной непереносимости действующего вещества. Амоксиклав не применяется для лечения флюса у будущих мам, так как может причинить вред малышу.
- Ампиокс. Комбинированный медикамент широко спектра действия, содержит ампициллин и оксациллин. Не воздействует на ЖКТ и имеет минимальный перечень противопоказаний.
- Ампициллин. Эффективен против стрептококка и стафилококка. Имеет среднюю биодоступность, поэтому в последнее время применяется реже. Сегодня Ампициллин заменяют более эффективные аналоги, обладающие широким спектром действия.
Антибиотики в форме инъекций, применяемые при флюсе щеки и десны, требуют правильного дозирования. Они могут спровоцировать мышечную слабость, нарушения в работе ЖКТ, головные боли и некоторые другие побочные эффекты.
Антибактериальные мази
Флюс на десне можно лечить с помощью антибиотиков в форме мазей и гелей. Лучшие препараты:
- Левомеколь. Позволяет быстро остановить рост бактерий и восстановить поврежденные клетки. Применяется при поражении десен и щеки. Мазь вводят в полость гнойника после его вскрытия и оставляют на некоторое время.
- Мазь Вишневского. Подавляет активность бактерий и оказывает противовоспалительное действие. В состав мази входит природный антибиотик – ксероформ. Этот препарат можно использовать только на первоначальных стадиях развития болезни – до того, как образовался гнойник. Состав намазывают на марлевую салфетку и прикладывают к щеке в области воспаления.
- Метрогил Дента. Производится в форме геля. В состав препарата включены хлоргексидин и метронидазол. Медикамент быстро избавляет от отечности и болевых ощущений в области воспаленных тканей, предотвращает образование гнойника.
В стоматологии антибиотики в форме мазей применяются при флюсе только в качестве вспомогательного лекарства. Их использование принято сочетать с таблетированными препаратами, что в несколько раз повышает эффективность лечения.
Принимать антибиотики при флюсе зуба можно только после консультации с врачом. Самолечение чревато непоправимыми последствиями, поэтому при появлении первых признаков проблемы, незамедлительно обратитесь в поликлинику.
Компрессы и примочки
Компрессы и примочки оказывают обезболивающее действие, ограничивают распространение воспалительного процесса, губительно влияют на болезнетворные микроорганизмы.
Компрессы с димексидом
Димексид при местном нанесении отлично проникает в воспалительный очаг, угнетает жизнедеятельность микробов и повышает их чувствительность к антибиотикам. Так же он способен устранять болевые ощущения. Для компресса при флюсе димексид разводится теплой водой до концентрации раствора 20-30% (на 20 мл препарата 80 мл жидкости), после чего им смачивается стерильная салфетка из нескольких слоев марли. Компресс накладывается на щеку в области поражения. Длительность процедуры 1-2 часа. Повторять дважды в день до устранения боли и признаков воспаления.
Перед первым использованием димексида необходимо провести тест на аллергическую реакцию на тыльной стороне локтевого сгиба.
Примочки с содой
Для лечения флюса чайную ложку пищевой соды завернуть в несколько слоев марли и поместить между щекой и десной на несколько часов. Это уменьшит отек и снимет зубную боль. Повторять примочку необходимо 2-3 раза в сутки.
Компресс с солью
Соль при флюсе обладает противовоспалительным действием, быстро облегчает боль и ослабляет воспаление. Для приготовления компресса 2-3 чайные ложки соли растворяют в 100 мл теплой воды. Раствором смачивают марлевый или ватный тампон и закладывают между больной десной и щекой. Каждые 2 часа компресс менять на новый до стихания острых симптомов.
Лучше использовать морскую соль, которая благодаря наличию йодистых компонентов способствует еще более лучшему снятию воспаления.
Вылечить флюс самостоятельно без участия стоматолога невозможно. Самолечение может быть не только не эффективным, но и опасным. Дома можно проводить только те терапевтические процедуры, которые были порекомендованы специалистом.
Побочные действия
Проявление побочных явлений при использовании антибиотиков всегда зависит от особенностей самого организма и вида препарата. Наиболее часто проявляются:
- Расстройство пищеварительной системы: возникает после принятия лекарства. Его признаками являются: тошнота, переходящая в рвоту, метеоризм, жидкий стул, эзофагит.
- Дисбактериоз: симптоматика появляется не сразу, обычно через 2-3 дня с начала лечения или после его завершения. Симптомы: запор или жидкий стул, вздутие живота.
- Аллергия: чаще появляется на 2-ой день с начала терапии. Ее признаками являются: крапивница, покраснение, отек, зуд. В некоторых случаях она принимает тяжелую форму и становится угрозой для жизни больного.
- Токсическая реакция, проявляющаяся жаждой, болью в области поясницы, температурой, желтушностью кожи, головной болью и головокружением.
Важно: все перечисленные побочные явления проявляются только при неправильном подборе лекарства. В случае появления одного или нескольких симптомов, лечение следует прекратить и обратиться за помощью к врачу.
Антибиотик при флюсе зуба у взрослого
Главный врач, Cтоматолог-ортопед
Статья проверена доктором
Использование антибиотиков – это самый быстрый и эффективный способ борьбы с гнойными процессами, в том числе и при флюсе. Несмотря на доказанную эффективность, лечение заболевания при использовании антибактериальных препаратов следует проводить с максимальной осторожностью, подтвердив диагноз и точно соблюдая дозировку. Антибиотики при флюсе могут быть назначены уже на начальном этапе формирования воспаления, так как это позволит избежать перехода патологии в стадию гнойного скопления.
Антибиотик при флюсе зуба у взрослого
Когда требуется прием антибиотиков
Терапия периостита должна начинаться как можно раньше, поскольку существует большая вероятность распространения гноя в ткани лица, шеи и грудной клетки. Результатом этого процесса станет летальный исход. Универсальной методикой лечения взрослого человека от периостита является применение антибактериальных медикаментов. Они используются и на первоначальных фазах болезни, и после хирургического удаления гнойника.
Флюс на десне
Какие антибиотики предпочтительнее пить при флюсе зуба тому или иному взрослому человеку, зависит от состояния его здоровья и фазы развития болезни. Немаловажную роль играет и состояние иммунной системы пациента. Прием антибиотиков становится целесообразным в следующих случаях:
- Если запуск воспалительного процесса спровоцирован попаданием в организм стрептококковых или стафилококковых бактерий.
- При наличии гнойных образований.
- При терапии после хирургического вмешательства.
- Для предотвращения осложнений.
Применение назначенного врачом препарата на начальной стадии формирования периостита позволяет избежать формирования гнойника и быстро снять воспаление. Самолечение в такой ситуации опасно и приводит к развитию серьезных осложнений.
Самые популярные антибиотики при флюсе
Доксициклин
Лекарственный препарат относится к полусинтетическим антибиотикам. Позволяет подавить большинство инфекций, развивающихся в ротовой полости. В первые сутки рекомендуется принимать 0,2 г Доксициклина за один раз. После этого с учетом степени выраженности симптомов заболевания требуется принимать по 100 мг лекарственного средства 1-2 раза в сутки. Продолжительность терапии подбирается с учетом состояния пациента.
Медикамент выпускается в форме капсул, в состав которых входят ампициллин и оксациллин. С учетом выраженности флюса у больных требуется принимать 2-4 г Ампиокса, при этом суточная доза может быть разделена на 4-6 использований. Принимать препарат требуется до основного приема пищи, желательно соблюдать часовой интервал. Рекомендованный курс лечения составляет от одной до двух недель.
Препарат Цифран подавляет большое количество бактерий, которые могут приводить к развитию гнойного воспалительного процесса
Медикамент сильного противомикробного воздействия, подавляет большое количество бактерий, которые могут приводить к развитию гнойного воспалительного процесса. Принимается Цифран строго на голодный желудок, при этом строго запрещено принимать лекарственное средство в одно время с молочными продуктами. Допускается пить Цифран без учета пищи, если плохо переносится использование антибиотика натощак. Дозировка противомикробного средства в таком случае составляет 0,5-0,75 г, принимается Цифран в такой дозе 2 раза в день. Терапия может продолжаться до двух недель.
Амоксиклав
Выпускается в форме таблеток. Обычно при наличии проблем с тканями ротовой полости требуется принимать по 375 мг действующего компонента через каждые восемь часов. Если флюс перешел в острую стадию или имеет несколько локализаций, больному может быть назначена дозировка в 625 мг действующего компонента также трижды в день. Продолжительность лечения может составить 5-14 дней.
Внимание! Самостоятельно корректировать дозы лекарственного средства не стоит. Если нет возможности обратиться к стоматологу, лучше принимать минимально разрешенные дозы антибактериальных препаратов.
Препараты для детей
Выбор антибиотика для лечения флюса у ребенка – очень ответственная задача. Это связано с тем, что многие препараты вредны для растущего организма.
Как лечить флюс щеки у ребенка антибиотиками? Перечислим препараты, которые чаще всего назначают детям. Их также могут принимать и взрослые пациенты.
Линкомицин
Состав
Линкомицин в форме моногидрата гидрохлорида.
Действие
Относится к группе линкозамидов. Механизм действия основан на замедлении синтеза белков в микроорганизмах. Это оказывает бактериостатический эффект в малых дозах, а бактерицидный в случае повышения доз.
Противопоказания
Тяжелые болезни печени, индивидуальная непереносимость.
Рекомендации по приему
Для детей от одного месяца: от 30 до 60 мг на килограмм веса в день, количество – от 4 до 6 раз. Для взрослых: 3 или 4 раза по 500 мг.
Стоимость
Упаковка (20 капсул) стоит около 110–125 рублей.
Ампиокс
Состав
Выпускается в капсулах. Сочетает два основных действующих компонента – ампицилин (тригидрат ампицилина) и оксацилин (натриевая соль оксацилина) по 125 мг каждого.
Действие
Противомикробное действие распространяется на большое количество грамотрицательных, а также грамположительных микроорганизмов.
Благодаря оксацилину лекарство также активно в отношении пеницилинозообразующих бактерий. Препарат препятствует образованию пептидных связей, это приводит к лизису делящихся бактерий.
Противопоказания
Аллергические реакции на любые компоненты лекарства.
Рекомендации по приему.
Взрослым: разово можно пить от 0,5 до 1 г, в сутки – от 2 до 4 г. Детям от трехлетнего возраста: от 50 до 100 г на килограмм веса за день. Новорожденным, а также малышам младше трех лет практикуется парентеральное введение препарата.
Стоимость
Упаковка продается за 70–80 рублей.
Доксициклин
Состав
Основной действующий элемент – гидрохлорид доксициклина.
Действие
Принято относить к группе тетрациклиновых антибиотиков. Агрессивен по отношению к аэробным коккам (грамположительным и – отрицательным), спорообразующим бактериям. Действие оказывается бактериостатическое, оно основано на угнетении белкового синтеза.
Противопоказания
Беременность, болезни почек, а также печени, индивидуальная непереносимость, дети до 8 лет.
Рекомендации по приему
Может назначаться с восьмилетнего возраста. Детям до 12 лет дозу определяет только специалист. Начиная с 12 лет – до 300 мг в день, разбивая на несколько приемов.
Стоимость
Упаковка (20 капсул по 100 мг) стоит около 25–30 рублей.
Антибактериальные мази при флюсе
Линкомициновая мазь
Линкомициновая мазь очень хорошо помогает при инфекции мягких тканей
Читать также: Воспаление щеки с внутренней стороны
Очень хорошо помогает при инфекции мягких тканей, в том числе в ротовой полости. Это обуславливает популярность использования препарата в стоматологической практике. Использовать Линкомицин требуется после полоскания ротовой полости. Для этого на пораженный участок наносится небольшое количество мази размером с горошину. Количество втираний зависит от степени тяжести состояния больного и может составить 2-3 раза. Лечение продолжается индивидуально подобранное время.
Метрогил Дента
Гель Метрогил Дента
Используется строго в стоматологической практике. Для снятия боли и признаков воспалительного и гнойного воспаления потребуется наносить Метрогил Дента на ткани десны два раза в сутки. Обязательно это делать строго стерильными палочками или марлей. Использование этой антибактериальной мази может продолжаться до 10 суток.
Левомеколь
Мазь Левомеколь отличается хорошим антибактериальным составом
Отличается хорошим антибактериальным составом, благодаря чему быстро сходит воспалительный процесс и заживляются ткани. Быстро помогает при образовании гноя. Наносить Левомеколь следует три раза в день. Применяют мазь особым образом:
- сначала потребуется прополоскать ротовую полость, чтобы освободить ее остатков пищи;
- желательно также почистить зубы, это также снизит количество вредных организмов на слизистой и эмали под пораженной десной;
- после этого требуется взять строго стерильный бинт, на который наносится маленькая горошина Левомеколя;
- компресс прикладывают к больному месту на три часа;
- если же флюс вскрыли, разрешается вводить медикамент прямо в пораженную полость;
- мазь можно применять до полного выздоровления больного.
Внимание! При использовании Левомеколя важно следить за чистотой и гигиеной ротовой полости, так как под компрессом скапливается большое количество бактерий. Если их не убрать, воспаление может усиливаться.
Мазь Офломелид подавляет деятельность болезнетворной микрофлоры
Также относится к антибактериальным мазям, которые могут подавлять деятельность болезнетворной микрофлоры. Используют Офломелид только один раз в день, независимо от выраженности гнойного воспаления. Продолжительность использования антибактериального средства зависит от скорости выхода гноя и реакции пациента на проводимое лечение.
Внимание! Мази могут применяться в одно время с пероральными антибиотиками. Но такая комбинация может подбираться только стоматологом.
Назначение
Припухшая щека, высокая температура, потеря аппетита – симптомы, свидетельствующие о начале в организме воспалительного процесса, вызванного флюсом. Для его остановки и устранения врачом назначаются антибиотики.
Эти препараты назначаются врачом в случаях, когда:
- воспаление было спровоцировано проникновением инфекций;
- сопровождается осложнениями;
- инфицированы соседние мягкие ткани;
- необходимо устранить гной.
На принятие решения о необходимости назначения пациенту антибиотиков влияют проявление симптоматики заболевания и степень его развития:
- При обращении больного за помощью при первых признаках болезни, ему назначается антибиотик общего спектра действия. Его основной задачей является предотвращение перехода инфекции на близлежащие ткани.
- Если обращение было поздним, и в тканях скопился гной, назначаются более сильные препараты комбинированного воздействия.
- Назначаются лекарства и в послеоперационный период, когда была вскрыта десна и удален гной. Они необходимы для предупреждения ухудшения состояния больного и проникновения бактерий в открытую ранку.
Важно: самостоятельно назначать себе антибиотики нельзя. Курс лечения и вид медикамента определяет врач, исходя из возраста больного, сопутствующих патологий и стадии периостита.
Инъекции при флюсе у взрослых
Медикамент требуется вводить внутривенным способом капельным методом. Предварительно его разводят в одном из специальных медицинских растворов, среди которых могут быть натрий хлорид, раствор декстрозы и Рингера. Обычно разовая доза препарата при гнойной инфекции составляет 200 мг активного вещества, при очень тяжелом состоянии слизистой может использоваться доза в 400 мг Ципролета. Вводят медикамент два раза в сутки. Лечение можно продолжать 1-2 недели.
Бисептол 480
Препарат Бисептол 480 в ампулах
Медикамент представляет собой концентрат для приготовления раствора для внутривенного вливания. Разводят Бисептол 480 строго перед проведением процедуры, предварительно одну ампулу растворив в 125 мл раствора для инфузий. Обычно больному вводят не более одной ампулы лекарственного препарата. Кратность суточных использований следует уточнять отдельно для каждого пациента. Терапия продолжается одну неделю.
Ципрофлоксацин
Медикамент представляет собой раствор для внутривенного использования, вводят капельно. Вводят Ципрофлоксацин в дозе 200 мг или 400 мг, доза зависит строго от состояния здоровья пациента. При этом при назначении минимальной дозы капать препарат требуется в течение 30 минут, при максимальной дозе – не менее одного часа. При более быстрых вливаниях велик риск развития побочных эффектов и анафилактического шока. Терапия может продолжаться на протяжении двух недель, при легкой степени флюса можно применять Ципрофлоксацин на протяжении одной недели.
Внимание! Лекарственный препарат в форме инъекции быстрее всего воздействует на очаг заболевания. Но при этом стоит понимать, что лучше использовать уколы только при средней и острой стадии гнойного процесса.
Видео — Флюс зуба
Коротко о флюсе
Под словом «флюс» стоматологи подразумевают гнойный периостит (воспаление надкостницы зуба).
Эта осложненная форма кариозного поражения является сигналом о невнимательности пациента к своему здоровью и постоянному откладыванию похода к стоматологу.
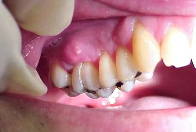
При флюсе десна обязательно напухшая, покрасневшая и очень болезненная, с опухолью ярко-красного цвета мешковатой формы.
Флюс во рту говорит о том, что экссудат из гнойного зуба попал в пульпу (соединительную ткань в зубной полости, богатую сосудами и нервными волокнами) и в ткань надкостницы.
Нередко при периостите имеется боль, отдающая в ухо или глаз. Гной при флюсе скапливается под надкостницей, вызывая раздражение нервных рецепторов.
часто отек тканей придает лицу ассиметричную форму (опухает щека). И то, что особой боли флюс не доставляет, не должно расслаблять или радовать пациента.
При прогрессировании заболевания может подниматься температура, появляться бессонница, исчезать аппетит. При этом начинают беспокоить и рядом расположенные челюстные лимфоузлы.
Если пациент не начинает в срочном порядке лечить периостит, гной продолжает накапливаться в десне, что крайне опасно и без нужного лечения может привести к непоправимым последствиям.
Не излеченный вовремя флюс может трансформироваться в особо опасные для жизни и здоровья пациента заболевания – гнойный абсцесс или флегмону.
Поэтому затягивать с обращением к врачу или обходиться домашними способами лечения при флюсе легкомысленно и опасно.
Лечение при флюсе всегда комплексное и длительное, с обязательной санацией очага воспаления (вскрытием абсцесса, удалением зуба, установкой дренажа, местным введением препаратов в полость зуба и др.), применением противовоспалительных лекарств и полосканий.
Правильно подобранный антибиотик при флюсе является обязательным препаратом, способным максимально эффективно провести комплексное лечение и избежать рецидива этого недуга.
Другие антибиотики против флюса
Главным действующим компонентом препарата является вещество метронидазол. Он может быстро уничтожить болезнетворную микрофлору и снять воспалительный процесс. При болезнях ротовой полости больным следует принимать 250 мг основного компонента три раза за час до основного приема пищи. Терапия продолжается в течение трех суток. При осложненном течении флюса у пациента требуется пить 0,25 мг Трихопола также три раза в сутки, но в течение одной недели.
Лекарственный антибактериальный препарат, который имеет натуральный состав. Это позволяет минимизировать побочные эффекты, но при этом провести быстрое лечение. Для достижения необходимого терапевтического эффекта рекомендуется принимать по 500 мг трижды в сутки. Терапия может продолжаться с учетом выраженности симптомов до 14 суток.
Бисептол таблетки
Принимать этот медикамент требуется в строго индивидуально подобранных дозировках. Лечение флюса может продолжаться в течение 5-14 суток. При этом пациентам обычно назначают 960 мг активного вещества два раза в сутки. В некоторых случаях при использовании Бисептола рекомендуется принимать фолиевую кислоту.
Антибактериальный лекарственный препарат Юнидокс широкого спектра действия
Антибактериальный лекарственный препарат широкого спектра действия. В первые сутки при наличии гнойно-воспалительного процесса в ротовой полости требуется принять 200 мг действующего компонента. Сделать это можно в один или два приема. В последующие сутки терапии с учетом тяжести протекания патологии может приниматься 1-2 таблетки Юнидокса. Терапия может продолжаться до двух недель.
Внимание! Эти антибактериальные средства назначаются реже, чем перечисленные выше. Но при этом они оказываются такими же эффективными и могут показывать быстрый результат в лечении флюса.
Принцип действия антибиотиков
Антибиотики от зубного флюса губительны для патогенной микрофлоры, которая выступает в роли ключевой причины болезни. Большинство медикаментов характеризуется широким спектром действия. Они эффективны не только в борьбе с грамположительными кокками и стафилококками, но и против других болезнетворных микроорганизмов.
Антибактериальные препараты убивают бактерии, в итоге прекращается выработка отравляющих продуктов жизнедеятельности патогенной микрофлоры. В результате снимаются симптомы периостита: снижается температура тела, устраняются болевые ощущения, уменьшается размер новообразования.
Через некоторый интервал времени лекарство выводится из организма традиционным путем. Химические вещества адсорбируются в ЖКТ и выходят вместе с калом и мочой. Чтобы этот процесс протекал проще, специалисты советуют пить препараты перед едой.
Как лечить ребенка ↑
Периостит у ребенка — это повод для немедленного визита к врачу. Флюс может вызвать тяжелые осложнения, вплоть до поражения оболочек мозга.
Фото: Флюс у ребенка
Так же, как и у взрослых, при детском периостите большое значение имеет то, появился ли гнойник. При его отсутствии лечение состоит только в приеме антибиотиков и обезболивающих препаратов. На поздней же стадии сначала предстоит сделать надрез, чтобы выпустить гной.
К выбору препарата для маленького пациента необходимо относится очень ответственно. Некоторые препараты запрещено использовать до окончания роста костей, в противном случае это может привести к серьезным осложнениям.
Поэтому правильно назначить антибиотики ребенку может только врач. Детям, в зависимости от возраста, может быть назначены такие антибиотики, как Амоксициллин, Ампиокс, Линкомицин, Доксициклин.
Узнайте, как быстро отбелить зубы в домашних условиях. Сколько стоит поставить коронку на зуб? Ответ в этой статье.
Ищете фото молочницы у детей во рту? Смотрите здесь.
Профилактика
Рекомендуется:
- если появилась зубная боль, отек десен и лица — надо срочно идти на прием к стоматологу, необходимо вовремя лечить все больные зубы;
- флюс опасен осложнениями, поэтому нельзя заниматься самолечением;
- посещать стоматолога для профилактических осмотров регулярно дважды в год;
- необходимо своевременно удалять зубной камень;
- чистить зубы необходимо два раза в сутки;
- необходимо рационально питаться, употреблять большое количество овощей и фруктов;
- пользуйтесь щеткой средней жесткости;
- зубная паста должна быть фторсодержащей.
Побочные эффекты
Антибактериальные средства могут отлично лечить флюс, но не стоит забывать и об обратном воздействии лекарств – побочных эффектах. Даже антибиотики последнего поколения не лишены многих побочек, хотя и стали относиться к организму человека более лояльно. Среди побочных эффектов встречаются:
- аллергия в виде крапивницы, сыпи;
- молочница;
- уменьшение количества эритроцитов в крови;
- токсическое воздействие на печень и почки.
Чтобы избежать всех этих последствий, необходимо правильно принимать антибиотики и только те, которые назначил доктор. Часто при флюсе пациенты используют известный домашний рецепт – соду и соль.
Содово-солевой раствор – это хорошее средство при воспалении мягких тканей ротовой полости, но не стоит полнотью полагаться на него. Такой раствор можно использовать как дополнительный метод терапии, вспомогательный к антибактериальному лечению. Основой консервативного лечения должны стать лекарства, назначенные доктором.
Лечебные мероприятия по устранению периостита
Все лечение флюса подразумевает медикаментозное, хирургическое и в определенных случаях физиотерапевтическое воздействие. Все мероприятия проводятся в комплексе.
Схема формирования периостита челюсти
Медикаментозное и физиотерапевтическое лечение направленно на подавление развития микроорганизмов в очаге воспаления и восстановления поврежденных тканей. Хирургическое воздействие помогает осуществить отток гноя и уменьшить отечность.
Что делать при наличии нарыва на десне? В первую очередь необходимо обратиться к врачу. Скорейшее посещение стоматолога поможет избежать более серьезных осложнений. Не леченый периостит способен быстро перейти в остеомиелит челюсти с образованием некроза и секвестрации. Это чревато возникновением сепсиса или заражением крови. Последствия флюса без надобного лечения способны привести к инвалидности и тяжелым увечьям лицевых костей.
Хирургическое вмешательство
Разрез десны при вскрытии флюса
Первое что необходимо сделать врачу, это удалить причинный зуб и провести периостотомию. Таким образом, будет обеспечен достаточный отток экссудат из раны. Отрытая лунка удаленного зуба будет способствовать также хорошей обработки ее антисептическими растворами.
Флюс после разреза десны сразу идет на убыль. Гной, который формировался в очаге воспаления, легко выходит и не имеет возможности накапливаться как раньше. Чтобы рана была дольше открытой, ставят дренаж. Он представляет собой обычную тонкую полоску из латекса. Все оперативные процедуры проводятся под местной анестезией.
При возникновении признаков периостита, место поражения нельзя не греть, не охлаждать. Тоже самое недопустимо сразу после проведения операции периостотомии. Пациенты часто спрашивают можно ли не удалять зуб? Такое допускается, если процесс только в начальной стадии, но рассечение слизистой в области верхушки корня причинного зуба, проводиться обязательно. Тогда как лечить флюс в этом случае? Весь упор делается на применение лекарственных веществ.
Особенности применения
Для эффективности применения антибактериальных препаратов врач должен подобрать индивидуальную дозировку, длительность курса и частоту приема. При этом нужно исключить противопоказания и непереносимость отдельных средств. При выборе учитываются возраст, вес, иммунный статус, наличие иных стоматологических заболеваний.
Цифран
Препарат Цифран содержит в составе ципрофлоксацин. Он препятствует распространению бактерий и оказывает хороший антимикробный эффект. Выпускается в таблетках по 250, 500, 1000 мг.
Особенности:
- продолжительное действие;
- отсутствие привыкания;
- высокая эффективность в лечении периостита.
Ампиокс
Лекарство Ампиокс входит в группу пенициллинов, содержит оксациллин и ампициллин. Оказывает воздействие на большинство патогенных микроорганизмов, производит бактерицидный эффект. Продается в капсулах по 250 мг.
Особенности:
- помогает при средних и тяжелых инфекциях;
- разрешен детям и при беременности;
- есть риск побочных эффектов — тошноты, диареи, рвоты, аллергии.
Доксициклин
Средство Доксициклин относится к тетрациклиновым антибиотикам. Обладает широким спектром действия. Оказывает бактериостатическое влияние на патогенные организмы. Продается в капсулах по 100 мг.
Особенности:
- длительное действие;
- не оказывает негативного влияния на кишечник;
- нельзя применять при беременности и до 8 лет.
Амоксиклав
Антибиотик Амоксиклав включает в состав клавулановую кислоту и амоксициллин. Обладает широким спектром действия. Быстро распространяется по тканям всего организма. Можно приобрести в таблетках по 1000 мг.
Особенности:
- разрешен для детей;
- быстро улучшает общее состояние;
- не применяется при беременности и грудном кормлении;
- может вызвать расстройства ЖКТ (желудочно-кишечного тракта), аллергию.
Линкомицин
Капсулы Линкомицин относятся к линкозамидам, это препарат с бактериостатическим и бактерицидным действием. Широко применяется в лечении стоматологических болезней. Продается в капсулах по 250 мг.
Особенности:
- быстрое действие;
- устранение неприятной симптоматики — обезболивание, снятие воспаления;
- противопоказан при беременности, болезнях почек и печени.
Амоксициллин
Лекарство Амоксициллин относится к пенициллинам. В составе имеется одноименное действующее вещество. Справляется с грамположительными и грамотрицательными бактериями. Выпускается в таблетках по 500 мг.
Особенности:
- быстро всасывается, не нарушая желудочную среду;
- можно принимать в любое время, независимо от еды;
- много побочных действий.
Что такое флюс: краткие сведения
Флюсом называется гнойный периостит, при котором инфекция поражает надкостницу зуба. По сути, флюс – закономерный результат невылеченного кариеса, ведь чем дальше больной откладывает визит в клинику, тем больше инфекция поражает мягкие ткани и проникает вглубь.
Помимо этого, флюс возникает по причинам:
- проникновения патогенных микроорганизмов в поддесенный карман;
- неправильного пломбирования коронки;
- инфекции в ротовой полости – тонзиллита, стоматита и т.д.;
- долгого нахождения в зубе временной пломбы;
- травмы коронки;
- занесения микробов в процессе лечения.
Типичный симптом флюса – припухшие ткани вокруг зуба, болезненность со стороны поражения. Внешне очень заметно, как десна наливается, отекает и приобретает багровый оттенок. Именно такие признаки поражения возникают при заражении надкостницы и пульпы.
При обширном повреждении и стремительно развивающемся патологическом процессе болезненность появляется не только локально, в месте поражения, но может ощущаться в ухе, отдавать в глаза. Гной, скопившийся в надкостнице, повреждает нервы, отвечающие за передачу импульсов, поэтому и возникают неприятные иррадирующие симптомы.
Другой типичный признак флюса – припухлость щеки. Больных легко узнают по асимметричному лицу, а симптоматика скоро дополняется и воспалением подчелюстных лимфоузлов. При прогрессировании флюса у больного повышается температура, пропадает аппетит и появляется бессонница.
Если вовремя не начать лечить флюс, болезнь грозит остеомиелитом (размягчением костной ткани), флегмоной (нагноением мягких тканей) или абсцессом (образованием ограниченного гнойника). Затягивать с визитом к доктору с обширным нагноением нельзя, а вот незначительная патология вполне лечится антибиотиками при флюсе.
Инъекции
Инъекции при флюсе необходимы, если заболевание приобрело тяжёлое течение. В этом случае назначаются антибиотики широкого спектра действия в вену или в мышцу, дозировку определяет врач.
Амоксиклав
Амоксиклав в виде раствора для инъекций – это сочетание амоксициллина и клавулоновой кислоты. Препарат выпускается в виде порошка для приготовления раствора для инъекций.
Раствор вводится внутривенно каждые 6 часов в условиях процедурного кабинета. Иногда для проведения полноценного курса лечения требуется госпитализация.
Ампиокс
Ампиокс представляет собой комбинацию двух препаратов – ампициллина и оксациллина. Это полусинтетические аналоги пенициллина, эффективны в отношении грамположительной флоры.
Препарат вводится в мышцу или в вену, используется для предотвращения инфекций и для предупреждения одонтогенного сепсиса.
Цифран
Цифран является одним из препаратов ципрофлоксацина. Применяется для внутривенных инъекций при тяжёлом течении флюса с большим риском распространения инфекции.
Причины возникновения флюса
- заболевания зубов и/или десен;
- удаление зуба;
- затянувшееся и осложненное прорезывание «восьмерки»;
- повреждения слизистой оболочки;
- травмы или переломы лицевых, челюстных костей.
Отзывы
Алина, 23 года, Омск: Два месяца назад у меня был флюс, пол-лица разнесло страшно. Я затянула с обращением к врачу, пришла только, когда стало совсем плохо. Мне кололи Цифран, прописали попить таблетки. Полегчало через 3 дня, а после курса всё хорошо зажило.
Александр, 29 лет, Кемерово: Когда у меня случился флюс, мне кололи амоксиклав. А у меня аллергия на пенициллин, я не знал, что она и на этот препарат тоже есть. Еле помогли и откачали меня, препарат поменяли – кажется, на линкомицин.
Что рекомендуют стоматологи
Основная рекомендация врачей заключается в том, чтобы не затягивать с визитом к стоматологу. Своевременно выявленный кариес или воспаление десен позволит избежать периостита и его осложнений.
Обращение к стоматологу
Если же заболевание уже проявило себя, то лечить его самостоятельно категорически запрещено. В лучшем случае лишь удастся приглушить первые симптомы. Для скорейшего выздоровления и исключения рецидива следует четко придерживаться предписаний лечащего врача по приему антибиотиков и противовоспалительных препаратов.
Видео: Как возникает флюс зуба
Оцените статью:
флюс
Консультирующий специалист
Намдаков Николай Владимирович
Рейтинг врача: 8.1 из 10 (9) Специализация: Хирург-имплантолог, ортопед Стаж: 15 лет
Симптоматика периостита
Если распухла десна, то это не обязательно флюс. Припухлость наблюдается и при гипертрофическом гингивите. А вот заболевания пародонта способны сами по себе вызвать периостит. Особенно это касается пародонтита. При этом заболевании формируются десневые карманы с гнойным содержимым. Разрушение кости пародонта способствует проникновению инфекции на надкостницу челюсти.
Заболевания пародонта, способствующие формированию флюса
Опухоль десны формируется достаточно быстро. Буквально за сутки появляется резкая зубная боль. Даже самые сильные обезболивающие средства ее не снимают. Прикосновение или надавливание на зуб только усиливают болевую реакцию. Появление отека десны говорит о накоплении в ней серозного или гнойного экссудата. Если причинный зуб расположен на нижней челюсти, то наблюдается заметная асимметрия лица снаружи, на верхней челюсти наблюдается отек под глазным яблоком.
Страдает общее самочувствие. Повышается температура тела до 38-39 градусов. Наиболее выражены симптомы у людей среднего возраста, из-за особенностей строения челюстно-лицевой области. Иногда наблюдается флюс после удаления зуба. Причина тому занос инфекции извне или разрушенного зуба при удалении. По неопытности врача, из-за сложной операции в лунке удаленного зуба могут остаться частички отломленного корня. Они то и являются основной причиной воспаления в этом случае.
Флюс у ребенка
Бурная клиническая картина характерна для острого течения периостита. При хронической форме симптомы не выражены, и она может длиться долго. В случае обострения симптомы усиливаются и напоминают острое течение.
Мази с антибактериальным эффектом
Кроме общих средств, позволяющих бороться с очагами инфекции, используются местные лекарственные формы, которые устраняют возбудителя непосредственно в области поражения. Наносить их нужно после еды, почистив зубы и прополоскав полость рта ополаскивателем.
Левомиколь
В состав мази входит антибиотик левомицетин, который эффективен против возбудителей заболевания. Мазь наносят после каждого приёма пищи, а также на ночь. В отличие от препарата в таблетках, левомиколь продаётся без рецепта. Курс лечения длится столько, сколько есть необходимость.
Вишневского
Мазь Вишневского обладает противовоспалительным, антисептическим и ранозаживляющим эффектом. Она не является антибиотиком, но угнетает жизнедеятельность болезнетворных микроорганизмов. При её применении следует учитывать, что она обладает крайне неприятным вкусом.
Метрогил дента
Мазь Метрогил дента содержит антибиотик метронидазол, местный антисептик хлоргексидин и дополнительные вещества. Она специально предназначена для применения в стоматологии, поэтому наиболее эффективна в отношении воспалительных процессов в полости рта.
Как происходит лечение?
При подозрении на развитие подобной болезни следует обратиться к врачу. В задачу стоматолога входит проверка ротовой полости и обнаружение больного зуба, который дает воспаление. Доктор выполняет процедуру дренажа с целью удаления экссудата.
Следующий шаг – это определение возбудителя инфекции. Для этого делают специальный тест. Чаще всего воспаление развивается на фоне проникновения бактерий стафилококка и стрептококка.
В зависимости от возбудителя назначают антибиотики. Какие же чаще всего назначают при флюсе зуба – приведем названия:
- Доксициклин,
- Трихопол,
- Цифран,
- Амоксиклав,
- Линкомицин,
- Ампиокс,
- Флемоксин солютаб.
В чем особенности лечения флюса в домашних условиях у детей? Здесь имеются свои нюансы!
Опухла щека, а зуб не болит — узнайте, что это может быть.
Тут: https://www.vash-dentist.ru/ortodontiya/breketyi/ispravlenie-prikusa-pri-pomoshhi-chto-byilo-do-i-chto-stalo-posle.html — вы найдете фото зубов после курса ношения брекетов.
Помимо антибиотиков стоматолог рекомендует посещать физиопроцедуры. К ним относят:
- воздействие на зону воспаления электрическим полем,
- сеансы СВЧ,
- УВЧ.
Запрещено прибегать к накладыванию компрессов, поскольку они разогревают кровь, что приводит к растеканию гноя.
Следует помнить, что периостит опасен своими осложнениями. Поэтому ни в коем случае нельзя прибегать к самолечению или игнорировать симптомы флюса.
И еще немного полезной и интересной информации о флюсе – вы узнаете в следующем видео:
Рекомендации по применению
Каждый препарат имеет определенную дозировку и назначается курсом на несколько дней. Есть стандартные схемы лечения, но врач может прописать индивидуальный курс.
Нужно учитывать, что все препараты имеют противопоказания и побочные реакции. Читать инструкцию нужно внимательно перед приемом любого лекарства.
Длительность курса
Срок терапии всегда определяется лечащим врачом. Обычно лечение продолжается от 5 до 14 дней, в среднем — 7-10 суток. Самостоятельно менять курс нельзя.
Дозировка
Суточная доза антибактериального препарата может разделяться на 2-4 приема. Интервалы между употреблением должны быть 5-8 часов. Пить лекарство нужно в одно и то же время.
Стандартная дозировка антибиотиков при флюсе:
- Цифран — 500-750 мг 2 раза в течение 7-14 дней;
- Ампиокс — 250-500 мг 2 раза в течение 7 дней;
- Доксициклин — 100 мг 2 раза в течение 7 дней;
- Амоксиклав — 125 мг 3 раза в течение 5-10 дней;
- Линкомицин — 500 мг 4 раза до 14 дней;
- Амоксициллин — 500-1000 мг 3 раза в течение 5-7 дней.
Питание
Разные антибиотики могут приниматься как во время еды, так и после. Некоторые средства можно пить в любое время. Эту информацию нужно уточнять в инструкции к каждому препарату. Обычно антибиотики принимаются в течение получаса после приема пищи.
Запивать лекарство нужно негазированной водой в большом количестве. Не рекомендуется пить молоко и сладкие напитки, включая чай, также не подходят фруктовые соки и кофе.
Дополнительные препараты
При флюсе лечение в домашних условиях антибиотиками дополняется и другими лекарствами, которые назначает стоматолог после обследования. Вместе с антибактериальными принимают противовоспалительные, регенерирующие, обезболивающие средства. Это могут быть стоматологические гели — Холисал, Солкосерил, Метрогил-Дента, Кандид. Выбор препарата зависит от того, какими нарушениями сопровождается флюс.
Также обязательно проводятся полоскания рта не менее 8 раз в сутки. Для этого используются отвары трав и аптечные средства — Хлоргексидин, Мирамистин. Из трав можно использовать ромашку, календулу, шалфей, кору дуба.
Аналоги по образу действия
К препаратам, которые помогают уничтожить бактерии и восстановить слизистую, можно отнести антисептики и противовоспалительные средства. Из таблеток хорошо подходит Нимесил. Средство убирает зубную боль, снимает воспаление. Также поможет Диазолин, который справляется с воспалительным процессом, снимает отечность, но сам по себе оказывает антиаллергическое действие.
Из препаратов, которые борются с воспалением, можно выбрать Кетонал, Ибупрофен и Наклофен. Также выраженным противовоспалительным действием обладает Диклофенак, но он негативно влияет на слизистую оболочку ЖКТ. Поэтому при проблемах с желудком от него лучше отказаться.
Хорошо себя зарекомендовали народные средства. В частности, это содовый раствор, которым следует полоскать ротовую полость несколько раз в день. Он убирает бактериальный налет. Полезно полоскать рот отварами ромашки, разбавленной в воде настойкой календулы, смазывать соком алоэ.
Народные средства нужно применять как вспомогательную, но не основную меру.
Запрещенные мероприятия при заболевании
Для предупреждения осложнений флюса необходимо знать о недопустимых во время заболевания процедурах. К запрещенным мероприятиям относят домашнее лечение при запущенных формах патологии. Инфекция легко распространяется по кровотоку на близлежащие органы и отделы, в том числе на головной мозг. Состояние может спровоцировать серьезные проблемы со здоровьем в будущем и летальный исход.
К запрещенным мероприятиям также можно отнести:
- накладывание сдавливающих повязок на пораженную область;
- прогревание области воспаления;
- самостоятельный прием антибактериальных средств и их комбинаций.
До похода к врачу лучше не принимать обезболивающих и других препаратов, так как это искажает симптоматическую картину заболевания и затрудняет дифференциальную диагностику патологии.
Возможные осложнения
При флюсе бывают как общие, так и местные осложнения.
К местным относятся:
- остеомиелит челюсти;
- абсцесс;
- флегмона лица;
- гайморит;
- потеря зуба;
- формирование свища.
Кроме местных, могут возникнуть более грозные системные осложнения. Причиной этого становится то, что по кровеносной и лимфатической системе бактерии могут распространиться по всему организму.
К системным осложнениям относятся:
- сепсис;
- бактериальный эндокардит;
- менингит.
Антимикробные препараты, используемые в стоматологии
Стоматологическая практика собрала ряд эффективных антибиотиков, которые применимы в лечении различных заболеваний, а также в профилактических целях. Многие из них являются препаратами широкого действия. Каждый из антимикробных средств имеет аналоги, которые отличаются лишь страной – производителем и ценой.
Семь групп применяемых препаратов:
- пенициллиновая группа;
- цефалоспорины;
- тетрациклины;
- имидазол, нитроимидазол;
- макролиды;
- фторхинолоны;
- линкозамиды.
Амоксициллин
Относится к группе полусинтетических пенициллинов, имеет широкий спектр действия, поэтому применим в разнообразных клинических случаях. Активен по отношению к аэробным бактериям: стафилококк, стрептококк, сальмонелла, клебсиелла и др.
Принимается только перорально, для препарата не предусмотрены инъекции. Медикамент полностью выводится из желудочно-кишечного тракта. Его действие начинается примерно через 2 часа после приема.
Амоксициллин не назначается детям до двух лет, беременным и кормящим женщинам. Медикамент достаточно легко переносится организмом, провоцируя минимум побочных эффектов. Однако вызывает сильную реакцию при аллергии на пенициллин. Относится к дорогостоящим лекарствам.
Линкомицин
Антибиотик широкого спектра действия, наиболее активен по отношению к грамположительным бактериям. При соблюдении указанной в инструкции дозировки выполняет бактериостатическое действие, то есть только препятствует распространению микроорганизмов. Для бактерицидного действия разовая доза должна быть превышена хотя бы вдвое. Это чревато расстройствами работы ЖКТ, изменению его микрофлоры. К тому же длительный прием Линкомицина вызывает привыкание организма, что уменьшает его эффективность.
Показан при начальных стадиях флюса, когда важно остановить размножение бактерий. С незначительным воспалением организм справляется самостоятельно или совместно с противовоспалительными лекарствами.
Тетрациклин
Азитромицин и Сумамед
Относятся к группе макролидов. Азитромицин и Сумамед являются абсолютными аналогами, хотя в настоящее время чаще назначают Сумамед.
Препарат отличается мягким воздействием на организм. Благодаря этому разрешается беременным женщинам и маленьким детям. Антибиотик стал эффективной альтернативой для пациентов с аллергией на пенициллин и бета-лактамы. Обладает широким спектром действия. Назначается для профилактики после сложных процедур, при заболеваниях зубов, а также флюсе на всех его стадиях.
Медикамент не является антибиотиком, однако широко применяется стоматологами, так как обладает обширным противомикробным действием. При периостите назначается как для самостоятельного воздействия (когда нагноение не распространилось вглубь тканей), так и вспомогательного, то есть совместно с антибактериальным лекарством. Бисептол может применятся в виде полосканий, что поможет быстрее вылечить флюс.
Другие виды антибиотиков
Помимо перечисленных выше медикаментов, дантисты применяют и другие виды антибиотиков:
- доксициклин (тетрациклиновая группа);
- цифран, цифран СТ, ципрофлоксацин (группа фторхинолонов);
- ампициллин (пенициллины);
- флемоксин солютаб (аналог амоксициллина);
- ципролет;
- левомицетин;
- амоксиклав, аугментин (пенициллин усиленный клавулановой кислотой);
- метронидазол, тинидазол (группа имидазолов — показан при обширном воспалении в костных тканях, осложнениях при периостите, является эффективным, но агрессивным препаратом).
Для скорого выздоровления и дополнительного бактерицидного воздействия показаны полоскания ротовой полости. В этих целях эффективен фурацилин или хлоргексидин. Фурацилин обладает сильными обеззараживающими качествами. Раствор для полоскания можно приготовить дома (2 таблетки на стакан воды) или купить готовый в аптеке.
Как лечат флюс у детей и взрослых?
Заболевание в одинаковой мере поражает как взрослых, так и детей. Независимо от возраста пациента флюс несет серьезную угрозу здоровью, особенно, если гнойник прорвет, а скопившийся гной выйдет наружу. Тогда он может распространить заразу на соседние зубы. Еще одной опасностью является то, что гнойные массы могут попасть в кровоток и кровь разнесет их по всему организму. Вот почему так важно вовремя приступить к лечению.
Полоскание отварами трав и содо-солевыми растворами уменьшает количество бактерий в полости рта и временно облегчает боль.
Некоторые люди не торопятся обращаться к врачу, надеясь самостоятельно убрать флюс. Они применяют всевозможные народные методы, например, горячие полоскания травяными отварами, солью, содой. Такое лечение может принести временное облегчение, однако болезнь продолжает прогрессировать, и через время пациенту становится хуже. Чтобы не допустить осложнений, нужно обращаться к специалисту при появлении первых же симптомов периостита. Врач может провести специальный тест на выявление типа инфекции. Это поможет подобрать наиболее эффективные препараты и в короткие сроки подавить очаг воспаления.
Внимание! В случае периостита стоматологи назначают комплексную терапию. Сюда входят антибиотики, иммуностимуляторы, противовоспалительные препараты, а также другие вспомогательные медикаменты. Важно знать, что для лечения флюса нельзя использовать аспирин или препараты, его содержащие.
Основным препаратом для лечения периостита является антибиотик. Его необходимо принимать на любой стадии болезни. На ранней – чтобы предотвратить разрыв гнойника; если же гнойник уже вскрылся, антибиотик не позволит инфекции распространиться на другие органы и сократит время заживления.
Симптомы болезни и провоцирующие факторы
Основными симптомами появления флюса является: припухлость десны, повышение температуры, боль при давлении на зуб, возникновение слабости или озноба, затруднение с глотанием, отек лимфоузлов за ушами и на шее.
Спровоцировать появление отечности могут следующие факторы:
- Кариес, который пациенты долгое время не лечили. Проникающая в зуб инфекция может вызвать абсцесс.
- Сильное переохлаждение организма.
- Стресс.
- Различные повреждения десны.
Если человек будет иметь ослабленный иммунитет, то его организм не сможет бороться с инфекцией, вследствие чего быстро возникнет флюс и опухоль на десне.
Правила терапии
Чтобы лечение было максимально эффективным, и консервативная терапия дала свой результат, необходимо соблюдать правила приема антибиотиков при флюсе. Врачи советуют придерживаться следующих рекомендаций:
Время приема
Очень важно пить таблетки через равные промежутки времени, чтобы поддерживать постоянную концентрацию действующего вещества. Перерыв в приеме лекарства не должен составлять более восьми часов. Кроме того, врачи рекомендуют пить таблетки в одно и то же время.
Длительность приема
Не менее важная рекомендация доктора. Не стоит прекращать пить препарат только лишь потому, что не стало зубной боли, или уменьшился отек. Курс лечения чаще всего составляет семь дней – это средний срок, за который лекарство способно побороть патогенную микрофлору.
При необходимости доктор назначит и десятидневный курс, а иногда – двухнедельный.
Дозировка
Очень важно пить только ту дозировку, которую назначил врач. При уменьшении или увеличении дозы может возникнуть обратный эффект. Если от антибиотика начались неприятные ощущения – диарея, тошнота, сыпь – нужно обратиться к врачу и полностью сменить лекарство.
Как пить препарат
Казалось бы, на этом не нужно акцентировать внимание, ведь все таблетки пьют одинаково, но это не так. Лечение флюса антибиотиками может спровоцировать дисбактериоз, если принимать их неправильно.
В большинстве случаев антибиотики запивают большим количеством воды, но некоторые нужно запивать молочными продуктами, чтобы не нарушить микрофлору.
Кроме того, во время курса терапии и взрослый, и ребенок должны придерживаться диеты – пить больше воды, есть клетчатку и кисломолочные продукты.
Из-за чего возникает флюс десны
Основным провокатором флюса десны является инфекция, которая развивается при заболеваниях и осложнениях:
- запущенная форма кариеса;
- воспаление десен (периодонтит);
- попадание инфекции в рану во время лечения зубов;
- плохое качество пломбировки каналов;
- наличие хронической инфекции в организме;
- травмы и ушибы во рту.
Какие антибиотики принимать?
При флюсе назначают антибиотики широкого спектра действия, которые быстро уничтожают микрофлору. Анализ на чувствительность бактерий к противомикробным препаратам проводят только в тяжёлых случаях. Ниже приведён список наиболее эффективных средств.
Линкомицин
Линкомицин в капсулах оказывает бактериостатическое (т.е. не позволяет размножаться) действие. Воздействует на широкий спектр микроорганизмов. Принимать препарат нужно через 2 часа после или за час до еды, через равные промежутки времени.
Взрослым назначают по две капсулы в день, детям дозировку рассчитывают исходя из массы тела. Стоимость отечественного препарата Линкомицин в капсулах 250 мг составляет около 100 р, зарубежные аналоги несколько дороже.
Доксициклин
Доксициклин выпускают в таблетках и капсулах. Препарат обладает широким спектром бактериостатического действия. По сравнению с другими препаратами свой фармакологической группы (тетрациклины) относительно безопасен для кишечной микрофлоры.
Препарат обязательно принимать дважды в день, разделяя суточную дозу. Препарат отечественного или белорусского производства можно купить за 30-40 р.
Ципролет
Действующее вещество ципролета – ципрофлоксацин. Препарат отличается относительной безопасностью для человека, поскольку клетки человеческого организма не содержат фермент, на который воздействует ципрофлоксацин.
Таблетки необходимо выпить по одной 2-3 раза в сутки. Возможно увеличение разовой дозировки. Цена составляет около 100 рублей на отечественный препарат.
Флемоклав солютаб
Этот препарат представляет из себя комбинацию антибиотика амоксициллина и клавулоновой кислоты – вещества, предохраняющего антибиотик от разрушения бета-лактамазой (бактериальным ферментом, разлагающим некоторые антибиотики).
Он выпускается в таблетках с различной дозировкой обоих действующих веществ. Таблетки желательно принимать сразу перед едой. Примерная цена лекарственного средства – около 400 р.
Нимисил
Нимесил (действующее вещество нимесулид) не является антибиотиком, а относится совсем к другому классу препаратов – НПВС (нестероидные противовоспалительные средства).
Он применяется при флюсе для устранения воспаления, облегчения боли, улучшения самочувствия пациента. Препарат достаточно дорогой – его цена около 500 р.
Диазолин
Он также не является антибиотиком – это антигистаминное (противоаллергическое) средство. При флюсе назначается для того, чтобы снизить интенсивность воспаления, облегчить состояние пациента, снять отёк лица. Действующее вещество – мебгидролин. Средняя цена составляет 80 р.
Диклофенак
Это противовоспалительный препарат, который назначают для снятия жара, боли и воспаления в области флюса.
Выпускается в нескольких лекарственных формах, в том числе в таблетках, которые нужно применять вместе с едой или непосредственно перед приёмом пищи. Средняя стоимость около 80 р.
Метронидазол
Этот препарат более известен как противоглистное средство, но имеет эффект в отношении многих микроорганизмов. Особенно эффективен в отношении анаэробных бактерий. Таблетки принимают во время еды не разжёвывая. Средняя цена – около 120 р.
Трихопол
Является одним из торговых названий метронидазола. Стоимость несколько выше – около 200 р., способ применения тот же.
Ципрофлоксацин
Антибиотик ципрофлоксацин является действующим веществом многих лекарственных средств, в том числе упомянутого выше Ципролета. Средняя цена – около 60 р.
Флемоксин
Флемоксин Солютаб является комбинацией амоксициклина и клавулоновой кислоты, как и указанный выше Флемоклав солютаб. Средняя цена – 350 р.
Бисептол
Бисептол (ко-тримаксазол) не относится к антибиотикам, хотя имеет антибактериальный эффект. Принимается однократно в большой дозе или делится на два приёма.
Точную дозировку назначает врач, исходя из особенностей течения заболевания у данного пациента. Часто используется для лечения инфекций у детей. Средняя цена – 150 р.
Важно знать!
Прием антибиотиков нередко сопровождается побочными явлениями:
- аллергия в виде крапивницы или кожного дерматита,
- головокружение,
- дисбактериоз,
- кровотечения,
- мышечная слабость,
- нарушение работы ЖКТ,
- рвота,
- тошнота.
Если у вас проявились вышеперечисленные симптомы, сообщите об этом врачу.
Важно: самостоятельно принимать антибиотики категорически запрещается, назначать лечение должен только врач.
Антибактериальные препараты необходимо принимать строго по рецепту и не прекращать лечение даже после существенного облегчения состояния. Даже если флюс исчез, и вы чувствуете себя отлично, допейте антибиотик положенные 5, 7 дней (ровно столько, сколько сказал специалист), иначе вы рискуете получить осложнение.
Флюс без боли
Флюс может протекать без боли. Симптоматика бывает настолько слабо выражена, что заболевший даже не придаст какому-либо дискомфорту большого значения. Человек может выглядеть абсолютно здоровым и относительно хорошо себя чувствовать. Причина такого течения недуга – переход во внутреннюю, хроническую форму. В этом случае процесс протекает медленно и длительно (4–8 месяцев). При такой форме флюса на щеке не образуется опухоль. На фоне вялотекущего воспаления могут наблюдаться постоянные рецидивы. Чем слабее иммунитет, тем они происходят чаще.
Главная причина перехода в скрытую форму – отсутствие качественного лечения флюса на острой стадии или недолеченная, вовремя не ликвидированная инфекция, которая будет регулярно появляться вновь.
Особенности лечения ребенка
Периостит у ребенка чаще всего лечат Амоксициллином, Сумамедом, Доксициклином, Линкомицином. Нельзя превышать максимально допустимые дозы и длительность курса лечения.
Виды антибиотиков и рекомендации по их выбору
Для снятия воспаления, особенно на начальной стадии развития, применяют антибиотики широкого спектра воздействия. Назначают препараты пенициллинового ряда: Амоксицилин, Амокс, Амоксиклав.
Они обладают выраженным противомикробным действием. Особую активность проявляют против стрептококков и стафилококков, признанными основными возбудителями воспалительного процесса и гнойной инфекции.
Хороший лечебный эффект у антибиотиков, относящийся к тетрациклиновому ряду (Тетрациклин, Доксициклин, Кседоцин) и фторхиноловому ряду (Цефазилин, Ципрофлоксин, Цифран). Они обладают активными притивомикробными и бактерицидными свойствами. Применяются только взрослыми.
Часто назначают комбинированные препараты нового поколения, например:
- Ампиокс, который содержит ампицилин с оксацилином. Имеет широкий спектр воздействия;
- Ципрофлоксацин. Препарат фторхинолоновой группы. Обладает противобактерицидным действием. Он активен в отношении многих грамотрицательных микроорганизмов;
- Амоксиклав, состоящий из пенициллина и клавулоновой кислоты, которая усиливает действие антибиотика.
Широко используют такие давно известные лекарства как Бисептол, Левомицетин, Азитромицин, Тетрациклин.
У препаратов есть много аналогов, обладающих таким же основным действием. Все они содержат в своём составе одинаковые действующие вещества. Отличаются эффективностью, качеством, ценой и фирмой-производителем.
Нельзя начинать приём антибактериальных лекарств самостоятельно, без консультации со специалистом.
Препараты для взрослых
Антибиотики требуют системного приема. Его сроки индивидуальны, однако курс должен быть не менее 5–7 дней.
Амоксициллин
Лечение периостита основывается на приеме антибиотиков. Чтобы назначить подходящее лекарство, врач тестирует пациента для определения возбудителя болезни. Правильное его определение – гарантия успешного лечения. Взрослым назначаются более сильные, чем детям, препараты.
Амоксицилин
Препарат, относящийся к пенициллиновой группе, полусинтетический антибиотик с большим диапазоном действия. Основное действующее вещество – тригидрид амоксициллина.
Дает хороший результат лечения за счет того, что у возбудителя быстро вызывает угнетение клеточного синтеза.
Производится в капсулах и таблетках по 500, 750, 1000 мг, гранулах (порошком) для приготовления суспензии.
Противопоказания: непереносимость составляющих препарата, беременность и период лактации, мононуклеоз инфекционного характера, патологии печени, дисбактериоз, лимфолейкоз, ОРВИ, бронхиальная астма, диатез.
Как принимается: во внутрь, не зависимо от приема пищи, но перед этим предварительно разводится в воде. Антибиотик разрешен к лечению пациентов старше 12 лет с весом более 40 кг. Суточная его дозировка – не более 6 гр. с кратностью приема – 3 раза в день.
На начальной стадии болезни назначается с дозировкой по 500 мг, при тяжелом течении — 750-1000 мг. Пациентам с заболеваниями почек интервал меду приемами и дозировка рассчитывается индивидуально.
Стоимость: упаковка таблеток из 16 шт. дозировкой 500 мг в среднем стоит 120 руб, порошок – от 140 руб.
Предлагаем ознакомиться: Антибиотики при флюсе десны и зуба
Аналоги: «Экобол», «Флемоксин», «Ирамокс».
Амоксиклав
Относится к пенициллиновой группе. Имеет комбинированный состав: амоксициллина тригидрат и клавулановая кислота (натрия клавуланат).
Кислота усиливает действие амоксициллина, предупреждая его разрушение, расширяя его воздействие на микроорганизмы, резистентные на основное действующее вещество.
Обладает выраженными бактерицидным и бактериостатическим действиями на все виды аэробных и анаэробных бактерий. Лекарственная форма выпуска: таблетки, порошок для инъекции или приготовления суспензии.
Противопоказания: компонентная непереносимость, гепатит, аллергия на цефалоспорины, расстройство ЖКТ, дисфункция печени.
Рекомендации по приему: по 1 таблетке (375 мг) трижды в сутки до или после еды. При увеличении дозировки до 675 мг – интервал между приемом составляет 12 ч. Курс терапии – не более 5 дней.
Стоимость: упаковка таблеток по 375 мг (15 шт.) – от 200 руб., таблетки по 675 мг (15 шт.) – от 320 руб., порошок для инъекций – от 220 руб..
Аналоги: «Панклав», «Солютаб», «Батоклав».
Ципрофлоксацин
Лекарство фторхиноловой группы бактерицидного и противомикробного действия. Он замедляет синтез у бактериальных клеток, обладает высокой (по сравнению с аналогами) активностью.
Основной компонент – гидрохлорид ципрофлоксацина. Выпускается таблетками по 250 мг, 500 мг, 750 мг и порошком для инъекций.
Как принимать: дозировка рассчитывается врачом индивидуально от 0,25 г до 0,5 г. Обычно при приеме внутрь – 2 раза в день по 250-275 мг, продолжительностью терапии до 10 дней.
При внутривенном введении – от 200 мг до 400 мг на один раз с кратностью дважды в сутки. Длительность лечения – от 7 до 14 дней
Противопоказания: возраст до 18 лет, индивидуальная непереносимость, беременность, колит, эпилепсия, заболевания почек (с осторожностью).
Аналоги: «Ципролет», «Ципронол», «Экоцифол».
Стоимость: упаковка из 10 шт. (500 мг) – около 60 руб.
Назначение антибиотиков является действенным способом остановки инфекции. Чтобы предотвратить развитие осложнений, терапия должна начинаться незамедлительно.
Назначая антибиотики при гнойном периостите (флюсе), врач должен руководствоваться результатами анализов пациента.
Однако на практике для взрослых людей наиболее часто назначаются амоксициллин, амоксиклав и ципрофлоксацин.
Амоксициллин
Препарат принадлежит к полусинтетическим антибиотикам пенициллиновой группы. Он оказывает широкое воздействие, в том числе уничтожает бактерии, которые вызывают периостит.
Средство эффективно борется с аэробными грамположительными и грамотрицательными бактериями. Оно предназначается для избавления от заболеваний, вызванных стрептококковой и стафилококковой инфекциями.
Выпускается в таблетках, капсулах и суспензиях. В состав амоксициллина входят органические соединения. Их основой является 6-аминопенициллановая кислота.
Для лечения флюса стоматологи назначают взрослым дозу, не превышающую 6 г препарата в сутки. Принимать лекарственное средство следует 3 раза в день с промежутком в 8 часов. Аналоги:
- амосин;
- моксипен;
- хинкоцил;
- оспамокс;
- экобол;
- ирамокс;
- амоксикар;
- гоноформ;
- грюнамокс.
Стоимость амоксициллина в аптеках составит 60 — 100 рублей за упаковку в 20 таблеток. По сравнению с аналогами это наиболее дешевое средство. Например, экобол стоит порядка 150 рублей.
Амоксиклав
Принадлежит к крупе пенициллинов. Препарат сочетает в себе амоксициллин и клавулановую кислоту. Особенность амоксиклава состоит в том, что клавулановая кислота усиливает воздействие амоксициллина.
Благодаря уникальному соединению лекарство обладает разнонаправленным действием по уничтожению болезнетворных бактерий.
Его производят в форме таблеток и порошка. Для лечения флюса прописывают прием таблеток по 375 мг каждые 8 часов или 625 мг через каждые 12 часов. Курс лечения – 5 дней.
Среди аналогов препарата следующие средства:
- клавулоновая кислота совместно с амоксициллином;
- кламосар;
- экоклав;
- тароментин;
- арлет;
- батоклав;
- панклав;
- аугментин;
- флемоклав;
- ликлав;
- ранклав;
- медоклав.
Стоимость амоксиклава составляет 360 рублей за упаковку 15 таблеток. Самый дешевый из заменителей – экоклав. Его цена в среднем 206 рублей.
Ципрофлоксацин
Антибиотик, относящийся к группе фторхинолонов. Обладает бактерицидным и противомикробным действием.
Особенность средства заключается в его высокой активности по отношению ко многим грамотрицательным микроорганизмам — к кишечной палочке, сальмонелле, менингококку, гонококку.
Также препарат эффективно справляется со стафилококками и с некоторыми энтерококками. Существует в виде таблеток и растворов.
Ципрофлоксацин содержит такие компоненты, как диоксид титана, полиэтиленгликоль 6000, диоксид кремния, гипромеллозу, полисорбат 80, крахмал картофеля и кукурузы.
При гнойном периостите стоматологи советуют принимать средство натощак 2 раза в день по 250 или 500 мг в зависимости от массы тела пациента и тяжести воспаления. Курс лечения может варьироваться от 7 до 14 дней.
К аналогичным препаратам доктора относят:
- ципронол;
- экоцифол;
- ципробай;
- цифран.
Стоимость ципрофлоксацина в среднем 40 рублей за 10 таблеток. Это средство находится в одной ценовой категории со своими аналогами. Так, за 10 таблеток цифрана покупатель заплатит около 50 рублей.




Мазь Вишневского












