Как правило, ксантома желудка возникает при нарушениях в холестериновом и липоидном обмене. В медицинской практике данное заболевание не считается злокачественным, и по сути ксантома не является самостоятельной формой опухоли. Это заболевание характеризуется образованием небольших очагов жировых отложений, возникающих по большей степени на слизистой оболочке желудка.
Ксантома желудка — что это такое?
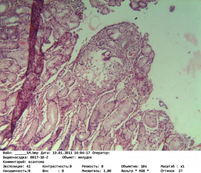
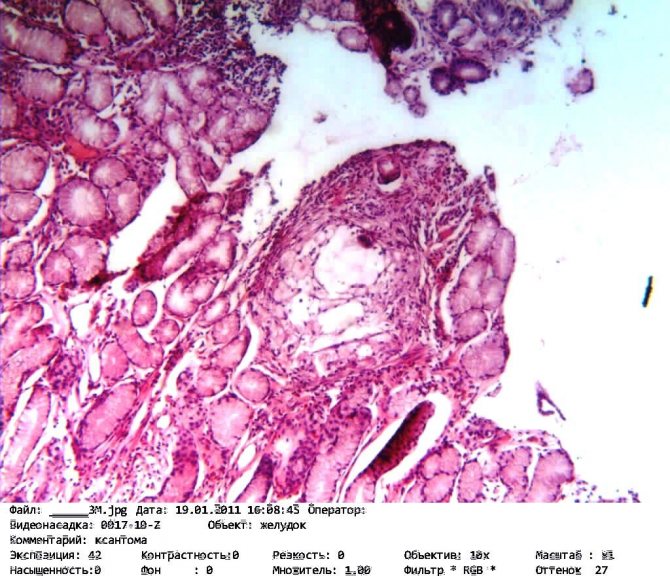
Лечение любого заболевания невозможно представить без изучения его патогенеза. Ксантома является новообразованием доброкачественного характера, которое возникает вследствие нарушения холестеринового обмена. По гистологическому строению это скопление макрофагов. В процессе патологических изменений они захватывают частицы липоидов и трансформируются в ксантомные элементы, образующие опухоли. На слизистой желудка новообразования выглядят как отложения желтоватого цвета с четкими границами. Их размер может варьироваться от 5 до 15 мм.
Подведем итоги
Ксантома желудка представляет собой небольшую по размеру бляшку, локализующуюся на слизистой органа. Данный феномен до сих пор вызывает множество споров среди врачей, поскольку точный механизм его возникновения не определен. Высказываются мнения о взаимосвязи с атеросклеротическими бляшками и даже с раковыми заболеваниями. Лечение ксантомы — это длительный и сложный процесс, который требует использования серьезных лекарственных препаратов.
- Чем опасен гиперпластический гастрит желудка и методика его лечения
Клиническая картина
Ксантома желудка представляет собой небольшое округлое образование, которое незначительно возвышается над поверхностью органа. По своему гистологическому строению она напоминает атеросклеротическую бляшку. Микроскопически образование состоит из множества элементов, в их цитоплазме отчетливо просматриваются жировые включения. Они заполняют практически все пространство клетки, оттесняя ядро и органеллы на периферию. Доброкачественное образование может быть в единственном числе, но чаще встречаются группы бляшек, разбросанных по всем отделам желудка. В этом случае речь идет о заболевании под названием ксантоматоз. Среди наиболее распространенных областей локализации, где можно обнаружить патологию, врачи выделяют следующие:
- антральный отдел;
- малая кривизна;
- нижняя часть тела.
Наибольшую опасность представляет ксантома антрального отдела желудка. Лечение патологии не обходится без предварительного проведения биопсии материала. Следует заметить, что заболевание имеет склонность к рецидивам. Если пациент возвращается к неправильному образу жизни и пренебрегает поддерживающей терапией, существует вероятность повторного диагностирования бляшек в желудке при эндоскопическом обследовании.
Виды ксантом
В зависимости от глубины прорастания тканей и формы ксантомы разделяют на 5 групп:
- Ксантелазмы – плоские образования, полностью сливающиеся со слизистой оболочкой.
- Папулезные ксантомы – выступающие над поверхностью бляшки с неровными контурами.
- Инфильтративные ксантомы склонны к росту, они постепенно сливаются друг с другом и прорастают на всю толщину слизистой оболочки.
- Туберозные – бугристые образования в виде узелков.
- Высыпающие – это множественные мелкие ксантомы, не склонные к росту.
Как правило, ксантоматозные бляшки поражают антральный отдел желудка, реже – его тело.
Обычно их распространение в верхние отделы органа связано с дуадено-гастральным рефлюксом – забросом содержимого двенадцатиперстной кишки в полость желудка.
Основные причины патологии
Откуда берутся ксантомы желудка? Опасно ли это нарушение, судить сложно. Если своевременно предпринять меры по его устранению, можно предупредить развитие осложнений. Медики называют несколько причин возникновения данной патологии. Часто выявить одну конкретную из обширного списка невозможно, что обусловливает ее многофакторность. Определенная роль в появлении ксантом отводится наследственной предрасположенности и изменению липидного профиля.
Ведущей причиной, по мнению большинства специалистов, является нарушение метаболизма в организме. В частности, речь идет о проблемах на уровне липидов и триглицеридов. Область желудка выстилает призматический эпителий, представленный множеством железистых клеток. В результате нарушения обменных процессов липиды начинают откладываться в его клетках, постепенно заполняя их цитоплазматическое пространство. Данный механизм не изучен до конца и является своего рода предположением. В целом процесс отложения жировых включений в эпителий желудка схож с таковым при атеросклерозе. Поэтому эти две патологии имеют несколько общих черт.
Механизмы развития ксантоматоза
При повышении концентрации холестерина и триглицеридов в крови они разносятся по организму и откладываются в тканях: в слизистых оболочках, коже, сосудах. Формирование холестериновых бляшек в артериях называется атеросклерозом.
В слизистой оболочке желудка жиры поглощаются макрофагами. Именно их скопления и образуют ксантому. К отложению жиров более предрасположены поврежденные участки желудка с воспалением и атрофией.
Сами по себе ксантомы не опасны, однако исследователи считают, что они выступают в качестве маркера предраковых состояний. Это связано с тем, что больше всего жировых бляшек обнаруживают у пациентов с атрофическим гастритом и кишечной метаплазией (замещение клеточных структур слизистой желудка кишечными клетками).
Симптомы и первые признаки
Новообразования доброкачественного характера в течение длительного времени не дают о себе знать. Это существенно затрудняет диагностику патологии на раннем этапе. Обычно ксантома желудка выявляется случайно, когда пациент приходит с жалобами на гастрит или бульбит. К ее наиболее типичным симптомам следует отнести ощущение тяжести в желудке, рвоту, изменение консистенции каловых масс. Основные признаки патологии часто маскируются под фоновыми заболеваниями.
Симптоматика недуга
Часто сама по себе ксантома желудка никак себя не проявляет, не доставляет пациенту каких-либо неудобств. Это существенно затрудняет выявление и лечение проблемы на ранних этапах. Ведь зачастую ксантома обнаруживается только в тех случаях, когда пациент обращается к врачу с другими заболеваниями желудка, такими как гастрит, бульбит, вызывающими раздражение слизистой оболочки желудка.
Существует ряд признаков, наличие которых может свидетельствовать о наличии ксантомы:
- Частые боли в животе, возникающие после приема пищи. Боль может быть различной по продолжительности и степени интенсивности.
- Частая изжога, когда желудочный сок забрасывается из желудка в пищевод.
- Ухудшение общего самочувствия пациента, в частности, тошнота, слабость.
- Нарушения стула, чаще всего, диарея.
- Заболевания сосудов.
Однако, нельзя с уверенностью говорить о том, что данные признаки вызваны именно наличием ксантомы, так как они могут проявляться и вследствие других заболеваний желудка. Таким образом, для ранней диагностики и своевременного лечения недуга важно определить группы риска, то есть круг пациентов, наиболее подверженных развитию данного недуга.
К их числу относятся:
- Люди среднего и старшего возраста (особенно мужчины)
- Больные гастритом, диабетом, атеросклерозом
- Пациенты с диагнозом рака желудка (в том числе и на начальной стадии).
Пациенты, попадающие в указанные группы риска должны периодически проходить диагностические процедуры, позволяющие выявить ксантому на начальной стадии его развития, и, соответственно, начать своевременное лечение.
Методы диагностики
Что касается диагностики патологии, многие врачи не придают ей должного значения. Бляшки могут оставаться долгое время незамеченными в силу запенивания желудка. Для быстрой его очистки пациентам предлагаются специальные препараты, после начала действия которых приступают к эндоскопическому обследованию. Ксантома желудка — это маленькое новообразование, но пренебрегать диагностикой все же не стоит. При выявлении даже микроскопических бляшек врачи в обязательном порядке должны фиксировать данный факт в эндоскопических протоколах. Своевременное обнаружение новообразований позволяет полностью их излечить, а также предупредить трансформацию в раковые элементы.
После получения результатов эндоскопического обследования ткани ксантомы отправляют в лабораторию, где изучается качественный состав материала. Важно дифференцировать доброкачественное новообразование от злокачественных опухолей. После получения полной картины патологии назначается терапия.
Прогноз
Поскольку ксантома считается доброкачественным новообразованием, то при условии своевременно проведённого лечения жизненный прогноз пациента остается положительным. Даже при рецидиве заболевания больной все еще имеет шанс на полное выздоровление.
В случае сочетания ксантоматоза с дисплазией желудка и другими тяжелыми заболеваниями органов ЖКТ прогноз значительно ухудшается в связи с риском малигнизации патологически измененной ткани.
(1 оценок, среднее: 5,00 из 5)
Медикаментозное лечение ксантомы желудка
Терапия с помощью лекарственных препаратов преследует две цели: устранение накопления холестерина, коррекция липидного обмена. Для выполнения подобных задач пациентам назначают различные медикаменты. Например, при значительном превышении показателей холестерина прописывают статины. Наиболее эффективными медикаментами этой фармакологической группы являются «Атомакс», «Липтонорм», «Роксера», «Кардиостатин». Они уменьшают секрецию ферментов, ответственных за образование холестерина. Данные препараты имеют побочные эффекты, поэтому их использование возможно только по назначению врача. Конкуренцию синтезированным статинам составляют лекарственные средства, изготовленные из натуральных компонентов. Особенно необходимо выделить «Поликаназол», получаемый из сахарного тростника. У него практически отсутствуют побочные эффекты.
Корректировку липидного обмена невозможно представить без секвестрантов желчных кислот. Среди них повышенной переносимостью отличается «Ловастатин». Часто назначают производные фибриновой кислоты («Фенофибрат», «Гемфиброзил»). В лечении ксантомы желудка активно используются антиоксиданты в комплексе с витаминами Е и группы В.
Если у больного нарушен липидный профиль, считается целесообразной дополнительная консультация у врача-эндокринолога. Вероятнее всего, потребуется обследование артерий, аорты. Данные мероприятия не относятся к непосредственному лечению ксантомы, но позволяют диагностировать иные заболевания, негативно отражающиеся на качестве жизни.
Народные методы терапии
Природа богата абсолютно безвредными статинами, которые на практике применяются для коррекции содержания холестерина в крови. По словам специалистов, их использование оправдано при лечении ксантомы антрального отдела желудка или его тела. Особую популярность заслужили следующие средства:
- Рыбий жир считается отличным регулятором обмена липидов. Аналогичным эффектом обладает льняное масло.
- Витамины. Всем известная аскорбиновая кислота (ее источник — цитрусовые) тормозит выработку липопротеидов. Витамин В3 является натуральным статином и содержится в больших количествах в зеленых овощах и злаковых культурах.
- Чеснок является эффективным регулятором холестерина.
Не менее полезны продукты с ресвератролом (темный виноград, какао). В качестве еще одного отличного народного средства специалисты рекомендуют готовить отвар. Для него потребуется 200 г шиповника и 5 столовых ложек измельченной еловой хвои. Ингредиенты заливают 1,5 л воды и варят около 20 минут. Получившийся отвар рекомендуется употреблять дважды в день по 100 мл. Особенно его советуют пациентам с диагнозом «ксантома угла желудка».
Лечебное питание
Учитывая важность снижения показателей холестерина в крови, лечение патологии невозможно без корректировки питания. Из рациона следует полностью исключить все жирные продукты, включая сметану и сливки. Алкогольные напитки также находятся под запретом. Напротив, рекомендуется увеличить потребление свежих овощей и фруктов, грецких орехов. Постепенно можно дополнять рацион кашами на воде, постным мясом и рыбой. На обмен липидов положительно влияют соевые продукты. Лечебную диету рекомендуется соблюдать на протяжении 30 дней и под постоянным контролем врача. Пренебрежение подобными правилами опасно рецидивами, в том числе и после курса терапии.
Меры профилактики
Ксантома тела желудка или его антральной части — это серьезная патология, которая требует длительного лечения. Можно ли предупредить ее возникновение? Рассматривая рекомендуемые способы профилактики, необходимо обратиться к вопросам этиологии. Ксантома развивается вследствие сахарного диабета, нарушения обменных процессов или эндокринных заболеваний. Поэтому во избежание ее появления необходимо периодически проходить полное обследование, а при выявлении нарушений — не заниматься самолечением. Своевременная терапия заболеваний является основой профилактики ксантом.
С другой стороны, определенная роль в развитии патологии принадлежит неправильному питанию и вредным привычкам. Поэтому врачи советуют отказаться от употребления алкогольных напитков, курения, придерживаться здорового образа жизни и заниматься посильными видами спорта. Сбалансированное питание — это еще один вариант профилактики ксантом. Из рациона следует исключить жирную и жареную пищу, копчености, полуфабрикаты, фастфуд. Под запрет также попадают все продукты, способствующие возникновению атеросклероза.
Диагностические мероприятия
Общий осмотр и анамнез
Заподозрить ксантому желудка можно только лишь связав сопутствующие заболевания и жалобы пациента. Неспецифические признаки указывают на воспалительные или органические изменения желудочно-кишечного тракта, требующие дальнейшего исследования. Наличие у пациента атеросклероза сосудов или гиперлипидемии в анамнезе может натолкнуть на верный диагноз.
Лабораторные методики
Для выявления болезни необходимо проведение биохимического исследования крови.
- Общий анализ крови — чаще находится в пределах нормы, может быть незначительная анемия.
- Биохимическое исследование — повышение уровня холестерина, триглицеридов, липопротеидов низкой плотности и снижение высокой.
- Липидный профиль — нарушение нормального баланса жировых составляющих.
- Копрограмма — обследование кала показывает нарушение пищеварения, наличие в испражнениях значительного количества слизи, непереваренных элементов.
Фиброгастроскопия
Это визуальный осмотр слизистой оболочки с помощью эндоскопа. Именно этот метод выявляет ксантому при отсутствии симптоматики и подтверждает ее образование. Ксантома тела желудка или пилорического отдела выявляется, как желтое образование до 1 см, несколько возвышающееся над поверхностью слизистой оболочки органа. Последняя нормального цвета, не отечная, что важно для дифференциальной диагностики с воспалительными заболеваниями.
Биопсия образования
Для исключения злокачественного процесса в органе проводится биопсия обнаруженного образования.




