Ротовая полость человека выстлана слизистой оболочкой, образованной эпителиальными клетками, которые способны трансформироваться в злокачественные — так развивается рак слизистой оболочки полости рта. В общей структуре онкологических болезней эта патология составляет от 2% (в Европе и России) до 40–50% (в азиатских странах и Индии). Преимущественно от нее страдают пациенты мужского пола старше 60 лет, крайне редко она выявляется у детей.
Рак дна полости рта
Дно полости рта ограничено спереди и с боков дугой нижней челюсти, а сзади – корнем языка. Нижнюю его стенку составляет челюстно-подъязычная мышца, через которую проходят лимфатические пути, ведущие в подбородочные, подчелюстные и шейные лимфатические узлы.
Кроме общей слизистой оболочки ротовой полости, здесь лежат подъязычные валики с выводными протоками подчелюстных слюнных желез и подъязычные железы с их протоками. Из этих образований и возникают злокачественные опухоли, чаще раки: плоскоклеточные ороговевающие – из покровных и цилиндроклеточные – из железистых эпителиев. Наиболее редкими являются опухоли из подъязычных желез, то полузлокачественные и «смешанные», то продукты их малигнизации – аденокарциномы. Кроме того, сюда прорастают злокачественные опухоли, перешедшие с соседних образований, главным образом с языка и десен.
Злокачественные опухоли этой области составляют 5-10% всех злокачественных новообразований полости рта.
Причины возникновения
В этиологии рака дна полости рта большую роль играет химическое раздражение. Особенно демонстративно оно выступает при бытовом раке этой локализации. Этиология других, неспецифических форм рака данной локализации остается менее ясной и, по всей вероятности, стоит в связи с разложением остатков пищи во рту и с местными особенностями тканевого обмена. Раки дна полости рта встречаются у мужчин гораздо чаще, чем у женщин.
Симптомы и клиническое течение
По внешнему виду раки дна полости рта, как и все раки стенок ротовой полости, могут быть в начале своего развития разделены на сосочковые (папиллярные), узловатые и язвенные; в дальнейшем течении они все принимают инфильтрирующий и изъязвляющийся характер, распространяются на большой участок тканей и определить их исходное место становится невозможным. Иногда наблюдается переход рака со слизистой дна рта на язык, и десны и даже внедрение его в толщу нижней челюсти.
Вследствие постоянных движений языка, отражающихся на лимфообращении в дне рта, раковые опухоли этой области быстро метастазируют в подчелюстные железы и дальше на шею, однако подбородочные железы, казалось бы наиболее близкие к первичному очагу, поражаются редко.
Клинические симптомы рака дна полости рта вначале бывают невелики, и больные бывают поэтому склонны пренебрегать ими. Гнилостный запах из образующейся язвы является одним из первых оснований для беспокойства больных, заставляющим их искать врачебной помощи. Но вскоре наступает переход опухоли на нижнюю поверхность языка и инфильтрация этого органа порождает уже тяжелую картину болей и нарушения функций глотания, жевания и речи.
Диагностика
Методы лечения
При лечении опухолей слизистой оболочки полости рта врачи используют весь арсенал доступных средств:
Радиотерапию (лучевую терапию).Химиотерапию.Хирургические операции.
В зависимости от стадии ракового процесса применяют как монометодики, так и комбинированное лечение рака. На 1 и 2 стадии болезни хороший эффект дает радиотерапия. Преимущество этого метода состоит в том, что после него практически полностью исключается появление косметических или функциональных дефектов. К тому же он относительно легко воспринимается пациентами и имеет минимум побочных эффектов. Однако на 3 и 4 стадии болезни эффективность этого метода лечения очень низкая.
Хирургические операции востребованы на 3 и 4 стадии рака ротовой полости. Объем операции зависит от распространенности процесса. Важно иссечь опухоль полностью (в пределах здоровых тканей), чтобы исключить риск рецидива. При радикальной операции часто требуется иссечь мышцы или резецировать кость, что ведет к выраженным косметическим дефектам.
После операций по лечению опухолей ротовой полости в ряде случаев требуется проведение пластических операций. При трудностях с дыханием пациенту может быть наложена трахеостома (отверстие в горле).
Среди всех методов лечения химиотерапия при раке ротовой полости наименее эффективна, однако она позволяет уменьшить объем новообразования более чем на 50%, что значительно облегчает проведение хирургической операции. Так как химиотерапия не позволяет вылечить такой тип рака, она применяется лишь как один из этапов комплексного лечения.
В тех случаях, когда пациенту с запущенной степенью онкологии осталось жить совсем немного из-за метастазов или раковой интоксикации, на первое место в лечении выходит паллиативная терапия. Направлено это лечение на борьбу с сопутствующими осложнениями (кровотечениями, болью) и заключается в обеспечении безнадежному пациенту нормального качества жизни. В паллиативной терапии применяются обезболивающие наркотические препараты.
Применение в лечении достаточно агрессивных методов (лучевой и химиотерапии) отражается на здоровье пациента. Во время курса лечения могут отмечаться следующие побочные эффекты от лекарств:
- Расстройство стула в виде профузной диареи.
- Постоянная тошнота, сопровождающаяся рвотой.
- Облысение.
- Развитие иммунодефицита (пациентам во время химиолучевого лечения стоит избегать ОРВИ).
Рак слизистой оболочки щеки
Эта локализация встречается приблизительно в 10% всего числа раковых опухолей полости рта. Как и в других отделах полости рта, здесь преобладают плоскоклеточные ороговевающие раки, однако встречаются и базоцеллюлярные и цилиндроклеточные. Мужчины поражаются гораздо чаще женщин.
Причины возникновения
В этиологии играют видную роль лейкоплакии и повреждения слизистой зубами, прокусывающими щеку.
Клиническое течение и диагностика
Тяжесть течения раков, возникающих из слизистой оболочки щеки, в очень большой степени зависит от затруднений питания больных из-за тризма, создаваемого раковой и воспалительной инфильтрацией щеки.
Диагноз прост, если рот еще раскрывается и удается увидеть и ощупать четкий инфильтрат, бугристую опухоль или окаймленную твердым валом язву в толще щеки. При наличии резкого тризма может понадобиться наркоз для осторожного открывания рта и ориентировки в его стенках.
Виды, типы, формы (фото)
В онкологической практике принято классифицировать рак неба для облегчения диагностики и подбора точной схемы лечения.
По локализации принято выделять:
- Рак твердого неба. Онкопроцесс в данном случае выявляется на границе ротоглотки и ротовой полости. Опухоль затрагивает костные структуры и с помощью инфильтративного роста быстро распространяется на все слои органа.
- Карциному мягкого неба. Онкопроцесс начинает развитие из слизистой и мышц свода в ротовой полости.
По гистологическому строению выделяют:
- Аденокистозную карциному, или цилиндрому. Злокачественный процесс начинает развитие в пределах железистого эпителия. Опухоль отличается быстрым ростом и бесконтрольным делением клеток, ранним распространением метастазов.
- Аденокарциному. Происходит из железистого эпителия. Может одновременно локализоваться в тканях мягкого и твердого неба.
- Плоскоклеточный рак. Встречается в 90% случаев. Поражение начинается с плоских клеток эпителия в слизистой.
Рак слизистой оболочки десен
Этот рак возникает первично вследствие давления зубных протезов, хронического пародонтоза или на почве лейкокератоза. Вторично он переносится сюда с соседних областей (язык, щека).
Симптомы и клиническое течение
Рак слизистой оболочки десен имеет обычную для раков полости рта папиллярную, бугристую или язвенную форму. Наблюдаются легкая кровоточивость, инфильтрация в глубину, распространение по поверхности с переходом на преддверие рта и щеку и метастазы в железы на шею.
Вследствие тонкости слизистого покрова над челюстью альвеолярный отросток быстро разрушается; зубы, расшатанные обычно уже прежде (обычно опухоль встречается у пожилых людей с пародонтозом), скоро выпадают, и во рту начинается гнилостный распад. На верхней челюсти быстро наступает прободение в гайморову полость, на нижней гораздо реже бывает внедрение в нижнечелюстной канал.
Диагностика
Диагноз на основании изложенных признаков, появляющихся у пожилых людей, не особенно труден, но все же должен быть дополнен биопсией. Разрыхление десен при цинге бывает разлитое, по всему протяжению челюстей, а при раке ограниченное. Эпулиды челюстей характеризуются наличием ножки с подвижной опухолью, истинные саркомы альвеолярных отростков представляют более массивные опухоли, покрытые вначале гладкой слизистой оболочкой. В стадии изъязвления диагностические ошибки возможны, и биопсия имеет решающее значение.
Диагностика
Диагноз ставится на основании жалоб пациента и после осмотра слизистой рта. Подтвердить диагноз помогает биопсия опухоли. Технологичные методы диагностики, такие как УЗИ или томография, при данных опухолях не очень информативны. Чтобы выявить поражение костных тканей нижней и верхней челюстей больному назначают рентген лицевого скелета.
Для выявления метастатических очагов врачи обычно назначают УЗИ органов брюшной полости и рентген органов грудной клетки. Возможно и назначение компьютерной или магнитно-резонансной томографии.
Рак нёба
В этот раздел включают первичные злокачественные опухоли твердого, мягкого нёба и язычка.
Злокачественные опухоли твердого нёба в большинстве своем являются результатом прорастания опухолей гайморовой полости.
А. Рак неба
Клиническое течение
Рак неба начинается в виде папиллом, гиперкератозов и инфильтратов и принимает в большинстве случаев медленное, иногда даже очень медленное течение, постепенно разрастаясь, иногда на протяжении нескольких месяцев, а иногда нескольких лет по большой поверхности твердого и мягкого неба и язычка. При этом опухоль иногда изъязвляется и проникает в толщу костного слоя неба или даже через все его слои.
Диагностика
Диагноз первичного рака нёба не представляет затруднений. Редкие случаи сарком, туберкулезных язв или гуммозных инфильтратов неба могут быть выяснены с уверенностью только посредством биопсии. Простое исследование пуговчатым зондом, введенным через рот, позволяет обнаружить наличие прободения неба, характерного для злокачественных опухолей, прорастающих из гайморовой полости, или для гуммозных перфораций неба. Но даже при отсутствии сомнений биопсия обязательна для установки точного гистологического диагноза рака перед началом лучевого лечения.
Б. Меланома и саркома неба
Наиболее редким видом злокачественных опухолей неба являются меланомы и саркомы. Эти опухоли встречаются очень редко.
Клиническое течение и диагностика
Меланомы обнаруживаются больными или неожиданно в виде мягких коричнево-черных или темно-синих кровоточащих разрастаний, или же появлению их предшествует более или менее долговременное существование на слизистой неба плоских отложений пигмента в виде черных или черно-серых полос и пятен, которые, как известно, являются очень постоянными у некоторых млекопитающих, но очень редки у человека. Патологические отклонения обмена в области таких пигментных отложений и лежат в основе развития меланом. Для дальнейшего прогрессивного развития меланом наиболее характерно обильное метастазирование по лимфатическому и по кровяному току.
Диагностика самого факта наличия меланомы на слизистой неба элементарно проста ввиду ее характерной пигментизации и прогрессивного разрастания, но необходимо выяснить, исходит ли опухоль из слизистой неба и ограничивается ею, или же прорастает в нос, или, наоборот, исходит из гайморовой полости и вторично врастает в небо.
Классификация международной системы TNM
Данная градация по системе TNM разработана в 1978 году Международным противораковым союзом. Рассмотрим ее в следующей таблице.
| Стадии | Т — первичная опухоль | N — поражение регионарных лимфоузлов | М — отдаленные метастазы |
| Tis | N0 | M0 | |
| I | T1 | N0 | M0 |
| II | T2 | N0 | M0 |
| IIIA | T3 | N0 | M0 |
| IIIB | T любая | N1 | M0 |
| IVA | T4 | N2 | M0 |
| IVB | T любая | N3 | M0 |
| IVC | T любая | N любая | M1 |
Рассмотрим резюме к перечисленным в таблице критериям.
Т — первичная опухоль:
- Тis — преинвазивная карцинома или рак in situ;
- Т1 — новообразование менее 2 см, локализуется в пределах слизистой;
- Т2 — опухоль 2—4 см, прорастает в подслизистый слой, но остается в пределах неба;
- Т3 — новообразование от 4 см, распространяется за границы пораженного органа посредством инвазивного роста;
- Т4 — опухоль локализуется в соседних тканях, например, нервных окончаниях, мышцах языка и щек, костных структурах черепа.
N – поражение регионарных лимфатических узлов:
- N0 — отсутствует;
- N1 — подвижные, пальпируются с одной стороны пораженного органа;
- N2 — подвижные, выявляются с обеих сторон неба;
- N3 — неподвижные, спаяны с окружающими тканями.
М — отдаленные метастазы:
- М0 — отсутствуют;
- М1 — определяются.
Рак ротового отдела глотки
На первый план выступают злокачественные опухоли глоточных миндалин. Небные дужки и боковая и задняя стенки глотки очень редко становятся первичными очагами злокачественных новообразований.
Симптомы и клиническое течение
Раннее появление болей, иногда с отдачей в ухо, типично для раковых опухолей миндалин вследствие характера их роста, очень рано начинающего инфильтрировать соседние ткани с их нервными элементами.
Наоборот, саркомы миндалин и «смешанные» опухоли, долгое время не прорастающие своей капсулы, протекают в течение месяцев, а иногда и лет совершенно безболезненно. Раковые опухоли раньше других переходят на соседние органы (дужки, небо, язык, стенки глотки), а саркомы и «смешанные» опухоли долгое время ограничиваются только миндалиной. Только значительно позднее возникает расстройство речи (гнусавость голоса) и снижение слуха при разрастании опухоли в сторону глоточного отверстия евстахиевой трубы. Далее, при возникновении распада опухоли, появляются зловоние изо рта и выделение гноя и крови из опухолевых язв; развивается иногда также сведение челюстей, еще более затрудняющее питание. В этом периоде все виды опухолей вызывают жестокие боли, отдающие в ухо и в голову, и развивается кахексия.
В начальном периоде развития любых опухолей, пока они не вышли за пределы миндалины, субъективно неприятные ощущения у больных могут совсем отсутствовать или бывают настолько малы, что побуждают больных довольствоваться применением домашних средств, главным образом различных полосканий, вовсе не обращаясь к врачу. Иногда больные, еще ничего не ощущая в горле, прежде всего обнаруживают у себя наличие увеличенных лимфатических узлов на шее под краем нижней челюсти, и даже осматривающие врачи принимают эти узлы за первичные очаги болезни и «лечат» больных в соответствии с таким предположением.
• А. Рак миндалин
Наиболее частые формы этой локализации, плоскоклеточные ороговеваюшие раки, протекают иначе. Они проявляются в виде бугристых твердых опухолей, постепенно переходящих на соседние ткани, и вызывают тягостные местные симптомы, главным образом в связи с появлением кратерообразных язв с гнилостным распадом и кровотечениями.
Более редкие плоскоклеточные неороговевающие раки, лимфоэпителиомы и раки из «переходных» эпителиев, наоборот, метастазируют уже в ранних стадиях своего развития, и притом не только на шею, но иногда и в отдаленные органы, особенно в легкие.
Наконец, встречается еще более редкая сосочковая (папиллярная) форма рака миндалин, возникающая как исход незлокачественных папиллом. Несмотря на более поверхностный характер роста этой формы, она является очень злокачественной, быстро распространяется по плоскости и дает как регионарные, так и отдаленные метастазы.
Плоскоклеточные ороговевающие раки наименее лучечувствительны; наоборот, неороговевающие раки, лимфоэпителиомы и раки из «переходных» эпителиев в высокой степени чувствительны к лучам как в своих первичных очагах, так и в метастазах, приближаясь в этом отношении, как и в своей морфологии и в своих биологических свойствах, к ретикулоцитомам и к круглоклеточным саркомам.
• Б. Саркома миндалин
Саркомы миндалин встречаются реже, чем раки. Саркомы миндалин бывают изъязвляющиеся и неизъязвляющиеся. Первые – более злокачественны; они прорастают слизистую, инфильтрируют корень языка и глотку, образуя зловонные язвы и быстро метастазируют в верхние отделы шеи. Неизъязвляющиеся саркомы растут медленнее; они превращают миндалины в очень большие шаровидные опухоли, покрытые неизмененной слизистой, как при простой гипертрофии миндалин, и только в поздних стадиях появляется поверхностное изъязвление. На ощупь эти опухоли отличаются от простых гипертрофий значительно большей твердостью, однако они все же менее тверды, чем раковые опухоли.
Несмотря на то, что боли, вызываемые саркомами, значительно меньше, чем вызываемые раками миндалин, больные саркомами обращаются за лечебной помощью, как правило, в более ранние сроки после начала заболевания, чем больные раком этих органов. Это можно объяснить более быстрым ростом сарком и более ранним появлением шейных метастазов, привлекающих к себе внимание больных. Иногда в самой глотке процесс развития сарком начинается так остро, что создает впечатление ангины, побуждающее врача к разрезам, от которых течение болезни еще более ускоряется. Неизъязвляющиеся саркомы, покрытые нормальной слизистой оболочкой, протекают медленнее других, но с течением времени все же подвергаются язвенному распаду с неизбежной инфекцией, ускорением роста и инфильтрацией соседних органов.
• В. Смешанные опухоли
Смешанные опухоли миндалин наблюдаются редко. Это – характерные опухоли типа новообразований слюнных желез. Они могут расти годами, раздвигая окружающие органы, поднимаясь в носоглотку и спускаясь к языку, не срастаясь со слизистой и не прорастая ее. В этом периоде они причиняют лишь механические неудобства, связанные с наличием как бы большого инородного тела в глотке. Однако рано или поздно может наступить распад опухоли, прободение слизистой с последующей инфекцией и злокачественным превращением опухоли. После этого возможно, хотя и не обязательно, развитие метастазов. Исключительно редким наблюдением является возникновение в глотке опухоли смешанного типа, стоящей в непосредственной связи с глоточным отростком околоушной железы.
Диагностика
Диагностика опухолей глоточного кольца основывается на их клинической картине. Прежде всего необходимо выяснить, имеется ли истинная опухоль – бластома миндалин и их окружности – или реактивная гиперплазия тканей на почве тех или иных конституциональных особенностей или воспалительно-инфекционных процессов, далеко не редких в данной области. Второй существенный вопрос – это спецификация данной бластомы как высокодифференцированного ороговевающего рака, как одной из низкодифференцированных форм рака или столь же низкодифференцированных сарком, или же как смешанной опухоли.
Что касается первого вопроса, то общеизвестные двусторонние симметрические, мягкие и безболезненные гиперплазии миндалин у детей с лимфатической конституцией вряд ли могут давать серьезный повод к смешению с злокачественными опухолями. Гораздо больше сомнений могут возбуждать односторонние гиперплазии – последствия перенесенных ангин и перитонзиллярных абсцессов, то неравномерно бугристые, иногда даже с гнойными выделениями и распуханием шейных узлов, то покрытые сосочками наподобие папиллярного рака.
Подобные опухоли почти всегда остаются довольно мягкими, и обычная биопсия быстро решает вопрос об их гистологическом строении.
Туберкулезные язвы на миндалинах очень редки; они имеют тонкие, подрытые края, всегда сопровождаются выраженными туберкулезными изменениями в легких и легко распознаются посредством биопсии. О редких наблюдениях гуммы миндалин надо сказать, что края ее бывают гладкие, не вывороченные, как при раке, а дно – тоже ровное, не изрытое. Отрицательная реакция Вассермана в значительной степени исключает диагноз гуммы; наоборот, положительная ни в коем случае не исключает диагноза злокачественной опухоли, так как опухоли далеко не редки у людей, имеющих в анамнезе сифилитическую инфекцию.
Переходя ко второму вопросу, необходимо иметь в виду признаки самой частой из злокачественных опухолей миндалин – плоскоклеточного ороговевающего рака. Это очень твердая, бугристая опухоль, исходящая из самой слизистой оболочки, и поэтому с самого начала с ней спаянная и быстро изъязвляющаяся. Инфильтрируя органы по своей окружности, этот рак создает вокруг себя отек, скрадывающий его границы. Вследствие рано возникающих болей опухоль не остается бессимптомной и может быть обнаружена еще до того, как даст шейные метастазы. Иногда такие метастазы все же появляются сравнительно рано и прежде всего в подчелюстной области и у места деления общих сонных артерий; при прощупывании они обычно бывают твердыми.
Низкодифференцированные формы – плоскоклеточные неороговевающие раки, раки из «переходных» эпителиев и лимфоэпителиомы, метастазируют, наоборот, очень рано и клинически обычно не могут быть с достоверностью отличены не только друг от друга, но и от изъязвляющихся сарком. Как правило, лимфоэпителиальные раки оказываются более поверхностными, чем массивные саркомы, но распространяются по поверхности на обширные участки слизистой оболочки. Однако даже после гистологического исследования остаются так называемые «пограничные» случаи, где не удается уточнить диагноз. Появление очень крупных метастазов на шее говорит скорее о низкодифференцированном раке, чем о саркоме.
Признаки смешанных опухолей (очень длительное течение, ровновыпуклая, реже – дольчатовыпуклая поверхность опухоли, твердоэластическая ее консистенция, сохранение смещаемости слизистой над ними) настолько характерны, что диагноз не представляет трудностей, по крайней мере до тех пор, пока малигнизация не разовьется очень сильно и не превратит опухоль в резко разрушительную форму рака.
При всех изъязвившихся злокачественных опухолях необходимость и безвредность биопсий для уточнения их диагностики не внушает сомнений.
Симптомы (первые признаки и последующие)
На ранних стадиях заболевания клиническая картина практически отсутствует, в связи с чем важно обращать внимание на состояние полости рта и посещать стоматолога при выявлении любых нехарактерных дефектов.
Самостоятельно обнаружить опухоль неба можно с помощью языка — она ощущается и выглядит как небольшое уплотнение на слизистой, окруженное валиком. В это время появляются первые признаки патологического процесса:
- снижение веса;
- повышенная утомляемость;
- ухудшение работоспособности.
С разрастанием и распространением опухоли на соседние ткани отмечаются следующие явления:
- боль в области неба, иррадиирующая в уши и височную зону;
- дискомфорт, возникающий при жевании;
- неприятный запах и привкус во рту.
Рак неба нередко протекает с артикуляционными расстройствами ввиду серьезного ограничения подвижности языка. Растущая опухоль мешает полноценно дышать, человек словно говорит в нос.
Специфические признаки карциномы неба появляются не сразу. Перечислим их:
- отечность слизистой полости рта;
- охриплый голос;
- возникновение пятен в области онкоочага — изначально они имеют белый цвет, затем становятся бурыми или красными;
- кровоточащие ранки во рту;
- онемение слизистой, переходящее со временем в невыносимый болевой синдром, связанный с вовлечением в онкопроцесс нервных окончаний.
Саркома языка
Саркомы этого органа являются редкими формами злокачественных опухолей, свойственными не пожилому, а юношескому и даже детскому возрасту.
Симптомы и клиническое течение
По своему внешнему виду «саркомы» языка бывают узловатые, интерстициальные, целиком сидящие в толще языка, и грибовидные, в значительной степени выдающиеся над поверхностью органа.
Клиническое течение таких, по существу своему разнохарактерных образований, естественно, оказывается различным и не поддается точному описанию. Наблюдаются случаи с медленным доброкачественным течением, особенно среди грибовидных форм, но всегда возможен переход в быстро развивающиеся, изъязвляющиеся, инфильтрирующие и метастазирующие опухоли.
Диагностика
Распознаванию неэпителиальной злокачественной опухоли языка должно быть уделено особое внимание при всяком твердом прогрессирующем инфильтрате в языке при ненарушенной слизистой оболочке, особенно у молодых людей. Из числа доброкачественных опухолей гемангиомы лишь в виде редкого исключения могут дать повод к смешению с саркомами. Саркома корня языка может быть принята за язычный зоб, который не очень редко наблюдается в этой области у молодых людей. Решающей в диагностике является, конечно, биопсия.
Предраковые состояния
Озлокачествлению образований во рту предшествуют нижеследующие состояния:
- Болезнь Боуэна характеризуется появлением пятна на слизистой полости рта, размер которой не превышает 5 см. Пятно гладкое или бархатистое, края неровные. При западании образуется эрозия.
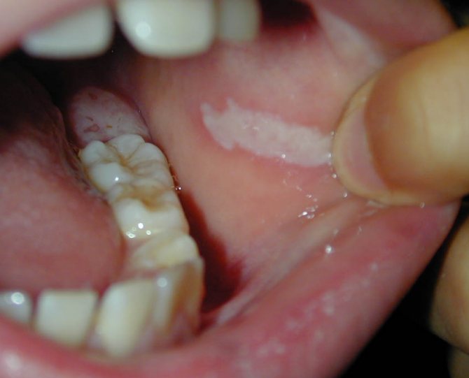
- Лейкоплакия. При лейкоплакии верхние слои эпителия уплотняются и грубеют. Связано это с воспалительными процессами на слизистой оболочке полости рта. Лейкоплакию разделяют на три подвида: плоскую или простую, веррукозную, также называют лейкокератоз или бородавчатая, а также эрозивную.
- Папиллома является доброкачественным эпителиальным образованием, представляющая собой сосочковые разрастания соединительной ткани. Цвет папиллом светлый, размеры ее достигают двух сантиметров. Имеют тонкую ножку и широкое основание. Кроме папилломы, к доброкачественным опухолям ротовой полости относят кисты и ангиомы.
- Язва простая и эрозивная спровоцированы некачественными протезами или отломками зубов, которые травмируют слизистую полости рта.
- Ромбовидный глоссит обычно носит хроническое течение. Язык уплотненный, больного мучают обильное слюноотделение, болит язык. Образование имеет форму ромба на спинке языка.
- Дисплазия является промежуточным состоянием между предраком и раком. Поврежденные клетки обретают злокачественный характер.
Профилактика раков полости рта
Профилактика рака органов полости рта – одна из самых благодарных задач профилактики рака вообще, разрешаемая на нынешнем уровне наших знаний главным образом посредством борьбы с предраковыми болезнями.
Забота о гигиене полости рта, об исправлении испортившихся зубных протезов, о сглаживании колющих поверхностей зубов, об излечении пародонтоза, лейкоплакий и простых язв во рту, причем совершенно обязателен полный отказ от курения, обязательное тщательное полоскание рта и чистка зубов на ночь перед сном во избежание разложения во рту пищевых остатков – вот перечень элементарных гигиенических мероприятий, предотвращающих развитие так называемых предраковых болезней и тем самым предупреждающих возникновение рака.
Информация, представленная в данной статье, предназначена исключительно для ознакомления и не может заменить профессиональную консультацию и квалифицированную медицинскую помощь. При малейшем подозрении о наличии данного заболевания обязательно проконсультируйтесь с врачом!
Причины болезни
Ученые до сих пор не пришли к однозначному решению о том, из-за чего возникают злокачественные образования, но многочисленные статистические данные, а также исследования, выделяют несколько факторов, провоцирующих возникновение раковых клеток в полости рта:
- Злоупотребление табаком. Немало говорится о вреде курения, в том числе и о том, что никотин способствует развитию злокачественных образований. Риск развития рака полости рта у курильщиков в 6 раз больше, по сравнению с некурящими. 90% больных раком полости рта являются курильщиками. При соприкосновении табака с губами (насвай, снафф), чаще всего возникает рак губы. Злоупотребление жевательным табаком, табачными смесями – рак щек и десны. Причиной агрессивности табака в таком виде является то, что происходит непосредственный контакт с поверхностью кожи во внутренней стороне ротовой полости, что приводит к воспалительным процессам, а впоследствии к раковым образованиям. Не менее вредным является и пассивное курение, так как вдыхаемые канцерогены также провоцируют рост раковых клеток. Зачастую предраковым состоянием у курильщиков является возникновение меланотического пятна в ротовой полости;
- Алкоголь. Давно известен тот факт, что алкогольные напитки приносят колоссальный вред нашему здоровью, особенно если их потребление систематическое и бесконтрольное. Спирт и другие канцерогены, содержащиеся в алкоголе, пагубно влияют на состояние ротовой полости. По статистике у 80 процентов пациентов с данным диагнозом, в прошлом был опыт употребления алкоголя в больших количествах;
- Воздействие ультрафиолетовых и радиоактивных лучей, а также контакт с химическими веществами. В силу своей профессии, некоторые люди вынуждены пребывать долгое время на солнце, работать с лакокрасочными веществами, сажей. Также некоторые профессии связаны с работой с вредными токсическими веществами, где при несоблюдении средств защиты, риск развития патологии полости рта довольно высок. Треть пациентов с диагнозом «рак полости рта» связывают свою болезнь со своей профессиональной деятельностью. Иногда бывают случаи неправильного использования анестетиков, приводящих к доброкачественным опухолям слюнных желез, именуемые сиалометаплазией;
- Неправильное питание. Злоупотребление острой пищи, а также пищи в горячем виде, приводят к раздражению и нарушению целостности эпителия рта. Врачи всегда рекомендуют употреблять в пищу теплую еду. Это полезно не только для ротовой полости, но и для всех органов ЖКТ. Также нехватка витамина A в рационе человека способна вызвать атрофические изменения, а также спровоцировать развитие раковых клеток в полости рта;
- Вирусы. Гигиена полости рта предотвращает нас не только от порчи зубов и десен, стоматита (воспалении полости рта), но и способствует устранению некоторых вирусов и инфекций, способных спровоцировать рост раковых клеток. В зоне риска находятся люди, у которых есть папилломавирусная инфекция, поскольку данная категория людей легко подвержена возникновению различного рода раковым заболеваниям;
- Наличие раздражителей в ротовой полости. Часто причиной нарушения целостности поверхности эпителия, в последующем приводящей к воспалительным процессам и новообразованиям, служат некачественно сделанные пломбы, протезы, сломанные зубы. При таких явлениях поход к стоматологу обязателен, благо все эти проблемы легко устранить;
- Генетическая предрасположенность. Как известно, рак зачастую носит наследственный характер. Рак полости рта не исключение. Если кто-либо в роду заболевал данной болезнью, человеку необходимо быть крайне бдительным к своему здоровью;
- Пожилые люди заболевают раком полости рта чаще, чем люди помоложе. Сопутствующие хронические заболевания, такие как, сахарный диабет, снижают иммунитет, что может привести к раковым образованиям в полости рта.
Рецидивы
После выписки из стационара специалисты настаивают на том, чтобы пациент каждые 3 месяца проходил осмотр полости рта у онколога и раз в год — полное обследование на предмет возможного рецидива заболевания. Только в этом случае можно своевременно заметить и начать лечение возникшего вторичного новообразования.
Рецидивы при раке неба могут быть местными, то есть располагаться в области первичного онкоочага, или отдаленными, которые находятся в любом из органов, куда с током крови или лимфы попали злокачественные клетки из опухоли.
Чаще всего вторичная карцинома встречается в первые 24 месяца после проведенной терапии. Если онкопроцесс не вернулся в ближайшие 5 лет, болезнь считается вылеченной полностью.
Этиология
Причины возникновения злокачественных образований в ротовой полости связаны с:
- повреждающим воздействием токсических веществ (сигареты, алкоголь, курительные смеси);
- употреблением острой и горячей пищи (вследствие температурного воздействия меняется нормальное строение клеток);
- постоянными травмами, которые образуются из-за неправильной установки ортопедических конструкций (протезов, коронок);
- предраковым состоянием полости рта. К таким состояниям относятся лейкоплакия, папилломатоз. Возникшие в результате таких процессов новообразования наиболее часто перерождаются в злокачественные.
Лейкоплакия ротовой полости — одно из предраковых состояний.
Помимо основных причин выделяют также факторы риска, которые могут привести к раку верхнего неба:
- наследственность;
- частые воспалительные процессы в полости рта;
- неправильное питание. В данном случае особое снимание следует уделить получению витамина А. Дефицит этого витамина часто фиксируется у курящих людей.
Диагностические процедуры
В начале развития заболевания обнаружить опухоль может только стоматолог. Когда опухоль уже значительно увеличилась в размерах, для постановки диагноза достаточно визуального осмотра.
Для подтверждения диагноза используются следующие методы:
- Рентгенография. С ее помощью можно выявить патологические процессы в костных структурах.
- Биопсия. Для ее проведения требуется небольшой кусочек ткани с пораженного участка, исследование которого позволяет выявить патологические изменения в клетках и определить стадию заболевания.
- Анализ крови. Показывает наличие воспалительного процесса, а также анемию.
- Радиоизотопное исследование. Позволяет изучить опухоль изнутри.
- Ультразвуковое исследование. Позволяет определить наличие метастазов.
На этапе диагностики важно дифференциировать патологию от других, схожих по симптоматике.
Для чего применяются онкомаркеры?
Онкомаркеры в основном используются для мониторинга течения заболевания и оценки эффективности лекарственной терапии опухолевых заболеваний. В том случае, если изначально при установлении диагноза у пациента было обнаружено повышение онкомаркера, в дальнейшем с его помощью мы можем отслеживать, как проходит лечение.
Часто после операции или проведенного химиотерапевтического лечения мы видим, как уровень маркера с нескольких тысяч единиц буквально «обваливается» до нормальных значений. Его повышение в динамике может говорить о том что, произошел либо рецидив опухоли, либо оставшаяся, как говорят врачи, – «резидуальная» опухоль проявила резистентность к лечению.
Диета
Питание при раке неба должно быть направлено на улучшение общего самочувствия пациента, снижения у него риска метастазов и рецидива злокачественного процесса. В целом рекомендуется сбалансированная диета с содержанием достаточного количества микроэлементов и витаминов.
В процессе лечения рака в полости рта важно избегать следующих блюд:
- спиртные напитки;
- сладкая пища;
- горячая, кислая, пряная и прочая еда, раздражающая ротовую полость;
- хрустящие продукты, например чипсы.
После хирургического вмешательства или лучевой терапии многим пациентам организуется питание через зонд, при этом трубка вводится в желудок через разрез в брюшной полости. Как правило, речь идет о временной мере и спустя восстановительный период многие люди возвращаются к обычному способу приема пищи.
Не секрет, что сама патология, связанная со злокачественным поражением неба, протекает с выраженным болевым синдромом для пациента. Поэтому питание должно быть строго измельченным, гомогенизированным и полужидким, чтобы еда не задерживалась в полости рта и ее не приходилось долго жевать. Твердые продукты на время полностью убираются из рациона. Предпочтение следует отдавать овощам и фруктам, приготовленным на пару, кашам и протертым супам, морской рыбе, кисломолочным и прочим витаминизированным напиткам.
Осложнения
Рак нёба – опасная болезнь. Голова и шея кровоснабжаются чрезвычайно хорошо, поэтому все патологические процессы распространяются в кратчайшие сроки. Рядом располагаются жизненно важные органы – головной мозг, дыхательные пути, крупные кровеносные сосуды (ветви наружной и внутренней сонной артерии), нервные стволы. При вовлечении этих структур прогноз становится неблагоприятным.
Раз опухоль изъязвляется, присутствует высокий риск присоединения вторичной инфекции и попадания микроорганизмов в кровь. В условиях сниженного иммунитета возникнет септическое состояние, характеризующееся полиорганной недостаточностью.
При прорастании рака в кровеносные сосуды возможны опасные для жизни массивные кровотечения. Увеличение размеров опухоли грозит образованием механического препятствия прохождению воздуха в лёгкие, в таком случае разовьется асфиксия.
Стадии развития заболевания
Специалисты выделяют несколько стадий:
- Начальный этап. Характеризуется возникновением дискомфорта, нетипичных ощущений в ротовой полости. Боли в этот период еще не возникают, однако уплотнение слизистой специалист уже заметит. Отмечается начало язвенного процесса.
- Вторая стадия. Симптоматика становится более выраженной, появляются боли. Обычно пациенты обращаются за помощью именно на этой стадии.
- Последняя стадия. Сопровождается очень сильной болью, опухоль быстро прогрессирует, стремительно захватывая все новые участки.



















