В повседневной лексике свищ – это сквозная дыра, отверстие или пустота. В медицине свищ имеет и другое название, побуквенно интегрированное с латыни – фистула (то есть трубка). Это может быть глубокая рана с узким отверстием либо канал, соединяющий разные полости. Обычно свищ устлан эпителием и объединяет опухоль или полые внутренние органы с поверхностью тела. Иногда появляются свищи, внедряющиеся между внутренними полостями, а еще свищи специально делают во время хирургических операций, подготавливая таким образом путь для последующего отвода содержимого определенной полости.
Свищ – это глубокая рана с узким отверстием либо канал, соединяющий разные полости
Как правило, свищи именуются в зависимости от своей локации. Таким образом, встречаются различные свищи – от зубного до копчикового.
- Бронхиальный свищ образовывается в бронхах и проявляется патологическим сообщением этого органа с плевральной полостью.
- Желудочный свищ в природе не существует и является результатом деятельности хирургов. Обычно создается во время резекции желудка или является альтернативой проведения радикальной хирургии на пищеводе.
- Дуоденальный свищ находится в двенадцатиперстной кишке,а свищ ректовагинальный повреждает перегородку.
Ректальные свищи бывают двух типов:
- аноректальный;
- параректальный.
Что такое свищ
В результате разнообразных патологических процессов в очаге воспаления накапливается гнойная жидкость – она состоит из клеток бактерий вместе с продуктами их жизнедеятельности и мертвых лейкоцитов. В ходе развития патологии количество экссудата постепенно увеличивается, он не помещается в полости, поэтому организм пытается дать ему выход. Так образуется свищ – фистула (трубка, канал), которая соединяет пораженную полость или орган с местом выхода экссудата (поверхностью кожи или другой полостью).
Через свищ, поверхность которого покрывает эпителиальный слой или грануляционная ткань, постоянно проходит гнойный секрет, умножая воспаление, поэтому самопроизвольное заживление такой патологии проблематично, но в некоторых случаях возможно. Кроме того, свищи часто имеют множественные ответвления, что затрудняет оперативное удаление патологии.
При определенных условиях микроорганизмы из гнойной жидкости могут «мигрировать» в окружающие органы и ткани, провоцируя появление новых очагов воспаления. Состав отделяемого вещества напрямую зависит от органа, с которым связан канал; чем агрессивнее секрет, тем более он повреждает кожу или близлежащие ткани. При возникновении свищей происходит потеря жидкости, интоксикация организма, что приводит к нарушениям обмена веществ и водно-солевого баланса.
Свищи могут существовать в организме продолжительное время и при отсутствии должного лечения поражать несколько органов. Если воспаление исходного органа купируется, в канал перестают поступать гнойные выделения, он закрывается и заживает. При возобновлении патологического процесса фистула снова начинает функционировать, накапливать и выделять экссудат – происходит рецидив.
- Выпадение геморроидальных узлов — причины, признаки, лечение медикаментозными и народными средствами
- Появление шишки за ухом у взрослого
- Что будет, если не лечить геморрой — стадии развития, осложнения у мужчин и женщин
Профилактика
Врачи давно установили связь между здоровьем зубов и нервной системой. Причиной свища на десне может стать стрессовая ситуация. Поэтому сохранение душевного равновесия очень важно не только для нервной системы: и для организма в целом. Занимайтесь фитнесом, гимнастикой, плаванием или иным видом спорта для укрепления стрессоустойчивости.
Хорошей профилактикой гнойных процессов в деснах является регулярное полоскание ротовой полости раствором морской соли. Достаточно растворить ложечку соли в чашке с тепловатой водой и держать во рту 18-20 секунд, а потом сплевывать. Если не забывать об этом, раствор сохранит ткани десны в здоровом состоянии.
Если вы заметили раздражение на десне, сразу же смазывайте пораженное место жидким медом. В меде находятся антибактериальные компоненты, которые помогут преодолеть начальную стадию воспаления. Однако в запущенных случаях этот метод не поможет.
Свежевыжатый сок клюквы — прекрасное профилактическое средство от разного рода бактерий. Кислота уравновешивает переизбыток щелочной среды и помогает очищать полость рта от болезнетворных микроорганизмов.
Цитрусовые и продукты с большим количеством витамина С помогают сохранять здоровье десен. Опасное заболевание цингой происходило именно из-за недостатка витамина С. Губительно сказывается на здоровье десен и зубов никотин — необходимо избавиться от привычки курить, чтобы сохранить красивую улыбку надолго.
К мерам профилактики относится и заботливый уход за полостью рта, употребление зубной нити и паст с содержанием микроэлементов с растворами трав. Бальзамы-ополаскиватели тоже помогают предотвратить нагноение в деснах.
К профилактическим мерам относится и известный всем совет посещать стоматолога дважды в год, о котором многие забывают. Именно на приеме у врача можно узнать о начале развития патологических процессов, симптомы которых незаметны. Найдите время для визита в кабинет стоматолога раз в полгода.
Как выглядит свищ
Различают внутренние фистулы, которые соединяют полости внутри организма, и наружные. Свищ на коже выглядит, как воспаленная рана, из которой сочится гной, края могут напоминать губы (см. фото ниже). Наружная фистула возникает на кожных покровах человека вблизи полостей – например, в области горла и носа. В некоторых случаях человек может не знать о наличии воспалительного процесса в организме, пока на поверхности кожи не появится свищевое отверстие. При тяжелом поражении внутренних органов из канала может выделяться не только гнойный экссудат, но и каловый, мочевой, желчный.
Как лечить ребенка
Свищ на десне у ребенка тоже появляется вследствие инфекционного процесса. Причины образования могут быть разные:
- удар при падении;
- пристрастие к сладостям;
- невылеченный кариес;
- прорезывание коренных зубов.
Обычно молочный зубик сразу удаляют, чтобы убрать источник воспаления. Далее лечение проводят на дому — назначают солевое полоскание, применение противовоспалительных и регенерирующих средств. Если малыш еще не умеет полоскать рот и чистить зубки самостоятельно, можно делать солевые компрессы — прикладывать к десне смоченный в солевом растворе тампон.
Какие полоскания помогают? Можно полоскать Хлоргексидином, а также применять Мирамистин или Бетадин. Для быстрой регенерации тканей применяют детские гели для прорезывания зубов — они снимают отек и заживляют ранку.
От чего появляется
В качестве этиологического фактора могут выступать грамотрицательные, анаэробные бактерии, золотистый стрептококк, стафилококки, некоторые виды грибков и т.д. Свищи образуются по следующим причинам:
- туберкулезная инфекция;
- болезнь Крона (тяжелое хроническое заболевание желудочно-кишечного тракта);
- актиномикозы − хронические заболевания, возникающие вследствие заражения грибком;
- осложнения после проведения оперативного вмешательства (например, лигатурный свищ образуется из-за нагноения вокруг швов на кровеносных сосудах);
- хронические лор-заболевания;
- наличие секвестров – омертвевших участков кости;
- травмы околокишечной клетчатки;
- стоматологические патологии (периодонтит, кариес);
- парапроктит – воспаление в криптах анального канала кишечника;
- новообразования (доброкачественные и злокачественные) на прямой кишке;
- нагноение вокруг инородных тел внутри организма (например, пуля или ее осколки).
Прогноз
При раннем обращении к врачу с первыми признаками лигатурного свища у большинства пациентов отмечается выздоровление (около 70%). Успех полностью зависит от того, удалось ли извлечь нить. Повторное обострение и появление свищевого хода в другом месте встречается у 20%, примерно столько же случаев составляют и неоднократные операции.
Самолечение и несвоевременное хирургическое вмешательство приводят к осложнениям, часть которых опасна для жизни или требует обширного иссечения тканей.
Симптомы
Признаки фистулы в большинстве случаев похожи, зависят от локализации очага воспаления и пораженного органа. Свищи могут возникать где угодно, например: на спине, ягодицах, в паху, груди, на пятке, пальце, животе, промежности и др. При патологии больной наблюдает у себя следующие симптомы:
- субфебрильная температура тела из-за наличия в организме воспалительного процесса;
- признаки интоксикации – слабость, головные и мышечные боли, нарушение сна, снижение работоспособности;
- наличие характерного болевого синдрома, если свищевой ход затрагивает нервные окончания (например, свищ прямой кишки сопровождается болезненными ощущениями в области заднего прохода, которые усиливаются во время дефекации);
- боль стихает после прорывания пузыря на конце канала и выделения секрета на кожу или в полость.
Диагностика свища на шве после операции
Хотя внешние признаки, симптомы воспаления и наличие свища на шве после операции не вызывают сомнений в диагнозе, но для выбора тактики лечения необходимо обследование:
- осмотр (проходит в манипуляционном кабинете, процедурной, так как необходима стерильность) – врач оценивает отделяемое и глубину уплотнения ткани, зондирует ход, нередко можно увидеть и кончик нити в просвете, ее осторожно подтягивают и при возможности удаляют;
- УЗИ лигатурного свища – помогает определить его направление и форму, расположение нитки, состояние соседних тканей и органов, под контролем УЗИ хирургу иногда удается устранить шовный материал;
- фистулография – в свищевой ход вводят контраст и делают серию рентгеновских снимков в разных проекциях.
Фистулография лигатурного свища При зондировании свища трудно точно проследить ход, а также его возможную связь с глубокими полостями, наличие ветвей, есть риск травмирования. При фистулографии недостатком является лучевая нагрузка. Поэтому УЗИ признано самым безопасным методом, в последнее время его проводят после введения антисептической жидкости (например, Фурацилина).
Раствор будет своеобразным контрастным веществом, он позволяет более точно определить протяженность свища, его форму и взаимосвязь с соседними тканями.
Если такая диагностика не проведена, то при попытке извлечь нитку сохраняется большой риск повреждения стенки органов. Важно также учитывать, что нередко неподалеку от существующего уже начинает формироваться и другой свищ.
Виды
Существует несколько классификаций свищей. По происхождению выделяют следующие виды:
- Врожденные фистулы образуются из-за пороков развития эмбриона; некоторые из них (например, пупочный свищ) врачи обнаруживают до или во время родов.
- Приобретенные патологические каналы возникают вследствие воспалительных процессов, травм или операций (например, свищ на ноге или руке может возникнуть из-за перелома или ушиба).
- Созданные искусственно фистулы предназначены для отвода из организма жидкостей (гнойной, мочевой, каловой, желчной).
По расположению свищи делятся на следующие виды:
- Мочевые – устанавливаются на мочеточники, мочевой пузырь или мочеиспускательный канал, возможно образование в результате травмы.
- Желчные свищи возникают из-за проведенных операций на желчном пузыре. Секрет, выделяемый такой фистулой, оставляет ожоги на близлежащих тканях, поэтому приступать к лечению нужно немедленно.
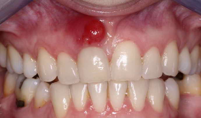
- Гнойные каналы могут возникнуть в любом месте на теле, зачастую они появляются на деснах из-за некачественно залеченного зуба. В редких случаях гнойный свищ может зажить самостоятельно, но чаще наступает рецидив и через канал снова начинает выделяться гнойный экссудат.
- Слюнные фистулы образуются вследствие воспалительных процессов на щеке, шее или в ухе, через них выделяется слюна.
- Бронхиальные – соединяют бронхи с плевральной полостью.
- Желудочные свищи устанавливают искусственно для энтерального кормления больного после резекции желудка при отклонениях пищеварительной системы и желудочно-кишечного тракта.
- Существуют фистулы верхнего и нижнего отделов тонкого кишечника. Первые возникают из-за травм или операций, зачастую заживают самостоятельно при должном уходе, вторые создаются хирургами для отвода каловых масс при непроходимости кишечника или перитоните (каловый свищ).
- Каналы на толстом кишечнике возникают вследствие травм, операций или устанавливаются искусственно. Часто заживают самостоятельно, но требуют специального ухода – использования защитных мазей во избежание травм.
- Что такое стома: виды и уход после операции
- Дивертикулярная болезнь толстого кишечника
- Геморроидэктомия — что это такое, показания к проведению операции, подготовка и осложнения
Лигатурный свищ послеоперационного рубца после родов, кесарева, аппендицита: признаки, причины
Лигатурный свищ
- Лигатура — это специальные медицинские нити, которые врачи используют для послойного сшивания тканей, поврежденных во время хирургического вмешательства. Обычно перед их использованием открытую рану тщательно обрабатывают дезинфицирующими средствами и только после это переходят к наложению шва
- Но иногда таких действий оказываться недостаточно и вместе с нитью в организм попадают болезнетворные бактерии, провоцирующие сильное нагноение и образование лигатурного послеоперационного свища. Как правило, он вскрывается через несколько дней и вместе с гноем из него выходит и материал, который использовался для зашивания раны
- Чаще всего такую проблему провоцируют шелковые нити, поэтому последнее время врачи стали использовать материал, который через минимальный временной отрезок рассасываеться сам и не требует снятия швов и дополнительной обработки
Главной причиной развития послеоперационного свища является инфекция Основные причины появления свища после операции:
- Оргазм воспринимает материал, который использовался для зашивания раны, как чужеродное тело и начинает его отторгать
- Инфицируется сама рана, а также лигатура
- Несвоевременная и некачественная обработка послеоперационного шва
- Слишком большой возраст пациента
- Лишний вес
- Сниженный иммунитет
Признаки свища:
- Вкруг разреза в кожных покровах появляется уплотнение, которое при надавливании начинает ощутимо болеть. В некоторых случаях появляются ярко выраженные бугорки, которые выделяют инфильтрат
- Возле инфицированного рубца будет явно заметно покраснение. Причем ярче всего оно будет выглядеть по ходу наложения лигатуры
- Может очень резко подняться температура. А так как в организме все время будет усиливаться воспалительный процесс, то сбиваться она до нормальных показателей не будет
- Появляется сильное нагноение, которое при неправильном лечение превращается в мокнутие довольно больших размеров
- Свищевое отверстие может на некоторое время затягиваться, а затем воспаляться с новой силой
Методы диагностики
Для постановки точного диагноза врач знакомится с анамнезом пациента, проводит пальпацию воспалительного очага, оценивает количество и внешний вид выделяемой жидкости, опрашивает больного о жалобах на предмет нарушений функционирования внутренних органов. После этого доктор направляет больного на дальнейшие диагностические мероприятия:
- Анализ крови и мочи, посев крови на наличие болезнетворных бактерий могут сказать о наличии воспаления и его характере.
- КТ (компьютерная томография), МРТ (магнитно-резонансная томография) часто используются как средство диагностики свищей.
- Одним из самых эффективных методов считается рентгенография с введением контрастного вещества в полость фистулы для определения размера, длины, разветвленности свища.
- Не менее эффективным считается метод зондирования, он применяется только в случаях наружных фистул, при которых внешний край выходит на поверхность кожи.
- Исследования гнойной жидкости используют для определения первичного органа, давшего начало патологическому каналу.
- Во время проведения операции по удалению свища специалисты вводят окрашивающие вещества (например, метиловый синий) для оценки всей структуры канала и точного определения исходного органа.
- УЗИ используется для диагностики фистул редко, т.к. этот метод менее информативен.
Последствия, которые вызывают свищи
Послеоперационный свищ может спровоцировать развитие сепсиса Сам по себе послеоперационный свищ угрозы жизни не несет. Но если пациент пустит все на самотек, то болезнетворные бактерии, которые есть внутри свищевого отверстия начнут поражать здоровые органы, и ткани и это спровоцирует появление довольно серьезных болезней.
Помимо этого, организм может отказываться правильно реагировать на лечебную терапию, что в свою очередь, тоже может вызвать довольно серьезные осложнения.
Самые распространенные осложнения при лечении свища после операции:
- Абсцесс. Гнойные массы заполняют все внутреннюю полость свищевого отверстия
- Флегмона. В этом случае гной, кроме тканей, начинает поражать еще и жировую клетчатку
- Сепсис. Происходит открытие свищевого отверстия внутри человеческого организма. Гной при этом попадает на внутренние органы больного
- Лихорадка, спровоцированная гнойной массой. Температурные показатели могут подниматься до максимальных отметок. При этом человек может терять сознание и плохо ориентироваться в пространстве
Лечение свища
По сути, свищ – это трубка с омертвевшими остатками бактерий, зачастую его лечение заключается в иссечении канала, очистке его химическим или механическим способом и снятии воспаления органа, с которого начался свищ. Например, при избавлении от свища прямой кишки самым эффективным методом является оперативное вмешательство. Полное восстановление пациента происходит за 20-30 дней, в это время больному рекомендуется принимать лечебные ванны и воздержаться от физических нагрузок во избежание травм сфинктера.
Также для лечения свищей используют местные средства (ванночки, мази, присыпки, антисептические растворы для промывки и т.д.). В некоторых случаях врач назначает антибиотики для устранения бактериального заражения, болеутоляющие и жаропонижающие средства для улучшения состояния пациента. В качестве препаратов, используемых для терапии свищей, применяют следующие медикаменты:
| Наименование препарата | Действующее вещество; дозировка | Действие | Показания к применению | Побочные эффекты | Противопоказания |
| Диоксизоль
(наружное применение) |
Лидокаин 6%, Диоксидин 1,2% в 1 мл.
Раствор во флаконах и банках по 50, 100, 500, 1000 г |
Снятие болевого синдрома; антибактериальное действие на обширный ряд микроорганизмов | Гнойные раны и свищи, ожоги, абсцессы | Брадикардия, нервозность, депрессия, артериальная гипотензия | Патологии сердечно-сосудистой системы; беременность, период лактации, детский возраст |
| Хлоргексидина биглюконат
(наружное применение) |
Хлоргексидина биглюконат 0,05% в 1 мл.
Раствор во флаконах по 40, 80, 100, 200 мл |
Бактерицидное действие | Профилактика венерических заболеваний, ожоги, абсцессы, свищи, раны | Дерматиты, аллергия, зуд и жжение кожи | Вирусные заболевания кожи, дерматиты, гиперчувствительность к компонентам препарата |
| Мирамистин мазь
(наружное применение) |
Мирамистин 5 мг на 1 г мази.
Банки по 1000 г, тубы по 15, 30 г |
Антисептическое, противомикробное действие. Лечебный эффект усиливается благодаря глубокому проникновению в нижние слои кожи | Инфицированные раны, гнойные очаги, ожоги, дерматологические поражения кожи | Жжение, зуд, аллергические реакции | Гиперчувствительность к компонентам препарата |
Осложнения. Прогноз
При своевременном визите к стоматологу, правильном лечении и соблюдении всех рекомендаций лечащего врача, прогноз лечения свища на десне благоприятный. Если игнорировать болезнь или лечиться самостоятельным путем без наблюдения стоматолога, возможно возникновение:
- гранулемы;
- остеомиелита;
- флегмоны;
- атрофии надкостницы;
- нарушений органов ЖКТ;
- сепсиса.
Может ли свищ пройти сам? К сожалению, ответ будет отрицательным. Исходя из этиологии и патогенеза стоматологической болезни, избавиться от свища возможно лишь медикаментозным и хирургическим путем.
Список литературы
- П. И. Ивасенко — Неотложные состояния в амбулаторной стоматологической практике, М. : Медицинская книга, 2009.
- Яковлева В.И. – Диагностика, лечение и профилактика стоматологических заболеваний, Минск 1994.
- Иванов В.С., Урбанович Л.И., Бережной В.П. — Воспаление пульпы зуба, М., Медицина, 1990.
- Боровский Е.В. — Клиническая эндодонтия, М.: АО Стоматология, 2003.
- Афанасьев В.В. — Хирургическая стоматология: учебник, М.: Гэотар— Медиа, 2011
- Т. Г. Робустова, В. В. Афанасьев [и другие] — Хирургическая стоматология / 4—е изд., М. : Медицина, 2010.
Читайте связанные публикации:
Народные средства
Лечение простых свищей лекарственными травами имеет высокую эффективность. В некоторых случаях наблюдает полное выздоровление. В качестве лекарственных средств используют мази, ванночки на основе натуральных компонентов. Самым эффективным лечебным воздействием обладают алоэ и капуста, сок этих растений способствует выведению гноя из фистулы и быстрому заживлению раны. Перед применением всех лекарственных средств пациенту необходимо проконсультироваться со специалистом.
Мазь
В качестве домашних мазей используют следующие средства:
- В пропорции 1:1 смешивают водку и оливковое масло, обрабатывают смесью пораженное место несколько раз в день, после накладывают капустный лист для удаления гноя. Для достижения максимального эффекта средство используют на протяжении нескольких недель.
- Свежие цветки календулы плотно складывают в стеклянную емкость, заливают растопленным сливочным маслом, настаивают 12 часов. После этого помещают в духовку на 48 часов (при температуре 70 градусов). Лекарство хранят в таре с герметичной крышкой в темном месте. Полученным средством смазывают входное отверстие свища.
- 200 г мелко нарезанного лука заливают горячим свиным жиром, греют на сковороде, пока лук не потемнеет. Полученную смесь настаивают в течение 6 часов, периодически взбалтывая. Такой мазью обрабатывают свищ, чередуя с другими средствами.
Отвары
Несколько примеров настоек и отваров для лечения фистул:
- Смешивают равные количества сока алоэ и сока мумие (предварительно размочив его в воде), на больное место накладывают смоченный в растворе бинт на продолжительное время.
- 2 столовые ложки зверобоя заливают 2 стаканами воды, кипятят смесь 10 минут, полученный раствор процеживают. Смесь выкладывают на пленку и обматывают таким компрессом больное место, затем обмывают очаг воспаления оставшимся раствором. Средство используют до тех пор, пока канал не начнет выделять экссудат.
- Готовят настойку цветков одуванчика на тройном одеколоне, чтобы вылечить наружные свищи. Полученную жидкость закапывают пипеткой непосредственно в канал фистулы для достижения максимального лечебного эффекта.
Послеоперационный период
После удаления свища организм требует время на восстановление. Не менее 4—5-ти дней требуется задержка испражнения. Далее, применяется диетическое питание, включающее совместный прием пероральный медпрепаратов, таких как: «Левомицетин» и «Норсульфазол». Рану перевязывают не раньше чем через 3—4 дня.
В области локализации свищевого выхода большое скопление нервных окончаний, поэтому каждая процедура проводится с местными анестетиками. Рана промывается, а проход заполняется ватными тампонами. К концу недели разрешены ректальные свечи, которые не только убирают раздражение, но и обволакивают патологический участок. При необходимости ставятся очистительные клизмы.
Диета после операции по резекции свища соблюдается строго рекомендациям доктора. Разрешены жидкие каши на воде, бульоны, рыба и мясо на пару (в виде фарша). После естественных попыток дефекации добавляются овощи и фрукты. Стол должен быть сбалансирован и разбит на 5—6 приемов еды. После иссечения свища, швы снимаются спустя неделю, компрессы и промывания повторяются каждые 2—3 часа. Реабилитация еще заключается в тренировки мышц малого таза, так как 1—2 месяца, а иногда и дольше, наблюдается недержание газов и кала.
Диагностические меры
Мероприятия, связанные с диагностикой, не создают обычно особых трудностей. Берутся во внимание жалобы, исходящие от пациентов, анамнез болезни, вид свища, а также количество гноя, который выделяется из него.
По словам медиков, качественному уточнению диагноза способствуют исследовательские процедуры, позволяющие выявить уровень соляной кислоты. Подобная диагностика отлично определяет наличие либо же, наоборот, отсутствие свищей в желудке.
Когда мы говорим о мочевых свищах, то их выдает характерное присутствие мочекислых солей.
Предупреждение заболевания
Недопущение развития свища зависит не от больного, а от врача, делавшего операцию. Главнейшая профилактическая мера — это неукоснительное соблюдение правил обеззараживания в процессе операции. Материал должен быть стерильным. Перед зашиванием рану всегда промывают асептическим раствором.
Для наложения шва применяется рассасывающийся материал, не требующий снятия: дексон или викрил. Предпочтительно использование тонких нитей с минимальным захватом ткани. Среди антисептиков для промывания раны используются Хлогексидин, Йодопирон, Сепронекс и другие.
Если появляются первые признаки свища, следует сразу же обратиться за врачебной консультацией. Только современная и достаточная помощь поможет не допустить развития гнойного процесса и других неблагоприятных последствий и инвалидизации пациента.
Причины возникновения
Основная причина возникновения естественных свищевых ходов – гнойное воспаление внутреннего органа или кожи. При попадании инородного тела или инфекции в полость внутреннего органа возникает воспаление и нагноение. По мере увеличения количества гнойных масс происходит постепенное расплавление вышележащих слоёв. Как только воспаление переходит на верхние слои кожи, происходит прорыв гноя наружу, что создаёт хорошие условия для поддержания воспаления и оттока гноя. Заживление краёв раны становится невозможным благодаря постоянной циркуляции экссудата, что требует хирургического лечения.
Важно! В подавляющем большинстве случаев свищ возникает как осложнение оперативного вмешательства. Причины возникновения послеоперационных свищевых ходов связаны с нагноением шовного материала и попаданием инфекции в полость раны — это так называемый лигатурный свищ. Воспалиться могут как раны кожи, так и внутренних органов. Чем глубже инфекция, тем дольше и труднее лечить свищ.
Подготовительный этап
Чтобы процедура прошла успешно, от больного потребуется четко следовать инструкции для правильной подготовки. Так как подобное вмешательство называют плановым, подготовиться к нему успеет каждый.
Обычно при обширных поражениях проктолог настаивает на том, чтобы сразу вскрыть абсцесс, вычистив гнойную полость. Только после успеха на первом этапе разрешается приступать к нейтрализации самого прохода. Обычно между этапами проходит около полутора недель. Точный срок озвучит хирург, опираясь на индивидуальную динамику выздоравливания подопечного.
За несколько дней до назначенной даты специалист отправит обратившегося за помощью проходить:
- ректороманоскопию, которая помогает оценить внутреннее состояние тканей;
- фистулографию, которая охватывает рентгеноконтрастное исследование;
- ультразвуковое исследование;
- компьютерную томографию органов таза, чтобы оценить состояние соседних внутренних органов.
Не обходится без стандартного пакета анализов, куда входит исследование крови, мочи, биохимия, электрокардиограмма, флюорография, заключение гинеколога, терапевта. Отдельно проводится предварительная аллергическая проба, позволяющая заблокировать риски развития анафилактического шока из-за непереносимости компонентов анестезии.
Особенного внимания заслуживают пациенты, которые имеют ряд хронических недугов. Им придется сначала посоветоваться с узкопрофильными врачами, которые должны пересмотреть текущую одобренную программу лечения для исключения конфликта медикаментов.
А вот самостоятельно менять, либо вообще прерывать назначенную медикаментозную схему терапии строго запрещено. Вполне вероятно, что лечащий врач порекомендует подождать несколько недель до полного завершения курса, а потом приступать к хирургическому вмешательству. Распространяется правило на тех, кто страдает:
- сердечной недостаточностью;
- артериальной гипертензией;
- дыхательной дисфункцией;
- сахарным диабетом.
Если ситуация оказалась запущенной, то не обойтись без лабораторного посева свищевых выделений, чтобы определить чувствительность к разным группам антибиотиков. Результат посева поможет выявить возбудителя инфекции.
Когда речь идет о вялотекущем течении болезни, то эффективнее начать курс с противовоспалительной терапии. Она включает антибактериальные фармакологические средства, подобранные согласно итогам клинического изучения посева. Не помешает местное лечение, направленное на промывание проблемной зоны особыми антисептическими растворами.
Приблизительно за трое суток до назначенной даты прописывается диета, которая исключает продукты питания с клетчаткой и вызывающих повышенное газообразование. К ним относят:
- овощи и фрукты в сыром виде;
- черный хлеб;
- бобовые культуры;
- сладости;
- молоко в чистом виде;
- газированные напитки.
Накануне вечером стоит провести очистку кишечника с помощью клизмы или приема аптечных средств. Перечень последних стоит заблаговременно уточнить у лечащего врача. Также необходимо удалить волосы с области промежности.
Перед тем как отправлять подопечного радиоволновое иссечение или другой вид процедуры, специалист обязательно проверит наличие у своего подопечных возможных противопоказаний. Медицинские запреты включают в себя:
- общее тяжелое состояние;
- инфекционные поражения в пиковом периоде;
- декомпенсация хронического недуга;
- проблемы со свертываемостью крови;
- почечная недостаточность;
- печеночная недостаточность.
Медики сходятся во мнении, что во время стойкого гашения воспалительного процесса, когда из свища не выделяются никакие элементы, не стоит выполнять процедуру. Объясняется это тем, что отверстие могло самостоятельно временно затянуться грануляционной тканью. Обнаружить его, особенно при небольшом диаметре, окажется проблематичной задачей.
Как протекает реабилитационный период
Во время восстановления важно тщательно соблюдать гигиену промежности и заднего прохода, использовать ранозаживляющие средства, чтобы место иссечения лучше заживало. Восстановительный период после операции долгий и заключается в поддержании здорового образа жизни, чтобы предотвратить рецидив болезни. Во время реабилитации больной должен подмываться после каждого акта дефекации и накладывать повязку или тампон к промежности с ранозаживляющей мазью. Делается эта процедура регулярно, пока рана полностью не заживет. Реабилитация проходит под строгим врачебным контролем. Чтобы место рассечения быстрее зажило, используются местные формы выпуска препаратов с ранозаживляющим эффектом.
Пример – свечи «Метилурацил», обладающие ранозаживляющим, противовоспалительным и иммуномодулирующим свойствами. Используются они строго по инструкции и исходя из врачебного предписания.
Внимание! Возможно применение суппозиториев и мазей для лечения геморроя, но только с разрешения специалиста.
Чем опасны бронхиальные свищи
Бронхиальный свищ является патологическим состоянием дерева бронхов, при котором оно сообщается с внешней средой, плеврой или внутренними органами. Встречаются в послеоперационный период как следствие несостоятельности культи бронха, некроза. Указанный вид бронхиального свища — частое последствие пневмоэктомии из-за рака легких, других резекций.
Общие симптомы бронхиального свища такие:
-
видимое образование на коже в области грудной клетки, через которое выходит гной или слизь;
- лихорадка (иногда и озноб);
- ухудшение аппетита;
- одышка, иногда цианоз;
- боль в грудной клетке.
Если в такое отверстие попадает вода, то у человека возникает резкий приступообразный кашель и удушье. Снятие давящей повязки провоцирует появление указанных выше симптомов, в том числе утрату голоса. Сухой лающий кашель — иногда может откашливаться небольшое количество вязких мокрот.
Если свищ развивается на фоне гнойного воспаления плевры, то на первое место выходят другие симптомы: выделение слизи с гноем, с неприятным зловонным запахом, выраженное удушье. Из дренажа выделяется воздух. Возможно развитие подкожной эмфиземы. В качестве осложнений у больного могут быть кровохарканье, кровотечение из легкого, аспирационная пневмония.
Соединение бронха с другими органами вызывает такие симптомы:
- откашливание пищи или содержимого желудка;
- кашель;
- асфиксия.
Опасность бронхиальных свищей относится к высоким рискам осложнений, среди них воспаление легких, заражение крови, внутреннее кровотечение, амилоидоз.
Операционная классификация
Вне зависимости от того, реализуется ли методика с проведением лигатуры, либо более простой техникой, больному показан общий или перидуральный наркоз. Причина тому – надобность заставить мускулатуру полностью расслабиться. Для удобства пострадавшего ему предлагают сесть в специальное проктологическое кресло, которое напоминает обычное гинекологическое.
Опираясь на тип отверстия и другие особенности патологии, доктор выберет один из нескольких видов способов иссечения:
- рассечение;
- разрез по всему протяжению с последующим ушиванием или опусканием этого этапа;
- лигатура;
- удаление с пластикой;
- лазерное прижигание;
- пломбирование биологическими материалами.
При этом интрасфинктерные и транссфинктерные версии обязательно нейтрализуют по направлению в полость прямой кишки в виде клина. Нивелируются даже кожные участки и сопутствующая клетчатка. При необходимости допускает ушивание сфинктерных мышц, что свойственно поражению глубинных слоев.
Если имело место быть гнойное накопление, то его сначала вскрывают, чистят, а потом дренируют. Открытую раневую поверхность перекрывают тампоном с мазью.
Для упрощения выполнения бытовых действий потерпевшему устанавливают газоотводную трубку.
Намного сложнее приходится тем, кто стал жертвой экстрасфинктерных свищей. Из-за того что они располагаются намного глубже, это увеличивает их протяженность.
Зачастую они затрагивают две глубоких зоны:
- тазово-прямокишечную;
- седалищно-прямокишечную.
Наличие нескольких ответвлений гнойных полостей усложняет работу хирургу, которому придется все вышеперечисленное устранить, а заодно купировать связь с прямой кишкой. Дополнительно придется позаботиться о минимальном вмешательстве на сфинктере, чтобы предотвратить его недостаточную функциональность в будущем.
Для повышения шансов на успешный исход медики активно привлекают лигатуру. После того как опасное отверстие будет иссечено, в его внутреннюю часть вводят шелковую нить по ходу образования, выводя наружу. Нужно уложить нитку так, чтобы она оказалась ближе к средней линии ануса. Иногда тут не обойтись без продевания разреза, но такая жертва оправдана. Далее лигатура завязывается до состояния полного обхвата мышечного слоя ануса.
Во время каждой перевязки лигатура понемногу подтягивается вплоть до окончательного прорезывания мускулатуры. Благодаря столь тщательному подходу, получается рассечь сфинктер постепенно, чтобы не запустить механизм его недостаточности.
Еще одним вариантом развития событий становится удаление отверстия с последующим закрытием внутренней части лоскутом из слизистой оболочки прямой кишки.
Оперативное вмешательство
Врач выбирает метод терапии в зависимости от запущенности случая и результатов диагностики:
- Иссечение с последующим зашиванием волокон сфинктера.
- Рассечение с последующим наложением лигатуры. Используется при образовании рубцов 3-4 стадии.
- Удаление свища и отделение от кишки. При этом место полости замещают слизистой оболочкой, чтобы произошло заращивание.
- Удаление по методу Рыжих и Ривкина – рассечение и ушивание культи в области промежности с проведением задней сфинктеротомии.
- Переведение экстрасфинктерного свища в интрасфинктерный.
Внимание! Пластика назначается, если ситуация незапущенная и рубцевание минимально.
Операция по иссечению свища на современном оборудовании (фото)
Нагноение мочевого пузыря
Свищ данного органа представляет собой аномальную прореху между пузырем и другими органами. Чаще всего встречаются энтеровезикальный свищ – с кишкой – или везиковагинальный свищ – с влагалищем.



















