Аномалии зубного ряда – патологическое состояние, при котором наблюдаются отклонения целого ряда или нескольких зубов от нормальных параметров формы, размера, количества и цвета. Проблема провоцирует дефекты челюстных зон, формирование неправильного прикуса, невозможность потребления пищи.
Диагностика заболевания проводится при помощи инструментальных методик, а схема лечения составляется специалистами нескольких профилей.
Аномалия величины
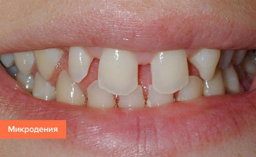
Проблема у пациентов диагностируется достаточно редко. Выделяют несколько форм патологий величины зубов. Микродентия характеризуется наличием мелких по сравнению с нормой элементов в ротовой полости. Проблема наблюдается в двустороннем порядке, реже проявляется с одной стороны челюсти. При микродентии элементы отличаются неправильной формой.
В стоматологии микродению подразделяют еще на несколько форм: изолированную, относительную и генерализованную. В первом случае обнаруживается 1-2 зуба, которые имеют аномальные размеры. Чаще всего видоизменяются боковые резцы. При относительном типе проблемы зубы имеют нормальные размеры, но из-за больших пропорций челюсти визуально кажутся маленькими. Генерализованная микродентия – наличие мелких единиц по всей длине челюсти.

Макродентия характеризуется увеличенным размером коронковой части зубов. Этот тип отклонения гораздо опаснее для здоровья человека, чем микродентия. Состояние считается нормой только в том случае, если пациент имеет развитые челюстные структуры, в противном случае патология влечет за собой смещение единиц ряда и нарушение прикуса.
Стоматологи выделяют 2 вида макродентии: локализованную и генерализованную. При локализованном типе увеличено несколько элементов при генерализованной форме дефекта величина всех зубов превышает нормальные значения.

Что такое аномалия зубов
Аномалия зубного ряда – серьезная патология, требующая длительного и упорного лечения. Все зубы характеризуются совокупностью определенных параметров, соответствующих месту расположения в дуге и этапу формирования прикуса. Наличие разнородной группы отклонений морфологического и функционального типа, не соответствующих нормальным критериям (число, величина, цвет, форма и другое) свидетельствует об аномалии зубов.
Такие нарушения могут быть врожденными либо приобретенными, и локализоваться на отдельной единице, поражать зубной ряд, нарушать весь прикус. Отклонения различного рода препятствуют полноценному функционированию зубочелюстного аппарата и снижают качество жизни человека.
Присутствие аномалий всегда сопряжено с последствиями – деформируется челюстно-лицевая область, что провоцирует асимметрические изменения лица, неправильно формируется прикус, затрудняется нормальный акт приема пищи, появляются дефекты во время разговора и косметические недостатки.
По данным стоматологической статистики, примерно в 50% клинических случаев отклонения выявляются на этапе детского и подросткового развития, а в 70% у взрослых пациентов.
Для устранения пороков необходимо прибегать исключительно к специализированному лечению, которое может занять много времени и состоять из нескольких этапов. Продолжительность и способы лечения определяются индивидуально, в зависимости от вида нарушений.
В ходе терапии будут удалены неправильно расположенные элементы костной ткани или максимально скорректирована их структура. Выделяют 3 основных группы дефекта зубов:
- дефект формы;
- дефект размера;
- аномалию расположения.
Легкие формы патологии характеризуются неестественным оттенком эмали или их размерами, что, как правило, создает только эстетический дискомфорт. Функциональные возможности челюстных структур при этом не нарушаются. Подобные отклонения удаляются в течение короткого времени.
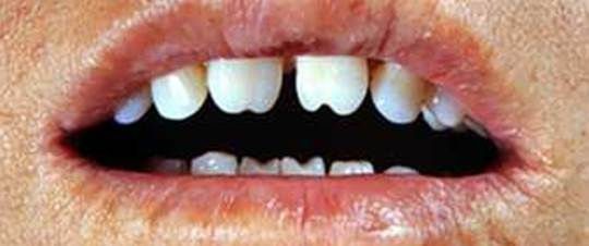
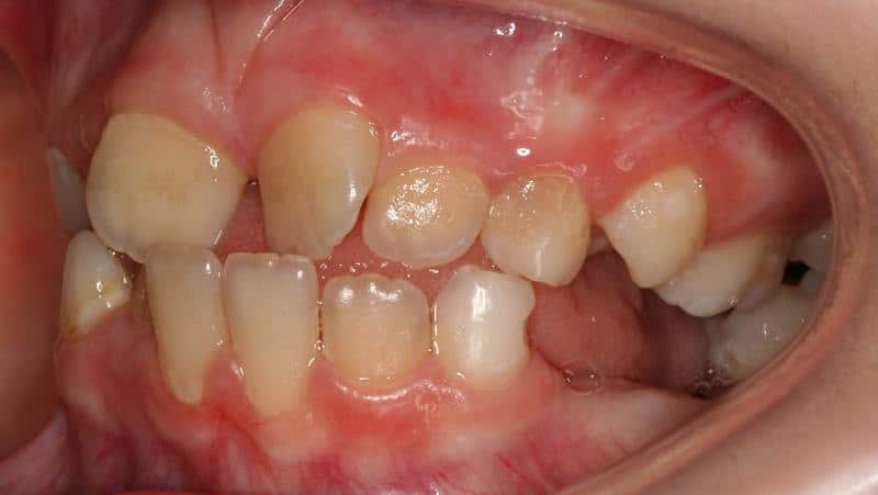
Самая распространенная патология зубного ряда – изменение формы резцов на конусообразную. Дефект может проявляться с одной или двух сторон.
Аномалия количества
Патология числа зубов связана с их недостатком в ротовой полости (адентия) или избыточным количеством (гиперодонтия).
В зависимости от причины развития патологии адентию подразделяют на врожденную и приобретенную. Врожденный тип проблемы диагностируется, если у пациента отсутствуют зачатки единиц. Сложные формы адентии также сопровождаются аномалиями срока прорезывания зубов и слиянием соседних коронок.
Лечение аномалий зубов
Лечение патологических отклонений в развитии зубов имеет самые благоприятные прогнозы. Современная терапевтическая стоматология и другие специализированные направления стремительно развиваются, благодаря чему существует масса практических возможностей, позволяющих успешно справиться с любыми видами зубных аномалий.
Устранение патологических изменений приводит не только к восстановлению эстетической стороны и полноценному функционированию зубочелюстного аппарата, но и избавлению от проблем психологического характера.
Чтобы постараться предупредить возникновение зубных аномалий, женщинам необходимо обеспечить правильное внутриутробное и постнатальное развитие ребенка. Всем пациентам без исключения следует рационально питаться, своевременно выявлять и лечить эндокринные нарушения, регулярно ходить к стоматологу на профилактические осмотры.
В зависимости от диагноза, разновидности и степени развития отклонения от нормы, врач определяет вид лечения. В случае легкой формы отклонения, когда нет проблем с прикусом, отсутствует эстетическая составляющая проблемы, лечение не назначается.
Обычно при терапии используется метод создания правильной формы зубов с помощью фотополимерных составов, а также с использованием протезирования различными коронками, установкой виниров и т.д. Прогноз лечения в этом случае – благоприятный, со временем зубные ряды восстанавливаются.
Аппараты для лечения патологии
Среди патологий элементов костной ткани чаще других наблюдается сужение челюстей. Дефект проявляется в области моляров, предмоляров или передних зубов. Исправление неправильного постоянного прикуса осуществляется благодаря аппарату Хургиной или дуге Энгля.
К аномальному расположению зубного ряда относят протрузию – смещение ряда вперед относительно нормального положения и ретрузию отклонение передних зубов в оральную плоскость. Для устранения проблемы применяют дугу Энгля, реже используются специальные небные пластины с активными дугами.
Ретрузия исправляется механизмом Брюкля или винтовыми пластинками, реже при помощи секторального распила. Приспособление Эйнсворта предназначено для борьбы с сужением предмоляров. После получения слепка на молочные или вторые предмоляры с внешней стороны пристраивают трубки диметром до 1 мм. Готовые устройства фиксируют на зубах при помощи цемента. Затем из гибкой проволоки создают дугу, а концы материала вставляют в ранее припаеннные трубки.
Механизм Хургиной используется для лечения суженного зубного ряда. По слепку на моляры изготавливают кламмеры, а на резцы – крючки. Металлические устройства крепят в нужном положении восковой основой. Чтобы ткани ротовой полости привыкли к чужеродному телу, винты не активируют. После их активации восковую основу заменяют на пластмассовую пластинку, которую предварительно шлифуют и обтачивают.
Современные аппараты помогают исправить любые аномалии в полости рта, тем самым нормализую функционирование зубо-челюстной системы. Схема лечения и вид применяемых установок зависит от типа дефекта.
Устранение аномалий величины зубов
Смысл терапии – удаление зубов аномальных размеров и рядом расположенных с ними элементов. После устранения дефектных сегментов или изменения их положения остается пустота в ряду, которую заполняют протезами. Мелкие зубы чаще отмечаются при постоянном прикусе. Основной способ увеличения размера аномальных элементов – покрытие их коронками.
Лечение аномалий зубов с помощью брекетов
Вестибулярное отклонение ряда устраняется при помощи ортопедических коронок. Они позволяют удерживать аномально расположенные сегменты в нормальном положении. Костные ткани могут вмещаться не только вперед, но и вертикально.
Слишком высокое расположение называют супраокколюзией. Инфраокколюзией считается аномально низкое расположение зубов. Для борьбы с патологиями используются механизмы для вытяжения или хирургические методы лечения.
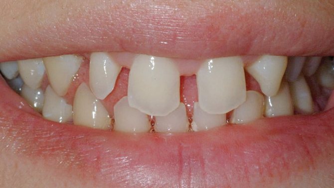
Если зубы располагаются друг от друга на слишком большом расстоянии, то такое состояние называют диастемой. Дефект чаще наблюдается между передними зубами.
Устранение патологии включает в себя несколько разновидностей лечения:
- установка ортопедических брекетов;
- использование капп, исправляющих неправильный прикус;
- закрепление виниров, которые маскируют пустое пространство.
У детей диастема успешно лечится при помощи съемных пластин.
Терапия аномальной формы и аномального числа зубов
Цель терапии – удаление шиповидных сегментов и замена их протезами. Дефектный зуб удаляют полностью или исправляют его форму протезированием.
Способ терапии зависит от размещения сверхкомплектного элемента и его влияния на соседние зубы. При их смещении лишний сегмент удаляют, а затем пациенту предлагают ортодонтическое лечение. Если патологическое состояние не сопровождается смещением соседних участков, то сверхкомплектный зуб оставляют, а форму его коронки корректируют при помощи протезирования.
Исправление неправильного прикуса
Дефект постоянного прикуса исправляется при помощи специальных аппаратов, ортодонтических систем со съемной и несъемной конструкцией.
Тяжелее всего лечению поддаются дефекты твердых тканей. В этом случае пациенту удаляют дефектные зубы, а на их место устанавливают протезы.
В особо тяжелых случаях, когда невозможно скорректировать зубы с помощью одного из вышеперечисленных методов, проблемные зубы удаляют и заменяют их протезами.
В этом случае решение принимает ортодонт после тщательного изучения анамнеза и результатов обследования пациента.
Аномалии формы
Выделяют следующие аномалии формы зубов:
Список зубных болезней
- шиповидную;
- Фурнье;
- Пфлюгера;
- Гетчинсона.
Шиповидные элементы по внешнему виду напоминают острый треугольник. Данное отклонение характерно для центральных и боковых резцов. При патологии Гетчинсона элементы имеют бочкообразную форму, то есть размер их шейки намного превышает величину режущей части. На коронковой части аномальных элементов наблюдается полукруглая выемка.

Зубы Фурнье по внешним характеристикам схожи с патологией Гетчинсона. Зубы Пфлюгера отличаются массивной режущей частью и малым размером коронки.
Патологии формы обычно решаются при помощи удаления, а затем протезирования дефектных единиц. При легких формах проблемы проводится косметическая реставрация с использованием светоотражающих материалов.
Прогноз и профилактика
Грамотный подход и применение средств современной терапевтической стоматологии, хирургии с имплантацией зубов, а также ортопедии и ортодонтии позволяют исправить любые отклонения полости рта, исправить эстетику, а также нормальную деятельность зубочелюстной системы.
Профилактика развития аномалий содержит в себе заботу о правильном внутриутробном и постнатальном развитии ребенка, рациональное питание, своевременное исправление эндокринных отклонений, систематические визиты к врачам-стоматологам для проведения необходимых профилактических и лечебных мероприятий.
Мы с особой теплотой и любовью заботимся о пациентах нашей клиники «Консилиум Дент» и желаем им успешного лечения и по окончании его – лучезарной улыбки.
Аномалии структуры
Состояние связано с появление на эмали ямок, бороздок и других образований. Аномалия может проявляться самостоятельно или сочетаться с другими нарушениями ряда (изменением формы, патологиями окколюзии и расположения единиц).
Нарушения структуры подразделяются на гипоплазию, гиперплазию, амелогенез, дентиногенез. Для гиперплазии характерны лишние бугорки на жевательной поверхности зубов и наличие темных вкраплений на эмали.
К симптомам амелогенеза можно отнести:
- появление на эмали желтых или коричневых пятен;
- повышение чувствительности элементов к температурным и химическим раздражителям;
- уменьшение толщины эмали.
Терапия дефектов структуры включает в себя медикаментозное лечение с приемом витаминных комплексов, глицерофосфата кальция и реминерализацию эмали.
Дентиногенез может распространиться и на постоянные, и на молочные зубы. При патологии элементы приобретают яркие янтарные оттенки, быстро разрушаются и выпадают из лунки. Проблема решается с помощью протезирования или имплантации.
Лечение
Зубочелюстные аномалии лечатся следующими методами:
- Терапевтическим. Например, реминерализующая терапия при нарушениях структуры твердых тканей, установка композитных виниров при диастемах.
- Ортодонтическим. Использование пластинок, брекет-систем, капп, трейнеров и других ортодонтических аппаратов для выравнивания коронок в неправильном положении.
- Хирургическим. Если зуб нельзя вылечить, или же он мешает пациенту (травмирует мягкие ткани и т.п.), показано удаление. Удаление также решает проблему полиодонтии.
Также предлагаем ознакомиться с различными видами некариозных поражений зубов и клиниками, в которых помогут от них избавиться.
Аномалии сроков прорезывания
Преждевременно прорезываются молочные и постоянные элементы. Зафиксированы случаи внутриутробного прорезывания зубов. В таких случаях ребенку удаляли элементы для того, чтобы сохранить грудное вскармливания без нанесения травм материнской груди. Запоздалое прорезываниие также наблюдалось в отношении сменного и постоянного прикуса. Ретенцией зубов называют наличие зачатка зуба без его прорезывания на поверхность десны. Это состояние характерно для третьих моляров и сверхкомплектных зубов.
Зубочелюстные аномалии у детей
Аномалии молочных зубов встречаются очень часто и во многих случаях обусловлены такими внешними факторами:
- вредные привычки (сосание пальца, к примеру);
- длительное использование соски;
- продолжительное искусственное вскармливание;
- кормление детей старше трех лет только мягкой пищей.
Могут развиваться на фоне травмы зубочелюстной системы, различных заболеваний. Их причиной служат проблемы, возникшие еще во внутриутробный период и повлиявшие на формирование зачатков молочных и коренных зубов. Например, патологическое течение беременности, родовые травмы.
Неправильное и/или неполноценное питание может сказаться на процессах минерализации эмали и привести к гипоплазии или гиперплазии.
Несвоевременное прорезывание коренных зубов в большинстве случаев ведет к образованию неправильного прикуса – мезиального или дистального, с кривыми зубами, выделяющимися из ряда.
Для профилактики аномалий родителям рекомендуется регулярно водить ребенка на прием к детскому стоматологу. Первый визит нужно планировать сразу же после появления первого молочного зубика.
Аномалии положения
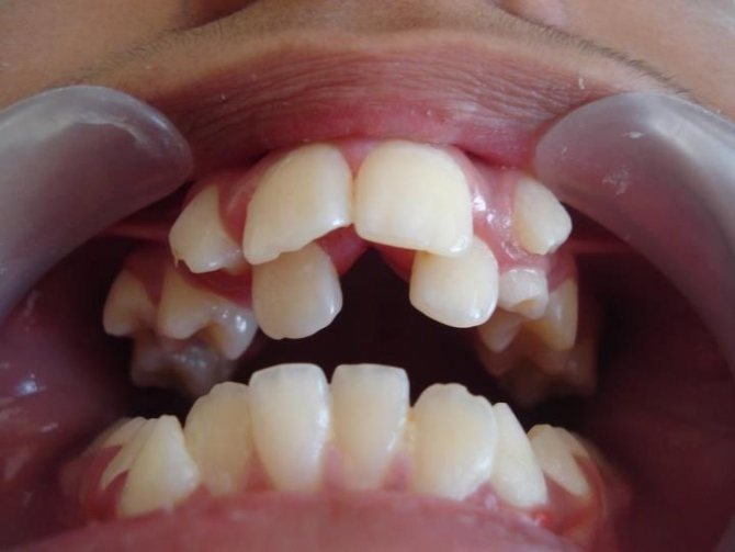
Аномалии положения зубов стоматологи называют тортоаномалией. В ротовой полости пациента отмечается 1 или несколько элементов повернутых на 90-180 градусов. Дефект может возникнуть и в верхнем, и в нижнем ряду, но больше характерен для резцов. Патология приводит к эстетическому недостатку и ранней потере элементов из-за их расшатывания.
Тортоаномалия развивается из-за проблемного роста постоянных зубов. Выделяют несколько разновидностей дефекта:
- Транспозицию или перестановку соседних элементов местами, например, когда клык растет на месте резца или наоборот. Прежде чем приступать к терапии проблемы, больному назначают рентгенологическое исследование. Способ лечения будет зависеть от степени наклона корня и общего состояния костной ткани. Эстетические недостатки корректируются с помощью лиминиров и виниров, функциональные – ортодонтическими конструкциями.
- Супра- и инфраокколюзию, при которой один или несколько зубов пересекает окколюзионную линию или не доходит до нее. При супраокколязии зубы верхней и нижней челюсти располагаются слишком далеко друг от друга и не пересекаются при смыкании. При инфраокколюзии элементы занимают низкое положение и пересекаются во время смыкания.
Аномалии положения зубов выражаются перемещением элементов в мезиальном или дистальном направлении.

Классификация аномалий зубного ряда
Полная классификация рассматриваемой аномалии выглядит следующим образом:
- Дефекты размеров зуба: микродентия;
- макродентия.
Количественные недостатки:
гипердонтия.Форменные патологии:
дефект Гетчинсона;шиповидные зубы.Аномалии костной ткани:
гиперплазия;гипоплазия.Неправильное расположение элементов.Аномалии цвета.
Характеристика отклонений по видам
Все аномалии классифицируются на основании установленных признаков соответствия строения моляров, которые свидетельствуют об отклонениях от нормы. Структура полной классификации нарушений зубочелюстного аппарата включает в себя неправильное формирование прикуса, отклонения как отдельных единиц, так и целого ряда зубов.
Перечень пороков зубочелюстной системы:
- аномальное формирование отдельных моляров характеризуется сверхкомплектностью и врожденным полным или фрагментарным отсутствием зубов;
- неправильные размеры и формы подразумевают наличие: чрезмерно больших либо мелких зубов, рудиментарных резцов, фронтальных укороченных постоянных зубов с гипоплазией, меловых пятен, верхних резцов с атрофированной жевательной поверхностью;
- нетипичная структура твердых зубных тканей характеризуется: излишним или дефицитным образованием тканей, атипичным расположением зачатков, разной шириной зубных рядов, косым или перекрестным типом прикуса;
- об аномальном развитии зубного ряда говорят при наличии: дисфункции формирования рядов, нетипичного положения некоторых единиц, аномального роста (в щеки, губы, небо, язык, поперек челюсти), медиального и дистального прикуса, несмыкания зубов с противоположными молярами, неправильного расположения единиц, межзубного пространства, непрорезавшихся резцов верхней челюсти;
- зубные ряды имеют аномалии формы при выявлении узкого или несимметричного ряда, наличии неестественных форм (четырехугольник, седлообразная или V-образная);
- неправильный прикус характеризуется сагиттальными и трансверзальными аномалиями. Первая группа отклонений состоит из прогении и прогнатии, а вторая диагностируется при открытом, истинном, травматическом и комбинированном прикусе;
- к аномалиям цвета относят пигментированную окраску дентина или эмали.
Каждая из перечисленных патологий классификации имеет ряд особенностей, поэтому ниже будут рассмотрены более детально проблемы видовых аномалий развития зубов.
Описание количественных пороков
К данной группе отклонений относят полную и частичную адентию, избыточное количество зубов, именуемое гиперодонтией.
Ключевые особенности при гиперодонтии:
- сверхкомплектные (излишние) зубы выявляются преимущественно в постоянном прикусе, могут локализоваться в зоне переднего отдела челюстной дуги, так и прорезываться за пределами зубного ряда (по оральному или вестибулярному типу);
- имеют различные формы и нетипичные размеры – бывают вполне обычными, но чаще растут неправильными (например, шиповидными);
- избыточное число зубов формируется, если неправильно развивалась эпителиальная пластина;
- лишние единицы смещают соседние зубы, которые занимают правильное расположение.
Поскольку сверхкомплектные зубы препятствуют нормальному развитию зубного ряда, чаще всего разрешить проблему удается путем хирургического вмешательства, что означает удаление избыточных моляров.
Чтобы откорректировать положение смещенных зубов прибегают к методам ортодонтической терапии. Сохранность лишних зубов возможна только при условии их правильного расположения и наличии необходимого пространства. Исправить форму можно с помощью коронок.
По сравнению с избыточным числом, недостаток в количестве зубов диагностируется гораздо чаще в стоматологической практике. Это явление называется адентия, патология бывает частичной (нехватка одного или нескольких зубов) либо полной (одна или обе челюсти не имеют совсем зубов).
Последний тип нарушений зачастую свойственен пожилым людям, но может быть спровоцирован заболеваниями пародонта или являться следствием генетического фактора.
Справиться с адентией можно путем протезирования. При наличии зубов устанавливаются несъемные протезы, также восполнить недостающие зубы можно установкой имплантатов.
Восстановление полностью беззубой челюсти разрешается путем установки полного съемного силиконового либо акрилового протеза. Кроме этого способа, вернуть функциональность можно протезированием по технике All-on-4.
Виды отклонений по форме коронки
Наиболее часто стоматологи диагностируют атипичные формы и большие расхождения в размерах верхних резцов, хотя бывают и деформации клыков, моляров и иных типов зубов. Внешняя патология бывает у тела зуба, внутренняя – у корня, а иногда диагностируются комбинированные аномальные изменения.
К основным видам атипичных изменений формы зубного тела относятся:
- шиповидные зубы;
- искривленные, нестандартной формы;
- сросшиеся зубные коронки;
- зубы Гетчинсона;
- зубы Фурнье;
- зубы Пфлюгера.
Шиповидные зубы – довольно распространенная аномалия. Резцы, центральные и боковые, по своему виду похожи на шип, заостренный книзу.
шиповидные зубы
Такими же могут быть боковые коронки как сверху, так и снизу. Очень часто встречается в совокупности с первичной адентией – нехватки зубов, являющейся следствием разных болезней. В противоположном варианте – присутствии «лишних», сверхкомплектных зубов, они тоже бывают шиповидными.
Кривые, неправильные зубные коронки наиболее часто бывают передними верхними. Как правило, имеют и патологию корней, расположены хаотично, т.к. тоже являются следствием адентии. Также развиваются вследствие наличия челюстных патологий (расщелина альвеолярного отростка нижней либо верхней челюсти), неба.
Достаточно редко, но диагностируются иные атипичные формы коронок, например, сросшиеся (гигантские) зубы. Обычно такая патология присуща боковым и центральным резцам. Зачастую обычные зубы срастаются со сверхкомплектными. Сращение происходит либо корнями, либо коронками, но полости у них остаются раздельными.
Зубы Гетчинсона, Фурнье и Пфлюгера – это три формы такого заболевания, как гипоплазия зубной эмали.
Данная патология имеет своей причиной несколько факторов, заслуживающих более детального описания.
Патологическая структура твердых тканей
Основные виды патологических изменений структуры:
- обнаружение гипоплазии и гиперплазии эмалевого органа. В первом случае появляются мелоподобные пятна, а во втором – зуб покрывается отложениями. Аномалии приводят к постепенному поражению всех единиц, провоцируют кариозные очаги, повышают чувствительность;
- формирование несовершенного амелогенеза – образование на эмалевой поверхности пигментных пятен желтого, коричневого цвета;
- выявление несовершенного дентиногенеза, которому присуща повышенная чувствительность, быстрая стираемость, желто-коричневый цвет зубной ткани.
Как правило, лечение таких аномалий затруднительно, поэтому приходится прибегать к удалению, а затем протезированию.
Гипоплазия зубной эмали
Основная причина развития у детей гипоплазии эмали – попадание инфекции в зачатки зубов плода во время беременности, что вызывает замедление и даже полную остановку развития зубных тканей у ребенка, развиваться заболевание начинает после появления на свет.
К причинам возникновения заболевания относят:
- тяжелый токсикоз беременной во 2 и 3 триместре;
- резус-конфликт беременной и плода;
- родовые травмы;
- преждевременные роды;
- дистрофия и рахит у ребенка;
- различные нарушения обмена веществ;
- соматические болезни;
- инфекции, которыми переболела мать в первом триместре беременности, такие как краснуха, ОРВИ, а также токсоплазмоз, сифилис и другие;
- лицевые и челюстные травмы;
- инфекции, перенесенные ребенком в течение первых 6 месяцев жизни.
В стоматологии различают системную и местную разновидности гипоплазии. При системной поражаются все зубы, на поверхности дентина появляются желтоватые либо желто-коричневые пятна, эмаль или истончена, или ее просто нет. При местной форме поражаются не все зубные коронки, но велика вероятность развития воспаления из-за поражения глубоких слоев дентина. Эмали может не быть частично или совсем.
Помимо этих двух, существует еще 3 особые разновидности гипоплазии эмали, к ним относятся:
- зубы Гетчинсона: все или несколько зубов меняют форму, становятся округлыми, принимают овальную форму или форму бочонка, а острые края принимают вогнутую, серповидную форму; чаще всего поражаются передние резцы, верхние и нижние;
- зубы Фурнье: внешне выглядят похоже на предыдущий вид, также утолщены у основания и округлы, но режущий край аналогичен здоровым коронкам;
- зубы Пфлюгера: обычно это коренные зубы, шестерки – приобретают конусовидную форму, широкие у корня и заостряются к жевательной поверхности, выпуклости на которой практически не видны.
Терапия или коррекция (по возможности) в вышеперечисленных случаях может проводиться только после того, как сформируется прикус. Поскольку основными причинами развития этих видов патологии являются заболевания первого года жизни ребенка, особое внимание необходимо уделять своевременной диагностике и лечению всех этих болезней, равно как и постоянный мониторинг состояния здоровья беременной женщины.
Виды аномалий по размерам зубов
Помимо отклонений по форме коронки очень часто встречаются аномалии ее размеров. Они бывают двух видов – макродентия и микродентия.
Макродентия – увеличенные зубы. Бывает у верхних резцов или боковых. Реже – на нижней челюсти, спереди. Превышение диагностируется при осмотре стоматологом, размеры его определяются при сравнении данных пациента со среднестатистическими. Оно может достигать диапазона 2–6 мм.
При диагностировании проверяют следующие размеры зуба: длину, ширину, высоту коронки. Ширина определяется измерением в самой широкой части зубного тела, высоту – от края десны пришеечной части до острого края или бугорка на жевательной поверхности. Макродентия на одной из челюстей вызывает диспропорции и нарушение прикуса.
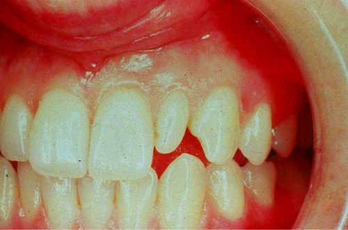
Микродентия – мелкие зубы, размеры их меньше среднестатистических параметров. Диагностируется визуально, чаще всего у боковых и верхних резцов. Зубы растут с большими промежутками и являют собой достаточно серьезную проблему эстетического характера.
Форма и размерные параметры зубного ряда находятся в прямой зависимости от размера и формы коронок, поэтому для стоматолога очень важно определить степень взаимной зависимости параметров верхних и нижних зубных рядов, это в значительной мере влияет на прикус молочных и коренных зубов.
Выведена закономерность, состоящая в том, что суммарный размер ширины коренных коронок превышает таковую молочных коронок. Для верхнего ряда – примерно на 7 мм, для нижней челюсти – на 5,3 мм.
От размеров верхних и нижних зубов (а именно моляров, вторых молочных) сильно зависит степень смыкания. В случае их равенства, то за рядами коронок появляется мезиальная ступенька, способствующая нормальному смыканию первых коренных моляров.
Если разница превышает 2 мм, то дистальные поверхности будут в одной плоскости по вертикали. В случае превышения этим параметром 2 мм говорят о наличии дистальной ступеньки. Все это в итоге развивается в дистальную окклюзию или прогнатический прикус – вариант, при котором нижние коронки расположены позади верхних.
Аномальное положение
Нетипичное положение проявляется неправильным расположением зуба в ряду, либо за его пределами.
Система этого рода аномалий включает такие отклонения:
- положение по дистальному типу – зуб смещен назад относительно зубного ряда;
- положение по мезиальному типу – зуб, напротив, смещен наружу;
- при вестибулярном нарушении зуб располагается поближе к ротовой полости. К примеру, передние зубы характеризуются губным положением, а боковые – щечным положением;
- оральные нарушения – единицы смещаются внутрь ротовой полости. Если аномалия поразила нижнюю челюсть, то речь идет о лингвальном положении, если верхнюю – это небное положение;
- вертикальное смещение характеризуется супраокклюзией и инфраокклюзией. При первой аномалии зубы не смыкаются по причине их высокого расположения. Во втором случае они находятся слишком низко по выдвинутому типу;
- разворот зуба вокруг оси свидетельствует о тортоаномалии;
- на наличие транспозиции указывает взаимное изменение мест расположения зубов.
Коррекцией этой категории аномалий занимается ортодонт. Исправить ситуацию можно с помощью ортодонтических аппаратов, брекет-систем, лицевой дуги. Иногда требуется проводить реконструктивное оперативное вмешательство.
Аномальный цвет
Оптические критерии зуба определяются цветом, блеском, прозрачностью. При нормальных обстоятельствах зубная поверхность имеет белый цвет с легким сероватым, голубоватым, желтоватым оттенком. Цветовая палитра характеризует степень прочности эмали. При голубоватом оттенке, она более хрупкая, а при желтоватом – на порядок прочнее.
Присутствие на зубах нетипичных оттенков свидетельствует об аномалиях. На фоне патологий, цвет может меняться на розовый, серый, коричневый, коричнево-черный, лиловый, зеленый, синюшный и другие оттенки. При аномальной пигментации отклонения могут проявляться по диффузному типу либо обособленными пятнами.
Аномалии цвета
В нормальном состоянии цвет эмали может варьироваться от светло-голубого до желтоватого. Под воздействием внешних и внутренних факторов цвет может меняться и приобретать розовые, коричневые или оранжевые оттенки. Пигментация зубов носит единичный или диффузный характер.
Среди аномалий цвета, связанных с врожденным нарушением и минерализацией зубов, выделяют гипоплазию и флоороз. Врожденная гипоплазия не сопровождается разрушением зуба и его эмали. На поверхности элементов визуализируются меловидные пятна с блестящей поверхностью. С течением времени очаги поражения пигментируются и приобретают желтоватые оттенки. В тяжелых случаях отмечается более выраженная пигментация, связанная с неполноценным формированием эмали и ее минерализацией.
Приобретенная гипоплазия при молочном прикусе развивается из-за повреждения корня зуба во время падения или ушиба. Гипоплазия постоянных зубов развивается из-за воспаления периодонта.
При гиперплазии зубов дефекты дентина и эмали могут сочетаться с пигментацией
Флюороз – изменение цвета эмали под воздействием избыточного количества фтора. Чем выше количества вещества в используемой воде или средствах для гигиены рта, тем ярче дефект. Все зубы имеют матово-белый или фарфоровый оттенок, но при тщательном осмотре на их поверхности наблюдаются микроволны. Флюорозом поражаются единичные элементы или целые группы зубов.
Поражение эмали
К порче эмалевого покрытия приводят множество процессов, происходящих как во рту, так и в организме.
Воздействие пищи, кислот и пищевых красителей, чистящих средств, системные патологии, деятельность на опасном производстве отрицательно сказываются на общем состоянии эмали и нарушают ее минерализацию.
Флюороз
Это повреждение эмали развивается при долгом попадании большого объема фторидов в организм. Проявляется образованием на ней сначала белесых, а потом желтоватых пятен, эрозийно — деструктивными изменениями.
Патология часто отмечается у взрослых при увеличении в воде концентрации фторидов – свыше 6 мг/л.
Флюорозное поражение молочных элементов диагностируется в единичных случаях, поскольку их зачатки образуются внутриутробно, когда плацента сдерживает поступление избытка фтора.
Терапия заключается в минерализации эмалевого покрытия, его эстетическом восстановлении, лечении средствами, содержащими кальций и фосфор.
Гипоплазия
Это состояние врожденное и является следствием недостаточного развития эмали. Диагностируется по изменению вида и формы зубов, появлению углублений, белесых участков и борозд. Всегда приводит к пульпиту, глубокому кариесу, изменению смыкания челюстей.
Связывается с расстройством обмена веществ у плода, влиянием на него неблагоприятных факторов. Отмечена взаимосвязь гипоплазии с ОРВИ, краснухой, токсоплазмозом у мамы, которые она перенесла при беременности.
Тактика лечения дефекта определяется величиной его выраженности. Например, при единичных пятнах и незначительном поражении эмали, осуществляются эстетическая реставрация и мероприятия, направленные на профилактику кариеса.
Уже при выраженном повреждении выполняется ортопедическое лечение с установлением единичных коронок или мостовидных протезов.
Клиновидный дефект
Называется локальное деструктивное изменение твердых зубных тканей (преимущественно у клыков, премоляров, резцов), появляющееся на их внешней (вестибулярной) стороне и выглядящее как ступенька в форме клина.
Аномалия свойственна людям среднего и пожилого возраста. Точных причин его развития не выявлено. Сочетается с гиперестезией, ухудшением эстетики, оголением шейки и при запущенном состоянии дефект опасен переломом коронковой части. Развитие патологии проходит стадийно.
Лечение включает реминерализацию, пломбирование, протезирование винирами или коронками, коррекцию прикуса.
Когда стоматолог требует сделать прицельный снимок зуба и что можно выяснить с его помощью.
В этой публикации рассмотрим плюсы применения ретрактора Оптрагейт.
Здесь https://zubovv.ru/lechenie/zubyi/potemnenie-povod-k-stomatologu.html рассмотрим причины потемнения между зубами и способы устранения дефекта.
Аномалии зубочелюстной системы
Аномалии зубных рядов характеризуются сужением или расширением зубного ряда на определенных участках челюсти. Выделяют несколько форм положения зубных рядов при сужении:
- остроугольную, когда сужение наблюдается в области клыков;
- седловидную, при которой происходит сужение ряда в области премоляров;
- V- образную, при которой происходит сужение боковых участков и выдвижение фронтальной области вперед;
- трапецивидную (уплощение фронтального участка);
- ассиметричную, когда дефект проявляется с правой или левой стороны верхней или нижней челюсти.
Основная причина дефекта зубных дуг – недоразвитие челюстей, вызванное инфекционными заболеваниями в детском возрасте.
Отзывы
Сегодня любые стоматологические заболевания лечатся достаточно эффективно, быстро и практически безболезненно.
Комплексный подход с использованием возможностей терапевтической стоматологии, ортопедии, хирургии, ортодонтии позволяют избавиться от имеющихся проблем, полностью восстановить функциональность и эстетику зубочелюстного аппарата.
Поделиться своей историей лечения патологии зубов, рассказать об эффективности применения определенной методики или лекарственного препарата, вы сможете, оставив комментарий к этой статье.
Если вы нашли ошибку, пожалуйста, выделите фрагмент текста и нажмите Ctrl+Enter.
Теги болит зуб
Понравилась статья? Следите за обновлениями
Нет комментариев
Причины патологии
Причины, провоцирующие аномалии зубных рядов, подразделяются на эндо- и экзогенные. К первой группе причин относят генетические и гормональные факторы. Форма, строение, положение и другие характеристики зубочелюстной системы передаются от родителей к ребенку. Многие аномалии относят к структуре врожденных пороков развития.
Эндокринная система также оказывает влияние на формирование зубочелюстной системы. Например, при гипотериозе наблюдается задержка прорезывания элементов и их смены, изменение размера коронковой части.
Внешние причины аномалий делятся на пренатальные, постнатальные, местные и общие. К пренатальным факторам относится воздействие окружающей среды на формирующийся плод – гипоксию, внутриутробные заболевания. К постнатальным факторам, негативно отражающимся на состоянии зубочелюстной системы ребенка, относят:
- тяжелое течение родов;
- дыхательные расстройства;
- патологии детского возраста: рахит, гиповитаминоз;
- недостаток витамина Д в организме;
- искривление носовой перегородки.
Среди местных причин, оказывающих влияние на состояние зубов и формирование прикуса, следует отметить: искусственное вскармливание, длительное использование пустышек, вредные привычки, потребление слишком мягкой пищи.
К общим причинам дефектов ряда относят преждевременную потерю зубов в результате травм или недостаточного ухода. Из-за неправильного распределения нагрузки при пережевывании пищи развиваются аномалии прикуса. Повлиять на формирование зубочелюстной системы может прорезывание последних восьмерок во взрослом возрасте, если имеются препятствия их нормальному росту (недостаточный размер дуги, расположение соседних элементов).
Причины аномалий зубов
Для начала необходимо понять, что в понимании современной стоматологии является нормой при рассмотрении формы и данных о размере зуба, и каким образом эта норма была определена.
При вычислении параметров «нормальной» формы и размера каждого вида зубной коронки предварительно стоматологи провели множество исследований, заключавшихся в замере и определении формы зубных тел у нескольких групп людей мужчин и женщин, обладавших среднестатистическими антропометрическими показателями.
В результате были выявлены самые часто определявшиеся размеры и формы зубов, а также определена величина допустимых расхождений в каждую сторону. Если величина отклонения в большую или меньшую сторону превышает предельно допустимые значения, говорят об аномалии размера зубной коронки. А если ее форма отличается от стоматологических стандартов, принятых для каждого из видов зубов, то имеет место аномалия формы.
Развитию зубных отклонений могут предшествовать самые разнообразные этиологические проблемы внутреннего и внешнего характера.
К группе эндогенных (внутренних) факторов относят:
- Развитие пороков по генетическим причинам. В этом случае особенности зубочелюстного аппарата наследуются генетически (ребенок имеет такое же строение, величину и форму коронок, как и у родителей). Зачастую подобные отклонения сопутствуют врожденным синдромам и наследственным отклонениям.
- На процесс развития органов зубочелюстного аппарата существенно влияет состояние эндокринной системы. К примеру, гипотиреоз может препятствовать своевременному появлению и очередной смене зубов, спровоцировать гипоплазию эмали, деформирование челюстных костей, адентию, повлиять на внешний вид и величину коронок. Нетипичное развитие зубочелюстной системы также наблюдается на фоне гипокортицизма, гиперпаратиреоза, гипофизарного нанизма.
К экзогенным (внешним) факторам неестественного формирования моляров относят:
- Общие пренатальные (внутриутробные) этиологические критерии обусловлены негативным воздействием внешнего мира на процесс развития плода, фактор многоплодной беременности, недостатка кислорода. Аномалии часто формируются у беременных женщин при сильных стрессах, токсикозах, при скудном питании. Внутриутробное инфицирование также повышает риск возникновения пороков.
- Факторы интранатального порядка имеют место при тяжелых родах, внутричерепных родовых травмах. Аномалии зубочелюстного аппарата могут сформироваться в результате обматывания пуповиной ребенка, удушья плода по причине недостаточности кислорода, длительного обезвоживания. Появление нарушений в детском возрасте зачастую обуславливается перенесенными заболеваниями, в числе которых гиповитаминоз, рахит, нарушенное дыхание через нос, наличие искривленной перегородки.
- В числе местных причин, способствующих развитию патологий, находятся искусственное вскармливание, привычка сосать пальцы, постоянное применение пустышки.
Повлиять на возникновение различного рода отклонений в зубочелюстном аппарате может механическое повреждение зубов, короткая уздечка, осложненный кариес, повлекший преждевременное удаление, ретинированные или сверхкомплектные единицы.
Диагностика
Не всегда для выявления типа дефекта стоматологу достаточно визуального осмотра ротовой полости пациента. Установление причины проблемы может потребовать консультации специалистов нескольких профилей: генетика, ортодонта, отоларинголога, эндокринолога и т.д. Принимать участие в лечении патологии будут также несколько специалистов: стоматологи-хирурги, ортопеды, пародонтологи, имплантологи.
Для диагностики причины патологии пациентам рекомендуют:
- телерентгенограмму;
- снятие слепка;
- изготовление моделей челюсти из гипса;
- ортопантографию;
- электромиографию.
Снимок телерентгенограммы позволяет выявить важные параметры перед началом ортодонтического лечения: угол наклона зубов, соотношение мягких и костных тканей, степень смещения элементов и их расположение относительно друг друга
Кариес и его осложнения
Заболевание возникает в тех местах, где легко задерживается и быстро накапливается налет. Возможность проявления болезни зависит в равной степени от индивидуальной стойкости и организма, и тканей зубов.
Резистентность обуславливается качеством и структурой эмалевого покрытия, степенью его минерализации и особенностями зубочелюстного аппарата.
Кариес
Вялотекущий патологический процесс инфекционного или дистрофического характера, прогрессирует в твердых тканях, сопровождается деминерализацией эмалевой поверхности и формированием полости.
Патология не является самостоятельной, а развивается вследствие комплексного влияния неблагоприятных факторов:
- несоблюдение гигиенических норм по уходу за ротовой полостью;
- снижение иммунитета;
- неправильное питание;
- патологии ЖКТ.
Симптоматика зависит от глубины поражения и формы течения болезни. Начальный кариес развивается бессимптомно, и обнаружить его может только стоматолог.
Пациенты предъявляют жалобы на неприятный запах, боль разной интенсивности, реакцию на кислую, горячую, сладкую и холодную пищу.
При дальнейшем развитии кариеса могут образовываться кисты, присоединяться пульпит, периодонтит.
Осложненный процесс всегда приводит к утрате зуба, а наличие незапломбированных кариозных полостей – к острым болезням организма и обострению имеющихся хронических.
Лечение проводится разными путями, и зависит от стадии заболевания. Для устранения начальной формы достаточно провести минерализацию и фторирование эмали. Последующие стадии требуют препарирование «больного» элемента, закрытие полости пломбой и восстановления формы разрушенного зуба.
Пульпит
Это воспаление, прогрессирующее в пульпе. Возникает как осложнение не пролеченного кариеса, либо являться следствием травмы и неправильных действий стоматолога.
Основные признаки пульпита:
- нестерпимая боль;
- гнойные выделения;
- повышение температуры;
- кровоточивость тканей.
Патология требует незамедлительного лечения, поскольку опасна развитием периодонта и образованием околокорневой кисты.
Основной этап лечения – закладывание в полость регенерирующих и противовоспалительных средств, закрытие ее на 5-7 дней временной пломбой. При отсутствии в дальнейшем жалоб, полость запечатывается постоянной пломбой.
Периодонтит
Это воспаление периодонта — соединительной ткани, окружающей зубной корень в верхней его части. Является следствием таких явлений:
- распад нерва;
- некачественное лечение корневых каналов;
- проникновение бактерий через кровь, лимфу, каналы, пародонтальный карман в периодонт;
- в случае одномоментной или хронической травмы.
Периодонтит может быть осложнением пульпита. Диагностируется по нарастающей пульсирующей боли, при повышении температуры (не всегда), расшатыванию зуба, нагноению мягких тканей, отечности слизистой.
Лечение основывается на удалении причины воспаления, избавлении от гноя, чистки каналов, вводе противовоспалительных препаратов, пломбировки.
Периостит
Воспаление инфекционного характера, очаг которого локализован в надкостнице. Сопровождается образованием надкостничного абсцесса, отечностью тканей, болью, ухудшением самочувствия, болью, гиперемией слизистой, температурой.
Лечение включает раскрытие и дренаж абсцесса, экстракцию «проблемного» зуба, физио — и антибиотикотерапии, полоскания рта.
Гранулема
Это ограниченное разрастание тканей в зоне зубного корня, имеющего воспалительный характер. Образование чаще имеет округлую форму, и формируется в верхней части корня.
Первоначально протекает бессимптомно, а затем появляются боль, отечность, покраснение десенных тканей.
Предпосылкой к развитию может стать нелеченый пульпит, периодонтит, травма зуба. Игнорирование процесса приводит к появлению корневой кисты, свища.
Способ лечения определяется с учетом стадии и размеров гранулемы. Может назначаться медикаментозная терапия или проводиться оперативное вмешательство.
Киста
Представляет собой водянистое капсулообразное образование с гнойным содержимым у верхушки корня. Формируется в результате инфицирования корневых каналов. Увеличение размеров кисты сопровождается уменьшением объема костной ткани.
На начальном этапе никак себя не проявляет. В дальнейшем появляются отек, искажающий контуры лица, боль.
Важно! Обнаружение кисты является поводом для незамедлительного обращения к врачу, поскольку ее прогрессирование негативно отражается на состоянии всего организма.
Лечение образования проходит двумя путями:
- Хирургический, когда удаляется зуб, и иссекается киста. После, обязательно прописываются антибиотики и аппликации на основе антисептиков.
- Безоперационный (применим для кист, величина которых не превышает 8 мм). Образование заполняется противовоспалительным составом.
В видео стоматолог более подробно расскажет о причинах развития и лечении основных патологий зубов.
Какие бывают аномалии эмали?
Аномалии эмали классифицируют по ее количеству на зубах. Выделяют гиперплазию: это состояние, при котором эмали избыточное количество, и на поверхности зубов возникают бугристые наросты (т.н. “эмалевые жемчужины”).
Во время внутриутробного роста и развития может возникать дисплазия (неравномерное распределение) эмали и гипоплазия (недостаток) эмали.
Эти состояния приводят к повышенной чувствительности зубов, сколам, болевому синдрому. Зубы с гипоплазией могут иметь другой цвет, бороздки, углубления и чаще поражаются кариесом, пульпитом.
Зубные патологии
Аномалии могут быть как врожденными, так и приобретенными. Могут возникать аномалии отдельных зубов, а также целых зубных рядов. Довольно часто наблюдаются аномалии прикуса, что не позволяет зубочелюстной системе нормально функционировать. Стоматологи провели наблюдения и выяснили, что практически каждый второй ребенок страдает от наличия подобных аномалий, среди взрослых эта проблема встречается немного реже.
Всем известно, что каждый зуб имеет свою индивидуальную характеристику: он должен четко соответствовать своему положению, иметь определенную форму и цвет, а также выполнять свою функцию. Любое отклонение от принятых норм расценивается как зубная аномалия и нуждается в лечении и исправлении. Если не уделить этому вопросу должное внимание (особенно в детстве), то в будущем можно столкнуться с серьезными осложнениями. Порой аномалии зубов вылечить не так просто, и для этого проводится длительная терапия. Некоторые больные проходят терапевтическое, хирургическое, ортодонтическое и ортопедическое лечение, чтобы добиться красивой и здоровой улыбки.
Аномалии развития зубов
Патологические размеры подразумевают слишком большие или слишком мелкие зубы. В первом случае налицо диагноз макродентия, который означает увеличенный размер коронки. Такая проблема приводит к трудностям с прорезыванием остальных «соседей», скученности и неправильному положению. Это косметическая патология, которая портит внешность. Лечение заключается в удалении и исправлении формы остальных зубов. Также проводится протезирование с целью закрытия дефектов.
Малый размер (микродентия) предполагает слишком большие межзубные промежутки. Такая патология ухудшает внешний вид. Лечение проводится путем установки новых коронок.
Что это такое?
Микродентия относится к заболеваниям, характеризующимся прорезыванием постоянных зубов с аномальным развитием их размеров.
При данной патологии, они имеют меньшие размеры не только в диаметре, но и высоте, хотя высота, чаще, всего лишь незначительно отличается от среднестатистической нормы.
В основном, патология охватывает зубы переднего или бокового отдела, но может поражать и весь зубной ряд. Особенно подвержены заболеванию боковые и центральные резцы.
Как правило, для микродентии характерна асимметричность, но и здесь существуют свои исключения.
Вестибулярное положение
Отдельно от остальных могут прорезаться несколько зубов. Такое расположение называется вестибулярным. Патология параллельно протекает с небным расположением других зубов.
Причины:
- Ошибочное формирование фолликула.
- Проблемы с дыханием.
- Раннее извлечение детских зубов.
- Несовпадение ширины коронок и ширины апикального базиса челюстей.
- Присутствие лишних зубов.
- Неправильное изменение временного моляра.
Если во время прорезывания место уже занято, то такие зубы принимают вестибулярное расположение.
Устранение проблемы осуществляется с применением различных аппаратов ортодонтического вида. Показаны хирургические манипуляции, например, удаление.
Классификация Энгля в ортодонтии
Первой системой, основанной на принципе соотношения положения рядов зубов, стала классификация зубочелюстных аномалий по Энглю. Ее ключевым звеном было определение мезиадистальных соотношений первых коренных моляров сверху и снизу.
На заметку!
Термин «мезиадистальный» применительно к зубам означает: в направлении от срединной линии челюсти к ее краям.
Именно взаимное положение первых коренных зубов Энгль считал «ключом окклюзии» и утверждал, что верхний первый моляр прорезается всегда на своем месте. Его постоянное местонахождение определяется двумя факторами: неподвижным соединением верхней челюсти с костями черепа и наличием впереди стоящего второго моляра. Значит, все аномалии формы и размеров «шестерок» обусловлены исключительно атипичным расположением нижней челюсти.
Патологический прикус по Энглю подразделяется на:
- 1 – нейтральный прикус;
- 2 – дистальный прикус;
- 3 – мезиальный прикус.
1 скелетный класс описывается нормальным контактом рядов зубов на участках, где растут первые моляры. Внешний бугор шестерки верхней челюсти, обращенный к щеке, находится в углублении (фиссуре) между щечными буграми зуба №6 нижней челюсти. Патологическое положение в данном случае локализуется на фронтальных (жевательных) поверхностях зубов.
Второй класс по Энглю – дистальное смещение зубов: сдвинут первый моляр снизу. Внешний бугор верхней шестерки со стороны щеки стоит на таком же бугре нижнего антагониста или заходит между зубных единиц №5 и №6. Патологически измененные положения касаются зубов всей челюстной дуги.
Второй класс подразделяется на:
- 1 подкласс – резцы верхней челюсти веерообразно расходятся в стороны и выступают вперед;
- 2 подкласс – верхние резцы занимают оральное положение, плотно сжимаются с нижними и значительно их закрывают.
На заметку!
Описанные нарушения бывают как симметричными, так и несимметричными за счет одностороннего изменения взаимного положения первых моляров.
3-ий скелетный класс описывается мезиальным положением зубов: 1-й моляр внизу «уходит» вперед относительно верхнего антагониста. Внешний бугор верхней шестерки входит в контакт с бугром 1-го нижнего моляра либо оказывается в «проходе» между зубными единицами №6 и №7.
Нормальные размеры зубов человека
Для определения размера коренных зубов стоматологи используют таблицы Ветцеля и В. Л. Устименко, где обозначены стандарты и допустимые отклонения. При этом квалифицированный врач способен самостоятельно определить аномалию при визуальном осмотре. При этом стоматолог обращает внимание на физические параметры пациента: рост, форму лица, ширину челюсти.
Важно знать, что размер коронковой части зуба зависит и от размеров корней. Самые длинные корни имеют клыки – примерно 26 мм, у резцов – 21-23 мм, а размер корней жевательных зубов и премоляров составляет о 19 до 21 мм.
Все одноименные зубы имеют одинаковые ширину и высоту, исключение составляют медиальные резцы. При этом, в нижней челюсти зубы немного различаются по размеру.
| Стандартный размер зубов (мм) | ||
| Верхняя челюсть | Нижняя челюсть | |
| Медиальный резец | 8,5 | 5,3 |
| Латеральный резец | 6,5 | 6 |
| Клык | 7,6 | 6,7 |
| Первый премоляр | 6,7 | 6,8 |
| Второй премоляр | 6,4 | 7 |
| Первый моляр | 9,4 | 10 |
| Второй моляр | 9,4 | 10,2 |
Общая характеристика и провоцирующие факторы
В большинстве случаев проворачиваются именно боковые резцы, находящиеся вверху. Реже искривляются клыки на нижней челюсти. Неправильно располагаться могут и другие зубы, но это возможно лишь при определённых факторах.
Врач диагностирует патологию даже тогда, когда угол незначительный. Выделяют несколько степеней тяжести тортоокклюзии. В самых сложных случаях зубы повёрнуты на 180 градусов, разворот до 45 к серьёзным отклонениям не относят.
Как правило, аномальное кручение демонстрирует только один зуб, но от этого иногда страдают соседние единицы. Большую роль здесь играют факторы, которые привели к подобному отклонению. Специалисты выделяют следующие причины:
- Постоянное давление «соседей», которые неправильно прорезаются. Это может спровоцировать поворачивание зуба в своём гнезде.
- Нехватка пространства для размещения. Обычно это обусловлено макродентией или слишком узкой челюстью, из-за чего зуб не помещается в ряду. Чтобы занимать меньше места, он начинает разворачиваться. В некоторых случаях исправить такую аномалию невозможно.
- Неправильная закладка фолликула. Зачатки зубов возникают ещё в младенчестве. Бывает, что этот процесс проходит с нарушениями, тогда уже изначально формируется неправильный угол.
- Персистенция зуба. Это сохранение молочных моляров и клыков, которые остаются в челюсти взрослого человека. Их устойчивость к выпадению приводит к тому, что новым коренным зубам приходится разворачиваться, изменяя своё природное положение. В этом случае проблему легко решить на первой стадии развития патологии. Достаточно лишь удалить «молочки», препятствующие нормальному росту.
- Травмы, которые были получены при прорезании новых зубов.
Если клыки или резцы поворачиваются на большой угол, это может привести к травматизации слизистых оболочек ротовой полости. Нередко серьёзный разворот провоцирует стоматит и прочие неприятности.
Если зубы у детей занимают неправильное положение
Об аномалиях положения зубов говорят, когда зубы прорезываются за пределами ряда. В клинической практике выделяется огромное число таких аномалий, но наибольший интерес для врачей и родителей представляет транспозиция, когда некоторые зубы меняются местами. Например, вместо клыка прорезается премоляр, и наоборот. Обычно меняются местами рядом стоящие зубы, реже происходит смена мест через два или три зуба.
Чаще такую аномалию родители могут заметить уже в постоянном прикусе. Сегодня стоматологи пока не могут назвать точную причину транспозии, существуют только теории. По мнению некоторых авторов, причина такой аномалии скрывается в преждевременном удалении молочных зубов.
Родители должны понимать, что такие аномалии вполне успешно лечатся средствами и методами ортодонтии. При помощи специальных систем удается благополучно поменять зубы местами. Единственное, что не подвластно современной ортодонтии — транспозировать зубы с верхней челюсти на нижнюю, остальное — вопрос времени.
Какие бы аномалии зубов у детей не развивались, методы современной стоматологии вполне могут решать задачи любой сложности с минимальными потерями для детей и родителей. Главное, своевременно обратиться к специалисту и строго соблюдать все его рекомендации.
Как проявляется нарушение?
Как и большинство аномалий, данное заболевание просто лишено ярко выраженной клинической картины. А, если говорить точнее, клиническая картина и заключается исключительно в повороте самого зуба. Чаще всего стоматологи наблюдают тортоаномалию, при которой зуб повернут относительно своей основной оси на 45 градусов – единственным отрицательным последствием такого нарушения является эстетический аспект. Так, большинство пациентов беспокоит исключительно косметическая составляющая (особенно если речь идет о передних зубах), нежели какие-либо болевые ощущения.
Чуть сложнее ситуация может быть при полном повороте зуба и при определенных углах разворота клыков и резцов. Во-первых, появляется риск травмы слизистых рта об острые края (пример вызываемого заболевания – стоматит), а во-вторых, (если речь идет о клыках и резцах) нарушается естественный прикус, что также может побеспокоить пациента и стать причиной его визита в стоматологическую клинику. Однако, каких-либо острых проявлений диагноз даже в этих случаях не имеет, и аномалия считается относительно безвредной.
Первый этап лечения транспозиции зубов
Первым этапом было перемещение коронки постоянного клыка 1.3 на свое место. Естественно молочный клык 5.3 был удален до установки брекетов на этапе санации полости рта. Для этого применялась NiTi пружина на раскрытие от брекета на втором премоляре к коронке клыка с одной стороны, так и легкая тяга эластической цепочкой с другой.
Как избавиться от дефекта?
Если зуб повернут на достаточно большой градус, выглядит не эстетично или даже доставляет болевые ощущения – время задуматься о том, как исправить аномалию и развернуть зуб до его естественного положения. Опишем процесс лечения поподробнее:
Обнаружение проблемы
Первым шагом на пути избавления от дефекта, как и в любом другом случае, будет являться грамотная диагностика. Необходимо определить точный угол отклонения, а также его причину – именно от этого будет зависить план выправления.
Чаще всего, тортоаномалия обусловлена недостатком места в зубном ряду. Таким образов, перед врачами стоит задача, во-первых, обеспечить достаточное для комфортного разворота пространство, а во вторых, при помощи механического давления помочь зубу занять правильное положение.
Освобождения места для зуба
Данную проблему можно лишить удалением сверхкомплектных зубов или изменением формы соседних.
Разворот больного зуба в естественное положение
Лечение тортоаномалии – фото Если угол изначального разворота составляет около 10-20° (то есть аномалия незначительна) наилучшим решением станет использование ортодонтической пластинки, которая представляет собой пластину, оснащённую ретракционной дугой, сопровождающейся протрагирующими пружинами. Используя данное устройство, врачи создают сразу две механических силы, действующих на зуб в строго противоположных направлениях, где в роли первой силы выступает дуга, второй – пружина.
Ещё один вариант исправления тортоаномалии – ношение брекетов в сочетании с эластичными кольцами. Кольца – будут составлять тягу, направленную на разворот, а брекеты помогут зафиксировать, а после исправления сохранить результаты лечения. Брекетная установка является весьма эффективным способ исправления таких дефектов, но подойдет не всем и, как любое лечение этого заболевания, требует грамотного подхода.
Если угол отклонения составляет 30-40°, для создания более мощной силы тяги возможна комбинация нескольких установок: пружины и эластичного кольца.
Главным принципом в лечении является постепенность – силы тяги необходимо подобрать так, чтобы разворот был медленным. Только такое лечение не принесет вред и будет по-настоящему правильным.
Теперь отметим случаи, когда аномалия значительна и угол изначального разворота большой. В такой ситуации сложно создать достаточно мощные силы для вращения и без хирургического вмешательства уже не обойтись. Часто требуется целый комплекс мер: включающий, как хирургию, так и механическое воздействие. Такое лечение особо сложное.
Второй этап лечения транспозиции — перемещение зубов на свои места
Далее требовалось перемещение коронки первого премоляра 1.4 из небного положения и обратного перекрытия на свое законное место. Для этого потребовалось разобщение прикуса накладками. Ну и, конечно же, начался длительный и трудоемкий этап нормализации положение корней зубов. Именно на этой стадии лечения корень клыка частично расположен за пределами альвеолярного отростка верхней челюсти и соответственно высок риск рецессии десны. Спустя полтора года (!) лечения удалось переместить коронки и корни зубов в правильную позицию. И начался третий этап лечения
Факторы развития аномалий
На естественное развитие зубов влияют факторы, воздействующие на челюсть при ее формировании. Происходит это, если организм пациента испытывает дефицит витамина А – непосредственного участника процесса синтеза.
Если эндокринная система испытывает неполадки в функционировании, приводят к недостаточности желез, располагающихся периферически , то это становится фактором нарушения обмена минералов в зубной ткани. Их прорезывание происходит в юном возрасте и ведет к скорой деструкции. Установлено, что недостаточное функционирование околощитовидных желез притормаживает прорезывание. Твердые ткани при этом испытывают гипоплазию, и это оборачивается полнейшим или избирательным отсутствием зубов.
Если ребенок перенес некоторые болезни от года до трех, которые имели последствия в виде осложнений, это так же может негативно повлиять на развитие челюстно-лицевого сустава, и зубная дуга сформируется неверным образом.
Часто, аномальные процессы берут свое начало еще в младенческом и детском периоде, будучи спровоцированными рядом вредных привычек малыша:
- покусывание губ,
- сосание пальца или привыкание к пустышке,
- продолжительное использование бутылочки для кормления.
Это воздействует отрицательно на правильное развитие зубов. В некоторых ситуациях, аномалии развиваются если у малыша слишком рано выпадают молочные зубы. Во взрослом возрасте, отклонения от нормы, встречаются когда прорезаются зубы мудрости, а некоторые анатомические особенности мешают свободному их развитию.
В списке факторов присутствует и наследственный фактор. При генетической предрасположенности, патология затрагивает как молочные зубы, так и постоянный зубной ряд.
Диастема — щель между зубами
Данная патология представляет собой промежуток между фронтальными резцами. В большинстве случаев проблема возникает на верхней челюсти.
Причины:
- Поздняя смена детских зубов.
- Вредные привычки.
- Адентия частичной формы.
- Неправильная форма или размер боковых зубов.
- Сверхкомплектность.
- Несовпадение размера челюсти и зубов (например, большая челюсть и маленькие зубы).
Диастема бывает настоящей и ненастоящей. Первая появляется, как результат попадания волокон соединительной ткани уздечки губы в срединный шов. Вторая возникает во время смены зубов, проходит самостоятельно по окончании выхода наружу клыков и боковых резцов.
Данный недуг классифицируется также по Ф.Я. Хорошилкиной, которая выделила первый, второй и третий тип диастемы.
Разновидности диастемы
Первый – отклонение латерального типа фронтальных центральных коронок при норме расположения корней. Основанием для подобной формы служит сверхкомплектность, постоянное сосание языка и пальцев.
Второй – корпусное латеральное отклонение резцов от нормы. К факторам развития относится адентия боковых зубов, излишняя плотность костной ткани, расположенной по срединному шву, дистальное формирование клыков, резцов, низкая фиксация уздечки верхней губы. Диастема второго типа часто носит наследственный характер.
Третий – серединный наклон фронтальных коронок и их латеральное отклонение в отношении корней. Такой вид проявляется при лишних зубах, многокостной адентии.
Коронки при диастеме размещаются следующим образом:
- Без поворота.
- С поворотом вокруг себя в вестибулярную сторону.
- С поворотом в оральную сторону.
Щель между зубами не так безобидна, как кажется. Она приводит к дефектам речи, сложности произнесения некоторых согласных звуков, а также влечет за собой пародонтопатию ввиду ослабления стойкости зубов.
Для устранения проблемы используются ортодонтические конструкции или комплексное лечение хирургическо-ортодонтической направленности.
По Персину
Классификация Персина по ортодонтии включает аномалии смыкания зубных рядов и парных зубов-антагонистов. Нарушение прикуса подразделяется на дефекты боковых областей:
- дистокклюзию;
- дизокклюзию;
- перекрестную окклюзию с лингвальным, перекрестным и вестибулярным положением зубов;
и фронтальных участков:
- вертикальную и продольную дизокклюзию;
- вертикальное, продольное и перекрестное нарушение смыкания отдельных пар зубов-антагонистов.
Можно ли предупредить возникновение патологии?
К сожалению, какой-либо 100% профилактики по предотвращению возникновения тортоаномалии на данный день всё ещё не существует. Следует понимать, что во многих случаях такого набора мер быть просто не может: данное заболевание часто передается на генетическом уровне или может быть заложено в очень раннем возрасте. Однако, всё же можно выделить нескольких мер, которые, если и не станут гарантией отсутствия патологий, то точно пойдут на пользу вашим зубам:
- Регулярный осмотр у стоматолога. Так, врачи рекомендуют сделать подобные походы привычкой и наблюдаться у специалиста не менее 2 раз в год. Особенно важную роль осмотры должны играть в период замены молочных зубов на коренные: часто именно задержки в этом процессе становятся причиной подобных аномалий. Кроме того, наблюдение у стоматолога поможет своевременно выявить проблему, а значит вовремя заняться и её лечением.
- Исправное соблюдение элементарной гигиены. В современном мире каждый слышал, что зубы надо чистить как минимум два раза в день, но далеко не каждый исполняет даже такое простое правило. Бережная забота о своей ротовой полости – один из важных шагов в сохранении здоровья зубов и профилактики многих неприятных заболеваний, не стоит ей пренебрегать.
Таким образом, полностью предотвратить риск возникновения дефекта нельзя, но каждому под силу вовремя обратить на него внимание. О лечении – читайте дальше.
Профилактика
Современные методы лечения позволяют избавиться практически от любой аномалии и сохранить красивую и здоровую улыбку на долгие годы. Но чтобы не тратить время и деньги на лечение, можно попробовать провести профилактические меры, чтобы не спровоцировать развитие аномалий зубов.
Профилактику эту нужно начинать еще с того момента, когда ребенок находится в утробе матери. Необходимо окружать малыша заботой и вниманием, следить за своим состоянием, меньше нервничать, правильно питаться и кормить рожденного ребенка едой, которая предназначена именно для его возраста. При обнаружении любых эндокринных нарушений необходимо проводить их немедленную коррекцию. И конечно, регулярно ходить на осмотр к стоматологу, чтобы своевременно проводить лечебные мероприятия и не доводить зубы до того состояния, когда они уже не подлежат лечению.
Методы лечения
Диагностика заболевания не затруднительна, максимум, что потребует врач – это рентгеновский снимок. После получения результата, специалист составляет схему лечения.
Современный уровень ортодонтического оборудования и методов восстановления, позволяют исправить даже самые тяжелые клинические случаи.
Эластопозиционеры
Конструкции в некоторых случаях могут использоваться вместо брекет-системы. Это ортодонтические приспособления, которые производятся из гибкого материала — винил-силикона, чем и обуславливается их эффективность.
Подобный материал прочный, упругий, эластичный, обладает высокой биосовместимостью, гипоаллергенностью.
Внешний вид изделия представлен эластичной каппой с внутренним каркасом, способным запоминать и оказывать давление именно в тех участках, где требуется коррекция.
Эластопозиционеры механически воздействуют и перемещают элементы в необходимом направлении. При этом гигиена рта не страдает.
Показания к использованию:
- деформация прикуса;
- косметическая коррекция;
- аномалии отдельных элементов;
- узкая челюсть;
- перекрестный прикус;
- для сохранения результатов после использования брекетов.
Конструкции можно использовать только в ночное время, что не доставляет эстетического дискомфорта.
На первых этапах врачи рекомендуют использовать систему и в дневное время, но только на 2—3 часа в комплексе со специальными упражнениями. В целом, лечение занимает от 6 до 12 месяцев.
Брекеты
Системы несъемного типа специально созданы для коррекции прикуса и окклюзии. Их конструкция представляет собой множество замочков, крепящихся индивидуально на каждую единицу с внутренней или наружной стороны.
Между собой замки соединены регулируемой дугой. Конструкция давит на каждый элемент, благодаря чему происходит передвижение в нужном направлении.
Для изготовления систем могут использовать такие материалы:
- металл;
- пластик;
- керамика;
- сапфир.
Срок использования устройств регулируется врачом в зависимости от сложности случая. Но в целом термин составляет 1—2 года постоянного использования. После снятия могут назначаться дополнительные фиксирующие конструкции.
Показания к использованию:
- патология размещения одной или нескольких единиц;
- специфический прикус и окклюзия;
- подготовительные процедуры к протезированию;
- эстетическая корректировка лица и профиля;
- придание направления единицам, которые еще не прорезались в общий зубной ряд.
Петля Коффина
На рисунке под номером 1 — ретракционная дуга; 2 — пружина Коффина; 3 — небная пластинка; 4 — кламмеры.
Ортодонтический съемный одночелюстной прибор, который необходим для расширения верхнего ряда, устанавливается на небной пластине и языковой поверхности.
Конструкция может неравномерно распределять давление, с учетом особенностей строения зубочелюстной системы пациента.
Прибор имеет круглый, овальный или грушевидный изгиб и два отростка для фиксации.
Показаниями к использованию являются:
- расширение фронтальной зоны;
- боковое расширение;
- удлинение и расширение челюсти.
Пружина Коффина должна использоваться ежедневно, но из-за своей конструкции аппарат усложняет формирование речи и применяется только в ночное время.
Продолжительность коррекции таким способом зависит от индивидуальных особенностей пациента. Может варьироваться от 5 месяцев до 1,5 лет.
Как происходит исправление прикуса хирургическим путем, и отзывы пациентов об операции.
В этой статье можно оценить результаты лечения неправильного прикуса по фото до и после его исправления.
Здесь https://zubovv.ru/ortodontiya/prikus/sposobyi-primeneniya-miogimnastiki.html подробное описание применяемых эффективных упражнений миогимнастики в ортодонтии.
Аппарат Энгля
Система представлена коронками и кольцами на первые элементы, которые используются в качестве опорных единиц, действующей дугой, втулками.
Это механическое несъемное одночелюстное приспособление для влияния на зубной ряд и его наклон.
Подобную систему используют в таких случаях:
- устранение неправильного расположения одного или нескольких элементов;
- расширение или сужение челюстной кости;
- исправление перекрестного прикуса;
- поворот костных органов вокруг своей оси.
Срок лечения аппаратом Энгеля длительный, напрямую связанный с имеющейся патологией, и может достигать 2 лет.
Удаление
Удаление зуба – хирургическая операция для взрослых и детей по устранению неправильно растущей единицы.
Для этого используют элеватор, его погружают до верхней отметки корня, после чего делают разрез фиксирующих тканей и удаляют орган.
Компактостеотомия
Способ хирургической операции предусматривает рассверливание на поверхности челюстной кости отверстий в шахматном порядке для уменьшения сопротивления твердых тканей альвеолярного отростка.
Метод облегчает дальнейшую перестройку тканей, под влиянием ортодонтических корректируемых систем. Используют для исправления прикуса и челюстных патологий.
Фибротомия
Метод хирургического вмешательства освобождает фиксирующие эластичные ткани вокруг костного органа.
Процедура показана для поддержки функционального прикуса и восстановления правильного направления роста костных органов, которые начали изменять свое положение.
Она способствует удержанию положения элементов после применения ортодонтических конструкций и формированию новых тканей для правильной фиксации.
Происходит фибротомия под местным обезболиванием. В десне делают надрез до гребня кости, что нарушает, неправильно сформированные ткани.
Неполный вывих
Это процедура по корректировке поврежденного элемента. Врач ставит на место вывихнутый зуб и фиксирует его при помощи шины, которая устанавливается на место травмы и на соседние единицы.
Использование шины должно продолжаться 5—6 недель. На протяжении всего этого времени специалист проверяет состояние пульпы.
Если пульпа отмирает, то ее удаляют и проводят чистку каналов с их пломбировкой. Также необходимо контролировать состояние корня, который может рассосаться в течение года.
Симптомы аномалии такие:
- изменение местоположения зуба;
- подвижность коронки;
- болезненные ощущения;
- отечность мягких тканей вокруг проблемных единиц;
- сложность закрытия рта;
- кровотечение из поврежденной области.
Почему возникают аномалии
Этиология зубочелюстных аномалий имеет две основные направленности – это врожденный характер и приобретенный.
Сюда относятся такие наиболее распространенные причины:
- Перенесенные заболевания в детском периоде. Подобное обстоятельство может снижать сопротивляемость организма и вызывать зачатки в нарушении нормального развития зубов. К таким болезням относятся рахит, коклюш, пневмония, скарлатина, дифтерия, диспепсия и т. д.
- Нарушение правильного носового дыхания. При осуществлении дыхательных движений через рот может развиваться сужение верхней челюсти.
- Травмы и нарушения внутриутробного развития. Сюда относятся, как травмы, связанные с процессом родов, так и полученные уже в раннем возрасте. Врожденно у малыша может быть диагностирована расщелина губ и неба.
- Удаление молочных зубов. Ранняя экстирпация может приводить к задержке развития постоянных. К примеру, преждевременная потеря молочного второго моляра ведет к перемещению первого постоянного вперед, а в результате происходит укорочение дуги челюсти. С целью предупреждения подобных проблем у деток помощь включена в перечень профилактических мероприятий по предупреждению развития зубочелюстных аномалий.
- Искусственное вскармливание малыша. Как известно при рождении у ребенка нижняя челюсть определяется в дистальном положении. Для ее выведения необходимо использовать функциональное раздражение, что, в принципе, и получается при грудном вскармливании. Так как искусственное кормление исключает подобный момент, нижняя челюсть может отставать в развитии.
- Перенесенные в детстве заболевания, связанные с зубами или челюстью.
- Имеющиеся эндокринные расстройства. Дисфункция щитовидной железы может вызывать замедленное прорезывание у малыша, и как следствие возникновение высокого неба и открытого прикуса.
- Наличие неблагоприятных факторов. Сюда относятся различные вредные привычки детей сосать пустышку, палец, прикусывать губы или щеки, а также другие предметы. А так как кости лицевого скелета в раннем возрасте очень податливые, это может приводить к деформации челюсти. Также сюда относится и высокое изголовье во время сна ребенка, в результате смещается нижняя челюсть вперед. А сон с откинутой головой назад ведет к смещению нижней челюсти сзади и дальнейшему отставанию в ее развитии.
Следует отметить, что распространенность зубочелюстных аномалий составляет почти 40% по наследственному фактору, среди которых довольно часто встречаются дефекты черепно-лицевых структур и относительно редко – зубные характеристики.
Наследственный фактор чаще всего связан с такими проблемами:
- несрощенные губы, небо, альвеолярный отросток;
- наследственные синдромы и заболевания (синдром Гарднера, Гольденхера, дизостозы, хондродисплазии);
- неправильная форма зубов (коническая), размеры и количественный ряд;
- дефекты с размерами челюсти и положения ее в черепе.
Внимание: такие признаки могут проявиться уже сразу после рождения ребенка, в период появления молочных зубов или же при развитии постоянного прикуса. Родителям стоит внимательней отнестись к этому моменту, а особенно во время пубертатного роста.
Виды неправильного прикуса
Патологии структуры
К такой аномалии относятся следующие диагнозы: генерализованная и местная гипоплазия, несовершенный амелогенегз и дентинонегез, а также гиперплазия.
Гипоплазия эмали означает присутствие бороздок, ямок и пятен на коронке. Параллельно меняется цвет, форма и размер. Гиперплазия представляет собой лишние бугорки, капли на эмали. Нередко сопровождается неправильным размещением зубов и заболеваниями окклюзии.
Несовершенный амелогенез – это возникновение пигментных пятен коричневого или желтого цвета, истончение эмали, дискомфорт при температурных, химических раздражителях. Параллельно меняется форма, возникает микродентия. К процедурам лечения относится прием поливитаминов, реминерализация.
Несовершенный дентиногенез предполагает проблемы с развитием дентина. Зубы становятся серовато-коричневого или ярко-желтого цвета близко к янтарному. Они быстро стираются, склонны к выпадению. Патология лечится путем протезирования или установки имплантатов.
Цвет зубов
Каждый зуб имеет свои оптические характеристики, в число которых включены цвет, прозрачность и блеск эмали. Считается нормой, если зубы имеют оттенки от бело-голубого до желтого. Причем голубоватая эмаль более хрупкая, в отличие от желтоватой, которая славится своей прочностью.
Если в ротовой полости имеются патологии, то может изменяться цвет зубов. Они могут становиться розовыми, серыми, коричневыми, коричнево-черными и даже абсолютно черными. Такая пигментация может проявляться в виде небольших пятен на эмали, а может иметь диффузный характер.
Прежде чем бороться с аномалией цвета зубов, необходимо установить причину ее появления. Поскольку в некоторых случаях есть необходимость коррекции системных нарушений. Лечение начинается с того, что специалист проводит профессиональную гигиену всей полости рта, могут применяться различные способы отбеливания зубной эмали.
Небное положение
При этой патологии одиночный или группа зубов прорезаются прямо из неба. Недугу подвержены вторые премоляры или резцы.
Причины:
- Недоразвитие межрезцовой кости.
- Преждевременное извлечение молочных зубов.
- Неправильное создание альвеолярного отростка.
- Лишние зубы.
- Проблемы с дыханием через нос.
- Ошибки в закладке зачатков.
- Вредные привычки.
- Неправильное изменение зубов.
- Ошибочное срастание твердого неба, верхней губы.
Лечение проводится с учетом возраста больного, вида проблемы, клинической картины. При определении тактики устранения патологии учитываются следующие особенности:
- Хватает ли места?
- Насколько верхние зубы перекрывают нижние?
- Как расположены зубы (скученно, с наклоном, с промежутками)?
Ретенционный период
Для закрепления результатов лечения в ретенционный период используют следующие методы?
- Ортодонтический. Он представляет собой фиксацию ретенционной дуги на исправленные коронки. Для этой цели могут использовать волокнистую или металлическую ленту. Первый вариант имеет высокие эстетические особенности и не нуждается в препарировании самих корней. В качестве ретейнеров могут использоваться индивидуальные пластинки, которые на вид не эстетичны и не так удобны, как другие виды брекетов.
- Хирургический. Его используют для лечения взрослых пациентов. При помощи этого метода происходит стабильная ретенция без изменений на протяжении пяти лет. Данный метод заключается в том, что производится рассечение десенного сосочка.
- Физиотерапевтический. Для хорошей ретенции применяют вибростимуляцию. Данная методика подразумевает механическое воздействие на коронки специальными вибрационными колебаниями. Во время вибраций частотой до 50 ГЦ начинает активизироваться сосудисто-двигательная реакция. Именно она отвечает за процесс репарации кости. Процедура выполняется по нарастающей с воздействием вибрации амплитудой до 1,5 мм. Данные процедуры рекомендуется проводить несколько раз в неделю.
По ВОЗ
Во всем мире и в России действует Международная Классификация Болезней Всемирной Организации Здравоохранения (МКБ 10). Ее эксперты совместно с практикующими стоматологами выработали свою систематизацию деформации зубов. Некоторые пункты в ней взяты из систем Кавелиса, Каламкарова, Свенсона и Гаврилова.
Система ВОЗ состоит из 5 видов аномалий:
- по величине челюстей – макро- и микрогнатия, асимметрия;
- по положению челюстей;
- по соотношению челюстей – дистальный, мезиальный, перекрестный, глубокий и открытый прикус;
- по конфигурации и величине челюстей – суженные, уплощенные, увеличенные и уменьшенные челюсти относительно нормы;
- дефекты некоторых зубов.
На заметку!
Челюстная дуга может иметь остроугольную форму, которая определяется по клыкам: челюсть сжимается именно в области третьих зубов.















