Зубной врач почти каждый день в своей практике сталкивается с удалением зуба. Перфорация гайморовой пазухи тоже возникает довольно часто.
Это осложнение чаще всего возникает при удалении коренных зубов на верхней челюсти корни, которых находятся близко к этой полости.
Образованию перфорации способствуют воспалительные изменения в тканях, окружающих корень, с сопутствующим разрушением кости. Что такое перфорация верхнечелюстной пазухи, по каким признакам можно выявить подобное осложнение и как его устраняют?
Odnoklassniki
Особенности строения
Гайморова (верхнечелюстная, основная) пазуха находится внутри кости верхней челюсти. Она от ротовой полости отграничена при помощи альвеолярного отростка. Он образует дно полости. Объём полости верхней челюсти может быть до десяти кубических сантиметров. У неё есть сообщение с носовой полостью. Внутри полость выстлана слизистой тканью.
Строение имеет особенности, которые помогают её легко повредить:
- Иногда толщина пластинки кости между дном полости корнями зубов не превышает один миллиметр.
- Встречается вариант расположения корня второго и первого моляров, когда они проникают в полость и отграничены от неё только слизистой, которая выстилает пазухи.
- Костная пластинка быстро истончается при воспалительных процессах.
- Небольшая толщина трабекул кости верхней челюсти.
Такие особенности строения обусловливают лёгкое повреждение её стенки, даже когда врачом не нарушено никаких правил и не приложено значительной силы.
Особенности верхнечелюстной пазухи носа
Верхнечелюстная, или гайморова, пазуха – это полость внутри черепа, ограниченная со всех сторон костной тканью. У взрослых людей она довольно объемна, порой достигает 10 см3. Её форма и расположение в костях обуславливают неповторимое произношение, присущее человеку. Полость, резонируя, формирует тембр звука.
Околоносовые пазухи выстланы изнутри тонкой слизистой оболочкой и соединяются с полостью носа тонкими канальцами для отвода слизи и вентиляции. Если отверстия забиваются, развивается воспаление – гайморит.
Известен ряд особенностей, объясняющих возникновение отверстия в дне гайморовых пазух:
- Размеры и толщина стенок, отделяющих верхнечелюстные пазухи от полости рта, индивидуальны у каждого человека. При истонченной кости (толщиной до 1 мм) пазуха с легкостью перфорируется при работе стоматолога. Тому способствует также близость корней передних зубов.
- Случается, корни дальних зубов проникают в область пазухи и отделяются от нее лишь тонкой плёнкой слизистой ткани. Пока зуб здоров, все в порядке. Если же с каналами таких зубов врач начинает производить манипуляции, слизистая прорывается, происходит проникновение.
- Даже здоровая кость способна атрофироваться и стать тонкой и слабой при постоянных заболеваниях пародонта и периодонта. Либо трабекулы верхней челюсти – пластинки, образующие её остов – незначительны от рождения. Такую преграду несложно перфорировать острыми инструментами.
Поэтому нельзя однозначно утверждать, что в развитии осложнения всегда виноват врач.
Что такое перфорация гайморовой пазухи
Образование дефекта гайморовой пазухи – это осложнение при проведении манипуляций на верхней челюсти. Образуется отверстие между полостью рта и основной пазухой. Это может произойти при удалении коренных зубов верхней челюсти (моляров и премоляров) или при протезировании. А также при сложном эндодонтическом лечении корня зуба и удалении кистозных образований. Дефект формируется в месте лунки зуба.
Методы диагностики
Если стенку гайморовой полости повредили при проведении имплантации или другой стоматологической процедуры, врач это заметит. Инструмент примет нехарактерное положение в лунке и будет проваливаться глубже, чем необходимо.
Для подтверждения диагноза и при подозрении на давнее повреждение используют:
- зондирование отверстия в зубе и зоны прободения;
- рентген верхнечелюстных пустот;
- компьютерную томографию челюстно-лицевой области;
- развернутый анализ крови.
Причины возникновения перфорации.
Далеко не всегда стоматолог виноват в возникновении этого осложнения. Оно нередко может появиться в силу индивидуальных анатомических особенностей пациента. А также оно может быть обусловлено течением воспалительного процесса в ткани, окружающей корень.
Причины возникновения перфорации могут быть следующими:
- Прободение гайморовой пазухи при удалении зуба возникает чаще всего. Дно её перфорируется при резком удалении зуба с приложением больших усилий.
- У части больных корни верхних зубов внедряются в полость пазухи. При удалении зубов автоматически происходит нарушение целостности костной пластинки. При лечении возможно попадание материала для пломбирования в полость.
- При технически сложном эндодонтическом лечении. При таком виде лечения воспалительный очаг находится глубоко в толще десны или под корнем зуба. Вместо удаления больного зуба, стоматолог пытается его сохранить. В процессе такого вида лечения легко повреждается костная пластинка.
- В процессе установки импланта в кость верхней челюсти с последующим протезированием зуба может быть легко повреждена гайморова полость. Это происходит потому, что имплант похож на шуруп и должен быть ввинчен в кость. При дефектах проведения этой манипуляции или анатомо-топографических особенностях у больного может быть повреждена костная пластинка верхней челюсти (неправильно подобран размер импланта, были дефекты подготовки к имплантированию). Врач не учитывает перед постановкой импланта то, что при удалении зуба толщина костной пластинки быстро уменьшается.
- Прободение может произойти при хроническом воспалении тканей окружающих зуб (периодонтит). При этой патологии костная пластинка расслаивается и становится тонкой. Если в такой ситуации приходится удалять зуб, перфорация возникает практически всегда.
- Проведение манипуляции по удалению ретинированного зуба из гайморовой полости.
- Часто бывает перфорация при проведении процедуры резекции корня зуба. Необходимость в этой манипуляции возникает при экстракции корня с нагноившейся кистой.
Какие факторы учитываются стоматологом при проведении вмешательства?
Вероятность перфорации пазухи увеличивается при расположении зубного корня в непосредственной близости к ней в момент удаления. Поэтому хирургическое лечение должно проводиться с предельной аккуратностью и последующим рентгенологическими контролем состояния тканей после операции. Также стоматолог контролирует состояние тканей при использовании штифтов для имплантации или при обработке корневых каналов в целях пломбирования, так как велик риск проникновения материала пломбы и обломков корня в гайморову пазуху.
Если процесс происходит в момент внедрения импланта в костную ткань или при пломбировании каналов, то это прямая ошибка, которая совершается врачом во время его терапевтической тактики. Единственным способом контролирования манипуляций является рентгенологический контроль и опыт стоматолога, который при работе должен учитывать анатомическое строение верхней челюсти пациента. При этом повреждения дна пазухи чревато серьезными осложнениями, которые сложно устранить. Особенно если это происходит во время имплантации искусственных корней. Костная ткань в области верхней челюсти быстро подвергается дистрофическим изменениям, и это ведет к уменьшению высоты альвеолярного отростка.
При резекции корня для устранения кистозных образований, как и в вышеуказанных случаях, стоматолог должен полностью обследовать пациента. При недостаточном сборе анамнеза может возникнуть перфорация в той ситуации, если врач не знает точного размера костной пластины, которая отделяет дно пазухи от стенки самой кисты. При этом прогноз ухудшается при необходимости удаления большого объема костной ткани.
Симптомы перфорации пазухи верхней челюсти
Как проявляется перфорирование гайморовой пазухи. Существуют специфические симптомы, когда это происходит.
Признаки перфорации:
- Кровотечение из лунки зуба с включением пузырьков воздуха. При выдохе через нос численность пузырьков возрастёт.
- При перфорации, кровотечение бывает не только из зубной лунки. Оно может быть из носового хода, который близок к пазухе.
- Больной говорит «в нос» или гнусавит.
- Затем возникает ощущение свободного прохождения воздуха через зубную лунку.
- Больной иногда отмечает распирание и чувство тяжести в области средней трети лица со стороны поражения.
Если прободение не было распознано сразу, и лечение не проводилось, то к предыдущей клинике присоединяются симптомы гайморита.
Гайморит проявляется:
- Повышается температура тела.
- Усиливается ощущение распирания в проекции гайморовой пазухи.
- Носовое дыхание затруднено.
- Слизистая носа на стороне поражения отёчна.
- Нарастает общая слабость.
- Ломящая боль в носовой области.
- Гнойное отделяемое из носового хода на той стороне, где была манипуляция.
Лечение патологического процесса
Лечение зависит от тяжести наблюдаемого патологического процесса. Обычно оперативное вмешательство не требуется в тех ситуациях, когда перфорация была осуществлена при удалении больного зуба и выявлена в тот же момент. При этом данные рентгенографии должны показать отсутствие инфекционного процесса в гайморовой пазухе.
Если в ранке нет осколков, пломбировочного материала и присутствия инфекции, то при таком раскладе стоматолог старается сформировать после удаления зуба сгусток крови в лунке и проследить за тем, чтобы образовавшаяся полость не была подвержена инфекции. Для подобных целей может применяться небольшой марлевый тампон, который пропитывается раствором йода. Сам по себе йод обладает хорошими бактерицидными свойствами, позволяющими быстро устранять все патогенные микроорганизмы.
Чаще всего такой тампон может самостоятельно фиксироваться в образовавшейся раневой полости после удаления зуба. Иногда требуется наложение швов на десну, которые делаются непосредственно стоматологом. Лечение при помощи йодового раствора делается на протяжении шести-семи дней вплоть до момента формирования грануляционной ткани, которая позволяет закрыть перфорацию.
Стоматолог может провести временное закрытие дефекта, осуществляемое благодаря специальной гипоалергенной пластине, изготавливаемой из пластмассы. Сама пластинка надежно фиксируется на соседних зубах при помощи кламмеров. Она аккуратно разобщает полости гайморовой пазухи и рта, что в свою очередь способствует быстрому заживлению и регенерации здоровой ткани в области перфорации.
Важно провести профилактические мероприятия, направленные на то, чтобы предупредить развитие любых воспалительных осложнений. Ведь после удаления зуба при перфорации в раневую поверхность могут попасть патогенные микроорганизмы, способные вызвать серьезный воспалительный процесс.
Профилактика кроется в обязательном приеме назначенных доктором противовоспалительных препаратов и антибиотиков, также используются средства, обладающие сосудосуживающим эффектом, которые останавливают кровотечение.
При проникновении в гайморову пазуху инородных тел при перфорации (обломки корней зуба, пломбировочные материалы, прободение импланта) лечение проводится в стационарных условиях. В тяжелых случаях могут проводиться оперативные вмешательства на гайморовой пазухе с ее дальнейшим вскрытием, при котором проводится очищение тканей и удаление инородных тел. После санации делается пластическое закрытие образовавшейся перфорации.
Методы определения перфорации
Выявить эту патологию можно только на основании характерной клиники. Если есть сомнения, выполняется полный спектр диагностических манипуляций, включая инструментальные методы.
Чтобы диагностировать дефект костной пластинки, для последующего его устранения, необходимо при осмотре пациента выполнить манипуляции:
- Тщательно осмотреть зубную лунку, после того как удалили корень зуба.
- Выполнить зондирование её дна.
- Попросить пациента зажать нос и выдохнуть через нос. Воздух выйдет в рот через зубную лунку.
- Если пациент надувает щёки, воздух проходит в носовую полость. Но этот приём может спровоцировать воспаление пазухи, его нельзя часто применять.
Инструментальные методы диагностики включают:
- зондирование зубной и канала перфорации при помощи тонкого зонда;
- компьютерная томография;
- рентгенография, на снимках можно увидеть дефект и инородные тела;
- общий анализ крови.
Симптомы нарушения целостности пазухи
Симптоматика зависит от того, как быстро диагностируется прободение синуса. Первые признаки образования отверстия:
- выделяемая из ранки кровь насыщена пузырьками воздуха;
- из носового хода со стороны поврежденной полости выделяется кровянистая жидкость;
- при резком выдохе пузырьков воздуха в кровяных выделениях становится больше;
- пациент начинает гнусавить;
- появляется ощущение, что через образовавшуюся лунку проходит воздух;
- ощущается давление в гайморовых пустотах.
Однако повреждение дна верхнечелюстной полости незначительно, поэтому заметить его сразу не удается. Спустя некоторое время придаточные пустоты инфицируются, что сопровождается следующими симптомами:
- болевыми ощущениями в верхней челюсти;
- головной болью;
- повышенной температурой тела;
- заложенностью носа;
- выделением гноя из носовых ходов.
Лечение перфорации пазухи при удалении зуба
Тактика ведения больного при перфорации зависит в первую очередь от состояния самой пазухи и времени выявления этого дефекта. Лечить этот дефект должен только квалифицированный специалист.
Лечение перфорации основной пазухи верхней челюсти имеет задачи:
- Закрытие дефекта.
- Предупредить процесс воспаления в пазухе.
- Назначить лечение, если есть воспаление.
- Если есть инородные частицы, то они должны быть извлечены.
Если перфорация была сразу же замечена и признаков инфицирования нет, то лечебные мероприятия следующие:
- Сохранение сгустка крови в зубной лунке.
- Провести мероприятия по предупреждению его инфицирования (наложение тампона с раствором йода).
- Наложить швы на десну, при необходимости.
- Лечение проводится, пока не вырастут грануляции и не будет закрыт дефект.
- Тампон из лунки не извлекают.
- Если дефект не закрывается самостоятельно, его закрывают пластиковой пластиной. Её фиксируют к зубам.
- Назначение курса лекарственной терапии, направленного на противодействие воспалению.
Если перфорация осложнена разрывом десны и пенетрацией инородных частиц в мягкие ткани, окружающие лунку зуба, выполняют пластическое закрытие дефекта в этот же день. Или через некоторое время, когда будет уверенность, что ткани будут держать швы. Перед этим удаляют все инородные тела и иссекают участки, подвергшиеся некрозу. Манипуляцию выполняют под рентген контролем, чтобы удостовериться, что там нет инородного тела. Если произошло проникновение в полость инородного тела, то необходимо делать операцию в условиях стационара.
Этапы операции:
- Вскрытие основной пазухи верхней челюсти.
- Удаление зуба из гайморовой пазухи (его обломков) и иных инородных тел.
- Иссечение некротических участков.
- Закрытие дефекта.
Особенности извлечение корня зуба мудрости
В сложных ситуациях важно удалить корни и воспалительные образования осторожно, чтобы не допустить инфицирования и образования дефекта в костной пластинке. Еще очень важно обеспечить длительное сохранение кровяного сгустка после удаления.
Тактика в сложных случаях:
- Удаление зуба с кистой выполняется одномоментно, затем в луну закладывается тампон, пропитанный йодным раствором. Фиксировать его нет необходимости. Через семь дней при формировании грануляций его убирают.
- Корень, попавший в гайморову полость, извлекают через ее переднюю стенку. В ней делают окно в форме трапеции с вершиной возле пораженного зуба.
Через него удаляется корень, все патологические образования, инородные тела. Затем, полость промывают антисептиками. Устанавливают дренаж, соединяющий полость с носовым ходом, для последующего промывания.
- Перед удалением зуба мудрости надо сделать рентген, для того чтобы понять, сколько у восьмерки корней и как она расположена. Удаляют такой зуб осторожно, раскачивая поперек десны, чтобы не повредить соседние единицы и пазуху.
Соблюдение этих мер в сложных случаях не позволит появиться дефекту в костной пластинке.
Осложнения: одонтогенный гайморит, появление свища
Если перфорацию вовремя не ликвидировать, то развиваются серьезные осложнения.
К ним относятся:
- Гайморит (одонтогенный) — это воспаление основной пазухи верхней челюсти, возникает при проникновении инфекции из ротовой полости через дефект костной пластинки после удаления зубной единицы.
- Потеря соседних единиц. Это происходит из-за того, что инфекция распространяется на соседние ткани.
- Остеомиелит — появление ограниченных очагов гнойного расплавления костной ткани в челюсти.
- Менингит — воспаление мозговых оболочек. Болезнь развивается вследствие гематогенного распространения инфекции из основного очага.
- Флегмона лица — распространение гнойного воспаления на мягкие ткани.
- Формирование свища — образование патологического сообщения между лункой удаленного зуба и основной пазухой, с отделением гноя.
Осложнения после перфорации представляют угрозу для жизни больного и плохо поддаются лечению. Поэтому лучше своевременно удалить дефект и вылечить воспалительные процессы вовремя.
Профилактика
Профилактика перфорирования довольно трудна, так как не зависит от самого пациента. Квалифицированный стоматолог должен предпринять все меры, чтобы не допустить или своевременно ликвидировать дефект. Для этого необходимо тщательно обследовать больного перед удалением зуба, чтобы понимать его анатомические особенности. Их выявление способно снизить риск перфорации.
Если сам больной ощущает наличие сообщения между пазухой и ротовой полостью и понимает, что воздух свободно циркулирует через дефект, необходимо сообщить об этом стоматологу и настоятельно попросить устранить недостаток.
Важно! Если образовался дефект, важно вовремя заподозрить его наличие и приступить к лечению.
Врач должен:
- Закрыть дефект;
- Заложить тампон с антисептическим раствором в зубную лунку;
- Назначить больному антибиотики, для профилактики осложнений.
При застарелых дефектах важно не допустить развитие более серьезных осложнений. При обнаружении признаков перфорации важно немедленно обращаться к стоматологу, который удалял зуб.
Последствия перфорации гайморовых пазух
Если не замечено наличие дефекта и больной, несмотря на симптомы, не обращается к врачу, это грозит наступлением серьёзных и опасных для здоровья последствий.
Возможные последствия:
- Выраженная воспалительная реакция.
- Формирование остеомиелита.
- Генерализация инфекции.
- Развитие абсцесса и флегмоны.
- Выпадение здоровых зубов в зоне свища.
- Хронический синусит.
- Менингит.
- Энцефалит.
- Тромбоз кавернозного синуса.
Чтобы избежать формирования осложнений пациент при любом неблагополучии после удаления зуба должен посетить стоматолога.
Диагностика
Если терапевт установил гайморит, а человек незадолго до того лечил зубы, причинно-следственная связь вполне понятна. Установить точную картину и обнаружить источник помогут инструментальные исследования.
Врач-эндодонт прозондирует лунку, оставшуюся после удаления зуба, определяя наличие либо отсутствие костного дна в ней. Процедура выполняется крайне осторожно.
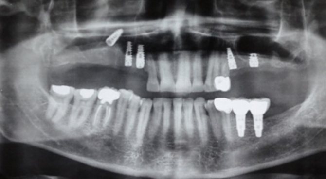
Ощутимую помощь окажет рентген носовых пазух. Если на плёнке видны затемнения в полости, значит, налицо скопление крови внутри. Также на снимке удаётся рассмотреть обломки корней зуба, расположение штифтов, торчащий материал внутриканальной пломбы. Развеять сомнения поможет рентгенография с использованием контраста.
Недостаток рентгена – в его двумерности. Стереоизображение легко получить при прохождении компьютерной томографии. Врач рассмотрит результат сканирования в специальной программе, изучит зуб со всех сторон и выберет план лечения.
Если подозревается давняя перфорация, общий анализ крови покажет присутствие в результатах ряда патологических показателей, говорящих о наличии в теле пациента очага инфекции. Рассматривается исключительно вкупе с прочими исследованиями.
Застарелая перфорация пазух
При несвоевременном обнаружении и ликвидации дефекта острое воспаление утихнет. В течение месяца у пациента образуется свищ. Он соединяет поверхность десны и полость пазухи. Присоединяются признаки хронического воспалительного процесса. Это будет являться тяжелым осложнением.
У больного есть жалобы:
- Наличие тупых болей в верхней части щеки, постоянного характера. Они иррадиируют в область глаза и височную область.
- Ощущение заложенности носа с одной стороны.
- Отделение гноя из носа и из свищевого отверстия на верхней челюсти.
- Припухлость средней трети лица на стороне поражения.
- Движение воздуха через дефект.
- Трудности при разговоре.
- Попадание жидкости изо рта в нос.
Терапия застарелых процессов сопряжена со значительными трудностями. Больным показано оперативное лечение в стационаре.
Этапы операции:
- Вскрытие основной пазухи верхней челюсти.
- Извлечение инородных тел.
- Иссечение некротических участков и грануляций.
- Иссечение тканей, формирующих свищ.
- Закрытие дефекта.
После проведённой операции в обязательном порядке назначается лекарственная терапия с применение антибиотиков, противовоспалительных и противоотёчных препаратов курсом две недели.
Особенности терапии
Методы лечения прободения верхнечелюстной полости зависят от оперативности ее обнаружения. Если повреждение удается заметить во время экстракции зуба или при протезировании, возможно проведение терапии без операции. Однако при застарелой патологии необходимо хирургическое вмешательство. Процедуру проводят также в том случае, если рентген подтвердит проникновение в придаточные пустоты инородных предметов.
Лечение без операции
После обнаружения прободения пациенту делают рентген. Если в полости не обнаруживают признаков инфицирования, частичек зубных тканей или пломбировочного материала, врач проводит лечение без операции. Он максимально осторожно обрабатывает лунку антисептиком, чтобы не задеть образующийся в ней сгусток крови. Открытый канал закрывают одним из следующих способов:
- Закладывают в лунку тампон, смоченный в растворе йода. Если он не удерживается в отверстии, десну подшивают. Тампон не извлекают на протяжении 7 дней. По истечении недели его убирают. К этому времени в канале происходит рубцевание.
- На поврежденный участок накладывают перегородку. Ее крепят к соседним зубным единицам при помощи специальных приспособлений. Пластину снимают после полного заживления отверстия.
Для профилактики воспалений и инфицирования пациенту назначают антибиотики, противовоспалительные препараты, местные сосудосуживающие средства для носа. Во время терапии больной находится дома, однако ежедневно ходит на осмотр к врачу.
Хирургическое вмешательство
Операция направлена на устранение инородных объектов и омертвевших тканей, прочистку полости от патогенных микроорганизмов, пластику ороантрального свища. Перед процедурой больному вводят анестезию. Доступ к гайморовым пустотам открывают через ротовую полость. Этапы операции:
- Вскрытие костных пустот.
- Устранение инородных тел, инфицированных и мертвых тканей.
- Промывание антисептическим раствором. Для процедуры используют шприц с тонкой иглой.
- Пластика поврежденного дна костных пустот. Отверстие закрывают при помощи тканей, срезанных со слизистой оболочки полости рта.
После операции пациенту назначают антибиотики. Отечность снимают антигистаминными препаратами. Для ускорения заживления показаны физиопроцедуры.
Преимущества лечения в нашей клинике
Подводя итоги можно понять, что получить дефект перегородки полости верхней челюсти очень легко. Это зависит как от действий стоматолога, так и от индивидуальных анатомических особенностей пациента.
Обращаясь за лечением в нашу клинику в Москве, вы можете быть уверены, что таких осложнений у вас гарантированно не будет. У нас проводят профилактику осложнений.
Для этого у нас назначают обязательный комплекс профилактических мероприятий по их предотвращению:
- Мы проводим полное обследование больных перед проведением всех стоматологических манипуляций.
- Выполняем исчерпывающую оценку анатомо-топографических особенностей пациента.
- Мы соблюдаем все этапы стоматологических манипуляций.
Вы останетесь довольны качеством стоматологических услуг, если обратитесь к нам в клинику. В нашей клинике есть самое современное оборудование на уровне стандартов лучших европейских и американских стоматологических клиник. Мы можем предложить вам полный спектр всех диагностических процедур в одном месте. Наши врачи прошли обучение в ведущих мировых центрах стоматологии и владеют новейшими методиками лечения и протезирования. Мы поможем даже в самых сложных случаях. Мы разрабатываем индивидуальный курс лечения с учетом всех особенностей больного. Мы используем только проверенные методики лечения и материалы самого высокого качества. Наша клиника сделала доступными самые высококачественные стоматологические услуги. С полным спектром наших возможностей по лечению и диагностике вы можете ознакомиться на нашем сайте.
Профилактические мероприятия
Профилактика перфораций дна верхнечелюстной пазухи заключается:
- в полноценном обследовании пациента перед проведением сложных стоматологических процедур;
- в правильной оценке анатомо-топографических особенностей каждого человека;
- в точном соблюдении технологии лечебных манипуляций.
Своевременное выявление признаков перфорации и ее адекватное лечение является залогом благоприятного исхода для пациента. Неправильная терапевтическая тактика или самолечение могут усугубить течение такого осложнения и стать причиной развития тяжелейших негативных последствий.
Последствия и осложнения
- Развитие воспаления в гайморовой пазухе и его распространение на примыкающую костную ткань.
- Вовлечение в воспаление других пазух: лобных, решетчатых, клиновидных.
- Формирование абсцесса или флегмоны.
- Потеря зубов, которые расположены в зоне перфорации.
- Развитие остеомиелита и менингита.
Чтобы не страдать от последствий и не подвергать себя опасности, выбирайте стоматологию и лечащего врача правильно. При достаточном профессионализме доктора все операции по удалению и имплантации зубов проводятся легко и безопасно.
Гайморит – воспаление слизистой оболочки пазухи. Как правило, развивается после проникновения патогенных микроорганизмов из одонтогенных очагов инфекции.Возникновение свищевых ходов, идущих от пазухи к слизистой оболочки в области удаленного зуба.
Классификация и проявления патологии
По продолжительности заболевания:
- острый — не более трех недель;
- подострый — продолжительность болезни до 6 недель;
- хронический — заболевание длится более 6 недель.
В зависимости от локализации воспаления:
- патология слева;
- патология справа;
- двусторонняя патология.
При развитии патологии из-за удаленного зуба чаще всего развивается односторонний синусит, но при отсутствии лечения инфекция может распространиться на обе стороны.
Проявляется заболевание в любом случае одинаковыми симптомами, но при острой патологии они более выражены:
- заложенность носа;
- обильный слизистый или гнойный насморк;
- боль со стороны удаленного зуба (локализуется в щеке или под глазом);
- пульсирующая головная боль;
- болезненность при постукивании по скулам;
- лихорадка;
- синдром общей интоксикации — лихорадка, озноб, слабость
Отличительной чертой одонтогенного гайморита является связь с проведением ранее стоматологических манипуляций.
Одним из характерных признаков патологии является боль в области крыльев носа
Лечение воспаления
Если ваш первопричиной вашего гайморита стали проблемы с зубами, то лечение необходимо проводить комплексное. Сначала нужно вылечить больные зубы, затем приступить к терапии гайморита.
Антибиотики
При гайморите назначают курс антибиотиков в форме капель, таблеток и мазей. В тяжелых случаях назначают препараты для инъекций.
Какие капли назначают:
- Изофра.
- Флуимуцил.
- Полидекса.
Цена – от 340 р.
Что лучше Полидекса или Изофра узнаете здесь.
Список мазей от гайморита:
- Вишневского.
- Ихтиоловая.
- Левомеколь.
- Синтомициновая.
Отзывы
После имплантации и синус-лифтинга иногда могут возникать разные осложнения. Большую роль играет не только квалификация врача, но и действия пациента в период восстановления.
Предлагаем в комментариях к данной статье поделиться опытом или мнением о вероятности развития гайморита после процедур имплантации и о том, как его лечить.
Если вы нашли ошибку, пожалуйста, выделите фрагмент текста и нажмите Ctrl+Enter.
Теги имплантация
Понравилась статья? Следите за обновлениями
Предыдущая статья
Основные аспекты и нюансы имплантации жевательных зубов
Следующая статья
Основы выбора метода ортодонтического лечения
Перфорация в области коронки зуба
Оно может появиться как в стенке единицы, так случается и перфорация зубного дна. Именно особенности строения внутренних каналов чаще всего способствуют этому.
Также влияние на появление подобных полостей имеет неправильно выбранный инструментарий врача или его неграмотные действия.
Симптомы
Если такая перфорация свежая и появилась сразу в процессе терапевтического лечения, то ее клиника вполне типична – пациент испытывает острую боль, а в области воздействия активно выделяется кровь. Сам же врач может почувствовать при этом, как его инструмент как будто провалился.
Более сложный случай, когда образовавшаяся полость застарелая и почти никак себя не проявляет. Человек может периодически ощущать незначительную ноющую боль, которая беспокоит редко. Только при тщательном осмотре опытного врача можно заметить грануляционные образования, внутренние кровотечения и острые реакции на прикосновение в конкретной области.
Как только стоматолог обнаруживает подобное, его заданием становится пломбирование полости, если она не больше 2 мм. Иначе пломбировочный материал просто попадет в периодонт и вызовет инфицирование тканей, что быстро разовьется в сложную форму периодонтита.
Диагностика
В случаях, когда перфорация образуется в стенке зуба, ее заметить несложно даже при беглом осмотре.
Для обнаружения подобной проблемы в зоне дна нужно будет сделать рентгенологический снимок с контрастом. Для этого используют штифт или специальный файл.
Лечение
Чем закрыть образовавшуюся полость в коронке зуба? Для этого применяют пломбы из биосовместимого материала. Если раньше популярностью пользовались СИЦ (стеклоиономерный цемент) или амальгама, то сегодня врачи предпочитают применять более качественные вещества – МТА (минералы триоксида агрегата).
Как лечить патологию
Лечение патологического состояния должно осуществляться с комплексным подходом. С этой целью применяют такие методы:
- использование медикаментозных препаратов;
- альтернативная терапия;
- оперативное вмешательство.
Лечение обычно проводится в условиях стационара. Методы терапии определяет специалист в зависимости от стадии и тяжести заболевания, а также индивидуальных особенностей организма пациента.
Медикаментозная терапия
Чаще всего медикаментозные препараты назначаются после устранения гноя из гайморова синуса хирургическим методом. Но иногда лекарственные средства используются на начальной стадии патологии.
Одонтогенный гайморит лечат препаратами таких групп:
- сосудосуживающие лекарства;
- антибиотики;
- витаминно-минеральные комплексы;
- противовоспалительные средства.
Сосудосуживающие препараты назначают в форме назальных капель. Также используют растворы этой группы для промывания носовых пазух. Чтобы уменьшить такие симптомы, могут применять Ксилен, Тизин, Називин, Нокспрей или другие препараты этой группы.
К противовоспалительным лекарствам, которые используются при гайморите, относятся Колларгол, Эреспал или Протаргол.
При воспалении назначаются антибиотики для внутреннего употребления. Обычно применяются препараты ряда:
- макролидов (Рокситромицин);
- пенициллинов (Ампиокс, Амоксициллин);
- цефалоспоринов (Цефалексин, Цефуроксим);
- фторхинолонов (Спарфлоксацин, Левофлокс).
Могут применяться антибактериальные средства для местного использования, например Изофра, Фузофунгин, Биопарокс, или Полидекса. Если у пациента повышена температура, то следует использовать жаропонижающие лекарства.
Рекомендуется делать промывание носа и полоскания ротовой полости, используя Хлоргексидин или Фурацилин. Проводят пункцию пазухи, ставят дренаж. Через трубку в гайморов синус вводятся антисептические растворы и антибактериальные средства. Кроме того, промывают нос специальными растворами. Применяют при одонтогенном гайморите физиотерапию: СВЧ, ультрафонофорез, УВЧ, ингаляции.
Народные средства
Рецепты народной терапии не помогут вылечить гайморит. Альтернативные средства являются лишь вспомогательным методом лечения патологии.
Среди народных лекарств наиболее распространенные следующие:
- Сок из черной редьки. Им закапывают носовые проходы несколько раз в сутки.
- Луковые капли. Лук мелко нарезают и отжимают из него сок через марлю. В полученную жидкость добавляют 50 г растительного масла, тщательно перемешивают. Таким лекарством рекомендуется закапывать нос трижды в день.
- Капли из каланхоэ. Желательно использовать листья растения, которому более трёх лет. Сок смешивают со спиртом в пропорции 20:1. Используют как назальные капли.
- Капли на основе оливкового масла, прополиса и мяты. Этим средством закапывают нос или делают полоскание ротовой полости.
- Ингаляция из отвара ромашки, шалфея и дубовой коры. Делают процедуру перед сном.
- Отвар из красного клевера. Употребление этого напитка способствует лучшему отхождению содержимого из пазух носа.
- Смесь из алоэ, лука и цикламена. Берут по чайной ложке соков этих растений и столько же мази Вишневского. Средством смазывают область возле носа.
Самые эффективные антибиотики против гайморита
Также рекомендуется делать полоскания рта, промывания носа и ингаляции с отварами лекарственных трав:
- ромашка;
- календула;
- шалфей;
- эвкалипт;
- зверобой.
Процедуры можно делать с раствором морской соли или эфирными маслами.
Народные средства применяются только с разрешения лечащего врача.
Оперативное вмешательство
Операцию специалист назначает при развитии осложнений гайморита и неэффективности консервативной терапии.
Хирургическое лечение заключается в удалении тканей, поврежденных некротическими процессами, и санации гайморовой пазухи.
При патологии делают гайморотомию. Проводят также операцию эндоскопическим способом.
Терапия застарелых гайморитов
Как показывает практика, консервативная терапия неэффективна при застарелых гайморитах. Приходится прибегать к оперативному лечению воспаления с механическим промыванием пазухи для избавления от скопившегося экссудата. Также при необходимости производят иссечение омертвелых тканей и удаление инородного тела, если они есть. Обязательной фазой операции является закрытие сформировавшегося свища — отверстия, через которое сообщаются две полости. В послеоперационном периоде обязательным является назначение антибиотиков и противовоспалительных препаратов. При необходимости назначают физиотерапевтические процедуры.
Лечение зубного гайморита
Основное лечение должно быть направлено на удаление очага воспаления во рту с помощью:
- устранения стоматологом больного зуба, или удаление инородного предмета в носовой полости;
- санации ротовой полости;
- промывания гайморовых пазух, которое должен делать отоларинголог. Это делается путём прокола и ввода в область пазухи лекарственных препаратов: антисептиков и антибиотиков.
Такая операция проводятся под местным наркозом. При тяжелых осложнениях и абсцессах необходимо делать общий наркоз и проводить полноценную хирургическую операцию в стационаре. После этого пациенту прописывают капли с сосудосуживающим эффектом. При присоединении осложнений необходим приём антибиотиков.
Зубной гайморит в хронической форме без осложнений лечится также. Но иногда проводится хирургическое вмешательство для удаления новообразований, появившихся в пазухах и закрывших проходы. Для этого во рту делают надрез, через который удаляются новообразования. Стенка пазухи пробивается бормашиной, после чего удаляют все новообразования. После операции проводится промывание пазух.
После хирургического вмешательства врач назначает соответствующие лекарственные препараты и схемы их приема. Лечение всегда носит комплексный характер, так как назначаются несколько видов медикаментов:
- антибиотики;
- нестероидные противовоспалительные средств;
- антигистаминные препараты;
- иммуномодуляторы.
После санации ротовой полости проводится следующая терапия зубного гайморита:
- этиологическое, которое устраняет причины возникновения заболевания.
- патогенетическое, которое оказывает влияние на развитие болезни.
- симптоматическое, которое облегчает симптомы заболевания.
Если консервативное лечение не дает положительного результата, проводится пункция гайморовых пазух. В ходе его проведения делается прокол и создается свищ, способствующий оттоку гноя из пазух. После этого головная боль проходит.
При распространении гнойной инфекции в районе головного мозга проводится хирургическая операция. С ее помощью из пазух удаляется скопившаяся слизь.
Лечение гайморита после синус лифтинга
Если произошло повреждение пазухи во время операции, необходимо остановить процесс. Далее выполняются следующие действия:
- имплантат удаляют;
- останавливают кровотечение;
- закрепляют защитные блоки, обработанные лекарственными препаратами;
- наносят швы на рану.
Если имплант попал в пазуху, его извлечение возможно эндоскопически через нос.
После назначают курс антибиотиков, противовоспалительных и сосудосуживающих средств. Цель медикаментозной терапии при перфорации синуса — общее восстановление организма. Важно также, чтобы не развился синусит.
Повторно устанавливать имплант можно через 5-6 месяцев. Если же прободение незначительное и врач установил пациенту импланты, необходимо точно следовать рекомендациям врача.
Сопровождается такими симптомами:
- чувство тяжести в синусе;
- непрекращающаяся тупая боль в пазухе, отдающая в глазницу, висок;
- заложенный нос со стороны пораженной области;
- выделения гноя из носа;
- отек щеки;
- отечная слизистая носа;
- насморк;
- ощущение слабости, повышенная температура, головокружение.
При появлении перечисленных симптомов требуется срочная помощь врача, иначе ситуация грозит развитием свища в кости и десне.
На этом фоне могут трудно произноситься звуки, иногда жидкость или мелкие частицы пищи проникают в нос. Пациент ощущает движение воздуха в носу. Для подтверждения патологии проводится рентгенография.
Терапия хронических перфораций проходит сложно из-за имеющегося очага инфекции. При необходимости иссекаются атрофированные ткани, свищ и выполняется пластическое закрытие дефекта. Для профилактики осложнений назначаются антибиотики и другие препараты.
Способ лечения хронического рецидивирующего гайморита относится к медицине, а именно к челюстно-лицевой хирургии, и может быть использован при лечении хронического рецидивирующего гайморита как одонтогенной, так и риногенной этиологии. Цель изобретения — предупреждение рецидива гайморита. Цель достигается тем, что при лечении хронического рецидивирующего гайморита путем вскрытия верхнечелюстной пазухи, удаления полипозно- и рубцово- измененной слизистой оболочки, наложения соустья с нижним носовым ходом в области отсутствующей слизистой оболочки удаляется участок костной стенки верхнечелюстной пазухи и на мягкие ткани дна образовавшегося дефекта пересаживается свободный лоскут покровного эпителия полости рта.
Изобретение относится к медицине, а именно к челюстно-лицевой хирургии, и может быть использовано при лечении хронического рецидивирующего гайморита как одонтогенной, так и риногенной этиологии.
Известно, что при хроническом рецидивирующем гайморите слизистая оболочка верхнечелюбстной пазухи претерпевает значительные изменения: инфильтрируется, уплотняется, подвергается полипозному и рубцовому перерождению.
Известен способ лечения хронического гайморита, сводящийся к вскрытию верхнечелюстной пазухи, удалению полипозно-измененной слизистой оболочки, наложению соустья с нижним носовым ходом. (А. Г. Шаргородский. /В кн: «Воспалительные заболевания челюстно-лицевой области и шеи». Под ред. проф. А.Г.Шаргородского. М. 1985, с. 276).
Известный способ имеет существенные недостатки: после удаления полипозно-измененной слизистой оболочки в верхнечелюстной пазухе остаются участки обнаженной кости ее стенок. В дальнейшем эти участки покрываются вначале грануляционной, позднее грубой соединительной тканью, что ведет к болезни оперированной пазухи.
ПОДРОБНОСТИ: Физиотерапия после имплантации зубов
По сути дела речь идет о рецидиве заболевания, для лечения которого нередко приходится выполнять повторное оперативное вмешательство.
Все они являются качественными и эффективными, если их назначает профессиональный врач. Следующая группа препаратов — это сосудосуживающие. Так как гайморит проявляется выраженной отечностью слизистой оболочки, и отток гноя и слизи затруднен, следует назначать сосудосуживающие препараты за 5-15 минут до промывания носа или дезинфекции синусов. Они в свою очередь максимально убирают отечность, а попадание антисептических средств и выделение гнойно-серозного содержимого облегчается.
Показания и противопоказания
Показанием для синуслифтинга считается нехватка кости для правильной установки импланта. Без этой процедуры выполнить имплантацию будет просто невозможно.
Нельзя делать синуслифтинг в таких случаях:
- У пациента есть заболевание иммунной системы.
- Наблюдается синусит, гайморит или ринит.
- Низкие показатели свертываемости крови.
- Гайморовы пазухи расположены слишком близко.
- Есть заболевание сердечнососудистой системы.
- Ранее было хирургическое вмешательство в зоне гайморовых пазух. Это является относительным противопоказанием. Однако сейчас разработана технология синуслифтинга модифицированного.
- Такие заболевания, как алкоголизм, рак и др.
Профилактика
Профилактическим мероприятием служит поддержание должной гигиены полости рта, регулярное посещение стоматолога и своевременное пролечивание всех зубов, требующих адекватной терапии.
Помните, что возникновение перфорации является следствием не врачебной ошибки, а индивидуальных анатомических особенностей человека. Чтобы защититься, выбирайте клинику с репутацией, отзывами, желательно с филиалами в городе пребывания.
Перед проведением стоматологических процедур необходимо детальное обследование для выявления анатомических особенностей строения челюстей, опрос больного. Если вы видите, что стоматолог намерен приступить к процедуре без обследования, лучше отказаться от лечения у врача.
Описание
Перфорация донной области верхнечелюстной пазухи может случится в процессе удаления верхних зубов. В основном это произойдет при удалении больших, реже маленьких зубов. Это случается потому, что анатомическое строение имеет свои особенности, которые затрагивают корни этих зубов и дно пазухи, находящейся в верхней челюсти. При пневматическом типе образования пазухи верхние части корней больших и малых зубов отделены от дна пазухи посредством костной пластинки. В районе первых двух коренных зубов, имеющих большие размеры, толщина этой пластинки может достигать всего лишь 0,2 – 1,2 мм. Случается, что верхушки этих зубов вдавливаются в данную пазуху и даже могут выступать дальше ее дна. Кость, которая должна отделять зубные корни от верхнечелюстной пазухи, может рассасываться в результате и тогда ткань, находящаяся в патологическом очаге, сливается со слизистой оболочки данной кости. Если удалить этот зуб, то слизистая пазухи разоврется и образует симбиоз с полостью рта через лунку в удаленном зубе.
Диагностические мероприятия
Травмироваться гайморовы пазухи могут непосредственно в ходе процедуры костной пластики и имплантации или через определенный промежуток времени после них (от нескольких месяцев до нескольких лет). Связано это с ненадежностью или нарушением фиксации системы. Чтобы предупредить появление осложнения в виде воспалительного процесса врач обязан проверить качество установки имплантата. То, что произошло травмирование синусов можно установить по следующим признакам:
- Нарушенная устойчивость искусственного корня – расшатывание, провал в кость или в глубину пазухи
- Место установки имплантата кровит с пузырьками воздух
Ряд диагностических мероприятий позволяют вовремя обнаружить нарушения в области синуса
Для диагностики повреждения синусов проводят:
- Зондирование – с помощью специального зонда определяют есть или отсутствует дно у лунки, при наличии щели он легко в нее проходит
- Визуальный осмотр
- Томографию в 3D
- Рентгенографию
Если возникает подозрение в хроническом течении заболевания из-за давности травмы, то назначается общий анализ крови.
Киста корня зуба в гайморовой пазухе
Удаление корня зуба считается наиболее эффективным способом терапии кист, локализованных в области верхушки. Когда пациент не был тщательно обследован, а стоматолог не обладает информацией о толщине костной ткани, которая отделяет кистозную стенку от пазухового дна, а также в случае, когда необходимо удалить большое количество кости челюсти, довольно часто происходит разрыв тканей пазухи.
В чем заключается опасность
Во-первых, это некрасиво, неприятно и больно. Во-вторых, патология может обернуться более серьезными последствиями: воспаление распространится на здоровые зубы, которых в последствии также можно лишиться; разовьется гнойно-некротический процесс челюсти (остеомиелит или флегмона), результатом которого станет разрушение костной ткани; возникнет дисфункция нервов и слуховых ходов. Как и в любом другом случае, чем раньше состоится визит к стоматологу и начнется лечение, тем легче будет путь к выздоровлению.
Особенности анатомии гайморовой пазухи и верхней челюсти
Синусы имеют особую слизистую оболочку, которую образуют небольшие отростки – цилии, покрытые слизью. При каждом пульсировании цилий слизь вместе с частичками пыли, проникающими сюда при дыхании, направляются к носу. Таким образом, происходит самоочищение пазухи.
В чем разница синусита и гайморита подскажет данный материал.
Воспаление слизистой может привести к нарушению в работе механизма самоочищения. Стоки могут закупориться, тогда в придаточных пазухах собирается гной. Это острая форма гайморита.
Корни зубов верхней челюсти выступают в гайморову полость. Если посчитать от центра в сторону, то с 4-го по 8-й зуб сверху ограничены гайморовой полостью. Если пазуха склерозированная – маленькая, аккуратная, то с ней проблем бывает меньше. Если пазуха пневматический типа – широкая, то её дно огибает верхушки зубных корней. Отсюда обоюдная взаимосвязь воспалительных процессов, протекающих в синусах либо в верхней челюсти.
Что может быть от самолечения?
Ответ на вопрос зависит от того, чем вы пытаетесь лечиться. В норме этого допускать нельзя, если вы решили попробовать избавиться от патологии консервативным методом, который сами себе назначили, последствия могут быть непредсказуемыми.
Если начать лечиться самостоятельно, оставить заболевание без внимания, могут быть непредсказуемые и опасные последствия.
Распространение инфицирования на окружающие костные ткани спровоцирует остеомиелит верхней челюсти. Воспаление может перекинуться на другие пазухи, что создаст дополнительную угрозу здоровью.
Формирование абсцессов, флегмон и гнойных очагов , это следствия того, если перфорацию оставить без лечения и врачебного контроля.
Это заболевание относится к разряду опасных, способных спровоцировать серьезные патологии в организме, некоторые из которых (к примеру, менингит, если воспаление затронет мозг) могут стать причиной летального исхода.
Ни в коем случае не применяйте народные средства, они не избавят от основной патологии. Максимум, какого эффекта вы сможете добиться , временного обезболивания. Применение любого средства, медикаментозного или народного, должно быть согласовано с врачом, применяться в указанной дозировке.
При каких обстоятельствах может болеть зуб
Воспаление слизистой оболочки гайморовых пазух вызвано разными причинами. Наиболее часто заболевание вызывают проблемы с зубами. Вот почему по поводу гайморита вас могут направить одновременно к ЛОРу и стоматологу.
Одонтогенный гайморит диагностируют, когда причиной воспаления гайморовой пазухи становится больной зуб. Если воспаляется 4-8 зуб на верхней челюсти, тогда до гайморита недалеко. Воспаление корней легко переходит на гайморову пазуху.
Одонтогенный гайморит лечить сложно. Можно идеально отмыть пазуху, погасить воспаление, но поскольку истинная причина находится не в самой пазухе, а в ротовой полости, вспышка одонтогенного гайморита обязательно вернётся. Именно поэтому ЛОР врач должен качественно пролечить гайморову пазуху, а затем направить к стоматологу.
Если возможно сохранить зуб, то его пролечивают, убирают кариозные участки, пломбируют, депульпируют, если это необходимо, и сохраняют. Если же он совсем плохой, то нужно с ним прощаться.
Ярким признаком одонтогенного гайморита является крайне неприятный гнилостный запах. Если вы чувствуете запах из полости носа или при пункции гайморовой пазухи доктор отмечают резкий неприятный смрад, то диагноз однозначный.
Из-за зуба мудрости
Корни зубов мудрости находятся чуть ли не в самой полости гайморовой пазухи и это очень плохо. Если вам сделали компьютерную томограмму или обычный рентген околоносовых пазух, то на снимке видно, как корни заходят прямо в верхнечелюстную пазуху. Периодически зубы мудрости будут провоцировать одонтогенный гайморит.
У большинства людей они портятся сразу после прорезания. Некоторые больные сталкиваются с воспалением десны над зубом мудрости при его прорезывании. Если шапка десны слишком толстая, он не может пробиться наружу, приходится десну надрезать. При этом часто выясняется что эмаль под этой шапкой уже затронута кариозным процессом.
Если вы чувствуете что что у вас часто возникают симптомы гайморита нужно обращаться к стоматологу и пролечивать зубы мудрости самым тщательным образом. Многие предпочитают сразу их удалять, чтобы не доставляли проблем.
Всю информацию о лечении гайморита без гноя с отеком носовых пазух найдете в этой статье.
Корни зубов прорастают в гайморову пазуху, вызывая хронический воспалительный процесс. В таком случае пациенту показана операция по удалению инородного тела из полости синуса – микрогайморотомия. Операция проходит под местным или общим наркозом. Врач делает надрез над десной в области 4-го верхнего зуба, вскрывает гайморову пазуху и зачищает либо удаляет корень. Тогда явления гайморита стихают и зуб можно сохранить.
Киста корня зуба
Часто пациенты получают такой диагноз, как киста верхнечелюстной пазухи. Это небольшое образование, которое находится на корнях верхних зубов. Люди, которые живут с этой патологией всегда находятся под вопросом удалять эту кисту или нет? Если киста находится в пазухе, имеет тенденцию к росту, то операцию лучше не откладывать. Если же с каждым годом киста не увеличивается, её размеры небольшие, то с хирургическим вмешательством можно повременить.
Киста корня – это как мина замедленного действия. Она может нагноиться, особенно в жаркое время года, воспалиться из-за травмы, переохлаждения. Нагноение происходит очень быстро, киста становится причиной гайморита и сильных болей. А в момент перелета на самолете нагноившаяся киста может и вовсе лопнуть. Также это может произойти в скоростном поезде или при травме челюсти.
Если киста разорвется, гной выльется и пациент получит резкое нагноение самой пазухи. Да и просто длительный контакт кисты с пазухой приведет к хроническому кистозному гаймориту. Поэтому, если есть киста, её размер больше половину пазухи, присутствуют боли и случаи воспаления синусов, образование лучше удалить.
После удаления зуба
Бывает так, что в результате врачебной ошибки после удаления зуба у пациента образуется ораантральный свищ. Это отверстие, которое соединяет лунку с гайморовой полостью. Такое происходит, когда корень находился внутри пазухи, а врач просмотрел этот момент на рентгене. Чтобы такого не происходило, врач должен тщательно изучить снимок.
Как распознать гайморит на снимке изложено тут.
Если воспаление на корне зуба привело к атрофии кости и перфорации дна гайморовой пазухи, доктор удаляет его и делает кюретаж лунки. Далее следует обработка антисептиком и высушивания лунки марлевым тампоном. Накладывают остеопластический материал способствующий обеззараживанию и заживлению лунки. Затем десна тщательно ушивается, чтобы в рану не попали бактерии.
От 1 до 3 недель материал набухает и выделяет антибиотик. Через 3-9 месяцев на этом месте образовываются новая костная ткань, которая закроет свищ.
Иногда пациенты жалуются, что после прокола и промывания синуса сильно болят верхние зубы. Это нормальная ситуация так корешки зубов реагируют на антисептик который заливают полость для обеззараживания. Также после прокола образуется сильный отек, давящий на тройничный нерв.
Зубная боль может быть не связана с проколом. Нужно проверить, не является ли больной зую причиной только что пролеченного гайморита. На деле именно проблема с кариозными зубами становится первоисточником проблем с гнойными синуситами.
Если человек побывал у стоматолога, установил имплант и получил гайморит – это не вина стоматологов. Зубы в верхней челюсти могут корнями прорастать в гайморову пазуху. Бывают корни достаточно крупные, а костная мембрана очень тонкая и хрупкая.
Во время установления импланта мембрана может быть повреждена. Кончик зубного импланта попадает в гайморову полость, провоцируя воспаление. Решается проблема путем несложной операции. Специальным инструментом врач счищает полипы, образовавшиеся из-за инородного тела, извлекает имплант из пазухи, дезинфицирует.
Неприятно, что пациент лишается своего импланта. Однако, после прохождения реабилитационного периода, его можно вернуть на место с одной оговоркой. Если мембрана очень тонкая, то перед установкой импланта её нужно нарастить.
Какова вероятность повреждения при поднятии гайморовой пазухи (синус-лифтинге)
При недостаточности объема кости проводится синус-лифтинг. Методика предполагает наращивание объема кости в месте внедрения импланта. Операция становится обязательной при установке искусственных корней в боковых частях верхней челюсти. Синус-лифтинг характеризуется сложностью выполнения и необходимостью тщательной подготовки.
В каких случаях назначается
У 70% процентов пациентов диагностировался дефицит кости по причине анатомических особенностей и ее атрофии в месте удаленных зубов. Недостаток нормальной физиологической нагрузки вызывает отмирание костной ткани. Негативное влияние оказывают возрастные изменения. Синус увеличивается, из-за чего возникают сложности при установке искусственных корней.
При высоте кости менее 10 мм показана операция синус-лифтинга. Условиями проведения хирургического вмешательства являются:
- место, куда планируют вставлять костный заменитель, не подвергается патологическим изменениям;
- размер кости соответствует конкретному виду операции;
- отсутствуют вероятные осложнения в ходе вмешательства.
Используемые методики
Есть 3 метода выполнения операции синус-лифтинга:
- Открытый — сложная хирургическая процедура, выполняющаяся при сильном недостатке кости больше 8 мм. Алгоритм действий предполагает:
- в десне и кости под ней создается отверстие;
- выполняется поднятие дна пазухи;
- помещение костного заменителя в освободившееся место после отодвигания синуса;
- возвращение на место ранее отделенной части кости.
- Закрытый — назначается при кости высотой 7-8 мм. Этапы операции:
- в месте, где будет внедряться имплант, подготавливается отверстие через небольшой прокол;
- остеотомом выполняется перемещение пазухи;
- освобожденное пространство заполняют гранулированным костнопластическим веществом.
- Балонный — показан при высоте кости 3-4 мм. Сразу после завершения данной процедуры возможна установка имплантов. Баллонный метод выполняется аналогично закрытому способу. Его отличие — в установке катетера с баллоном под слизистую. Баллон постепенно заполняется рентгеноконтрастной жидкостью, что обеспечивает плавное щадящее отслаивание слизистой и образование свободного пространства для костного заменителя.
Симптомы зубной боли при гайморите
При гайморите пациент или совсем ничего не замечает, или ощущает слабое давление под глазом. Некоторые жалуются на выделения из носа, содержащие гной, кровь.
Существует ряд симптомов, на которые стоит обратить внимание:
- болит вся сторона черепа;
- дискомфорт в области носовых и лобных пазух;
- ноют верхняя челюсть;
- боль распространяется на область около носа, под глазом, над бровью, висок;
- односторонняя головная боль при гайморите;
- общее недомогание, температура.
Хронические головные боли вазомоторного характера – еще один частый признак гайморита.
Как отличить зубную боль от гайморита
Особым характерным признаком гайморита является ощущение тупой, давящей боли при наклоне говорит головы вперёд. В таком положении боль наиболее остро ощущается в околоносовой зоне. Обязательно появляются густые гнойные выделения.
Обычная зубная боль таких симптомов не дает. Она ощущается только в области больного зуба. Ощущение более острое, ноющее.
Одонтогенный гайморит
Независимо от того, какого вида случилось прободение, в гайморову пазуху всегда попадает инфекция. Она бактериального происхождения, особенно если в синус попали частички кариозного зуба мудрости или моляров. В этих ситуациях пациент абсолютно не застрахован от осложнений перфорации: гайморита, потери здоровых моляров и зубов мудрости, формирования абсцессов и флегмон, остеомиелита верхней челюсти и воспаления мозговых оболочек.
Из них гайморит – самое частое осложнение, проявляющееся характерными симптомами. Повышается температура тела до фебрильных цифр (выше 38 градусов), развивается интоксикация и болевой синдром с иррадиацией боли в лоб и особенно в верхнечелюстную область, беспокоит чувство сильного давления в пазухах и обильное гнойное отделяемое из носа, стекающее также в глотку по задней глоточной стенке.
Случаи, когда гайморовы пазухи могут пострадать при лечении и протезировании зубов, не являются редкими. Что делать, чтобы избежать перфорации и дальнейших осложнений, может решить только квалифицированный врач. Пациент же должен неукоснительно выполнять все его назначения.
При гайморите пациент или совсем ничего не замечает, или ощущает слабое давление под глазом. Некоторые жалуются на выделения из носа, содержащие гной, кровь.
Существует ряд симптомов, на которые стоит обратить внимание:
- болит вся сторона черепа;
- дискомфорт в области носовых и лобных пазух;
- ноют верхняя челюсть;
- боль распространяется на область около носа, под глазом, над бровью, висок;
- односторонняя головная боль при гайморите;
- общее недомогание, температура.
Особым характерным признаком гайморита является ощущение тупой, давящей боли при наклоне говорит головы вперёд. В таком положении боль наиболее остро ощущается в околоносовой зоне. Обязательно появляются густые гнойные выделения.
Обычная зубная боль таких симптомов не дает. Она ощущается только в области больного зуба. Ощущение более острое, ноющее.
Действия врача при перфорации
Если патология была выявлена сразу, то в некоторых случаях возможно ее устранение без операции. Однако нередки случаи, когда требуется хирургическое вмешательство. Оно возможно только в условиях стационара.
Один из современных методов пластического закрытия образовавшегося отверстия заключается в перемещении с неба десневого лоскута и субэпителиального трансплантата.
Что такое десневой лоскут? Это небольшой участок ткани, который используется для исправления дефекта. Обычно используют полоску ткани из полости рта самого пациента.
Субэпителиальный трансплантат – здоровая донорская ткань, которую берут из-под поверхности неба. На нёбе делают небольшой надрез, на место изъятия трансплантата накладывают рассасывающиеся швы.
Операция проводится под контролем эндоскопа и относится к щадящим.
Метод хорош тем, что позволяет сохранить достаточный объем альвеолярного отростка с целью дальнейшего протезирования.
Если же при проведении процедуры в пазуху проникли посторонние частицы, то возникает необходимость во вскрытии пазухи. Инородные тела удаляются и проводится закрытие отверстия при помощи пластики.
Во время любой операции проводится ревизия. Она выполняется с целью выявления различных дефектов и определения степени вовлеченности тканевой поверхности в патологический процесс. Первая ревизия послеоперационной раны проводится на следующий день после операции и заключается в осмотре операционной поверхности на предмет гиперемии, отеков, повышенной болезненности.
Осложнения
Разрыв верхнечелюстной пазухи представляет собой серьезное последствие стоматологических манипуляций, лечение которого чаще всего происходит в стационарных условиях. Чем это чревато, если корень зуба пророс в гайморову пазуху?
Самостоятельное лечение проблемы методами народной медицины может привести к еще более серьезным осложнениям, в том числе:
- Выраженный воспалительный процесс в пазуховой полости с дальнейшим инфицированием смежных тканей. Затем происходит развитие остеомиелита в верхней челюсти.
- Переход воспалительного процесса на другие черепные пазухи, включая клиновидные, лобные и решетчатые.
- Выпадение здоровых зубов, находящихся в области перфорации.
- Образование очагов гноя, флегмон и абсцессов.
Ввиду непосредственного соседства головного мозга, на фоне того, что корень зуба ушел в гайморову пазуху и произошел разрыв последней, не исключено возникновение инфекционного поражения мозговых оболочек. Следующим этапом серьезных осложнений может стать менингит или менингоэнцефалит, которые являются опасными для жизни пациента.
Симптомы патологии
Гайморит проявляется определёнными симптомами, которые будут одинаковыми, несмотря на причину возникновения воспалительного процесса. После имплантации и синус-лифтинга воспаление развивается быстро и проявляется ярко-выраженными симптомами.
К основным признакам развития гайморита стоматологи относят:
- недомогание, озноб и лихорадка;
- резкое повышение температуры;
- головная боль, усиливающаяся при смене положения тела;
- болезненные ощущения при касании к носу;
- трудности с дыханием в результате отека и заложенности носа;
- насморк с гнойными выделениями;
- покраснение и отечность вокруг носа и глаз.
Симптомы появляются резко и постепенно усиливаются. Через некоторое время может наступить ложное улучшение. Но воспаление без необходимого лечения не проходит.
Инфекция будет распространяться в ротовую полость, что проявляется зубной болью. Со временем образуется свищ, через который может выходить пища через нос в момент еды.
Чтобы избежать развития еще больших осложнений, необходимо обратиться за помощью специалиста уже при первых проявлениях патологии. Своевременное лечение позволит устранить воспаление и нормализовать работу органов дыхания.
Когда оправдана имплантация зубов по протоколу All on 3 trefoil и суть методики.
В этой статье все самое важное об имплантации Pro Arch.
Здесь https://www.vash-dentist.ru/implantatsiya/metodiki/chto-delaet-vrach-stomatolog.html выясним вместе, что делает стоматолог имплантолог.
Народные средства профилактики
Специфических профилактических мероприятий от зубного гайморита не существует. Необходимо лишь тщательно выполнять правила по уходу за ротовой полостью, а также регулярно посещать стоматолога. Профилактические мероприятия имеет смысл проводить только после полной санации ротовой полости. Они помогут устранить очаги воспаления в носовых ходах и полостях.
Для этого можно будет делать ингаляции и промывания настоями лекарственных растений и растительными маслами. Использование рецептов народной медицины должно быть дополнением к основной медикаментозной терапии зубного гайморита. Только в этом случае возможно получить эффект от такого лечения. Начинаться оно должно после проведения всех стоматологических процедур. При наличии источника инфицирования во рту в виде больных зубов такое самолечение не имеет смысла.
Как проводится лечение
Если прободение было выявлено еще при удалении зуба, то устранить отверстие стоматолог может сразу же. Его необходимо зашить или обработать ватными тампонами, смоченными йодом. Для предотвращения инфицирования такие тампоны используются целую неделю. Пациент обязан систематически посещать врача, чтобы избежать осложнений. Но даже при выявлении свища сразу необходимо провести рентген, чтобы понять, нет ли инородных тел, которые в дальнейшем приведут к воспалительному процессу.
При инфицировании появившееся соустье гайморовой пазухи используется для проведения противовоспалительного лечения, введения лекарственных препаратов. Для улучшения дренажа в пазухе хирургическим путем врач производит расширение соустья. Это поможет добиться положительного и долгосрочного результата.
После курса мероприятий по устранению воспаления, когда выделений из носа уже нет, может быть проведена пластика соустья. Проводят ее под местной анестезией.
Чтобы избежать инфицирования и дать ране время затянуться, производят закрытие отверстия. Для этого используют ткань с твердого неба или щеки. Но этот вариант таит опасности: недостаток материала может послужить причиной возникновения нового свища, а рубец в том месте, где брали ткань, может мешать человеку.
Поэтому чаще применяют альтернативный вариант, при закрытии соустья пользуются пластиковой пластиной, которая обладает хорошими противовоспалительными качествами.
Операция требует опыта врача и тщательного выполнения рекомендаций пациентом. Удаление зуба, закончившееся свищом, требует тщательного обследования, ведь при попадании в гайморову пазуху инородных тел возможно воспаление, а при невнимательно проведенной операции возникают рецидивы.
Последствия пломбировочного вещества в гайморовом синусе
После пломбирования зуба также может развиваться гайморит. Это связано с тем, что чрезмерное количество пломбы в канале разрушает перегородку между пределом зуба и верхнечелюстного синуса.
Полезные советы: как правильно лечить гайморит дома
Вещество попадает в пазуху. На нем начинает скапливаться и размножаться грибковая инфекция, которая приводит к воспалению.
При наличии пломбировочного материала в просвете пазухи, его необходимо удалять. Процедуру выполняют хирургическим путем.
Риски повредить пазуху при имплантации
Повреждение синуса при имплантации — врачебная ошибка. Такое бывает, если неправильно оценена длина альвеолярного отростка, установлен слишком длинный искусственный корень или неаккуратно выполнена операция синус-лифтинга. Часто повреждение пазухи — следствие эндодонтической терапии или удаления зубов.
К другим распространенным причинам относятся:
- Быстро истончившийся костный слой в результате болезней в острой или хронической фазе (периодонтит, пародонтит, кисты).
- Костные трабекулы.
- Резекция корня, назначаемая при имеющихся кистах у его верхушки. Необходимость удаления большого объема кости, или недостаточное обследование пациента способствует значительному возрастанию риска прокалывания дна синуса.
- Грубое введение штифтов и уплотнение пломбирующего цемента.
- Хирургическое вмешательство в верхнечелюстной альвеолярный отросток для извлечения ретинированных зубов и т.д.
- Сколько болит десна после имплантации: когда пройдет воспаление
- Имплантация зубов. Правила поведения после имплантации зубов. Осложнения и последствия имплантации зубов. Где делают имплантацию зубов?
- Имплантация зубов в Израиле – цены и отзывы, диагностика
- Отек после имплантации зубов, фото
Общие осложнения после удаления зуба: боль, температура, альвеолит, сухая лунка
Пазуха не герметична, сообщается с носовой полостью через узкую щель. Возможность ее перфорации обусловлена строением черепа у человека. У некоторых корни зубов верхней челюсти располагаются вблизи неё и в пазухе.
Стоматолог, производя удаление зуба, не учитывая особенность строения, может вызвать повреждение полости.
Полость в костной ткани верхней челюсти — это гайморова пазуха, объем которой у некоторых людей может достигать 10 кубических сантиметров. Объем — непостоянная величина и изменяется в течение жизни человека. У ребенка он меньше.
Описываемые анатомические образования являются парными и располагаются симметрично друг другу по обе стороны от носа.
Специальное отверстие, расположенное во внутренней части пазухи, открывается в срединный ход носа.
Причины перфорации
В такой патологии не всегда виноват врач. Его вина может присутствовать в виде неосторожных действий, иногда пациент оказывается виновником. Точнее, не он сам, а индивидуальные особенности строения челюсти в виде тонкой костной пластинки между корнями зубов и дном пазухи.
Дополнительные причины, приводящие к повреждению:
- операция по удалению или имплантации зубов;
- удаление зубного корня;
- эндодонтическое лечение.
Лечебные мероприятия безопасны, если у вас нормальное здоровье, нет хронических заболеваний. К травме могут привести неаккуратные действия стоматолога.
В качестве иллюстрации приводим пример: у некоторых людей корни первых моляров располагаются в области пазухи, от тела которой их отделяет слизистая оболочка. Не травмировать орган в этом случае практически невозможно, это не зависит от типа используемого инструмента или силы, прикладываемой стоматологом.
Иногда слой кости быстро истончается. Это происходит при разных острых и хронических воспалениях: пародонтоз, периодонтит, киста. В такой ситуации становится легко повредить описываемую область.
Среди жалоб, предъявляемых пациентом при травме, можно выделить:
- Характерный симптом — пузырьки в крови. Резкий выдох носом — их становится больше.
- Кровь начинает идти носом и на поврежденной стороне.
- Больной начинает говорить “гнусаво”, меняется тембр его голоса.
Это происходит при экстракции зуба. Если была имплантация или эндодонтическое лечение, у стоматолога возникнет подозрение на проблему при обстоятельствах:
- после приложения усилия на инструмент, последний проваливается в полость;
- инструмент меняет положение в ране;
- в крови появляются мелкие пузырьки.
Если патологию вовремя не пролечить, можно заработать осложнения в виде синусита, острого гайморита. Жалобы будут другими — сильнейшие болевые ощущения, гной из носа и отек слизистой оболочки.
Физикальный осмотр бесполезен для диагностирования патологии такого рода, интересующий нас орган находится в зоне видимости врача. Один из способов увидеть травму — рентген соответствующей части носа и челюсти. Сочетание диагностических мероприятий — например, рентгенограмма и компьютерная томография (в случае, если рентген окажется малоинформативным).
Другой метод диагностики — исследование зондом.
Дополнительным средством обнаружения повреждения являются жалобы пациента. В случае перфорации гайморовой пазухи они характерные, а воздушные пузырьки в выделяемой крови практически не оставляют сомнений в верной постановке диагноза.
Перед началом лечебных мероприятий стоматолог обязан убедиться в том, что он столкнулся именно с перфорацией. Если рентген это подтверждает, нужно ещё убедиться в отсутствии инородного тела в пазухе, способного впоследствии вызвать воспаление. Лечение предполагает закрытие отверстия, если случайно в образовании останется инородное тело, без операции обойтись проблематично.
Испытываете ли волнение перед визитом к стоматологу?
Существует один случай, когда возможна безоперационная коррекция состояния: если при удалении зуба врачом была замечена перфорация, предприняты меры по её устранению, при условии, что в пазухе не имелось на тот момент инородных тел по результатам рентгенографии.
Не допустить инфекции и бережно избавиться от перфорации — два пункта, которые должен выполнить стоматолог. С этой целью в лунку закладывается марлевый тампон, смоченный в растворе йода. В течение недели он не вынимается из раны, а если отсутствует его надежная фиксация, врач накладывает швы на десну.
Если рентген выявил инородное тело, показана операция без альтернативы. Вмешательство только в условиях стационара. Врач вскрывает полость, удаляет чужеродный объект, мертвые ткани, затем с помощью пластики убирает перфорацию.
По истечении периода от 14 до 30 дней человеку может казаться, что ничего нет. Действительно, проявления в острой и нестерпимой форме угасают. Вроде всё нормализуется, параллельно с этим появляется симптоматика, характерная для гайморита: затруднение дыхания, гнойные выделения из носа, опухание щеки. Опасно образование свища, соединяющего полость с десной.
Такое явление носит название застарелой перфорации. Консервативная терапия оказывается малоэффективной: из-за воспаления есть вероятность рецидива и образования свища.
Единственным вариантом избавления от патологии является операция по вскрытию и санированию полости с закрытием перфорационного дефекта.
Ответ на вопрос зависит от того, чем вы пытаетесь лечиться. В норме этого допускать нельзя, если вы решили попробовать избавиться от патологии консервативным методом, который сами себе назначили, последствия могут быть непредсказуемыми.
Если начать лечиться самостоятельно, оставить заболевание без внимания, могут быть непредсказуемые и опасные последствия.
Распространение инфицирования на окружающие костные ткани спровоцирует остеомиелит верхней челюсти. Воспаление может перекинуться на другие пазухи, что создаст дополнительную угрозу здоровью.
Это заболевание относится к разряду опасных, способных спровоцировать серьезные патологии в организме, некоторые из которых (к примеру, менингит, если воспаление затронет мозг) могут стать причиной летального исхода.
Профилактика
Профилактическим мероприятием служит поддержание должной гигиены полости рта, регулярное посещение стоматолога и своевременное пролечивание всех зубов, требующих адекватной терапии.
Помните, что возникновение перфорации является следствием не врачебной ошибки, а индивидуальных анатомических особенностей человека. Чтобы защититься, выбирайте клинику с репутацией, отзывами; желательно с филиалами в городе пребывания.
Перед проведением стоматологических процедур необходимо детальное обследование для выявления анатомических особенностей строения челюстей, опрос больного. Если вы видите, что стоматолог намерен приступить к процедуре без обследования, лучше отказаться от лечения у врача.
Главная › Удаление зубов
Перфорация верхнечелюстной пазухи (синуса) – это осложнение, встречающееся во время удаления верхних жевательных зубов. По сути, это отверстие между полостью рта и пазухой, которое формируется в области дна лунки удаленного зуба.
Встречается нечасто, однако в некоторых случаях может привести к нежелательным последствиям – развитию воспаления в пазухе (гайморит).
Причины
Можно выделить несколько причин, почему возникает данное осложнение:
- Близкое расположение корней верхних премоляров и моляров к верхнечелюстной пазухе. Наиболее часто в непосредственной близости к пазухе находится первый моляр, реже – второй и третий моляр, второй премоляр, совсем редко – первый премоляр.
- Наличие в области верхушек корней указанных зубов очагов инфекции, в результате чего истончается костная ткань между зубом и пазухой. Это наблюдается при хронических формах апикального периодонтита (гранулирующем и гранулематозном). В таком случае перфорация может произойти и при простом удалении причинного зуба.
- Травматичное удаление боковых зубов верхней челюсти. Иногда происходит проталкивание фрагмента корня или целого зуба в пазуху.
- Неаккуратное проведение кюретажа и выскабливание патологических тканей из лунки после удаления верхнего жевательного зуба.
- Объемные операции на альвеолярном отростке верхней челюсти (секвестрэктомия, цистэктомия, удаление ретинированного зуба).
Нередко перфорация происходит на фоне острого гнойного или хронического воспаления в пазухе одонтогенной природы. В таком случае после удаления зуба из лунки вытекает гной через образовавшееся соустье.
Как видим, в большинстве случаев перфорация дна верхнечелюстной пазухи случается не по ошибке врача, а вследствие особенностей анатомического строения.
Признаки перфорации
Главным признаком возникшего отверстия между полостью рта и синусом верхней челюсти – это прохождение воздуха из пазухи через лунку.
Как определить, есть ли перфорация:
- Осмотреть лунку, аккуратно прозондировать ее дно. При глубоком продвижении инструмента следует заподозрить о наличии отверстия.
- Зажать нос пациенту и попросить его несильно выдохнуть носом. Если перфорация есть, воздух будет выходить из пазухи в рот через лунку.
- Попросить пациента надуть щеки, при этом воздух не задерживается в полости рта, а выходит в полость носа. Данный прием использовать не рекомендуется, так как с током воздуха в пазуху может попасть патогенная микрофлора, что увеличивает шансы на развитие воспаления.
Осложнения
Гайморит – воспаление слизистой оболочки пазухи. Как правило, развивается после проникновения патогенных микроорганизмов из одонтогенных очагов инфекции.Возникновение свищевых ходов, идущих от пазухи к слизистой оболочки в области удаленного зуба.
Объем врачебных манипуляций зависит от состояния верхнечелюстной пазухи. Если отсутствуют признаки гайморита, врач добивается формирования и удерживания кровяного сгустка в лунке путем пришивания небольшого куска йодоформной турунды к краям раны. В некоторых случаях используются специальные каппы. Альтернативным вариантом является пластическое закрытие лунки.
Осложнения
Возможные осложнения
Помощь на дому и народные методы
Народная медицина не является полноценным лечением и не может устранить причину заболевания. Она способна лишь купировать очаги распространения инфекции, снять болезненность. К тому же не стоит забывать, что некоторые травы могут вызвать аллергические реакции.
Для полоскания можно приготовить лечебный отвар по народным рецептам. В равных долях потребуются одуванчик, тысячелистник, пижма, календула. Одну столовую ложку смеси этих трав нужно заварить кипятком. После остывания отвар удерживать во рту в течение в течении 4-5 минут, повторять несколько раз в день. Важно! НЕ полоскать! Это может привести к повреждению ранки – достаточно просто удерживать настой во рту.
Внимание! Настойки на спирту использовать нельзя! Спирт раздражает слизистую и обостряет воспаление. Кроме того, народные методы лишь временно облегчают состояние и не способны устранить причину болезни.
Эффективна и мазь из перемолотых растений. Для ее приготовления перемалывают две части цветков и листьев тысячелистника, цветков календулы и корня одуванчика и одна часть соцветий и травы пижмы, корня огородного щавеля, травы донника. Затем все это смешивается с «мазью Вишневского» и используется для обработки воспаленной части десны.



















