Язык выполняет важную функцию в организме каждого человека, помогает перерабатывать пищу, формирует правильную речь. При появлении на нем каких-либо образований наблюдается постоянный физический и психологический дискомфорт.
Наросты на языке могут свидетельствовать о нарушениях в организме, провоцируют развитие осложнений, трудно поддаются терапии, нередко распространяются по всей поверхности органа.
Причины появления бородавок на языке
Бородавки — это довольно неприятные явления.
На их появление на поверхности тела или в ротовой полости напрямую влияет:
- Стрессовые состояния;
- Ослабленный иммунитет;
- Повреждение слизистой поверхности рта;
- Недостаток витаминов в организме;
- Длительные переутомления;
- Послеоперационный период;
- Гормональные сбои;
- Переохлаждение организма;
- Наличие ВИЧ-инфицированных заболеваний;
- Злоупотребление алкоголем и курением;
- Длительное применение оральных контрацептивов;
- Обострение хронических заболеваний;
- Неправильное питание;
- Длительное пребывание на солнце;
- Пожилой возраст;
- Кишечные инфекции;
- Плохое соблюдение правил гигиенического ухода за ротовой полостью;
- Химический ожог.
В человеческом организме вирус может долгое время (от 6 месяцев до 5 лет) находиться в латентном состоянии, ни чем себя не проявляя.
Причины развития
Специалисты установили, что более 90% населения планеты заражены ВПЧ. Вирус находится в организме в спящем режиме, не проявляется.
Существуют предрасполагающие факторы, провоцирующие активизацию:
- частые простудные заболевания, способствующие снижению иммунитета;
- регулярные стрессовые ситуации в связи с профессиональной деятельностью;
- постоянный контакт с носителем;
- несбалансированное питание с недостаточным количеством витаминов, минеральных веществ в рационе;
- системные заболевания, например, красная волчанка;
- вредные привычки: многолетнее курение, злоупотребление алкогольными напитками;
- несоблюдение правил гигиены ротовой полости;
- недолеченные болезни зубов, десен, горла, миндалин;
- длительный прием антибактериальных препаратов;
- профессиональная деятельность, связанная с вредным производством, химическими веществами.
В группе риска находятся маленькие дети, пациенты преклонного возраста с постоянно ослабленной иммунной системой.
Симптомы появления бородавок
Уже на ранней стадии развития новообразований появляются первые неприятные симптомы. Если на них не обращать внимания и вовремя не обратиться к врачу за помощью, то симптомы недомогания будут только увеличиваться.
Появление бородавки можно узнать по появлению следующих признаков:
- Неприятные ощущения при глотании;
- Увеличение сосочков на поверхности языка;
- Появление небольшого выпуклого образования;
- При повреждении нароста возникает боль, жжение и кровоточивость;
- Размножение образование;
- Изменение голоса;
- Затруднённость дыхания (редко);
- Нарушение работы желудочно-кишечного тракта.
У ВИЧ-инфицированных появление бородавок в виде маленьких белых лопающихся волдырей на корне, кончике, нижней части и по бокам языка частое явление.
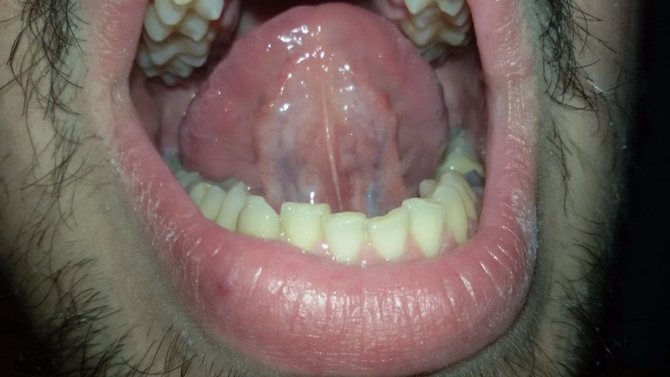
Фото как выглядят бородавки на языке:
Симптомы
Распознать нарост на языке человека не представляет сложности. Образование несколько возвышается над поверхностью языка, может иметь более бледный или яркий оттенок, причиняет дискомфорт. В зависимости от вида имеет острую или плоскую форму.
Иногда папиллома сильно болит, препятствует нормальной речи, принятию пищи и жидкости. При механическом повреждении возможно появление крови в небольшом количестве. Язык может менять цвет, наблюдается отечность в месте папилломы, вокруг новообразования.
По мере прогрессирования патологического процесса боль распространяется на другие участки органа, появляются новые наросты, отечность усиливается. Пациент испытывает дискомфорт даже при употреблении жидкости, особенно в холодном или горячем виде.
В некоторых случаях наблюдается зуд. Боль и другие неприятные ощущения появляются не сразу. На первом этапе человек не замечает изменений, после повреждения нароста постепенно проявляются признаки. В запущенной стадии папилломы покрывают всю площадь языка, подъязычного пространства.
Пути заражения
Важно знать, что папиллома является заразной болезнью. Вирус довольно быстро поселяется на других людях, при их близком контакте с заражённым человеком.
Чтобы этого избежать, нужно тщательно избегать таких путей заражения, как:
- Вследствие полового контакта с заражённым партнёром;
- Во время поцелуев;
- При совместном использовании предметов личной гигиены;
- При получении травмированных участков в ротовой полости;
- Передача инфекции от матери к новорождённому ребёнку при наличии заболевания влагалища.
Бытовым путем возбудитель передается реже, чем половым, хотя способен долгое время сохранять жизнеспособность в окружающей среде, особенно во влажных и теплых помещениях.
Диагностика
Для назначения правильного лечения необходимо обратиться к специалисту. Лечением папиллом занимается дерматолог. Иногда требуется дополнительная консультация стоматолога, отоларинголога.
Первым этапом будет опрос больного, осмотр ротовой полости, области поражения, кожи всего тела для выявления других признаков поражения вирусом папилломы человека. Важно во время обследования дифференцировать патологию от других болезней, например, липомы или фибромы.
Наиболее трудным считается выявление нароста у корня языка. Провести качественный осмотр можно только посредством специальных инструментов в кабинете врача. После установки предварительного диагноза специалист направляет больного на анализ крови.
При интенсивном разрастании и отечности окружающих тканей показано гистологическое исследование тканей, взятие образца для биопсии. После получения результатов врач определяет схему лечения, отличающуюся в каждом конкретном случае.
Виды бородавок
На первый взгляд все бородавки кажутся одинаковыми, но если хорошо приглядеться, то можно заметить ярко выраженные отличия по их форме и цвету.
Различают следующие виды:
- Плоские — имеют круглую форму, чёткий контур и тёмную пигментацию. Они не приносят сильного дискомфорта, но при сильном разрастании, лучше от них избавиться;
- Остроконечные — имеют форму вытянутых сосочков с, прикрепляемыми к поверхности, ножками. При сильном распространении, они сливаются, образуя пушистые гребни. Они поселяются преимущественно на кончике и боковой стороне языка или щеках. Их появление характеризуется наличием массы неприятных ощущений.
Виды
В зависимости от развития патологического образования выделяют реактивные и неопластические папилломы. Первые становятся следствием постоянного механического повреждения языка, вторые — результат нарушений в организме, имеют вид узелковых наростов, близко расположенных друг к другу.
С учетом формы папилломы разделяют на следующие виды:
- Остроконечные причиняют серьезный дискомфорт, часто повреждаются, разрастаются, занимают обширные участки слизистой оболочки органа.
- Плоские чаще имеют округлую форму, ровные края, напоминают бляшки. Реже подвергаются травмированию, не так быстро разрастаются. Появляются подобные опухоли обычно сбоку языка.
Любой из видов требует комплексного обследования и лечения.
Место локализации
У женщин и мужчин локализация новообразования не отличается. Обычно папилломы располагаются на кончике, боковых частях. Плоские более распространены на этих участках.
Не исключено появление наростов под языком. Чаще всего они остроконечные. В редких случаях патологию диагностируют на корне. Зона отличается меньшей чувствительностью, обнаружение дефекта почти всегда случайно.
Почему стоит лечить и удалять бородавки на языке?
Лечить язычные папилломы на ранней стадии не только можно, но и нужно!
Своевременное обращение к медицинскому специалисту позволит избежать массу неприятностей:
- Затруднённости дыхания;
- Лишения возможности разговаривать;
- Появления болевых ощущений при глотании и пережёвывании пищи;
- Переход бородавки на раковую стадию;
- Частое срабатывание рвотного рефлекса, вследствие чего — образование обезвоживания организма;
- Неразборчивость речи.
Если же данная проблема приобрела некую запущенность, то во избежание нагноения и смертельного исхода (от нехватки кислорода) нужно немедленно обратиться к стоматологу за хирургической помощью.
Описание остроконечной папилломы на языке
Папилломы на языке – это распространенная форма папилломавируса человека, которая представлена в виде бугристой опухоли или сосочка красного цвета, что сформировались из клеток эпителия ротовой полости. Они небольшого размера (до двух сантиметров). Обычно образования появляются в тех частях эпителия, что больше всего подвержены травмированию: под языком и на языке, на его кончике или боковой части, спинке, у корня.
Папиллома на языке
Обратите внимание! Особое внимание необходимо обращать на возникновение папиллом на листовых сосочках языка, так как они могут перерасти в онкологическое новообразование, что нередко становится причиной летального исхода.
Папиллома на языке Нарост начинает разрастаться, так как соединительная ткань пронизана большим количеством капилляров, нервов и лимфатических сосудов. Со временем папиллома (кондилома) преобразовывается в язву, которая кровоточит и вызывает боль.
Обычно нарост на корне языка диагностируется случайно, человек может и не подозревать о его наличии. Но чаще всего патология ярко проявляет симптоматику, принося не только физический, но и эстетический дискомфорт ее обладателю. Если под языком появились отростки, они будут причинять человеку неприятные ощущения, так как часто будут травмироваться при приеме пищи.
Как удалить бородавку на языке?
Существует несколько современных методов удаления бородавок на языке.
Прежде чем выбрать метод удаления бородавки на языке следует пройти тщательное медицинское обследование у своего лечащего врача для подтверждения не злокачественности бородавки.
Удаление лазером
Для проведения процедуры не требуется особая подготовка.
Важно знать, что данный метод строго противопоказан пациентам имеющим:
- злокачественную опухоль;
- большие размеры бородавок — свыше 3 см;
- сахарный диабет;
- нарушения в работе кровеносной системы;
- при беременности и в период грудного вскармливания.
Процедура лазерного удаления состоит из нескольких простых этапов:
- Местная анестезия;
- Срезание тела нароста;
- Выжигание лазером ножки новообразования;
- Обработка поверхности антисептическим раствором.
В послеоперационный период ни в коем случае нельзя допускать попадания на рану бытовой химии, сдирать образовавшуюся корочку и подвергать данный участок прямым солнечным лучам.
| Стоит отметить следующие преимущества процедуры: | Недостатки процедуры: |
|
|
Данный метод идеально подходит для удаления наростов на всех местах локализации в ротовой полости. Период восстановления длится не более 15 дней.
Средняя стоимость такой процедуры составляет 1500 рублей.
Криодеструкция
Обязательным этапом подготовки к данной процедуре является лечение имеющихся инфекционных болезней.
Строгое противопоказание к этой процедуре имеют люди, у которых часто появляются судороги, приступы эпилепсии, обострение хронических заболеваний, гипертония, ангиоспазм, а также в период беременности и лактации.
Процедура криодеструкции состоит из нескольких простых этапов:
- Специалист обрабатывает место локализации обеззараживающим средством;
- После этого, прижигает бородавку жидким азотом;
- Процедура повторяется необходимое количество раз после минутной паузы.
Послеоперационный период сопровождается незначительными болевыми ощущениями и длится в течение 2-3 недель.
| Удаление бородавки жидким азотом или криодеструкция имеет такие преимущества, как: | Недостатки процедуры: |
|
|
Стоит отметить, что возникновение пузыря на месте удаления папилломы свидетельствует о недостаточной заморозке участка. При этом, небольшие образования полностью исчезают, а большие — требуют повторного проведения процедуры, спустя три недели после первой операции.
Важно знать, что самостоятельно вскрывать образовавшийся пузырь запрещено! Он вскроется сам уже через 5 дней после образования.
Данная процедура применяется для удаления новообразований на передней части языка и поверхности щёк.
Средняя стоимость одного сеанса составляет 1000 рублей.
Электрокоализация
Электрокоализация — это процесс удаления доброкачественных наростов путём выжигания электродом.
Подготовка к электрокоализации заключается в предварительном устранении наличия инфекционных заболеваний.
Прямое противопоказание к данному методу лечения имеют люди с:
- плохой свёртываемостью крови;
- острыми инфекционными заболеваниями;
- аллергией к анестезирующим средствам;
- герпесом в период обострения;
- хроническими соматическими заболеваниями;
- в период беременности и кормления грудью.
Лечение проводится строго в следующей последовательности:
- Нагревание прибора до 80оС;
- Нанесение анестетика;
- Касание электрода.
После операции запрещается подвергать послеоперационные участки воздействию прямых солнечных лучей и прикосновению нестерильных вещей.
Стоит отметить, что данный способ не входит в передовые виды удаления новообразований.
| Данный способ имеет массу преимуществ: | Также электрокоализация имеет свои недостатки: |
|
|
Важно знать, что данный метод проводится исключительно на передней части языка и щеках. Период восстановление длится не более двух недель.
Средняя стоимость такой процедуры составляет 350 рублей за удаление одного новообразования.
Хирургическое удаление
Противопоказания к хирургическим вмешательствам имеют:
- Беременные и кормящие женщины;
- Люди с обострением герпеса;
- Период протекания инфекционных и воспалительных процессов.
Процесс проведения операции:
- Пациенту вводят анестезирующие средства;
- После чего иссекают бородавку скальпелем;
- Очищают повреждённое место;
- Накладывают швы.
Снятие швов приходится на 14 день после проведения процедуры. Стоит отметить, что весь послеоперационный период пациент проводит в стационаре под строгим наблюдением врача.
В этот период запрещается долгое время находиться на солнце, безответственно относиться к личной гигиене, а также срывать образовавшуюся защитную плёнку.
К плюсам данной процедуры можно отнести эффективность результата, а к минусами — длительный период восстановления, стационарный режим, образование рубца и последующее болезненное снятие швов.
Проведение хирургического удаления разрешено детям с 5-летнего возраста. Данная процедура предназначена для удаления бородавок на всех местах локализации.
Средняя стоимость операции 1300 рублей.
Методы диагностики
Зная, к какому врачу обратиться, пациенту рекомендуется пройти диагностику для того, чтобы не появились осложнения патологии. Полипные разрастания на передней части языка видны сразу, они мешают употреблять пищу и разговаривать, кровоточат, их легко травмировать. В случае наличия наростов на нижней части языка врач обнаруживает при визуальном осмотре, когда просит человека показать язык.
Медик, заметив новообразование, которое также может локализоваться на корне, изучает его структуру, то есть устанавливает разновидность патологии. По структуре папиллома на языке мелкозернистая и шероховатая.
У детей образования занимают большие участки, они могут быть покрыты белым налетом, поэтому выявить заболевание в детском возрасте намного проще. Увидев такие проявления, врач обычно устанавливает сразу, что это может быть папиллома.
У людей преклонного возраста нередко наблюдается онкологическое новообразование, которое может напоминать папиллому. Единственным отличием раковой опухоли выступает сильное ее уплотнение.
ПЦР Затем врач может направить на ПЦР для определения типа возбудителя, провести биопсию, после которой биоптат отправляется на гистологическое исследование.
Также врач дифференцирует папиллому на языке от таких заболеваний, как рак, киста, язва (мозоль), образующаяся при стоматите. После прохождения обследования пациенту назначается соответствующее лечение.
Медикаментозное лечение
Важно знать, что лечение бородавок медикаментозными средствами эффективно лишь на ранних стадиях развития.
Пройдя предварительный осмотр специалиста, врач назначает следующие медикаменты:
- Изопринозин — данный препарат воздействует на усиление выработки белка интерферона, активируя кровеносные клетки и угнетая все воспалительные очаги. В течение двух недель, пациенту необходимо принимать препарат 2 раза в сутки. После чего, по назначению врача, курс может быть продлён до 30 дней. Данный препарат можно принимать с 4 летнего возраста. Стоит отметить, что он противопоказан беременным и кормящим женщинам. Средняя стоимость данного препарата составляет 320 рублей;
- Интерферон — это лекарственное средство способствует уничтожению вирусов, общему укреплению иммунитета и повышает сопротивляемость организма к патологическим процессам. Женщинам во время беременности и в период лактации данный препарат назначают с особой осторожностью. Для лечения патологических образований, препарат необходимо использовать на протяжении 2-х месяцев. Его применение возможно с самого момента рождения. Средняя стоимость препарата составляет 100 рублей;
- Компливит — это комплекс витаминов и минералов. Он применяется для восстановления иммунитета организма. Применяют по 1 таблетки в день в течение 1 месяца. Выпускается для разных возрастов. Средняя стоимость препарата 150 рублей;
- Ацикловир — это противовирусный препарат. Иногда данным лекарственным средством заменяют изопринозин. В течение 5 дней данный препарат нужно принимать по 1 таблетке 5 раз в день (строго через каждые 4 часа, не включая ночное время). Он противопоказан детям до 3 лет, женщинам в период кормления грудью и при индивидуальной непереносимости лактозы. Средняя стоимость лекарственного средства составляет 180 рублей;
- Панавир — это противовирусный препарат на растительной основе. Курс лечения составляет одну неделю. При этом необходимо смазывать повреждённые места 3 раза в день со строгим соблюдением интервала в два дня. Данный препарат категорически противопоказан беременным и кормящим женщинам, детям до 18 лет. Средняя стоимость лекарства 110 рублей.
Изопринозин
Интерферон
Компливит
Ацикловир
Панавир
Прогноз
При своевременном обнаружении патологического образовании и назначении комплексного лечения возможно полностью излечить болезнь. Устранить вирус из организма не получится, но подавить его активность возможно.
Игнорирование симптомов провоцирует дальнейшее распространение новообразований по всей площади языка, механическое травмирование наростов. Лечение значительно осложняется, снижается шанс полного выздоровления. Пациенты молодого возраста излечиваются быстрее, пожилые люди с ослабленным иммунитетом — гораздо дольше.
Лечение народными средствами
Важно знать, что лечить бородавки на ранних стадиях развития можно не только лекарственным и методологическими способами, но и народными средствами.
Вот самые эффективные из них:
- Белок куриного яйца — используется для смазывания поражённой поверхности. Для этого, необходимо взять одно яйцо, отделить белок от желтка и тщательно взбить. Данную процедуру необходимо проводить через каждые 20 минут. Длительность процедуры составляет 14 дней, после чего подсохшие бородавки сами отвалятся. Отковыривать их и трогать руками строго запрещено, иначе вирус завладеет другими участками тела;
- Чесночные шарики — для приготовления понадобится раздавленные зубчики чеснока и небольшое количество муки для формирования комочков. Данный шарик необходимо прикрепить к бородавке на 2 часа. Длительность процедуры составляет 10 дней. Стоит отметить, что во время проведения данного метода лечения вполне нормально появление жжения на повреждённом участке;
- Каштановый настой — готовится следующим образом 0,5 стакана каштана необходимо залить крутым кипятком и настоять в течение 6 часов. Данный настой нужно употреблять вовнутрь небольшими глотками, не надолго задерживая каждую порцию во рту. Лечение необходимо повторять каждодневно на протяжении двух недель;
- Натирание поражённого участка хозяйственным мылом — также считается эффективным методом лечения. Для этого, на высунутый язык в области образования нароста необходимо нанести обильное количество хозяйственного мыла и продержать его в течение 10 минут, после чего следует хорошо прополоскать ротовую полость тёплой проточной водой. Данное лечение нужно продолжать до полного исчезновения папилломы;
- Лечение касторовым маслом — на заражённый участок необходимо выложить хорошо смоченную маслом вату на 30 минут. По истечении времени, нужно просто убрать вату изо рта. Курс такого лечения составляет 7 дней;
- Чесночный настой — 3 крупных зубчика чеснока необходимо залить кипящей водой (250 мл), плотно закрыть крышкой и оставить настаиваться на 2 часа. Данным отваром нужно тщательно полоскать рот 2-3 раза в сутки на протяжении 10 дней;
- Для приёма внутрь готовится следующий отвар — листья земляники, зверобоя и боярышника необходимо ошпарить и залить кипятком. Настоять в течение 25 минут. Употреблять по 3 столовые ложки перед каждым приёмом пищи в течение 7 дней. Это поможет не только быстро избавиться от бородавки, но и укрепить общую иммунную систему.
Возможные осложнения
Вирус папилломы человека при отсутствии соответствующего лечения поражает новые участки здоровой ткани, наросты появляются на теле, в области гениталий, на внутренних органах. При распространении патологии лечение длительное, часто неэффективное.
На языке образования часто травмируются, орган становится отечным, красным, появляется болезненность. При сильном повреждении возможно присоединение инфекции, образование абсцесса.
Наиболее тяжелым осложнением считается рак языка, возникающий при малигнизации доброкачественных клеток в злокачественные в результате постоянных механических травм. Патология развивается редко, но требует оперативного вмешательства.
Профилактика
Для того чтобы избежать случайного заражения, необходимо :
- Чёткое соблюдение личной гигиены;
- Снижение стрессовых ситуаций;
- Укрепление иммунной системы;
- Своевременное лечение вирусных заболеваний;
- Ведение здорового образа жизни;
- Правильное питание;
- Ограничить близкие контакты с заражённым партнёром;
- Избежание переохлаждения организма;
- Полноценный отдых, длительностью не менее 8 часов.
Медикаментозная терапия
С этой целью совершается санация ротовой полости, а затем ее обработка мазью, что имеет антивирусное действие. Это может быть, например, «Бонафтоновая», «Адималевая» или «Мегосиновая» мазь. Необходимо обрабатывать ротовую полость снизу и сверху.
Затем медик выписывает противовирусные и иммуностимулирующие препараты, например, «Интерферон» или «Панавир», витаминные комплексы. Их действие нацелено на повышение защитных сил организма. Врач подбирает медикаменты исходя из индивидуальных особенностей организма, учитывая противопоказания и побочные эффекты.
Могут ли бугорки на языке быть признаком рака?
Припухлости в виде постоянных язвочек, которые не заживают, сопровождаются онемением языка, болью в горле или охриплостью голоса, а также создают трудности для жевания и глотания, – могут указывать на рак ротовой полости.
Другие симптомы рака во рту включают:
- выпадающие или шатающиеся зубы;
- воспаление миндалин;
- белые или красные язвы, как бугорки внутри ротовой полости, например, на деснах;
- боль в челюсти;
- иногда может сопровождаться неприятным запахом.
Симптомы рака в полости рта должны быть диагностированы и оценены стоматологом. Это имеет решающее значение, чтобы избежать принятия неверного решения в отношении такого симптома, как безболезненные бугорки на задней части языка с ранками, что долго заживают.
В чем опасность образования
Если появились папилломы под языком или на других участках однородной поверхности, требуется своевременно обратиться за квалифицированной медицинской помощью. В противном случае имеет место не только эстетический дефект, но и более серьезные осложнения для здоровья. Это:
- злокачественные опухоли;
- снижение речевой активности при разрастании папиллом;
- неконтролируемый рост атипичных клеток.
- Папилломы на теле — причины появления, методы лечения и как остановить рост
- Воспаление слизистой языка
- Как избавиться от папиллом в домашних условиях
Большие белые бугорки
Белые наросты (если только они не травматического происхождения) имеют тенденцию распространяться дальше, вплоть до гортани. Причина этого: процесс развития вируса.
- Появление во рту образований, что выделяются своим размером и цветом в полости. Болевых ощущений может не быть, они не всегда увеличиваются.
- Ощутимый дискомфорт при приёме пищи, жеванию, во время ведения разговора, боль в гортани. Если нарост стал больше, то возможно самотравмирование в виде случайных прокусываний зубами воспаленного участка и т.п
- Увеличение языка в размерах, чрезмерная мягкость.
Каждый должен обеспокоиться, заметив наличие больших прыщей или бугорков в полости рта. Особенно, если они имеют признаки кровотечения и сопровождаются постоянной болью. Такие образования во рту, симптомы которых сохраняются дольше, чем на неделю, могут быть опасным признаком здоровья полости рта.
Белые бугорки на корне языка могут быть язвами, если они вызывают дискомфорт или боль. Если они безболезненны, плоские – нужно идти на диагностику рака ротовой полости, потому что это относится к его признакам.
Предлагаем ознакомиться: Гнойные язвочки на языке у ребенка
Папилломы во рту — причины возникновения, фото и лечение
Мнение большинства врачей на счет лечения новообразований вирусной этиологии во рту однозначно – подобные наросты обязательно необходимо удалять.
Локализация опухолей в ротовой полости создает все предпосылки для ее инфицирования, также подобные разрастания отличаются повышенной болезненностью из-за близкого расположения в слизистом слое нервных окончаний.
Для удаления папиллом во рту большинством врачей используется лазерная деструкция. Метод отличается безболезненностью, отсутствием рубцов и наименьшим числом рецидивов. Снизить возможность повторного появления папиллом во рту можно назначением курса противовирусного лечения, иммуномодуляторов и витаминных комплексов.
Использование народных средств рекомендуется только если образование в ротовой полости единичное, не склонно к появлению изъявлений и не доставляет особого беспокойства человеку. При выявлении увеличения количества папиллом, при их быстром росте и появлении язв нужно срочно обратиться первоначально к стоматологу, который назначит ряд обследований.
Основные причины появления высыпаний:
- Повреждения травматического характера, ожоги. Нередкое явление, когда кончик или боковая поверхность языка повреждается столовым прибором, излишне горячей пищей или собственными зубами.
- Ослабленный иммунитет. Когда появились прыщики на языке ближе к горлу, у его основания или возле уздечки, это может сигнализировать о сниженном иммунитете. Здесь локализуются разнообразные прыщи и шишки: кондиломы и бородавки, кандидозные бугры.
- Развитие доброкачественных, злокачественных опухолей.
- Неправильное питание, вредные привычки. При нарушении правил питания, избыточном употреблении острой, горячей, грубой пищи происходит раздражающе-травмирующее воздействие на слизистую, что провоцирует возникновение прыщиков. Чрезмерное курение и алкогольные возлияния также вызывают заболевания слизистых оболочек у взрослых.
- Причины шишки на конце, корне языка могут быть аллергические. Аллергическое заболевание проявляется не только на кожных покровах, но и слизистых.
Большие бугры, расположенные близко к глотке, мешают глотать пищу, могут привести к блокированию дыхания.
- Если на языке появились пупырышки ближе к гортани, их могли спровоцировать различные заболевания хронического, вирусного и инфекционного характера.
- Пренебрежительное отношение к правилам гигиены. Употребление немытых продуктов, нерегулярная гигиена ротовой полости не только у детей, но и у взрослых, вызывает раздражение слизистой и, как следствие, появление воспаленных пупырышек.
- Папилломы причиняют психологический дискомфорт, это косметический дефект, который изменяет внешность в худшую сторону.
- Длительно существующая на теле папиллома может перерождаться в злокачественную опухоль, если ВПЧ относится к онкогенному штамму.
- Появление папиллом в местах трения одежды приводит к их надрыву и кровотечениям или воспалению окружающих тканей.
- Разрастание папиллом в гортани проявляется осиплостью голоса, затруднением дыхания.
Причины, по которым образовываются волдыри на корне языка, близко к глотке, могут быть разнообразными. В основном большая часть из них имеет инфекционное течение или же они связаны с изменениями в работе органов и систем.
- Инфекционные болезни – появление волдырей в полости рта, на языке может указывать на симптомы ветрянки, скарлатины, не долеченной ангины.
- Кандидоз – возникает при сильно сниженном иммунитете, ему свойственен творожистый налет на языке и волдыри.
- Герпетическая инфекция – папулы герпеса при слабом иммунитете образовываются на корне языка и под ним.
Удаление папиллом
Основной метод удаления наростов на языке заключается в хирургическом иссечении. Как правило, после подобной операции накладываются швы.
Второй метод удаления подразумевает применение лазера. Такой способ производится один раз и приветствуется во многих современных клиниках. Такая процедура является безболезненной, а также не наносит никакого дискомфорта пациенту. При помощи стерильного лазера новообразование прижигается. Как правило, во время процедуры не появляется кровотечения. Лазерное удаление наростов на языке помогает тканям быстрее регенерироваться. Отечность довольно быстро проходит, а рубца после операции практически не видно. Такой метод является очень действенным, поэтому довольно редко требуется проведение повторной процедуры.
После окончания операции пациент на протяжении некоторого времени содержится в стенах медицинского учреждения. Специалист должен назначить специальные медикаментозные препараты с иммуностимулирующим действием. Также необходимо будет параллельно принимать различные противовирусные средства.
Третий метод удаления заключается в электрокоагуляции. Такая процедура представляет собой прижигание новообразований при помощи специальных щипцов. На кончики щипцов подаются электрические импульсы.
Четвертый метод удаления заключается в радиоволновом воздействии.
Причины возникновения
Бородавки вызваны вирусом ВПЧ. Заражение может произойти следующим способом:
- через предметы обихода;
- при взаимодействии с носителем, чаще всего через слюну.
Вы не сможете точно со стопроцентной вероятностью определить человека, от которого произошло заражение. Новообразования могут не высыпать на теле в течении многих лет и появляются под воздействием следующих факторов:
- несоблюдение гигиенических норм;
- несоблюдение принципов правильного питания;
- воздействие стресса, чрезмерное переутомление, что угнетает работу иммунной системы;
- незащищенный секс с носителем вируса (причем даже защищенный не дает 100% гарантии, что вы не заразитесь);
- повреждения на языке: трещины, травмы, раны.
Этому вирусу чаще всего подвержены женщины, но встречаются папилломы на языке и у мужчин. Очень легко этим вирусом заражаются маленькие дети. Их желание пробовать все на вкус чаще оборачивается заражением, поэтому будьте предельно внимательны, дезинфицируйте детские игрушки и другие предметы личного пользования, соблюдайте гигиену ребенка.
Источник: papillomy-lechenie.ru
Характеристика папиллом
Папилломы ротовой полости — это маленькие (0,5-2 см) образования, имеющие белый, светло-розовый цвет. При ухудшении болезни цвет бородавок во рту может начать резко изменяться плоть до темно-кранного или даже бурого.
Бородавка во рту выглядит по-разному:
- Нарост вырос в виде капли и прикреплен к слизистой на ножке.
- Бородавка имеет плоский вид и лишь немного выступает над поверхностью кожи и имеет четкие контуры.
Бородавки часто имеют цвет такой же, как и кожа, их окружающая, то есть, если щека внутри белая, то бородавки на ней будут белые, а если папиллома находится на корне языка, то отросток будет красный или розовый.
Вид бородавки зависит от типа папилломавирусной инфекции, поразившей организм человека. Папилломатоз вызывается у человека штаммами вируса №1, 2, 3, 16, 18.
Фото разных папиллом
Прогноз и профилактика
Обычно прогноз заболевания хороший при условии своевременного обращения в медицинское учреждение и проведение эффективного лечения с соблюдением всех предписаний врача.
Пациентам во время терапии рекомендуется правильно питаться и вести здоровый образ жизни. В запущенных случаях возможно развитие раковой опухоли, поэтому не стоит затягивать с визитом к врачу.
С целью профилактики медики рекомендуют следить за гигиеной полости рта, укреплять иммунитет, вести правильный образ жизни, не допуская беспорядочных половых связей, своевременно лечить сопутствующие патологии и ЗППП.
Диагностика доброкачественных опухолей языка
Чаще всего доброкачественные опухоли языка диагностируются уже на стадии значительных размеров, поскольку до этого течение болезни является бессимптомным. Небольшие опухоли устанавливаются врачом при плановом осмотре полости рта, а также после травм, повреждений. Определение опухоли осуществляется с помощью визуального осмотра специалистом, пальпации образования, однако окончательный диагноз возможен только после проведения гистологического изучения тканей — это позволяет определить тип опухоли. Гистологию проводят не только с помощью биопсии — забора части ткани, но и после полного удаления опухоли в обязательном порядке.
Болезни, связанные с папилломами
Рассмотрим основные заболевания, вызываемые вирусом папилломы:
- Бородавки – самый распространенный вид папиллом. Проявляются в виде круглых и плотных кожных образований. Безболезненны и безопасны. Являются исключительно эстетическим дефектом.
- Остроконечные кондиломы – папилломы, возникающие на половых органах: на половом члене мужчины и на женских половых губах.
- Бовеноидный папулез – заболевание представляет собой высыпания на гениталиях. Встречается как у мужчин, так и у женщин. Этот вид папиллом небезопасен – зарегистрированы случаи перехода в рак кожи.
- Болезнь Боуэна – развивается только у мужчин. Локализуется образование на головке полового члена в виде яркой бляшки. Часто люди не предают должного значения этому образованию, а очень зря: возможно озлокачествление.
- Предраковое состояние шейки матки. Различают три стадии этого заболевания. При этом последняя является начальной стадией рака. Протекает практически бессимптомно. Возбудитель – ВПЧ 18 или 16 типа.
- Рак шейки матки – главная опасность папиллом! Вызывается ВПЧ 16, 18, 33, 35 и 39 типов. К огромному сожалению, протекает довольно долго бессимптомно, жалобы возникают на серьезных стадиях. Это еще раз говорит о необходимости посещения гинеколога 2 раза в год.
Папилломы не являются безобидными кожными заболеваниями, какими кажутся на первый взгляд. Необходимо наблюдать за состоянием своей кожи и слизистых, а непонятные образования необходимо показать врачу.
Источник: ladycleo.ru
Классификация пупырышков
Существует множество разновидностей прыщиков на языке. Классифицируются они по четырем признакам: цвету, расположению, размеру и болезненности.
Цвет
- Естественный, красно-розовый. Наросты, по цвету не отличающиеся от языка и безболезненные, – это бородавки или кондиломы.
- Когда на языке появляются красные или кровяные пупырышки такие, как на фото, причиной их возникновения может быть ожог, герпес, аллергические реакции.
- Красные шишечки, превращающиеся в черные, связаны с механическими повреждениями или травмами. Черный цвет проявляется за счет микрокровоизлияния.
Расположение
- На кончике языка. Нередко это место подвергается травмам и различным повреждениям, что может спровоцировать воспаление. Сначала на конце языка появляется небольшая шишка, затем болезненный красный или черный прыщ.
- Сбоку. В этом месте в большинстве случаев локализуются пупырышки, как следствие стоматита, а также доброкачественные новообразования.
- У гортани. Красные прыщи на языке ближе к горлу нередко оказываются доброкачественными образованиями: кондиломами, бородавками.
- Под языком. Шишечки и бугры в этом месте (возле уздечки) как у взрослых, так и у детей, свидетельствуют о воспалительных процессах: тонзиллите, ангине, фарингите.
По размеру образования могут быть как большие, так и средние, маленькие.
Наличие болезненности
- Болезненные ощущения. Пупырышки, возникшие в результате травм, ожогов, воспалительных и инфекционных поражений ротовой полости, гортани. Боль проявляется при касании бугорков, человеку больно говорить, глотать.
- Боль отсутствует. В большинстве случаев безболезненность характерна для бородавок и кондилом. Доброкачественные новообразования нередко поражают корень языка, как он выглядит в пупырышках, можно посмотреть на фото.
Папилломы под языком
Папилломавирус под языком может быть представлен остроконечными и плоскоклеточными папилломами. Они портят внешний вид, вносят дискомфорт в жизнь. Если они не мешают больному, это не означает, что ваше здоровье в надежных руках. Игнорированное лечение может привести к тому, что прыщи похожие на наросты, могут переродиться в злокачественные образования. Такие наросты легко травмируются при употреблении пищи и во время разговора. Когда папиллома травмировалась или отвалилась, существует риск возникновения осложнений.
Обнаружив папилломы под языком, практически все пациенты стесняются в этом признаться и не знают, к какому врачу обратиться за помощью. Причин для стеснения нет. Это болезнь, требующая экстренного вмешательства дерматолога. Опытный специалист посредством визуального осмотра сделает предположения о возможном инфицировании ВПЧ. Результаты диагностирования подтвердят или опровергнут факт наличия заболевания.
Образоваться папилломы под языком могут по разным причинам. Заражение может произойти посредством общего использования бытовых принадлежностей вирусоносителем и здоровым человеком, а также во время прямого контакта с больным. Если папилломы под языком появились слишком быстро, причинами папилломатоза могут быть:
- несоблюдение правил личной гигиены
- неправильное питание
- ослабление иммунной системы
- длительное нахождение в стрессовых и депрессивных ситуациях
- оральный секс с инфицированным партнером
- наличие микротрещин и других ранок
Лечение папилломы под языком не терпит промедления. Чем раньше будет начато лечение, тем скорее наступит ремиссия. Перед тем как лечить заболевание, больному будет предложено пройти ряд диагностических и лабораторных исследований. На основании полученных результатов врач примет решение, что делать с новообразованиями: удалять или нет.
При подозрении на папилломатоз под языком у ребенка требуется вмешательство педиатра и врача-инфекциониста.
Схема лечения может быть разной и зависит от особенностей организма. Предусматривает применение противовирусных препаратов, способных устранить первопричину появления вируса. Удаление нароста предусматривает хирургическое вмешательство с использованием инновационныхметодик. К ним относятся:
- Криодеструкция – смазывание проблемной части жидким азотом и безболезненное удаление новообразования.
- Лазерное удаление – отличается безболезненностью и высокой результативностью. Риск возникновения рецидива минимален. Недостатком операции является высокая стоимость услуги.
- Радиоволновая терапия – удаление папиллом под языком инновационным методом. От предыдущих отличается быстрым периодом восстановления, отсутствие кровотечения и невозможностью заражения крови.
Какой из указанных методов выбрать, решает специалист.
Как установить папилломатоз?
Появившиеся патологические образования на языке, вызывают у человека беспокойство, и первым делом он старается выяснить, что это может быть. Папилломы диагностировать достаточно легко даже на вид. Они бывают двух типов и выглядят по-разному. Другие симптомы, помимо наличия и внешнего вида бородавки, и не нужны для диагностики болезни.
| Вид папилломы | Характеристика |
| Остроконечные папилломы | Имеют розоватый цвет и похожи на сосочки. Ножка, на которой они прикрепляются к языку, может быть очень большая, что увеличивает вероятность травматизации и даже полного отрыва бородавки. Такое новообразование напоминает по виду цветную капусту. |
| Плоские папилломы | Плоские элементы, слегка возвышающиеся над уровнем слизистой и сильно отличающееся по цвету от окружающих тканей. Часто длительное время существуют без лечения, так как не приносят человеку неудобства или боли. |
Характерной чертой папиллом является появление кровоточащих изъязвлений на месте сорванной бородавки. Такие травмы негативно сказываются на клетках бородавок и со временем они могут начать перерождаться в раковые.
Папилломатоз ротовой полости бывает двух видов:
- Реактивный — бородавки возникают вследствие постоянного и частого воздействия раздражителей (термическое, вирусное, химическое или механическое раздражение слизистого покрова).
- Неопластический — бородавки имеются в большом количестве в виде узелковых новообразований, могут собираться группами, либо расположены повсеместно в полости рта.
Неопластический папилломатоз полости рта встречается достаточно редко. Чаще на языке можно увидеть одиночные остроконечные бородавки.
Как избавиться от наростов?
Новообразования на языке появляются редко. При этом не имеет значение рацион, температура употребляемой еды или вредные привычки.
Рассмотрим методы удаления наростов:
- Антибактериальные средства помогают снять воспаление, применяются при полоскании и обработке наростов. Также используют антисептические средства, иммунокоректоры.
- Применение антибиотиков для подавления и уничтожения вируса.
- Комплексные меры подразумевают использование медикаментов для преодоления действия вируса после хирургического удаления. На последнем этапе назначается витаминный комплекс для восстановления защитных функций организма.
Операция по удалению новообразований простая. Хирурги иссекают бородавку и прижигают ранку. Все больше популярности получает удаление новообразований радиоволновым способом, благодаря низкому травматизму, отсутствию болевых ощущений, безвредности для детей.
Прививки от ВПЧ
ВПЧ – это один из немногих штаммов вирусов, против которого создана вакцина. Как говорилось ранее, некоторые типы вируса папилломы вызывают предраковые состояния половых органов, а иногда провоцируют развитие рака шейки матки.
Прививка содержит органические вещества, по строению напоминающие структуру живых вирусов ВПЧ. Но беспокоиться не стоит: к реальным микробам органические вещества не имеют никакого отношения, поэтому заразиться прививаемому человеку невозможно.
А вот иммунитет против настоящих онкогенных типов ВПЧ вырабатывается отлично. Статистические исследования показали, что люди, привитые от ВПЧ, практически не болеют раком половых органов и заднего прохода. На сегодняшний день существует два типа вакцин от ВПЧ:
- Гардасил
- Церварикс
Оба препарата прошли серьезную клиническую проверку. Состояние здоровья привитых людей не отличается от не привитых. Оптимальный вариант – это провести вакцинацию ребенка в возрасте от 9 до 12 лет (как мальчика, так и девочки).
Так же прививка довольно эффективна для женщин, не достигших 26 лет. Надежнее всего вакцина защищает тех людей, у которых не было контакта с ВПЧ. Перед прививкой обязательно исключить:
- Беременность. Проходите тест на беременность, либо сдаете анализ крови на ХГЧ.
- Прием серьезных медикаментов.
- Другие прививки.
- Серьезные заболевания крови.
Проводится в три этапа: первая прививка, через месяц после первой прививки – вторая, а еще через 5 месяцев – заключительная. Серьезные побочные эффекты крайне редки. К наиболее встречающимся явлениям после вакцинации относятся:
- Покраснение места укола
- Болезненность или припухлость места укола
- Головная боль
- Умеренные боли в мышцах и суставах
- Усталость
Впрочем, все эти неприятные ощущения проходят в течение 4 часов – двух суток после вакцинации. Самое главное помнить: привившись, вы надежно защищены от многих опасных заболеваний половых органов.
Прививка от ВПЧ – это главная профилактика рака шейки матки! По-хорошему, родители должны прививать девочек в возрасте 9-12 лет, до начала половой жизни. Если же вы молоды и не привиты, то нужно успеть привиться до 26 лет.
Источник: papillomy-lechenie.ru
Способы удаления новообразований на слизистой оболочке языка
Лазерное воздействие
Наиболее эффективный способ ввиду избирательности выжигаемой ткани. Современные аппараты легко настраиваются исключительно на новообразование с минимальным захватом здоровых клеток. Риск осложнений после процедуры составляет менее 1%. Лазер прицельно наводится на образование и подбирается оптимальная программа (конкретная длинна волны, время и глубина воздействия) в зависимости от типа нароста. Существуют как автоматические программы с фиксированными значениями, так и ряд корректируемых параметров при нетипичных формах папиллом. Ткани выжигаются послойно, при остроконечных формах отсекается образование у самого основания. Удалению доступны образования разной локализации, в том числе в области уздечки и корня.
Электрокоагуляция
Метод основан на удалении нароста с использованием электроножа. Способ менее эффективный, чем предыдущий, поскольку происходит значительное травмирование окружающих тканей. Клинические проявления ожога возникают не сразу, а на протяжении нескольких дней, поскольку от перегрева страдают не только рядом лежащие клетки, но и клетки здоровых тканей, находящиеся на некотором расстоянии. На месте удаленного образования возникает раневая поверхность, которые требуется обрабатывать антисептиками во избежание инфицирования. Ткани выжигают послойно, время экспозиции в среднем составляет 20-60 сек. К электрокоагуляции прибегают в основном при единичных папилломах, локализующихся на кончике или боковых поверхностях языка.
Радиоволновое лечение
Малотравматичный метод, позволяющий удалить сразу несколько образований за один раз (важно при папилломатозе). Метод основан на воздействии радиочастотной волной, которая приводит к нагреванию и разрушению клеток образования. Время воздействия подбирается индивидуально.
Криотерапия
В данной анатомической области используется реже остальных методов ввиду захвата большого количества тканей. После использования формируется химический ожог на месте образования, который заживает длительное время (порядка 14 дней), что увеличивает риск присоединения вторичной инфекции. Применяют чаще при образованиях с большой площадью. Действующее вещество – жидкий азот. Время экспозиции от 10 до 50 сек.
Хирургическое иссечение
Метод заключается в удалении новообразований при помощи скальпеля. Используют редко ввиду высокой травматичности, невозможности удалить сразу большое количество образований и дополнительного риска обсеменения в случае с вирусными папилломами. Обычно к хирургическому удалению прибегают в случае локализации в области корня языка или при подозрительных новообразованиях для дальнейшего цитологического и гистологического исследования. Проводится под местной анестезией. В некоторых случаях после иссечения накладываются швы для дополнительного гемостаза. Показаны перевязки до полного заживления раны.
Другие методы
Применение мазей или гелей для местного лечения папиллом данной анатомической области не только неэффективно, но и связано с высоким риском химического ожога языка и ротовой полости.
Иногда, при условии одобрения лечащим врачом, допускается лечить образования домашними методами. Как правило, домашнее лечение выступает в качестве вспомогательного метода, дополняющего основную терапию.
Несколько рецептов в качестве примера:
- Залить 2-3 ст. л. чистотела и 1 ст. л ромашки 300 мл воды. Довести до кипения, настоять 1-2 часа. Полоскать рот 3-4 раза в день на протяжении 14 дней.
- Смешать в равных пропорциях календулу, ромашку и мяту. Залить 150 мл воды, вскипятить, остудить, процедить. Полоскать отваром рот на протяжении 2 недель.
Лечение
Поскольку папиллома является внешним проявлением ВПЧ, простым удалением нароста убить вирус не удастся. Спустя некоторое время под влиянием неблагоприятных обстоятельств может вырасти новая бородавка. Поэтому к лечению пациентов специалисты подходят комплексно, начиная с назначения медикаментозной и антивирусной терапии и заканчивая хирургическим иссечением новообразования. Суть медикаментозного лечения папилломы на языке сводится к очистке полости рта от микроорганизмов и ликвидации очагов, облегчающих проникновение инфекции. С этой целью больному проводят санацию полости рта и дают рекомендации по выполнению процедур, способствующих сохранности рта в здоровом состоянии. Манипуляции завершают обработкой ротовой полости мазью с антивирусным воздействием. Антивирусная терапия заключается в назначении пациенту препаратов, нейтрализующих деятельность ВПЧ. Медикаментозные средства дополняют витаминными комплексами, которые смогут улучшить состояние иммунитета.
Также специалисты дают рекомендации по питанию и образу жизни человека. Все указанные элементы лечения должны обязательно назначаться и одобряться вашим лечащим врачом. Сами вы можете выбрать не те препараты или составить неправильную схему их приёма.
В результате поразившие ваш язык штаммы быстро распространятся по всей ротовой полости и на другие части тела. При этом переизбыток лекарственного препарата может навредить вам, а недостаток позволит вирусу привыкнуть к его воздействию, что в итоге сделает средство неэффективным.
Способы удаления
На классический вопрос есть не менее классический ответ. Он подходит для всех болезней: личная гигиена и безопасная экология. Это, в самом деле, имеет большое значение. Но если диагноз «папиллома» установлен, необходимо лечить болезнь. Как правило, это удаление папиллом во рту при помощи следующих инструментов:
- скальпеля;
- электроножа;
- специальных ножниц;
- петли;
- конхота или хирургический кусочек.
Используя подходящий инструмент для каждого конкретного случая, врач, иссекает или удаляет папиллому. Затем проводит такую процедуру, как гальваноакустика, т.е. прижигание.
Если у пациента множественные папилломы на языке лечение будет таким же, т.е. механическим иссечением или удалением. Но при обильных папилломах разных отделов ротовой полости могут быть рецидивы. И хотя такие случаи крайне редки, врач обязан предусмотреть дальнейшее лечение пациента.
Источник: neo-med.biz
Разновидности
Наросты образовываются из клеток внешних оболочек слизистой. У них неровная поверхность в виде узелков. Цвет опухоли совпадает с оттенком слизистой оболочки. Иногда она бывает светлее окружающих тканей. Папиллома постепенно растёт. Её размер достигает 2 см.
Существует несколько классификаций папилломатоза языка. По причинам и условиям возникновения заболевание делится на 2 вида.
- Реактивные папилломы на языке. Причина появления – раздражитель слизистой оболочки. Они возникают в результате ожога, действия химических веществ, травм языка.
- Неопластические папилломы. Особенность вида – высыпание в форме узелков целой группы наростов. Такой тип – редкое явление.
По внешним признакам образования бывают 2 видов.
- Остроконечные. Локализуются под языком. Их форма – длинные сосочки, заострённых на конце. Эти образования часто травмируется, что провоцирует увеличение их размера и локализацию очагов на соседних участках языка. Со временем они образуют группы, напоминающие петушиный гребень.
- Плоские. Папилломы этого вида обнаруживают по краям или на спинке языка. Образование имеет чёткие границы, округлую форму, локализуется в виде плотного сосочка. Если такой тип папилломы появляется у ребёнка, слизистые оболочки языка разрастаются.
Бородавки легко травмируются и отрываются в процессе пережевывания пищи. Из-за этого появляются кровоточащие очаги.
Хирургическое лечение
Нередко проводится хирургическое удаление папиллом.
Для устранения патологии могут быть использованы следующие методы хирургического лечения:
- Хирургическая операция. В данном случае хирург может применять один из таких способов иссечения папиллом, как скальпель, кибернож, специальные ножницы, петли или конхотом;
- Лазеротерапия применяется очень часто, так как не вызывает болевых ощущений и дискомфорт у пациента;
- Электрокоагуляция, при которой наросты прижигаются;
- Удаление пузырей радиоволнами.
В каждом конкретном случае врач назначает тот или иной метод хирургического лечения. После удаления папиллом назначаются также медикаментозные препараты для повышения иммунитета и укрепления организма.
Обратите внимание! При наличии большого количества папиллом в ротовой полости часто происходят рецидивы заболевания, поэтому медик должен предусмотреть дальнейшее возможное лечение человека.
Обычно детям не проводят хирургическое удаление наростов, но в случае крайней необходимости врач должен использовать анестезию.
Кипферон
Если наросты выявлены у беременной женщины, ей могут быть назначены такие препараты, как «Виферон» или «Кипферон». Вопрос об их удалении рассматривает только опытный врач, так как существует риск развития осложнений. Обычно назначается такое лечение, которое нацелено на борьбу с ПВЧ.
Видео: лазерное удаление папиллом на языке
В основании языка какие то бугорки
Решил не захламлять форум.
У меня похожая в чем то проблема.
В основании языка какие то бугорки, причем большие, никак не тревожат, раньше разве что горло болело часто. Ещё когда мед съем то в месте где они жжение появляется небольшое и сразу проходит. Могу добавить что у меня хрон. тонзилит.
Фото, действительно, мало информативное ( если есть возмжность, пришлите его в натур. размере, мы сами его уменьшим, но не так сильно).
— как давно вы заметили эти бугорки ( сколько лет)
— увеличиваются ли они ( или как либо изменяются в размере)
— консультировались ли по этому поводу у врача ( не только у стоматолога, но и ЛОРа)
Уточните, если не сложно, тогда и будем делать предположения.
У лора проходил лечение хрон. тонзилита, но она толи их не заметила, толи ничего не сказала.
Никак не изменялись с того времени как я заметил.
Зимой переболел фол. ангиной. Перед ней остро болело слева возле языка, и через время появился нарыв.
Сложно, конечно, делать предположения, не видя ситуации, но попробуем.
— первое — наиболее простое — это гипертрофированные сосочки языка. Такое может быть при каких-либо хронических заболеваниях ЖКТ или печени.
Предлагаем ознакомиться: Причины жжения во рту и на поверхности языка
Нет ли у вас гастрита или язвы? Если есть, то это может быть как сделствие этих заболеваний.
— и второе — рак языка. Очень надеюсь, что это только предположение, и у вас все в порядке. В любом случае, это только мнение, высказанное, глядя на картинку. Если есть возможность обратиться к врачу стоматологу — то стоит это сделать. Просто для того, чтобы развеять ваши опасения.
Есть еще один вариант — сифилис в полости рта. На языке он может и так проявляться.
В любом случае, если у вас есть подозрение на что-то не хорошее, идите к врачу. Сифилис сейчас легко излечим, а рак в ранней стадии лечить так же проще, чем в запущенной.
Да и при любых заболеваниях, должны появлятся боли и тд.
Но как таковой оно меня никак не тревожит.
Я тоже сначала подумала на сосочки языка — если это так, то нужно найти причину их гипертрофии. Только убрав причину, мы сможем вернуть их в нормальное состояние. Курение может спровоцировать — так что если есть силы бросить, бросайте.
Почему мне пришло в голову рак — на ранней стадии он не вызывает никаких болевых ощущений. В этом то и дело.
У меня есть вопрос: Как далеко от Москвы вы живете. если не далеко, то могу порекомендовать несколько специалистов по слизистым оболочкам полости рта. Если далеко, то консультируйтесь.
Хороший врач всегда может признать, что что-то не знает и направит к более опытному и узконаправленному специалисту. И только плохой врач скажет, что никто не знает что с вами. Все равно найдется такой специалист, который уже видел что-то подобное и знает, что делать.
Будет не лишним показаться гастроэнерологу.
Живу я в Украине.
Направили меня к декану кафедры стоматологии в нашем городе.
Сказали он все расскажет и при нужде направит к хирургу-стоматологу(не помню точно специально врача).
Также сдал анализ крови общий, он полностью в норме.
Анализ крови общий, к сожалению, дает очень мало информации. Он информативен при серьезных сдвигах в организме человека. Лучше сделать развернутый, посмотреть все показатели крови. Но я думаю, вам все скажут. Если будет не сложно, напишите потом, что скажет профессор.
Делал развернутый анализ ) Я не слишком их разбираю. Все в норме, разве что что лимфоциты завышены немного и гемоглобина не хватает тоже немного ).
Вы болели без диагноза? Или диагноз был спорным?
Ведь лечить то лечили, значит знали от чего.
На мой взгляд, это может быть либо специфическая флора при нормальном иммунитете, либо снижение вашего иммунитета и активация собственной флоры полости рта. Вот в этом и нужно разобраться.
Клинические проявления
Распознать вирус сразу практически невозможно и в этом заключается его коварность. Вирус активизируется только при наличии благоприятных для него условий, например, при снижении иммунитета или нехватке полезных веществ в организме. После появления бородавки распознать ее легко. Она приносит дискомфорт, человеку может быть тяжело глотать и употреблять пищу, она может повреждаться и кровить. Выглядит новообразование как нарост на языке или листовидный сосочек размером от 2 см, имеет бугристую поверхность.
Если бородавка образовалась на деснах или небе, то чаще всего она имеет плоскую мелкозернистую форму. Диагностировать наличие папиллом у детей гораздо проще, чем у взрослых. Бородавки захватывают все мягкое небо и язык, могут образовываться во всей слизистой до самых миндалин.
Если вы заметили такие новообразования необходимо незамедлительно обращаться к врачу. Папиллома на языке — это внешнее проявление вируса ВПЧ, обычными методами избавиться не получится. После обследования пациенту чаще всего назначается комплексное лечение, которое включает в себя антивирусную терапию и применение медикаментов. Иногда прибегают и к хирургическому вмешательству, но случается это в редких случаях.
Источник: myderma.ru
Сопутствующие симптомы
Папилломы не сразу выявляются, поэтому осложняется их первичная диагностика. Вирусу папилломы может предшествовать снижение иммунитета после болезни, недостаток жизненно важных микроэлементов. Новообразования способны появляться в области языка, на остальной части слизистой, в том числе и в области миндалин.
Визуально выделяются такие папилломы:
Остроконечные. Имеют розовый цвет, похожи на цветную капусту. Располагаются под языком возле кровеносных сосудов, причиняют массу неудобств. Пациентам приходится аккуратно есть, чистить зубы, разговаривать, чтобы не повредить папиллому. Это приносит неудобства, лечение наростов сложное и продолжительное.
Плоские бородавки выделяются на фоне цвета языка, могут быть плоскими и круглыми, доставляют массу неудобств пациентам. Если новообразования не разрастаются, лечить можно медикаментами, к обрезанию прибегают не всегда.
Локализация и симптомы
Помимо появления самих неровностей на языке, могут возникать и другие симптомы, например, боль в суставах или в ротовой полости, включая горло, неприятный привкус во рту, неприятный запах изо рта и налет на языке.
Папилломатозные разрастания на слизистых оболочках полости рта могут расти практически на любом участке. Больше всего папиллом обнаруживается на небе, небных душках, затем по распространенности процесса следует внутренняя поверхность щек, десна, язык. Изменения слизистого слоя под воздействием вируса обнаруживаются в горле и гортани.
Если она находится на языке, слизистой оболочке щек, твердом небе, то легко раздражается горячей, острой пищей, что вызывает ее травмирование, появление кровотечений, инфицирования и неприятного запаха.
При расположении папиллом на деснах они подвергаются травмированию при ношении протезов или во время чистки зубов, что также сказывается на появлении дискомфортных ощущений. Постоянное инфицирование и воспаление создают условия для перерождения эпителиальных клеток в раковые.
Нарост в ротовой полости может быть сначала единичным, но распространение вируса из первоначального очага приводит к росту неограниченного числа бородавок, которые могут затруднять прием пищи и даже дыхания.
В ротовой полости могут образовываться и другие доброкачественные или злокачественные опухоли. Отличить от них папиллому можно по нескольким признакам:
- Размерам, не превышающим одного сантиметра.
- Прикреплению к слизистым оболочкам при помощи тонкой ножки или широкой «подошвы».
- Безболезненности и мягкой структуре на ощупь.
- По цвету – розоватому, совпадающему по оттенку с основным участком ротовой полости или бледноватому.
ВПЧ на языке
Чаще всего папилломы на языке занимают боковую поверхность органа или его кончик, на середине и под языком вирусные образования растут реже. Подобные новообразования выглядят как сосочкообразные наросты, имеющие красноватую окраску, их поверхность похожа на скопление мелких зернышек. Этот вид папилломатоза обозначается термином эпителиальная гиперплазия.
Фото остроконечных папиллом на языке
Папилломы, локализующиеся на языке, чаще закреплены при помощи небольшой ножки. Размеры разрастаний варьируются, это могут быть как мельчайшие каплевидные выросты, так и опухоли в виде горошинок.
На нижней стороне языка папилломы чаще представлены в виде нитевидных отростков, которые могут располагаться и на уздечки языка.
Эпителиальная гиперплазия на языке приводит к тому, что возникают неприятные ощущения при приеме пищи. Постоянное раздражение вызывает боль и воспалительную реакцию. Новообразования с подобным расположением часто подвергаются злокачественному перерождению в случае отсутствия своевременной терапии.
В горле и гортани
Папилломы, растущие в горле, могут долгое время оставаться не выявленными, так как не дают четкой клинической картины.
Человек может лишь периодически чувствовать небольшое першение и раздражение в горле, что списывается на простудные и респираторные явления.
При заметном увеличении растущих новообразований или при их большом количестве заметно затрудняется прием пищи – пищевой комок плохо продвигается, возникает чувство инородного тела. При проглатывании твердых продуктов папиллома травмируется, что выражается болезненностью и появлением кашля с сукровицей.
Фото папилломы в горле
Папилломатоз гортани считается достаточно опасным заболеванием. Все дело в том, что растущие бородавки перерывают просвет и мешают нормальному дыханию.
Папилломы на гортани и голосовой щели иногда обнаруживаются у новорожденных, и в этом случае наиболее вероятный источник инфекции болеющая мать, от которой вирус малышу перешел при родах.
Обратить внимание можно на кашель у крохи, некоторую осиплость, а при респираторных заболеваниях быстро нарастающая отечность приводит к появлению затрудненного дыхания.
Предлагаем ознакомиться: Темное пятно на языке у взрослого
На миндалине
Растущие на миндалине папилломы выглядят как маленькие шишечки, имеющие небольшую ножку или плотно прилегающие к слизистой оболочке. По цвету образование почти всегда совпадает с основной окраской миндалины.
На ранних стадиях своего развития папиллома приводит к учащению обострений хронического тонзиллита.
Дискомфортные ощущения возникают при проглатывании пищи, этот вид образований может повлиять и на изменение разговорной речи. Папилломы миндалин практически никогда не озлокачествляются и часто самоликвидируются через несколько месяцев.
Опухоль языка небольшого размера не вызывает у пациента никаких дискомфортных ощущений и по этой причине может оставаться незаметной. По мере роста опухоли у пациента возникает ощущение инородного тела на языке.
Чаще всего опухоли языка являются безболезненными образованиями. Появление боли возможно при сдавлении и травмировании опухоли во время жевания или разговора. Опухоль языка, достигшая в своем росте значительного размера, может вызывать изменение речи, затруднение при пережевывании и проглатывании пищи.
Резкое изменение характеристик опухоли языка (цвета, консистенции, поверхности), появление быстрого роста или прорастания в соседние ткани свидетельствуют о малигнизации образования с развитием рака языка.
Возможно также присоединение воспалительного процесса, обычно являющегося результатом травмирования опухоли языка. Воспаление проявляется типичными симптомами: отечностью, болезненностью и покраснением образования. В отдельных случаях воспаление опухоли языка сопровождается некротическими изменениями.
Наиболее распространенное место локализации доброкачественных новообразований во рту – передняя часть языка. Особенно часто атипичный рост эпидермальных клеток слизистой оболочки наблюдается на кончике языка и по его боковым частям.
Бородавки на языке могут быть представлены одним из двух видов новообразований:
- Плоские бородавки. Представляют собой ярко розовую или красноватую папулу, которая имеет плотную, твердую консистенцию.
- Остроконечные бородавки (кондиломы). Визуально схожи с бледными эпидермальными сосочками. В процессе роста кондиломы часто сливаются, образуя дольчатые новообразования, напоминающие цветную капусту. Локализуются остроконечные бородавки чаще всего под языком.
Народная терапия
Существуют и народные способы избавления от папиллом, но доверять им не стоит. Помните, для того, чтобы избавиться от новообразований, необходимо удалить ВПЧ из организма. Никакие настои, сборы трав и соки в этом случае не помогут.
Только обращение к специалисту, обследование и проведение комплексного лечения поможет вам эффективно избавиться от проблемы.
Народные средства можно использовать как помощь при лечении, но не как основной метод. Пытаясь разрешить проблему самостоятельно, вы можете усугубить ситуацию и ускорить процесс развития вируса ВПЧ в организме. Особенно это касается тех людей, которые являются носителями вируса ВИЧ.



















