Skip to content Сайт о зубах

Керамическая вкладка является типом реставрации зубов, которые представляют из себя что-то среднее между пломбами и коронками. Другими словами, эти микропротезы используются для восстановления дефектов, которые слишком велики для пломбирования, но есть возможность их устранить без использования коронок. Этот вид реставрации предпочтительнее, поскольку позволяет сохранить больше естественной структуры зубов.
В настоящее время они используются в основном для боковой группы зубов, таких как премоляры и моляры. Применяются для укрепления поврежденных зубов, восстановления их функций и предотвращения дальнейшего разрушения твердых тканей. Раньше они также использовались для восстановления передних зубов, но теперь виниры являются предпочтительным вариантом для исправления этой группы зубов из эстетических соображений.
Общее представление
Под термином вкладка в стоматологической практике понимают разновидность микропротеза, применяемую в случае значительного разрушения тканей зуба в результате его механического травмирования или развития определенного заболевания, например, кариеса.
По технологии производства эта конструкция отличается от пломбы лишь тем, что изготавливается в зуботехнической лаборатории по заранее выполненному слепку элемента челюстного ряда пациента.
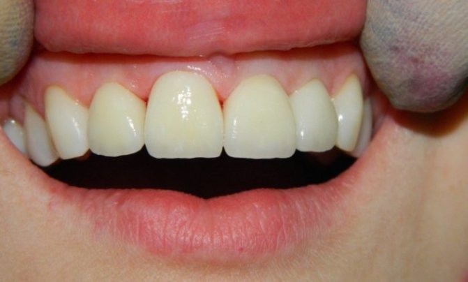
Керамические вкладки имеют длительный срок службы, а по внешнему виду полностью копируют анатомические особенности собственных зубов, нуждающихся в реставрации.
Керамическая зубная вкладка: особенности ухода
Керамическая вкладка и накладка не требует сложного ухода. Ухаживать требуется, как за обычными зубами – чистить 2 раза в сутки, использовать флосс и ополаскиватели для рта после каждого приема пищи. Стоит отметить, что керамические вкладки в силу их физических свойств не нуждаются в дополнительном уходе (в отличие от световых пломб) – профессиональной чистке.
Чтобы своевременно выявить негерметичность вкладки емакс, требуется регулярно посещать кабинет врача-стоматолога (раз в полгода). При появлении темной полосы, велика вероятность того, что под керамическую вкладку стали проникать болезнетворные микроорганизмы, которые провоцируют развитие кариозного процесса. В среднем, срок службы керамических конструкций составляет около 7-8 лет. При соблюдении всех правил и норм гигиены, а также, отсутствии усиленных нагрузок они способы прослужить на несколько лет дольше.
Установить керамическую вкладку в Москве можно в надежной клинике «А-Медик». Здесь работают квалифицированные специалисты с богатым опытом работы, что гарантирует положительный результат. Ортопедическая конструкция ничуть не отличается от своих натуральных зубов и способна прослужить долгие годы. В том случае, если к установке данного изделия имеются противопоказания, врачи-стоматологи «А-Медик» смогут подобрать другую методику восстановления зубов.
Показания и противопоказания
Стоматологи выделяют следующие специфические показания к применению изделий из керамической массы:
- полость в элементе челюстного ряда, которая ограничивается эмалью;
- обширные полости на жевательной поверхности моляров;
- кариозные полости 2 класса по Блэку, то есть поражение контактных поверхностей соседних зубов;
- повышенные требования пациента к эстетическому показателю;
- необходимость в щадящем препарировании зуба.
Помимо перечисленных ситуаций, изделия могут устанавливаться при наличии у пациента общих показаний к реставрации зуба при помощи микропротезов, например, в следующих ситуациях:
- разрушение зуба на одну треть при условии сохранения нерва;
- повышенная чувствительность зубного покрытия;
- наличие повреждений эмали – сколов, трещин;
- необходимость восстановления зуба для дальнейшего его применения в качестве опоры под мостовидную конструкцию или другой вид протеза.
Несмотря на большие возможности в восстановлении целостности зубов данным способом, стоматологи отмечают, что существуют ситуации, когда применение этих микропротезов, в том числе керамических, противопоказано.
Чаще всего специалисты отказывают пациентам в установке по следующим причинам:
- слишком малая площадь, которая должна быть подвержена реставрации – в этом случае целесообразней воспользоваться пломбировочным материалом;
- большой объем зубной поверхности, пораженный кариесом, и высокая интенсивность протекания этого заболевания;
- разрушение зуба более чем на две трети – лучше устанавливать искусственную коронку;
- бруксизм, то есть неконтролируемое скрипение зубами – в некоторых случаях специалист может порекомендовать ношение в ночное время специальных капп;
- отсутствие регулярной и качественной гигиены ротовой полости.
Как правило, стоматологи берутся за установку лишь при наличии у пациента постоянных зубов. Молочные элементы ряда, по их мнению, нецелесообразно восстанавливать таким способом.
Показания к применению
- В случае кариеса, который нельзя устранить пломбированием.
- Обширные кариозные полости и сколы на поверхности зубов.
- Если окклюзионная поверхность зубов была сильно повреждена при восстановлении высоты прикуса.
- Замена старых пломб.
- Замена зубных пломб из амальгамы.
- Реконструкция контактных поверхностей живых или мертвых зубов.
- Реконструкция зубов, пролеченных эндодонтически (депульпированных).
- Эстетическая реконструкция зубов.
защита от внешних воздействий и давления
Отличия от пломбы
Внешне изделие отличается от пломбы не слишком значительно, однако стоматологи отмечают следующие существенные различия между этими методиками восстановления целостности элементов зубной линии:
- Особенности изготовления. Пломба формируется непосредственно во рту пациента при проведении процедуры закрытия кариозной полости. Для производства изделий требуется предварительное снятие слепка обрабатываемого зуба. Это отображается на точности конечного результата.
При постановке пломбы может требоваться неоднократное стачивание или добавление материала. При фиксации изделий такой проблемы не возникает.
- Область применения. Пломбировочный материал используется для закрытия незначительных полостей во всех зубах. Конструкции применяют для восстановления более крупных дефектов премоляров и моляров. Как правило, резцы и клыки с их помощью не реставрируются, однако в отдельных случаях стоматологи могут применять этом метод восстановления целостности зуба.
- Степень прилегания материала. Зазор между изделием и тканями в процессе эксплуатации может составить не более 2 микрон. Это исключает возможность расшатывания и выпадения конструкции, а также повторное развитие кариеса. В случае с пломбой, ее расшатывание и выпадение встречается достаточно часто, уже после 1—2 лет использования.
- Особенности эксплуатации. Пломбировочный материал, даже высококачественный, имеет склонность к усадке, стиранию, изменению цвета в процессе службы. Изделия не темнеет со временем, не усаживается, стирается равномерно с собственными тканями зуба.
- Длительность использования. Зачастую срок службы пломбы, в частности композитной, не превышает 3—5 лет. Специалисты дают гарантию на керамическое изделие от 10 до 15 лет.
Что представляют собой вкладки Inlay Onlay Overlay и показания к их установке.
Поговорим здесь о грамотной подготовке зубов к протезированию.
Противопоказания к установке керамических вкладок
Вкладка emax имеет и некоторые противопоказания к установке. Абсолютные противопоказания отсутствуют, но есть относительные и временные, которые рекомендуется устранить переду установкой керамической накладки. Среди них выделяют недостаточную гигиену рта – наиболее распространенное противопоказание. В этом случае специалист проводит профессиональную чистку и назначает дополнительные методы ухода за полость рта, которые можно осуществлять в домашних условиях.
При кариозном поражении зубов, врач-стоматолог проводит лечение, и уже после него переходит к установке конструкции. Специалисты не рекомендуют устанавливать накладки на последние моляры («восьмерки»). Они не осуществляют жевательной функции, поэтому в случае сильного разрушения проще всего полностью избавиться, не затрачивая время на реставрацию.
Не получится провести установку, если от зуба осталась только одна стенка (требуется как минимум две сохранившиеся стенки). Проблемы могут возникнуть при незначительной глубине полости (менее 2 мм) или наличии патологических полостей, которые глубоко уходят в дентин. При бруксизме (скрежете зубами) не рекомендуют установку накладок, поскольку она будет быстро стираться, что значительно снизит срок службы. Однако можно использовать специальное устройство (ночную капу), которое будет предохранять от трения зубов нижней челюсти с зубами верхней челюсти.
Разновидности
В зависимости от материала изготовления, в стоматологической практике применяются три разновидности изделий — из металлокерамики, из прессованной керамической массы, а также из диоксида циркония.
Конструкции из металлокерамики соединяют в себе два материала — керамическую массу и гипоаллергенную медицинскую сталь.
По мнению специалистов, эти изделия имеют существенный недостаток – различный коэффициент расширения металла и керамики при воздействии температуры.
Это нередко приводит к быстрому расшатыванию и выпадению изделия, поэтому в стоматологической практике эта разновидность микропротеза применяется достаточно редко.
Для производства моделей из прессованной керамики применяется методика литьевого прессования фарфора, в процессе которой используют высокие температуры и давление. Такое изделие гораздо прочнее предыдущей разновидности, и по внешнему виду полностью имитирует эмаль.
Циркониевые модели обладают наибольшей прочностью по сравнению с перечисленными разновидностями керамических микропротезов.
Для их изготовления выполняется автоматизированное обтачивание заготовок из диоксида циркония на основе слепков зубов, нуждающихся в восстановлении.
Методы изготовления
- Традиционный керамический вариант. Этот метод эстетически совершенен, но если он имеет небольшую неточность, то может легко сломаться. Из-за твердости конструкции можно повредить поверхность противоположного зуба, при изготовлении такой вкладки сложно точно откорректировать прикус.
- Прессованная вариант (e-max): прочнее и менее хрупкая, чем традиционная керамическая, но для данных вкладок требуется больше пространства. К сожалению, с помощью этого метода нет возможности создать имитацию цвета естественного зуба, но точность выполнения намного выше.
- CAD-CAM (cerec) технология позволяет изготовить вкладку из цельного блока керамики, предварительно получив виртуальные модели челюстей. Такой метод отвечает самым высоким стандартам эстетики и точности.
Техника установки
Процедура восстановления проблемной единицы состоит из ряда последовательных этапов:
- Стоматолог осматривает ротовую полость пациента, проводит необходимые исследования и составляет план дальнейшего лечения.
- При наличии установленной ранее пломбы специалист извлекает ее, после чего тщательно удаляет ткани, пораженные кариесом, при помощи специального оборудования. На данном этапе необходимо удалить всю поврежденную ткань, не захватывая здоровую.
- На обточенную поверхность зуба наносится специальное средство, позволяющее выявить пропущенные участки кариозной ткани.
- Проводится финальное обтачивание поверхности зуба, который нуждается в восстановлении. Края элемента челюстной линии сглаживаются при помощи арканзасского камня. Данные действия направлены на улучшение сцепления моляра и изделия.
- После нанесения на моляр защитного средства производится снятие оттиска, который передается в зуботехническую лаборатории, где происходит изготовление конструкции.
В течение периода, который требуется на создание модели, полость, высверленная в зубе пациента, закрыта временным пломбировочным материалом.
После изготовления микропротеза пломба извлекается, а изделие закрепляется при помощи специального стоматологического клея. Затем конструкция полируется, что абсолютно устраняет отличие между ней и поверхностью собственного зуба.
В видео смотрите процесс установки керамической вкладки.
Керамическая вкладка e max: основные показания
Многие люди ошибочно полагают, что керамические вкладки являются разновидностью обычной пломбы. На самом деле они относятся к категории высокотехнологичных микропротезов. Ее параметры и характеристики значительно превосходят любой, даже самый современный и качественный пломбировочной материал. Среди основных показаний к установке керамических вкладок отмечают:
- разрушение коронковой части на 30% и более;
- подготовку моляра или премоляра к установке постоянных ортопедических конструкций, к примеру, мостовидных протезов;
- повышенную стираемость эмали;
- наличие большой полости, которая образовалась в результате запущенного кариозного процесса;
- повышенную чувствительность моляров или премоляров к внешним факторам;
- повреждения механического типа.
В том случае, если после фиксации ортопедической конструкции возникают ярко-выраженные болезненные ощущения, не следует затягивать с визитом к врачу-стоматологу. Чаще всего болезненность и дискомфорт являются признаком того, что изделие было установлено неправильно. Во избежание подобных ситуаций следует проводить лечение только в проверенных стоматологических клиниках.
Плюсы и минусы
Использование керамических вкладок для восстановления целостности зуба имеет множество достоинств по сравнению с другими методами реставрации.
Вот основные из преимуществ:
- возможность применения для устранения значительных полостей и разрушений зубной поверхности;
- высокая точность изготовления микропротезной конструкции, благодаря чему исключается необходимость ее корректировки, а также возможность нарушения прикуса после фиксации;
- высокая степень биосовместимости материала с тканями зуба и различными протезными конструкциями;
- прочность и устойчивость, то есть выдерживание значительной жевательной нагрузки;
- отсутствие подверженности полимеризации и усадке;
- идеальные эстетические свойства – сходство с эмалью, возможность восстановления анатомических структур зуба, неподверженность окрашиванию;
- отсутствие ощущения дискомфорта в процессе эксплуатации микропротеза;
- хорошая износоустойчивость, длительный срок эксплуатации.
В то же время не лишены изделия и недостатков, наиболее существенными среди которых являются следующие моменты:
- Высокая длительность лечения. На изготовление может потребоваться от одной до двух недель, вследствие чего требуется несколько визитов к стоматологу и установка временной пломбы.
- Высокая стоимость. Цена микропротеза значительно превышает сумму, которую необходимо заплатить за установку пломбы, из-за чего многие пациенты отказывают от этого метода реставрации зубной поверхности.
Цель проведения воскового моделирования зубов и ход действий врача.
В этой публикации вы найдете подробное описание ультраниров и отзывы специалистов о качестве изделий.
Пройдите по ссылке https://www.vash-dentist.ru/protezirovanie/nesemnyie-p/koronki-np/kachestva-metallokeramicheskih-duceram.html, чтобы больше узнать о плюсах и минусах коронок Duceram.
Недостатки
Зубные вставки из керамики практически не имеют минусов. Но недостатки все-таки есть. Это в первую очередь высокая стоимость в сравнении с ценой на установку пломбы, что объясняется дороговизной используемых материалов и сложностью изготовления.
Кроме этого, лечение с применением накладок более продолжительное, чем при установке обычной пломбы и может потребовать нескольких посещений дантиста.
Еще одним недостатком является наличие противопоказаний для использования накладок.
Возможные осложнения
Фиксация микропротеза сопровождается стачиванием поверхности зуба с целью удаления тканей, пораженных кариесом.
При высоком профессионализме стоматолога эта процедура не вызывает проблем, однако, в некоторых случаях может привести к развитию вторичного кариеса – при недостаточно тщательном удалении пораженной ткани, либо пульпита.
Повышенная чувствительность зубов пациента может привести к тому, что после установки микропротеза первое время будет наблюдаться дискомфорт и ощущение присутствия постороннего предмета в полости рта. Со временем такое чувство исчезнет.
В отдельных случаях у пациента может возникать вскрытие полости в теле зуба, что влечет за собой выпадение вкладки.
В этой ситуации следует незамедлительно обращаться к стоматологу для повторной фиксации изделия либо изготовления нового микропротеза.
Положительные стороны изделий
Основные плюсы применения зубных керамических вкладок заключаются в следующем:
- Высокий эстетический показатель, который не меняется со временем.
- Полная совместимость протезов с данными изделиями.
- Высокая точность обработки изделия, позволяющая ему максимально плотно соприкасаться со стенками зубной полости.
- Зубная эмаль почти не изнашивается.
- Возможность подготовить зубы к креплению коронок.
- Возможность заделывания даже больших зубных полостей.
- Устойчивость к воздействию красителей.
- Отсутствие полимеризации и усадки после установки.
- Изделия являются гораздо более прочными и долговечными, чем пломбы. Прочность устанавливаемого материала превышает прочность строительного кирпича в 4-10 раз.
- Сохранение при их использовании внешнего вида зубного органа и его функций.
- Не вызывают дискомфорт и ощущение нахождения в ротовой полости чужеродного объекта.
Сроки эксплуатации и уход
Стоматологи отмечают, что минимальный срок эксплуатации составляет 5 лет, однако зачастую изделие служит пациенту гораздо дольше.
Гарантия на микропротез из диоксида циркония и прессованной керамики во многих клиниках составляет 10—15 лет.
Следует понимать, что на длительность службы влияет не только качество ее изготовления, но и действия самого пациента.
Поэтому, чтобы продлить срок эксплуатации микропротеза, следует придерживаться таких правил:
- чистить зубы не менее двух раз в день на протяжении 2—3 минут;
- ополаскивать ротовую полость после каждого приема пищи;
- отказаться от действий, приводящих к сильному сжатию челюстей, поскольку это может привести к механическому повреждению;
- посещать стоматолога не менее двух раз в год для выполнения санации ротовой полости и своевременного выявления возникающих проблем.
Что собой представляет вкладка из керамики?
Высоким достижением в стоматологии является применение для восстановления зубной коронки вкладок. Американские стоматологи на сегодняшний день используют их вместо пломб при лечении кариеса.
Вообще от пломбы вкладку отличает то, что она изготавливается в лаборатории, а ни непосредственно в ротовой полости. Хотя и та и другая призвана для камуфлирования в зубах полостей.
Можно использовать керамическую вкладку на зубы, как отдельное приспособление, так и в комплексном протезировании.
Она может быть изготовлена из разных материалов, но наивысшие эстетические показатели дает изделие из керамики.
С помощью рассматриваемых конструкций нередко поднимают прикус, а вкладки из керамики для передних зубов названы винирами и позволяют добиться высокой привлекательности улыбки.
Отзывы
Несмотря на высокую стоимость, керамические вкладки пользуются большой популярностью среди пациентов стоматологических клиник, судя по отзывам.
Это объясняется их высоким качеством, эстетическими характеристиками и сроком службы.
Своим мнением по поводу использования керамических микропротезов вы можете поделиться в разделе комментариев.
Если вы нашли ошибку, пожалуйста, выделите фрагмент текста и нажмите Ctrl+Enter.
Теги вкладка керамическая вкладка несъемные зубные протезы
Понравилась статья? Следите за обновлениями
Предыдущая статья
Цель использования турунды после удаления зуба
Следующая статья
Все тонкости проведения лазерного удаления зубов
Стоимость
Стоят керамические вкладки недешево, ведь для их изготовления применяют дорогие материалы, а процесс изготовления достаточно трудоемкий. Но большое количество плюсов таких изделий, включая длительный срок службы (больше 10 лет), вполне соразмерно с их стоимостью.
Стоимость керамической вкладки «Empress» составляет примерно 16 тысяч рублей, а изделие «IPS e. max Press» обойдется в 18 тысяч рублей.
Предлагаем обзор цен под ключ в клиниках Москвы на вкладки:
| Клиника | Керамическая вкладка | Технология CEREC |
| Столица | 10000 | 12000 |
| Лаки-Смайл | 10200 | 13800 |
| Идеал-Дент | 8400 | 11400 |
| Бест-Клиник | 10800 | 15600 |
| Денто-Эль | 10200 | 15000 |
Преимущества материала
Из керамики производят массу компонентов и смесей, используемых не только в стоматологии, но и в других областях современной медицины.
При этом у каждого имеются как достоинства, так и недостатки.
Основные преимущества керамики:
- высокий уровень эстетики – кроме того что керамика имеет естественный природный оттенок, она отличается светоотражающими свойствами, которые очень похожи на натуральную эмаль;
- высокий показатель цветостойкости – сохраняет первоначальный вид даже под воздействием красящих пигментов;
- безупречное краевое соответствие;
- отличная совместимость с человеческим организмом на биологическом уровне;
- отсутствие раздражающего фактора при взаимодействии с организмом человека.
Постоянные конструкции на имплантатах
Имплантаты состоят из двух элементов: титановый корень (вместо корня зуба) и коронковая часть (вместо обычной коронки зуба).
Титановый корень – конструкция из титана, внешне напоминающая конический винт, со специально обработанной поверхностью.
Вместо культевой вкладки используют абатмент, который ставится на имплантат, и может быть выполнен из различных материалов, он может быть титановым, покрытым золотом или сделанным из циркония — все зависит от типа коронки.
Коронковая часть — та же самая, что и у одиночной коронки, изготавливается аналогично и из тех же материалов. Полностью керамические коронки на имплантатах обычно не применяются, т.к. они быстро разрушаются под жевательной нагрузки от контакта с металлом абатмента. Для применения керамики на коронках, врач устанавливает специальный абатмент из циркония.
Принцип фиксации коронки на имплантат похож на фиксацию обычной коронки – с помощью специальных композитных цементов. Но есть и другой способ фиксации, более предпочтительный – трансокклюзионная винтовая фиксация коронки непосредственно к имплантату.
Этот метод дает возможность возобновить зубы даже при потере более трех зубов рядом стоящих, поскольку имплантатам не нужна мостовидная опора. Данная методика несъемного протезирования сегодня наиболее эстетичная и физиологичная, однако и самая дорогая из существующих.
Свойства керамики
Основное преимущество, которым обладают безметалловые коронки, – биологическая инертность. Это значит, что организм человека не реагирует на протезы как на чужеродный предмет, не отторгает их. Керамические зубы обладают и другими достоинствами:
- в их составе отсутствуют вредные примеси;
- материал не впитывает в себя никакие запахи;
- коронки из безметалловой керамики не окрашиваются, не вступают в реакции с бактериями и пигментами;
- конструкции не вызывают воспаления десен;
- прочность;
- визуально сходны с натуральными зубами;
- цельнокерамическая коронка позволяет с высокой точностью воспроизвести естественный оттенок, прозрачность и даже структуру костной ткани;
- керамические несъемные протезы лишены металлического каркаса – соответственно они гораздо тоньше и легче своих «собратьев».
Какую анестезию используют?
Обезболивание обязательно при стачивании «живых», недепульпированных зубов. Но ее также ставят пациентам с «мертвыми» единицами, если у них повышенная чувствительность или проводится ретракция десневого края.
Оставлять пульпу или нет – зависит от клинической картины, техники стоматолога-ортопеда и пожеланий пациента. «Живые» единицы крепче и меньше подвержены кариесу. Однако с «мертвыми» зубами исключен риск обжога, отека или травмы сосудисто-нервного пучка и последующего развития пульпита.
В отечественных стоматологиях предпочитают изъять нерв, чтобы избежать рисков. Но установка коронок – не показание к депульпации.
При препарировании под коронку или мостовидный протез из металлокерамики используют следующие виды анестезии:
- аппликационную: раствором с анестетиком сбрызгивают или смазывают десны – этот препарат нужен, чтобы постановка основной анестезии прошла безболезненно;
- инфильтрационную – инъекцию вводят в проекцию верхушки корня;
- проводниковую – укол ставят в ствол нерва, после него немеет вся челюсть, язык, щеки, губы.
Процедура обточки проходит под анестезией В 80% случаев используют инфильтрационную анестезию – как правило, этого хватает, чтобы пациент не чувствовал боль. Если нет, ставят проводниковую. А аппликационная – всего лишь вспомогательная, предварительная.
Из препаратов для анестезии в основном используют «Ультракаин», «Убистезин». Реже – лидокаин, «Артикан», «Ксилоцитин».
Также при обточке недепульпированного зуба проводят электроодонтодиагностику (ЭОД): перед стачиванием, через 3 дня после и незадолго до установки протеза. Диагностика выявит возможное повреждение пульпы при препарировании. А после процедуры под временные коронки ставят прокладки из дезинфицирующих и противовоспалительных средств.
Для чего необходимо препарирование зубов?
Стачивание эмали и дентина перед протезированием металлокерамикой неизбежно, вот статья о металлокерамических зубных мостах . Без процедуры нельзя восстановить зуб, так как:
- для коронки не будет места – нужно освободить несколько миллиметров, иначе конструкция будет выбиваться из ряда;
- нереально изготовить протез по естественной форме зубов – от природы они неровные, с множеством бугорков, ямочек и щербинок, которые нельзя повторить;
- невозможно надежно закрепить конструкцию на неподготовленной единице – она не зафиксируется плотно и быстро выпадет.
Препарирование под металлокерамические коронки – главный минус протезирования. Но это необходимое «зло». Зато ортопедические конструкции продлевают жизнь зубов минимум на 7-10 лет.
Как выглядит вкладка
Не все знают, что такое вкладка под коронку в стоматологии. Ее устанавливают в зуб, который почти полностью разрушен. Изделие представлено в виде цельной конструкции, состоящей из двух частей: нижняя внешне напоминает стержень и выполняет роль штифта, а верхняя выглядит как культя зуба, предварительно обточенная под коронку.
Внешний вид без надетой сверху коронки
Существует два вида изделий, отличающихся материалами и технологией изготовления:
- Складные. Предназначены для восстановления многокорневых зубов. В них можно добавлять и убирать штифты. Это надежные устройства, но довольно сложные для подбора.
- Литые. Похожи на обточенную культю, поэтому их называют культевыми. Их производят методом литья под давлением. Нижняя часть вкладки — стержень, предназначенный для установки в корень зуба, а верхняя представляет собой устройство для фиксации коронки.
Форма нижней части напрямую зависит от характеристики зуба, она бывает двойной, а в некоторых случаях даже тройной. Конструкция может быть как цельной, так и разборной.
Верхнюю часть вкладки под коронку изготавливает зубной техник по индивидуальному слепку. В некоторых случаях она повторяет прежнюю форму зуба и может использоваться без коронки. Такая вкладка способна восстановить даже самые разрушенные зубы. Ее устанавливают как под одиночную коронку, так и под мостовой протез. Также ее используют для фиксации съемных конструкций.
Культевые вкладки производятся из различных материалов. От этого напрямую зависит качество изделия и его цена. Выпускают следующие конструкции:
- Металлические. Изготовлены из сплавов кобальта и хрома, золота, серебра и палладия. Материалы имеют разные свойства, поэтому их стоимость значительно отличается. По востребованности превосходят керамику, процесс их изготовления гораздо проще, а готовая конструкция прочная, долговечная и качественная.
- Циркониевые. Их делают из диоксида циркония. По показателям прочности сходны с металлическими изделиями, по эстетическим характеристикам напоминают керамику. Биоинертны, однако стоимость их высока.
- Композитные. Наиболее популярные, имеют высокую прочность и адгезию с тканями челюсти, довольно долговечные.
- Керамические. Лучше всего имитируют зубную эмаль человека, прочные, выглядят эстетично.
Зачастую вкладки применяют, если остались одни корни или отсутствует внутреннее наполнение зуба, а есть только хрупкие стенки. Подобные изделия со временем не дают усадки, что позволяет качественно установить коронку, предотвращая ее поломку или расшатывание.
Помимо этого, система дает возможность полностью убрать пораженные кариесом ткани. Следует отметить, что подобные устройства используются не только для боковых, но и для передних зубов.
Возможные проблемы
Несмотря на то, что керамические коронки достаточно тоненькие, пациенту все равно необходимо будет к ним привыкнуть. Не исключено, что первое время зуб будет казаться чужеродным. Повлиять это может прежде всего на речь, нередко возникают временные дефекты. В течение пары недель все неудобства проходят. Если этого не произошло – стоит посетить протезиста.
Болезненных ощущений при эксплуатации коронок быть не должно. Если они все же присутствуют – значит, протез не подходит по размеру. Обычно подобные проблемы выявляются во время примерки. Не исключено, что придется менять протез, стоимость керамического зуба возрастет.
Некачественная работа стоматолога чревата недостаточным прилеганием материала к десне. В таком случае под коронку будет попадать еда, под ней начнут размножаться бактерии. Заканчивается это все воспалением.
Виды
Существует 3 основных вида вкладок, которые отличаются по материалу изготовления, сроку эксплуатации и стоимости. Современный вид материала, из которого выполняют изделия, – металлокерамика. Их стоимость мало чем отличается от керамических конструкций, но по качеству они значительно уступают им. Вкладки из металлокерамики могут выпасть под воздействием слишком высоких или низких температур. Это происходит из-за способности металла расширяться под воздействием температурных фактов. По этой причине стоматологи не советуют пациентам прибегать к современному методу реконструкции зубов.
Вкладки могут также выполнять из прессованной керамики. Из фарфора изготавливают необходимые по форме и размеру конструкции под воздействием высоких температур. В результате лабораторных работ получаются прочные и устойчивые к внешнему воздействию вкладки. По прочности они не уступают циркониевым образцам. Керамические конструкции рекомендуется использовать при значительном разрушении элементов зубного ряда.
Цирконий – еще один материал, используемый для производства вкладок. Полученные изделия по техническим характеристикам ничем не уступают фарфоровым. Их обтачивание происходит на современных станках по заранее подготовленным гипсовым моделям. Все этапы работы контролируются автоматически высокоточными аппаратами.
Культевыми изделиями разрешается восстанавливать полностью разрушенную коронковую часть при условии сохранения корня зуба. После проведенной процедуры на вкладку крепят коронку или мост
В зависимости от назначения конструкции подразделяются на восстановительные и культевые. Первые позволяют восстановить целостность коронки зуба при его здоровой корневой системе.
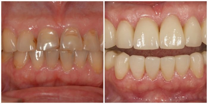
Реставрация керамических коронок
Керамические или металлокерамические протезы, выполненные из некачественного материала, могут не выдержать нагрузки, в результате чего образовываются сколы и трещины. И даже высококачественные устройства из керамики могут повредиться вследствие тяжелого механического воздействия.
Причины сколов могут быть следующими:
- некачественный материал,
- ошибка, допущенная во время изготовления изделия или протезирования,
- слишком большая нагрузка на зуб,
- несовместимость материалов,
- серьезные механические повреждения, травмы,
- привычка скрежетать зубами,
- неправильный уход за протезом.
Такая проблема, как скол, чаще всего наблюдается на каркасных изделиях, но также встречается и на безметалловых конструкциях. Реставрация поврежденной коронки осуществляется при помощи композитных средств и длится в среднем 15-20 минут. Никаких болевых или неприятных ощущений при этом не возникает.
Если скол неровный, то первым делом осуществляется сглаживание краев, обеспечивающее плотное прилегание композита. Цвет композитного вещества подбирается при помощи компьютерного моделирования. После того, как композит был правильно подобран, начинается послойный процесс реставрации.
Балочные протезы на имплантатах
Балочная фиксация – это метод несъемного протезирования зубов, предназначенный для закрепления полного съемного протеза, заменяющего все зубы одного ряда. Схема установки следующая: находящиеся в кости челюсти имплантаты объединяются металлической балкой — базой для фиксации протеза. В протезе поставлена вторая часть крепления — половина трубы – она насаживается на закругленную балку, замок срабатывает, тем самым прочно фиксируя протез во рту.



