Хронический фиброзный пульпит может затрагивать и молочные, и коренные зубы. Он считается осложнением недолеченного острого пульпита, реже прогрессирует как самостоятельное заболевание. Патология диагностируется у 70% пациентов с поражением зубной пульпы.
Фиброз характеризуется определенной симптоматикой, к которой относится тянущая боль зуба, усиление чувствительности, неприятный запах из полости рта. Данное нарушение требует срочной помощи стоматолога.
Пути развития патологии
Хронический фиброзный пульпит возникает из острой диффузной формы при вскрытии пульпарной камеры. Происходит отток экссудата – серозной или гнойной жидкости, вытекающей из тканей пульпы под действием воспаления. Узнать об острой разновидности заболевания можно в статье «Формы острого пульпита». Чтобы различить эти формы между собой, стоматологом проводится дифференциальная диагностика – способ исследования, позволяющий исключить другие болезни, неподходящие по симптомам.
Причины
Главная причина хронического воспаления — острый пульпит, реже патология развивается самостоятельно, например, первичное поражение временного зуба.
Также пульпит бывает осложнением кариеса, если у организма отмечается высокая сопротивляемость после вскрытия пульпы и выделяется большой объем воспалительного экссудата.
Самостоятельное возникновение
Самостоятельному возникновению хронической фиброзной формы способствуют низкая сопротивляемость организма негативным факторам, снижение его тонуса и ослабленный иммунитет.
Заболевание может появиться из-за ожога пульпы во время некачественной обработки зуба. Например, при неохлажденном препарировании (сверлении) кариозной области близко к пульпе, несоблюдении дозировки стоматологической кислоты или антисептического средства.
Перелом зуба в области пульпарной камеры
Диагностика
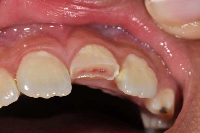
Чтобы установить наличие фиброзного хронического пульпита стоматологу необходимо провести ряд исследований. Как правило, клиническая картина заболевания предполагает наличие в зубе глубокого кариозного поражения с образованием обширной полости. Присутствует значительное количество размягченного воспалением дентина. Кариозная полость часто переходит в камеру пульпы.

Уточнение глубины и степени поражения зуба производится путем зондирования. Для осмотра стоматолог применяет изогнутый металлический зонд с заостренным наконечником. С помощью зонда врач выясняет, проникает ли кариозная полость в пульпарную камеру. Если полости сообщаются, то часто при осмотре возникает небольшое кровотечение.
Важно! Часто люди старшего поколения рассказывают об осмотре стоматолога, как о пытке, во время которой врач острым предметом так глубоко и неаккуратно обследовал зуб, что пациент испытывал нестерпимую боль. К счастью, современные стоматологи заботятся о комфорте пациента, поэтому, в случае необходимости глубокого зондирования, проводят его крайне осторожно.
Однако, всегда есть риск попасть к стоматологу, работающему по старым методикам. Особенно это относится к муниципальным медицинским учреждениям.
Резкая сильная боль при глубоком зондировании зуба, как правило, является признаком не хронического процесса, а острого пульпита. Хроническая форма заболевания предполагает, что нерв зачастую уже травмирован попаданием пищи в полость и другими внешними факторами, поэтом уже не так остро реагирует на прикосновение зонда. Стоматолог при осмотре также производит пальпацию десны, а также постукивает зондом по зубу, в котором подозревается воспалительный процесс. Как правило, ни пальпирование, ни перкуссия в таком случае не доставляют явных болезненных ощущений. Эффективным методом является проведение электроодонтодиагностики, во время которой осуществляется воздействие на зуб токами малой мощности. ЭОД позволяет не только установить наличие фиброзного пульпита, но и определить степень поражения зубных тканей вплоть до некроза и гангрены пульпы. Принцип электроодонтодиагностики состоит в разной реакции здоровой и воспаленной тканей пульпы на действие раздражителя в виде электрического тока. В процессе обследования определяется порог чувствительности рецепторов пульпы при электрическом воздействии на нее. Пульпа, не имеющая признаков воспаления, реагирует на ток 2-6 мкА. Это означает, что у пациента в ответ на раздражение током этой мощности возникает легкое покалывание в зубе. Рентгеновские снимки также являются значимыми при проведении диагностики. Хронический пульпит фиброзного типа проявляет себя на рентгенограмме наличием обширной и глубокой кариозной полости, сообщенной с камерой, где расположена пульпа. В ряде случаев можно заметить увеличенное пространство между зубным корнем и костью алвеолы (периодонтальная щель). Дифдиагностика заболевания связана с острым пульпитом, глубокой формой кариеса и хроническим гангренозным процессом в пульпе зуба. Именно от этих заболеваний хронический фиброзный пульпит отличить сложнее всего.

Чаще всего, фиброзную форму воспаления путают с острым пульпитом. В таком случае важнейшее значение играет анамнез и история болезни. Острый пульпит связан с резкой болью, которая иногда отдает в разные части головы. При хронической фиброзной форме эти симптомы либо отсутствуют вовсе, либо отмечались ранее, но уже прошли и сменились длительными ноющими болевыми ощущениями. Острый пульпит нечасто характеризуется сообщением пульпарной камеры и кариозной полости зуба. При глубоком кариесе максимальные показатели ЭОД достигают 20мкА. Все что выше – признаки пульпита разной степени тяжести. Фиброзная форма патологии занимает порог чувствительности от 35 до 50 мкА. Боль при глубокой форме кариеса быстро исчезает после того как внешний фактор (термический или механический раздражитель) перестал оказывать свое воздействие. Фиброзный пульпит характеризуется более длительными болевыми периодами, когда облегчение отсутствует, даже после устранения раздражителя извне. Дистрофические процессы, происходящие в зубных тканях, повышают порог болевой чувствительности. При развитии гангрены воздействие даже свыше 60 мкА не вызывает никаких ощущений, так как нерв теряет свою чувствительность. Гангренозный пульпит от фиброзного отличает также наличие дополнительных симптомов: появление неприятного запаха изо рта, серый оттенок зуба, разрушение тканей, доходящее до зубных каналов и резкая боль при их обследовании с помощью зонда.
Болевые ощущения
Ощущаются слабые боли ноющего и тянущего характера. Они появляются из-за реакции пульпарных тканей на следующие раздражители:
- температурные: холодную или горячую пищу, воду;
- химические: соленые, кислые, сладкие, острые продукты и напитки;
- механические: пережевывание твердой пищи, чистку зубов.
Резкая смена температурных раздражителей, холодный воздух усиливают интенсивность болевых ощущений. После прекращения действия раздражающих факторов боли не исчезают долгое время.
Резкая смена разных температур усиливает боль
Симптомы
Как правило, при обращении за медицинской помощью пациент жалуется на характерные проявления.
К ним относятся:
- постоянный неприятный запах изо рта;
- острая реакция пораженного зуба на перепады температуры, после которых боль долго не отступает даже после купирования раздражающего фактора;
- к вечеру и по ночам боль становится интенсивнее, обезболивающие средства постепенно перестают действовать;
- оттенок зуба меняется, становится сероватым;
- зуб ноет, особенно при выходе зимой на улицу или, наоборот, при входе в дом, или если в лицо дует ветер;
- трудно кушать, потому что пища — основной раздражитель, контактирует с пульпой, давит, провоцирует сильную боль;
- слабая боль может развиваться при переохлаждении ног, она сопровождается дискомфортом.
Присутствие описанной клинической картины свидетельствует о том, что требуется срочно решать проблему, в противном случае начнется нагноение с более тяжелыми осложнениями. Это сильный отек, нестерпимые болевые ощущения, воспаление. Боль может иррадиировать (отдавать) в челюстной сустав, висок, затылок. Также могут возникать перепады давления, раздражение.
Пациенты могут становиться агрессивными из-за сильной боли, которую не могут устранить даже медикаменты.

Периоды обострения
Для хронической фиброзной формы характерны периоды обострения. В такие моменты боли появляются спонтанно, независимо от воздействия раздражающего фактора. Наиболее сильные болевые приступы приходятся на вечернее и ночное время. Боли начинают «стрелять» в соседние зубы и разные области головы.
Иногда заболевание протекает бессимптомно. Такое возможно при отсутствии доступа в пульпарную камеру. Например, если глубокий кариес поразил зуб ниже уровня десны, и раздражителям не добраться через кариозную область в пульпу. Тогда признаки патологии сможет обнаружить только стоматолог на плановом осмотре.
В любом случае для постановки точного диагноза проводятся обычная и дифференциальная диагностика.
Прогноз
Редко прогноз заболевания оказывается неутешительным. Если больной своевременно обратился к специалисту, была проведена эффективная коррекция, то патология успешно поддается устранению, а зуб будет служить еще многие годы.
При ошибках врачей появляется вероятность возникновения верхушечного периодонтита. Запущенную болезнь купировать не получится, а зуб потребуется удалить.
Обострение хронической формы провоцирует вовлечение в патологический процесс других единиц зубного ряда, появление новых опасных осложнений.
Методы диагностирования
Исследование болезни начинается с опрашивания пациента. Чтобы установить диагноз, стоматологу необходимо знать, когда начались боли, какого характера, их продолжительность, другие сопутствующие симптомы, подвергался ли больной зуб лечению, есть ли проблемы со здоровьем.
После опроса стоматолог осматривает зубы, десны, внешний вид пациента, прощупывает лимфатические узлы под челюстью. При наличии кариозной области обнаруживается размягченный, серый или черный дентин. Если пульпа вышла за пределы пульпарной камеры, она имеет серо-бурый или синюшный оттенок.
Серо-черный размягченный дентин
Возможные осложнения при лечении фиброзного пульпита
Во время лечения воспалительного процесса могут возникнуть различные проблемы. Некоторые из них решаются достаточно просто, а другие являются более опасными для организма. При лечении пульпита одной из самых распространенных ошибок является неполное пломбирование зубных каналов. По существующим стоматологическим стандартам каналы должны быть запломбированы до места их физиологического сужения, которое называется апексом. В пустотах, которые образуются при недопломбировке канала, может развиться инфекция, которая потребует заново раскрывать запломбированные участки. Наиболее подвержены инфекции зубные каналы, запломбированные меньше чем на половину.
Неправильное или неполное опломбирование зубных каналов может привести к развитию инфекции, воспалению и сильным болям, что потребует дальнейшего вскрытия зубной пломбы, лечения, а возможно и удаления зуба.
Халатное отношение к работе иногда проявляет себя полным отсутствием пломбирования каналов. Недобросовестный врач может просто создать видимость проведенной работы, размазав пломбировочный материал по стенкам зубных каналов. Чаще всего, такое случается в бюджетных медицинских учреждениях. Рано или поздно такое «лечение» проявляет себя и работу приходится переделывать у более профессионального стоматолога. Иногда случается обратная ситуация, когда пломбировочный материал выводится за пределы корня зуба. Вещество может попасть в нижнечелюстной канал или в гайморову пазуху зуба, и последствия такого лечения могут быть очень серьезными. Материал для пломбирования раздражает окружающие ткани, провоцируя сильный болевой синдром. Следствием может быть развитие гайморита, или, в случае с нижней челюстью, неврита. В таких ситуациях состояние пациента может ухудшиться настолько, что возникает угроза жизни. При устранении последствий такого состояния, как правило, пострадавший зуб полностью удаляют, для эффективного доступа к излишкам введенного вещества.
Зондирование и термопроба
Если пульпы не видно, врач пуговчатым зондом проверяет наличие сквозного сообщения между пульпарной камерой и кариозной полостью. Зондирование вызывает продолжительную, неострую боль и кратковременную кровоточивость. Простукивание поврежденного зуба может не ощущаться, либо отдаваться легкой чувствительностью.
Для определения состояния пульпарных тканей проводится термопроба. Для этого в кариозную полость помещают стерильный тампон. Сначала смоченный в холодной воде, затем – в горячей. Вместо тампонов иногда используется орошение шейки зуба из шприца водой разных температур. Термопроба вызывает ноющую, долго непрекращающуюся боль, особенно на холодную температуру.
Если хронический фиброзный пульпит скрыт за здоровыми тканями зуба или пломбой, стоматолог отправляет пациента на рентген. На рентгеновском снимке должно быть заметно кариозно-пульпарное сообщение. В некоторых случаях может быть виден пародонтальный «карман» — увеличенное пространство между десной и поврежденным зубом.
Пародонтальный «карман» на рентгеновском снимке
Лечение
Независимо от формы заболевания терапия направлена на удаление нерва, последующую санацию каналов корня, пломбирование и восстановление коронки зуба. Не получится сохранить пульпу.
Терапия проводится двумя методами:
- витальная экстирпация — хирургическое удаление;
- девитальная — проведение первоначально умерщвления пучка нервов посредством специальных паст, последующая чистка каналов.
В остальном терапия патологии схожа.
Этапы действий стоматолога такие:
- Обезболивание при помощи анестетика.
- Вскрытие кариозной полости, чистка от некроза.
- Извлечение пульпы.
- Обработка корня антисептиками.
- Пломбирование специальными цементными пастами или гуттаперчами.
- Постановка постоянной пломбы.
Современные стоматологи предпочитают пользоваться гуттаперчами. Но в случае слишком узкого канала или его искривлении применяются цементные составы.
Цены
Анализ цен представлен на основании прейскуранта клиник средней ценовой категории. Точная стоимость будет соответствовать количеству корневых каналов в зубе.
Итак, цены варьируются в таких пределах:
- 1 канал — 2500 руб.;
- 2 канала — 3800 руб.;
- 3 канала — 5000 руб.
Отличия от других патологий
Чтобы отличить хроническую фиброзную форму от других заболеваний, проводится дифференциальная диагностика с помощью электроодонтометрии – определения порога чувствительности пульпы к электрическому току.
Электроодонтометрия (ЭОД) хронического фиброзного пульпита составляет 30-40 микроамперов. Глубокого кариеса – 10-12 микроамперов. Острого диффузного пульпита – 20-50 микроамперов. Хронического гипертрофированного пульпита – 40-50 микроамперов. Хронического гангренозного пульпита – 60-100 микроамперов.
Любая форма периодонтита (воспаления тканей, окружающих корень зуба) – 150-300 микроамперов. Все пульпиты отзываются болью на термопробу. При периодонтите термопроба отрицательна, перкуссия (простукивание) положительна.
Профилактика
Для профилактики проявления фиброзного пульпита требуется соблюдать простые правила гигиены ротовой полости.
К мерам профилактики относятся:
- регулярная чистка и полоскания рта специальными ополаскивателями или кипяченой водой;
- периодическое использование зубной нити для устранения мелких кусочков пищи между зубов;
- посещение стоматолога для профилактических осмотров минимум дважды за год;
- правильно питаться — обязательно каждый день включать в рацион кисломолочные, молочные продукты, обогащенные кальцием, также твердые фрукты, насыщенные витаминами и способствующие естественному очищению эмали;
- не стоит экономить на услугах врача, важно выбирать только профессиональные проверенные клиники, в которые применяются высококачественные современные материалы и способы терапии.
Редкий способ лечения
В редких случаях лечение хронического фиброзного пульпита допустимо с помощью консервативного метода. После освобождения от кариозных участков и вскрытия пульпарной камеры, пульпа обрабатывается сильными противовоспалительными и антимикробными средствами. Затем пульпарные ткани восстанавливаются гидроокисью кальция. В случае положительного результата зуб пломбируется.
Обработка зуба гидроокисью кальция
Этот способ используют, только если пациенту не более 25-30 лет и у него никогда не было проблем с иммунитетом и здоровьем. Большинство стоматологов придерживаются мнения, что при хронической фиброзной форме консервативный метод неэффективен. Чтобы не тратить зря время, нервы и деньги, лучше сразу решиться на оперативное вмешательство.
Общие сведения о пульпите
Фиброзный пульпит считается самым частым хроническим патологическим состоянием. При этом нервная ткань пульпы замещается фиброзной. По этой причине уменьшается количество чувствительной пульпы, нет резкой боли, характерной для острого воспалительного процесса. Как правило, такая ситуация развивается, когда полость с кариесом достигает камеры пульпы и становится отверстием для отведения экссудата.
Если не назначена своевременная терапия, болезнь преобразуется в гнойную, затем в периостит, начинается формирование флюса.
Хронический процесс — вялотекущий, воздействующий на нервные окончания, сосуды. Он может затрагивать временные и постоянные зубы. Обычно становится вторичной патологией, прогрессирует в молодом или среднем возрасте.
Продолжительность патологии варьируется от одного месяца до нескольких лет. В этот период начинается отмирание нервов, пульпы, преобразование ткани в фиброзную, ее активное разрастание.
Хирургическое вмешательство
Лечение хирургическим способом подразумевает ампутацию – частичное удаление или депульпирование – полное удаление пульпы.
Лечение первым способом начинается с применения сильнодействующей анестезии. Затем препарируют поврежденные кариесом участки зуба или высверливают его здоровые ткани для нормального доступа к пульпе. Образовавшуюся полость обеззараживают антисептическим средством. Вскрывают пульпарную камеру и снова обеззараживают. Удаляют ту часть пульпы, которая находится в коронковой части зуба.
Затем обеззараживают обработанную область зуба. Закрывают оставшиеся ткани пульпы специальной прокладкой. Ее заранее пропитывают в лечебном растворе, в состав которого входят антимикробные, противовоспалительные, регенерирующие компоненты. Лечебную прокладку накрывают фиксационной. Накладывают временный пломбировочный материал.
Удаление части пульпы
Лечение фиброзной формы пульпита хирургическими методами
Воспалительный процесс в тканях пульпы является необратимым, поэтому лечение предполагает использование хирургических методов, заключающихся в полном или частичном удалении пульпы.
Внимание! В некоторых источниках дается информация о возможности применения консервативных методик при лечении хронического фиброзного пульпита. Такой подход может показаться пациенту очень привлекательным, поскольку позволяет сохранить зуб «живым». Метод предполагает обработку пульпы сильными антибиотиками, которые помогают снять воспаление. Депульпация зуба при этом не проводится.
Современные стоматологи придерживаются мнения, что такой вариант лечения фиброзного пульпита имеет недостаточную эффективность. Несмотря на применение сильнодействующих антибиотиков и препаратов на основе кальция, структурные изменения пульпы являются необратимыми, и процент возникающих рецидивов очень высок. Частичная депульпация зуба возможна, но в при лечении хронического фиброзного пульпита применяется редко. Происходит это потому, что существует трудность диагностики наличия фиброзных изменений в тканях корневой пульпы, которую, при использовании данной методики, предполагается сохранить. При лечении таким способом необходима абсолютная стерильность, которую обеспечить очень непросто, а без нее невозможно избежать повторного воспаления оставшейся части пульпы. Большая вероятность рецидива инфекции заставляет стоматолога чаще применять методику полного удаления пульпы и глубокой обработки зубных каналов.
Полная депульпация позволяет полностью побороть источник воспаления тканей и эффективно купировать болевой синдром.
Депульпирование зуба – это удаление воспаленного сосудисто-нервного пучка зуба. Данная операция помогает предотвратить полное удаление зуба, а так же вылечить серьезные патологии мягких тканей зубов.
При удалении пульпы используют два основных метода:
- Предварительная девитализация нерва, которая производится с помощью закладывания в полость пасты, содержащей мышьяк или аналогичные вещества, вызывающие отмирание тканей пульпы.
- Одномоментное удаление пульпы с обработкой зубных каналов, происходящее после глубокого обезболивания области зуба.
Внимание! В силу отсутствия обстоятельного врачебного разъяснения, многие пациенты полагают, что в каналы зуба заложено некое лекарство, которое борется с воспалением до следующего приема у стоматолога. Однако, мышьяковая паста и аналоги не несет никакого лечебного эффекта и применятся с единственной целью девитализации нерва зуба. Следует отметить, что при неправильной установке препарат может быть неэффективен или доставлять боль пациенту. В таких случаях следует незамедлительно обратиться к опытному стоматологу, который, возможно, проведет коррекцию лечения.
Чаще всего, стоматолог принимает решение о полном одномоментном депульпировании зуба. В таком случае для комфорта пациента требуется эффективная и глубокая анестезия. После проведения обезболивания стоматолог извлекает верхнюю (коронковую) пульпу, а затем повторяет манипуляции с корневой частью с использованием пульпоэкстракторов. После полного удаления нерва, каналы зуба расширяют с помощью специальных инструментов с режущими гранями (файлов) и тщательно обрабатывают антисептическими препаратами. Чаще всего, при лечении хронического фиброзного пульпита требуется 1 или 2 посещения врача. Иногда клиническая картина требует применения дополнительных мер, и тогда после депульпации в каналы зуба закладывают специальные лекарства в виде антисептических паст. Ставится временная пломба, которая после завершения лечебного процесса заменяется постоянной. В таком случае может потребоваться 3 и более посещений врача.
Дальнейшие действия
Спустя положенное количество дней временную пломбу и прокладки убирают. Если разрушение пульпарных тканей прекратилось, заново обрабатывают зубную полость, накладывают прокладки. Ставят постоянную пломбу, шлифуют ее и полируют, придавая зубу нормальный эстетичный вид. Для контроля состояния пульпы придется периодически посещать стоматолога.
Если патологическое изменение пульпарных тканей продолжилось или нет возможности сохранить корневую часть пульпы, стоматолог назначает депульпирование. Эту операцию мы рассматривали в статье «Об удалении пульпы зуба».
А вам приходилось сталкиваться с этой формой хронического пульпита? Поделитесь, пожалуйста, в комментариях опытом.
Поддержите, пожалуйста, наш сайт, поставив под статьей лайк и поделившись ею с друзьями.
Симптомы заболевания
Чаще всего хронический фиброзный пульпит протекает бессимптомно. Иногда болезнь характеризуется признаками, которые легко спутать с другими расстройствами. У пациентов возникают ноющие боли в зубах от механических и термических раздражителей. Эти ощущения не пропадают после прекращения воздействия. Часто такие симптомы проявляются при изменении окружающей температуры. Резкая смена среды обитания, выход на улицу зимой из дома может спровоцировать зубную боль.
Когда кариозная полость зуба глубокая и достигает камеры пульпы, болезненный синдром проявляется умеренно. Усиление проходит только в ответ на механическое раздражение.
Хронический фиброзный пульпит имеет схожую клиническую картину при кариесе корня и в иных случаях, если кариозная полость перекрыта от воздействия различных внешних факторов. Зубная боль появляется и становится сильнее к вечеру или ночи. Это не дает возможности уснуть.
Разберемся, как усиливается боль в зубах. В зубочелюстной системе много нервных окончаний. В вечернее время активность нейронов увеличивается. Это повышает чувствительность нерва. В дневное время у человека другие заботы, поэтому он не всегда обращает внимание на боль. Ночью зубная боль активизируется, потому что замедляются обменные процессы.
Заболевание дает о себе знать при взаимодействии с температурными, химическими и механическими раздражителями. Боль имеет характер ноющей, тянущей. Интенсивность зависит от разного влияния. Спазм не уходит при ослаблении действия раздражителей. При изменении температуры ротовой полости, фиброзный пульпит тоже дает о себе знать. Чередование холодного и горячего воздуха является частой причиной возникновения болей в зубах.
Если не соблюдать гигиену ротовой полости, создаются предпосылки к развитию галитоза. Когда болезнь находится в стадии обострения, боли возникают произвольно, чаще вечером. Импульс проходит по ветвям тройничного нерва. Поэтому в это время стоит себя беречь, уделять внимание собственному здоровью. Минимизировать контакты с температурными, химическими и механическими раздражителями и поскорее обратиться к специалисту. Он окажет соответствующую помощь.
При этом специалисты не рекомендуют накладывать на щеку в месте локации болезни теплые предметы, чтобы не спровоцировать абсцесс. Гнойный процесс сложно остановить. Это нужно учитывать перед тем, как обращаться в медучреждение.
Возможные осложнения и последствия
Методика депульпации сегодня исключает проявление любых нежелательных последствий. В единичных случаях может развиться постпломбировочная боль – приглушенное неприятное ощущение при касании или жевании. Этот симптом обычно проходит через 1-2 дня.
Намного опаснее игнорирование болезни и лечения. В самом лучшем случае возникнет обострение состояния, в худшем – возможно формирование:
- кисты и флюса;
- периодонтита;
- свища;
- сепсиса;
- остеомиелита;
- абсцесса.
Важно! Только своевременное обращение к врачу и проведение лечебных мероприятий предотвратят все, перечисленные осложнения и сохранят зуб.
Отзывы
Некоторые люди считают, что зубная боль – лишь временное явление, которое легко купируется современными обезболивающими средствами. Эта иллюзия развеивается, когда боль приобретает нестерпимый характер.
Важно понимать, что даже небольшая болезненность зубов – это уже серьезный сигнал, который предупреждает о наличии в полости рта какого-либо заболевания.
Если же боль окажется признаком хронической формы фиброзного пульпита, медлить с началом лечения опасно, поскольку патология страшна своими осложнениями.
Рассказать об опыте лечения этой формы пульпита, эффективности воздействия разных препаратов и способов, вы можете, оставив комментарий к данной статье.
Если вы нашли ошибку, пожалуйста, выделите фрагмент текста и нажмите Ctrl+Enter.
Теги пульпит
Понравилась статья? Следите за обновлениями
Предыдущая статья
Секрет популярности металлокерамики Shofu Halo
Следующая статья
ProRoot МТА ― надежная защита и восстановление корневых каналов без риска отторжения
Физиотерапевтическое лечение
Такая методика может применяться и в ходе самой процедуры лечения, и после её завершения. Применять с такой целью можно, например, диатермокоагуляцию пульпы или же трансканальный электрофорез йода. В первом случае речь идёт о термической коагуляции, благодаря которой некроз пульпы происходит в максимально короткое время и угроза появления кровотечений становится минимальной. Главный плюс тут заключается в том, что не допускается дальнейшее распространение инфекции, так как, все болезнетворные организмы погибают. Трансканальный электрофорез йода используется с антисептической целью в тех местах, куда можно добраться с трудом. Это даёт возможность избежать опасности появления осложнений, например, верхушечного периодонтита.
Для снятия посттравматических болей также могут применяться и другие методы, например, такие:
- электрофорез анестетиков;
- микроволновое излучение;
- лазер;
- ультразвуковая терапия.
Как диагностируют пульпиты у детей
Развитие заболевания в детском возрасте сопровождается симптомами, похожими на острые респираторные вирусные инфекции: повышением температуры тела, учащенностью пульса, головной болью, тревожным сном, вялостью, капризностью.
При диагностике особое значение придают характеру, продолжительности, периодичности и интенсивности болевого синдрома, а также времени появления болевых ощущений. Далее, диагностика пульпита подразделяется на этапы:
- При внеротовом обследовании врач выявляет отечность, гиперемию, свищи, изменения лимфатических узлов.
- При внутриротовом обследовании оценивают состояние зубов, десен и слизистой оболочки ротовой полости.
- При рентгене изучается фуркационная и апикальная области.
Рентген обязательно назначается детям при наличии:
- любой разновидности хронических пульпитов у детей с множественными кариозными повреждениями;
- обширном разрушении зубной коронки;
- хронических пульпитов гангренозного характера и в период обострения заболевания;
- низкой сопротивляемости организма на фоне ослабленного иммунитета.
Диагностировать и лечить зубы у детей намного сложнее
При грамотном и своевременном лечении пульпита можно надолго сохранить зуб. При запущенности заболевание чревато осложнениями — периодонтитом, гнойным периоститом, остеомиелитом, которые могут отозваться тяжелыми и неожиданными последствиями. Эффективной профилактикой развития пульпитов — это ежедневный качественный уход за ротовой полостью и своевременное выявление и лечение кариозных проявлений. Даже при появлении незначительной боли следует сразу обратиться к врачу для выявления и устранения проблемы. Необходимо взять за правило регулярное посещение стоматолога не реже, чем раз в полгода.
Причины возникновения
Одной из основных причин возникновения фиброзного пульпита является прогрессирование его острой формы. В свою очередь острый пульпит возникает на фоне запущенного кариеса и его некачественной терапии или механического повреждения зуба. Кроме того, на формирование заболевания также может повлиять неэффективное лечение глубокого кариеса, неправильное наложение лечебной прокладки, плохая обработка зубных полостей. Фиброзное воспаление также может возникнуть и во временном зубе, установленном перед протезированием.
Прогрессирование заболевания сопровождается значительным разрастанием грубой соединительной ткани и редукцией лимфатического русла. Кроме того, по мере развития болезни также образуются петрификаты и дентикли.
При обнаружении острого очагового пульпита важно не допустить его перехода в хроническую форму, поскольку в этом случае лечение может быть более затруднительным.
Этиология
У детей и пациентов старше 40 лет воспаление пульпы может развиваться под пломбой или во внешне целом, здоровом зубе, что объясняется особенностями образования дентина – твердой зубной ткани, в разном возрасте. Но чаще всего хронический процесс является следствием невылеченного острого пульпита и возникает в глубоких, пораженных кариесом полостях.
Инфекция проникает в нервный аппарат одним из трех путей:
- Через отверстие в верхушке корня, ретроградно.
- С кровью через сосуды в периодонте, гематогенно.
- Из полости зуба, пораженного кариесом.
Путь инфекции от поверхности зуба к пульпе
Причины развития хронического заболевания
- болезнетворные микроорганизмы – лактобактерии, стафилококки и стрептококки, как результат перенесенного инфекционного заболевания: гриппа, ОРВИ, краснухи и т. д.;
- травма: перелом, вывих зуба или повреждение его полости при сверлении; отсутствие своевременного лечения при острой форме;
- воздействие химических веществ и стоматологических материалов: антисептиков, протравки.
Как любому органу, пульпе свойственна защитная реакция. При попадании инфекции она реагирует воспалением, что выливается в приступы сильной, пульсирующей боли – главные признаки острого пульпита.
Если пациент не обращается за стоматологической помощью в течение 24-48 часов, клетки нервного аппарата продуцируют выработку коллагеновых волокон и начинается первая стадия заболевания – фиброзный пульпит.
Схема изменений в пульпе зуба при обострении хронического пульпита
Этапы терапии
После подтверждения диагноза, стоматолог составляет план лечения. Необходимо полностью или частично удалить нервный пучок, санировать корневые каналы, запломбировать и восстановить коронковую часть. Пульпу при таком заболевании сохранить не удается.
Лечение сложное, включает множество манипуляций, поэтому больному придется прийти на прием 2-3 раза. Может проходить 2 способами:
- Витальным.
- Девитальным.
В первом случае пульпа удаляется хирургическим путем. Во втором – ее предварительно умерщвляют некротизирующей пастой и прочищаются каналы.
В остальном технология лечения проходит в такой последовательности:
- Вводится анестетик.
- Вскрывается кариозная полость и очищается от инфицированных тканей.
- Извлекается пульпа.
- Антисептиком обрабатываются канала корня.
- Закладывается лекарство в каналы для снятия воспаления.
- Ставится временная пломба.
Первая процедура длится не более 40 мин. Пациенту до даты второго приема назначается прием обезболивающих средств (если сохраняется болезненность зуба), и антибиотики (если имеется воспаление).
Во время второго посещения каналы повторно вычищаются, извлекается оставшаяся масса пульпы. Каналы повторно на 3-4 дня закрываются временным цементом. Если же воспаление отсутствует, ставится пломба постоянная.
Третья обработка каналов завершающая, анестезия перед процедурой уже не делается. По завершению чистки, каналы заполняются пломбировочным материалом.
Обязательной манипуляцией является восстановление утраченного фрагмента коронковой части.
Для этого, в зависимости от степени ее разрушения, может использоваться один из приемов восстановления:
- специальным пломбировочным материалом;
- вкладкой;
- накладкой;
- искусственной коронкой.
Дополнительно стандартный протокол лечения пульпита может сопровождаться физиотерапевтическими процедурами:
- трансканальным электрофорезом йода;
- диатермокоагуляцией нерва.
Такие манипуляции помогают предотвратить кровотечение во время удаления пульпы, имеют антибактериальный эффект и являются хорошей профилактикой воспаления периодонта.
В видео специалист более подробно расскажет о методах лечения пульпита.
Определение заболевания
Пульпа – внутренняя мягкая зубная ткань, располагающаяся непосредственно под эмалью. Она состоит из соединительной ткани, а также включает в себя нервы и капилляры. Если в зубную камеру попадает инфекция, затрагивающая пульпу, развиваются воспалительные процессы, совокупность которых называется пульпитом. В свою очередь, прогрессирование хронического пульпита характеризуется постоянством воспаления и чередованием этапов ремиссии и обострения. Развитие заболевания вызывает некроз тканей и гибель самой пульпы, а также разрушение коронки зуба.
Чаще всего хронический пульпит вызывают болезнетворные бактерии, а также токсические вещества, вырабатываемые ими в процессе жизнедеятельности.
Попасть непосредственно в зубную камеру инфекция может через кариозную полость или травматическое повреждение эмали и дентина.
Осложнения
- Периодонтит – воспаление связочного аппарата зуба;
- остеомиелит и периостит – гнойные воспалительные процессы в костных тканях;
- инфицирование корней соседних здоровых зубов;
- абсцесс, нарыв на десне и отек мягких тканей лица.
Осложнения хронических форм всегда сопровождаются сильным болевым синдромом. Опасны они и тем, что могут стать причиной распространения инфекции с током крови по соединительным тканях всего организма.
Клиническая картина
При клинических наблюдениях за пациентами с острой и хронической формой пульпита симптомы разительно отличаются. Если в первом случае без стоматологического лечения не обходится ни один пациент, то хронический процесс сопровождается периодическим появлением болезненности.
Хронический пульпит может длительное время не проявлять себя острой болью, вызывая лишь незначительный дискомфорт под влиянием холодной или слишком горячей пищей. Среди всех симптомов при хроническом течении можно отметить следующие:
- ноющая боль в зубе;
- повышение температуры тела до 37-38 градусов;
- периодическая иррадиирующая боль;
- повышенная реакция на холодную и горячую пищу:
- образование гранулемы на десне с гнойным содержимым.
Неприятные ощущения пациент особенно испытывает в вечерние или ночные часы, но боль можно купировать при местном наложении на пораженную полость зуба анальгина, лидокаина и других анестезирующих растворов.
При плановом осмотре полости рта пациента стоматолог выявляет выраженное кариозное поражение зубной полости. В основе успешного лечения лежит достоверная дифференциация хронического фиброзного пульпита от острых форм пульпита иной этиологии.
Цена услуги
Общая стоимость лечения складывается из нескольких факторов. В первую очередь она зависит:
- от вида заболевания;
- числа диагностических мероприятий, позволивших уточнить диагноз;
- применяемых при лечении материалов, препаратов, оборудования и инструментария.
Помимо этого, имеет значение квалификация врача, сопутствующие основному курсу лечения дополнительные лечебные мероприятия, консультации узкопрофильных специалистов и, конечно же, ценовая ниша, в которой работает стоматологический центр.
Определяющим фактором ценообразования является вид пульпита, т.е. стоимость услуги напрямую зависит от числа корневых каналов:
- лечение пульпита в 1-канальном зубе обойдется в 2,5 тыс. р.;
- в 2-канальном – от 4 тыс. р.;
- в 3-канальном – около 5 тыс. р.
Цены указаны с учетом того, что каналы будут обрабатываться ручными инструментами, пломбироваться по самой простой методике – холодной гуттаперчей.
Если лечение будет проводиться по новым технологиям с использованием современного оборудования и расходных материалов, конечная стоимость увеличится еще на 10-15 тыс. р. за зуб.
Ошибки в диагностике пульпитов
Ошибка в определении диагноза может возникнуть по причине:
- некорректного анамнеза;
- диагностирования после анестезии;
- неправильной оценки степени распространения воспаления;
- недооценивания болевых ощущений.
Неправильный диагноз и неправильное лечение приводят к тяжелым последствиям. На основании некорректного лечения могут возникнуть:
- обострение хронического пульпита;
- некроз пульпы;
- гангрена пульпы;
- атрофия пульпы;
- развитие хронического периодонтита;
- развитие гнойного периостита;
- развитие острого остеомиелита.
Каждая последующая стадия сопровождается отмиранием соответствующих тканей зуба.
Отзывы потребителей
Анна Евгеньева (флап.рф)
«Асепту я покупала, когда были проблемы с деснами. Средство это действительно хорошее. помогает очень быстро, и наступает облегчение, где — то после применения пару раз. Асепта это хорошее средство для десен. тюбик сам маленький, но его нужно использовать по немного, поэтому его хватает на долго. Цена вполне приемлемая».
К Калимуллина(флап.рф)
Когда мои десны были воспалены и болели что даже есть нормально не могла, доктор мне прописал адгезивный бальзам для десен. Должна сказать что он очень хорошо работает, уже после 3 применения я заметила положительные изменения, десна стали розовыми и болели меньше. Пройдя 10 дневный курс начала спать по ночам без болей.
Теперь уже через пол года можно повторить. Еще мне прописали ополаскиватель для рта Fresh, пользоваться им можно ежедневно всегда, он содержит ксилит и предотвращает появление зубного камня, приятный освежающий вкус не жжет слизистую. Фото ополаскивателя к сожалению разместить не могу, так как он закончился. Хочу приобрести данной марки зубную пасту, мне понравилась продукция этой фирмы, тем более что сами стоматологи рекомендуют.
Для точной диагностики обращайтесь к специалисту.
Как развивается хронический пульпит
Возможны 5 «сценариев» развития этого заболевания в его хронической форме:
Фиброзный
В этом варианте утолщаются и начинают перерождаться клетки нервных и сосудистых пучков. Больные ощущают тяжесть в челюсти в районе поражённого пульпитом зуба, ноющую боль при изменении температуры окружающей среды. Как это бывает в случае выхода из тёплого помещения на холод, или после принятия слишком холодного или слишком горячего напитка или пищи.
Фиброзный пульпит обратим. В случае, если за медпомощью обратились вовремя, нервно-сосудистый пучок удаётся восстановить.
В своё время стоматолог Гофунг, давая классификацию хронических пульпитов, назвал его фиброзную «простой». С чем вот уже на протяжении десятилетий не соглашаются практикующие стоматологи всего мира. Ибо такое название никак не отражает сути тех болезненных изменений, происходящих в нервно-сосудистом пучке, который проходит через каналы пульпы.
Язвенный
Характерен образованием глубоких кариозных полостей, проникающих в глубь зуба вплоть до пульпы; неприятным привкусом, который связан с активным размножением гноеробных бактерий во внутренних частях зуба. При попытке отсосать остатки пищи из зуба появляется ноющая или стреляющая боль в его глубине. На той части пульпы, которая доходит до коронок, появляются микоязвочки с гнилостным налётом.
Конкрементозный
Развивается у людей старше 45 лет или у людей с пониженной прочностью эмали зубов. Среди особенностей этих форм пульпита отмечается присутствие солей-кальцификатов, образующих микронаросты неправильной формы, служащие раздражителями пучка сосудов с нервами и вызывающие их воспаление.
Гипертрофический
Поражает преимущественно возраст до 30 лет. Гипертрофия нервно проводящего и сосудистого пучка, вызванная воспалением в острой стадии, вызывает усиленное деление клеток этого пучка, отчего в дальнейшем образуется полип в виде нароста внутри зубной полости.
Обнаруживается такой нарост во время осмотра как серовато-розовая ткань зубной полости. Для исключения путаницы этого полипа с похожим на него разрастанием десневого сосочка нужно провести ЭОД (электроодонтодиагностику), то есть измерить уровень сопротивления внутренних тканей зуба микротоками.
Гангренозный хронический пульпит
Крайняя, самая неприятная и даже опасная для состояния здоровья стадия хронического пульпита. Наблюдается полное разрушение нервно-сосудистого пучка в зубной полости, с потемнением зубных тканей, видимых даже сквозь ещё оставшуюся целой эмаль, и запахом разложившихся тканей изо рта.
Рентгенография на этой стадии выявляет пластическую деформацию верхушечного отверстия корня.
Гангренозный форма всегда чревата такими осложнениями, как:
- Периодонтит в острой форме
- Появление у основания корня зуба гранулемы.
















