Здоровье малыша во многом зависит от его развития. Родители с нетерпением ожидают первых зубов как одного из важных этапов взросления своих детей. Вместе с тем, этот особенный период в жизни грудничка пугает многих взрослых. Родители часто жалуются на капризы, плач, бессонные ночи, высокую температуру и другие проблемы со здоровьем.
Следует разобраться, какие симптомы свидетельствуют о начале роста молочного зуба. Как на фото выглядит прорезывание первого зуба? Что является нормой, а что – отклонением, и какие средства помогут облегчить состояние младенца?
Как выглядят десна при прорезывании зубов у ребенка.
За несколько суток до проклевывания зубов происходят изменения в деснах. Они становятся рыхловатыми, место прорезывания набухает и увеличивается.
Иногда наблюдаются черноватые, беловатые, синие десна при прорезывании зубов. Когда ткани воспалены, приобретают и красноватый оттенок.
При приближении зуба появляется белая точка на десне при прорезывании. На последнем этапе молочники высвобождаются из тканей. Не исключено, что ткани начнут кровить и болеть. Это вызовет сильное беспокойство у крохи.
Развитие первых резцов зачастую сопровождают зуд и боль. Для их устранения грудничок засовывает посторонние вещи в рот.
Рис. 1. Как выглядит десна при прорезывании зубов.
Кариес
Данное стоматологическое заболевание поражает человека именно в детском возрасте, поскольку иммунитет в это время еще довольно слабый. В особенности это касается тех случаев, когда ежедневная гигиена проводится неправильно, а в меню входит большое количество углеводов.
Что характерно, многие родители не обращают внимания на то, что у ребенка белые опухшие десна, а ведь это должно обязательно насторожить их. Через определенный промежуток времени зубки чернеют, появляется боль. Это свидетельствует о том, что инфекция проникла в глубокие слои ткани, и впоследствии развивается серьезное осложнение – периодонтит.
Оно проявляется в виде припухлости десны над пораженным зубом. Внутри нее скапливается гнойная масса, которая может прорвать мягкие ткани, что приводит к образованию свища.
Проблемы и пути их решения
Некоторые стоматологические проблемы можно решить самостоятельно, другие — требуют вмешательства специалиста.
Если своевременно не обратиться к доктору, возможны серьезные осложнения.
Набухание
Если распухла десна при прорезывании, это является нормальным явлением. Такое состояние наблюдается из-за повреждения ткани проклевывающимся зубом. Его нужно перетерпеть, для облегчения симптоматики родители должны обеспечить хороший уход.
Чтобы улучшить состояние младенца, рекомендуется накладывать компрессы из ромашки.
Рис. 2. Набухание десен у младенцев.
Если припухлость наблюдается не в том месте, где должен появиться первый зуб, по структуре она плотная, возможно, это киста. Без вмешательства медика не обойтись.
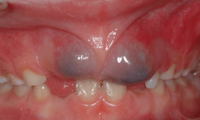
Синий оттенок
Если посинела десна при прорезывании зубов у ребенка, это говорит о повреждении капилляров, которые расположены в тканях. Если цианотичность незначительная, пройдет самостоятельно после полного проклевывания резца.
Когда посинение затронуло большую часть мягких тканей, ребенка должен посмотреть ортодонт. Скорее всего, внутри скопилась кровь, необходим надрез десны.
Рис. 3. Как выглядят десна перед прорезыванием первых зубов при цианотичности.
Белый или черный цвет
Черноватый оттенок бывает спровоцирован появлением гематомы. Когда причина кроется в этом, чернота пройдет после окончания процесса прорезывания.
Почернение наблюдается и при инфекциях ротовой полости, патогенезом которых стал неправильный уход (гингивиты и стоматиты). Чтобы избежать осложнений, рекомендуется показаться доктору.
Рис. 4. Черные пятна при прорезывании.
Обычно белесые пятна, полоски, налет являются нормой, когда зуб растет в десне. Однако нужно наблюдать за ребенком, потому что это может указывать и на более серьезные причины:
- несоблюдение гигиены — белые пятна остаются после молока, если не ополоснуть рот;
- дефицит кальция — ребенок испытывает нехватку микроэлемента при слишком молодом возрасте мамы, наличии у нее вредных привычек (при ГВ новорожденный не получает минерал в достаточном количестве);
- стоматиты — появляются на мягких тканях из-за недостатка железа, фолиевой кислоты, витаминов, при несоблюдении гигиены.
Определить точную причину может только стоматолог, поэтому малыша нужно отвести на прием.
Кровоточивость и гематомы.
Кровь, когда проклевывается молочный зуб ребенка, появляется нечасто, только если были задеты капилляры. Кровотечение, как правило, останавливается быстро. Если кровопотери незначительные, происходят редко, ничего опасного в этом нет. Однако когда патологическое состояние наблюдается слишком часто, кровь идет сильно, нужно обратиться в поликлинику.
Маленькая гематома на десне после полного проклевывания зубика рассасывается самостоятельно. Если этого не происходит, образование увеличивается, необходима помощь хирурга. Скорее всего, в тканях скопилась кровь, на них нужно сделать надрез.
Гингивит
Это еще одна причина опухания мягких тканей ротовой полости среди детей от 5 до 6 лет. Заболевание зачастую сопровождается повышенной кровоточивостью десен. Особенно это заметно, когда ребенок принимает пищу либо проводит ежедневные гигиенические процедуры. Также появляются болевые ощущения и неприятный запах изо рта. Зачастую заболевание провоцируют бактерии, которые появляются из-за зубного камня.
Опухшие десна у ребенка в этом случае – не редкость.
Топ 12 гелей для прорезывания зубов
Идет 2019 год, современная медицина не стоит на месте. Разработано много растворов и гелей для облегчения симптоматики при проклевывании резцов.
Помимо препаратов местного назначения можно использовать и комплексные средства, снимающие болезненные ощущения. Например, Нурофен для детей, Цефекон Д и т.д.
Камистад гель бэби
Производится в виде геля. Действующие компоненты: полидоканол, ромашка аптечная. Первое вещество оказывает охлаждающее воздействие, растение купирует воспалительный процесс, успокаивает десна. Перед использованием тщательно вымыть руки и выдавить на палец гель в размере горошины, нанести на десна.
Не обладает противопоказаниями, за исключением непереносимости составляющих компонентов.
Дентол Беби.
В состав геля входит бензокаин, оказывающий обезболивающее воздействие. Препарат начинает действовать моментально. Лекарство нужно использовать по инструкции, в противном случае можно спровоцировать следующие нежелательные реакции:
- ангионевротический отек;
- судороги;
- тошноту и рвоту;
- жжение;
- гипертермию.
Препарат использовать после назначения врача.
Дентол Беби применяется и при боли у взрослых пациентов.
Холисал.
Выпускается в виде геля для десен при прорезывании зубов у младенцев. В составляющие входят холин и цеталконий хлорид. Эти вещества купируют воспаление и охлаждают.
Препарат используют до 3-х раз за 24 часа. После применения нельзя пить и есть минимум 60 минут. Гель наносится тонким слоем 0,5 см на десна массажными движениями.
Желательно, чтобы последнее использование Холисала было перед сном.
Бэйби доктор «Первые Зубки».
Гель создан из экстрактов растений, поэтому не имеет ограничений в использовании, кроме непереносимости составляющих компонентов. Оказывает противовоспалительное, анестезирующее, антибактериальное воздействие. У препарата нет вкуса и запаха, поэтому проблем при применении не возникнет.
Оказывает местное воздействие и обладает низким показателем абсорбции, поэтому не влияет негативно на внутренние органы.
Калгель
Лекарственное средство можно использовать только после назначения врача, т.к. оно сильнодействующее и обладает следующими побочными реакциями:
- отечность;
- зудящие ощущения;
- анафилактический шок.
Калгель — гель для десен при прорезывании зубов. Имеет легкую консистенцию и хорошо впитывается. В составляющие компоненты входит лидокаин, оказывающий охлаждающее воздействие.
Небольшое количество препарата выдавливается на чистый палец и совершается массаж десен при прорезывании зубов. Если после первого применения охлаждающий гель не дал результата, процедуру рекомендуется повторить через 20 минут. Использовать до 6 раз за 24 часа.
Когда имеются проблемы с почками, прежде чем мазать десна при прорезывании зубов, нужно посоветоваться с доктором. Медикамент может усугубить патологию.
Дентокинд.
Производится в форме таблеток для рассасывания. Когда ребенок маленький и не умеет контролировать этот процесс, Дентокинд можно растворить в воде. Дозировка зависит от возраста и указана в аннотации. В сутки давать до 6 таблеток.
Если в течение 48 часов лекарство не дало результата, поднялась температура, прием нужно прекратить.
Пансорал «Первые Зубки».
Выпускается в виде геля, наносящегося тонким слоем 0,5-1 см на десна. Относится к гомеопатическим препаратам, купирует неприятную симптоматику уже через четверть часа после применения. Использовать до 3 раз в сутки в течение максимум 5 дней. Если после применения Пансорала эффект не наблюдается даже спустя 48 часов, нужно подобрать другой препарат.
В составляющие входит спирт, что может спровоцировать побочные реакции.
Natrabio.
Гомеопатический препарат выпускается в виде раствора для перорального приема. Разливается в ампулы по 30 мл. Состоит из растительных компонентов, не содержит спирта.
Детям старше 4 месяцев вливать под язык 0,5 мл каждые 20 минут до исчезновения беспокоящей симптоматики. Далее давать каждые 4 часа при появлении дискомфорта.
Если симптоматика не уменьшается в течение недели, обратиться к врачу для смены препарата.
Вибуркол.
Производится в виде свечей для ректального введения. В состав препарата входят только натуральные и растительные компоненты. Оказывает следующее воздействие:
- устраняет локальную боль;
- выводит токсины, что снижает негативное воздействие на организм;
- уменьшает спазмы;
- сбивает температуру;
- купирует воспалительные процессы.
Вибуркол является комплексным препаратом, который не только успокаивает прорезывание зубов, но и снимает симптоматику сопутствующих заболеваний, спровоцированных ослаблением иммунной системы.
Свечи нужно хранить в холодильнике.
Дантинорм бэби.
Является гомеопатическим препаратом и безвреден. Выпускается в форме раствора для перорального приема. Дозы распределены по пластмассовым ампулам, которые нужно вскрывать только перед применением.
Давать между приемами пищи.
Камидент.
Комбинированный препарат в форме геля назначается при проклевывании зубов и при болезнях ротовой полости. Действующие компоненты: лидокаин, тимол, ромашка. Оказывает бактерицидное, противовоспалительное, местноанестезирующее, воздействие. Способствует повышению неспецифической резистентности, ускоряет регенерацию тканей.
Из побочных реакций могут проявиться зуд и покраснение в месте нанесения.
Дентиссин.
Выпускается в форме геля для местного нанесения. В составляющие входит лидокаин, устраняющий болезненные ощущения на продолжительное время. А также экстракт ромашки, оказывающий противовоспалительное, успокаивающее, антисептическое, регенерирующее воздействие.
Количество применений в сутки и продолжительность лечения препаратом определяются врачом. Как правило, назначается 2-3 использования в день.
Рекомендации родителям
Прорезывание зубов доставляет дискомфорт не только малышу, но и родителям, которые стремятся облегчить самочувствие ребенка.
Для снижения беспокоящей симптоматики можно воспользоваться:
- препаратами, оказывающими обезболивающее и противовоспалительное воздействие;
- прорезывателями, ускоряющими появление молочного зуба на поверхности. Это игрушки, внутри которых находится гель или вода. Ребенок будет грызть прорезыватели и устраненять зуд, болезненность в области десен;
- жаропонижающими средствами для десен, которые дают при повышении температуры во время прорезывания. Непосредственно перед приемом любых лекарственных средств посоветуйтесь с педиатром для исключения непереносимости компонентов вещества;
- средствами народной медицины (используют мяту, ромашку, мелиссу, лаванду, шалфей). Лекарственные растения обладают противовоспалительным воздействием, а отвары на их основе могут использоваться для обработки десен с признаками воспаления.
Осложнения, при которых нельзя медлить с визитом к врачу, представлены образованием больших гематом, повышением температуры выше 38 градусов, образованием язв, частыми приступами рвоты или нарушениями стула, выраженным кашлем или появлением насморка, сопровождающимся выделениями слизи зеленоватого оттенка.
Нужна ли и какой должны быть диета при лямблиозе для детей? Об этом расскажет наша публикация.
Как выглядит потница у детей на фото, какое лечение требуется? Ответы на вопросы найдете в данном материале.
О причинах возникновения крапивницы у детей читайте в этой статье.
Народные средства.
Улучшить состояние могут и народные способы:
- Смешать в равных дозах котовник, мелиссу, лаванду, ромашку, первоцвет. Залить 1 ст. л. смеси 250 мл кипятка. Оставить на 30 мин. Процедить и охладить при необходимости. Давать пить вместо чая. Этот настой устраняет болезненные и зудящие ощущения.
- Приготовить настой из равного количества звездчатки, корневища лопуха, ромашки. Смазывать полученной смесью десна. Если мягкая ткань опухла, средство снимет этот симптом.
- Снять боль при прорезывании зубов можно маслом гвоздики. Смешать с любым другим растительным в пропорции 1 к 1. В средстве смочить стерильный бинт и смазывать десна.
- Давать грызть корешки цикория или земляники. Это успокаивает боль и зудящее чувство.
- Смазать раствором прополиса или мумие.
- Давать грызть охлажденное яблоко, морковь, грушу или остальные твердые овощи и фрукты.
- Смазать десна медом. При использовании этого средства убедиться, что нет аллергии. Можно нанести небольшое количество продукта пчеловодства на кожу, подождать 15-20 минут и посмотреть реакцию. Если не появились покраснение, зуд и жжение, средство разрешается использовать.
Любой рецепт способен только смягчить симптоматику при прорезывании. Если процесс сопровождается осложнениями, необходимо обратиться к врачу. Нетрадиционная медицина не способна вылечить сопутствующие заболевания.
Народные рецепты с использованием лекарственных трав должны согласовываться со специалистом, чтобы не спровоцировать неприятные последствия в виде аллергических реакций, расстройств ЖКТ, отравления.
Зубной налет
У ребенка опухла десна – что делать? Таким вопросом задаются многие родители, столкнувшись с такой проблемой в отношении их дитя. Если есть зубной налет, от него необходимо избавиться в первую очередь. Так происходит преимущественно из-за плохой гигиены полости рта (недостаточная очистка). Поначалу он имеет пока мягкую консистенцию и его довольно легко убрать зубной щеткой. Однако с течением времени он начинает минерализоваться, превращаясь в твердый налет (зубной камень). А вот его как раз обычной щеткой уже не убрать.
Тем не менее сделать это нужно по той простой причине, что из-за его наличия в тканях десен начинают развиваться воспалительные процессы. Процедура выполняется в любой стоматологической клинике. Налет убирается посредством специального ультразвукового оборудования в сочетании с полировочными щетками. Манипуляция не доставляет боли ребенку.
К тому же когда у ребенка опухла десна над молочным зубом вследствие зубного налета, такую процедуру стоит проводить не только при необходимости, но и в качестве профилактики.
Меры предосторожности
За прорезыванием молочников нужно тщательно следить, невнимательность взрослых приводит к осложнениям. Не стоит заниматься самолечением в следующих случаях:
- если симптоматика проявилась в слишком малом возрасте;
- когда в 15 месяцев нет зубов;
- появившиеся молочники чернеют и крошатся даже при соблюдении правил гигиены;
- зуб прорезался, а ребенок все равно чувствует дискомфорт, испытывает болезненные ощущения;
- верхушка резца видна из десны, но дальше не растет долгое время;
- наблюдается симптоматика воспалительных процессов (гной при прорезывании, киста и прочее).
В период прорезывания ребенок может сильно удариться челюстью, это приведет к крошению, повреждению мягких тканей, скоплению кровяных сгустков, искривлению и прочим нежелательным последствиям. При ударе существует вероятность, что верхушка молочника отпала, а корень молочного зуба остался в десне, что спровоцирует воспаление.
Десна может воспалиться и при попадании инфекции. Это требует безотлагательного визита в поликлинику.
Для избежания инфицирования нужно следить за чистотой игрушек, рук грудничка. Потому что он будет все пробовать на вкус. Попадание грязи в поврежденные ткани приведет к осложнениям, которые могут потребовать даже хирургического вмешательства.
Стоматит
Под этим термином скрываются небольшие болезненные язвочки в полости рта. В свою очередь, они могут возникать вследствие разных факторов:
- слишком кислая либо пряная пища;
- недостаток витаминов;
- получение ожога;
- аутоиммунная реакция.
Помимо этого, ребенок может случайно повредить слизистую оболочку ротовой полости, что также может привести к образованию язвочек. К счастью, в большинстве случаев их заживление происходит самостоятельно и можно обойтись без лечения. Но если стоматит не проходит долгое время, то необходимо обратиться за медицинской помощью.
Как успокоить ребенка, когда режутся зубы.
Помогут специальные прорезыватели. Особенности их производства и использования:
- некоторые модели имеют массажную вставку для мягкости применения;
- изготавливаются из материалов, которые безопасны для ребенка;
- в комплекте могут продаваться мягкие щетки, которыми чешут десна;
- рельефные выступы позволяют лучше массировать беспокоящие участки;
- прорезыватели могут иметь вид колец, заполненных охлаждающей и анестезирующей жидкостью (их держат в холодильнике);
- продаются специальные комплекты, состоящие из трех предметов различной степени жесткости для всех этапов прорезывания.
Успокоить грудничка помогает массаж десен. Для усиления эффекта можно использовать гомеопатические и медицинские препараты, настои и отвары из целебных растений.
Отвлекает и успокаивает ребенка кусание маминого пальца. Только перед этим руки нужно тщательно помыть и продезинфицировать.
Суть процесса, что происходит
Согласно наблюдениям первая пара зубов появляется уже в шесть месяцев. Но первые зубы могут прорезаться в возрасте от 4 до 9 месяцев, это нормально. Первым делом выходят передние резцы снизу, а за ними верхние. Первые моляры вылезут уже к 9 месяцам. Спустя год у малыша образуются клыки, полностью процесс формирования завершиться по исполнению трех лет.
Не торопитесь. Важно осознавать, что у каждого это происходит по-разному из-за особенностей организма. Будьте терпеливыми, пусть малыш чувствует ласку и заботу. Этот период ему пережить очень трудно. Врачи утверждают, что сложнее всего – появление нижних резцов и прорезание клыков, тех что сверху. Этот период характеризуется особым беспокойством детей, а также некоторыми осложнениями в добавок к общей картине.
На фото прорезывание верхних зубов — весьма болезненное событие в жизни любой крохи:
Когда нужно немедленно вызывать врача.
Так как иммунная система при прорезывании ослаблена, можно подхватить серьезную респираторную или кишечную инфекцию. На заболевания указывают:
- Температура от 38°. Не стоит испытывать судьбу и пытаться сбить ее самостоятельно. У грудничков температура поднимается быстро и может за 15 минут подскочить до 39° и выше, что крайне неблагоприятно сказывается на внутренних органах.
- Диарея, непрекращающаяся более 12 часов. Это патологическое состояние приводит к обезвоживанию организма, что представляет угрозу для жизни. Также необходимо вмешательство специалиста, когда стул зеленоватого оттенка, наблюдается слизь и кровяные сгустки.
- Высыпания и кровоизлияния на кожных покровах.
- Сильная одышка, выделения из носа и ушей, мокрота и другие признаки респираторных заболеваний.
При возникновении хотя бы одного из перечисленных признаков нужен вызов педиатра на дом.
Оральный герпес
Также известен как простуда. Нередко вызывает отек, а также воспалительный процесс в деснах. Возбудителем инфекции является простой герпес, легко передаваемый в ходе контакта с зараженными людьми. Помимо этого вирус способен распространяться через слюну инфицированного человека. Причем проблема может носить повторяющийся характер. В то же время у некоторых людей какие-либо признаки и симптомы могут отсутствовать.
Что характерно, лекарства от этого не существует. Поэтому родителям необходимо быть внимательными к своему ребенку: следить, чтобы он пил больше жидкости, в его рационе должны присутствовать натуральные продукты, кислых и соленых продуктов следует избегать.
Советы доктора Комаровского.
Комаровский призывает родителей, относиться к прорезыванию зубов, как к естественному явлению, а не к заболеванию. Педиатр говорит, что проклевывание резцов не провоцирует нестерпимую боль, только неприятный и надоедливый зуд.
Когда прорезывается нижний или верхний зуб у ребенка, по рекомендации Комаровского нужно вести себя следующим образом:
- стараться не использовать медикаменты, если только не поднялась температура (в этом случае рекомендуется использовать ректальные свечи, т.к. их действия хватает на дольше и они менее вредные для организма);
- чаще бывать на свежем воздухе, чтобы отвлечь ребенка;
- больше играть, чтобы малыш не думал о зубах;
- давать погрызть яблоко или морковь, но когда через десну пробьется кончик зуба, этого делать нельзя (ребенок может откусить кусочек и подавиться);
- приобрести специальные прорезыватели.
Доктор Комаровский говорит, что повлиять на скорость прорезывания никак нельзя. Нужно просто внимательно относиться к ребенку и поддерживать в сложный период.
В какой последовательности прорезываются зубки?
Прорезаются зубы обычно по определенному графику. Чаще всего они выходят парами. На фото видно, в каком порядке должны идти зубки у детей, как выглядят резцы, клыки и моляры. Рассмотрим сроки и поочередность их появления:
ЧИТАЕМ ПОДРОБНО: график-схема прорезывания зубов у детей
- первыми идут нижние центральные резцы – 6-7 месяцев;
- приблизительно через месяц прорезываются верхние передние два зубика – 8-9 месяцев;
- далее выходят верхние резцы «двойки» — 9-11 месяцев;
- после – нижние боковые резцы – 11-13 месяцев;
- первые жевательные зубы (моляры нижние и верхние) выходят в промежутке от 1 до 1,3 года;
- далее наступает время клыков — они появляются в 1,6-1,8 года;
- последними выходят вторые моляры – 1,8-2,5 года.
Эта схема лишь условна, поскольку у каждого малыша сроки могут слегка варьироваться. Детские стоматологи и педиатры рекомендуют родителям не паниковать, если у ребенка время прорезывания отличается от средних значений в ту или иную сторону на 2-3 месяца. Если же разница в сроках больше, стоит посетить специалиста, чтобы выяснить возможные проблемы.
ИНТЕРЕСНО: обзор лучших гелей для десен при прорезывании зубов у детей
Методы лечения
Если коренной зуб растет перед молочным или позади него, врач решает, что предпринять в этой ситуации, только при личном осмотре. Для выбора правильной тактики лечения важен возраст ребенка, насколько прочно молочный зуб закреплен в десен и насколько сильно уже вырос коренной, нет ли у ребенка других стоматологических аномалий или заболеваний, которые могут быть источниками этой проблемы и пр.
Обязательно прочитайте: Налет на зубах у детей: фото, чем грозит, как лечить
На основании результатов осмотра может быть принято решение об удалении молочного зуба или о продолжении наблюдения. Рекомендуем подробнее ознакомиться с удалением молочных зубов тут:
Удаление молочного зуба у ребенка: показания, последствия
В первом случае ребенку проводится местная или масочная анестезия и молочный зуб извлекается. После этого назначается посещение врача с определенной периодичностью — важно отслеживать динамику перемещения постоянного зуба в зубной ряд, и если этого процесса не наблюдается или он слишком медленный, может потребоваться ортодонтическое лечение.
В не запущенных случаях обычно достаточно ношения трейнера, подобранного по индивидуальным параметрам зубочелюстной системы ребенка. Это устройство создает нужное напряжение в зубах, что «заставляет» их перемещаться в нужную позицию.
Сопутствующие симптомы — особенности процесса
Прорезание зубов сопровождается рядом симптомов:
- десна воспаляются и разрыхляются;
- возбудимость ребенка увеличивается;
- повышается температура;
- расстройства желудка;
- насморк, а также кашель.
Рассмотрим более подробно особенности симптоматики, дабы не спутать прорезание зубов с развитие каких-либо болезней.
Воспаляется десна из-за того, что край зуба режет зубную ткань. Когда десна набухает малыш горит желанием ее почесать, поэтому и тянет все что можно в рот.
В это трудное время малыш очень капризен. Он практические не спит и постоянно плачет. Его нужно брать на руки, петь ему или просто разговаривать. Не допускайте любые громкие шумы в своем доме, выключите телевизор. Можно включить обычную, классическую музыку, дабы ребенок уснул.
Воспаленные десна могут вызвать повышение температуры. Если в течении двух дней, она держится в пределах 38,5, то это нормально. Если же она поднимается выше, а также начинается лихорадка — это означает наличие других заболеваний.
Наличие насморка и кашля тоже нормально. Происходит такое из-за выделения слюны, которая попадает в носоглотку, раздражает ее и образуется кашель. Он слегка влажный, нечастый и сопровождается выделением слюны. Нос закладывать не должно, если насморк или кашель другие – это признаки иного заболевания.
При прорезании малыш может не хотеть есть или же наступают расстройства желудка, рвота, понос и прочие. Когда процесс окончится, все придет в норму.
Если малыша кормят грудью, то он может отказаться от нее или просить еще больше. Стул усиливается или начинается понос.
Приступы рвоты не должны происходить слишком часто, если тошнота появляется при высокой температуре – это нормально. Но если вдруг усиливается или начинается фонтанная рвота – нужно срочно идти к врачу.
Сколько времени уходит на преображение улыбки
Как долго режется первый зуб, в первую очередь зависит от особенностей организма самого малыша. Сначала припухает десна – первая стадия. С этого момента может пройти до 2-х месяцев пока появится первенец.
На сам процесс прорезывания маляра может уйти от 3-х до 7 дней. Крохи в это время постоянно все тащат в рот, надавливая на проблемное место, они облегчают боль. Аккуратный массаж десны поможет устранить неприятный дискомфорт.
Можно воспользоваться массажером, который легко приобрести в сети аптек, магазинов. Гели с бензокаином и лидокаином также помогают снизить интенсивность неприятных ощущений. Но, прежде необходимо убедиться в отсутствии у малыша аллергии на действующие компоненты обезболивающих средств.
Перед использованием геля, рекомендуется поместить его в холод, благодаря нему кровообращение задерживаться и боль уменьшается.
Набухшие десна у грудничка
Когда новорожденный появляется на свет, его родителям предстоит научиться заботиться о карапузе и внимательно следить за его здоровьем. Сначала многих из них ждут бессонные ночи и колики, а чуть позже приходит пора появления новых зубов. Если грудничок капризничает, маме стоит заглянуть в рот младенца и посмотреть на его десны в ожидании первого зуба. Однако набухание десен может быть признаком не только прорезывания молочных зубчиков, но и некоторых заболеваний.
Проблемы, которые могут возникнуть с первыми зубами
В большинстве случаев проблемы первой дентации связаны с прорезыванием моляров и клыков. Первые ввиду большого размера доставляют малышу сильную боль. Трудности с прорезыванием вторых зубов обусловлены близким расположением нерва, что может спровоцировать развитие таких нетипичных осложнений, как конъюнктивит и молочница полости рта.
Нарушения срока прорезывания зубов, рождение малыша с несколькими зубками также нередко беспокоят родителей. Аномалией считается колебание времени появления зубных единиц на 6 месяцев в большую или меньшую стороны от нормы. Причины этого сбоя связаны с эндокринными, тяжелыми инфекционными заболеваниями, нарушением усвоения кальция. Не считается патологией нарушение очередности прорезывания.
Редко встречающаяся проблема – ретенция молочных зубов. Патология характеризуется невозможностью зачатка прорезаться через десну. Заболевание возникает вследствие тех же причин, что и нарушение времени прорезывания, а также травм и воспаления в челюсти. Аномалию диагностируют с помощью рентгена. На снимке можно рассмотреть глубину залегания и степень развития зачатков.
В единичных случаях встречаются такие патологии, как сверхкомплектность молочных зубных единиц и адентия. Избыточное количество молочных зубов чаще всего отмечается на верхней челюсти. Трудности в удалении лишних единиц обусловлены сложностью диагностики, глубоким залеганием и близким расположением к другим зачаткам. При полном отсутствии костной ткани требуется имплантация.
Результатом нарушения обменных процессов является гипоплазия эмали – недостаточное развитие или отсутствие защитной оболочки. При данной патологии зубы покрываются сколами, белыми и желтыми точками или пятнами с четко очерченными краями. Заболевание также сопровождается болью и повышенной чувствительностью эмали.
Гипоплазия молочных зубов – врожденная аномалия, развивающаяся в утробе матери. Патология возникает вследствие нарушения метаболизма женщины, хронических болезней и тяжелых инфекционных заболеваний, перенесенных во время беременности. Гипоплазия повышает риск развития кариеса и при отсутствии лечения становится источником инфекции, что негативно сказывается на формировании постоянных зубных единиц.
Что делать, если не растут зубы
Не у всех малышей зубки растут в соответствии с общепринятыми нормами. У некоторых они не торопятся вырастать и после года. Родителями это явление рассматривается как отставание в развитии, потому как в сравнении со сверстниками их детки кажутся неполноценными. К тому же приготовление пюре-образной пищи требует дополнительного времени и создает определенные трудности в кормлении ребенка вне дома, не имея под рукой блендера.
Если ребенок регулярно показывался педиатру и другим профильным специалистам на профилактических осмотрах, и не было выявлено никаких проблем с развитием костной ткани опорно-двигательного аппарата и скелета в целом, говорить о наличии серьезных проблем со здоровьем из-за отсутствия зубов не придется. У многих деток первый резец появляется после полутора лет.
Хотя врачи и утверждают, что нет лекарства, влияющего на сроки, продолжительность и очередность прорезывания, они не спорят с тем, что употребление в пищу продуктов, богатых фосфором и кальцием, способствует формированию дентина и зубной эмали. Поэтому родители должны проанализировать рацион питания ребенка, чтобы исключить дефицит кальция и фосфора.
Существует мнение, что для скорого и безболезненного прорезывания нужно использовать серебряную ложечку во время кормления грудничка. Поэтому для увеличения ожидаемого эффекта можно давать детский творог или рыбные блюда именно из серебряного прибора.
Важно! Прежде, чем начинать паниковать по поводу того, что молочные зубы у годовалого ребенка не спешат вырастать, нужно поинтересоваться у бабушек и дедушек, в каком возрасте появились первые резцы у родителей беззубого ребенка. Вполне вероятно, что он унаследовал позднее прорезывание.
Силиконовый прорезыватель
О том, как росли зубы у грудничков, помнят все мамы, без исключений. Это волнительный период и для малыша, и для его родителей. Снабжая ребенка безопасными прорезывателями и используя в критических ситуациях обезболивающий сироп, удастся помочь грудничку спокойнее пережить этот непростой период. Мамины забота и ласка легко отвлекут от проблемы и подарят положительные эмоции.
Как облегчить состояние грудничка, если у него опухла и болит десна?
Когда десны набухли, и проявились неприятные симптомы, на помощь детям и родителям приходит множество фармакологических новинок, которые снимают боль и дискомфорт. Можно воспользоваться рецептами народной медицины, которые помогали еще нашим мамам и бабушкам.
В первую очередь нужно обзавестись игрушкой-прорезывателем. Его предварительно кладут в холодильник или морозильную камеру — холодная резиновая игрушка притупляет боль и безопасно чешет десны.
Популярны гомеопатические препараты, которые должны уменьшать общую симптоматику.
Медицинские препараты
Препараты для детей делят на следующие группы:
- местные обезболивающие;
- комплексная гомеопатия;
- обезболивающие препараты для приема внутрь.
Местные анальгетики представлены гелями, они есть в аптечке почти у всех современных родителей. К преимуществам таких гелей относят удобное нанесение на десны, быстрый эффект и антисептические свойства. В течение первой минуты слизистая «замораживается» и становится нечувствительной. Среди недостатков отмечают кратковременность эффекта и неприятные ощущения во рту. Тем не менее, эффекта обезболивания хватает, пока ребенок засыпает.
Самые известные гели:
- Камистад Гель (Бэби);
- Калгель;
- Дентинокс Гель-Н;
- Холисал.
Гомеопатические препараты действуют комплексно. Они влияют на весь процесс в целом, ускоряют его и облегчают состояние малыша. Такие средства содержат только натуральные и безопасные ингредиенты, поэтому разрешены даже самым маленьким. Использовать их нужно четко по инструкции.
- Вибуркол — свечи;
- Дантинорм Бэби — капли (рекомендуем прочитать: состав Дантинорм Бэби и инструкция по применению);
- Дентокинд — таблетки (рекомендуем прочитать: инструкция по применению препарата Дентокинд);
- Пансорал — гель и др.
Анальгетики и антигистаминные препараты, предназначенные для внутреннего приема, назначаются только врачом. В отличие от первых двух групп, прием этих лекарств показан при наличии серьезных симптомов или осложнений:
- Капли Фенистил (с рождения) и Парлазин (после 1 года) – антигистаминные препараты. Они назначаются для снятия и уменьшения отека слизистых оболочек во рту и носоглотке, устранения зуда или жжения десен. Антигистаминные лекарства помогают уменьшить насморк и воспаление.
- При сильных болях или повышении температуры показан прием жаропонижающих препаратов (они также действуют как болеутоляющие). Подойдут детские (обязательно подходящие по возрасту) суспензии или свечи на основе ибупрофена или парацетамола (Нурофен, Панадол и др.). Перед началом приема лекарства нужно проконсультироваться с педиатром. Он оценит необходимость его использования, а также подберет наиболее подходящее средство.
Народные средства
- Чай на основе ромашки, мелиссы, лаванды и котовника успокоит малыша и уменьшит боль. Сухие ингредиенты нужно смешать в равных пропорциях. Столовую ложку готовой смеси залить стаканом кипятка и настоять 10-15 минут, затем процедить. Пить такой чай можно на протяжении всего дня.
- Крепким отваром ромашки протирать ротовую полость или делать компрессы. Если отвар разбавить водой, его можно пить в виде чая.
- Гвоздичное масло в стоматологии помогает детям и взрослым. Оно обеззараживает и обезболивает. Чистое масло гвоздики будет жечь, поэтому его нужно развести оливковым или миндальным маслом в соотношении 1,5:1. Полученным раствором обрабатывать воспаленное место.
- Для протирания или компрессов используется отвар шалфея, календулы, коры дуба. Можно использовать один компонент или приготовить смесь. Ингредиенты снимают воспаление, обеззараживают, уменьшают болевые ощущения и зуд.
Ромашковый чай очень эффективное успокаивающее средство при прорезывании зубов
Первые признаки
Симптомы могут проявиться задолго до самого прорезывания зубов (у грудничков с 3-4 месяцев), данный период характерен слюноотделением, капризным поведением, перед самим прорезанием меняется состояние десен: они могут покраснеть, опухнуть, — для наглядности ниже представлена фото-подборка, которая особо актуальна будет для молодых родителей.
На фото десна перед прорезыванием зуба и сразу после него:
Ребенок начинает тянуть в рот все что попало, различные предметы, руки и прочее. Он становится беспокойным, в особенности в дневное и ночное время суток. Это означает, что зуб приближается к слизистой оболочке и близок к тому, чтобы ее прорвать.
Далее образуется покраснение, отечность десен и наблюдается:
- выделение соплей из носа;
- нечастый кашель;
- скачки температуры.
Возможные осложнения
В некоторых случая при росте молочных зубов могут возникнуть осложнения.
Десна посинела или наблюдается легкое кровотечение, образовалась гематома или же возник отек мягких тканей. Малышу больно, он не может спать и постоянно беспокоен.
Развиваются инфекции. Их можно определить по следующим признакам:
- налет белого или серо-желтоватого цвета;
- высыпания, которые выглядят как просяные зернышки;
- небольшие эрозии.
Появление гематомы
- Образование может быть белого цвета в форме шара, иметь красный оттенок или потемнеть.
- Обычно синяк расположен на месте нового зубика. Размер до 2 см.
- Появляется гематома перед тем, как прорежется зуб, и рассасывается за 3 недели.
Обращайте внимание если:
- темные пятна появляются по всей слизистой ребенка;
- наблюдается воспаление, нагноение или инфекция на пораженных участках;
- зуд и кровоточивость десен;
- общее болезненное состояние ребенка.
В таком случае немедленно идите к специалисту, чтобы избежать плачевных последствий. Не пользуйтесь народными методами и средствами. Они неэффективны и принесут больше проблем.
Как уменьшить неприятные ощущения?
Способы уменьшения неприятных ощущений при прорезывании различны и их эффект индивидуален. Часто используются:
- специальные обезболивающие гели, содержащие различные местные анестезирующие вещества (Дентинокс, Калгель, Бободент и другие);
- прорезыватели (разные модели из мягкого пластика, наполненные водой), которые уменьшают дискомфорт, но не травмируют слизистую;
- при выраженном беспокойстве и болевом синдроме допускается применение обезболивающих препаратов с ибупрофеном и парацетамолом (свечи или сироп) в возрастной дозировке;
- применение противовоспалительных отваров лекарственных трав — обработка десны содовым раствором, отваром шалфея, ромашки или коры дуба.



















