Лечение пародонтоза в домашних условиях тоже может быть эффективным, если его правильно подобрать и использовать народные рецепты вместе с медикаментозной терапией. Дополнительные мероприятия дают выраженный положительный эффект, ускоряют выздоровление и могут использоваться в качестве профилактических мер в будущем. Из данного обзора вы узнаете, как делать полоскания с перекисью водорода при пародонтозе, использовать средство в чистом виде или с содой, лимонным соком. Обратите внимание, что перекись следует использовать по несколько раз в сутки, пока симптомы пародонтоза полностью не пройдут.
Что такое пародонтоз
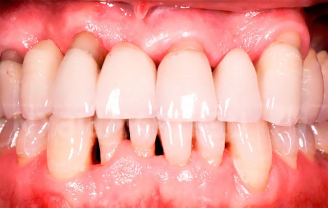
Пародонтоз-патологическое заболевание тканей, характеризующееся оголением шейки и корня зуба. В результате зубы становятся чувствительными, десна воспаляются, костная ткань теряет устойчивость, и функционирование челюсти нарушается. Система пародонта включает в себя сразу несколько групп: десна, цемент зуба, связочный аппарат, перегородки.
Заболевание разрушает альвеолярные отростки зубов. В результате страдает ткань окружающая зуб, наблюдается нарушение процесса обновления, не поступает питание и сбивается минеральный обмен.
Как перекись действует на дёсны
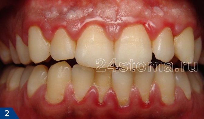
Пародонтоз приводит к патологиям костной ткани зубов, воспалительному поражению дёсен и слизистой оболочки рта. Болезнь является причиной атрофии альвеолярных отростков зубов, сопровождается постоянной болью в дёснах. Воспалительные болезни дёсен вызывают массу неприятных ощущений. При запущенных формах в дёсенных карманах образуются и скапливаются гнойные массы, из-за чего зубы становятся подвижными. Опасность в том, что без лечения человек может остаться совершенно без зубов.
Для обработки зубов и дёсен одно из наиболее эффективных средств — перекись водорода. Этот препарат зачастую используется и в государственных/частных стоматологических клиниках как антибактериальное и дезинфицирующее средство для промывки глубоких дёсенных карманов. Главным образом пероксид применяется при таких патологиях как:
- пародонтоз;
- стоматиты;
- хронический пародонтит;
- кровоточивость дёсен;
- гингивит;
- потемнение зубной эмали;
- грибковые поражения слизистой и дёсен;
- налёт на языке.
Также в стоматологической практике H2O2 хорошо зарекомендовал себя для устранения халитоза («зловонный» запах изо рта), отбеливания зубов, уничтожения вредоносных микробов и предотвращения развития кариеса. Чтобы не причинить себе ещё больший вред, нужно знать, как перекись действует на дёсны и обязательно выполнять все инструкции по использованию этого антисептика.
Традиционно препарат применяется непосредственно для обеззараживающей обработки ран. Но благодаря своим универсальным антисептическим свойствам перекись водорода используют для терапии целого ряда самых разных болезней. Дело в том, что при взаимодействии с поражёнными тканями, под воздействием фермента каталазы, происходит расщепление пероксида на молекулярный кислород и воду. Окислительный процесс образует пену, которая и очищает поражённые участки механическим путём от болезнетворных микробов и регенерирует мёртвые клетки.
Атомарный кислород стимулирует в дёснах кровообращение, а за счёт химической реакции и пенообразования, перекись нейтрализует во рту любую патогенную микрофлору, удаляет налёты с поверхности языка и эмали зубов. Препарат H2O2 уничтожает вирусы, инфекции, бактерии, грибки и прочие негативные патологии и образования.
Лечить дёсны в домашних условиях нужно с соблюдением указанных в рецептах пропорций и дозировок. В одних обстоятельствах трёхпроцентная перекись водорода используется в чистом виде, а в других с добавлением соды, уксуса, мёда, эфирных масел, соли, лимонного сока и других элементов.
Лечение пародонтоза перекисью осуществляется с помощью:
- перорального приёма;
- полоскания ротовой полости;
- массажа дёсен;
- чистки зубов;
- компрессов.
При правильном применении такая терапия даёт положительные результаты, например, при кровоточивости дёсен останавливает кровоток. Также отлично удаляет мягкие налёты с дёсен и нейтрализует кариес, причиной которого являются бактерии (в частности стафилококк).
Стадии развития пародонтоза
- Начальная стадия. В этом случае костная ткань нарушается не более чем на 25%. На этом этапе диагностировать заболевание сложно, так как симптоматика весьма размыта. Первые признаки больной ощущает, чувствуя зуд в деснах и повышенную чувствительность. Начальная стадия не деформирует зубы и не делает их подвижными. Если патология диагностируется на данной стадии, зубы пациента можно спасти терапевтическими процедурами и медицинскими препаратами.
- Средняя стадия. Костная ткань повреждается на 50%. Зубы находятся в нормальном положении, но десна постепенно оголяет шейку. Чаще всего болезнь прогрессирует из-за несвоевременного лечения. На этой стадии чаще всего требуется хирургическое вмешательство для восстановления прежнего состояния десен.
- Поздняя стадия. К этому времени зубы обретают подвижность, часто кровоточат десна, образуются оголенные карманы, зачастую с гноем. Лечение проводят комплексно, в первую очередь необходимо избавить пациента от чувствительности и кровоточивости. Запущенная болезнь может стать причиной выпадения зубов, в результате потребуется операция по восполнению ряда.
Противопоказания и возможный вред
Противопоказаний к местному применению у препарата нет. Главное — следить за рекомендуемой дозировкой. Если вы будете применять более концентрированный раствор в надежде, что так болезнь отступит быстрее, вы ошибаетесь. Таким образом вы можете вызвать ожог слизистой ротовой полости, что ухудшит ваше состояние. Особенно это актуально при тяжелой форме заболевания, когда болевые ощущения имеют ярко выраженный характер.
Внутренний прием нужно проводить с осторожностью, обязательно посоветуйтесь с лечащим врачом. Не рекомендуют такой способ терапии беременным и кормящим женщинам, а также людям, которые перенесли операции по трансплантации органов и тканей.
Причины появления пародонтоза
Пародонтоз-заболевание, которое не имеет точных причин появления, развитие часто начинается из-за других патологических процессов в организме человека.
Специалисты выделяют ряд возможных предвестников заболевания:
- проблемы с сердечно-сосудистой системой, нарушенное кровообращение может привести к ослаблению десен и дальнейшему выпадению зубов;
- патологи костной структуры;
- эндокринные заболевания, в частности-гормональные нарушения, в группу риска входят люди с сахарным диабетом;
- неврологические заболевания;
- сниженный иммунитет;
- наследственность.
Не малую роль играет образ жизни человека. Соблюдение гигиены ротовой полости и отсутствие вредных привычек помогут избежать нарушения функционирования зубов и десен. Пародонтоз относится к системным заболеваниям и может возникать в любом возрасте. В результате осложнений заболевание ведет к серьезным последствиям-потере зубов.
Минусы метода
Несмотря на то, что плюсы использования перекиси при воспалении десен весьма очевидны, минусов гораздо больше. Пероксид водорода воздействует на микробы, причем как на плохие, так и на хорошие, устраняя заодно и их – нарушается микрофлора полости рта, а также кислотный и щелочной балансы. При неправильно подобранной консистенции и слишком частом использовании перекиси можно получить ожог эмали и десен.
Ожог эмали и десен
Абсолютно неприемлем прием раствора внутрь. Зарегистрированы случаи поражения желудочно-кишечного тракта.
Симптомы пародонтоза
Симптоматика пародонтоза различается в зависимости от стадии заболевания.
Начальная стадия протекает с наличием минимальных признаков, среди которых:
- небольшая атрофия тканей десны, которая постепенно разрастается;
- частичное оголение шейки зуба;
- боль на первой стадии не присутствует, но пациенты отмечают чувствительность зубов;
- на рентгене заметно повреждение костной ткани.
Начальная стадия требует особого внимания, так как несвоевременное лечение может привести к прогрессированию болезни.
Средняя стадия пародонтоза характеризуется такими симптомами:
- корень зуба оголяется на 2-4 мм;
- подвижность зубов;
- фронтальные сегменты тканей веерообразно расходятся;
- чувствительность к горячему и холодному;
- на рентгене заметно существенное поражение костной ткани.
Симптоматика тяжелой степени:
- корневая система зуба поражается на 5-6 мм;
- между зубами заметны существенные промежутки;
- атрофия поражает большую часть корня;
- зубы начинают шататься;
- деформируется прикус;
- на рентгене заметно разрушение костной ткани больше, чем наполовину.
Что запомнить
Перекись водорода при пародонтозе применяют как наружно, так и внутрь. При лечении этим препаратом очень важно соблюдать дозировку. Самые безопасные способы использования пероксида — полоскания и протирания десен ватным тампоном. Также можно пару капель средства добавить в зубную пасту при чистке зубов. Перекись водорода эффективна на начальной стадии заболевания, в качестве сопутствующей терапии или для профилактики болезни. В запущенных случаях она будет малоэффективной. Пародонтоз — серьезное заболевание, которое при отсутствии надлежащего лечения чревато потерей зубов. Поэтому, чем раньше вы обратитесь к врачу, тем выше шансы сохранить зубы.
Пожалуйста, поддержите проект — расскажите о нас
Диагностика пародонтоза
Для того чтобы назначить лечение врачу необходимо провести диагностику и собрать информацию по состоянию зубного ряда пациента.
Задачи стоматолога:
- изучить симптомы, на которые жалуется пациент;
- исследовать общее состояние пациента и наличие других хронических заболеваний;
- установить стадию развития пародонтоза;
- изучить степень поражения десен и корня зуба.
В качестве вспомогательных методов диагностики применяются:
- реопародонтография. с её помощью диагностируется заболевание на первой стадии развития;
- полярография рассчитывает количество доступного кислорода в деснах;
- использование рентгена позволяет установить степень поражения зубного канала и корня;
- для диагностики тяжелой формы назначается анализ крови.
Польза перекиси водорода при пародонтозе
Чаще всего пародонтоз является следствием заболевания внутренних органов, нередко развивается на фоне различных патологий. Определенную роль играет в этом наследственность и такие заболевания как атеросклероз, сахарный диабет, проблемы ЖКТ, нехватка витаминов и другое.
Перекись водорода при пародонтозе — одно из популярных терапевтических средств. Напоминаем, что самолечением заниматься не стоит. Не нужно возлагать большие надежды на подобную терапию — она эффективна на начальных стадиях как сопутствующее средство или в качестве профилактической меры. При ненадлежащем лечении заболевание неизбежно приводит к потере зуба. Перекись водорода используют для лечения пародонтоза Лечение кровоточивости десен перекисью водорода в равной степени применяется как в народной медицине, так и в специализированных клиниках. Такая терапия не требует больших денежных затрат и помогает достичь отличных результатов.
Профилактика пародонтоза
Профилактика любого заболевания ротовой полости подразумевает регулярное внимательное отношение не только к зубам, но и другим органам человеческого тела.
- каждые полгода следует посещать стоматолога;
- при наличии: дискомфорта, покраснений и кровоточивости десен необходимо начать лечение и не запускать эти процессы;
- ежедневно чистку зубов проводят 2 раза в день подходящей зубной пастой и щеткой;
- для укрепления десен проводят специальный массаж;
- налет и зубной камень необходимо регулярно удалять;
- здоровый образ жизни и отказ от курения и алкоголя позволяют минимизировать риск болезней зубов;
- специалисты рекомендуют употреблять продукты с высоким содержанием кальция и белка.
Показания и противопоказания
Перекись водорода – дешевое эффективное средство от целого ряда заболеваний. Ее используют в терапии:
- пародонтозов;
- стоматитов;
- грибковых поражений слизистой, десен;
- налета на языке;
- неприятного запаха изо рта.
Но учтите, что пероксид не является универсальным средством от всех болезней и у него есть противопоказания. Полоскания, компрессы нельзя использовать при:
- запущенном глубоком кариесе;
- большом количестве пломб;
- запущенных стадиях пародонтита, сопровождающихся усиленной кровоточивостью десен;
- нарушениях целостности зубной эмали.
Регулярное использование перекиси неплохо справляется с задачей осветления зубной эмали.
В возрасте до 12 лет применять вещество также нельзя. Если вы сомневаетесь в целесообразности терапии перекисью водорода конкретно в вашем случае, рекомендуем предварительно проконсультироваться с лечащим врачом.
Уход за полостью рта при пародонтозе
Пародонтоз (лечение в домашних условиях допустимо лишь на первых стадиях) требует ежедневного и правильного ухода при помощи дополнительных средств. В первую очередь следует подобрать мягкую зубную щетку и подходящую пасту. Выбирая пасту необходимо обратить внимание на состав продукта, в нем обязательно наличие растительных компонентов.
Зубы чистят дважды в день, процедура не должна занимать менее 4 минут. Для дополнительной защиты применяют ополаскиватели, основанные на травяных сборах. Безопасная чистка зубов проводится щеткой длиной до 2,5 см и шириной до 1 см. Щетинки должны располагаться в три ряда и иметь мягкую структуру.
Перед каждым использованием щетку обрабатывают в горячей воде с мылом. Данная процедура позволяет убить находящиеся на ней микробы.
Важно помнить о правильной чистке зубов, чтобы не навредить воспаленных деснам. Чтобы не заталкивать пищу в глубину зубов, следует верхний ряд чистить сверху вниз, а нижний наоборот. Язык и щеки также подвергаются чистке. Эти органы собирают на себе основную часть налета.
Заканчивать процедуру стоит полосканием рта теплой водой. Правильная гигиена позволяет избежать скоплению зубного камня, который собирает на себе болезнетворные бактерии.
Для лечения пародонтоза назначаются специальные зубные пасты. Специалисты не рекомендуют покупать первое попавшееся средство, которое рекламируют производители. Покупать средство стоит лишь в аптеках, обращая внимание на средства с травяным составом.
Лечение не проводят лишь при помощи паст, так как они являются лишь дополнительным элементом гигиены, помогают убрать неприятный запах, укрепить десна и снизить кровоточивость.
Помимо трав в состав зубных паст для лечения пародонтоза должны входить:
- тетрапирофосфат калия. Он помогает убрать зубной камень и налет;
- нитрат калия-действует на зубные каналы и снижает чувствительность;
- хлорид стронция-укрепляет десна, снижает кровоточивость и чувствительность.
Способы применения
Залог успешного лечения пародонтоза – тщательная ежедневная гигиена полости рта. Зубы чистят в течение 5 минут дважды в день, желательно с применением специальной пасты, после чего используют ополаскиватели, успокаивающие десна, и зубные нити. Антипародонтозные зубные пасты сами по себе не помогут вам полностью забыть о недуге, но существенно ускорят процесс выздоровления.
При повышенной кровоточивости десен и неприятном запахе изо рта нужно правильно выбирать зубную щетку – она должна иметь ворсинки средней жесткости.
Основные способы применения перекиси:
Больше полезной информации о домашних методиках устранения пародонтоза смотрите на видео
Методы лечения пародонтоза
Методы лечения зависят от тяжести заболевания, зачастую проводится комплексная терапия с использованием медицинских препаратов, диеты и народных средств.
Правильное питание
Главной профилактикой пародонтоза является наличие крепких и здоровых десен. Необходимо придерживаться правильного рациона и употреблять твердую пищу. Понятие «твердая пища» не означает, что нужно кушать орехи и раскусывать скорлупу, такое питание лишь навредит зубам.
Правильное питание — залог успешного лечения и профилактики пародонтоза
Пародонтоз (лечение в домашних условиях возможно в результате изменения питания) допускает употребление таких продуктов:
- морковь;
- яблоки;
- капуста;
- огурцы;
- другие овощи и фрукты.
Важно правильно научиться пережевывать пищу, распределяя нагрузку равномерно на все зубы. Таким образом, вся ротовая полость задействована в процессе работы, что позволяет качественно измельчить пищу, облегчая работу желудка.
Пища, наполненная клетчаткой, действует на десну как «тренажер», а также обеспечивает организм необходимыми микроэлементами и витаминами. Так как пародонтоз часто повреждает зубы, важно включать в рацион продукты с кальцием. К ним относится молочная продукция: сыр, молоко, творог, сметана, кефир. Для качественного лечения желательно избегать продуктов с наличием сахара.
Не малую роль играет общее укрепление организма. Поэтому необходимо восполнять запас витаминов, особенно группы С. Нужно стараться ежедневно употреблять цитрусовые.
Специалисты рекомендуют обратить внимание на пищу богатую витамином А, Е, бета-каротином и другими минералами. Следует придерживаться правильного рациона, расписать план питания на неделю с равными порциями, дабы избегать переедания.
Напитки
Правильное питание не ограничивается лишь приемом пищи, так как питьевой режим играет не меньшую роль. Одними из полезных напитков считается: натуральный сок и зеленый чай. Используя соки, следует помнить, что допустимо небольшое количество разбавленного напитка, так как концентрированный продукт может разъедать эмаль.
Чтобы не провоцировать обострение пародонтоза желательно отказаться от кофейных продуктов и черного чая. Под запретом стоят и газированные напитки из-за высокого содержания кислот и сахара. Разрешается добавлять в лечение отвары и настойки на основе трав и лекарственных растений.
Запрещенные продукты
В первую очередь из рациона исключается сладкая пища: конфеты, выпечка, печенье, шоколад и сахар. Особое внимание следует уделить продуктам, которые липнут к зубам, они задерживаются во рту и провоцируют образование зубного налета.Стоит свести к минимуму употребление белого хлеба и булочек. На замену подойдет хлеб из муки грубого помола.
Полоскания
Стоматологи выделяют ряд популярных средств для полоскания рта:
- Мирамистин 0,01 %. Препарат выпускается в виде жидкости и продается в свободном доступе. Хорошо борется с воспалительными процессами, заживляет раны, предотвращает кровоточивость десен и укрепляет их. Полоскание раствором проходит в течение 10 дней по 2 раза. Цена от 200 руб;
- Хлоргексидин 0,05%. Данное средство обладает антисептическим действием и применяется для лечения многих заболеваний. Полоскание назначается дважды в день. Длительность лечения-не более 10 дней. Цена от 25 руб;
- Полоскание при помощи кипяченой воды и масла бергамота. Такая процедура снимает боль и воспаление. Желательно проводить полоскание 3-4 раза в день пока не появятся эффект;
- Стоматофит. Препарат, который используют для снятия воспалительных процессов и уничтожения бактерий. Настойка разводится в соотношении 1:5. Полоскать рот следует дважды в течение дня на протяжении 11-15 дней. Цена от 380 руб;
- Хлорофиллипт. Главным компонентом препарата является эвкалипт, который лечит ротовую полость и горло. Настойку используют на первой стадии пародонтоза. Для полоскания подходит 1% спиртовой раствор. Необходимо размешать 3 ч. л. препарата в воде. Процедуру проводят 3-4 раза в день на протяжении 14 дней. Цена от 109 руб;
- Тантум Верде. Снимает воспаление и отечность, выпускается в форме таблеток и раствора для полоскания. Для полоскания необходимо размешать раствор с водой в соотношении 1:1. Полоскание проводят по 3 раза на протяжении 8-15 дней. Цена от 205 руб;
- Раствор на основе соли. Для получения лекарственного средства берется 3 ч. л. соли и 2 ст. л. березовой золы. Ингредиенты смешиваются с водой. Таким раствором проводят чистку зубов 1 раз в день. Курс лечения-от 9 до 14 дней. Раствор укрепляет десна и зубы, устраняет зубной камень и борется с налетом;
- Зубная паста из сока лимона и соды. Ингредиенты: 3 ч. л. соды, 12 капель сока лимона, 10 капель перекиси водорода. Соду следует погасить лимонным соком. Остальные ингредиенты смешать и полученной пастой чистят зубы. Желательно оставить раствор на зубах в течение 10-15 мин. После чистки зубов не желательно пить и употреблять пищу на протяжении получаса. Курс лечения – 2 недели.
Перекись водорода и сода для лечения пародонтоза в домашних условиях
Перекись водорода имеет выраженные противовоспалительные свойства, улучшает процессы кровоснабжения в тканях, снабжает клетки кислородом. Использовать ее можно внутренне и наружно – в виде полосканий, вместе с зубной пастой, для массажа десен. Также раствор перекиси (капля 3% препарата на 100 мл воды) принимают внутренне на пустой желудок трижды в сутки. Делайте два курса, каждый по 10 дней с перерывами по 3 дня.
Массаж с 15-20 каплями на 15 мл воды делается в самых запущенных случаях – в растворе смачивают тампон и обрабатывают десна по несколько минут в день. Курс лечения может составлять до 30 дней. Достаточно удобно добавлять средство в зубную пасту – для усиления антипарадонтозного эффекта достаточно 2-3 капель. Щетку используйте с щетиной средней жесткости и специальными массажными вставками.
Не превышайте дозировки при лечении перекисью и ни в коем случае не используйте раствор в чистом виде.
Лекарственные препараты
В первую очередь специалист назначает использование антибиотиков для уничтожения бактерий и снятия воспалительного процесса.
В таблице приведены самые эффективные препараты:
| Название | Описание | Курс лечения |
| Метронидазол | Применяется для лечения и профилактики многих заболеваний. Цена от 140 руб. | 1 таблетка трижды в день. Длительность лечения 14 дней. |
| Доксициклин | Антибиотик, применяющий для различных инфекций, в том числе и ротовой полости. Цена от 35 руб. | |
| Каротиноли М | Насыщает десна витамином А, укрепляет и противостоит воспалительному процессу. Выпускается в капсулах. Цена от 550 руб. | 7 капсул каждый день на протяжении 1-2 месяцев. |
| Троксевазин | Регулирует кровообращение, укрепляет пародонт, убирает воспаление. Цена от 150 руб. | Гель наносят 2 раза в день на пораженные участки. Длительность лечения от 7 дней. |
| Гепариновая мазь | Положительно влияет на кровообращение, укрепляет ткани десны и околозубные промежутки. Цена от 86 руб. | Мазь наносится на десну 2-3 раза в день. Длительность лечения зависит от скорости заживления десен, обычно составляет не более 10 дней. |
Какие витамины выбрать при пародонтозе
Для лечения пародонтоза могут использовать не только лекарственные растения и аптечные препараты. В комбинации с гомеопатическими средствами используются витамины.
Внимание! Применять витамины при лечении пародонтоза особенно эффективно на начальной стадии его развития.
Чаще всего назначают такие витамины и микроэлементы:
- Витамин В1. Он оказывает лечебный эффект при условии, что пародонтоз возник на фоне остальных болезней (сахарный диабет, болезнь Боткина, патологии нервной системы, язва желудка). Его действие сводится к улучшению. Обмена веществ и трофики пародонта. Принимать по 0,005-0,01 г в сутки. Общий курс составит 30-40 дней.
- Витамин С. Он эффективен при кровоточивости десен. Прием вести после еды 2-3 раза в сутки.
- Витамины В6 и В12. Их назначают в виде уколов тем пациентам, у которых пародонтоз возник на фоне сахарного диабета, неврастении или патологий пищеварительной системы.
- Витамин А. Служит для восстановления тканей десен. Длительность лечения 21 день, суточная дозировка – 40 капель.
- Витамин Е. Он нормализует окислительные процессы в организме. Суточная норма составляет 50-100 мл масляного раствора.
- Фолиевая кислота. Она нормализует обменные процессы в организме.
- Бета-каротин. Оказывает иммуностимулирующее и антиоксидантное влияние.
- Кварцетин. Купирует кровоточивость десен, воспаление и оказывает антиоксидантное действие.
- Цинк. Восстанавливает ткани организма, устраняет воспаление, восстанавливает защитные силы и оказывает антиоксидантное влияние.
- Кальций. Насыщает ткани зубов и костей.
- Селен. Купирует воспаление, является иммуномодулятором и антиоксидантом.
Пародонтоз – это неприятное заболевания, характеризующееся воспалением десен. Из-за этого человек не может полноценно кушать, пить и вести привычный образ жизни. Лечение носит комплексный подход, так как важно избавиться не только от симптоматики, но и устранить причину патологического процесса. И, главное — не запускать болезнь.
Народные методы
Пародонтоз (лечение в домашних условиях народными средствами описано далее) подразумевает использование продуктов с целебными свойствами:
- Настойка с миррой. Для приготовления необходимо взять 20 г сушенного растения, 70 г винного спирта, 20 г ложецницы, 20 г свежих листьев малины, 10 г мяты. Все ингредиенты смешиваются в стеклянной бутылке и настаиваются в течение 3-х суток. После процеживания настойкой поласкают рот в течение 2-3 недель.
- Раствор из чая и чеснока. Необходимо: 3 ч. л. чая и 4 ч. л. мелко порезанного чеснока. Ингредиенты заливаются кипятком и настаиваются в течение часа. Перед применением раствор следует процеживают. Полоскать рот рекомендуется дважды в день по 5-7 мин. Полоскание проводят после чистки зубов. Длительность лечения-2 недели.
- Соль и мёд. Необходимо взять 25 г мёда и 15 г соли. Ингредиенты тщательно перемешиваются до растворения. Из смеси формируются комочки, которыми следует натирать десна 3-4 раза в день на протяжении недели. При необходимости через неделю курс лечения повторяют.
- Пихтовое масло. Для применения к пораженной десне прикладывают ватный диск, смоченный в масле на 15-20 минут. Проводят процедуру 3 раза в день на протяжении недели. При необходимости курс лечения повторяют дважды в год.
- Настойка прополиса. 25 капель настоянного прополиса следует развести в стакане с теплой водой. Полоскать рот необходимо дважды в день до появления результатов.
- Лепестки роз. Необходимо растворить 30 капель настоянных лепестков розы и в стакане с водой. Полоскать следует несколько раз в день до улучшения состояния десен.
- Популярным и действенным средством является полоскание корой дума. Настойка готовится таким образом: 2 ст. л. измельченной коры заливаются водой и отправляются на огонь. После закипания настойку держат на огне 10 минут, затем оставляют остывать и настаиваться на полчаса. Перед полосканием отвар процеживают. Процедуру выполняют 3 раза в день по 3-5 минут. Курс лечения зависит от тяжести заболевания, рекомендуют полоскать рот до полного выздоровления.
Как лечить и правильно обрабатывать
Для удаления сильных отложений перекисью водорода используются разные рецепты. Рассмотрим самые популярные.
Полоскание
Первый – полоскание ротовой полости раствором пероксида. Чтобы данные процедуры не навредили вам, готовьте средство строго в соответствие с дозировками – 100 мл чистой воды и до 30 мл перекиси 3%. Слишком долго раствор взаимодействовать с зубами не должен, поэтому полощите рот до трех раз в день не дольше 10 дней. Перед процедурой убедитесь в том, что вы сделали раствор правильно.
Чистка десен и зубов
Второй способ – чистка пероксидом. Он показан в том случае, если налет очень сильный. Специальная смесь делается из равных частей ромашкового отвара, зубного порошка, перекиси водорода. При сильной кровоточивости чистить зубы перекисью не рекомендуется. Для отбеливания эмали пероксид смешивают с пищевой содой в равных пропорциях, смягчают смесь обычно маслом эвкалипта (это необязательно). Данной пастой нужно почистить зубы разово – обычной щеткой либо ватным тампоном. Также вы можете делать раствор перекиси 3% в тех же пропорциях, как для полосканий, наносить его на ватный диск и массировать десна.
Во время использования перекиси не забывайте о том, что она оказывает воздействие на кислотно-водный баланс, поэтому пользоваться указанными рецептами (особенно для отбеливания) следует не чаще раза в месяц.
Самым щадящим способом считается добавление небольшого количества перекиси в зубную пасту (лучше использовать лечебно-профилактические средства, такие как Пародонтакс или Пародонтол) – 1-2 капли на порцию стоматологического средства. Полоскания, чистки следует делать после еды. Перед тем, как полоскать ротовую полость раствором перекиси, рекомендуется почистить зубы или как минимум воспользоваться обычным ополаскивателем. Внутренне раствор 3% из расчета 1 капля на 50 мл принимается только на голодный желудок за полчаса до еды. После приема пищи его тоже использовать можно, но минимум через 2 часа.
С полосками не усердствуйте – даже самый слабенький раствор, если использовать его чаще трех раз в день, может повреждать эмаль и вызывать общую интоксикацию организма. Также в первые дни лечения может наблюдаться незначительная тошнота, расстройство желудка, кожные высыпания (в норме эти симптомы быстро и самостоятельно проходят). 10 дней активной терапии, как мы уже писали в предыдущем пункте, достаточно. Можно повторить аналогичный курс спустя 3 дня.
Прочие методы
Одним из популярных методов лечения и диагностики пародонтоза является массаж. С его помощью можно усилить кровоснабжение и ускорить движение лимфы.
Массаж можно выполнять в домашних условиях, для этого не понадобится вспомогательных средств. Направление берется от челюсти к её краям. При использовании для лечения мазей и гелей массаж можно совместить с втиранием препаратов. Регулярное выполнение процедуры положительно сказывается на здоровье десен, снимает зуд и боль.
Следует помнить, что массировать десна следует аккуратно, без надавливания.
Массаж выполняется круговыми движениями, обычно вторым и третьим пальцем. Не рекомендуют проводить процедуру людям с запущенной болезнью, так как существует риск вызвать сильное кровотечение.
Как использовать перекись при пародонтозе
Лечение пародонтоза в домашних условиях с помощью перекиси водорода предполагает несколько методик: пероральный прием, полоскания, протирание десен. Местные способы применения абсолютно безопасны и не вызывают никаких побочных действий. В некоторых случаях можно капнуть немного средства прямо на зубную щетку с пастой перед гигиенической процедурой.
Прием внутрь
Если вы решили использовать пероксид для внутреннего приема, ознакомьтесь с несколькими простыми правилами:
В чистом виде препарат принимать ни в коем случае нельзя. Его необходимо размещать в чистой воде. Для этого не подойдет минералка — использовать нужно только кипяченую воду. Прием лекарства нужно проводить за 30 минут до приема пищи или через 1,5 часа после еды. На первых этапах терапии возможно появление легкой сыпи на коже, небольшое расстройство желудка и легкая тошнота. Стандартно эти побочные действия проходят уже на 2−3 день. Если же этого не произошло, лечение пероксидом необходимо прервать.
Ингредиенты:
3% перекись водорода — 1 капля. Вода — 50 мл.
Как приготовить: Смешайте компоненты.
Как использовать: Принимайте трижды в день. Длительность терапии — 10 дней. Затем сделайте перерыв в 3 дня и снова повторите курс.
Результат: Обеззараживает вредные микроорганизмы в пародонте (ткань, удерживающая зуб). Избавляет от кровотечения, способствует заживлению ранок и язв.
Фитотерапевты рекомендуют совмещать прием перекиси с витамином С (аскорбиновая кислота). Он способствует более быстрой доставке кислорода в клетки организма.
В последнее время все больше положительных отзывов получает методика лечения пародонтоза перекисью водорода по Неумывакину. Профессор Иван Неумывакин, до сих пор не получивший одобрение своего учения коллег по медицинской сфере, но тем не менее его метод становится все более популярным среди пациентов.
Рецепт лечения пародонтоза перекисью водорода по Неумывакину отличается от вышеописанного. Длительность одного курса — 20 дней. Начинайте принимать по 1 капле пероксида, разведенной в ¼ стакане воды, утром натощак. Ежедневно увеличивайте количество лекарства на 1 каплю. Таким образом доведите ежедневный прием до 10 капель. На протяжении следующих 10 дней пейте по 10 капель, затем сделайте перерыв в 10 дней и снова приступите к лечению. Дозировка после перерыва составляет 10 капель. Ни в коем случае нельзя увеличивать количество лекарства.
Полоскание
Полоскать рот перекисью водорода нужно раствором комнатной температуры.
Ингредиенты:
3% перекись водорода — 10 капель. Вода — 100 мл.
Как приготовить: В воду добавьте пероксид и размешайте.
Как использовать: Полощите полученным раствором десны 3−4 раза в день.
Результат: Снимает зуд в деснах, останавливает кровотечение.
Протирание
Рецепт протирания десен перекисью водорода при пародонтите и пародонтозе очень простой. Для этого достаточно пропитать средством стерильный ватный тампон и аккуратно обработать им десна со всех сторон. Процедуру проводите 3−4 раза в день. Эти манипуляции способствуют укреплению десен и снижению кровянистых выделений из пораженных участков. Препарат обладает тромбообразующим действием, тем самым уменьшая кровоточивость десен. Курс лечения — 1 месяц.
Осложнения
Запущенный пародонтоз может привести к таким последствиям:
- затрудненное пережевывание пищи;
- в образовавшиеся просветы между зубами попадают микробы, так как участок постоянно загрязняется остатками пищи;
- инфекция от зубов переходит по всему организму, попадает в желудок, кишечник, печень, бронхи и легкие, в результате чего повышается риск воспалений;
- болезнетворные бактерии попадают в кровь, вызывая общую интоксикацию организма;
- пациента часто мучают головные боли, слабость, повышенная температура;
- может стать причиной сердечных и почечных заболеваний;
- ослабленный иммунитет в результате течения болезни может привести к воспалению челюстной кости, развитию пульпита, абсцесса;
- из-за повреждения тканей больной зуб может выпасть или удалиться по решению врача.
Лечение пародонтоза должно начинаться с посещения клиники, где определяют степень поражения зубных каналов и причина появления болезни. В домашних условиях полностью излечить болезнь сложно, так как назначить подходящие препараты может лишь опытный специалист.
От назначенной терапии зависит сохранность зубов и здоровье десен. Пародонтоз имеет стремительное развитие, поэтому при первых симптомах необходимо обратиться к специалисту для диагностики.
Оформление статьи: Мила Фридан
Другие рецепты с перекисью водорода от пародонтоза
К перекиси можно добавлять соду или лимон По отзывам, лечение пародонтоза в домашних условиях перекисью водорода будет намного эффективней, если скомбинировать ее с другими ингредиентами. Например, хорошо помогут снять воспаление полоскание морской солью и пероксидом. Для этого достаточно по 1 ч. л. того и другого развести в стакане теплой воды, а потом полоскать обычным способом.
Также используют для лечения и профилактики заболеваний десен травяные отвары. В этом случае подойдут настои из коры дуба, шалфея, зверобоя и подорожника. В приготовленный отвар добавьте 5−10 капель пероксида и полощите им десны. Добавлять перекись в стакан необходимо непосредственно перед процедурой, когда трава настоится положенное ей время, а сам отвар станет не таким горячим.
Перекись водорода и сода — один из популярных методов лечения пародонтоза в домашних условиях. Для приготовления раствора вам понадобится сухой пероксид, а соль лучше взять морскую. Если она крупного помола, проследите за тем, чтобы она полностью растворилась в воде. Готовый раствор ни в коем случае нельзя глотать.
Ингредиенты:
Сухой пероксид — 2 таблетки. Соль — 1 ч. л. Вода — 200 мл.
Как приготовить: Все компоненты перемешайте.
Как использовать: Полощите полученным раствором ротовую полость 3−4 раза в день. Длительность процедуры — 5 минут. Курс терапии — 1 месяц.
Результат: Смывает патогенные микроорганизмы с поверхности десен, останавливает кровотечение, способствует регенерации мягких тканей.
В домашних условиях лечение пародонтоза можно проводить с помощью перекиси водорода, пищевой соды и лимона. Этим средством можно заменить зубную пасту. Делать это регулярно не стоит — в целях профилактики достаточно одной процедуры в 7−10 дней.
Ингредиенты:
Пищевая сода — 3 г. Сок лимона — 10 капель. 3% перекись водорода — 20 капель.
Как приготовить: К соде добавьте сок свежего цитруса и тщательно перемещайте. Затем добавьте пероксид.
Как использовать: Полученной смесью почистите зубы, ополаскивать рот не нужно. После процедуры не стоить есть и пить как минимум 15 минут.
Результат: Заживляет десны, способствует регенерации пародонта.
Противопоказания к процедуре
Следующие факторы являются противопоказаниями:
- запущенная форма кариеса;
- нагноение в десневых карманах и выделение жидкости;
- во время заживления лунок после экстракции зубов;
- зубной камень, острая форма инфекционно-воспалительных болезней;
- отсутствие зубов;
- язвы, инфекции ротовой полости (вирусные, бактериальные, микробные, стоматиты);
- проблемы со свертываемостью крови;
- злокачественные опухоли;
- лихорадочное состояние, температура, инфекционные заболевания.
Ношение брекет систем и протезов требует осторожной техники массирования после консультации врача.
Если существует ограничения необходимо устранить их: пройти медикаментозное лечение, поставить пломбы, удалить зубной камень, у специалиста очистить десневые каналы от гноя.
После устранения противопоказаний согласовать возможность проведения массажа десен со стоматологом, обсудить рекомендованные техники, при необходимости – дополнительные лекарственные препараты и растворы для повышения эффективности процедуры.
Народными средствами
В народной медицине существует большое количество рецептов, которые можно задействовать при терапии пародонтоза:
- Морскую соль. Ее следует разводить в теплой воде и задействовать соляной раствор для полосканий.
- Столетник. Листочек растения разрезается на две части. Гелеобразной стороной необходимо натирать воспаленные десны и зубы.
- Куркуму. Это растение обладает антисептическими свойствами, быстро уничтожает инфекции и укрепляет десны.
- Квасцы. Следует задействовать порошкообразную форму растения, которая будет способствовать устранению зубного налета, уничтожению бактериальной инфекции.
- Пакетики чая. Запаренный пакетик следует вытянуть из кипятка и немного остудить. Его необходимо прикладывать к пораженным участкам.
- Лимонный и клюквенный сок. Регулярная обработка ротовой полости поможет предотвращать прилипание к зубной эмали патогенной микрофлоры.
Профилактика
Чтобы предупредить развитие пародонтоза людям необходимо регулярно проводить профилактические мероприятия:
- Ежедневно надо проводить гигиенические мероприятия.
- Рекомендуется полоскать ротовую полость специальными антисептическими растворами. Например, «Весной», «Лесным бальзамом».
- Можно применять для полосканий травяные отвары и настои.
- В течение месяца следует делать ротовые ванночки из шиповника, зверобоя или ромашки.
Быстро
Из-за того, что пародонтоз у людей протекает в хронической форме, лечение его занимает довольно длительный временной промежуток.
Если больной своевременно выявит у себя признаки легкой степени недуга, то ему удастся довольно быстро устранить неприятную симптоматику, задействуя лекарственные средства и народные рецепты.
Медикаментозный подход
При выявлении характерных симптомов необходимо обратиться к квалифицированному специалисту. Диагностика пародонтоза основывается на рентгенографическом исследовании (выявление степени поражения костной ткани) и простом стоматологическом осмотре (наблюдение за внешним проявлением).
Рентген снимок — диагностика пародонтоза на ранней стадии
Игнорировать нехарактерный запах изо рта, выделение крови из десен, гнойные образования и подвижность зубов категорически нельзя, ведь результат может оказаться очень плачевным. Наряду с первопричиной пародонтоза, необходимо уделить особое внимание лечению внешних признаков проявления. Для этого прибегают к таким методам:
- Массаж десен (налаживается кровоток).
- Физиопроцедуры (улучшение поступления питательных веществ и кислорода).
- Хирургическое лечение (направлено на восстановление тканей).
- Акупунктура (устранение болезненных симптомов).
Как найти свой ирригатор?
Брендов и компаний, производящих разнообразные ирригаторы, великое множество. Одни специализируются на выпуске стационарных конструкций с массой функций и насадок, другие изготавливают компактные модели, подходящие для путешествий и поездок, третьи охватывают весь сегмент.
На общем фоне ярко выделяется американская компания Waterpik, выпускающая высококачественные устройства любого предназначения в разных ценовых категориях. Однако у столь популярного и отлично себя зарекомендовавшего бренда первый попавшийся на глаза прибор покупать тоже не стоит. Сначала нужно определиться со своими нуждами.
- Людям, периодически отправляющимися в командировки, путешествия или иные поездки, лучше выбрать компактную дорожную модель с портативным аккумулятором, который заряжается легко и быстро.
- Семьям лучше подобрать ирригатор с максимальным количеством насадок и вместительным резервуаром для воды.
- Для детей компания выпускает специальные модели с ярким веселым дизайном и удобной ручкой, а для взрослых — мощные стационарные устройства.
- Мощность стационарного прибора не должна быть меньше 550 кПа, а переносного – не менее 520 кПа.
- Чем больше количество пульсаций, тем эффективнее очистка.
Также при выборе конкретного ирригатора не помешает оценить удобство его использования. Waterpik позаботился о комфорте пользователей, оборудовав каждое устройство эргономичной ручкой с кнопками управления, длинными шлангами и разноплановыми насадками. При этом в случае поломки или износа каждую комплектующую можно приобрести отдельно и легко заменить самостоятельно.
В домашней профилактике пародонтоза ирригаторы Waterpik незаменимы: важно лишь, чтобы у каждого из членов семьи была своя собственная насадка, дабы исключить передачу и распространение инфекции или болезнетворных бактерий.
Плюсы и минусы применения перекиси водорода
Однозначным и наиболее весомым плюсом перекиси водорода является ее цена. Она по карману каждому пациенту и находится практически в каждой аптечке. Также к плюсам можно отнести эффективность, подтвержденную многократными исследованиями и наблюдениями.
Перед использованием перекиси водорода следует проконсультироваться у врача
К минусам полоскания рта перекисью водорода принадлежит ее неприятный вкус с металлическим привкусом, который у некоторых людей может вызывать тошноту, или даже рвоту. Немного нейтрализировать этот смак поможет мята, мелиса, или другие травяные настои.
При заболеваниях горла, носа, воспалительных процессах в ухе, болезнях зубов и десен нетрадиционная медицина рекомендует использовать перекись водорода. Полоскания ротовой полости раствором H2O2 ускорят процесс выздоровления и не замедлят с эффектом. Но следует помнить, что при проведении любых манипуляций и процедур необходимо проконсультироваться с врачом.
Обзор лучших марок
Рассмотрим самые популярные зубные средства от пародонтоза, которые можно купить в косметическом магазине или аптеке:
- паста Пародонтакс – натуральная формула с лечебными травами, перечной мятой, ромашкой, шалфеем, ратанией, эхинацеей. В пасте нет антисептиков, поэтому пользоваться ей можно постоянно. За счет высокой концентрации лекарственных растений средство имеет выраженное вяжущее действие. Входит в состав формулы цитрат цинка, который эффективно снижает чувствительность зубов, минеральные соли, вытягивающие гнойное содержимое из десен, снимающие покраснение и отек. Паста Parodontax представлена в двух вариантах – с фтором и без;
- паста Пародонтол – паста с целебными травами и гидроксиапатитом, веществом, которое имеет аналогичный зубной эмали, костной ткани состав. Паста купирует воспаления, устраняет кровоточивость, укрепляет эмаль, убирает микротрещинки с поверхности зубов;
- Президент (эксклюзив) – мощная антибактериальная формула с гексетидином, тимьяном, прополисом. Она имеет выраженные антимикробные, противогрибковые свойства. Паста оказывает противовоспалительное, ранозаживляющее действие, укрепляет эмаль и десна, предупреждает развитие пародонтоза и воспалений ротовой полости;
- Лесной бальзам – эффективное дешевое средство от воспалений. В состав пасты входит уникальный хвойный комплекс, сок алоэ, отвары трав, экстракт шалфея. За счет этого она эффективно снимает воспаления, стимулирует процесс регенерации тканей. Паста подходит для ежедневного применения, поскольку не нарушает микрофлору слизистых;
- Лакалут (aktiv) – популярное средство от кровоточивости десен при пародонтозе. В ее состав входят такие компоненты как лактат алюминия (уменьшает воспаление), а также бисаболол, аллантоин, хлоргесидин. Используйте пасту курсами по 1-2 месяца для профилактики после окончания лечения;
- Пародонтоцид – серия стоматологических препаратов с выраженным противовоспалительным, антибактериальным действием. Паста нормализует микрофлору, хорошо удаляет мягкий налет, препятствует образованию зубного камня. Дополнительно она укрепляет, оздоравливает десна, убирает кровоточивость и снимает воспаления. Паста стоит недорого и подходит для постоянного использования.
Также есть ряд других препаратов, найти которые можно в аптеках и специализированных магазинах. Если затрудняетесь в выборе, обратитесь за помощью к лечащему врачу или хотя бы фармацевту. Те пасты, которые не предназначены для постоянного применения, не стоит использовать длительно, поскольку это небезопасно для здоровья. В остальном ограничений нет. Для повышения эффективности местной терапии дополняйте пасты ополаскивателями и другими средствами для ротовой полости при пародонтозе.
Если хотите провести профилактику кариеса, выбирайте пасту от пародонтоза с фтором.
Можно ли полоскать рот перекисью водорода, как правильно развести и полоскать
Перекись водорода – это вещество, которое у современного человека всегда под рукой, ведь его применяют в медицине и в быту, в клиниках и в домашних условиях. В последнее время появилось много полезных советов об использовании этого препарата для полоскания ротовой полости с целью обеззараживания, лечения десен и отбеливания зубов. Но у любого лекарственного средства есть противопоказания и негативные эффекты, поэтому сначала стоит разобраться, можно ли полоскать рот перекисью водорода и как ее нужно разводить.
Противопоказания
В следующих случаях нельзя использовать перекись:
- При чувствительной эмали, т.к. пероксид оказывает агрессивное влияние на эмаль зубов. Использовать его нужно в строго указанных дозировках.
- При запущенном кариесе и множественных пломбах.
- При врождённом истончении эмали, из-за чего постоянно нарушается её целостность.
- Наличие гиперчувствительности к перекиси (аллергия).
- Детям младше 12 лет.
- Во время приёма антибиотиков.
- Использовать концентрации больше 3%, т.к. можно попросту сжечь кожный покров дёсен.
Грамотное применение перекиси водорода, чёткое соблюдение всех мер предосторожности, пропорций и продолжительности терапевтических процедур поможет излечить дёсны от патологий.
https://properekis.ru/lechenie/dyosny https://zdoroviebl.ru/narodnye-sredstva/perekis-vodoroda-pri-parodontoze/ https://prozubi24.ru/lechenie-parodontoza-v-domashnih-uslovijah/
Но что же делать беременным?
К сожалению, не все рецепты можно применять в положении. А ведь из-за гормональной перестройки, пародонтоз у беременных – обычное явление. Вот несколько советов вам, будущие мамочки, которые спасут вас от выпадения зубов.
- Обязательно обратитесь к стоматологу, и узнайте, какие методы из вышеописанных вам можно применять. Мы не рекомендуем использовать чеснок и лепестки розы, а остальные вы можете делать, если нет индивидуальных противопоказаний. Особенно поможет полоскание корой дуба.
- Также делайте растворы для полоскания полости рта из ромашки или же такой травы, как окопник. Все эти смеси можно купить в любой аптеке.
- Смочите ватку в пихтовом масле, и приложите на 15 минут к деснам. Она снимет боль, и удалит воспаления.
- Хорошо поможет травяной сбор. Вам нужно взять листья брусники, календулу, зверобой. Смешайте все, возьмите 3ст.л. трав и залейте на 600мл кипятка. Проварите на водяной бане 30 минут, процедите. Далее вы можете делать полоскание, или же прикладывать примочки.
Таким образом, вы избавитесь от болезни, не переживая, что какие-то компоненты навредят вашему будущему малышу. Но! Перед применением в обязательном порядке поговорите с доктором, ведь никто не отменял личной непереносимости компонентов.
Почему возникает это заболевание
Причин ему может быть несколько, вот наиболее распространенные:
- Происходит нарушение кровообращения в мягких тканях, которое может возникнуть из-за сахарного диабета, язвы желудка, или же сердечно-сосудистых заболеваний.
- Ослабление иммунитета также дает платформу для развития болезни.
- Дефицит витаминов и минералов приводят к разрушению тканей десен.
- Отсутствие нагрузки на зубы.
- Гормональные изменения в организме, или генетическая предрасположенность.
- Недостаточный уход за полостью рта.
- Вредная привычка курить очень способствует развитию пародонтоза.
Как видите, пародонтоз, лечение которого неизбежно в случае возникновения, может возникнуть и не по вашей вине, а элементарно – из-за генетического кода. Поэтому страховки от нее нет. А вот вовремя определить симптомы – максимально важно.
Как правильно готовить раствор и полоскать рот
Прежде чем прополоскать рот перекисью водорода, нужно разбавить ее. Рекомендуется брать столовую ложку перекиси водорода на один стакан воды. Раствор должен быть не горячим, но и не холодным. К полосканию приступают только после тщательной чистки зубов и промывания ротовой полости чистой водой, такие манипуляции предотвратят нежелательные химические реакции между компонентами препарата и зубной пасты.
Раствор перекиси нельзя держать в ротовой полости слишком долго, рекомендуется проводить процедуру не дольше 10 минут. В течение этого времени надо периодически сплевывать жидкость и набирать в рот свежую порцию. После окончания процедуры средство выплевывают, чтобы оно не оставалось в ротовой полости и не попадало в пищеварительную систему.
Чем лечить?
Чтобы добиться хорошего результата от терапии пациентам рекомендуется обращаться к врачам-стоматологам, которые после комплексного обследования разработают схему лечения, цель которой заключается:
- в санации ротовой полости;
- в коррекции гигиены;
- в улучшении восстановительных и окислительных процессов;
- в нормализации тканевого обмена;
- в снижении чувствительности зубов и т. д.
Хотите узнать, можно ли лечить зубы во время беременности без анестезии? Тогда вам просто необходимо перейти по ссылке, и прочесть нашу статью. Если же вас интересует вопрос — как избавиться от зубного камня в домашних условиях, то мы советуем перейти по ссылке, и ознакомиться с информацией.
Препараты
Стоматологи прописывают такой категории больных следующие лекарственные средства:
- Для расширения сосудов назначаются таблетки «Инсадола».
- Для повышения местного иммунитета и улучшения микроциркуляции крови прописываются таблетки «Тыквеола».
- Для нормализации окислительных и восстановительных процессов назначаются таблетки «Трентала».
- Для восстановления тканевого обмена прописываются витаминно-минеральные комплексы.
- Для купирования воспалительных процессов и подавления стремительно размножающейся патогенной микрофлоры могут назначаться антибиотики и прочие препараты.
Разновидности и стадии заболевания
Пародонтит пародонтиту рознь. Не даром лечение одних пациентов ограничивается специальной зубной пастой и полосканиями, а другие вынуждены пройти через все круги адских испытаний и на себе прочувствовать процедуру кюретажа – ручной чистки десенных карманов, которая даже при должном обезболивании вызывает уйму неприятных эмоций.
Исходя из того, на какой стадии находится воспаление, пародонтит может быть:
- острым – возникает в одночасье из-за механического воздействия (сильного удара, неправильно установленной коронки или пломбы) и легко устраняется;
- хроническим – воспаление возникает из-за развития патологической микрофлоры, сопровождается кровоточивостью, абсцессами, жжением. Лечение пародонтита хронической формы обязательно медикаментозное и довольно затяжное.
В зависимости от величины воспалительного очага, диагноз классифицируют как:
- локализованный – это значит, что проблема сосредоточена пока что только вокруг одного или нескольких моляров, а значит ее несложно устранить;
- генерализованный – воспалительными процессами охвачена вся челюсть. В таком случае, шутки в сторону. Народными средствами и полосканиями на эту ситуацию повлиять уже не удастся. Чтобы сохранить пациенту родной зубной ряд, придется задействовать тяжелую артиллерию – лазер, ультразвук, антибиотики и, скорее всего, не избежать оперативного вмешательства.
Учитывая то, как долго пациент медлил с обращением к врачу, разделяют разные степени запущенности пародонтита.
- Легкая – десна уже кровоточат, но зубы пока еще крепко сидят на своих местах. Если и появились зубодесневые карманы, то их глубина не превышает 3,5мм.
- Средняя – воспаление успело усугубить ситуацию с карманами. На этой стадии их глубина уже может достигать полсантиметра. Пациент может и сам заметить, что отдельные моляры стали немного пошатываться.
- Тяжелая – затяжной воспалительный процесс привел к тому, что отек слизистой уже виден не вооруженным глазом. Зубы стали подвижными, а некоторые и вовсе сместились. Из зубодесневых карманов выделяется гной.
Попытаться устранить проблему самостоятельно, используя народные средства, можно лишь на легкой стадии заболевания, пока оно имеет локализованный характер.
Полезные свойства массажа десен
Процедура оказывает следующие действия на организм:
- способствует быстрейшему восстановлению повреждений десен благодаря усилению протекающих процессов регенерации и обмена;
- влияет на состояние стенок десен, придает им крепость и упругость;
- выводит жидкости (гной, экссудат), образующиеся при воспалении;
- очищает труднодоступные места;
- устраняет боль и жжение;
- успокаивает слизистую;
- при лечении местными медикаментами распределяет лекарство по слизистой;
- уменьшает отечность, предотвращает развитие кариеса, стимулирует кровоснабжение и обеспечение тканей кислородом;
- при использовании специальных средств обладает дезинфицирующим свойством.
Массирование благоприятно влияет на состояние эмали, помогает при сверхчувствительности, благоприятно воздействует на организм.
Что собой представляет перекись водорода
Это нестойкое и легко разлагаемое при любых контактах (особенно с микроорганизмами)соединение двух молекул кислорода и двух молекул водорода, которое имеет вид жидкости без запаха и цвета.
При распаде перекиси водорода выделяется свободный молекулярный кислород, который обладает окисляющими свойствами, благодаря чему используется в медицине преимущественно с целью дезинфекции.
Считается, что перекись можно применять только наружно, а при внутреннем использовании она вредна. Но еще в 1888 году в США было проведено полоскание рта перекисью водорода пациенту с дифтерией, вследствие чего пленки исчезли уже через сутки. Сейчас перекись используется в различных сферах: в бытовой химии, в фармакологии, в косметологии для осветления волос, в дерматологии для удаления постакне и пигментных пятен, в стоматологии для отбеливания зубов, а также в терапии при различных заболеваниях.
H2O2 выпускается в различных формах, среди которых:
- разведенный раствор пероксида водорода ‒ преимущественно 3%-й концентрации. Применяется наружно для дезинфекции ран и ссадин, а также для полоскания горла при ангинах, при некоторых гинекологических заболеваниях, как местное кровоостанавливающее средство при мелких кровотечениях (носовых);
- концентрированный раствор H2O2, или пергидроль ‒ содержит от 27,5 до 31% активного вещества, на его основе изготовляются мази с депигментирующим эффектом, а также в сочетании с моющими средствами он используется для дезинфекции помещений;
- гидроперит ‒ сочетание H2O2 (35%) с мочевиной, выпускается в таблетированной форме. Используется как антисептик, а также для полоскания ротовой полости и горла после растворения таблетки в воде.
Заболевания десен
В стоматологии выделяют следующие заболевания десен:
- Гингивит (воспаления десен). Проявляется припухлостью вокруг зубов с последующим воспалением оболочки пародонта. Является следствием зубного налета, в котором содержатся болезнетворные микробы. Отложения сначала мягкие, после твердеют и превращаются в камень. Если гингивит запустить, ткани десны начинают кровоточить даже при легком надавливании (рекомендуем прочитать: какие народные средства лечения помогут, если у вас кровоточат десна?).
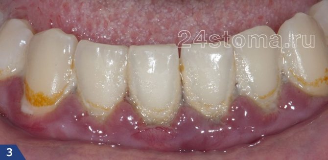
- Пародонтит. Главный его признак – появление пародонтальных карманов, в которых скапливаются остатки пищи, зубной налет и, впоследствии, гной. На начальной стадии болезнь протекает без особых симптомов, боли не беспокоят, возможны запах изо рта, повышенная чувствительность и небольшая кровоточивость. По мере развития заболевания, возникают воспаления мягких тканей, атрофия костной стенки лунки, боли, расшатывание зубов первой и второй степени. При тяжелой степени пародонтита поддерживающие связки и кость разрушаются. Начинается третья степень расшатывания, зубы подвижны в трех и более направлениях, они смещаются с исходного местоположения, далее возможно их самопроизвольное выпадение. При особенно тяжелых формах пародонтита приходится удалять зубы для предотвращения атрофии костной ткани.
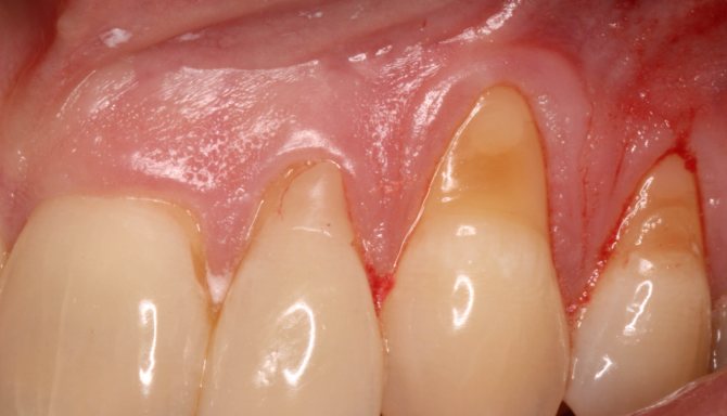
- Пародонтоз. Атрофически-дистрофический процесс в тканях пародонта, при котором происходит обнажение корней зубов. Пациенты жалуются на оседание десен, их зуд и болевые ощущения. На первой стадии симптомы пародонтоза практически отсутствуют.
- Стоматит. В зависимости от вида, поражает как слизистую оболочку, так и область десен. Больше всего поражение происходит афтозными, герпетическими и язвенно-некротическими стоматитами.
- Грибковые поражения.
- Физические травмы.
Читать также: Крем от воспаления десен
При беременности
В период беременности, особенно в первом триместре, женщинам нельзя принимать многие лекарственные препараты, поэтому при лечении пародонтоза им придется ограничиться самыми безопасными и проверенными народными рецептами.
Терапия для такой категории пациенток предусматривает:
- Ежедневные гигиенические процедуры.
- Ванночки и аппликации из травяных отваров.
- Полоскание ротовой полости специальными растворами, в которых отсутствуют антибиотики и другие компоненты, способные причинить вред развивающемуся плоду.
- Применение для полосканий отвары: ромашки, коры дуба, подорожника и т. д.
Самым благоприятным временем для посещения стоматолога является второй триместр.
В этот период специалист сможет провести профессиональную гигиеническую обработку ротовой полости и устранить зубной налет.
Виды массажа десен
4 техники, как делать массаж десны дома или в кабинете специалиста:
- вакуумный массаж;
- зубной щеткой при пародонтозе;
- с использованием специального прибора – ирригатора;
- массирование пальцами.
Вакуумный
Процедура производится специалистом прибором с вакуумными трубками. Аппарат создает отрицательное давление на десны, в результате появляются мелкие гематомы. По мере заживления гематом улучшается состояние слизистой, приостанавливаются патологические процессы, усиливается кровоснабжение тканей десен.
Взрослым на первом сеансе создают максимум 6–7 гематом, на образование каждой приходится 15–20 секунд. Процедура болезненная. Возможно обезболивание с помощью местного анестетика для уменьшения неприятных ощущений.
Гидромассаж десен
Массаж десен ирригатором называется иначе гидромассаж. В комплект входят насадки с регуляцией воды и воздуха. При включении аппарата появляются пузырьки, очищающие межзубные промежутки, эмаль и другие труднодоступные места. Дополнительно они массажируют болезненные, воспаленные и кровоточащие участки.
Для массажа десен применяются 4 техники: Фонеса, Чартерса, Белла и Штильмана.
Гидромассаж предотвращает появление стоматологических болезней. Рекомендуется при ношении брекет систем.
Как делать массаж десен пальцами – техника массирования
Манипуляция проделывается большим и указательным пальцами. Она бывает двух видов: прямая – по слизистой, непрямая – с наружной стороны щеки.
Выполняется 4 движения:
- поглаживание сначала невоспаленной области, медленно перемещаясь к зонам отека, застоя и кровоточивости;
- растирание по спирали в одной точке по спирали, постепенно с увеличением радиуса до правой или левой части челюсти;
- выжимание – совмещает вращение и надавливание на одну точку;
- зажимание между пальцами отдельных участков.
Массаж десны всегда начинается с поглаживания и им заканчивается.
Массаж
Эффективны регулярные массажные процедуры с применением следующих компонентов:
- клюквы – горсть ягод взять в рот и помассировать десны, втирая в них клюкву. Для стойкого результата делать такой массаж нужно регулярно – несколько раз в день, после еды. Качественно борется с проявлениями пародонтоза;
- перекиси – несколько таблеток гидроперита растворяют в воде до густого состояния. Бережно протирают десны, слегка придавливая их поверхность. Обеззараживает, заживляет, останавливает кровотечения;
- дубовые тонкие веточки – промыть и измельчить в кофемолке. Полученный порошок втирать в зубы и десны. Подтягивает кожу, укрепляет эмаль, устраняет кровоточивость;
- масло облепиховое – бутылочку с маслом подержать в руках до теплой температуры. Несколько капель выдавить на палец и массировать мягкие ткани. Снимает раздражение, отечность, смягчает слизистую;
- соль+масло – смешать ингредиенты до состояния кашицы. Если нет оливкового, можно взять растительное. Втирать в мягкие ткани. Укрепляет и отбеливает зубы;
- квашеная капуста – горсть капусты тщательно пережевывают, сок при этом задерживают в полости. Пальцем массируют десны и зубы, втирая сок. Убивает микробы, устраняет воспаления.
В чем причины плохого запаха изо рта и как от него избавиться? По этому адресу: https://dentist-pro.ru/lechenie/zuby/plomby/pochemu-bolit-posle.html — вы узнаете из-за чего болит зуб после пломбирования.
В следующем обзоре можно найти информацию о том, какое лечение назначают при гранулеме.
Продукты пчеловодства
Прополис и мед прекрасно устраняют очаги поражения, убивают микробы и препятствуют их дальнейшему развитию:
- смешать 15 г меда и 3 г соли. Втирать осторожно, чтобы не травмировать слизистую. Можно использовать как аппликации;
- 20 капель прополиса размешать в 150 г кипяченой воды. Полоскать по мере необходимости до улучшения симптоматики;
- Взять небольшой шарик прополиса и рассасывать его во рту до полного растворения. Слюну стараться задерживать как можно дольше. Повторять ежедневно, перед сном;
- 100 г прополиса залить бутылкой водки, добавить корень аира (1 столовую ложку). Настаивать 3 недели. Полоскать 3 раза в сутки;
- Взять кусочек густого меда и массажными движениями втирать в ткани. Хорошо улучшает приток крови, лечит воспаление.



















