Гель ROCS (Рокс) был создана специально для того, чтобы восстановить структуру эмали зубов в домашних условиях, без помощи стоматолога. Главная особенность средства− универсальность и эффективность. Реминерализирующим препаратом могут пользоваться маленькие дети, взрослые и люди преклонного возраста.
Гель ROCS относится к специальной серии, создание которой предполагало осуществлять качественный уход за ротовой полостью и эмалью зубов.
Регулярное использование средства дает ряд положительных эффектов:
- укрепляет зубы;
- отбеливает зубы;
- снижает уровень чувствительности зубов на различные раздражающие факторы;
- возвращает естественную белизну и блеску зубов после снятия налета;
- улучшает вид эмали после длительного ношения брекетов, при флюорозе;
- эффективно борется с кариесом;
- восстанавливает микрофлору во рту.
Гель Рокс еще называется реминерализирующим. Когда речь идет о реминерализации зубной эмали, то это предусматривает процесс восстановления, уровня содержания важнейших микроэлементов.
В их числе фосфор, магний, кальций, углекислые соли, фтор и другие. Обновление этого полезнейшего состава происходит на протяжении всей жизни человека. Часто этот процесс нарушается под воздействием негативных факторов. Реминерализация в стоматологии − это лечебно-профилактическое мероприятие, не имеющее противопоказаний и ограничений по возрасту.
Назначают данную процедуру в нескольких случаях:
- недостаток минералов, произошедший вследствие генетического сбоя;
- особые периоды, когда уровень минералов должен быть высоким: вынашивание малыша, переходный возраст подростков, климакс;
- особая чувствительность эмали на низкую или высокую температуру, продукты, содержащие высокий уровень глюкозы;
- проведение процедур, во время которых эмаль истончается;
- механическое травмирование зуба;
- агрессивное воздействие на эмаль химических веществ;
- активное образование налета на зубах.
Сегодня реминерализация − это наиэффективнейший метод, позволяющий бороться с нарушениями защиты зуба. На ранних стадиях развития кариеса, именно эта процедура дает наилучший результат.
Рокс содержит в своем составе все необходимые полезные вещества, поэтому дополнительных средств для повышения прочности зубов и защит от кариеса не требуется.
Общая информация о продукте
Зубные пасты Рокс выпускаются несколькими странами-производителями – Россией и Швейцарией, торгово-промышленной группой DRC. Компания предлагает пациентам не только зубные пасты, но и флоссы, ополаскиватели, бальзамы для полости рта, щетки, освежающие спреи. Фирма имеет дочерние предприятия, которые располагаются на территории Франции и Норвегии.
Кальциево-содержащие пасты
В линейке паст по профилактике кариеса, и «Уно кальциум». Производитель обещает реминерализацию и укрепление эмали, повышение устойчивости к кариесу посредством доставки зубам биодоступного кальция, а также восстановление баланса микрофлоры. Рекомендует пользоваться пастой регулярно. А что же в отзывах на зубную пасту «Кальций» от «Рокс»? Из плюсов отмечаются: избавление от проблем кариеса и чувствительности, комфортность использования при беременности и ощущение исключительной чистоты зубов, приятный вкус и свежее дыхание. Минусами называются дорогая стоимость пасты, отбеливание ценой приобретения повышенной чувствительности, иногда встречаются абсурдно-фантастические параллели использования пасты и заболевания тяжелыми болезнями, например, раком молочной железы. Радует покупателей отсутствие фтора, из советов – не ополаскивать рот. Из эпитетов, «подаренных» пасте можно о «Супер-супер!», « Куплю еще!».
Основные преимущества пасты Рокс
Главное отличие паст Рокс от других разрекламированных брендов – использование натуральных ингредиентов при производстве. Растительные компоненты добавлены в состав геля в высокой концентрации. Благодаря этому, средства не изменят кислотность ротовой полости и не влияют на ее микрофлору.
Многие из растительных ингредиентов, используемых в составе паст Рокс, обладают природными антиоксидактными свойствами:
- цветы вишни;
- зеленый чай;
- ламинарии;
- листья гвоздичного дерева.
В составе зубной пасты Рокс можно также отметит природные микроэлементы (нитрат калия, глицерофосфат калия), которые уменьшают чувствительность эмали и закупоривают микротрещины на ее поверхности. Пасты Рокс, в составе которых имеется таурин, благотворно сказываются на состоянии десен.
Линейки средств, в которые добавлен ксилит, также снижают чувствительность зубов к температурным раздражителям. Вещество дополнительно обладает противокариозным и восстанавливающим средством. Препараты для ухода за ротовой полостью, содержащие ксилит, закупоривают незначительные повреждения на поверхности эмали, что предупреждает ее дальнейшее разрушение.
Другой неоспоримый плюс линейки средств Рокс – безопасность для человеческого организма. Средства для детей также безопасны при случайном проглатывании. Средства показаны для использования людям, имеющим аллергические реакции на парабены и отдушки.
Пасты Rocs не травмируют поверхность эмали, благодаря низкой абразивности. Они могут использоваться людьми с повышенной чувствительностью зубов. Бромелайн в составе геля обеспечивает эффективное удаление налета из ротовой полости. После гигиенической процедуры эмаль становится гладкой, блестящей и ровной.
Инструкция по применению
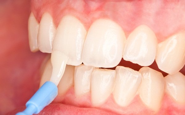
Реминерализующий гель Рокс наносят на почищенные зубной пастой зубы. При этом, паста не должна содержать в составе фтор. Чтобы равномерно распределить гель по поверхности зубов, обязательно следует пользоваться зубной щеткой. После того, как гель будет нанесен на зубы, следует постараться в течение 30-40 минут, ничего не есть и не пить.
Использовать гель нужно утром и вечером на протяжении 2-х недель. После обязательно делается перерыв и курс повторяется. В год можно проводить до 3-х курсов, при этом продолжительность одного может быть увеличена до 4-х недель, если полость рта сильно поражена кариесом.
Стоматологи советуют, чтобы сделать эффект от применения геля более выраженным, следует воспользоваться каппой. Гель добавляют в каппу, надевают на зубы. Спустя полчаса ее снимают, полоскать рот нельзя, обязательно воздержаться от приема пищи и питья в течение 40 минут.
Детям каппу следует держать около 10 минут. Гель детский прекрасно подойдет даже грудничкам. Его наносят на зубы маленьких детей для профилактики кариеса. Если даже часть геля ребенок проглотит, то это не нанесет ему никакого вреда.
Наоборот, исследования показали, что улучшается не только состояние эмали, но и в целом всей ротовой полости. Все дело в том, что состав геля пагубно влияет на болезнетворные микроорганизмы, предотвращая их размножение.
Состав средства
По составу средство полностью соответствует международным стандартам за счет отсутствия опасных компонентов и антисептиков. Гели Рокс не содержат крупных абразивов и могут применяться для ухода за чувствительной и поврежденной эмалью.
Особая разработка компании DRC – биокомплекс Минералс, который предупреждает развитие кариозных процессов в ротовой полости, отбеливает эмаль на несколько тонов и предупреждает воспаление пародонтальных тканей.
Среди других составляющих компонентов в составе препарата Рокс можно отметить нитрат калия и гиперфосфат калия. Вещества насыщают ткани зубов минералами и защищают их от воздействия механических и температурных факторов. Калий, фтор и магний в пасте обеспечивают комплексный уход за зубами.
Пасты Рокс изготавливаются при низких температурах, что дает возможность длительного сохранения полезных свойств активных и дополнительных компонентов в структуре геля. Компания разработала отдельные линейки средств, предназначенных для пациентов любых возрастов.
Блеск для зубов

Средства Рокс для ухода за чувствительными зубами
Чувствительность зубов, или гипереспезия, проявляется ноющими болевыми ощущениями. При нарушении людям становится трудно употреблять продукты с ярко выраженным вкусом (сладкие, кислые), горячие и холодные блюда. При осложненных формах проблемы болевые ощущения наблюдаются даже при вдохе воздуха.
Зубная паста Мексидол Дент
Для людей с гиперестезией разработаны следующие разновидности паст:
- Sensitive «Мгновенный эффект». Обезболивающее действие на эмаль обусловлено комбинацией нескольких активных компонентов: ксилита, кальция и фосфата. Микрогранулы фосфата и кальция проникают внутрь мелких трещин на эмали и создают защитную пленку на поверхности зубов.
- Sensitive «Восстановление и отбеливание». Эффект от использования препарата наблюдается через 2 недели после применения. Минеральные частицы в структуре геля позволяют осветлить эмаль на несколько тонов и нормализовать микрофлору ротовой полости.
- Средства Bionica и Bionica Sensitive. Отличительная особенность линейки – практически полностью натуральный состав (94%). В составе пасты отсутствуют антисептики и антибиотики. Благодаря этому, средства могут использоваться людьми с аллергическими реакциями, беременными женщинами и детьми.
- R.O.C.S. «Венский десерт». Снижение чувствительности эмали достигается за счет сочетания бромелаина и кальция. После использования геля покупатели отмечают длительное сохранение свежести дыхания.
Не мятные вкусы
В отзывах на зубную пасту «Рокс» встречаются описания продуктов с нестандартными вкусами. Вопрос свежести дыхания здесь решается не при помощи мятно-ментолового привкуса, а посредством ароматных шлейфов. Список таких паст выглядит следующим образом:
- «Лесной полдень» со вкусом малины. Подходит тем, кто устал от резких привкусов паст. Может использоваться взрослыми и детьми с 4-летнего возраста. Из обещаний производителя: осветление эмали, укрепление твердых тканей, профилактика кариеса, длительная чистота и свежесть, предупреждение потемнения, устранение кровоточивости, нормализация микрофлоры.
- «Облако нежности. Роза». Паста цвета топленого молока, вкус ее изысканный, может напомнить прогулку по облакам нежности (если вы знаете, как они пахнут), или, как будто вы «скушали десерт» (болгарское розовое варенье?) К зубам относится очень бережно, решает проблемы профилактики кариеса, снятия чувствительности, освежения дыхания.
- Описанный выше мангово-банановый «Венский десерт».
- «Цветок жасмина» со вкусом зеленого чая с жасмином. Несмотря на заверения производителя о полезных свойствах и качествах пасты, пользователям она пришлась не по вкусу, отзывы на нее самые негативные, от «сгнившие цветы» до «в семье не без урода». Хотя несколько верных почитателей у пасты все-таки есть.
«Рокс» славится своими пастами с нетрадиционными вкусами. И нужно отметить, что отзывы на отбеливающие зубные пасты «Рокс» не мятного вкуса самые противоречивые.
Линейки отбеливающих паст
В пасты из отбеливающей серии включен уникальный очистительный комплекс Минералс, состоящий из бромелаина, кальция, магния и ксилита. Совокупность элементов позволяет оперативно устранить окрашивание поверхности зуба, удалить налет и защитить зубную эмаль. Специфической характеристикой продукции является отсутствие в составе фторидов.
Производители средств ROCS предлагают несколько разновидностей отбеливающих паст:
- Бионика отбеливающая. Уникальность средства заключается в натуральности состава. В нем содержится 95% компонентов, которые ежедневно поступают в организм человека с пищей. Активные вещества геля эффективно защищают эмаль от появления пигментных пятен и кариозного поражения.
- Рокс «Сенсационное отбеливание». Препарат относится к категории лечебно-профилактических. Он обогащен полирующими микрочастицами, которые делают эмаль заметно светлее после 2 недель использования пасты. Отбеливание зубов также достигается за счет многоступенчатой абразивной системы, которая, по утверждению производителя, не оказывает негативного воздействия на эмаль.
- Рокс «Белый стих». Отбеливание зубного ряда осуществляется, благодаря спрессованным частицам диоксида кремния. Этот абразив считается одним из самых качественных в составе зубных паст. Комбинация минералов в составе пасты предупреждает кариозное поражение элементов и развитие гингивита.
- Uno Whitening – средство для отбеливания зубов, предназначенное для людей с тонкой и чувствительной эмалью. Оно имеет в составе микроэлементы, обеспечивающие реминерализацию элементов ряда (фосфор и кальций). Продукт также рекомендуется пациентам, которые в недавнем времени пломбировали зубы.
Людям, часто потребляющим кофе, также следует использовать Рокс отбеливающие «Антитабак» или «Кофе и табак». Активные компоненты в составе геля будут создавать защитную пленку на поверхности эмали, тем самым предупреждая ее окрашивание. Перечисленные линейки также позволят избавиться от неприятного запаха изо рта, спровоцированного табачным дымом, и бактериального налета на зубах. Отбеливающие гели обогащены витамином Е, который благотворно сказывается на состоянии тканей пародонта.
Осветлить эмаль зубов на несколько тонов в домашних условиях поможет гель Рокс «Блеск для зубов»
В какой форме выпускается
В серию Рокс входит 4 препарата, производящихся в форме геля. Каждый из них содержит в своем составе 4 важнейших компонента: кальций, фосфор, магний и ксилит. Отличаются они набором дополнительных составляющих.
| Гель реминерализующий Medical Minerals | Это уникальный препарат, являющийся легкоусвояемым источников необходимых для здоровья зубов микроэлементов. Полностью безопасен для людей любого возраста, в том числе, детей. Эффективен при профилактике кариеса, показан для устранения любых дефектов на зубах. В аптеках данный вид можно приобрести за 330 руб. |
| Гель реминерализующий Фрут для укрепления зубов | Этот вид придется по душе детям и подросткам, так как в него добавлен еще и экстракт фруктов, который придает препарату особенный приятный вкус. Этот гель также наполнен необходимыми для поддержания здоровья и укрепления зубов элементами. В аптеках его можно купить за 250 руб. |
| Гель реминерализующий Сенситив | Этот вид создан специально для людей с особой чувствительностью зубов. В его состав дополнительно добавлен калия нитрат, который считается наиэффективнейшим десенситайзеров. С его помощью можно быстро снять болевой синдром и предотвратить его дальнейшее появление на протяжении всего дня. Также этот вид геля осуществляет реминерализацию твердых тканей зубов. Этот вид геля не советуют применять детям до 18 лет. В аптеках его можно приобрести за 380 руб. |
| Гель реминерализующий для детей и подростков (со вкусом клубники) | Этот вид создавался специально для маленьких детей и подростков, чтобы защитить их зубы от кариеса и других проблем с зубами. В раннем детстве, когда организм ребенка плохо насыщается полезными веществами, так как многие дети просто не съедают нужное количество элементов, важно получить их дополнительно. Гель Рокс с приятным вкусом клубники эффективно восполняет дефицит. В аптеках клубничный гель можно купить за 280 руб. |
Серия Про
Линейка средств предназначена для ежедневного применения. По заверению производителя, при регулярном использовании паст Рокс Про человек сможет забыть о проблемах с деснами и осветлить эмаль на несколько тонов. Особенность серии – возможность эффективного очищения зубов без грубых абразивов.
К ассортименту серии Про можно отнести зубную пасту Рокс «Сладкая мята» и «Свежая мята». При регулярном применении гели позволят устранить пожелтение элементов и справиться с повышенной чувствительностью эмали.
Рокс «Кислородное отбеливание» используют в комбинации с отбеливающими пастами торговой марки. Применять гель разрешается как после основной пасты, так и вместе с ней. Лучше использовать средство по уходу за полостью рта курсами продолжительностью не более 1 месяца.
Сенсационное отбеливание
Еще один представитель осветляющей линейки – «Сенсейшн уайтнинг» или «Сенсационное отбеливание». Отзывы на отбеливающую зубную пасту «Рокс» в черной коробочке напоминают хвалебные оды: «Круче нее никто не отбеливает зубы!», «Отбеливание без стоматолога!», «Жемчужные зубки без труда». Список восторженных эпитетов можно продолжать и продолжать. Потребителям симпатизирует ее невысокая цена, щадящее и эффективное отбеливание, и приятный вкус нежной мяты. В чем же секрет этой пасты? В многоступенчатой очищающей системе и полировке эмали или в протиолитическом ферменте растительного происхождения и защите от стоматологических заболеваний? Как бы то ни было, счастливые потребители черной зубной пасты «Рокс» в отзывах отмечают, что природная белизна зубов восстанавливается в короткие сроки, они приобретают привлекательный блеск, зубной камень растворяется и исчезает полностью, воспаление десен проходит бесследно.
Детские зубные пасты
Торговая марка постоянно расширяла ассортимент средств, предназначенных для ухода за молочными зубами. Компания DRC предлагает пасты для детей различных возрастных категорий.
R.O.C.S. Baby
Пасты серии предназначены для детей от 6 месяцев до 3 лет. Использовать гель можно сразу же после прорезывания первых молочных зубиков. Основные компоненты в составе геля имеют растительное происхождение. Они безопасны при случайном проглатывании ребенком. Средства серии Рокс ПРО Бэби обогащены пребиотиками, за счет чего нормализуется микрофлора рта.
Производитель предлагает несколько линеек средств, предназначенных для малышей до 3 лет, без фтора:
- Baby нежный уход с липой и ромашкой. Средства особенно эффективны в период прорезывания молочных зубов, так как они снимают болевые ощущения и подавляют воспалительный процесс. Цена упаковки пасты – 200 рублей.
- Baby PRO. Препарат используется при заболеваниях тканей пародонта у детей. Средняя стоимость за упаковку пасты – 300 рублей.
- Baby THERM. Линейка разработана для детей от 2 лет. Особенность геля в том, что он на долгое время сохраняет нейтральную кислотность ротовой полости ( на 8–9 часов). Приобрести препарат можно по цене 250 рублей.
R.O.C.S. Kids
Пасты серии разрешено использовать детям от 3 до 7 лет. Они отличаются безопасностью для ребенка и гиппоаллергенным составом. Очистительный комплекс продукта хорошо удаляет бактериальный налет и предупреждает появление зубного камня на эмали молочных элементов.
Основная составляющая паст R.O.C.S. Kids – комплекс AMIFLUOR, состоящий из ксилита и аминофторида. Кристаллы ксилита обволакивают зубы ребенка и защищают их от воздействия негативных внешних факторов. За счет комплекса AMIFLUOR соединения фтора попадают в дентин зуба и восстанавливают его защитные функции.
В серии Kids строго соблюдается дозировка активных компонентов: ксилит – не более 10%, аминофториды – не более 500 ppm. После использования средства устойчивость зубов к патогенным микроорганизмам повышается в 2 раза. Серия Кидз особенно полезна для детей, страдающих от флюороза. Стоимость пасты в аптеках Москвы – 200–230 рублей.
R.O.C.S. Teens
Препарат предназначен для детей от 8 до 18 лет. По свойствам линейка средств приближена к серии Кидз. Единственное отличие паст R.O.C.S. Teens – повышенная концентрация активных компонентов в составе. Уровень аминофторидов в геле – 900 ppm, а ксилита – 12 %. R.O.C.S. Teens, как и другие средства, хорошо устраняет бактериальный налет с коронок и предупреждает кариозное поражение зубов.
R.O.C.S. Teens пользуется популярностью у подростков, благодаря многообразию вкусов. Цена упаковки пасты варьируется от 210 до 250 рублей.
Особенные свойства
Зубные пасты «РОКС» заняли прочную позицию лидера среди подобной продукции с похожим ценовым диапазоном. Это было достигнуто благодаря ряду преимуществ, которыми обладает паста этого бренда.
К ним относятся:
Натуральность составляющих компонентов
Для изготовления своей продукции данная компания использует только растительные экстракты и минеральные вещества, не оказывающие негативного действия на слизистую и весь организм в целом.
Комплекс состава подбирается с таким учетом, чтобы компоненты усиливали действия друг друга. Часто в состав вводят фракции тимьяна, ламинарии и солодки.
Растительные компоненты в пасте R.O.C.S. имеют высокую концентрацию. Большинство видов имеет в своем составе комплекс реминерализующих веществ с высокой биодоступностью.
Эффективность данного средства очистки зубов
Фото: R.O.C.S. Sensation Whitening (сенсационное отбеливание)
Все пасты данной компании отличаются высоким показателем эффективности чистки. Это было достигнуто за счет грамотного подбора очищающих и полирующих компонентов. В состав паст входит бромелаин, благодаря которому отвердевший налет активно расщепляется.
Кроме этого, данное вещество является прекрасным противовоспалительным средством и хорошо снимает отек десенной ткани. Такая эффективность объясняется механизмом действия бромелаина — через 20 секунд чистки он создает специальную пленку на коронке зуба, которая продолжает свое действие и после проведения этой процедуры.
Это особенно важно при детской гигиене рта, ведь ребенка тяжело заставить чистить зубы положенное время.
Наличие ксилита
Также в состав пасты входит ксилит. Он способен противостоять появлению новых микробов и усиливать действие комплекса реминерализующих веществ.
Это способствует блокировке выхода минеральных элементов из коронок зубов и их накоплению, что приводит к восстановлению природного цвета эмали.
Безопасность использования как для взрослых, так и для детей
Вся продукция R.O.C.S. разработана по инновационной технологии с учетом возрастных особенностей обменных процессов и состояния кислотно-щелочной среды полости рта. Чтобы не навредить детским зубкам и деснам, была выпущена серия паст без использования добавок антибактериального характера и фтора.
Кроме этого, чтобы не повредить эмаль механическими частицами, пасты «РОКС» изготавливаются на основе низкоабразивных материалов. Данный показатель варьируется в зависимости от назначения и целевой аудитории.
Во взрослых пастах он равен 59 единицам, в подростковых – 45, в детских – 19. Это факт позволяет использовать данные средства для коронок с высокой чувствительностью и даже для зубов с высокой истираемостью эмали.
Отзывы покупателей
Мария. Использую средства серии Рок более 4 лет. Больше всего мне понравилась «Бионика». Часто покупаю препарат при первых признаках кровоточивости десен. Через 3–4 недели использования геля проблема исчезает сама собой. Пробовала также серию «Антитабак», так как эмаль зубов у меня темная из-за слишком частого употребления кофе. Запах и вкус средства для меня оказался слишком резким, поэтому отдала его мужу.
Алла. У дочки постоянно наблюдается кариес, и проблема эта появилась еще с первого класса. Стоматолог посоветовала нам приобрести пасту Рокс «Активный кальций». Сейчас дочке уже 10 лет, и за 3 года у нее не появилось ни одной новой дырки на эмали. Думаю, что паста позволила нам справиться с этой проблемой.
Почему возникает кариес?
Через несколько дней применения средства зубки становятся более гладкими, становятся белее. Если применять средство еще в течение какого-то времени, то снизится чувствительность зубов, они будут меньше реагировать на холодное или горячее, снизятся риски появления и развития кариеса.
Если Рокс не справляется с возлагаемыми на него задачами, нужно проконсультироваться со стоматологом: он может назначить другие препараты или определенные стоматологические процедуры.
В развитии этого процесса принимают участие несколько факторов. Прежде всего это углеводы и микроорганизмы. Бактерии способны расщеплять поступающие с пищей и задерживающиеся на коронке углеводы. В результате выделяется молочная кислота, которая и разрушает эмаль. Дополнительными провоцирующими факторами являются кислая реакция слюны, недостаточное слюноотделение, а также дефицит кальция, фосфора и других элементов.
Применение у детей
Гель «Рокс» для укрепления зубов очень часто назначается детям. Его важной особенностью является то, что он абсолютно безопасен. В состав этого средства не входит фтор, а следовательно, полностью отсутствует вероятность отравления при его проглатывании.
Гель «Рокс», предназначенный специально для детей, имеет приятный фруктовый вкус. Он успешно прошел все клинические испытания среди группы школьников. Специалистам удалось зафиксировать уменьшение возникновения кариеса до 4 раз. Это является очень хорошим показателем. Ведь для устранения стоматологических проблем не использовалось никакое оборудование.
SPLAT Juicy Set
Что ж, пришло время рассказать про детскую зубную пасту «Сплат». Отзывы о ней в основном положительные, причем не только от пользователей, но и от профессиональных стоматологов. Они отмечают, что у этой пасты очень хороший состав с большим количеством натуральных активных компонентов и полным отсутствием фтора, парабенов, лаурисульфата натрия и других «плохих» элементов. Стоматологи отмечают, что эта паста прекрасно подходит для того, чтобы укреплять эмаль зубов, а также оказывать положительное и щадящее воздействие на десны. Таким образом, она оказывает всестороннее воздействие, не имея при этом негативных эффектов. Более того, в комплекте продается сразу три небольших тюбика по тридцать миллилитров, каждый из которых имеет свой собственный вкус. Ваш ребенок будет в восторге от такого выбора.
Предупрежден, значит, вооружен: каковы причины появления застарелого налета
Еще раз повторимся, что ни одна паста от зубного камня не поможет, если вы постоянно будете нарушать гигиенический режим, а также отдавать предпочтение мягкой, углеводистой, сладкой пище и газированным напиткам, алкоголю. Из всех этих продуктов выделяются кислоты, которые, оседая на нашу эмаль с остатками пищи, продуцируют развитие бактериальной микрофлоры. Кроме того, мягкая пища отучает зубные ряды от естественной нагрузки, налипает на них и явно не способствует естественному удалению налета, а лишь усугубляет его появление.
Интересно, что сахар, как доступный и дешевый продукт массового производства, стал популярен только в конце 19, начале 20 веков. А вот в древние времена в Египте и Риме очень долгое время им могли побаловать себя только богачи – и именно у них впервые был выявлен кариес1.
Способствует образованию минерализованного налета и курение. Особенно заметны явные отложение у тех, кто имеет эту вредную привычку длительное время. Также большое значение имеет и качество очищения полости рта. Например, эксперты в области стоматологии уверяют, что классическая зубная щетка только на 50% справляется со своими основными обязанностями и удаляет отложения. А вот, электрическая или ультразвуковая удаляют до 95% всего налета. Также им в помощь должны применяться флосс и ирригатор, а также специальная зубная паста, удаляющая зубной камень.
Курение может стать причиной налета
Стоимость
Цены на продукцию зависят от региона реализации, вида и фасовки. Купить зубную пасту Рокс можно за:
- Бионика 74 гр. в «Грандмарт» можно приобрести за 208,00 руб., в «Пилюли» за 242,00 руб.
- Kids 45 гр. в аптеке «Wer» обойдется за 170,00 руб., в «Apteka» за 169,00 руб.
- Отбеливающая 74 гр. в «Медпартнер» стоит 185,00 руб., в Vitrina-Shop 245,00 руб.
- Бионика Сенситив 74 гр. в «Стрекозка» можно купить за 234 руб., в «Apteka» за 186,00 руб.
Когда показан реминерализирующий гель?
Гель для зубов Rocs является полностью безопасным как для детей, так и для взрослых, однако не следует забывать про возможность возникновения аллергической реакции на компоненты препарата. Для начала рекомендуется использовать небольшое количество геля в течение 10-15 минут. Если после процедуры появилась гиперемия и зуд, не стоит применять препарат.
Лучше обратиться к стоматологу, который предложит альтернативный вариант. Случаи аллергии на реминерализующий гель Rocs встречаются очень редко, поэтому, как правило, препарат подходит практически всем пациентам. Преимуществом геля является отсутствие фтора, что позволяет применять его людям с остеопорозом и заболеваниями щитовидной железы и почек.
Согласно инструкции гель рокс меликал минералс применяют в следующих случаях:
- укрепление зубов;
- удаление налета;
- отбеливание;
- восстановление микрофлоры полости рта;
- с целью снижения чувствительности зубов;
- при борьбе с кариесом;
- для восстановления эмали после длительного ношения брекетов.
Клиническими исследованиями доказано, что гель рокс абсолютно безопасен для использования всеми возрастными группами. Его можно без опасений применять при беременности и в период лактации.
Можно было бы сказать, что паста рокс совершенно не имеет противопоказаний, однако существует некоторый нюанс – средство не стоит применять при наличии аллергии на белок. Дело в том, что в препарате присутствует казелин, который содержится в коровьем молоке. Поэтому если человек страдает непереносимостью белка, то такую пасту использовать не рекомендуют.
Для маленьких детей Rocs может применяться тогда, когда у них только начинают прорезаться молочные зубы.
Показанием к использованию может быть кариес или необходимость его профилактики, повышенная восприимчивость и чувствительность зубов к перепадам температур, смене вкуса. Назначают его для укрепления и профилактики заболеваний зубов, после снятия брекетов.
Противопоказаний, ограничений по возрасту не выделяется. В составе содержится белок казеин. Если у малыша аллергия на этот компонент, применение не рекомендуется.
Реминерализирующий гель — это специальное средство для укрепления зубов, качественного ухода за эмалью и всей полостью рта. Его используют для:
- удаления налета;
- возвращения зубам первоначальной белизны и блеска;
- укрепления, отбеливания и кальцинирования эмали;
- решения проблемы чувствительных зубов (к холодному, горячему, кислому и т.д.);
- замедления имеющегося кариеса;
- улучшения качества и внешнего вида эмали;
- стабилизации флоры в полости рта;
- восстановления зубов после снятия кап или брекетов.
Паста Rocs minerals абсолютно безопасна и это доказано в ходе многих клинических испытаний. Беременность и лактация тоже не являются причиной для отказа от использования этого препарата.
Можно было бы считать, что он вообще не имеет никаких противопоказаний, но все же есть один нюанс. В его составе есть казеин — белок, содержащийся в коровьем молоке, и на него у малыша может проявится аллергическая реакция. В таком случае использовать данное средство не рекомендуется.
Последствия стоматологических заболеваний
В начальной стадии кариес характеризуется деминерализацией (очаговой) неорганической слоя эмали и разрушением ее органического матрикса. В итоге это приводит к деструкции твердых тканей зуба и способствует образованию полости в дентине.
Если не лечить такое заболевание, то у пациента могут возникнуть воспалительные осложнения со стороны периодонта и пульпы.
Так как избавиться от кариеса, высокой чувствительности зубов и прочих стоматологических проблем? Для этого очень часто применяют гель «Рокс». Для укрепления зубов это средство подходит как нельзя лучше.
Форма выпуска и состав геля рокс
Гель рокс выпускается только в форме геля. Лекарство рокс имеет несколько разновидностей:
- гель со вкусом фруктов;
- реминерализирующий гель;
- гель для чувствительных зубов;
- реминерилизующий гель со вкусом клубники для детей.
В состав лекарства входят следующие компоненты:
- фосфор и кальций – укрепляют эмаль;
- ксилит – восполняет минеральный баланс и защищает зубы от инфекционных заболеваний;
- магний – поддерживает взаимодействие активных составляющих средства.
Препарат выпускается в форме геля, который содержит магний, фосфор, ксилит, укрепляющие поверхность, отбеливающие эмаль. Ксилит также способствует защите зубок от поражений инфекционного характера, помогает другим компонентам лучше проникать внутрь для защиты зубов и десен.
Особенность состава — отсутствие в нем фтора. Поэтому у геля практически нет противопоказаний, он безопасен при случайном проглатывании, может применяться в местностях с повышенным содержанием фтора в воде.
Как правильно использовать
Состав наносится на очищенную поверхность зубиков с использованием зубной щетки. Его оставляют на какое-то время, чтобы он впитался.
Можно использовать препарат вместо зубной пасты, хотя расход геля будет достаточно большим.
Если ребенок маленький, средство можно наносить пальцем либо очень мягкой щеткой, слегка втирая в область десен и эмали.
Даже если малыш проглотит небольшое количество препарата, это не страшно. Гель значительно лучше, чем паста: он попадает в труднодоступные участки, способствует минерализации, восстановлению эмали.
Для общего укрепления зубов, профилактики кариеса, других проблем минерализующий гель Рокс с кальцием используется для детей обычным способом — щеткой.
Для маленьких деток достаточно одной небольшой горошины, которая распределяется по эмали.
Использование
После появления на зубах белых пятен или полос в результате ошибок отбеливания, стоматологи рекомендуют пройти
Гель очень прост в использовании на дому. Одна аппликация продолжается 30 минут в день, минимальный курс продолжается 2 недели, оптимальный составляет месяц. В зависимости от состояния эмали в год рекомендуется проводить от одного до трех курсов.
В целях профилактики можно ограничиться двумя двухнедельными курсами в год. А если кариес уже имеется и необходимо укрепить эмаль, следует провести не менее 4 курсов. При отбеливании зубов гель РОКС следует применять на протяжении всего курса домашнего отбеливания, а затем – еще 2 недели после завершения.
Структура зуба и особенности эмали
Зуб как детский, так и взрослый, условно можно разделить на 3 части: коронковую, шеечную и корневую. Первая из них находится над десной, а две другие части — погружены в ткани альвеолы. Полость внутри зуба заполнена соединительной тканью с множеством нервных окончаний — пульпой. Коронка сверху покрыта эмалью, которая является самой твердой тканью в человеческом организме.
Что же собой представляет эмаль? Какова ее роль в жизнедеятельности человека? Итак, эмаль — это прозрачная пленка, покрывающая поверхность всех зубов и защищающая их от внешних воздействий. На 95-97% она состоит из минеральных веществ, в числе которых кальций и фосфор. Слой эмали представляет собой кристаллическую структуру, включающую в себя маленькие призмы гидроксилапатитами.
Ухаживая за полостью рта, не забывайте о деснах. При помощи щетины средней жесткости им можно сделать легкий массаж. Чтобы расслабить рот нужна будет мягкая щетка. После массажа было бы хорошо воспользоваться ополаскивателем. Он является одновременно и антисептическим, и тонизирующим средством.
Как же восстановить стертую эмаль, ведь любое ее повреждение может привести к необратимым последствиям, а сама она восстановиться не сможет? В таком случае используется метод минерализации, в результате которого эмаль укрепляется за счет насыщения ее минералами.
Ксилит, который входит в состав препарата, способствует повышению реминерализующего комплекса, кроме того он позволяет подавить активность бактерий, провоцирующих появление кариеса и болезней десен. За счет наличия специальных добавок, гель формирует невидимую и стабильную пленку поверх зубов. Благодаря этому продлевается время экспозиции активных веществ.
Гель РОКС для зубов фото
- является прекрасным профилактических средством против кариеса;
- эффективно помогает бороться с кариесом на стадии белого пятна;
- дает возможность значительно улучшить вид зубов в случае флюороза;
- устраняет повышенную зубную чувствительность;
- восстанавливает нормальный внешний вид зубов, нарушенный в результате лечения брекетами;
- осветляет зубы примерно на 4.8 оттенка;
- придает зубам натуральный блеск;
- стабилизирует микрофлорный состав ротовой полости.
За счет того, что в состав геля не входит фтор, гарантируется следующее:
- препарат полностью безопасен даже при проглатывании;
- он подходит даже грудным малышам;
- является незаменимым и максимально эффективным для борьбы с кариесом в тех районах, где количество фтора, содержащееся в питьевой воде, значительно повышено;
- необходим людям, кому не рекомендуется применять средства, имеющие в составе фтор (к примеру, при заболеваниях щитовидки, при почечной недостаточности, при остеопорозах и прочее).
Самой твердой тканью является эмаль зуба, которая покрывает его коронку и располагается над дентином. Толщина этого слоя различна в разных участках. Таким образом, в области шейки эмаль самая тонкая, а на окклюзионной (жевательной) поверхности ее толщина максимальна.
Твердость эмали зуба можно объяснить ее составом, ведь она на 96% состоит из неорганических веществ. Основными из них являются гидроксиапатит и фторапатит. Важную роль играют такие элементы, как кальций, медь, алюминий, которые распространены в ткани равномерно. Также немаловажное значение имеют железо, цинк и свинец – они сосредоточены преимущественно в поверхностном слое.
Механизм действия Минералина
Первый этап – удаление зубного налета за счет бромелаина: этот фермент расщепляет налет и задерживает его повторное образование. Зубы становятся безупречно чистыми и гладкими, а дыхание – свежим.
Второй этап – очищенная от налета эмаль более восприимчива к благотворному воздействию минерального комплекса, содержащегося в пастах РОКС. Проникая в эмаль зуба, активные компоненты – кальций, магний, фосфор – повышают сопротивляемость зуба к воздействиям внешней среды и размножению бактерий.
Пасты РОКС помогают даже остановить развитие кариеса на ранних его стадиях, насыщают зуб полезными минералами, сходными по структуре с его составом.
SPLAT Junior
В этом списке находится еще один продукт данного российского производителя, однако это не совсем зубная паста. Это революционное средство, которое значительно упрощает процесс чистки зубов для самых маленьких. Это пенка для зубов, которую очень легко наносить, но при этом она имеет идеальную текстуру и позволяет ребенку спокойно сглатывать то, что не удается выплюнуть. Вы можете купить как пенку без фтора, так и с очень низким содержанием фторидов. Так или иначе, пользователи, которые решаются на необычный эксперимент и заменяют традиционную пасту пенкой, остаются в восторге от результата. Что касается стоматологов, то они также одобряют подобный подход, а также отмечают, что выпуск двух разных продуктов был правильным шагом, и вы теперь можете отказаться от зубной пасты, давая вашему ребенку первую версию пенки до года, а вторую – с года до трех-четырех лет.
Важные рекомендации, меры предосторожности
Подросткам и детям рекомендуют использовать гель и пасту Рокс комплексно.
Важно убедиться, что аллергии на компоненты нет.
Родители должны позаботиться о правильном рационе малыша. Нужно ограничить количество в нем мучного, сладкого, обогатить меню продуктами, содержащими кальций, свежими фруктами и овощами.
Правильное питание определяет не только состояние зубок, но и здоровье малыша в целом.
На состояние эмали влияют инфекции ротовой полости, нарушения прикуса, заболевания внутренних органов.
Комментарии
Читала, что твердый налет можно убрать народными методами, например, лимоном и редькой. А вы как считаете?
Анна (02.12.2018 в 17:53) Ответить на комментарий


















