С проблемой дёсен в своей жизни сталкивается 9 из 10 человек. К ним относится и гингивит.
Это болезнь, вызывающая такие симптомы, как: воспаление, кровоточивость дёсен и неприятный запах изо рта.
Быстро вылечить заболевание возможно и дома, но при условии, что оно находится на ранних стадиях. Рекомендовано обращаться к стоматологу при малейшем подозрении, ведь лечение гингивита народными средствами в домашних условиях требует определённой методики.
Odnoklassniki
Что такое гингивит
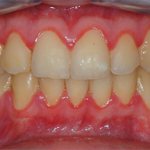
Гингивит десен Гингивитом называют заболевание, при котором воспаляется часть десны, прилегающая к зубам (краевая). Такое патологическое состояние ротовой полости чаще всего наблюдается у лиц, имеющих ослабленный иммунитет, хронические болезни, а также у детей, подростков и беременных женщин.
Оно протекает медленно, но несмотря на это, его можно обнаружить. Если не предпринять соответствующих мер и не обратиться к стоматологу, то это заболевание перейдет крайне опасную форму.
Явными проявлениями гингивита являются воспаление десен, их отек и кровоточивость. В большинстве случаев болезнь возникает вследствие пародонтоза, инфекционных болезней, пародонтита и иных стоматологических проблем с деснами.
Тяжесть данного патологического состояния проявляется в виде целого ряда изменений, происходящих в организме человека, и масштабами воспалительного поражения в слизистой оболочке полости рта. Выделяют следующие стадии развития гингивита:
- Легкая – I степень, которая затрагивает только межзубные сосочки.
- Средняя – II степень, поражаются и межзубные сосочки и свободная (краевая) десна. Такое состояние наблюдается при распространении воспалительного очага.
- Тяжелая – III степень, воспалительному поражению подвергаются все десны, в том числе и альвеолярная (прикрепленная) часть.
Самодельные пасты при заболевании
Отличное дополнение к курсу терапии гингивита — использование самодельных зубных паст. Эти средства способствуют скорейшему заживлению ран. Лечение гингивита народными средствами проводится с помощью следующих составов:
- Травяная паста. В состав средства входят гвоздика, бадан и лапчатка. Последние два компонента перетирают на терке и добавляют к ним гвоздику (5 штук). Все растения измельчают в кофемолке и добавляют к обычной зубной пасте. Средство обладает успокоительным и укрепляющим действием.
- Медовая паста: 2 части продукта пчеловодства перемешивают с 1 частью поваренной соли. Используют, не смешивая с другими зубными пастами.
Причины возникновения
Условно причины развития гингивита можно поделить на внешние и внутренние. Среди внутренних факторов, провоцирующих воспаление десен выделяют:
- Рост коренных зубов. Случаются ситуации, когда в процессе роста зуб сильно травмирует десну и вызывает кровотечение, а потом и гингивит.
- Недостаточное количество в организме полезных веществ, что значительным образом снижает не только общий, но и местный иммунитет.
- Болезни органов пищеварения.
- Заболевания инфекционного характера. Такая форма болезни часто отмечается у маленьких детей с еще несформировавшимся иммунитетом.
- Наличие в полости рта пораженных кариесом зубов.
В списке внешних причин гингивита находятся:
- травмы физического характера;
- ожоги слизистой в ротовой полости;
- облучение;
- продолжительное воздействие тяжелых металлов на организм, в частности висмута, свинца.
В период беременности у женщин воспаление десен наблюдается очень часто, когда перестройка организма происходит достаточно активно. Это касается и детей-подростков.
Написать комментарий
-
Светлана
17 декабря 2019 в 23:48
С гингивитом знакома, к сожалению. Даже не думала, что есть столько методов лечения. Мне всегда помогает частое полоскание со спиртовой настойкой календулы, отваром шалфея, фурацилином. Но действительно частое — каждый час. Никакой горячей пищи и питья. Обязательное полоскание обычной кипяченой водой после любого приема пищи. И конечно чистить зубы, даже если неприятно. Попробую, если опять воспалятся десны, применить эфирное масло, как здесь советуется. Надеюсь, что тоже будет положительный эффект.
-
Галина
31 января 2019 в 8:57
С проблемой гингивита столкнулась много лет назад.Перепробовала массу рецептов. Зубную щетку покупаю только мягкую. Не грызу фрукты (режу на дольки и только затем жую).Обязательно тщательно полощу рот после каждого приема пищи.Помогают полоскания с отваром коры дуба или шалфея. Из леченых масел пробовала масла чайного дерева и пихтовое масло — очень даже хороший результат и возиться меньше, чем с отварами.
-
Инна
10 июля 2019 в 8:50
С проблемой воспаления десен, столкнулась впервые в прошлом году. Не понятно почему, но в деревне у бабушки (хоть и всегда тщательно слежу за зубами и полостью рта), но все равно стали кровоточить и опухать десна. Проконсультировавшись у врача узнала, что гингивит лечится легко, медикоментозно или же необходимо почаще полоскать полость рта травами.Полоскала ежедневно по 4-5 раз в день отваром из корок граната и проблема ушла. Теперь всегда пользуюсь ополаскивателями для полости рта на основе трав и проблем не возникает.
-
Лариса
8 декабря 2019 в 3:27
Долгое время не могла избавиться от гигинвита, в добавок кровоточили дёсна! Чистка зубов превращалась в пытку, подруга посоветовала полоскать отваром коры дуба! Через некоторое время кровотечение прекратилось, опухоль десен прошла, гигинвит отступил, но в комплексе с отваром, я поменяла зубную щётку и приобрела зубную пасту parodontax! Спустя не сколько лет мои десна и зубы меня не беспокоят!
-
Света
5 ноября 2019 в 15:13
Что такое гингивит беременных знаю не понаслышке. В середине срока внезапно стали опухать десны и местами кровоточили, болели. Стоматолог посоветовал побороться домашними средствами, а когда станет чуть получше прийти на проф. гигиену. В течение 2-3 недель полоскала рот отваром ромашки и прикладывала ватные компрессы с пихтовым маслом. Сменила щетку на мягкую. Помогло: десны стали болеть меньше и спали припухлости. А уже после проф. гигиены совсем все прошло.
-
Эльвира Васильевна
27 ноября 2019 в 18:19
Хочу поделиться проверенным способом от воспаления десен, который помогает за день. Взять календулу, ромашку и кору дуба в равных пропорциях, залить кипятком так, чтобы раствор в результате получился концентрированным, оставить в чайнике до полного остывания. Затем процедить через сито и марлю до исчезновения всех остатков трав. Раствор должен быть темным. Перед применением нагреть в микроволновке до такой температуры, которую получится терпеть. Делать ванночки, т.е. набрать в рот раствор и держать сколько возможно. Так делать каждый час до полного исчезновения симптомов. Настой безопасен при проглатывании.
-
Rustam
30 ноября 2019 в 18:54
У меня заболели десна, внезапно, ни с того ни с сего, гигиену полости рта я соблюдаю. Вдруг встаю утром, чувствую дискомфорт, начал чистить зубы, ощутил жуткую боль, будто прошелся щеткой по открытой ране. Стал рассматривать, обнаружил опухшие и красные десна. Буду пробовать лечиться холисалом и полосканиями.
-
Семен Д.
3 декабря 2019 в 17:20
На самом деле лечение гингивита дома оправдано, т.к. врачи серьезно к этой болезни не относятся и выпишут все то же самое, что рекомендуется в этой статье. Один раз у меня возник гингивит на нижний передних зубах, десна стала аж в несколько раз больше обычного. Я тогда не знал, что это, жутко испугался, прочитал разные рекомендации в интернете и понял принцип лечения. Но все равно взял талон и отсидел три с половиной часа в очереди. В итоге стоматолог глянула 1 секунду и выписала все то же самое, что я сам себе назначил. Еще сказала, зачем по таким пустякам ходить на прием. Вот так.
Виды и симптомы
| Катаральный гингивит | Характерными признаками являются: возникновение неприятных ощущений в области десен, наличие дурного запаха изо рта, изменение вкуса пищи, во время употребления еды из десен источается кровь. При хронической и острой форме катарального гингивита болевые ощущения во время принятия пищи значительно усиливаются. Это связано с наличием механических или химических раздражителей. Острая форма заболевания развивается на фоне острых инфекционных процессов в организме. В момент осмотра ротовой полости виден сильный отек десны, цианоз, локальные поражения, находящиеся на верхушках межзубных сосочков. |
| Гипертрофический гингивит | Это хроническая форма заболевания. Возникновение гипертрофических процессов в основном происходит на фронтальных зонах верхней и нижней челюсти, а также на участках, которые близко расположены к зубам, на аномальных областях челюсти, оказывающих чрезмерную нагрузку на конкретные части десен. Существует две формы гипертрофированной разновидности гингивита: генерализованная и локализованная. При генерализованной форме патологическое состояние наблюдается, когда неправильно расположены зубы (аномально), было травмирование десен, есть нависающие пломбы и т. д. Вторая форма проявляется при эндокринных нарушениях, у детей в период полового созревания, при гиповитаминозе C и др. |
| Язвенный гингивит | Этот вид воспалительного поражения десен развивается преимущественно у детей, как результат острого катарального гингивита. Он проявляется в виде некроза, общего ухудшения самочувствия, образования язвочек на слизистой оболочке ротовой полости – десне. Заболевание начинает развиваться на фоне сильного переохлаждения организма, после перенесенного инфекционного состояния, при прорезывании зубов. Обнаружить его можно по наличию отека и кровоточивости десен. Спустя некоторое время на десневых сосочках появляется серо-зеленый налет. Налет есть и на зубах, несмотря на то, что он достаточно мягкий, но снять его очень проблематично. Язык также обложен, а слюна имеет вязкую консистенцию. |
| Атрофический гингивит | В большинстве случаев симптомы таковы: цвет десны меняется на бледно-розовый, воспалительный очаг и кровоточивость практически не наблюдается или в незначительной форме. Маргинальная часть десны уменьшается в объеме, межзубные сосочки остаются в неизменном виде, но при этом формируются V-образные атрофированные участки. Со временем десневой край становится слишком плотным, появляется выраженный валик из гипертофирофанной ткани. Как результат шейки зубов оголяются и появляется патологическая чувствительность к внешним раздражителям. При отсутствии должного лечения десневые сосочки исчезают и образуются межзубные промежутки значительных размеров, в которых поселяется патогенная микрофлора и еще сильнее усугубляет заболевание. |
Почему важно обратиться к врачу
При появлении первых признаков гингивита, нужно сразу обратиться к квалифицированному стоматологу или пародонтологу. Это нужно для того, чтобы подтвердить диагноз. По внешним признакам, гингивит напоминает пародонтоз или пародонтит, однако, между этими недугами имеются существенные отличия.
В частности, гингивит поражает только дёсны, не затрагивая костную ткань. При пародонтозах картина противоположная: зубы начинают расшатываться, при этом воспаления в дёснах практически не наблюдается. Однако определить эту разницу может только опытный врач. После подтверждения диагноза назначается схема лечения.
Важно! Врач должен быть действительно опытным. При пародонтозе, потенциально опасные зубы удаляют. При правильном лечении гингивита зубы обычно сохраняются.
Общие этапы лечения
- Диагностическое подкрашивание зубов фуксином. Перед тем, как составить план лечения квалифицированный специалист при помощи специальных гигиенических индексов проводит оценку степени загрязнения зубов. Чтобы визуализировать количество имеющегося налета применяются подкрашенные вещества в виде фуксина, йодового раствора, эритрозина, зеленки. Те участки зубов, на которых имеется налет, моментально меняют цвет, что дает возможность доктору определить масштабы поражения.
- Пациента обучают правилам ухода за ротовой полостью и зубами. Врач в индивидуальном порядке подбирает зубную пасту, щетку и дополнительные средства по уходу за зубами. Кроме этого, проводится беседа о роли питания в процессе развития патологического состояния. Основной причиной распространения заболевания является патогенная микрофлора в ротовой полости, размножению которой содействуют остатки пищи между зубами. Болезнетворные микроорганизмы оказывают пагубное влияние на состояние десен. При недостаточном потреблении твердой пищи увеличивается вероятность появления кариеса, стоматита, гингивита. Твердые продукты (сырые овощи, фрукты) способствуют естественной очистки зубов от образующегося налета. Еще сопутствующими факторами развития патологии десен является неправильный прикус, плохо установленные коронки, пломбы. Это относится и к взрослым, и к детям.
- В условиях клиники квалифицированный специалист осуществляет профессиональную чистку ротовой полости, то есть при помощи ультразвука удаляет зубной камень, очищает зубы стоматологической щеткой и лечебной пастой, производит полирование зубных шеек, поскольку в пришеечной зоне особенно много накапливается налета, приводящего к поражению десны.
- Проводится лечение пораженных десен медикаментозными препаратами, при необходимости этот метод могут сочетать с хирургическим и физиотерапевтическим лечением. Используются при патологии десен лазер, электрофорез, УФО, дарсонвализация.
- При наличии хронических заболеваний пациент может быть направлен на сдачу дополнительных анализов, в частности крови, мочи. Ему также потребуется проконсультироваться у соответствующих специалистов.
Профилактика
Главное место среди профилактических процедур занимает соблюдение правил гигиены, очень важно регулярно проводить чистку зубов, не только утром и вечером, но и после каждого приема пищи. Рекомендуется использовать зубную нить, лопаточку для чистки языка.
Другие меры профилактики:
- применение зубных паст, обогащенных растительными экстрактами, витаминами, обладающими противовоспалительными свойствами;
- правильный выбор зубной щетки — она должна обладать твердостью, но не травмировать ткани десен, при кровоточивости предпочтение на время терапии следует отдавать мягким щеткам;
- профилактические осмотры минимум 2 раза в год, при выявлении патологической симптоматики обязательная квалифицированная медицинская помощь.
Как лечить гингивит, в зависимости от вида
Атрофический
Также исключаются все факторы, которые травмируют и раздражают мягкую ткань пародонта – десну. Производится профессиональная гигиена ротовой полости и предписывается терапия, способствующая улучшению трофика десен. Если есть острая необходимость, то осуществляется коррекция зубных протезов и ортодонтических аппаратов.
Инфекцию, вызывающую данную патологию, можно вылечить при помощи антибактериальных средств. Десна обрабатывают перекисью водорода либо иными антисептиками.
В комплексное лечение входит также обработка зубных шеек путем применения фтора, вибрационного массажа десен, ауто- и гидромассажа, пародонтологических аппликаций с маслом шиповника либо облепихи. При атрофическом гингивите могут назначать лечение электрофорезом, ультразвуком, дарсонвалем и другими видами физиотерапии.
Если заболевание слишком запущенное, то доктор может порекомендовать гингивопластику. Это хирургическая операция, при которой восстановление атрофических участков десен производится за счет соседних здоровых тканей.
Катаральный
В данном случае снимаются зубные отложения под местной анестезией, лечится кариес, производится замена пломб, перепротезирование, пластика уздечек и др. В некоторых случаях только использование этих мер позволяет купировать воспалительные явления.
Лечение катарального состояния проводится при помощи местной и общей медикаментозной терапии. Локальное воздействие осуществляется путем наложения пародонтологических аппликаций, обработки слизистой и полосканий рта растворами на основе антисептиков (фурацилина, хлоргексидина, мирамистина).
Положительный результат дает применение отваров из лекарственных трав, мазевых лечебных повязок на воспаленные десны. Если признаки заболевания сохраняются, то пациенту предписывают прием нестероидных противовоспалительных средств, поливитаминов, физиотерапию, массаж десен. При наличии общих болезней требуется консультация профильных специалистов.
Гипертрофический
Лечение отечности состоит из удаления зубного налета, обработки антисептиками слизистой оболочки полости рта, пародонтологических аппликаций, ротовых ванночек и полосканий целебными отварами, применения электрофореза, гальванизации, дарсонвализации, ультразвука, массажа десен.
Если местные противовоспалительные манипуляции не дали нужного эффекта, то производится склерозирующая терапия, которая включает инъекционный ввод в десневые сосочки растворов глюконата кальция либо хлорида, глюкозы, этилового спирта при местном обезболивании. Для снятия воспаления и выраженности отека назначают гормональные мази, которые втирают в десневые сосочки, инъекции из стероидных гормонов.
Кроме этого, местная терапия также состоит из устранения травмирующих факторов, где производится замена пломб, реставрация зубов, корректируются протезы, пластика уздечек языка, губ.
Язвенно-некротический
Для снятия болевых ощущений при воспалении десны используют компрессы с анестезирующими средствами, в частности Лидокаином, Новокаином. Также предписывают антимикробные препараты с учетом чувствительности конкретной инфекции.
Это могут быть лекарства пенициллинового ряда, Трихомонацид, Метронидазол. Чтобы эффективно очистить эрозии и язвы от некротических масс назначают протеолитические ферменты (Химопсин, Трипсин, Террилитин).
Обязательно пациент должен проводить регулярные полоскания ротовой полости растворами Хлоргексидина, Мирамистина. Для ускорения процесса регенерации тканей на десне применяют аппликации на основе препаратов кератопластического воздействия (масла шиповника, Актовегина, Метилурацила). Нестероидные противовоспалительные средства (Кетопрофен, Индометацин, Диклофенак) рекомендуют пациенту для снятия воспалительного процесса и болевых проявлений.
Из физиотерапевтического лечения могут назначаться электрофорез, УФО, ультрафонофорез.
Особое внимание уделяется диете, которая должна содержать преимущественно белки и витамины. Питье при патологии десен должно быть обильным.
Массаж десен
Быстро облегчить болевые симптомы при гингивите помогает массаж. Процедура практически не имеет противопоказаний к проведению (кроме повышенной температуры и гнойных осложнений). Перед массажем руки тщательно моют с мылом и выполняют следующие приемы:
- Поглаживание. Этими манипуляциями начинают и завершают процедуру. С щечной стороны десен располагают один большой палец, а с вестибулярной – второй. Движения для нижней челюсти осуществляют сверху вниз, а для верхней снизу вверх. При этом не нужно сильно надавливать на мягкие ткани. Начинают массаж со здоровых участков десен, постепенно переходя к пораженным, уменьшая интенсивность надавливания.
- Растирание. Движения улучшают кровообращение в деснах и тем самым способствуют их скорейшей регенерации. Движения выполняют по кругу с незначительным нажимом на десны, затем силу воздействия увеличивают. Растирания могут проводиться прямым и непрямым (массаж через кожу лица) способом.
- Выжимания. Интенсивными движениями из поддесневых участков стараются выдавить застойные массы.
- Компрессионные действия. Указательным и большим пальцем одновременно сдавливают десну с внутренней и внешней стороны. Длительность воздействия – не более 7 секунд. При каждом захвате прорабатывают новый участок. Движения осуществляют от фронтальной стороны к боковым участкам.
Лечение в домашних условиях
Препараты
Гингивит в некоторых случаях требует приема антибактериальных средств, но их должен назначать только доктор. Высокой эффективностью обладают Метронидазол, Эритромицин и Амоксициллин.
Метронидазол
Эритромицин
Амоксициллин
Средства местного действия
Из всего многообразия противовоспалительных средств выделяют Метрогил-Денту, Асепта-гель, Холисал-гель, Солкосерил.
Метрогил-Дента
Асепта-гель
Холисал
Солкосерил
Народные методы
Хорошо себя зарекомендовали при воспалении десен настои для полосканий, изготовленные из календулы, шалфея, зверобоя. Его готовят из 10 г фитосырья и 1 ст. кипятка. Время настаивания 30 мин. Перед применением остудить и процедить.
Компрессы с использованием каланхоэ (3-х летнего возраста) либо алоэ. После втирания сока растения значительно уменьшаются болевые ощущения, устраняется кровоточивость десен и снимается отечность.
Отвар, приготовленный из сбора, в который входят листья шалфея, корень аралии маньчжурской, цветы календулы, плоды шиповника, проявляет свою активность против поражения десен. Его готовят из 2 ст.л фитосырья и 1 ст. кипятка. Время настаивания 30 мин. Отвар употребляют внутрь в течение всего дня.
Витамины
Для лечения патологии десен в домашних условиях применяют витаминные препараты группы C и P (Аскорутин, Аскорбиновая кислота, Кверцетин).
Аскорутин
Аскорбиновая кислота
Кверцетин
Отвары и настойки для полоскания рта
Самый простой народный способ борьбы с гингивитом – полоскание ротовой полости крепкой чайной заваркой. Процедуру нужно выполнять 2 раза в сутки после основной чистки зубов. Есть и другие рецепты, с помощью которых можно проводить лечение гингивита в домашних условиях:
Чем лечить воспаленные десна
- Капустный сок. Овощ измельчают на терке и выдавливают из полученной массы сок. Жидкость разводят на 50% с водой и используют ее в качестве обработки рта 3-4 раза в день.
- Смесь трав. В одинаковых пропорциях смешивают календулу, ромашку и шалфей в количестве 6 г. Смесь заливают стаканом кипятка, плотно закрывают крышкой и обертывают полотенцем на 15 минут. Ротовую полость обрабатывают настойкой после ее остывания и процеживания.
- Кору дуба: 6 г сырья заливают стаканом воды и ставят томить на медленный огонь на 20 минут. Для лечения гингивита средство используют 2-3 раза в день.
- Настойка прополиса: 15 г ингредиента заливают 50 г водки. Средство настаивают 2-3 дня в темном месте и используют для полоскания рта. Перед процедурой лекарство разбавляют (4-5 капель в 100 мл воды).
- Настойка зверобоя – сухие листья растения измельчают до порошкового состояния и заливают 100 мл растительного масла (любого вида). Смесь ставят на огонь и выключают, не давая ей закипеть. Масляной настойке дают остыть 2-3 часа, а затем протирают ей пораженные участки 2-3 раза в сутки.
- Сок хрена: овощ измельчают на терке, а из полученной кашицы выжимают сок. Его разводят напополам с водой и применяют для борьбы с симптомами гингивита (кровоточивостью десен, неприятным запахом изо рта).
- Настойка черники: 5 г сухих плодов заливают 200 мл воды и настаивают 8 часов. Средство используют 3-4 раза в день при воспалительных заболеваниях рта: гингивите, стоматите.
Особенности лечения гингивита у детей
Если у ребенка было обнаружено воспаление десны, то доктор сначала удаляет зубной налет, назначает противовоспалительную терапию в виде применения мазей, геля. При необходимости предписывает антибиотики. Также рекомендует полоскать рот растворами на основе антисептиков (Мирамистина, Хлоргексидина).
У беременных
Если заболевание имеет легкую форму, то десны обрабатывают раствором из Мирамистина, Тантум – Верде, Хлоргексидина. Кроме этого, назначаются таблетки Лизобакт. Поврежденные участки десен смазывают маслом шиповника или облепихи. Эффективно наносить на язвочки мазь Левомеколь.
Комплексная терапия
Лечение гингивита у взрослых, у детей и у беременных должно сочетать осмотр специалиста, прием прописанных им препаратов и домашнее лечение. Обойтись одной терапией на дому не получится. Без профессиональной чистки, шлифования, полировки зубов, заболевание проявит себя снова, как только перестанет действовать лекарство.
Только пародонтолог сможет разобраться, какой вид гингивита беспокоит пациента и назначить индивидуальное лечение. Только у специалиста можно пройти курс избавления от болезни с помощью специальных аппаратов и способов, о которых мы писали в статье «Гингивит: симптомы и лечение».
Профилактические меры
Чтобы снизить риск поражения десен нужно:
- Дважды в день чистить зубы.
- Своевременно лечить пораженные кариесом зубы.
- Тщательно очищать межзубное пространство.
- Регулярно посещать стоматолога.
- Избегать переохлаждения организма.
- Употреблять витаминные комплексы для поддержания иммунитета.
- Отказаться от вредных привычек.
- Придерживаться здорового образа жизни.
Диагностика
Диагностика гингивита проводится несколькими способами, которые применяются в комплексе. На первоначальном этапе, врач собирает анамнез:
- Выясняется режим питания и вредные привычки;
- Уточняются причины удаления/выпадения зубов;
- Определяется генетическая предрасположенность.
После этого проводится осмотр ротовой полости, глубина зубных каналов изучается специальным зондом. К дополнительным методам диагностического исследования относится рентген и проверка чувствительности пульпы.
Для диагностики гингивита могут применяться такие методики:
- Индекс Фёдорова-Володкиной;
- Индекс РМА;
- Проба Шиллера-Писарева.
Коротко о заболевании
Стоматит — это довольно распространенное заболевание слизистой оболочки во рту. Возникает этот недуг чаще всего тогда, когда ослаблен иммунитет. У грудных детей это заболевание связано с тем, что они тянут в рот разные предметы и тем самым заносят инфекцию.
Для болезни характерно появление во рту небольших язвочек, которые изначально не доставляют особого дискомфорта.
На начальных стадиях стоматит имеет схожие симптомы с простудными заболеваниями, а спустя время у больного отмечается увеличение подчелюстных лимфоузлов, покраснение десен и появление характерной сыпи. В некоторых случаях болезнь может сопровождаться высокой температурой тела.
Избавиться от болезни при своевременном лечении можно за неделю, если же недуг имеет запущенную форму, то исцеление займет больший срок.
Противопоказания
Облепиховое масло нежелательно применять при наличии:
Также следует воздержаться от приема масла во время обострений заболеваний печени, поджелудочной железы, желчного пузыря.
Светлана, 40 лет
Уже несколько лет использую масло облепихи при стоматите. Результатом довольна, народное средство быстро заживляет ранки, снимает боль.
Для лечения любых болезней всегда приобретаю средства народной медицины. Уже много раз убеждалась в том, что они намного эффективнее большинства медикаментов. Облепиховое масло применяю как для терапии, так и для профилактики стоматита. За несколько дней использования продукта болезнь полностью отступает.
Пробовала много различных средств от стоматита, но лишь малая часть из них приносила положительный результат. Подруга посоветовала использовать масло облепихи. Изначально у меня возникли проблемы с тем, как мазать им пораженную слизистую. Стоит ли наносить масло на десну или лучше использовать примочки. В итоге, применила оба метода, разницы в результате не заметила. Рекомендую масло облепихи для лечения стоматита.
Народные средства для приема внутрь
- Залить 1 стол. ложку измельченных сосновых иголок стаканом кипятка, настаивать под крышкой 1 час, процедить. Выпивать по 50 мл 3 р. в день после еды, можно этот же настой использовать для полоскания. Настой обладает противомикробным и дезодорирующим действием, содержит витамины.
- Смешать 100 гр. растертого творога и 1 чайн. ложку свежего лимонного сока. Съедать такую порцию 2 р. в день. Это средство для повышения иммунитета.
- Взять 2 стол. ложки листьев лимонной мяты, 1 стол. ложку сушеных ягод черники, 2 чайн. ложки корня рогоза узколистного, 1 чайную ложку незрелых почек и шишек сосны (ели), все ингредиенты измельчить и перемешать, залить 2 стаканами горячей воды, кипятить под крышкой в течение 20 минут и настаивать еще 30 минут. Затем процедить, оставшееся сырье отжать и долить горячей воды до прежнего объема. Пить отвар по 1/3 стакана 3 р. в день после еды, также можно прикладывать к деснам смоченный в отваре тампон 4 р. в день.
Какие антибиотики принимать?
Самостоятельно не стоит начинать лечение антибиотиками. Только врач сможет определить чувствительность микроорганизмов к тому или иному виду препарата. Он сможет назначить вам корректное и адекватное лечение.
Для лечения воспалительного процесса на деснах широко применяются различные виды антибиотиков (прежде чем использовать, проконсультируйтесь со специалистом):
- Метронидазол (другое название – Трихопол). Это антимикробный препарат широчайшего спектра действия. Поражает многие бактерии и микроорганизмы.
- Амоксициллин. Для детей применяется половина дозы. Спектр действия препарата довольно широкий.
- Эритромицин. Эффективен для лечения от многих микроорганизмов, в частности от стрептококков и стафилококков.
Раньше для лечения микробных заболеваний полости рта применялся тетрациклин, но сейчас доказано, что он вызывает пожелтение зубной эмали. По этой причине стоит отказаться от его применения в стоматологии.
Натуральная жвачка
- Растопить на огне 100 гр. пчелиного воска и постепенно добавить туда 50 гр. меда, 10 капель сока лимона и 3 капли мятного масла. Тщательно перемешать, снять с огня и охладить. Из полученной массы слепить шарики, которые жевать 3-4 р. в день.
- Корень аира хорошо вымыть, разрезать на небольшие кусочки и разжевывать их в течение 15 минут. Делать это 2-3 р. в день. Аир обладает противомикробными, обезболивающими свойствами и вяжущим эффектом.
- Можно жевать свежий лист алоэ 2 р. в день. Или смочить соком алоэ полоску марли и прикладывать к воспаленным деснам. Алоэ обладает выраженным противовоспалительным действием. Курс лечения – 10 дней.
Профилактика гингивита – как избежать проблем?
Итак, мы выяснили, что заболевание можно успешно вылечить, но гораздо проще его предотвратить. Ниже приведены некоторые полезные рекомендации, которые обязательно вам в этом помогут.
Таблица. Как предотвратить развитие гингивита – пошаговая инструкция.
| Шаги, фото | Описание действий |
| Шаг первый | Чистите зубы тщательно минимум два раза в день. Особенно важно чистить зуб перед сном. Процедура чистки должна составлять не менее двух минут, не забывайте при этом о тыльной стороне самых дальних зубов. |
| Шаг второй | Каждые шесть месяцев посещайте врача-стоматолога. Регулярное посещение очень важно, ведь специалист может, к примеру, указать на то, что вы неправильно делаете при чистке зубов (это относится к стоматологу-гигиенисту) или посоветовать что-то от боли при необходимости. |
| Шаг третий | Пользуйтесь ополаскивателем для ротовой полости. Отдавайте предпочтение средствам с антибактериальными компонентами и составляющими, которые препятствуют появлению зубного налета. |
| Шаг четвертый | Что касается зубных паст, то они должны быть противогингивитными/противокариозными и содержать фтор. Благодаря последнему, предотвращается образование кислоты бактериями во рту и повышается устойчивость зубов к гниению. |
| Шаг пятый | Наконец, минимум два раза в день пользуйтесь флоссом (зубной нитью). Нить способна проникать в самые труднодоступные места, да и циркуляция крови в деснах из-за этого улучшается. |
Фото гингивита
Читайте здесь! Гастрит — виды, описание болезни, лечение проверенными современными и народными методами (110 фото)
Пожалуйста, сделайте репост
Польза облепихи при лечении стоматита
Облепиховое масло — это универсальное средство для лечения стоматита различных видов, при этом оно подходит как грудным детям, так и взрослым. Стоит отметить, что масло облепихи особенно актуально для лечения болезни у грудных детей, так как средство натуральное и практически не вызывает никаких побочных эффектов.
Основное лечебное свойство облепиховой выжимки, которое крайне важно при стоматите, это быстрая регенерация поврежденных тканей слизистой оболочки. Такой эффект достигается благодаря сбалансированному содержанию в нем полезных элементов:
Лечение стоматита облепиховым маслом помогает:
Компрессы
- Натереть на терке свежую свеклу, 1 стол. ложку свеклы смешать с 1 чайн. ложной прокипяченного растительного масла. Полученную кашицу наносить на десны на 15 мин. несколько раз в день. Курс – 7-8 дней, через 2 мес. можно повторить.
- Смешать 1 яичный желток, 1 стол. ложку растительного масла (любого) и 1 чайн. ложку сахарной пудры до получения однородной массы, смочить в ней полоску марли (ткани) и приложить к десне.
- На полоску стерильной марли обильно нанести облепиховое масло и приложить к деснам на 1 час. Делать такой компресс й раз в день перед сном.
- Пропитать ватный тампон соком брусники и приложить к деснам.




