Что такое реставрация зубов пломбировочным материалом?
В стоматологии термин обозначает придание зубу анатомической формы, цвета с сохранением функциональных нагрузок.
Художественная реставрация пломбировочным материалом представляет собой процедуру, которая проводится на заключительном этапе лечения.
Она предусматривает заполнение полости зуба специальным раствором для установления пломбы.
Данный вид работ применяют при различных поражениях, в частности кариесом. Пломбировочный материал заменяет недостающий фрагмент зуба, сохраняя его функции.
Наибольшего профессионализма и умения требуется при выполнении реставрации с помощью пломбирования спереди, ведь одной из задач является придание челюсти эстетического вида.
Восстановление целостности фронтальной группы зубов с применением пломбировочного материала делается в следующих случаях:
- разрушение эмали и тканей;
- наличие сколов;
- если изменился цвет;
- гипоплазия (недоразвитие тканей);
- при необходимости эстетического выравнивания поверхности зуба (врождённый либо приобретённый дефект);
- при наличии щели между зубов;
- для восстановления эмали после удаления поражённых фрагментов, в том числе после лечения кариеса.
Отзывы
Анна, 32 года
На личном опыте проверила, что лучше всего реставрация зубов в зоне улыбки может быть проведена с помощью виниров. У меня в видимой части было пять непривлекательных зубов, которые я таким способом замаскировала. С помощью данных конструкций врач подкорректировал мне форму и цвет, а также выровнял неровности. Результатом я очень довольна.
Михаил, 48 лет
Почти отсутствовали два коренных зуба, остались практически только корни. После установки штифтов из стекловолокна, на них сделали наращивание зубов. Не пришлось даже надевать протезы. Ничего не мешает при жевании. Ем все подряд. Работа врача меня полностью устроила. Советую всем тщательно выбирать стоматологию, где будете лечиться, тога все будет хорошо.
Методы
Процесс восстановления передних зубов осуществляется по одной из существующих методик, которая подбирается специалистом индивидуально.
Композитный материал фиксируется непосредственно в полость или вначале изготавливается вкладка, которая потом крепится на клеевой состав:
- Прямая реконструкция предусматривает наложение на подготовленное место пломбировочного состава согласно технологии и правилам использования выбранного материала.
- Непрямая реставрация предполагает применение вкладок, которые изготавливаются вне ротовой полости пациента в лабораторных условиях. Фиксация осуществляется в повреждённый участок с помощью специального цемента.


Без предварительного осмотра и устранения последствий после кариеса или других видов поражений выбирать метод и материал ни один специалист не станет.
Ошибки, допущенные на подготовительном этапе, негативно сказываются на продолжительности эксплуатации пломб и вставок, поэтому ускорять процесс реставрации не нужно.
Современные стоматологи делают реконструкцию, используя нано гибридные, микронаполненные материалы шестого поколения, которые обладают универсальностью, возможностью подобрать необходимый цвет и оттенок, максимально подходящий природному тону зубов.
К тому же они невероятно прочные, подвержены мизерному проценту стирания, имеют низкую полимеризационную усадку.

Новые технологии
Современные технологии восстановления зубов с каждым днем меняются, усовершенствуются, а также появляются новые их виды. Процесс реставрации с их помощью является быстрым, безболезненным, качественным, давая при этом эффективный и долговечный результат.
На заметку: Главная особенность новых методов реставрации — использование современных материалов. Композитные материалы, которыми делается реконструкция, очень прочны и безопасны.
Протезы, изготавливаемые с помощью новых технологий наиболее высококачественны, кроме того, они идеально совпадают с живыми зубными органами по цвету, повторяя их индивидуальные особенности. Новые технологии позволяют восстановить утраченных зуб с нуля, когда нет остатков ткани кости.
Какие материалы используются?
Классификация современных материалов, которыми реставрируют передние зубы, отличается следующими признаками:
- размером наполнителя;
- способом отверждения;
- консистенцией;
- назначением.
Для прямого восстановления фронтальных зубов используют в основном светоотвердевающие композиты и амальгаму.
При непрямом методе выбор больше: керамика, полимерные светоотражающие материалы, металлокерамика, диоксид циркония, оксид алюминия. Коронки традиционно выполняются из драгоценных металлов и металлокерамики.
Используемые композиты
Световые композиты имеют множество особенностей относительно реставрации фронтальных зубов. Они в первую очередь являются пластмассой, поэтому имеют ряд минусов. Рассмотрим основные из них:
- Нестабильный эффект. В результате приема пищи, чистки зубов и постоянного механического воздействия на зубы, композиты, применяемые при реставрации, постепенно теряют блеск. Также они могут потускнеть, стать шершавыми и даже начать царапаться. Пищевые красители в результате могут задержаться на эмали, что изменит цвет зубов.
- Невысокая прочность композита может спровоцировать их сколы спустя пять-семь лет, также пломба может перестать прилегать к зубу плотно, образуя между собой и зубом прокрашенную полосу и способствуя развитию кариеса.
- Большая часть таких материалов не достаточно похожа на природные ткани. В таком случаи даже высококвалифицированный врач не сможет сделать зуб так, чтобы он совсем не отличался от остальных.
- Отсутствие флюоресценции может спровоцировать то, что места с композитом будут выглядеть как дыры из-за того, что на зубы попал ультрафиолетовый свет.
Разумеется, что есть у композитных материалов также плюсы. Рассмотрим их основные положительные качества:
- Быстрота и легкость установки. Не нужно снимать слепки, как это происходит при использовании виниров, и ждать изготовления конструкций. Вся процедура наращивания происходит за одно посещение стоматолога.
- Доступная цена.
- Возможность коррекции.
- Не нужно обтачивать живые ткани зуба, убирается лишь кариес и старая пломба.
Подготовка
Данный этап включает следующие действия:
- обработку зубных рядов полировочной пастой (выполняется специальными нейлоновыми щёточками);
- подбор по цветовой гамме пломбировочного материала;
- введение обезболивающего препарата (чаще используют ультракаин или мепивакаин).
При необходимости подготовительный этап включает лечение. Ни один специалист не возьмётся за восстановление повреждений без предварительного устранения проблем по части стоматологии.
Показания
Чаще всего пациенты прибегают к художественной реставрации зубов для того, чтобы улучшить в первую очередь их эстетический вид. Но при этом нужно понимать, что процедура преследует другую основную цель, а именно восстановить зуб полностью, вернув функциональность.
Рассмотрим показания к художественной реставрации:
- большие промежутки между зубами;
- наличие в зубном ряду неровностей;
- наличие на фронтальных зубах сколов;
- сильная стертость зубных органов.
Как проходит реставрация передних зубов?
После введения обезболивающего препарата начинается собственно процесс восстановления повреждённого участка зуба:
- Повреждённые зубы препарируются. Врач удаляет старую реставрацию или высверливает кариозный участок.
- Изолирования рабочей зоны от слюны и дыхания пациента. Влага оказывает негативное действие на полимерные материалы и пломбы, поэтому важно максимально ограничить контакт раствора с влажной средой. В этих целях устанавливается латексная пластина – коффердам. Игнорирование данного пункта приводит к нарушению технологии, что вызывает повторное развитие кариеса и снижает срок эксплуатации вставок.
- При отсутствии зуба в костную ткань устанавливается имплант. Для передних зубов выбирают стекловолоконный материал.
- Завершаются работы обработкой поверхности бором для моделирования финальной формы.
- В последнюю очередь проводится полировка и шлифовка зубного ряда.

Восстановление функциональности зуба
В стоматологию часто обращаются пациенты с просьбой восстановить функциональность зуба. Необходимость данной процедуры вызвана обычно проблемами, ставшими результатом воспалительного процесса, механического повреждения или кариеса. Реставрируя такой зубной орган, специалист воссоздает его анатомическую форму. А данная работа очень кропотлива.
Важно учитывать положение зубного органа, при его функциональном восстановлении. Сложность распространяется как на работу с молярами, так и с резцами. Очень трудоемко создать эстетичный вид зубов в зоне улыбки, ведь они не должны отличаться от настоящих.
То, каким методом будет проходить восстановление, какие будут использоваться материалы и технология врач решает индивидуально для каждого пациента.
Стоимость
Цены на реставрацию не могут быть фиксированными, так как весь процесс включает определённые этапы, которые зависят от разных обстоятельств.
Основой при ценообразовании считаются следующие факторы:
- масштабность работ (зона поражения, причина дефекта, необходимость в лечении и др.);
- финансовая политика клиники;
- уровень профессионализма стоматологов и ортодонтов;
- выбранная методика реставрации;
- используемые материалы и препараты.
Стоимость полного восстановления передних зубов включает:
- введение обезболивающего средства (200 руб.);
- изоляцию обрабатываемого участка от слюны с применением коффердама (350 руб.);
- стерильный врачебный комплект (100 руб.);
- полная реставрация зуба с использованием светоотвердевающего материала (4 000 руб.);
- установка стекловолоконного штифта (1 500 руб.).
В итоге за реставрацию зуба «под ключ» составляет 6 150 рублей.
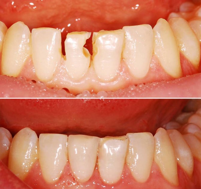
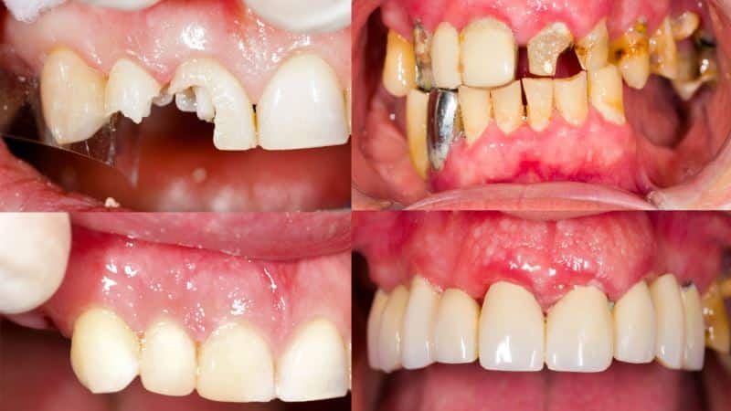
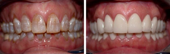
Художественная реставрация передних зубов – до и после процедуры
Этапы реставрации
Непрямая реставрация передних зубов проходит несколько стадий:
- Подготовка полости рта и зубов к снятию слепков
- В лаборатории изготавливаются реставрационные материалы: коронки, вкладки, накладки, виниры
- Незначительное снятие эмали с вестибулярной части зуба ( чтобы толщина зубов не была увеличена)
- Фиксация материала на поврежденных зубах
Прямое восстановление зубов происходит непосредственно в полости рта:
- При обнаружении кариозных полостей в передних зубах, проводится препарирование и устанавливается пломба
- Все пораженные ткани удаляются, по возможности сохраняют вестибулярную и контактную часть
- Подбирается пломбировочное сырье светового отверждения – фотокомпозиты и гелиокомпозиты
- Врач наносит материалы послойно, пытаясь воссоздать цвет эмали и природную светонепроницаемость
- Для закрытия скол, трещин, эрозий делается минимальное препарирование и применяется техника микроабразии
- Промежутки между зубами ( диастемы, тремы) закрываются при помощи прямого наслоения композитного сырья
Справка! Современная ортодонтия позволяет подобрать пломбировочное сырье с эффектом “хамелеона”, которое имитирует оптические свойства тканей зубов.
Преимущества и недостатки
Рассмотрим преимущества и недостатки реставрации передних зубов в таблице:
| Реставрация передних зубов | |||
| Прямой метод | Непрямой метод | ||
| Преимущества | Недостатки | Преимущества | Недостатки |
| Быстрота выполнения работы (1-3 ч). | Срок эксплуатации пломб зависит от соблюдения технологии при установке и качества выполнения (10-15 лет). | Прочность полимерного материала, возможность подобрать нужный тон. | Дороговизна процедуры и материалов. |
| Высокое качество при использовании светоотверждаемых материалов | Успех прямой реставрации во многом зависит от профессионализма стоматолога. | Эффективность реставрационных работ. | Для изготовления вкладки требуется время, а значит одним визитом к врачу не обойтись. |
| Доступная стоимость услуги и материалов (за один визит удастся восстановить несколько зубов). | После реставрации следует более тщательно проводить гигиенические процедуры с применением специальных средств и щётки. | Минимизация полимеризационного стресса (как следствие усадки). | При установке виниров спиливают небольшой слой эмали, это чревато восстановительным лечением после снятия пластинок. |
| Коррекция отдельных зубов или зубного ряда. | Периодически нужно полировать зубы для сохранения блеска. | При должном уходе виниры сохраняют целостность не менее 10 лет. | Вкладки и виниры требуют бережного обращения и ухода, иначе вставки могут отклеиться и даже разрушиться. |
| Максимальное сохранение тканей. | Под воздействием времени и других факторов цвет зубов меняется, а полимер остаётся прежнего оттенка, разница между природной и искусственной поверхностью зуба станет заметной. | Вкладки и виниры предотвращают дальнейшее разрушение тканей. | Реставрация представляет сложный вид работы, выполнить которую сможет качественно только профессионал. Небрежность или ошибки в при установке сокращают срок службы зубных вставок. |
| Возможность устранить дефект, который возник в результате разрушения большей части зуба. | При восстановлении зуба непрямым методом пациент не ощущает дискомфорта. |
Методология
Для устранения дефекта зуба, часто его нужно препарировать, т.е. убрать часть тканей. При этом травмы необходимо минимизировать, чтобы новый материал без проблем вписался в ткани зуба.
Существуют прямой и непрямой методы реставрации передних зубов.
При прямом методе, художественное восстановление зубов проводится непосредственно в ротовой полости пациента – прямо на месте создается, т.е. наращивается новый зуб. Врач использует композитные фотополимеры или стеклоиномерный цемент. Эти материалы наносятся на оставшиеся части зубов, восстанавливая их форму и цвет. Композиты буквально “сливаются” с зубами в одно целое, так как имеют ту же плотность и оттенок.
Неоспоримым преимуществом прямого метода реставрации это небольшое время ее проведения
Обычно процедура не занимает много времени – в один день можно отреставрировать до 6 зубов. Восстановление одного зуба может занять от 15 минут до одного часа.
Справка! При уходе над восстановленными зубами прямым методом, важно тщательно отнестись к гигиене полости рта и выбору зубной пасты, так как есть вероятность потери цвета и блеска материала со временем.
Непрямой метод предполагает микропротезирование и использование коронок из разных материалов или виниров – фарфоровых или композитных. Такой материал замещает лишь фронтальную часть зуба (переднюю). Протезирование помогает восстановить даже полностью утраченные зубы. Использовать виниры и коронки необходимо тогда, когда в зубах существуют сколы или трещины, или есть промежуток между зубами. Пациенты полюбили виниры за то, что они могут скрыть некрасивую форму зубов, придав красивый эстетический вид фронтальным зубам. Материал эффективно использовать, если свои зубы потеряли белизну, а отбеливание уже не помогает.
Справка! Непрямой метод не рекомендуется применять при неправильном прикусе, отсутствии жевательных зубов, а также при занятиях экстремальными видами спорта.
Внимание! В некоторых случаях возможен синтез двух методов: на одни зубы ставятся композиты, на другие – виниры, или коронки. При этом, материалы должны быть одинаковыми.
Реставрация некариозных поражений фронтальных зубов
Лечение некариозных поражений твердых тканей зубов: так выглядит эрозия Восстановления требуют и зубы, имеющие некариозные признаки повреждения:
- гипоплазия/гиперплазия эмали;
- эндемический флюороз;
- различные аномалии;
- наследственный фактор;
- поражения, возникшие в результате прорезывания (травма, эрозия, дефекты поверхности и расположения и др.).
При выборе методики реставрации учитываются важные моменты:
- целостность зубной ткани;
- обширность очага;
- интенсивность распада тканей;
- аллергическая реакция пациента материалы и препараты.
Ещё лет 15 назад дефект зубов при некариозном поражении решался установкой коронок. Сейчас можно использовать как пломбировочный материал, так и композитный светоотражающий. При небольшой кривизне носить брекеты теперь необязательно, устранить проблему можно другими способами.
Стоит отметить, что все эстетические процедуры выполняются только после окончания лечения острой или хронической формы стоматологических заболеваний.
Протезирование коронками
Установление коронки не требует удаление больного зуба, однако проводится вычищение корневых каналов и удаление нерва зуба. Хотя некоторые стоматологи считают, что удаление нерва не столь необходимо, а под керамическим чехлом можно оставить живой зуб, такая операция устранит риски воспалительных процессов. На поверхности зуба, которая стачивается под коронку, могут остаться бактерии и вирусы. Они проявляют себя через довольно продолжительное время, раздражая нерв в корневом канале. Так как заметить это можно только по истечении определенного времени, когда металлокерамическая коронка уже установлена, процесс лечения становится затруднительным.
Как и при любом другом протезировании изначально необходимо залечить больной зуб: избавиться от кариеса, болезней десен, грибка и многих других болезней, которые являются противопоказаниями к протезированию. После лечения и удаления нерва делается слепок, который полностью повторит индивидуальную форму и поверхность зуба. Коронки изготавливаются из разных материалов, но при эстетической реставрации используется керамика или металлокерамика, реже пластик. Использование именно этих материалов дает возможность сделать протез неотличимым от здорового зуба за счет естественного цвета.
Установка коронки занимает около 3 посещений кабинета стоматолога. После выполнения слепка и изготовления самой коронки необходимо сточить зуб. Его необходимо будет значительно уменьшить со всех сторон. В конечном счете, он будет выглядеть как тонкий невысокий пенек. В случаях, когда родной зуб практически отсутствует, в зубной канал вставляется штифт. Металлическая основа не требует обтачивания и всегда идеально подходит под коронку.
После установки коронка полностью закрывает родной зуб или штифт, а также все пространство, которое положено соответствующему зубу. Коронки постоянно соприкасаются с десной, поэтому металлокерамические конструкции могут привести к изменению цвета десны у стыка с наружной частью зуба, поэтому лучше выбрать фарфоровые коронки, которые превосходят качеством и надежностью другие материалы.
Альтернативные методы реставрации передних зубов
Если по каким-либо причинам возможность восстановить повреждённый зуб с помощью пломбировочного материала отсутствует, можно подобрать другой более приемлемый вариант.
Виниры, люминиры
Материал рекомендован к установке при неровном цвете эмали, имеющихся смещениях, повышенной стираемости, увеличенных щелях и наличии сколов.
Накладки изготавливаются из керамики или композитных светоотражающих материалов.
Процесс установки виниров предусматривает обточку зубной эмали, чтобы толщина зуба после реставрации не была слишком большой. Слепок, сделанный после обточки, помогает в точности повторить имеющиеся рельефы на рабочей поверхности.
Это способствует плотному прилеганию вставки, что увеличивает период эксплуатации. Вся процедура по восстановлению занимает немного дольше времени, нежели использование пломбировочного материала.
Это вызвано необходимостью изготовления накладки по индивидуальному слепку. Уложиться в 2-3 посещения врача вполне реально.
Срок службы виниров составляет в среднем 7-10 лет, сверхтонкие люминиры прослужат ещё дольше – до 20 лет.
Следует ли сохранять разрушенные зубы?
При откалывании от зуба небольшого кусочка или, когда на нем появилась трещина, его конечно же следует отреставрировать. А вот если есть более серьезные повреждения, следует задуматься над необходимостью восстановления данного органа.
Восстановление композитами и вкладками достаточно безопасно. Эмаль при их установке обрабатывается незначительно. Сняв их, пациент может продолжать привычную жизнедеятельность. Что нельзя сказать об использовании виниров. Их снятие делает зубы уязвимыми, ведь нет никакой защиты, эмаль и пластинка из керамики отсутствуют. Зуб станет максимально чувствителен к любым раздражителям. Также сильно пострадает его внешний вид. К тому же с целью замены виниров, зубы каждый раз снова обтачивают, что со временем приводит к их истончению, приводя в негодность и требуя скрыть дефект коронками.
А коронки — это уже зубной протез, не восстанавливающий, а заменяющий зуб. Коронки достаточно крепки и прослужат гораздо дольше виниров. Также их использование будет выгоднее относительно стоимости.
Поэтому важно задуматься о применении керамических пластин.
Классическая двухэтапная имплантация
Двухэтапная имплантация с отсроченной нагрузкой представляет собой классический вариант восстановления утраченных зубов, который включает в себя два этапа лечения: установку имплантов и протезирование. В данном случае между двумя этапами пациенту обычно приходится ждать от 3 до 6 месяцев1.
К тому же данный протокол лечения предъявляется повышенные требования к состоянию костной ткани – при ее атрофии специалисту приходится предварительно наращивать кость. С другой стороны, данная методика является оптимальным вариантом для одиночного восстановления и реставрации зубов, расположенных в зоне улыбки, где крайне важна эстетика. Таким образом, классическая имплантация успешно применяется при отсутствии одного зуба, разрозненном отсутствии нескольких зубов, полной и почти полной адентии. Рассмотрим подробнее последовательность лечения по методу классической двухэтапной имплантации.
Подготовка к лечению
Подготовительный этап предполагает, прежде всего, сдачу всех необходимых анализов крови для оценки общего состояния организма и его готовности к хирургическому вмешательству. Также пациенту потребуется пройти рентген-обследование с целью определения состояния костной ткани, посетить терапевта и других профильных специалистов, вылечить все присутствующие стоматологические заболевания, при необходимости провести удаление зубов, а также профессиональную чистку от налета, камня, над- и поддесневых отложений.
Рентген диагностика перед имплантацией
Костная пластика
Если у пациента отмечается убыль объема костной ткани, перед вживлением искусственных корней придется пройти процедуру наращивания кости или синус-лифтинга на верхней челюсти. После проведения данной процедуры должно пройти 3-4 месяца для полной остеоинтеграции подсаженного материала. Только после этого можно приступать к фиксации имплантов.
Установка имплантов и временное протезирование
Вживление имплантов проводится лоскутным методом, то есть путем разрезания десны и ее отслаивания. После этого в кости формируется отверстие или ложе, для чего специалист использует специальный бор. В это отверстие вставляется имплант, а пространство вокруг искусственного корня заполняется синтетическим костным материалом. Поверх импланта устанавливается заглушка и мембрана, которые предупреждают смещение конструкции вследствие давления тканей десны. После этого врач накладывает швы. Импланты оставляют без нагрузки протезом на срок от 3 месяцев и дольше. На это время может быть зафиксирован съемный иммедиат-протез (цену на него можно подсмотреть в предыдущем пункте).
Так проходит установка импланта
Установка формирователя десны и абатментов
После приживления искусственных корней десна повторно препарируется, заглушка сменяется формирователем десны, который нужно носить около 2 недель. Данный элемент необходим для обеспечения ровного и аккуратного края слизистой вокруг будущей коронки. После снятия формирователя десны врач фиксирует абатмент.
Установка формирователя десны
Постоянное протезирование
После полного приживления имплантов проводится оценка качества лечения и повторное рентген-обследование. Постоянная ортопедическая конструкция фиксируется посредством специального стоматологического цемента. Такие протезы обычно создаются из металлокерамики или диоксида циркония, который отличается высокими показателями эстетики. В целях экономии пациент также может отдать предпочтение съемной системе, которая будет надежно зафиксирована на имплантах.
| Название процедуры | Средняя стоимость, руб. |
| Подготовительный этап | |
| Компьютерная томография (1 челюсть) | 3500 |
| Компьютерная томография (2 челюсти) | 5000 |
| Удаление зуба | 1000 – 3000 |
| Комплексная чистка | 3000 |
| Костная пластика | |
| Синус-лифтинг открытый | 25 000 – 30 000 |
| Синус-лифтинг закрытый | 18 000 – 25 000 |
| Аутотрансплантация костного блока | 40 000 |
| Установка имплантов и протезирование | |
| Установка импланта без коронки | 20 000 – 70 000 (в зависимости от бренда импланта) |
| Установка импланта + коронка металлокерамика под ключ | 35 000 – 90 000 (в зависимости от бренда импланта) |
| Установка импланта + коронка диоксид циркония под ключ | 50 000 – 120 000 (в зависимости от бренда импланта) |
| Временная коронка на имплант | 5 000 |
| Временная коронка на имплант с абатментом | 10 000 |
В таблице представлены ориентировочные цены, которые могут отличаться в зависимости от вашего региона и ценовой политики клиники.
Важно! При выборе съемного протезирования необходимо понимать, что длительное ношение съемного протеза неизбежно приведет к атрофии костной ткани, что впоследствии существенно усложнит проведение имплантации и сделает лечение на порядок дороже. По этой причине лучшим вариантом будет именно имплантация – самый надежный и качественный способ восстановления эстетики и функциональности улыбки.
Способы крепления различных видов протезов
Существуют разные способы установки протезов в полости рта (в соответствии с их видом и количеством отсутствующих зубов). Фиксация съемных протезов бывает трех типов:
- на кламмерах. Кламмеры – металлические крючки, позволяющие надежно удерживать протез на челюсти и равномерно распределять жевательную нагрузку. Зачастую применяют литые кламмеры, обеспечивающие прочность и долговечность. Они удерживают конструкцию благодаря плотному охвату здоровых моляров.
Крючки подбирают в индивидуальном порядке (учитывая форму и размер). Стоимость фиксации доступная. За счет наличия металлических элементов, кламмеры не могут похвастаться высокой эстетикой
- на аттачментах. Для фиксации применяют специальные микрозамки, которые незаметны снаружи. Один из элементов расположен в микропротезе, а другой – встраивается в опорный моляр с дальнейшим покрытием коронкой. Металлические кламмеры отсутствуют, поэтому такое крепление более эстетично;
- на телескопических коронках. Крепление происходит посредством составных коронок. Съемная часть – искусственный зуб с полостью внутри. Опора (основание) представляет собой культю, которую обточили по форме и покрыли слоем металла.
Что такое культевая вкладка на зуб под коронку?
Способы крепления выбирают в зависимости от вида, размеров, материала протеза
Для более надежной фиксации съемных конструкций, стоматологи-ортопеды советуют применять специальные средства (гели). При полном отсутствии зубов крепление несъемного протеза проводят одним из трех способов:
- кнопочным. На поверхности вживленного титанового корня есть шарики, на которые крепится конструкция. У искусственной челюсти есть пластиковая матрица;
- блочным. Врач-ортодонт в область передних зубов вживляет несколько имплантатов, соединяющих между собой посредством стального стержня;
- на фарфоровых коронках. Специалист устанавливает по четыре имплантата в каждую челюсть, что обеспечивает надежную фиксацию.
Современные методы восстановления зубов: обзор актуальных цен на 2019 год
Современная стоматология предлагает широкие возможности для восстановления разрушенных, сломанных или вовсе отсутствующих зубов. В качестве решения проблемы может быть использована несъемная конструкция или съемный зубной протез, однако лучшим вариантом будет дентальная имплантация – классический двухэтапный метод с отсроченной нагрузкой или один из протоколов одноэтапного лечения с немедленной нагрузкой протезом. Далее в нашей статье рассмотрим основные варианты замещения утраченных зубов, а также поговорим о том, сколько будет стоить восстановить зубы.
Условно съемные
Врачи советуют устанавливать условно-съемные протезы при потере одного зуба (чаще всего из жевательной группы). Как правило, искусственный зуб выполнен из пластмассы или керамики. Опорные металлические лапки с точностью повторяют контуры опорных моляров.
Сами опорные элементы либо приклеиваются к моляру, либо опускаются в пазы с фиксацией светоотверждаемыми композиционными материалами.
Изделиям требуется периодическая проверка (при необходимости врач снимает и переклеивает). Человек не в состоянии самостоятельно снимать конструкцию. При потере нескольких моляров и премоляров условно-съемные протезы применяют в редких случаях. Исключение составляет условно съемный протез на 4–6 имплантатах (по технологии Quattro Ti).
Условно-съемный протез может снять только врач
Альтернативные способы для восстановления красоты улыбки
Художественная реставрация прямым методом или с помощью виниров – не единственный выход. Существуют и альтернативные, более радикальные меры, позволяющие вернуть эстетику и функциональность травмированным элементам, например, когда есть противопоказания к прямому наращиванию и винирам. Рассмотрим их чуть подробнее.
Установка искусственной коронки
Протезирование коронками проводится в случае сильного разрушения видимой части зуба. Корень укрепляется штифтом, а сверху фиксируется искусственная коронка из керамики, металлокерамики или, к примеру, циркония. Сегодня существует достаточно широкий выбор различных материалов, так что у пациентов есть возможность выбирать лучшее соотношения цены и качества.
Решить вопрос также можно с помощью коронок
Если поврежден и корень, врач предложит протезирование коронкой с опорой на имплант. В этом случае может быть проведена одномоментная имплантация с установкой титанового стержня в лунку сразу после удаления зуба. Если есть противопоказания к данной методике, можно провести имплантацию по одноэтапной технологии сразу с установкой искусственной коронки. Сегодня это удобная и доступная возможность восстановить потерянный зуб самым быстрым, правильным и надежным способом.
Реставрация зубов вкладками
По сути, речь идет о пломбе большого размера, которую создают в лаборатории, используя для этого слепки челюстей пациента. Готовое изделие точно повторяет форму полости и может обеспечить максимально плотное прилегание материала к зубным тканям.
Важно! Нельзя путать реставрационную вкладку с культевой. Первая – это большая пломба, вторая служит опорой под искусственную коронку, если зуб разрушен более чем на 2/3.
На фото изображены зубные вкладки
Такие вкладки показаны в тех случаях, когда коронка разрушена кариесом больше, чем на треть. Они используются для восстановления только боковых моляров. Для перекрытия дефектов на передних зубах используют виниры и люминиры.
Исправления кривизны с помощью брекетов
Если вся сложность в том, что зубы изначально в неправильном положении, потребуется пройти ортодонтическое лечение. Чаще всего в подобных случаях назначают несъемные брекеты. И если незначительную кривизну или щели между зубами помогут скрыть виниры, то более сложные аномалии тонкими накладками не исправить. Но сегодня производители современных брекет-систем предлагают довольно широкое многообразие различных моделей, в том числе из материалов, отвечающих самым высоким показателям эстетики.
Брекеты — хорошо помогают в исправлении неправильного прикуса
Керамические и сапфировые брекеты практически не видны на зубах, а металлические лингвальные и вовсе крепятся с внутренней стороны рядом. Только нужно учитывать, что лечение с такими системами будет стоить не очень дешево. Самыми дорогими будут лингвальные модели – они совершенно не видны окружающим, успешно справляются со сложными дефектами, не растягивают сроки лечения. Керамические и сапфировые отличаются легким скольжением дуги в идеально гладких пазах, из-за чего они не оказывают достаточного воздействия на проблемные участки. Лечение с ними длится дольше, чем с металлическими. Последние, кстати, считаются самым бюджетным, но в то же время наиболее эффективным вариантом.
Техника наращивания
Восстановление зубных органов посредством наращивания осуществляется пломбировочными материалами. Так можно легко устранить сколы и повреждения.
На заметку: Плюс такого метода в том, что не нужно обтачивание зуба.
Кроме того, стоит данная процедура совсем недорого, относительно других методов.
В качестве пломбировочного материала могут быть использованы гелиокомпозиты, светоотражающие составы и фотополимеры. Данные материалы относятся к новому поколению, восстановление ими дает качественный и эффективный результат. Их эстетика находится на высоком уровне. Эмаль при их использовании не повреждается, нет отторжения, так как такие композиты отлично приживаются с живыми зубами.
Цвет таких пломб не изменяется со временем. Высока схожесть состава гелиокомпозитов и фотополимеров с составом зубной эмали. Прозрачность зубов также может быть имитирована благодаря использованию таких материалов.
В таких пломбирующих веществах также имеется фтор и очень прочный специальный наполнитель, что позволяет восстановить зубы, как после повреждений механических, так и разрушенных из-за неправильного обмена веществ.
Важно также то, что зуб остается на месте, его нерв также не удаляют. Кроме восстановления разрушенного переднего зубного органа, композитом можно также подкорректировать его размер и форму, а также скрыть пигментные пятна и старые пломбы.
Новые материалы для наращивания могут сделать зубы максимально натуральными, здоровыми и крепкими, а улыбку — идеальной.
Сроки эксплуатации
Главным фактором, влияющим на срок эксплуатации отреставрированного зуба, является вид материала, которым этот элемент восстанавливался.
Если вкладка, винир или коронка были изготовлены из циркония или прессованной керамики, средняя продолжительность их службы составит 6—8 лет. Но обычно микропротезы служат гораздо дольше.
Когда винир или вкладка были сделаны из композита непосредственно в полости рта, срок их службы немного уступает керамическим аналогам и составляет 3—5 лет. После они теряют свои первоначальные характеристики и требуют замены.
Пациентам надо понимать, что правильный уход за зубами после художественной реставрации, также сильно влияет на длительность эксплуатации.
Наращивание зуба на штифт
Некоторые стоматологи до сих пор проводят наращивание зуба на штифт, что предполагает установку прямо в корневой канал металлического стержня (штифта) и послойной нанесение на него композитных материалов. Когда-то такой метод был настоящим прорывом по сравнению с обычным пломбированием, так как позволял сохранить корень и полностью восстановить зуб даже в тех случаях, когда коронковая часть была потеряна полностью. Однако впоследствии вокруг штифта зачастую образовывался кариес, что провоцировало дальнейшее разрушение зуба и его потерю. Поэтому штифты ушли в прошлое, уступив более надежным методикам.
Ключевые моменты восстановления
На фото мы видим результаты кропотливой работы доктора, который сумел сделать пациенту голливудскую улыбку.
Результат реставрации
Чтобы получить такой итог, нужно учесть 3 важных момента.
Стоматолог, в частности, должен ориентироваться на то, какой будет форма зуба.
Форма
Необходимо не просто поставить пломбу или винир, восстанавливая жевательную поверхность. Следует повторить все выпуклости и впадины, которые имелись на зубе. Так обеспечивается идеальное соприкосновение в процессе разговора и жевания. Кроме того, тогда зуб будет выглядеть «своим».
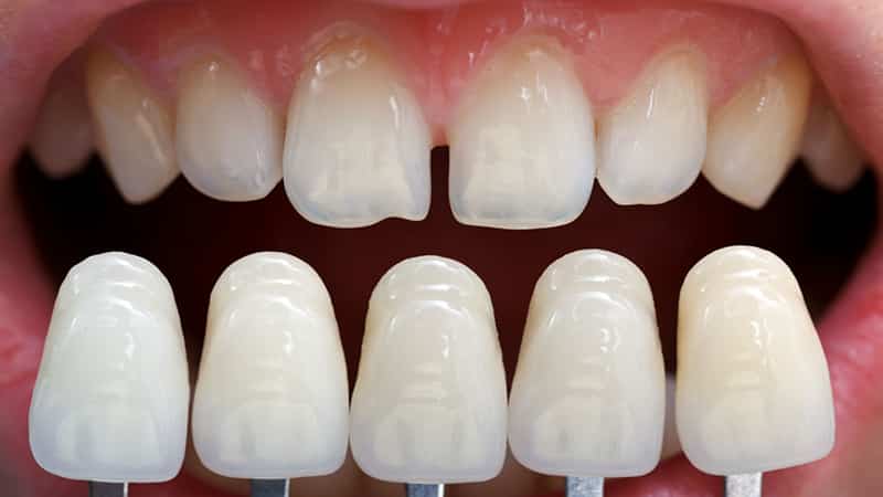
Цвет
Если просто поставить композитный материал или выполнить установку винира белого цвета, велика вероятность, что отреставрированный зуб получится не похожим на остальные. Белый цвет в стоматологии имеет до 20 оттенков. Используя шкалу Вита, врач подбирает материал для реставрации.
Подбор цвета
В природе чаще всего встречаются желтоватые или сероватые зубы. Они, кстати, по свидетельству стоматологов, наиболее крепкие и реже подвергаются кариесу.
Прозрачность
Важно также учитывать степень прозрачности. Опытный врач знает, что показатель меняется от режущего края зуба к его основанию. Это учитывается при установке пломбы и создания винира.
Какие проблемы могут появиться после восстановления
Со временем даже современные светоотверждаемые материалы темнеют, теряют блеск и начинают выделяться на фоне живой эмали. Для боковых моляров это может быть не так критично, как для зубов фронтальной группы, где такие дефекты явно могут испортить красивую улыбку. Если же проводилась более масштабная реставрация, например, была восстановлена большая часть депульпированной коронки, то неизбежно возникает риск того, что искусственный материал отломается. Нужно учитывать, что зубы с удаленными нервами особенно хрупкие. При одновременном переломе корня потребуется полное удаление.
Искусственный материал может отколоться
Противопоказания
При наличии у пациента пародонтита, кариеса, бруксизма, малого объёма эмали на зубах, а также в случае некоторых патологий прикуса, недостаточно прорезавшихся зубов, сначала необходимо устранить имеющуюся патологию, а затем проводить эстетическую реставрацию. В тоже время противопоказаниями являются злокачественные опухоли в период проведения лучевой или химической терапии и некоторое время после её окончания, заболевания костной системы, снижающие её регенерационные возможности, болезни кровеносной системы, которые нарушают свёртываемость крови, серьёзные заболевание сердца, центральной нервной и иммунной систем, непереносимость анестезии, психические отклонения в стадии обострения.
Какие зубы можно восстановить?
В стоматологической практике принято считать сильно разрушенными коронками те, у которых отсутствует больше 50% части в результате:
- кариозного поражения;
- механической травмы;
- наличия старых пломб, которые не разрушаются сами, но и под ними развивается кариес;
- депульпирования, на фоне чего коронка становится хрупкой и меняет цвет;
- повышенной стираемости дентина и др.
Если вовремя не обратиться за помощью к стоматологу, восстановить единицу будет уже проблематично.
Методика реставрации жевательной поверхности 1-го класса разрушенности
Типичным представителем 1-го класса является кариес фиссур, встречающийся довольно часто. Эта патология очень непредсказуема, и нередко объемы поражения оказывается гораздо больше предполагаемой глубины. Фиссурная форма кариеса, как правило, характеризуется практически полным сохранением жевательной морфологии, и, каким бы высоким ни было мастерство реставратора, мы все равно не сумеем воссоздать жевательную поверхность лучше, чем она была. Поэтому вполне резонно было бы скопировать сохранившуюся анатомию и перенести ее в будущую реставрацию. Реализовать это можно с помощью методики окклюзионного ключа. Основным отличием этого подхода от традиционного варианта восстановления является то, что перед проведением препарирования с жевательной поверхности снимается ключ (небольшой оттиск), которым впоследствии можно было бы отдавить порцию композита для придания ей исходной формы зуба. Наиболее подходящим материалом для изготовления ключа являются твердые bite-силиконы для регистрации прикуса. Они обладают достаточной твердостью, чтобы продавить мельчайшие детали жевательной поверхности, и при этом практически не липнут к композиту.
Фиссурный кариес зубов [Клинический Случай]
На рисунке 1 показана исходная ситуация.Классический фиссурный кариес зубов 16 и 17. Как и в большинстве подобных случаев, кариозный процесс протекает абсолютно бессимптомно.
Рис. 1
После изоляции рабочего поля (рис. 2) и механической отчистки от налета с поверхности зубов снимается ключ bite-силиконом с учетом габаритов клампа (рис. 3).
Рис. 2
Рис. 3
Внешний вид окклюзионного ключа показан на рисунке 4.
Рис. 4
Далее осуществляют препарирование и адгезивную подготовку системой XP Bond™ на основе терт-бутанола (рис. 5).
Рис. 5
После восстановления и полимеризации дентинного слоя (Ceram•X™ duo+) один за другим были внесены оттенки основной и поверхностной эмали (Esthet•X® HD A2 и АЕ) общей толщиной 1,5—2 мм, тщательно адаптированы к поверхности с разметкой приблизительных контуров без последующего отверждения (рис. 6).
Рис. 6
Наступает очередь окклюзионного ключа (рис. 7).
Рис. 7
Для предупреждения возможного склеивания следует нанести на поверхность силикона небольшое количество адгезива. Ключ накладывается на зуб и медленно прижимается. После того как силиконовый оттиск встанет на свое место, нужно медленно его снять легкими раскачивающими движениями. Не следует торопиться и пытаться извлечь ключ одним рывком: это приведет к деформации композитного материала. Если все сделано правильно, порция неотвержденного эмалевого композита должна принять точную форму исходной жевательной поверхности (рис. 8).
Рис. 8
Излишки пломбировочного материала легко убираются брашиком. При возникновении каких-либо деформаций допускается повторная установка ключа. Далее проводится полимеризация в течение 30—40 секунд с учетом толщины композитного слоя (рис. 9).
Рис. 9
После этого, если есть желание, можно воспроизвести характеристики с помощью композитных красок. Вид после финишной отделки и полировки (рис. 10).
Рис. 10
Окклюзионная коррекция, как правило, минимальна или вообще отсутствует. Вид реставраций через двое суток (рис. 11).
Рис. 11
Следует учесть, что важным условием успешного выполнения реставрации в методике окклюзионного силиконового ключа является использование композитных материалов, обладающих достаточно плотной консистенцией и способных удержать переданную силиконовым ключом форму. В этом плане очень удачным вариантом является композит Esthet•X® HD, который помимо прекрасных хроматических и механических характеристик обладает также и необходимой степенью плотности, прекрасно держит любую форму.
Что такое
Реставрация зубов композитными материалами – это восстановление формы зубов при помощи специальных смол-композитов. Такая процедура помогает добиться максимально приятного и эстетичного вида. Сначала материал накладывается, ему придаётся желаемая форма, а потом под воздействием ультрафиолета он полимеризуется.
Благодаря широкому спектру стоматологических композитных материалов можно достигнуть лучшего качества пломбирования и придания формы реставрируемому зубу
Справка! Стоматологические композитные материалы отличаются от пломбирующих высокой степенью прочности. Также цвет композита проще подогнать под натуральный оттенок зуба.
Как долго держится покрытие
Будьте готовы к замене материала через 5 лет. Это минимальный срок, который композит точно прослужит. Далее возможна трансформация цвета, появление шероховатости на искусственной эмали. Не всегда через 5 лет нужно производить замену – во многих случаях достаточно профессиональной чистки и полировки.
Важно знать, из какого материала изготовлена пломба. Так, композиты бывают:
- макронаполненными;
- микронаполненными;
- гибридными;
- микрогибридными.
Первые выглядят красиво, но быстро изнашиваются. Вторые менее эстетичны, однако долговечны. Гибридные композиты – прекрасный выбор при реставрации. Они долго служат и хорошо смотрятся.
Микрогибридные композиты – лучшее решение. Такая пломба будет ровной и гладкой, белого цвета, практически с естественным блеском. Но есть и минус — высокая стоимость.
Если вы с врачом приняли решение об установке керамических виниров, в ближайшие 10 лет можете не планировать больших расходов на посещение стоматологов. Они стоят долго, плотно прилегают к тканям зуба, что позволяет не беспокоиться о возможном кариозном поражении.
Виниры
Разновидность виниров – люминиры. Эти супертонкие пластинки изготавливаются из фарфора. Толщина люминира – не более 0,3 мм. Они практически срастаются с зубом, будучи посаженными на прочный клей. Менять люминиры раньше чем через 20 лет не понадобится.
Цены
Точную стоимость художественной реставрации озвучить невозможно. На конечную цифру оказывают влияние множество факторов:
- метод восстановления;
- тип материала;
- сложность работы;
- вид воссоздаваемой единицы;
- количество используемых одноразовых инструментов;
- анестезия;
- использование каффердама;
- материал штифта (металл или стекловолокно);
- объема выполненных подготовительных манипуляций.
В таблице приведена примерная стоимость услуги.
| Вид работы | Цена за услугу, в рублях |
| Восстановление при небольшом сколе и трещине | От 1500 до 2000 |
| Ремонт без штифта | Около 4000 |
| Прямая реставрация со штифтом | От 6000 |
| Непрямая композитом | Около 2000 |
| Непрямая керамическим микропротезом | До 15000 |
| Полное наращивание элемента | Около 6500 |
| Частичное воссоздание | От 3000 |
Более конкретную информацию по оплате оказываемой услуги можно узнать у специалиста, проводившего осмотр и консультацию.














