21 октября 2019
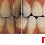
Многие люди интересуются тем, что такое капы для зубов и какими они бывают. Но особый интерес в последнее время вызывают аппараты, которые используются непосредственно для осветления эмали. Еще бы, ведь капы в данном случае являются более приемлемой по цене альтернативой безопасным методам кабинетного отбеливания. Плюс они позволяют достичь результата в домашних условиях. Однако редакция портала UltraSmile.ru считает своим долгом предупредить читателей о том, что этими изделиями нужно уметь правильно пользоваться, а чтобы не разочароваться в результате и не нанести вреда здоровью нужно знать нюансы их применения.
Каппы для белоснежной улыбки – безопасность и эффективность методики
Одним из вариантов придания улыбке безупречной белизны является домашний способ отбеливания зубов с помощью специальных капп. Для прохождения курса не обязательно посещать кабинет стоматолога. Достаточно приобрести комплект в аптеке, и проводить сеансы отбеливания можно самостоятельно. Главное, строго следовать инструкции, а также предварительно получить одобрение от лечащего врача. Для начала специалист должен оценить текущее состояние эмали, определить, будет ли данный метод безопасен конкретно в вашем случае. Только после этого можно смело начинать использовать каппы для отбеливания зубов. Сегодня подробно поговорим о данном способе осветления улыбки, а также приведем несколько важных рекомендаций по поводу его применения.
Плюсы и минусы
Начну с преимуществ. Во-первых, цена такого варианта отбеливания зубов в большинстве случаев получается меньше, чем у «офисных» методов. Во-вторых, никакого дискомфорта. Надел капу, походил немного, снял, прополоскал рот. В третьих – достаточно безопасно для зубной эмали. Это вам не содой натирать и не лимонным соком чистить.

Минусов мало, но они есть. Первый и самый существенный – уровень отбеливания. То, чего вы добьетесь в клинике, дома получить нереально. Эффект наступает не через полчаса-час, как при каком-нибудь «Зуме», а после нескольких процедур. При «запущенных» случаях есть вероятность того, что вам гель просто не поможет.
Отбеливание зубов Zoom AP
Что такое капы для осветления эмали
Сама по себе каппа не является отбеливающим средством – это своего рода пластиковый эластичный резервуар, накладка, предназначенная для фиксации на зубном ряду. Как отбелить зубы каппой? Для этого необходимо добавить в нее специальный осветляющий гель, который обычно содержит в себе перекись водорода 6-9% или перекись карбамида в концентрации 10-15%1.
Методика отбеливания зубов каппами
«Я вот тоже время от времени прохожу курс отбеливания с капами – ставлю слабый раствор сразу на ночь. Видимый эффект можно обнаружить уже на 3-4 день. При этом нет нужды ездить в стоматологию и платить сумасшедшие деньги. После курса появляется чувствительность эмали, но незначительная, жить не мешает. Потом все восстанавливается, зато улыбка и вправду белоснежная».
Эльвира Р., г. Нижний Новгород, из переписки на форуме woman.ru
Перекись водорода считается более интенсивной, с ее помощью можно быстрее достичь желаемого эффекта, однако здесь нужно понимать, что вещество оказывает достаточно агрессивное воздействие на эмаль, поэтому частить с процедурами нельзя – можно сильно повредить защитный слой зубов. Перекись карбамида обеспечивает более щадящее осветление, однако тоже помогает добиваться заметных результатов.
Какие разновидности кап бывают и для каких целей они применяются
Не нужно путать капы (или каппы – с двумя «п») для отбеливания с капами для выравнивания зубов (элайнерами), а также с каппами для закрепления результатов ортодонтического лечения. Хотя индивидуально разработанные конструкции и имеют внешнюю схожесть, что видно по многочисленным фото в интернете, главное назначение у каждой разновидности, конечно же, разное.
На фото показаны индивидуально разработанные капы
У отбеливающих главная цель – удержать осветляющий гель на зубах, чтобы он подействовал. У выравнивающих главная цель совершенно другая: они воздействуют на зубные ряды, заставляя их перемещаться в заданном направлении – говоря «каппы», врачи подразумевают «элайнеры», и это определение более корректно, т.к. в переводе с английского данное слово означает «выравнивать». Ретенционные каппы используют после ношения брекетов для закрепления результатов лечения, они препятствуют возвращению зубов в исходное – искривленное положение.
Также существуют и другие разновидности капп – спортивные для тех, кто занимается травмоопасными видами спорта и без данного приспособления рискует остаться без зубов. Есть детские устройства для правильного прорезывания зубов. Есть аппараты, которые расслабляют жевательную мускулатуру и подходят для лечения дисфункций ВЧНС. Есть также изделия, которые защищают эмаль от повреждений в ночные часы – их прописывают тем, кто страдает бруксизмом и непроизвольно сжимает челюсти во время сна.
Виды отбеливающих кап
В настоящее время на рынке представлены три основные разновидности стоматологических капп для отбеливания. Давайте рассмотрим их подробнее.
Каппы могут быть различными
Стандартные модели
Это самый бюджетный вариант, который, тем не менее, сопряжен с определенными рисками. Во-первых, такой метод подходит далеко не всем – слишком велик риск развития аллергической реакции. Во-вторых, высока вероятность контакта осветляющего геля со слизистой, что может привести к ее травмированию. В наборах с каппами могут идти различные гели, поэтому нужно подобрать подходящий для себя вариант и строго следовать инструкции, особенно касательно дозировок и длительности одного сеанса.
Термопластические для опускания в горячую воду
Такие изделия предназначены для опускания в горячую воду – только после этого их надевают на ряд. Накладка плотно присасывается к зубам, за счет чего практически не чувствуется во рту и снижает до минимума степень дискомфорта во время отбеливания. Данный метод считается более безопасным и эффективным, однако и стоит он несколько дороже.
Индивидуальные – идеальное прилегание к эмали
Такие изделия создаются в зуботехнической лаборатории. Плюсы здесь на поверхности – каппы максимально плотно контактируют с эмалью, адаптируются под все особенности зубочелюстной системы конкретного пациента, обеспечивают высокий уровень комфорта и гарантируют достижение лучшего эффекта. Даже гель готовится с учетом индивидуальных особенностей пациента.
Индивидуальные модели плотно прилегают к зубам
Для комфорта и лучшего эффекта выбирайте индивидуальные каппы
Не все знают, что отбеливание зубов с помощью капп будет более эффективным, если заказать индивидуально разработанные изделия. Дело в том, что капы вполне могут быть и шаблонными или стандартными – по доступной цене их можно приобрести в любом интернет-магазине или аптеке, плюс в комплекте с ними будет еще и отбеливающий гель. Такую покупку можно сделать быстро, и это выгодно именно по стоимости. Но есть и минусы.
Шаблонные капы продаются вместе со специальным гелем
Например, стандартные изделия не всем подходят по размерам, они не соответствуют индивидуальным особенностям челюсти, могут плохо держаться и выпадать, могут травмировать слизистую, натирать. Опасность еще и в том, что входящие в комплект гели могут содержать неподходящую концентрацию действующего вещества именно для вас, что чревато в лучшем случае отсутствием вообще какого-либо эффекта, в худшем – истончением, ломкостью, болезненностью и гиперчувствительностью эмали, ожогом слизистой, аллергическими реакциями.
Сегодня также большой популярностью пользуются термопластические капы для многоразового применения (например, марки REVYLINE1 или Diamondbrite). Чтобы их зафиксировать на зубах, необходимо предварительно поместить изделия на несколько секунд в воду температурой 80 градусов. После нагревания они становятся мягкими и принимают форму любой челюсти. Конечно, идеального прилегания они не обеспечат, но они более удобные, чем шаблонные, и менее дорогие, чем индивидуальные.
«Приобрела себе набор термопластических капп (в комплекте 2 штуки – для верхней и нижней челюсти) в Китае. Целый месяц ждала, но ведь по выгодной цене! Пользуйтесь такой крайне осторожно, т.к. если передержать ее в горячей воде, то она просто-напросто деформируется и уже будет непригодной ни для каких дальнейших манипуляций. Я так одну штуку загубила, и теперь знаю, о чем говорю! В остальном они вполне нормальные, пластиком не воняют, не доставляют дискомфорта, мне подошли, а эффект, я считаю, здесь больше зависит от того, какой состав будет внутри».
Lika, фрагмент отзыва с сайта otzovik.com
На фото показаны капы REVYLINE
В отличие от шаблонных, индивидуальные стоматологические капы лишены перечисленных недостатков, т.к. они создаются по слепкам челюстей под каждого конкретного пациента в зуботехнической лаборатории. Также они подходят для многократного применения. При этом в стоматологии вам подберут оптимальную концентрацию геля исходя из клинической ситуации, состояния зубов и десен, ожиданий, степени потемнения вашей эмали.
Состав геля внутри капп
Термопластические и стандартные модели обычно идут в комплекте с универсальным гелем, основным действующим компонентом которого является перекись водорода или перекись карбамида – об этом мы уже говорили чуть выше. Дополнительно в состав средства добавляют компоненты, которые способствуют снижению гиперестезии после процедуры – речь идет о натрии и фторе.
А вот при выборе индивидуальных накладок состав осветляющего геля будет подбираться индивидуально, в зависимости от степени потемнение эмали и ее текущего состояния. В этом случае концентрация действующего вещества может быть несколько выше. Так, к примеру, в профессиональных средствах ее показатель может достигать 45%, в том время как для применения домашних методов отбеливания используются гели с концентрацией не выше 15%.
Противопоказания
Противопоказаниями к тому, чтобы отбеливать зубы дома, считаются:
- Воспалительные заболевания пародонта, а также болезни зубов (кариес, пульпит).
- Период после удаления зубов – до 4-х месяцев после самой операции.
- Возраст до 18 лет.
- Период ортодонтического лечения.
- Беременность и лактация.
- Пирсинг губ или языка.
Свойства, присущие данному методу
Каппа – это лишь своеобразный футляр, инструмент, который позволяет равномерно распределить осветляющий состав и удержать его на эмали в течение всего сеанса. Для данного способа характерны следующие свойства:
- обычно курс длится 2-3 недели, однако первые результаты можно обнаружить спустя 3-4 сеанса,
- в составах для самостоятельного использования концентрация активного вещества минимальна, поэтому если зубы здоровы, переживать за их состояние и чувствительность не стоит,
- гиперестезия – в данном случае это естественное явление, которое проходит самостоятельно в течение недели с момента начала курса (если чувствительность и дискомфорт усиливаются, нужно срочно показаться стоматологу),
- максимальная длительность одной процедуры – полчаса. Все зависит от концентрации геля, точные указания на этот счет ищите в инструкции,
- одним из безусловных преимущества метода является удобство его применения – пока гель на эмали, вы можете спокойно заниматься своими повседневными делами.
Правила использования
Необходимо придерживаться некоторых правил:
- Желательно предварительно проконсультироваться с зубным врачом, который может выявить такие противопоказания, как кариес или истончение эмали.
- Следует избегать попадания осветляющего средства на десневую ткань – не выдавливайте в капу геля больше, чем необходимо, удаляйте остатки ватными дисками/салфеткой.
Важно: стоматологические капы не рекомендуется носить дольше положенного срока во избежание разрушения эмали и появления повышенной чувствительности зубов.
Какие можно выделить достоинства
Индивидуальные стоматологические каппы для отбеливания зубов обладают массой бесспорных преимуществ. Среди достоинств метода эксперты в области стоматологии и пациенты выделяют следующие моменты:
- простота и легкость использования дома или даже на работе,
- эффективность,
- практически полная незаметность на зубах,
- отбеливание происходит как с внешней, так и с внутренней стороны ряда,
- возможность индивидуального подбора средств, исходя из того, каким цвет эмали был изначально, каково текущее состояние зубных тканей.
Показания к домашнему отбеливанию зубов с капами
Основными показаниями к проведению такой эстетической процедуры являются:
- Изменение цвета эмали под действием пищевых красителей и курения.
- Возрастное изменение цвета эмали.
- Потемнение эмали из-за недостаточной гигиены.
- Изменения цвета, вызванные приемом некоторых групп лекарственных препаратов (в частности, антибиотика тетрациклина – при его длительном приеме человек получает так называемые «тетрациклиновые зубы», имеющие выраженный желто-оранжевый или даже коричневый цвет).
Во всех этих случаях домашнее отбеливание зубов может дать вполне достойный эстетический результат.
Недостатки рассматриваемого метода
Наряду с многочисленными достоинствами капы для очистки зубов обладают и некоторыми недостатками. Так, к примеру, они влияют на дикцию, мешают нормально разговаривать. Если слишком долго ходить с гелем на зубах, он может начать разъедать эмалевый слой, привести к появлению повышенной чувствительности. Согласно некоторым отзывам, для достижения видимого эффекта пользоваться такими каппами нужно систематически, в течение достаточно длительного времени. Прежде чем приступить к курсу нужно внимательно изучить инструкцию. Эксперты в области стоматологии рекомендуют для начала пройти процедуру профессиональной чистки, а каппы использовать в качестве поддерживающей меры.
При частом использовании зубы могут становятся чувствительными
Почему не стоит ожидать вау-эффекта?
Профессиональные стоматологи подтверждают тот факт, что при использовании капп пациенту не стоит рассчитывать на кардинальное преображение и приобретение белоснежной голливудской улыбки. Максимум, на который получится осветлить эмаль таким способом – 2-4 оттенка, и то только при условии, что вы подготовились к процедурам и прошли профгигиену полости рта.
Если вы действительно преследуете цель сделать улыбку светлее на 4-12 тонов, то тогда альтернативы профессиональным методам отбеливания не существует. А вот каппы после кабинетных процедур вполне подойдут для того, чтобы поддерживать результат на высоком уровне в течение многих лет жизни.
Оцените статью:
(1 оценок, среднее: 5,00 из 5)
отбеливание
- По данным сайта официального производителя revyline.ru
Эксперт «Наряду с определенными достоинствами, каппы для домашнего отбеливания имеют и недостатки. Многие из тех, кто применял аппараты без консультации врача, остаются разочарованы, т.к. отмечают, что пятна на эмали по-прежнему сохранились, оттенок остался прежним. Лучше использовать каппы для поддержания результата кабинетного отбеливания – это будет гораздо эффективнее и безопаснее».
Стоматолог-терапевт Успангалиева Нина Борисовна
Консультирующий специалист
Кашаева Виктория Николаевна
Специализация: Стоматолог-гигиенист Стаж: 5 лет
Показания к применению отбеливающих капп
Эксперты в области эстетической стоматологии утверждают, что есть отдельная категория пациентов, которым особенно рекомендовано использование подобных домашних методов осветления. К ним относятся лица пожилого возраста, у которых эмаль изменила свой окрас в результате естественных возрастных процессов, а также курильщики, кофеманы, люди, принимающие сильнодействующие медикаменты, в том числе антибиотики тетрациклиновой группы – довольно часто эти препараты приводят к выраженному пожелтению эмалевого слоя.
Преимущества
Рассмотрим преимущества:
- Высокая эффективность отбеливания зубов.
- Эстетичность и безопасность.
- Возможность выбора подходящей модели – стандартной, либо индивидуальной, изготовленной на заказ.
- Доступная стоимость.
Какие есть противопоказания
Применение отбеливающих капп, как и любого другого варианта осветления эмали, сопряжено с риском повреждения защитного слоя зубов, развития гиперестезии, то есть повышенной чувствительности, и даже полного разрушения зубных тканей. Поэтому так важно перед тем, как начать пользоваться такими каппами, убедиться в отсутствии у себя противопоказаний:
- склонность к аллергическим проявлениям, особенно на компоненты, входящие в состав геля,
- индивидуальная непереносимость состава,
- беременность, кормление грудью,
- детский возраст (до 16-18 лет),
- патологии твердых и мягких тканей полости рта,
- травмы зубов,
- пирсинг на губах и во рту,
- недавняя экстракция зуба,
- травмированная, истонченная эмаль,
- прием мощных седативных препаратов,
- некоторые системные патологии, к примеру, сахарный диабет или ревматизм.
Что говорят стоматологи?
Конечно, дантистам намного выгоднее привлечь людей к себе в клиники, но хотелось бы узнать, что они думают по поводу домашних методов. Почитав ответы опытных специалистов, я понял, что есть немало средств, которые они и сами рекомендуют своим пациентам. Так что нет ничего зазорного в том, чтобы пользоваться всеми этими гелями и капами.
Эффективность отбеливания
Единственное, что они сказали против таких методов, это то, что, по их мнению, оптимального эффекта можно добиться только в том случае, если накладки на зубы изготовлены индивидуально для каждого человека.
Домашнее отбеливание зубов
Тут я в целом согласен. Только вот цена одной накладки в приличной клинике может превышать стоимость готового набора.
Насчет перекиси водорода мнения неоднозначные. Одни считают, что применять ее без контроля небезопасно, другие полагают, что гели прошли клинические испытания, третьи говорят, что смысл в таких веществах есть только тогда, когда выполняется активация специальными лампами. Логично, что каждый предлагает обратиться именно к нему.
Фотоотбеливание
Видео — Отбеливание зубов капами. Домашнее отбеливание
Как правильно использовать – инструкция по применению
Чтобы сделать все правильно, добиться желаемого результата в домашних условиях и при этом не навредить зубам, важно следовать всем указаниям в инструкции. Также эксперты предлагают взять на заметку следующие рекомендации:
- перед установкой изделия нужно хорошенько почистить зубы, сполоснуть рот и промокнуть эмаль сухим бумажным полотенцем,
- далее достаем накладку и заполняем ее внутреннюю поверхность гелем – дозировка указана в инструкции,
- фиксируем каппу на челюсти таким образом, чтобы она плотно прилегала к ряду с двух сторон. Важно, чтобы она не контактировала со слизистой. Если вы купили термопластический набор, перед использованием изделие нужно намочить горячей водой,
- если вы выдавили геля больше, чем положено, просто аккуратно удалите излишки с помощью бумажного полотенца,
- по завершении сеанса нужно хорошенько прополоскать рот водой.
Отбеливаем зубы дома комфортно и безопасно
Даже самое привлекательное лицо, самую обаятельную улыбку портят желтые зубы. Эмаль пожелтела от курения или пищевых красителей? А может, она от природы слегка желтовата, и это заставляет стесняться своей улыбки? Проблему поможет решить домашнее отбеливание зубов – но не различные «народные способы», которые буквально растворяют эмаль и безнадежно портят зубы, а профессиональное, под контролем стоматолога. Врач не только подберет оптимальные капы для отбеливания, но и даст полезные рекомендации, а также проконтролирует весь процесс. Только в этом случае отбеливание зубов самостоятельно, в домашних условиях, будет безопасным и результативным.
Особенности ухода за изделиями
Чтобы изделие не утратило своих прямых функций, нужно обеспечить правильный уход за ним. Здесь нет ничего сложного. Вот несколько основных рекомендаций, которые приводят на сей счет специалисты:
- систематическое промывание и тщательная просушка позволит сохранить форму и целостность приспособлений (одноразовые изделия не подлежат мытью и повторному использованию),
- хранить их лучше в специальном вентилируемом футляре – так вы обезопасите изделие от воздействия температурных перепадов и механических повреждений,
- гель-активатор следует наносить осторожно и в минимальном количестве, чтобы он не контактировал со слизистой полости рта. Излишки средства можно убрать салфеткой.
Топ лучших моделей
Opalascence
Прозрачные, гибкие капы для зубов заполнены интенсивным гелем на основе 10-15% перекиси водорода. Тонкие слепки практически незаметны, удобны в процессе использования (длительность ношения – от 15-60 мин один раз день). Стоимость отбеливающей системы Opalescence – от 4500 руб.
Zoom
Современная щадящая система для зубов, в составе которой мягкий гель на основе аморфного фосфата кальция. Средство не только осветляет, но и восстанавливает поврежденную ранее эмаль (капы используются по полчаса, два раза в течение дня).
Результаты заметны на 3-5 день применения. Цена стоматологического средства Zoom – 4000-5000 рублей и выше.
Discus Dental
Средство для отбеливания зубов на основе высокоэффективных химических веществ, позволяющих качественно, быстро и безопасно осветлить эмаль.
Производитель известен запатентованной технологией двуствольного шприца и новаторскими решениями. Эффект заметен после первой процедуры. Комплект стоит 5000-6000 рублей.
Можно ли сделать каппы для зубов самому
Многих интересует вопрос касательно того, можно ли самому сделать такую накладку. Так, к примеру, некоторые спортсмены, в том числе боксеры, изготавливают защитные каппы самостоятельно, однако в случае со стоматологическими приспособлениями все сделать как следует не получится – для создания качественного изделия требуется применение специализированного оборудования. Успех домашнего отбеливания во многом зависит от того, насколько плотно накладка прилегает к зубам, а добиться максимального ее контакта с поверхностью эмали любительскими методами не выйдет.
Принцип работы
Процедура может длится от 30 минут до нескольких часов – за это время активные компоненты способствуют удалению налета и осветлению эмали зубов.
Обычно отбеливающий состав включает такие элементы, как:
- профессиональный (основной) гель;
- отбеливающие вещества: перекись водорода, карбамида и пр.;
- УФ – активаторы, повышающие эффективность воздействия;
- отдушки, ароматизаторы, придающие средству ментоловый или другой вкус.
Важно: в процессе отбеливания с помощью кап не допускайте попадания действующего состава на поверхность десен во избежание аллергии, ожогов слизистой.
Где изготовить индивидуальную капу для отбеливания
Несмотря на разнообразие готовых отбеливающих капп, представленных на аптечных полках, добиться максимального эффекта от домашнего осветления эмали можно только с помощью индивидуальных комплектов, созданных по слепкам челюстей пациента. Такие изделия подходят для многократного применения, они плотно прилегают к эмали и обеспечивают равномерное распределение геля-активатора по всей поверхности каждого отдельного зуба.
Заказать изготовление индивидуальной каппы, ровно как и персонального геля для осветления, можно в современной стоматологической клинике. Сегодня многие медицинские центры предлагают подобного рода услугу. Достаточно ознакомиться с многочисленными отзывами о различных учреждениях, возможно, сходить на несколько консультаций, после чего выбрать вариант, оптимально подходящий по качеству и стоимости.
Сначала врач снимет оттиски с челюстей пациента, после чего направит их в лабораторию, где по этим слепкам будет создана гипсовая модель. Именно на ее базе далее формируется каппа. Процесс изготовления обычно занимает не больше нескольких дней.
Перед изготовлением изделия нужно провести снятие слепков челюсти
Уход за зубами после завершения отбеливания с помощью кап
Получив необходимый эффект от использования такого вида отбеливания, не стоит забывать о правилах ухода за осветлёнными зубами.
Ограничьте употребление красящих продуктов: моркови, кофе, шоколада, свёклы, чая, ягод (хотя бы в первую неделю после комплекса процедур).
А также рекомендуется уменьшить употребление сигарет, табака, т. к. они очень быстро воздействую на эмаль, делают её тёмной. После принятия пищи необходимо пользоваться зубной нитью, по возможности полоскать рот. Закрепить результат помогут молочные продукты, речная и морская рыба, все виды каш.
Важно! Особое внимание стоить уделить зубной щётке. Предпочтение рекомендуется отдать мягкой и качественной щетине, чтобы не нанести вред эмали.
Стоимость отбеливания зубов в домашних условиях
Нельзя сходу дать точный ответ на вопрос, сколько стоят капы для отбеливания – все зависит от бренда, типа изделий и интенсивности осветляющего геля. Если говорить об усредненных расценках, то такой стандартный набор может обойтись в 2-3 тысячи рублей. Термопластические модели создают из более дорогостоящего материала, поэтому и стоить они будут на порядок дороже – около 4 500 — 6 000 рублей. Самыми дорогими считаются индивидуальные наборы – изготовление капп для них предусматривает использование индивидуальных слепков челюстей пациента. Их стоимость может варьироваться в пределах 7-15 тысяч рублей.
Рассмотренный метод домашнего отбеливания позволяет осветлить эмаль на несколько тонов, однако если в вашем конкретном случае он не подходит, стоит задуматься над тем, чем можно заменить каппу. Отличной альтернативой могут стать специальные полоски для осветления зубов или процедура профессионального отбеливания в кабинете стоматолога. Главное, убедиться в отсутствии у себя противопоказаний, иначе в противном случае можно заработать серьезные проблемы с зубами.
- Ильин Ф.Ю., Бабуров А.В. Различные показатели процедуры отбеливания зубов, 2003.
Как закрепить результат?
Для закрепления эффекта после осветления зубной эмали желательно в течение нескольких дней исключить из рациона:
- газированные напитки с красителями, чай, кофе;
- свеклу, морковь, чернику, смородину и пр;
- какао, шоколад;
- томатные, соевые соусы;
- морс, красное вино.
Важно: курение противопоказано в течение 14 дней после окончания процедур, иначе результат будет кратковременным, а усилия потрачены зря.
Сравнительная таблица лучших отбеливателей зубов
| Название | Основные характеристики | Цена |
| My Brilliant Smile | Отбеливающий гель содержит 6% активного вещества — перекиси карбамида, применение способно осветлить эмаль на 3-5 тонов. | ₽ 1 200 |
| Supremedent | Выполненный в форм-факторе губной помады, протестирован в США, предназначен для чувствительных зубов, не содержит фтора. | ₽ 1 600 |
| Almea Tooth Whitening Cream | В набор входят отбеливающий гель и две капы, для верхней и нижней челюсти, концентрация перекиси карбамида в геле составляет 16%. | ₽ 1 290 |
| Amazing White | В комплект входит отбеливающий гель и две термопластические заготовки, которые после нагревания принимают форму, идеально подходящую для ваших зубов, не спадают и не мешают говорить. | ₽ 1 620 |
| Zoom Nite White ACP | Концентрация перекиси карбамида в данном случае составляет 16%, в продаже можно найти наборы также с 22% и 9,5% действующего вещества. | ₽ 6 690 |
| Crest 3D White Luxe | Комплект из 40 полосок — 20 верхних зубов и 20 для нижних, курс отбеливания длится 20 дней, а первые результаты использования средства можно увидеть уже на третий день. | ₽ 3 600 |
| Полоски My Brilliant Smile | В набор входят 14 полосок для отбеливания на основе активированного угля и кокосового масла, не содержат перекиси водорода и подходят для людей с чувствительными зубами. | ₽ 2 050 |
Домашнее отбеливание мой опыт!
Я как студентка стоматологического факультета ,поддалась желанию иметь белоснежную улыбку -сделала домашнее отбеливание зубов . И я очень довольна!!
В этом отзыве я постараюсь предоставить максимально важную информацию для вас о данной процедуре .
Домашнее отбеливание зубов я проводила с помощью капы . Существуют также другие виды , но для себя выбрала этот метод по таких критериях :
1. Для меня этот способ был проверен . Много моих друзей делали такое отбеливание и были очень довольны результатом.
2. Его можно проводить в домашних условиях с разной периодичностью ( каждый день или через день, или вообще можно сделать небольшой перерыв ).
3. Метод является более бережным чем другие.
4. Стоимость его относительно меньшая по сравнению с другими профессиональными методами .
5. Продолжительность эффекта ( до одного года) .
6. Во время процедуры можно пить капучино ))))))
Есть еще и другие плюсы , их я опишу далее.
Совет 1: хорошо ознакомтесь с информацией о отбеливание в интернете. Почитайте отзывы, подберите оптимальный для вас метод. Вы должны быть морально настроены , что для хорошего результата требуется время . Также у многих пациентов процедура болезненная. Совет 2: если вы выбрали отбеливание с помощью каппы , то найдите хорошего специалиста врача — стоматолога. Без его консультации никуда. Существует ряд противопоказаний к данной процедуре ( и на отбеливание вообще) , и предварительная консультация поможет выяснить, подходит ли данный вид процедуры вам.
Как происходит процесс отбеливания .
Есть несколько этапов подготовки к нему. Предварительно врач должен провести профессиональную гигиену полости рта. Затем врач снимает оттиски зубов, по ним изготавливаются индивидуальные каппы. ( Все это можно провести в одно посещение).
Совет 3: Предварительно ОБЯЗАТЕЛЬНО спросите у своего врача или капа является мягким. Если же капа изготавливается из жесткой пластмассы , то процедура будет болезненной и неприятной.
И так , как проходит сама процедура?
Вы получаете две капы , гель . Предварительно перед процедурой каппы нужно промыть и высушить. Также не забудьте подготовить зубы . ( тщательно их очистите).
Оцените свою улыбку ( сколько зубов видно, когда вы улыбаетесь). Например врачи рекомендуют отбеливать 10 передних зубов на каждой челюсти ( то есть в сумме 20) , а у меня довольно широкая улыбка и я отбеливаю 12 зубов .
Вносим гель в каждую ячейку , хорошо распространяем его по стенкам и спереди и сзади . Внимательно проверьте какая капа соответствует верхней челюсти ( на ней центральные зубы широкие) , а какая нижней . Каппы надеваем и с ними спим целую ночь. Исключение — если у вас гель высокой 20 % , то до 4 -х час. Утром снимаете капу хорошо промойте водой ротовую полость.
Читать также: Отбеливает ли лимон зубы
Совет 4: в период отбеливания зубов можете перейти на зубную пасту для чувствительных зубов . Обычно чувствительность зубов проходит до конца дня. Совет 5: как сэкономить — вы можете заказать гель в интернете , а к стоматологу прийти чисто изготовить каппы. Тогда цена получается в разы меньше.
Топ-7 отбеливателей зубов
Сейчас мы рассмотрим лучшие средства для отбеливания зубов: карандаши, капы и полоски.
Лучшие карандаши для отбеливания зубов
My Brilliant Smile
Карандаш для косметического отбеливания зубов стоит около 1200 рублей. Отбеливающий гель содержит 6% активного вещества — перекиси карбамида. Производитель уверяет, что использование карандаша не только безопасно для зубов и дёсен, но и за одно применение способно осветлить эмаль на 3-5 тонов. Процедура нанесения геля на зубы занимает всего несколько минут, после неё нельзя пить и принимать пищу в течение получаса. Некоторые пользователи жалуются на отсутствие эффекта или повышение чувствительности зубов, так что используйте гель в полном соответствии с инструкцией.
Цена: ₽ 1 200
Supremedent
Этот карандаш для отбеливания, выполненный в форм-факторе губной помады, протестирован в США. Средство немного дороже предыдущего: его цена 1600 рублей. Предназначен для чувствительных зубов, не содержит фтора. Если верить словам производителя, то через 10 дней применения геля ваши зубы станут белее на 4 тона. Всего курс использования составляет 14 дней. Не только отбеливает эмаль, но и устраняет пятна от кофе, красного вина и сигарет. Эффекта должно хватить на целый год.
Цена: ₽ 1 600
Лучшие капы для отбеливания зубов
Almea Tooth Whitening Cream
Набор для отбеливания зубов стоит около 1300 рублей. В набор входят отбеливающий гель и две капы, для верхней и нижней челюсти. Концентрация перекиси карбамида в геле составляет 16%, что выше, чем обычно бывает в карандашах с гелем, но ниже, чем в профессиональных средствах. Гель глубоко проникает в ткани зубов, однако безопасен для состояния эмали, и при соблюдении инструкции не вызывает побочных эффектов. Термоусадочные капы перед использованием необходимо поместить в горячую воду на 30 секунд, потом на их внутреннюю поверхность нанести гель, надеть капы с гелем на зубы, обеспечивая максимальное прилегание, и носить 1-2 часа перед сном, после чего слегка прополоскать рот. Курс отбеливания при ежедневном использовании составляет 10-14 дней.
Цена: ₽ 1 290
Amazing White
Этот набор немного дороже предыдущего: его стоимость составляет около 1600 рублей. В комплект входит отбеливающий гель и две термопластические заготовки, которые после нагревания принимают форму, идеально подходящую для ваших зубов, не спадают и не мешают говорить. Один сеанс отбеливания требует носить капы от 30 до 60 минут в зависимости от индивидуальной чувствительности зубов. Перед процедурой зубы нужно почистить от налёта, а после — от остатков геля. В остальном процедура применения такая же, как у предыдущего средства: нагреваем полимерные заготовки, придаём им форму зубов, наносим на внутреннюю поверхность сухих и чистых кап гель и надеваем их на зубы. Курс ежедневных процедур составляет 10-14 дней, по истечение которых зубы должны стать светлее на 4-6 тонов.
Цена: ₽ 1 620
Zoom Nite White ACP
Более сложная и дорогая по сравнению с конкурентами система, разработанная компанией Philips. Набор для отбеливания стоит больше 6500 рублей. Концентрация перекиси карбамида в данном случае составляет 16%, в продаже можно найти наборы также с 22% и 9,5% действующего вещества. В комплект входят 6 шприцев с гелем, каждого из которых хватает на 3 процедуры, 6 наконечников для нанесения геля, контейнер для хранения кап, две пластины для изготовления кап в стоматологической клинике, карточку оттенков зубов и инструкцию по применению. Сами капы в набор не входят: их нужно изготовить у зубного врача или купить отдельно. Сеанс использования геля длится от 5 до 7 часов. По завершению курса эмаль должна стать светлее на 6-8 оттенков, очень хороший результат.
Цена: ₽ 6 690
Лучшие полоски для отбеливания зубов
Crest 3D White Luxe Whitestrips Professional Effects
Комплект из 40 полосок — 20 верхних зубов и 20 для нижних — стоит в районе 4000 рублей. Курс отбеливания длится 20 дней, а первые результаты использования средства можно увидеть уже на третий день. По завершению курса зубы станут светлее на 4-5 тонов, и этот результат сохранится на 12-18 месяцев. Гель на полосках эффективно устраняет пятна от кофе, сигарет или вина. Процедура отбеливания проводится раз в день, занимает всего 30 минут, причём в это время можно не только разговаривать, но даже пить воду. Полоски надёжно приклеиваются к зубам, не скользят и не вызывают дискомфорта при ношении.
Цена: ₽ 3 600
My Brilliant Smile
В набор входят 14 полосок для отбеливания на основе активированного угля и кокосового масла. Полоски не содержат перекиси водорода и подходят для людей с чувствительными зубами. Активные компоненты этого отбеливающего средства — двууглекислый натрий и активированный уголь. Курс отбеливания длится 14 дней. Производитель обещает, что в результате зубы станут светлее на 10 тонов. Результат становится заметен очень быстро, уже после одного-двух применений. Хорошее щадящее средство, безопасное для зубов и довольно доступное — цена набора составляет всего 2000 рублей.
Цена: ₽ 2 050
Отзывы
Елена: Всегда мечтала о белоснежной улыбке (зубы у меня не идеальные, с желтыми пятнами). Решившись на отбеливание, обратилась в клинику, но услуга была мне не по карману. По совету подруги приобрела обычные капы в ближайшей аптеке. Носила их по 3-4 часа в день, никакого дискомфорта, боли не испытывала. Зубы отлично отбелились, со временем не такие яркие, но общий эффект сохранился.
Маргарита: Результат отбеливания заметила на десятый день – зубы стали гораздо светлее, но вдобавок повысилась их чувствительность. Теперь не могу спокойно употреблять горячую, кислую пищу. По совету врача стала пользоваться з/пастами с фтором, принимаю витаминные комплексы с кальцием.
Александр: Я заядлый курильщик, наверное, поэтому эффект держался меньше месяца – желтизна зубов вернулась (не смог выдержать 10-15 дней без сигарет).
Татьяна: В первый раз обращалась в клинику, а после, стала приобретать готовые наборы в аптеке и осветлять зубы самостоятельно. Результатами довольна, улыбка выглядит прекрасно. Домашнее отбеливание провожу раз в два года.
Антон: Считаю, что в таких вопросах лучше обращаться к профессионалу, который быстро, качественно сделает все как нужно. Мне легче обратиться к стоматологу, чем каждый день одевать, снимать, мыть капы, ухаживать за ними.
Правила ухода
Стандартный уход за приспособлением предполагает промывание после каждого применения (если каппа не одноразовая). Наружную поверхность нужно очищать обычной зубной щеткой.
Хранить лучше в специальном контейнере с отверстиями, в прохладном месте. Воздействие высоких температур может привести к деформации устройства. Следует беречь приспособление от сильных механических воздействий, чтобы избежать поломки.
Как сохранить результат отбеливания
Если удалось достичь желаемого результата, нужно постараться сохранить его надолго. Поможет в этом регулярная гигиена. Зубы дважды в день чистят щеткой с пастой, промежутки – нитью. Раз в квартал либо полгода можно использовать отбеливающую пасту либо клеевые полоски с аналогичным эффектом. Это поддержит чистоту и светлый тон эмали.
Первые пару недель после окончания курса отбеливания нужно соблюдать «белую» диету. Значит, все цветные продукты, способные окрашивать, исключаются. Также рекомендуется навсегда отказаться от цветной газировки, курения, снизить количество крепкого чая, кофе.
Виды
Существует несколько разновидностей кап. У каждой из них свои особенности.
Стандартные
Стандартные капы для отбеливания эмали зубов имеют одну и ту же форму и размер. Эта разновидность наиболее доступна. Они двухслойные, на внутренней стороне отбеливающий гель. Приобрести их можно в любой аптеке.
У стандартных кап есть недостаток – их может быть неудобно носить во рту. Ведь у каждого человека разные форма челюсти и прикус. Носить отбеливающие капы нужно в течение часа.
Термопластические
Эта разновидность отбеливающих кап для зубов наиболее индивидуальна. Если подержать такие капы под горячей водой, они размягчаются и становятся пластичными. А после, на зубах, принимают нужную форму, подстраиваясь под особенности челюсти. Стоит отметить, что у человека, который пользуется термопластической капой, могут возникнуть определенные сложности – гель на них наносится с помощью шприца. Их оставляют на зубах на ночь – до 8 часов и надевают в дневное время – на 4–5 часов.
Персональные
Персональные отбеливающие капы – самые комфортные и совершенно неощутимы на зубах. Они создаются в специализированной лаборатории. Предварительно с челюсти клиента снимается слепок и на компьютере формируется модель капы. В результате конструкция полностью копирует форму челюсти и прикус и очень удобна в использовании.
Минус отбеливающих кап в их дороговизне. Кроме того, изготовление требует длительного времени и консультации у стоматолога.
Карандаш для отбеливания зубов Luxury white
Карандаш Luxury White-pro разработан по современной технологии, помогает восстановить натуральный цвет зубной эмали. Luxury White PRO в качестве действующего вещества содержит пероксид карбамид, который оказывает щадящее действие на зубы, не нарушая целостность эмали.
Попадая на поверхность зубной эмали, пероксид преобразуется в результате реакции в перекись водорода, что ведет к дальнейшему ее распаду и преобразованию в порцию активного кислорода, который воздействует на зубную эмаль.
После проведения процедуры отбеливания не надо ополаскивать полость рта, достаточно протереть зубы мягкой салфеткой, а также в течение получаса (максимум час) воздержаться от приема пищи или напитков.
Для чего нужна капа и как она выглядит?
Капа – это прозрачная пластина из силикона, которая надевается на челюсти для устранения их дефектов. Она съемная и, как правило, изготавливается по слепку. Исключение составляет отбеливающая капа, готовый вариант которой можно купить в аптеке.
- чтобы прекратить скрежет зубов;
- отбеливание пожелтевшей эмали;
- спортивная — для защиты челюстей, например, в боксе;
- восстановление правильного прикуса;
- завершающая стадия при снятии брекетов;
- выпрямление искривленных зубов;
- профилактика воспалительных процессов.
Преимущества отбеливающих систем с капами
Главным компонентом современных отбеливающих гелей является перекись карбамида. По сравнению с перекисью водорода, которая использовалась ранее, он оказывает более щадящее воздействие на эмаль зубов.
От уровня концентрации этого вещества зависит не только эффективность отбеливания, но и её безопасность.
Отбеливающие гели для профессионального применения (в условиях клиники), как правило, имеют повышенное содержание этого компонента. Кроме того, некоторые методики предполагают тепловое или световое воздействие на препарат для повышения скорости реакции (выделения активного кислорода).
«Домашние» отбеливающие гели отличаются пониженной концентрацией активного компонента, используются только в сочетании с капами для отбеливания зубов.
Для получения конкретного результата требуется их более длительное применение (не менее 2-х недель по несколько сеансов в день).
Многие отбеливающие системы можно без рецепта купить в аптеке или специализированном магазине. Предполагается, что все они безопасны, но…!
- Перед покупкой нужно обязательно посоветоваться с доктором. Как подействует гель для отбеливания, даже самый щадящий, можно предположить только после предварительного стоматологического осмотра.
- При высокой чувствительности эмали, наличии на ней повреждений (сколы, трещины) выбор средства желательно доверить доктору. Стоматолог сможет подобрать гель для отбеливания, который не нанесет вред пациенту.
- Если стоматологических проблем нет, то можно применять универсальные системы, например, профессиональный набор Zoom.
Гели для отбеливания в домашних условиях должны использоваться точно по инструкции, в противном случае можно самое малое – зря потратить деньги, что более опасно – получить ожоги мягких тканей и повредить эмаль.
Методику применения отбеливающего геля разрабатывает производитель.
- В домашних условиях можно применять американскую систему White Light – гель наносится на капу в два слоя и «активируется» с помощью светодиодной лампы.
- Отбеливание White&Perfect проводится доктором, который наносит состав поочерёдно на все зубы. Процедура требует аккуратности и контроля за продолжительностью действия.
- В систему Global White входит гель для отбеливания чувствительных зубов. Он наносится ватным тампоном или щёточкой, может использоваться с капой. Нитрат калия, который входит в его состав, защищает эмаль, способствует её укреплению.
- Гели из категории щадящих могут использоваться без кап. Они имеют форму карандаша с кистью на конце. Так наносится, например, средство Teeth Whitening Pen (США), которое больше предназначено для поддержания белизны, нежели для её достижения.
- Применение набора Opalescence TresWhite (США) не требует от пользователя никаких манипуляций кроме формирования кап. Они изготавливаются в виде боксов, наполненных гелем, которые после предварительной формовки просто надеваются на зубы.
Перечень противопоказаний увеличивается или уменьшается в зависимости от состава отбеливающего средства. Ограничения, которые применяются ко всем системам:
- беременность и время кормления грудью;
- возраст до 18 лет (для некоторых видов – до 20 лет);
- инфекционные заболевания ротовой полости;
- повреждённые околозубные ткани;
- высокая подвижность зубов;
- аллергия на перекись карбамида.
Для чувствительных зубов можно подобрать препараты мягкого действия с реминерализующими компонентами.
Появление отбеливающих систем с капами значительно упростило и обезопасило процедуру осветления эмали.
- Их легко использовать дома, при этом нет необходимости выделять определённое время для проведения процедуры.
- Все препараты прошли клинические испытания, поэтому при точном соблюдении инструкции по применению рецидивов они не вызывают.
- Отбеливание с капами значительно дешевле, чем кабинетная процедура.
- Результат осветления – от двух до десяти тонов.
Предлагаем ознакомиться: Как вылечить кандидозный стоматит
Стоимость каждой системы определяет не только производитель, но и продавец, поэтому в различных торговых точках и аптеках цены на отбеливающие комплексы могут ощутимо отличаться.
В среднем стоимость одного курса отбеливания составляет от 1 000 до 5 000 рублей. Даже если учесть, что понадобится повторить процедуру, итоговая цена вполне доступна. Чтобы получить белоснежную улыбку, нужно найти опытного специалиста и воспользоваться его рекомендациями.
Дорогой читатель!
Эта статья рассказывает о типовых способах решения Ваших вопросов, но каждый случай уникален! Если Вы хотите узнать, как решить именно Вашу проблему — задайте свой вопрос. Это быстро и бесплатно!
Гель для отбеливания зубов пользуется популярностью благодаря своей доступности, эффективности, простоте использования и относительной безопасности. Все гели для домашнего отбеливания зубов условно можно разделить на несколько групп, основываясь на том, какой осветляющий агент использовал производитель в составе средства:
- На основе пероксида водорода. Результат заметен уже после первого использования. Эффективно удаляет налет любого происхождения. Период воздействия на эмаль зависит от концентрации вещества, она может варьироваться от 4 до 7,5%.
- На основе перекиси карбамида. Менее агрессивны, поэтому почти не повреждают эмаль. Процесс отбеливания занимает больше времени, но при этом не наносится вред здоровью зубов.
- Абразивные вещества (сода). Помогают быстро отбелить зубы – за несколько процедур можно осветлить их на несколько тонов. Приводят к истончению эмали.
- Кислоты. Воздействие аналогично средствам на основе абразивных веществ.
Как и любое другое средство, отбеливающий гель имеет свои преимущества и недостатки, о которых следует знать прежде, чем выбирать именно его для отбеливания зубов. Кроме того, важно учитывать, что в составе отбеливающих гелей содержатся высокоактивные химические вещества, поэтому есть группы лиц, которым такой метод использовать противопоказано.
Преимущества:
- эффективно воздействуют за небольшой промежуток времени;
- просто применять;
- если используются капы, их можно оставлять на время ночного отдыха, чтобы добиться экономии времени.
Недостатки (в большинстве случаев проявляются при наличии противопоказаний либо неправильном применении средства):
- раздражение (иногда – ожоги) слизистых оболочек при попадании на них геля;
- аллергия (при индивидуальной непереносимости компонентов);
- повышение чувствительности зубов (если повреждена эмаль).
Противопоказания:
- использование брекет-систем (происходит неравномерное отбеливание);
- при повреждениях зубной эмали;
- лицам, страдающим от стоматологических заболеваний;
- детям до 16 лет;
- беременным и кормящим;
- при повышенной чувствительности или индивидуальной непереносимости составляющих;
- до истечения 4-хмесячного срока после хирургической операции по удалению зуба;
- если на языке или губах присутствует пирсинг.
Где купить?
Стандартные отбеливающие матрицы можно приобрести в интернет-магазинах и аптеках. Индивидуальные – заказываются в клинике, где изготавливаются специально подогнанные по слепку зубов капы.
При этом стоматолог подбирает оптимальный курс лечения, подходящий осветляющий гель, консультирует о способах применения, выявляет возможные противопоказания.
Стоимость персональной отбеливающей системы может варьироваться в пределах 8000-10000 рублей и выше (цены зависят от качества материалов и прайс-листа медицинского учреждения).
Как изготавливаются капы для отбеливания зубов?
Персональные либо индивидуальные капы изготавливают под заказ. Процедура поэтапная, предстоит пройти следующее:
- консультацию стоматолога с последующим принятием решения о целесообразности отбеливания капами, отсутствии противопоказаний,
- профессиональную чистку,
- снятие оттисков, по которым будут изготавливать изделие с учетом анатомических особенностей, формы и размера зубов,
- ожидать, пока в лаборатории изготовят тонкие пластинки (менее 1 мм),
- получить капы, гель определенного состава, который бережно осветлит эмаль,
- запомнить все рекомендации врача, неукоснительно следовать им.
Преимущества и недостатки
При использовании кап для отбеливания зубов есть положительные и отрицательные моменты. Существенным плюсом восстановления белоснежной улыбки с помощью домашнего метода лечения есть низкая стоимость необходимых составляющих:
- отбеливающие капы;
- специальный лечебный гель, содержащий перекись водорода.
Негативная сторона лечения заключается в следующем:
- необходимость контроля длительности ношения кап в течение суток;
- длительный период восстановления цвета эмали, который может длиться от 14 до 30 дней;
- необходимость использования защитного фторсодержащего геля, пероксида карбамида для реминерализации зубов;
- постоянный уход за капами в промежутках между ношением.
Противопоказания к процедуре
Перед домашним отбеливанием зубов желательно обратиться к стоматологу, чтобы врач провел предварительную чистку и удаление камней. С помощью лазера или другого стоматологического оборудования стоматолог удаляет мягкий и твердый налет на поверхности элементов. И также специалист поможет выявить возможные противопоказания к использованию кап:
- наличие незапломбированных полостей;
- острые воспалительные заболевания ротовой полости;
- наличие аллергических реакций на компоненты перекиси водорода;
- период беременности и кормления ребенка;
- детский возраст.
Детям домашние отбеливающие капы для зубов противопоказаны. Их эмаль слишком тонкая для того, чтобы носить капы. Агрессивные химические средства, наносимые на зубы, могут спровоцировать чрезмерную хрупкость зубов или повышение их реакции на внешние раздражители.
Наличие запломбированных элементов в ротовой полости не является противопоказаний для использования кап. Однако необходимо учитывать, что композитный материал не поддается осветлению.
После использования отбеливающих систем пломбы станут заметнее на фоне белоснежных зубов. Чаще всего после процедуры пациенты прибегают к смене пломб на оттенок, подходящий по тону к эмали.
Вопросы и ответы по отбеливанию
Изменение цвета зубов может быть вызвано разными причинами. Некоторые медицинские препараты, продукты питания и напитки, травмызубов и корневые пломбы со временем приводят к окрашиванию зубов. Окрашивание бывает наружным и внутренним. Оба вида эффективно удаляются сто-матологом. Профессиональное отбеливание – это лучший способ безопасного осветления потемневших зубов.
Как действует отбеливающая система?
Процесс отбеливания возможен «благодаря способности перекиси карбамида и водорода свободно проходить сквозь эмаль и дентин и проникать во все части зуба». Эти вещества распадаются на радикалы кислорода, которые, переходя между эмалевыми призмами, разрушают все цветные молекулы, образование которых приводит к изменению цвета зубов. Структура зуба при этом не меняется; оттенок внутренней его части просто становится светлее. «Отбеливающие агенты распадаются на крошечные молекулы и расходятся во всех направлениях так, что отбелива-ется весь зуб, даже если он был покрыт отбеливающим реагентом не полностью». Многочисленные исследования доказали эффективность пероксидов в отбеливании зубов. Эмаль, дентин, имеющиеся пломбы и бондинговые материалы не подвергаются воздействию отбеливающих веществ и не повреждаются ими.
Возрастной предел для отбеливания
Раньше, чем с 12 лет, отбеливать зубы нельзя. Верхнего возрастного предела не существует. Люди пожилого возраста склоны не придавать значения старению зубов, но многие из них даже не осознают, какие возможности открывает перед ними отбеливание.
Может ли отбеливание ослабить зубную эмаль?
Открытия, сделанные специалистами Американской ассоциации стоматологических исследований на основе продукции линии Opalescence PF, подтверждают, что отбеливание с помощью Opalescence PF снижает чувствительность зубной эмали, препятствует возникновению кариеса, укрепляет жесткие материи и улучшает здоровье эмали.
Может ли отбеливание вызвать чувствительность зубов?
Чувствительность зубов является довольно распространенным побочным эффектом отбеливания. Если чувствительность возникает, то это кратко-временный эффект, который проходит после завершения курса отбеливания. Вся продукция линии Opalescence содержит PF (нитрат калия и фторид), десенсибилизирующие агенты, обеспечивающие дополнительный комфорт. Одно из исследований показало, что «нитрат калия способен проникать сквозь эмаль и дентин в пульпу зуба подобно тому, как это делает перекись водорода. Фторид действует, прежде всего, как трубчатый блокатор, за-купоривающий все полости и замедляющий поток жидкости, которая вызывает чувствительность. Нитрат калия действует как болеутоляющее или анестезирующее средство, препятствующее повторной поляризации нерва после того, как он был деполяризован в болевом цикле».
Как долго сохраняется отбеливание?
Результат отбеливания держится долго. Тем не менее, в зависимости от привычек питания и стиля жизни пациента, иногда процедуру приходится периодически повторять. Но это не должно беспокоить ни стоматолога, ни пациента, поскольку отбеливающие агенты полностью безопасны.
Может ли отбеливание повлиять на прочность адгезии?
Несмотря на то, что отбеливающие агенты высвобождают большое количество кислорода внутри зуба, свойства имеющихся бондинговых материалов никак при этом не меняются. Если отбеливание проводится до процедуры бондинга, сделайте после отбеливания перерыв в 7-10 дней. Высокая концентрация кислорода в зубе может значительно и неблагоприятно повлиять на полимеризацию смол.

