Главная » Брекет-системы » Детские брекеты. Особенности выбора и установки систем ребенку
Брекет-системы чаще всего устанавливаются именно в детском возрасте, когда зубы еще не настолько сильно сопротивляются исправлению. Впрочем, несмотря на то, что сегодня все больше взрослых решаются на процедуру ношения брекетов, они были, есть и останутся важным компонентом детской стоматологии. Нарушение прикуса, аномалия роста зубов и прочие проблемы легко решаются с помощью данных ортодонтических аппаратов.
Перед тем как приступить непосредственно к установке брекетов своему ребенку, каждый родитель наводит справки и узнает всю интересующую информацию о сроках ношения, существующих типах корректирующих систем, стоимости их установки и т.д. Рассмотрим детально все основные моменты выбора детских брекетов.
Зачем нужна установка брекетов?
Основной задачей, которую выполняют брекеты для детей, является исправление прикуса. Правильный прикус характеризуется ровным смыканием зубов, в иных случаях зубы заходят друг за друга и этот недостаток лучше исправить как можно раньше.
Неправильный рост зубов нарушает прикус, также прикус может измениться из-за смещения зубов после удаления соседних и из-за неправильного развития челюсти. С помощью брекет-системы можно уменьшить или увеличить промежутки между зубами, выпрямить неровный коренной зуб и справиться с дисфункцией жевательной области.
Важно: Поставить брекеты ребенку можно, если прикус уже нарушен. Ортодонт крепит систему на зубы, которые неправильно выросли. Приспособления стремятся принять первоначальную форму, в результате чего зубы выравниваются.
У 80% детей имеются отклонения в развитии зубов. Проблемы могут быть как с формой, так и с расположением зубов. Недостатки зубов в детском возрасте могут вызывать умиление, однако по мере взросления ребенок может заработать комплексы и стать объектом насмешек.
Кривые зубы могут испортить не только социальную жизнь ребенка. Неправильный прикус перегружает пародонт, мешает нормальному очищению зубов, приводит к излишнему трению твердых тканей. Список возможных проблем должен помочь родителям принять правильное решение по поводу необходимости брекетов для исправления прикуса у детей.

Сколько их носят
У различных конструкций период лечения разный, и зависит от степени патологии расположения зубов.
Кроме того на сроки могут влиять индивидуальные особенности организма.
В среднем, брекеты имеют следующие сроки носки:
- лингвальные – 1,5–2 года;
- пластиковые – 2,5 года;
- металлические – 1–1,5 года;
- керамические – 1–3 года.
Важно! Если патологии зубочелюстного аппарата сложные, курс лечения скобами затягивается до трёх лет, после чего еще 4–5 лет понадобится для фиксирования конечного результата лечения.
Со скольки лет можно ставить брекеты ребенку?
Установку системы дантисты рекомендуют производить не раньше, чем когда ребенку исполнится 9 лет. Однако большинство ортодонтов предлагают родителям подождать, пока их чаду исполнится 12 лет. Именно в этом возрасте зубы начинают активно расти, и лечение будет особо эффективным и быстрым.
Важно: До того как ставят брекеты, врачи назначают маленьким пациентам пластинки и трейнеры. Эти приспособления эффективны при небольших дефектах. Благодаря их регулярному использованию можно упростить дальнейшее исправление прикуса и избежать удаления мешающих здоровых зубов.
Любое устройство для исправления зубного ряда является нагрузкой на зубы. В раннем возрасте ортодонты считают нецелесообразным установку брекетов, поэтому задействуют более легкие устройства. Большинство родителей волнует вопрос, как ставят брекеты на зубы детям и удобно ли будет их носить.
Современная ортодонтия развита настолько, что приспособления не доставляют дискомфорта, помогая обрести идеальную улыбку.
Как работают такие ортодонтические конструкции
Брекеты представляют собой сложную и слаженную систему, однако на исправление кривизны зубов влияет лишь основная их часть — дуга, сделанная из металла, который «помнит» свою форму.
Во время установки эту форму заметно искажают, подводя под искривление зубов. В процессе лечения дуга постоянно стремится вернуться к своей изначальной форме и, таким образом, исправляет ряд зубов.
Замки, скрепляющие дугу, на результат лечения не влияют — они лишь держат конструкцию.
Как ставят брекеты
Процедура выполняется в несколько этапов:
- Диагностика. На приеме врач осматривает полость рта, делает рентгеновский снимок и записывает данные пациента в карту.
- Санация ротовой полости. Перед тем, как ставят брекеты детям, проводится полное лечение кариеса и обработка рта профессиональными средствами.
- На этом этапе ортодонт снимает слепки с зубов, чтобы создать индивидуальную систему.
- С помощью специального состава производится крепеж устройств к поверхности зубов. Затем дуги в пазах фиксируются врачом. На каждом последующем приеме он будет немного перемещать их по мере исправления зубов.
Важно: Чтобы привыкнуть к приспособлению во рту, ребенку понадобится около пяти дней. Все это время он будет ощущать дискомфорт. Родители и лечащий врач должны объяснить ребенку всю важность лечения и научить носить приспособление правильно.
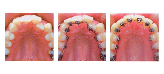
Процесс установки брекетов
Возможные проблемы
Брекеты для детей считаются малопривлекательными, но и это не все. В первые дни после их установки у ребенка ощущается невероятный дискомфорт – ведь к наличию во рту посторонней конструкции нужно время, чтобы привыкнуть. Примерно на протяжении двух последующих недель организм вынужден свыкаться с наличием инородного тела. У ребенка в это время может возникнуть естественное желание снять брекеты, либо их сместить поудобнее. Такой необдуманный шаг может грозить не только его родителям дополнительными тратами денежных средств, необходимыми для осуществления коррекции аппарата в кабинете врача-ортодонта, но прежде всего для него самого — возможным повреждением зубов. Вот почему так важно, чтобы родители следили за возможными попытками детей снять или как-то повредить данные конструкции и их предотвращали.
Какие виды брекетов бывают
Существует несколько разновидностей брекет-систем, каждая из которых имеет свои преимущества:
- Металлические. Самыми популярными являются металлические брекеты. Они просты и удобны в использовании, легко очищаются, не травмируют ротовую полость. Они заметны на зубах, но в детском возрасте проблема эстетики не так волнует, как в более поздних годах.
- Прозрачные. Если ребенок наотрез отказывается надевать брекеты из-за их вида, ему можно установить прозрачную систему исправления прикуса. Недостатком является ее хрупкость и маленький срок эксплуатации. Многих родителей не устраивает, сколько стоит поставить брекеты из прозрачного материала, и они выбирают более дешевые варианты.
- Лингвальные. Благодаря особой конструкции лингвальные брекеты устанавливаются на внутреннюю поверхность зубов. Это делает их практически незаметными. Однако, что результат от данных приспособлений приходится ждать дольше, чем от тех, которые устанавливаются впереди.
- Безлигатурные. Данный вид пользуется популярностью не только у детей, но и у взрослых. Преимуществами такой системы является аккуратный внешний вид и возможность быстро исправить прикус.
- Керамические. Материал, который используется для изготовления приспособления, наиболее стойкий к повреждениям. Минусом является необходимость более тщательного ухода, что не всегда подходит маленьким детям.
Важно: Самыми дешевыми для установки является металлические системы. В других случаях родителям придется выложить за красивую улыбку ребенка круглую сумму.
Прозрачные брекеты
Различия брекетов по материалу
Брекет-системы, в зависимости от материала, можно разделить на несколько типов. Опишем самые популярные.
Брекеты из металла
Созданы из сплава металла и титана. Считаются наиболее доступными в ценовом плане. Благодаря свойствам титана они легко выдержат любые нагрузки, возникающие при формировании правильного положения челюстной системы. Эстетическая составляющая таких брекетов оставляет желать лучшего, а потому многие дети отказываются их носить. Но в этом случае могут прийти на помощь фигурные и цветные брекеты. Чтобы брекеты стали разноцветными, применяются различные по своим оттенкам резинки. Саморегулирующие системы гораздо проще сделать фигурными, что среди детей также объясняет их выбор.
Керамические брекет-системы
Системы из керамики могут быть саморегулирующими и лигатурными. По своей прочности керамика сравнима с металлом, но прочность — далеко не последнее ее преимущество. Цвет замочков таких аппаратов чудесно повторяет натуральный оттенок зубной эмали, а значит, есть все шансы на то, что при ношении эти конструкции будут абсолютно незаметными.
Сапфировые брекеты
Их также считают невидимыми, но при этом, в отличие от керамических устройств, они не повторяют оттенок эмали зубов, а являются полностью прозрачными. Конечно, по своим характеристикам, таким, как легкость в уходе, простота использования, получение быстрого результата, они по праву считаются лучшими. Вот только детям их устанавливают очень редко из-за высокой их стоимости. Если сравнивать их цену с классическими конструкциями из металла, то она выше в несколько раз.
Брекеты из пластмассы
Самый экономичный вариант, но используются только при исправлении незначительных дефектов зубочелюстной системы. Они не обладают достаточной прочностью, не долговечны, и служат максимум год. По достижении этого срока пластмассовые конструкции теряют цвет и начинают трескаться, в результате чего требуется их замена. Это весьма неудобно и потребует дополнительных денежных расходов, в случае продления срока лечения.
Что лучше для ребенка — пластины или брекеты
У пластин имеются свои преимущества перед брекетами:
- пластины не нужно носить круглосуточно, их можно снимать в случае необходимости (например, если нужно сфотографироваться без нее или пойти на день рождения к друзьям);
- уход за ротовой полостью осуществляется просто, достаточно просто снять пластину и почистить зубы;
- стоимость установки пластин маленькая и подойдет родителям с небольшим доходом.
Из недостатков пластин можно выделить следующие:
- результат ношения пластин достигается тяжелее и дольше из-за того, что она находится на зубах только несколько часов в день;
- привыкать к конструкции во рту придется довольно долго;
- если пластина ломается, нужно больше времени для возобновления лечения;
- в некоторых случаях пластин недостаточно для того, чтобы зубы сместились в нужном направлении.
В чем отличия брекетов от пластины:
- к плюсам относится надежное фиксирование на зубах, благодаря чему лечение производится быстро и качественно;
- после установки практически не нарушается дикция и быстрее происходит привыкание;
- ремонт производится в день посещения ортодонта, что дает возможность не прерывать лечение;
- коррекция прикуса проводится максимально быстро;
- брекеты помогают устранить дефект любого плана.
Недостатки у брекетов также имеются:
- ребенку трудно в полной мере осуществлять гигиену ротовой полости, для этого потребуется освоить новую технику очищения зубов с использованием ершиков и других приспособлений;
- ребенку может быть не комфортно носить брекеты постоянно, особенно если на это будут обращать внимание его сверстники;
- стоимость брекет-системы внушительная, поэтому не все родители могут позволить себе исправлять ребенку зубы с помощью нее.
Уход за зубами с брекетами требуется особый
Возможные осложнения
Осложнения при ношении брекетов могут быть вызваны рядом факторов, из которых наиболее распространенным является несоблюдение гигиены рта во время лечения.
Во время ношения лечебной конструкции у ребенка могут появиться:
- сильные боли в области зубов или десен;
- аллергическая реакция на составляющие компоненты;
- появление кариеса;
- нарушение дикции;
- ослабление зубной эмали.
После снятия брекетов появляется много свободного пространства в ряде зубов, что может повлиять на рост дополнительных зубов и их смещение.
Можно ли поставить брекеты ребенку бесплатно
В обязательную медицинскую страховку (ОМС) не входит установка брекет-систем. Поэтому родители не смогут получить брекеты бесплатно, им придется оплачивать установку приспособлений самостоятельно. Существует несколько способов сэкономить на этом:
- Поиск акционных предложений. Если позаботиться заранее, реально найти клиники, где поставить брекеты можно будет, хоть и не бесплатно, но оплатив минимальную стоимость.
- Тестирование новинок. Образцы своей продукции разработчики должны на ком-то тестировать, и лучше всего для этого подходят дети, имеющие проблемы с зубами. В большинстве случаях тестирование проводится бесплатно, в результате чего ребенок получает красивую улыбку безвозмездно.
- Применение устройств из пробной партии. Иногда ортодонты предлагают установку брекетов детям бесплатно, если родители соглашаются на использование брекет-системы из пробной партии, которая была отгружена в больницу.
- Система скидок. Многие клиники предлагают постоянным клиентам скидки. Благодаря этому можно сэкономить на установке брекетов.
На приеме у ортодонта родители могут узнать, когда надо ставить брекеты и какой материал лучше выбрать. Своевременная установка брекетов поможет ребенку быстро получить идеально ровные зубы и забыть о проблемах с прикусом. Хорошее видео про брекеты
Особенности ухода за конструкциями
При ношении устройства необходимо правильно и тщательно соблюдать гигиену полости рта. Перед тем, как установить аппарат, ребенку следует рассказать ряд важных правил при уходе за брекетами:
- чистить зубы необходимо не только утром и вечером, но и после каждого приема пищи;
- продолжительность чистки зубов должна быть не менее пяти минут;
- помимо щетки следует использовать специальные приспособления для чистки, такие как ирригатор или ершик;
- из повседневного рациона следует исключить сухарики, чипсы и прочие «хрустяшки»;
- также стоит ограничить употребление твердой пищи и газировок с красителями.
Виды систем для выравнивания зубов
Брекеты могут решить проблемы с прикусом в любом возрасте. Но установка их в подростковом возрасте позволяет существенно сократить время лечения и сделать это наиболее безболезненно и эффективно. При этом подростковый период — один из самых сложных во взрослении ребенка. В это время для него очень важен его внешний вид и мнение ровесников. У ребенка могут возникнуть опасения, что друзья и одноклассники начнут посмеиваться и дразнить его из-за брекетов.
Редкого подростка можно мотивировать рассказами о необходимости лечения и о важности правильного прикуса. Как правило, осознание этих факторов происходит в более взрослом возрасте, когда человек сталкивается с последствиями нерешенной проблемы.
Сформировать позитивное отношение ребенка к брекетам можно такими способами:
- Показать фото известных личностей, которые носили брекеты до того, стали популярными или уже после того, как стали известны. Подойдут фотографии не только юных звезд, но и людей старшего возраста. Это продемонстрирует ребенку, что многие понимают необходимость исправления прикуса и начинают этот процесс в уже взрослом возрасте, хотя намного проще было сделать это в его возрасте.
- Рассказать о влиянии красивой улыбки на успешность в выбранной профессии. Этот способ будет наиболее эффективен, если ребенок мечтает о публичной профессии: журналист, переводчик, преподаватель, певец (певица), актер (актриса), или политик.
- Привести в пример успешный опыт ношения брекетов у людей, которых знает ребенок. При этом акцент стоит делать не столько на внешний вид или на то, что другой ребенок был более уступчив, сколько на те положительные изменения, которые произошли.
- Необходимо позволить подростку участвовать подростку в выборе системы. Многие предпочтут практически незаметные варианты брекетов — лингвальные. А некоторые дети, наоборот, любят выделяться. Они будут чувствовать себя более уверенно даже с обычными металлическими брекетами, к которым можно подобрать лигатуры разного цвета. Также есть варианты, которые светятся в темноте, имеют различную форму (цветка, звезды), выполнены из золота.
Итак, выводы. Нарушения прикуса сегодня есть у многих взрослых. Это приводит к нарушениям пищеварения, к болям мышц лица, шеи, в челюстно-лицевых суставах, к стиранию эмали зубов и различным другим неприятным последствиям. Поэтому исправлять прикус необходимо, и лучше всего сделать это как можно раньше.
Если проблемы с прикусом были обнаружены у ребенка, которому еще рано устанавливать брекеты, это не означает, что лечение нужно отложить до подросткового возраста. Применение съемных аппаратов может существенно облегчить лечение в будущем и избежать развития проблем.
Брекеты могут приносить значительный физический и психологический дискомфорт. Однако результат будет стоить всех усилий и останется на всю жизнь.
Больше полезных статей:
Родители часто задают вопрос специалисту, сколько времени придется носить брекеты? Точного срока не назовет ни один ортодонт, все зависит от организма малыша. В среднем, система дает ощутимый результат к концу года ношения. Если речь идет о взрослом человеке – ему может понадобиться около 2 лет. Однако иногда доктор, скорректировав одну проблему, приступает к корректировке другой, что увеличивает сроки ношения брекетов.
Какие брекеты лучше ставить подростку, а какие подойдут младшему школьнику? На сегодняшний день наиболее популярны два типа систем: вестибулярные и лингвальные. Первые устанавливаются на внешней стороне зубного ряда, вторые – на внутренней. Лингвальные брекеты менее заметны, но и стоят дороже, они идеальны для подростков. К такой конструкции приходится какое-то время привыкать — многие жалуются на искажение речи, однако со временем этот процесс налаживается.
Также брекеты для детей различают по материалу изготовления. Существуют:
- металлические;
- сапфировые;
- полимерные;
- пластиковые;
- керамические;
- из комбинированных материалов.
Предлагаем ознакомиться: В каком возрасте меняются клыки у детей
Металлические брекеты наиболее доступные, их эффективность проверена временем. Однако лучше выбирать изделия из комбинированных материалов, чтобы избежать контакта металла с эмалью.
Сапфировые брекеты выглядят наиболее эстетично, поскольку их адаптируют к цвету зубной эмали
Детские брекеты, как и системы для взрослых, нуждаются в особом уходе. Как правило, ортодонт предупреждает пациента о том, как ухаживать за ротовой полостью весь период ношения конструкции. Неправильная чистка либо отсутствие ухода может привести к появлению запаха изо рта, возникновению симптомов стоматита, а также преждевременному износу дорогостоящей конструкции. Мы расскажем об основных правилах ухода за брекетами:
- Перед установкой системы желательно провести профессиональную чистку зубов от камней и налета. Кроме того, можно заполнить возможные сколы или трещины в эмали специальным составом. Такая процедура позволит ортодонту эффективнее закрепить брекеты, а микротрещины не станут началом кариозного процесса.
- Родители должны выбрать для малыша необходимые инструменты, позволяющие хорошо очищать налет. Потребуется специальная щетка (электрическая), ершик для очищения межзубного пространства, а также ирригатор с раствором для дезинфекции.
- Ребенка следует подготовить к тому, что чистка зубов должна быть тщательной и составлять не менее 5 минут. Многие стоматологи рекомендуют детям выполнять чистку после каждого приема пищи, что не всегда возможно – в школьной столовой это сделать не получиться. План минимум – чистка межзубного пространства ершиком один раз в день, чистка электрощеткой два раза в день, полоскание рта антисептической жидкостью после каждого приема пищи.
Нужно подготовить ребенка к необходимости тщательно соблюдать гигиену ротовой полости
- Очень важной составляющей грамотного ухода за брекетами является изменение рациона питания. Надо исключить из меню все твердое – баранки, сухарики, конфеты типа грильяж. Подобные продукты могут повредить конструкцию. Твердые фрукты желательно есть дома, чтобы иметь возможность почистить зубы после еды. В ином случае твердые куски могут застрять между замочками и поверхностью зуба. Также не следует употреблять слишком холодные, горячие блюда. Стоит воздерживаться от употребления кислых, газированных напитков и слишком острых блюд.
Использование брекетов взрослыми также результативно и не имеет ограничений по возрасту.
Эффективность лечения зависит от следующих факторов:
- Правильно подобранный тип конструкции.
- Клиническая картина (сложность коррекции).
- Возраст пациента (чем младше, тем быстрее).
- Физиологические особенности конкретного индивидуума.
- Уход и правильная эксплуатация изделий.
Взрослым не устанавливаются брекеты по причине заболеваний нервной системы, ВИЧ, туберкулеза, из-за отсутствия зубов.
Существуют различные конструкции систем, которые отличаются внешним видом, стоимостью и периодом применения.
Лингвальные
Система устанавливается с внутренней стороны зубов, поэтому внешне незаметна для окружающих. Конструкция пользуется популярностью у взрослых.
Если передние зубы короткие, такая система не устанавливается. Стоимость высокая. Время использования 1,5—2,5 года.
Подросткам и молодым людям до 25 лет для коррекции понадобится год — полтора. В то время как взрослому человеку придется носить брекеты для исправления прикуса и зубов в два раза дольше, иногда до 5 лет.
Продолжительность ношения изделий после 30 больше по следующим причинам:
- Замедленный обмен веществ.
- Остановка роста зубно-челюстной системы.
- Регенерация тканей медленная.
Из-за этого взрослым приходится изменять зубной ряд (иногда с удалением), смещать неправильно стоящие зубы посредством ортодонтического приспособления.
Богатый выбор конструкций брекетов позволяет каждому пациенту выбрать оптимальное решение для лечения нарушений.
В любом возрасте применение коррекции будет успешным и высокоэффективным с той лишь разницей, сколько это займет времени.
Из видеоматериала вы узнаете о брекет-системах для взрослых.
Визит к ортодонту
Формирование у человека прикуса начинается в момент рождения и продолжается на протяжении всего периода роста зубов – сначала молочных, затем постоянных.
Обращать внимание на расположение резцов, клыков и жевательных зубов относительно друг друга важно уже в период роста временных единиц. Это объясняется тем, что отклонения в местонахождении молочных зубов с их выпадением и ростом постоянных элементов ряда не исчезнут, наоборот, будут усугубляться.
Чаще всего искривление становится заметным, когда все молочные зубы прорезались, идет активный рост челюстей и происходит подготовка к смене временного прикуса постоянным.
По мнению большинства стоматологов, первое посещение ортодонта должно приходиться на возраст 6-7 лет.
В некоторых случаях обратиться за консультацией специалиста следует раньше. Основанием для этого могут стать такие факторы:
- неправильный прикус у обоих родителей;
- наличие вредных привычек – сосания пустышки и пальцев;
- предрасположенность к заболеваниям ЦНС и колебанию уровня сахара в крови;
- нарушение носового дыхания.
Профилактический осмотр ребенка ортодонтом должен быть осуществлен даже при отсутствии видимых дефектов челюстного ряда. Специалист может назначить необходимые обследования, выявить проблему на этапе формирования, и посоветовать пути ее решения.
Миниатюрные брекеты Generus и их характеристики.
Заходите сюда, если интересует, берут ли в армию с брекетами.
По этому адресу https://www.vash-dentist.ru/ortodontiya/breketyi/luchshe-ustanavlivat-na-2-chelyusti.html выясним, почему лучше устнанавливать брекеты на 2 челюсти.
Миф о лечебной диете: морковь и яблоки помогут не всем
Некоторые родители не соглашаются на предложенное ортодонтом лечение, полагая, что ситуация исправится, если ребенок будет регулярно употреблять твердую, жесткую пищу. Морковь, яблоки и кочережка капусты, конечно, весьма полезны для пищеварения. В определенной степени их употребление можно считать и профилактикой возникновения стоматологических проблем, так как жесткая пища действительно способствует нормальному развитию челюстей. Но ведь причиной формирования неправильного прикуса могут быть еще и вредные привычки, наличие аденоидов или наследственный фактор.
Кроме того, никакие меры профилактики не сравнятся с полноценным ортодонтическим лечением, основополагающим принципом которого является жесткий контроль над результатом. В арсенале стоматологов для качественного, эффективного исправления аномалий у детей имеются все необходимые приспособления.
Стоимость
На финансовый аспект прямое влияние оказывают такие факторы как тип конструкции и её параметры. Дешевле всего будут стоить трейнеры, цена на них варьируется в районе 4-7 тысяч, пластины будут уже дороже, около 8-15 тысяч. Самым дорогим вариантом станут элайнеры, их цена стартует с отметки 90 тысяч и может достигать 250 тысяч рублей. Такой разброс в стоимости объясняется тем, что разработка элайнеров выполняется в индивидуальном порядке для каждого пациента.
Преимущества и недостатки
В сравнении с традиционными конструкциями, которые необходимо носить на постоянной основе, съёмные брекеты обладают как преимуществами, так и недостатками. Относительно достоинств следует выделить такие:
- безболезненность лечения;
- отсутствие каких-либо сложностей в плане гигиенических процедур;
- быстрота адаптации;
- отсутствие неудобства и дискомфорта в процессе ношения;
- не возникает никаких затруднений при приёме пищи;
- полностью подходят детям, так у них ещё не завершён процесс формирования челюсти;
- станут эффективным подспорьем в деле избавления от вредной привычки грызть ногти или сосать пальцы.
Самым же главным недостатком непостоянных конструкций является их неспособность справиться с серьёзными патологиями, их уделом являются лишь незначительные проблемы. Именно поэтому в большинстве своём ночные брекеты используются в детской стоматологии и гораздо реже применяются для взрослых.
Как поступить, если вы заметили у ребенка проблемы с зубами?
Установка системы брекетов производится только в том случае, если ребенок прошел ряд подготовительных этапов у врача-специалиста.
Основные причины одонтологического лечения у детей:
- Неровные зубки.
- Лицо ребенка не выглядит симметричным.
- Нарушение произношения слов.
- Трудности пережевывания пищи.
Плохо выровненные зубы часто вызывают проблемы правильного произношения звуков. Большинство нарушений являются генетическими или происходят в результате проблем развития.
Некоторые нарушения возникают или сильно усугубляются определенными привычками и поведением, такими, как:
- Дыхание через рот (например, при аденоидах).
- Сосание пальца.
- Длительное использование соски.
- Плохая гигиена полости рта.
- Плохое питание.
Детям в возрасте до 6 лет врачи рекомендуют использовать трейнеры или эластичные капы. Это один из самых простых способов коррекции положения зубов. Они удобны тем, что одеваются только на ночь, а днем капы можно носить всего один час. При этом ребенок испытывает минимум дискомфорта.
Профилактические мероприятия при ношении пластин:
- Делать миогимнастику (разрабатывать мышцы, которые отвечают за правильное развитие ротовой полости).
- При прорезывании зубов делать специальный массаж, который корректирует их правильный рост.
- Проведение пришлифования молочных зубов (при необходимости).
Оптимальный возрастной критерий
Так как специалисты не пришли к единому мнению относительно оптимального возрастного критерия, подходящего для коррекции прикуса, точно ответить, какой возраст будет лучшим для начала лечения, довольно проблематично.
Более того, лечебный метод коррекции прикуса используется разный, а учитывается при выборе именно возраст маленького пациента. Если лечебная терапия назначается в раннем детском возрасте, в 5-7 лет, то доктор назначает ребенку ношение специальных
стоматологических съемных аппаратов. Такие приспособления помогают перестроить пока еще не полностью сформировавшиеся мышцы и челюстную кость. Если лицо еще не выросло, то челюсти продолжают активно развиваться и легко поддаются анализируемой коррекции.
Сроки ношения брекетов
Родители часто задают вопрос специалисту, сколько времени придется носить брекеты? Точного срока не назовет ни один ортодонт, все зависит от организма малыша. В среднем, система дает ощутимый результат к концу года ношения. Если речь идет о взрослом человеке – ему может понадобиться около 2 лет. Однако иногда доктор, скорректировав одну проблему, приступает к корректировке другой, что увеличивает сроки ношения брекетов.
Отметим, что для пациентов от 5 до 7 лет изготавливаются детские брекеты. Их особенность в том, что они могут расти вместе с малышом, это позволяет полностью решить проблему, не покупая новую дорогостоящую систему.
Особенности процедуры установки и ношения
Уход за полостью рта при ношении брекетов – непростая процедура. Следует дольше и тщательнее очищать зубы, использовать некоторые дополнительные аксессуары: особые пасты, зубные нити, ершики, ополаскиватели. Даже взрослому сложно сразу привыкнуть к усложнившимся процедурам, что уж говорить о детях. Поэтому следует заранее рассказать ребенку о том, как ухаживать за конструкцией.
Обязательно приобретите специальные средства ухода, которые облегчают процесс гигиены – это зубные нити, тонкие щетки-ершики, зубные щетки с V-образным вырезом щетины. Также полезным приобретением станет ирригатор, который позволяет очень эффективно очистить полость рта от бактерий и остатков пищи.
Обязательно находитесь рядом с ребенком во время адаптации и проведения гигиенических процедур. Поддерживайте и следите за тем, как он ухаживает за брекетами. От этого зависит состояние зубов после того, как ортодонтические конструкции будут сняты.
Стоматологи сходятся во мнении, что брекеты можно ставить в 7,5–8 лет, для выпрямления первых постоянных зубов. До этого возраста устанавливают трейнеры.
Длительность ношения – показатель крайне индивидуальный, но в среднем составляет 1-2 года. Подобные конструкции требуют тщательного ухода, поэтому будьте готовы к посещению ортодонта в среднем раз в месяц для коррекции детской брекет-системы.
После ее снятия возможно придется около полугода для закрепления полученного результата носить съемную капу.
Брекеты с цветными резинками
Решение о том, какие брекеты поставить ребенку, принимает детский врач-ортодонт, учитывая целый ряд факторов:
- возраст;
- степень искривленности зубного ряда;
- наличие стоматологических заболеваний;
- сумму, которую готовы потратить родители на исправление прикуса чада.
Стоимость исправления зубочелюстных аномалий у маленького пациента складывается из стоимости самой системы, ее фиксации на зубах, непосредственно стоимости лечения и ретенционного периода.
- чистить зубы после каждого приема пищи (не менее двух раз в день) специальной ортодонтической V-образной щеткой (как правило, они промаркированы на упаковке);
- тщательно очищать все детали брекет-системы (в этом поможет монопучковая щетка с маленькой головкой);
- устранять налет в межзубных промежутках (с помощью зубной нити или зубного ершика);
- полоскать рот ополаскивателями.
Виды зубных щеток для брекетов
Для того, чтобы гигиена ротовой полости выполнялась действительно качественно, потребуется родительский контроль и помощь. Очень важно объяснить детям, что все эти процедуры важны и необходимы. Некоторые родители, к примеру, мотивируют своих чад различными поощрениями.
Предлагаем ознакомиться: Холисал при прорезывании зуба мудрости
Питание
Обычно брекеты ставят детям старшего возраста, у которых дефекты прикуса стали особенно заметны
До какого возраста лучше поставить брекеты? Самый ранний срок, на котором возможно установление брекет-системы – 5-6 лет, в этом возрасте используется детская модель. При этом средний возраст пациентов ортодонта – 12-14 лет.
Именно в эти годы совпадает сразу несколько факторов, способствующих эффективной коррекции – юный возраст, формирование прикуса, активный рост костей. Более того, ортодонтическое устройство используется и в зрелом возрасте, однако срок исправления кривизны зубного ряда увеличивается.
Чтобы было понятно, когда лучше ставить систему, надо знать сроки замены зубов у детей. Эту информацию мы представили в таблице.
| Номер/ название зуба | Сроки выпадения молочных, лет | Время прорезывания постоянных, лет (см. также: порядок и сроки прорезывания постоянных зубов у детей) | ||
| Нижняя челюсть | Верхняя челюсть | Нижняя челюсть | Верхняя челюсть | |
| I (резец) | 5-7 | 6-7 | 6-7 | 7-8 |
| II (резец) | 7-8 | 7-8 | 7-9 | 8-9 |
| Клык (III) | 10 | 10 | 10-12 | 10-12 |
| Первый премоляр (IV) | _ | _ | 9-10 | 9-10 |
| Второй премоляр (V) | _ | _ | 10-12 | 10-14 |
| Первый моляр (VI) | 9-12 | 9-12 | 6 | 6-7 |
| Второй моляр (VII) | 10-12 | 10-12 | 10-12 | 10-14 |
Многие считают, что после снятия брекетов можно расслабиться и пожинать плоды долгой работы, радуясь результату. Однако в некоторых случаях зубы вновь расходятся, меняя свое положение. Чтобы этого не произошло, после снятия брекетов следует прислушиваться к рекомендациям доктора:
- Как правило, после снятия системы пациенту следует носить ретейнер – ортодонтическую конструкцию, которая крепится с внутренней стороны челюсти. Это позволяет зубам удерживать правильное положение. Ретейнер может представлять собой съемную пластиковую каппу, а может быть выполнен из металла. Обычно ортодонт рекомендует носить ретейнеры не меньше, чем пришлось использовать брекеты, а в некоторых случаях даже всю жизнь.
Ретейнер устанавливается после снятия брекетов для поддержания зубов в заданном положении
- Если у ребенка вырос новый моляр, необходимо сделать визит к ортодонту. Подрастающие зубы могут подвинуть центральные и сместить ряд.
- Потеря зуба также может привести к смещению всего ряда. Соседние постепенно начнут сдвигаться друг к другу, чтобы скрыть отверстие.
- Иногда ребенок отказывается носить брекеты и их снимают раньше времени. Эта ситуация может спровоцировать обратный процесс, и зубной ряд через полгода-год начнет снова искажаться.
Планирование лечения
Начинать исправление дефектного прикуса необходимо в момент обнаружения патологии. Методы коррекции зависят от возраста ребенка.
У детей до 9-10 лет терапия проводится с помощью съемных приспособлений – пластинок и трейнеров. Они активно воздействуют на перестройку мышц и формируют правильное развитие костной ткани.
По мнению стоматологов, оптимальное время для установки брекетов наступает после прорезывания у ребенка вторых моляров, что происходит в 14-15 лет.
При установке системы до этого момента рост зубов может происходить вне челюстной дуги, что потребует исправления в дальнейшем.
Фиксации брекет-системы предшествует ряд подготовительных процедур:
- Осмотр у стоматолога. Специалист проводит тщательное обследование с целью определения состояния зубов и дёсен, выявления заболеваний ротовой полости, которые требуется устранить, прежде чем приступать к коррекции прикуса.
- Санация полости рта. По итогам проведенного осмотра врач выполняет необходимые терапевтические мероприятия – инструментальную чистку зубов, лечение кариеса, устранение заболеваний дёсен.
- Консультация ортодонта. На данном этапе специалистом производится осмотр полости рта ребенка и принимается решение, какую разновидность брекет-системы следует установить для получения результата в короткие сроки.
- Инструментальное обследование. Выполняется ортопантомограмма и телерентгенограмма, позволяющая оценить расположение челюстей относительно друг друга, положение, смещение и наклон зубов, разновидность патологии прикуса.
- Выполнение оттиска челюсти. На основании полученного слепка выполняется гипсовая модель, служащая основой для изготовления индивидуальной брекет-системы.
Цена вопроса
Для большинства людей установка брекет-системы – платная процедура, независимо от того выполняется она в государственной или частной стоматологии.
Бесплатное проведение ортодонтического лечения осуществляется только для льготных категорий пациентов – сирот, инвалидов, детей, имеющих генетические отклонения.
Стоимость установки брекет-системы зависит от ее разновидности:
- Пластиковая конструкция обойдется в 10-15 тысяч рублей.
- Металлические модели – 20-25 тысяч.
- За керамические замочки придется отдать от 40 до 60 тысяч рублей.
При желании лечиться лингвальной системой следует понимать, что стоимость увеличится приблизительно в 1,5 раза.
Стоимость брекетов для детей в Москве
| Вид брекетов | Цена (на одну челюсть) |
| Пластмассовые брекеты | от 10 000 рублей |
| Металлические брекеты | от 30 000 рублей |
| Керамические брекеты | от 35 000 рублей |
| Брекеты «Керамика металл» | от 37 000 рублей |
| Брекеты «Сапфир металл» | от 39 000 рублей |
| Сапфировые брекеты | от 42 000 рублей |
Предлагаем ознакомиться: Зубы человека – фото, строение, нумерация, расположение
Ставят ли на молочные зубы
Некоторые уверены, что лучше подождать, пока молочные зубы выпадут, сменятся коренными. Однако в действительности медлить не стоит.
Период выпадения молочных зубов зачастую затягивается. На исправление прикуса в старшем возрасте уйдёт больше денег и времени.
К 8 годам ребёнку следует посетить дантиста. Это позволит выяснить правильность прикуса. Этот возраст считается подходящим, чтобы распознать проблему и принять меры.
Правильный план лечения поможет исправить прикус на время переходного этапа, когда на смену молочным зубам приходят коренные. В этот период зубы проще всего развернуть или передвинуть.
Не исключается и удаление молочных зубов. Это допустимо, если те препятствуют правильному росту коренных.
Как проходит установка?
Благодаря использованию специального материала брекет-системы устанавливаются на внутренней или на внешней поверхности зубного ряда.
При выборе коррекционной системы стоит знать, что основные отличия сводятся к качеству материала, а соответственно в цене.
Процесс установки брекетов состоит из следующих действий:
- Консультация и диагностика.
- Подготовительный этап.
- Установка коррекционной системы.
- Адаптация.
Прежде чем брекеты будут установлены, стоматолог проводит предварительную санацию ротовой полости, которая в зависимости от индивидуальных особенностей может состоять из таких этапов:
- Терапия. Кариес – весьма распространенное заболевание зубов. Брекет-системы создают давление на зубы и порой приводят к возникновению инфекций. Причиной проблемы является недостаточная гигиена. Иногда под сегментами ортодонтической системы могут застревать остатки пищи, вызывая инфекцию, поэтому устройство приходится снимать, а поврежденные участки лечить. Чтобы коррекция прошла успешно вначале следует устранить кариес.
- Устранение воспалительных процессов. Если в полости рта обнаруживаются признаки пародонтита, это может привести к обширному воспалению после размещения брекетов, поэтому лечение неизбежно.
- Чистка зубов профессиональная. Перед установкой мало использовать зубную пасту, так как поверхность зубов должна быть идеальной без отложений и налета. Стоматолог выполнит профессиональную чистку с использованием препаратов с содержанием фтора. Используется также ультразвуковая чистка зубов, стоимость которой варьируется от 2 до 3 тыс. в зависимости от города и статуса клиники.
Это то, что касается физической подготовки. Далее следует сам процесс установки брекет-системы, который требует внимания и профессионализма ортодонта, а именно:
- В ротовую полость вставляют специальный расширитель, который позволяет ортодонту выполнять манипуляции даже в области труднодоступных зубов. На эмаль наносят смесь восстановительного воздействия, спустя минуту смывают и просушивают.
- На очищенную эмаль наносят клей, который и будет удерживать брекет систему. Прежде каждый сегмент конструкции обрабатывается ортодонтическим цементом, затвердевающим под воздействием ультрафиолета.
- Установка брекетов. Этот процесс зависит от вида брекет-системы и ценовой политики. Бюджетным вариантом считается установка безлигатурных вестибулярных коррекционных систем, которые располагаются на внешней поверхности зубов. Более дорогостоящий вариант – это лингвальные брекеты, которые ставят с внутренне стороны.
Со своей задачей, а именно коррекцией и исправлением прикуса, современные брекет-системы справляются за 1,5-2 года. На продолжительность лечения влияет возраст ребенка и степень патологии.
Из-за индивидуальности процесса передвижения и выравнивания зубного ряда точно определить срок ношения брекетов не способен ни один ортодонт.
Важно осознавать, что ускорить лечение искусственным путем невозможно, так как задействованы естественные процессы и функции организма.
Если применяются безлигатурные брекет-системы, то на первых порах лечение пойдет быстрее, но в целом срок коррекции не претерпит существенных изменений.
Чтобы не нарушить фиксацию и не повредить брекет-систему следует ознакомиться с особенностями питания.
Запрет затрагивает такие продукты, как:
- вязкие и липкие сладости;
- твердую и красящую пищу;
- слишком горячие или холодные блюда.
Вязкие сладости, в том числе карамельки, ириски, сухофрукты, халва и козинаки, способны залипать на выступах пластин и тем самым провоцировать развитие кариеса.
Твердая пища может привести к смещению конструкции и как результат, неправильного давления на зубы.
Также можно повредить брекеты и вызвать их отслоение от поверхности зубов. В перечень входят: яблоки, морковь, сухарики, леденцы и орехи.
Чересчур холодная или горячая еда может изменить физические характеристики брекетов и негативно сказаться на качестве лечения.
В процессе коррекции зубов с помощью брекет-системы следует более тщательно относиться к здоровью и крепости зубов, поэтому в пище должны присутствовать продукты насыщенные магнием, кальцием и витамином С, а именно: творог, цитрусы, чечевица и другие.
В первое время после установки брекетов у ребенка могут появиться проблемы с дикцией и также физический дискомфорт, которые исчезнут спустя несколько недель.
Чтобы уменьшить период адаптации можно пользоваться специальным воском, которым покрываются внешние элементы конструкции, что устраняет дискомфорт.
Следует объяснить ребенку, что этот непростой период ношения брекетов, несмотря на видимое неудобство и эстетический дискомфорт, единственно верный вариант на пути открытой улыбке и красивым зубам. Соблюдение общих рекомендаций поможет пройти весь путь коррекционного лечения без осложнений, а результат принесет полное удовлетворение.
Отзывы
Несмотря на длительность ношения брекет-систем, именно эти конструкции позволяют полностью устранить большинство патологий прикуса.
Благодаря разнообразию материалов и видов конструкций, можно подобрать вариант, который будет практически незаметен в ротовой полости.
Приходилось ли вашим детям проходить ортодонтическое лечение при помощи брекетов? Делитесь своим опытом в разделе комментариев к статье.
Если вы нашли ошибку, пожалуйста, выделите фрагмент текста и нажмите Ctrl+Enter.
Теги брекеты для детей
Понравилась статья? Следите за обновлениями
Предыдущая статья
Как меняются черты лица после ортодонтического лечения брекетами
Следующая статья
Почему после фиксации виниров могут болеть зубы и как быть?
Противопоказания
Существуют противопоказания для ношения подобных конструкций. Не стоит ставить брекеты людям, страдающим серьезными заболеваниями, такими, как СПИД, туберкулез. Если у человека отсутствует большинство зубов, ему брекеты также не надевают. Наличие коронок напротив не является противопоказанием к ношению выравнивающей зубы системы.
Выравнивание зубного ряда – задача, цель которой не всегда понятна ребенку. Если же ношение брекетов вызывает дискомфорт, ребенок вообще может отказаться от них. Родителям нужно выбрать грамотного специалиста, который аккуратно установит систему и сделает все от него зависящее, чтобы ребенку было комфортно с ней.
Установка после 40 лет
Исправление кривизны у людей более старшего возраста осложняется некоторыми нюансами. С годами организм начинает изнашиваться, и состояние зубов не является исключением. Коррекция прикуса возможна и позже — как правило, установка системы возможна вплоть до 50 лет — но существует ряд противопоказаний.
Причины для отказа в лечении брекетами:
- отсутствие большого количества своих зубов;
- заболевания десен;
- костные патологии (остеопороз, остеопатия и так далее);
- сердечно-сосудистые заболевания, сопровождающиеся одышкой, кашлем, аритмией;
- туберкулез;
- онкология;
- серьезные психические расстройства;
- венерические заболевания.
При отсутствии данных факторов нет препятствий для лечения брекетами, но процесс продлится довольно долго, что обусловлено сниженным из-за возраста обменом веществ и замедлением роста костных тканей.
Как сохранить результаты лечения
После снятия брекетов зубы будут пытаться вернуться на свое прежнее положение. Чтобы предотвратить это, ортодонты рекомендуют носить специальные ретейнеры – съемные или несъемные. К съемным относятся пластиковые каппы с металлической дугой, они бывают ночными и дневными. Иногда врач прописывает носить оба вида капп.
Несъемный ретейнер представляет собой дугу, которая крепится к внутренней стороне зубов при помощи стоматологического цемента (клея). Как правило, ретенционный аппарат нужно носить в полтора или два раза дольше брекетов. Это время индивидуально и рассчитывается ортодонтом для каждого пациента отдельно.
Несъемный ретейнер
Даже после того, как лечение завершено, следует выполнять некоторые требования, чтобы не потерять полученный эффект:
- совместно с врачом определите, не повредят ли прикусу зубы мудрости, которые могут вскоре вырасти. Возможно, их придется удалить, чтобы избежать деформации всего зубного ряда,
- для закрепления и поддержания достигнутого результата ортодонт закрепит на внутренней поверхности зубного ряда шины-ретейнеры (либо подберет съемную конструкцию). Срок их ношения равен как минимум тому времени, в течение которого длилось основное лечение.
Для того, чтобы обеспечить ребенку естественную и красивую улыбку, а также здоровый прикус, может потребоваться достаточно много времени – порой несколько лет. При правильном лечении и ответственном отношении пациента и врача, результаты сохраняются на всю жизнь.