Прежде чем приступить к лечению с использованием брекет-систем, важно понимать, для чего нужны брекеты, и определиться, какая конструкция подойдет именно вам. Выбирать можно по разным параметрам — по материалу, внешнему виду, креплению дуги и, конечно, по ценовой категории.
Какое время занимает ношение брекет-системы?
Срок ношения устанавливает врач-ортодонт, и пациент, для достижения в лечении наилучшего результата, должен следовать его указаниям как в отношении сроков ношения, так и в периодичности ухода. Приблизительный промежуток времени, как правило, составляет полтора-два года. Специалист, опираясь на результаты периодичных осмотров, может принять решение о сокращении срока лечения или же, наоборот, продолжить использование брекетов.
Виды брекет-систем по материалу
Перед тем как выбрать брекеты, следует обратить внимание на материал ортодонтического оборудования. Брекеты бывают.
Металлические — одни из самых простых и недорогих безлигатурных и лигатурных конструкций. Отличаются небольшими размерами, прочностью и удобством в эксплуатации.
Конечно, это не самые лучшие брекеты, их слегка портит неэстетичный вид, однако, молодежь научилась компенсировать недостатки украшением аппарата различными яркими лигатурами.
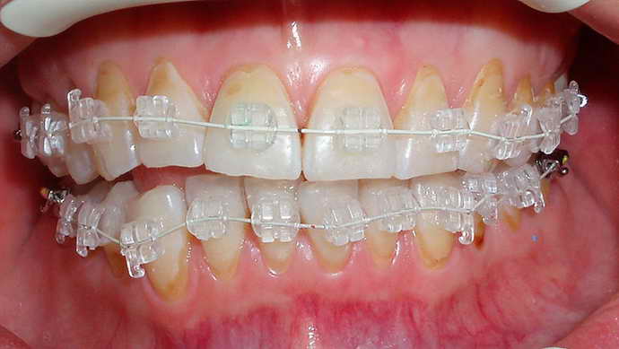
Пластиковые — наиболее доступные по цене из всех видов прозрачных систем. Главным их минусом является окрашивание пищей и невысокие прочностные характеристики. Кроме этого, их ношение требует скрупулезного ухода.
Керамические — выполняются из поликристаллической керамики. Оттенок материала подбирается в индивидуальном порядке под зубной ряд пациента. Они довольно прочные и невидимые. Поэтому, если вы стоите перед выбором, какие брекеты лучше ставить, советуем рассмотреть и этот вариант.
К недостаткам можно отнести окрашивание пищевыми красителями и необходимость бережного обращения.
Сапфировые — производятся из искусственных сапфиров, имеют прозрачный цвет. Отличаются прочностью, выглядит привлекательно, но нуждаются в тщательной гигиене. Это самое дорогостоящее изделие из всех прозрачных «собратьев».
Силиконовые — изготавливаются из полимерных материалов. Идеально садятся на зубной ряд, воздействуют мягко, комфортны в использовании. Силиконовые брекеты являются новейшей ортодонтической системой и отличаются высокой прогрессивностью.
Минусы — дороговизна и сроки доставки (продукт выпускается только в США).
Титановые — выполняются из биосовместимого материала, поэтому абсолютно безопасны для аллергиков и пациентов с патологиями ЖКТ. Все этапы лечения брекетами проходят без каких-либо осложнений, изделие надежное и легкое.
Минусы — это высокая стоимость и заметность конструкции.
Что влияет на срок ношения брекетов
В ортодонтии принято учитывать такие важные факторы, от которых зависит сроки ношения брекет-систем:
- Возраст. Поскольку во взрослом периоде жизни у человека прекращается рост костей и зубочелюстной системы, развитие прикуса также останавливается. Поэтому страшим людям нужно будет дольше носить систему, чем, например, шестилетнему ребенку.
- Сложность дефекта, с которым обратился пациент.
- Разновидность брекетов.
- Правильность установки брекет-системы.
- Уровень компетентности врача-ортодонта.
Привыкание

У каждого пациента процесс привыкания происходит по-разному. Адаптация полностью зависит от желания пациента исправить прикус и настроя перетерпеть дискомфортные ощущения.
Спустя некоторое время ношения конструкции, пациент и органы ротовой полости привыкают к изделию, и оно перестает вызывать неприятные ощущения.
Визуально оценить процесс работы брекетов можно в видеоматериале.
Ощущения в первые недели ношения
Правила ухода за зубами с установленной брекет-системой
Брекеты являют собой выступающие элементы, поэтому при приеме пищи ее остатки с легкостью могут фиксироваться на них. Именно из-за этого чистить зубы нужно после каждого употребления пищи, так можно хорошо ликвидировать остатки.
Чистить зубы, на которых установлена брекет-система, нужно при помощи щетки Ortho со щетинками разной длины, которые позволяют соприкасаться как с брекетами, так и с зубной поверхностью. Нужно проводить выметающие движения вдоль ряда зубов, начиная от дальнего их отдела к центру. При этом необходимо приложить такие усилия к щетке, как, к примеру, при использовании ластика для того, чтобы устранить надпись карандашом.
Также кроме щетки нужно пользоваться ершиком, который хорошо проникает в пространство между поверхностью зуба и дугой. При этом движения нужно совершать вдоль зубной поверхности, их нельзя проводить наружу, в направлении от зуба, если ершик находится под дугой, в противоположном случае, потянув за дугу, можно брекет оторвать от зуба. Также нужно пользоваться флосом – зубной нитью, которая позволит очистить межзубные промежутки, так как волокна пищевых остатков могут с легкостью проникнуть в межзубные пространства и спровоцировать возникновение кариеса.
Пользоваться зубной нитью нужно не реже одного раза в сутки. Если на протяжении дня нет возможности почистить зубы после приема пищи, нужно хорошо прополоскать ротовую полость и удалить остатки пищи. В том случае, если Вы пользуетесь электрической щеткой, не меняйте привычку. При этом рабочая часть щетки должна располагаться на 1 зубе, максимум внимания необходимо уделить пришеечной области ( граница десна-зуб).
Результат после двух месяцев использования брекетов
Как правило пациенты отмечают первые два месяца лечения как весьма эффективные и показательные. Это может создать иллюзию, что если «на лицо» прекрасный результат изменения положения дентальных рядов, то можно избавиться от брекетов (снять их) и прекратить лечение. Поступать подобным образом не рекомендуется, поскольку зубной ряд нестабильный – он обязательно возвратится в первоначальную позицию и весь достигнутый результат пойдет насмарку.
Суть лечения состоит в следующем. Одними из составляющих брекет-системы являются дуги, основной компонент которых — сплав никеля и титана. На первом этапе терапии дуга автоматически приобретает конфигурацию патологического местонахождения зубов, но при этом все время пытается обрести свою первоначальную форму, притягивая к себе зубы и заставляя их тянуться в ту же сторону и принимать нормальное положение.
Как работают брекеты
Основная хитрость того, как работают брекеты, таится в ортодонтической дуге. Этот элемент отвечает за «память»: расположенная на корректируемом зубном ряду, деформированная дуга всегда пытается распрямиться, вернуться в исходную позицию.
Не быстро, но непоколебимо она тянет за собой и зубы, устанавливая их на должное место. На первых этапах используются эластичные изделия, но, спустя время, на смену им приходят более жесткие конструкции.
Как правило, процесс лечения занимает около года, а иногда растягивается и до трех лет. Здесь все очень индивидуально, просто наберитесь терпения. С каждым месяцем вы сами будете наблюдать, как брекеты выравнивают зубы.
Изменения на протяжении следующих шести месяцев
Через три-шесть месяцев после начала лечения ряды зубов не прекращают ровняться, поэтому избавляться от брекет-системы нельзя. Этот процесс будет еще длиться приблизительно восемь месяцев, иногда до года (редко, но бывает и до двух).
Пациент должен посещать специалиста приблизительно раз в два месяца, чтобы исправить дугу или кардинально ее поправить ее местоположение. В зависимости от позиции ставятся либо более толстые дуги, либо более тонкие — так регулируется их давление, создаваемое на зубы.
Человек после 6-ти месяцев лечения будет замечать все меньшую разницу в результате в сравнении с начальным этапом, когда только начиналось использование брекет-системы. Порой сам пациент не замечает, что зубная линия выравнивается, наклон дентальных единиц становится правильным, и ему может казаться, что лечение приостановилось и не дает позитивного исхода.
Конструкция
Брекет-система всегда состоит из двух основных деталей:
- особая дуга;
- кронштейны или скобы (замки), которые фиксируются на поверхности зубной единицы.
Замочки при помощи специального склеивающего вещества крепятся на внутреннюю или внешнюю поверхность костного органа ротовой полости.
Далее в паз скобок заводится особая дуга из металла, которая удерживается в нем при помощи тяг (эластичные резинки, лигатуры). Их фиксация выполняется на крыльях скобки.
Если система безлигатурная, работа устройства осуществляется без резинок, а эффективность исправления обеспечивает специальная конструкция.
Современные скобки значительно усовершенствованы. Они не только имеют миниатюрный размер, но и изготавливаются из различных материалов:
- металл;
- пластик;
- керамика;
- сапфир.
Большую популярность завоевали брекет-системы из металла. Для изготовления скобок и специальных дуг применяются следующие металлические сплавы:
- стальные;
- титановые;
- никелевые.
Керамические и пластиковые системы обладают совершенным эстетически видом, прочны и безопасны, однако, отличаются высокой стоимостью, что делает их менее доступными для большинства пациентов.
Помимо основных элементов, брекет-система может быть оснащена ортодонтическими кольцами, с припаянной замочной деталью, которые крепятся на последние жевательные единицы, а иногда, и на зуб мудрости.
Присутствие данных элементов уместно, когда нет возможности закрепить скобку (большой пломбированный участок на месте крепления, искусственный зуб).
Перед установкой колец ортодонт фиксирует сепараторы, которые в течение нескольких дней будут временно обеспечивать расхождение костных органов.
Еще одним важным дополнительным элементом брекет-системы является эластичная цепь. Ее действие заключается в сокращении, что сближает брекеты по дуге, а значит, уменьшает расстояние между зубами.
Кроме всех перечисленных элементов во время ортодонтического лечения брекетами, специалисты используют следующие детали:
- металлические пружины;
- кнопки;
- лигатуры из металла;
- металлические обвязки для группы зубных единиц;
- специальные трубки для дуги из силикона;
- турбобайты;
- накусочные пломбы.
Процесс ношения брекетов на 8-12 месяце
Как правило, на 8-й месяц ношения брекетов зубные ряды уже довольно ровные. Настает второй этап, который заключается в начале исправлении прикуса. Конечно, нормализация начинается и протекает на протяжении всего лечения, но более важной стадией является именно эта.
Принцип действия
Как только ортодонт установил брекет-конструкцию, связки, окружающие зуб в лунке, подвергаются воздействию силы. Чтобы сохранить прежнее привычное равновесие, работа организма направлена на сохранение объема связывающих волокон.
Поэтому в той области, где происходит резкое сжатие связок, костные ткани челюсти начинают рассасывающий процесс, что приводит к образованию дополнительного межзубного пространства для перемещения костного органа.
В другой области, где произошло растяжение волокон, начинается формирование новой костной ткани, которая служит препятствием для возращения зуба в первоначальное патологическое положение.
Главным плюсом действия брекет-систем является тот факт, что результат можно сохранить на всю жизнь пациента, именно поэтому данные ортодонтические конструкции показаны к установке в любом возрасте.
Однако важно отметить, что процесс исправления затягивается на длительный период, а зуб перемещается не более чем на 1 мм за 30 дней.
Оказание большого давления не может ускорить перемещение зубов. Если рассчитанная ортодонтом сила, будет оказывать сильную нагрузку, нервные окончания и трубковидные кровеносные образования, окружающие зубную единицу, получат повреждения, что нарушит процесс кровообращения.
Наличие данных нарушений затрудняет коррекцию и снижает скорость передвижения костных органов. Помимо этого, пациент будет испытывать болевые ощущения.
Мнения стоматологов о лингвальных брекетах, их плюсы и минусы, а также основные отличия.
В этой статье мы обсудим, до скольки лет можно ставить брекеты.
Пройдите по ссылке https://orto-info.ru/sistemyi-vyiravnivaniya-zubov/breketyi/pochemu-otkleilsya-i-chto-delat.html, и узнайте, что делать если отклеился брекет на последнем зубе.
Что перемещает зубные единицы
Многие пациенты считают, что положение зуба исправляет брекет, однако, это мнение ошибочно. Весь процесс коррекции задан дугой, которая служит связывающим звеном и сближает зубы при помощи скобок. Именно дуга будет перемещать зубные единицы в нужном направлении.
Чтобы брекет-ситема эффективно справилась со своей задачей, ортодонт периодически сменят ослабевшую дугу более тугой.
Кронштейн фиксируется при помощи специального композита посредине поверхности зуба. Каждая единица становится обладателем индивидуальной скобки.
Например, если на резце, зафиксировать скобку, которая изготовлена для моляра, зубная единица никогда не примет правильное положение. Все объясняется наличием у скобки специального угла и наклона, которые подходят для отдельной зубной единицы.
Чтобы зубной ряд изменил патологический вид на правильный, ортодонт задает дуге определенную форму, которая своим воздействием будет гарантировать конечный результат. В процессе лечения проволочная дуга стремится к изначально заданной форме и под действием силы медленно подтягивает зафиксированные на ней детали (замки, тяги).
На начальном этапе лечения специалист устанавливает не толстую эластичную дугу, действие которой будет заключаться в деликатном смещении. Это позволит зубам привыкнуть к давлению и снизит дискомфортные и болевые ощущения пациента.
Процесс перемещения зуба ослабляет костную ткань, что способствует образованию новой кости для его фиксации в откорректированном положении.
По техническим характеристикам этот этап можно назвать ремоделированием кости. Ремоделирование костной ткани происходит за счет действующих на нее нагрузок.
Весь процесс заключается в укреплении костных тканей во время длительного давления и их ослаблении при отсутствии силы воздействия.
Костная ткань состоит из клеток, которые в медицине называют остеокластами и остеобластами. В ортодонтии специалисты выделяют две формы костной атрофии:
- прямое истончение костных пластинок;
- дегеренативное снижение высоты, ширины и плотности костной ткани.
В зависимости от формы атрофии и ортодонтической механики в целом эффективность и скорость лечения будет различна, а список возможных реакций на исправление прикуса при помощи брекетов довольно разнообразен.
Смотрите видео о том как снимают брекеты и узнайте, больно ли проводится процедура.
Читайте здесь об особенностях брекетов Спринт Квик.
По этому адресу https://orto-info.ru/sistemyi-vyiravnivaniya-zubov/breketyi/po-tipu-materiala/metallicheskie/pilot.html вы найдете отзывы о брекетах Пилот.
Разница лигатурных и безлигатурных систем
Какую систему-брекетов выбрать ― лигатурную или безлигатурную?
Сразу стоит отметить, что выбор между проверенной конструкцией, которая доказывала свою эффективность на протяжении десятков лет и современным изделием, разработанным по новым технологиям, озадачивает каждого, кто решился на коррекцию патологического прикуса.
Чтобы разобраться и сделать правильный выбор, рассмотрим главные отличия систем:
- Метод крепления дуги (лигатурные ― тяги, безлигатурные ― микрозамки).
- Размеры (лигатурные отличаются тонкой толщиной, безлигатурные имеют мощный размер скобок).
- Итоговый результат (лигатурные способны исправить самые сложные патологии, безлигатурные справляются с простыми проблемами).
- Плановые посещения ортодонта (лигатурные системы требуют постоянного контроля над состоянием дуг и тяг, саморегулирующие брекеты не требуют частых посещений специалиста).
- Гигиенический уход (наличие дополнительных элементов в лигатурных системах усложняет процесс очищения).
- Стоимость (системы, оснащенные микрозамками, стоят намного дороже классических конструкций).
Важно отметить, что процесс исправления с применением лигатурных систем затягивается на более длительный период в сравнении с саморегулирующими конструкциями.
Результат после годового лечения
Через 12 месяцев после начала лечения исправление прикуса не останавливается. Начинается этап еще более сложный и кропотливый, чем перед этим. Не стоить забывать, что длительность лечения прямо пропорциональна уровню дефектности зубочелюстной системы: кому-то повезло носить около шести месяцев, кому-то нужно носить около года или даже больше. На этой стадии небольшие промежутки между зубами пациента начинают уменьшаться — ряды постепенно принимают идеальную форму.
Показания для применения брекетов
Установка конструкции показана пациентам с такими проблемами:
-
Аномалии в строении отдельных зубов.
- Неправильное строение зубных рядов и прикусов в период их формирования или уже у сформированного постоянного прикуса.
- Во время подготовительного этапа к установлению протезов.
- Улучшение внешности и коррекция профиля.
- Чтобы вывести ретинированные, т. е. те, что не прорезались в дугу.
- Перемещение зубов по корпусу.
Окончательная стадия
Данный этап подразумевает закрепление местоположения зубов, установление качественной взаимосвязи между ними, дабы после снятия брекетов они оставались в стабильном положении. Здесь важно задуматься о приобретении ретейнеров, они понадобятся на завершающем этапе лечения. От того, насколько правильно пациент будет применять это устройство, собственно говоря, и зависит конечный эффект.
Невидимые брекеты. Результат до и после начала лечения
Теперь ходить к специалисту надо чаще: один визит/месяц, чтобы достигнуть поставленной цели, намеченной в начале лечения. Иногда клиенты просят быстрее разрешить им снять брекеты, поскольку у них накапливается усталость, связанная с особенностями носки. Спешка в этом случае — плохой помощник. Чтобы приложенные усилия на протяжении долгого времени не прошли даром, пациенту стоить быть терпеливым и заставить себя продержаться до того момента, когда врач-ортодонт, основываясь на выводах очередного обследования ротовой полости, примет решение завершить использование брекет-системы.
Результат лечения неправильного прикуса брекет-системой
Лечение может длиться и дольше предначертанного времени. Необходимо принимать в расчет тот факт, что брекеты снимаются специалистами только тогда, когда человек добросовестно выполнял все указания, методики поддержания чистоты и качества работы, приходил на все проверки, которые были обговорены заранее — все это в большинстве случаев четко предусмотреть наперед не удается.
Принцип работы брекет-системы. Памятка для пациента.
В каждом зубе есть видимая часть – коронка, а также невидимая часть – корень, удерживаемый связками внутри костной ткани. Неправильный прикус может возникать в результате неправильного положения челюсти, а также несоответствия объема зубной ткани и размера зубов. Исправить прикус постоянных зубов поможет брекет-системы. Это комплекс, состоящий из брекетов (отдельных замков на каждый зуб) и дуги, которая вводится в каждый брекет, связывая в единую цепь все зубы. Он влияет на положение зубов, изменяя напряжение зубных связок и костную ткань. Именно при помощи дуг запускается механизм перемещения зубов, а также контроль за их положением в 3-х плоскостях независимо от того, какая у Вас стоит система – лингвальные брекеты, включая лингвальные брекеты stb, невидимые брекеты «Инкогнито».
Снятие брекетов означает конец лечения?
После снятия брекет-систем лечение неправильного прикуса ни в коем случае не оканчивается, а перетекает в завершающий этап, который называется ретенцией. Во время него происходит закрепление достигнутого результата.
Брекеты: что это такое
Что такое брекеты? Это несъемная конструкция, которая крепится как с внешней, так и с внутренней стороны зубов. По внешнему виду напоминает множественные крошечные замочки.
Система оснащена специальной металлической дугой, которая способствует выравниванию ряда. Фиксируется она в пазах пластинок, крепящихся медицинским клеем к каждому зубу. Помимо основной функции, клей препятствует процессам деминерализации эмали, благодаря высвобождению фтора. Кроме этого, элементы ортодонтического аппарата имеют специальные пружинки, цепочки и кольца.
Исходя из того, какие виды брекетов устанавливаются, улыбка человека в период лечения способна приобретать абсолютно разные черты. Некоторые отдают предпочтение классике — металлической конструкции, другие допускают вариант исключительно незаметный для окружающих.
Что касается молодого поколения, оно точно понимает, зачем нужны брекеты. Юноши и девушки рассматривают проблему исправления неправильно прикуса, еще и как способ блеснуть оригинальностью. Выбирая, какие брекеты лучше ставить, в итоге останавливаются на ярких или фигурных модификациях.
Исторические факты
Сколько длится дискомфорт после установки брекетов
Для восстановления небольших кариозных полостей в стоматологии используют пломбировочные материалы. Пломба удерживается при помощи надежных и мощных стенок зубов. Если стенки тонкие, а полость большая или их несколько, то пломба ненадежный способ восстановления.
Для зубов имеющих большую степень разрушения используются коронки, и внутрикорневые штифты. Комбинация культевая штифтовая вкладка плюс коронка — является единственным способом сохранить разрушенные зубы. Ортодонтические пациенты не исключение. Если не выполнить этого комплекса лечения, зуб разрушиться (группа «В» профилактических процедур). Ортодонт не должен противиться использованию штифтов и коронок. Он лишь должен придумать как приклеить к такому зубу брекет.
|
|
|
| В зубе фиксирована культевая вкладка. Вид сбоку. | В зубе фиксирована культевая вкладка. Вид сверху. |
Внутреннюю часть зуба восстановили культевой штифтовой металлической вкладкой.
|
|
|
| Вид сбоку. На зуб зафиксировано ортодонтическое кольцо с брекетом. | Вид сверху. На зуб зафиксировано ортодонтическое кольцо с брекетом. |
После цементировки культевой штифтовой вкладки на зуб фиксировано ортодонтическое кольцо (ортодонтическая коронка). Такое кольцо предотвращает возможность разрушения зуба. Брекет фиксирован к кольцу в заводских условиях, позволит провести качественное ортодонтическое лечение. После завершения лечения на зуб будет фиксирована полноценная, эстетическая коронка.
|
Зуб до и после подготовки к ортодонтическому лечению |
Подготовка заключалась в лечении коневых каналов, изготовлении культевой штифтовой вкладки и фиксации на зуб ортодонтического кольца с брекетом.
(удаление зубных отложений)
Воспаление десны связанное с гингивитом или пародонтитом является противопоказанием для лечения брекетами. Ортодонтия возможна только после проведения санации полости рта. Необходимо удалить зубные отложения наддесневые и поддесневые.
Зубной налет и зубные камни — источник инфекции. Профессиональная чистка зубов перед проведением ортодонтического лечения относиться к группе «А», «В» и «С». Пренебрежение этим правилом приведет серьезным осложнениям в виде резорбции кости, патологической подвижности зубов, а в сложных случаях и к потере зубов.
|
Так выглядит воспаление десны из-за наличия поддесневых и наддесневых отложений. |
Симптомы: кровоточивость, гиперемия, отечность десны, наличие камней являются серьезными сигналами о существовании проблемы в полости рта.
Пациенты, которые обращаются за помощью ортодонта редко жалуются на кровоточивость десен. Их ортодонтические проблемы (неровные зубы) заслоняют все остальные проблемы. Но если расспрашивать пациента о состоянии десен, то многие отмечают, что десна воспалена и кровоточит. Многие связывают эти симптомы с неровными зубами.
|
Комбинация: неровные зубы и воспаленная десна |
В такой ситуации пациент часто «зависает» между пародонтологом, который лечит десну и ортодонтом, который лечит неровные зубы. Пародонтологи часто говорят, что вся причина в неровных зубах. Надо выровнять зубы и тогда десна выздоровеет. Но это не правда. Причиной воспаления десны являются камни.
|
В участках воспаления, легко отодвигаем край десны. Темно коричневый налет — это зубной камень. |
Если чуть, чуть заглянуть под десневой край в воспаленном участке (обозначено 1), всегда найдешь зубные отложения (обозначено 2).
-А как же брекеты? Разве от того, ровные зубы или нет, ничего не зависит?
-Зависит. Если зубы неровные, то гигиена ухудшается и образуются камни. А из-за камней воспаляется десна.
Алгоритм действий должен быть простым:
- Первое, удаляем зубные отложения;
- Второе, учимся правильно чистить зубы;
- Третье, устанавливаем брекеты.
Есть правило. Если воспаление охватило только десну (гингивит), то на рентгеновском снимке изменений нет.
Если воспаление, охватывает и десну и костную ткань (пародонтит), то изменения видны и в полости рта и на рентгенограмме. Происходит резорбция межзубных костных перегородок — это видно на рентгеновском снимке.
Мягкие зубные отложения на рентгенограмме не видны. Зубные камни видны, если они большого размера.
В нашей клинике брекетами не лечаться пациенты с диагнозом пародонти. Продемонстрируем на примере пациента, который не лечился брекетами.
|
Панорамный снимок пациента с пародонтитом |
Пациент много лет игнорировал профессиональную чистку зубов в стоматологических клиниках.
Научимся определять зубные камни на сегменте снимка.
|
Зубные камни на панорамном снимке |
Стрелками обозначены неровности в виде выступов на поверхности зубов. Это и есть зубной камень.
|
Участки резорбции межзубных костных перегородок |
В результате постоянного присутствия инфекции в зубодесневых карманах произошла резорбция костной ткани в участках обозначенных красным цветом. Патологические изменения к сожалению необратимы. Зубы теряют свою функциональность. Если еще раз взглянуть на весь панорамный снимок, то видно, что изменения произошли в области всех зубов. Изменения носят системный характер.
ПОДРОБНОСТИ: Лечение и удаление зубов по лунному календарю 2019
Помните, что гингивит — начальная стадия болезни — изменения обратимы.
Пародонтит — заболевание в запущенной стадии- изменения необратимы.
- консультация: на первом визите к ортодонту проводится осмотр ротовой полости, выявляются патологии, после чего врач предлагает примерный план лечения, оговариваются возможные варианты с учетом стоимости и длительности лечения,
- панорамный рентген зубов: после консультации необходимо сделать 3D снимок челюсти для выявления существующих проблем – воспалительных процессов на корнях и около них, ретинированных зубов мудрости. При помощи рентген-обследования также определяется положение корней и количество места для перемещения зубов,
- фотографирование: врач обязательно делает фотографии лица пациента фас и профиль. Это позволяет оценить симметрию и влияние состояния прикуса на черты лица. Кроме того, многие ортодонты собирают портфолио с примерами работ ДО и ПОСЛЕ исправления прикуса,
- диагностика: используются различные ортодонтические инструменты и артикуляторы, которые позволяют оценить положение челюстей, степень окклюзии (смыкания зубных рядов) и равномерность расположения зубов относительно друг друга,
- устранение воспалений: даже самые незначительные заболевания пародонта могут привести к серьезным проблемам при ношении брекет-системы. В некоторых случаях даже приходится снимать брекеты, что может навредить лечению. Чтобы этого избежать, необходимо заранее подготовиться и пролечить даже начальные стадии воспаления десен,
- лечение кариеса, замена старых пломб: ортодонтические системы затрудняют гигиенические процедуры, что позволяет бактериям активно развиваться и атаковать зубную эмаль. Иногда кариес может появляться во время лечения. Для его устранения приходится снимать пластинки, установленные на проблемных зубах. Чтобы снизить итоговую стоимость коррекции, следует перед установкой брекетов ликвидировать все кариозные области. Старые пломбы также нуждаются в замене, так как они могут помешать формированию правильного прикуса. К тому же под такими пломбами нередко образуется кариес, вылечить который после установки пластин бывает очень трудно,
- профессиональная чистка зубов: устанавливать конструкции можно только на предварительно очищенные зубы. Налет и остатки пищи мешают качественному сцеплению пластинок с эмалью, что увеличивает риск отклеивания брекетов. Чаще всего чистка проводится ультразвуком или с помощью препаратов, содержащих фтор. Данная процедура занимает около 30-40 минут,
- снятие слепков, которые будут использоваться для создания модели челюсти. Она необходима для оценки работы зубочелюстной системы, компьютерного моделирования лечения, а также планирования всего процесса исправления прикуса.
Точная фиксация брекетов требует, чтобы зубы были сухими. Этого невозможно добиться, если пациент голоден: на пустой желудок интенсивность слюноотделения повышается. После сытного перекуса активность выработки слюны уменьшается.
Кстати, можно воспользоваться «последним шансом» и устроить роскошную трапезу, включающую орехи, твердые конфеты и карамель, сухари, сыр, булочки, чипсы, овсяные хлопья, кукурузные палочки… Для завершения «торжественного обеда» подойдет жевательная резинка. Ведь все эти продукты находятся под запретом до тех пор, пока брекеты не будут сняты.
Тот факт, что для фиксации брекетов используется клей, беспокоит многих пациентов: они опасаются возможного травмирования эмали.
Подобные переживания совершенно безосновательны: в стоматологической практике применяется специальный клей, очень похожий по своему составу на материал для современных пломб и безвредный для поверхности зубов.
Не стоит радоваться раньше времени из-за отсутствия боли в процессе фиксации брекетов: все еще впереди.
Адаптация к ортодонтической конструкции у каждого человека проходит по-своему (оказывает влияние и степень искривленности зубов, и вид брекет-системы, и профессионализм врача). Но как правило, все пациенты сталкиваются с умеренной ноющей болью в первые 2-5 дней после установки брекетов. Купировать ее или хотя бы немного уменьшить можно одним из таких способов:
- принять болеутоляющее (Кетанов, Кеторол);
- съесть что-нибудь холодное – подойдет вода, мороженое, замороженный йогурт и т. д.;
- выпить бокал белого вина (ни в коем случае не комбинировать с приемом обезболивающих);
- воспользоваться стоматологическим гелем (хорошо зарекомендовал себя Метрогил дента – его нужно наносить на раздраженные участки слизистой);
- полоскать рот теплой подсоленной водой или травяными отварами (для этой цели отлично подходят календула, ромашка, шалфей).
Также возможно возникновение боли после каждой активации брекет-системы, но через пару суток дискомфорт проходит.
В США и вовсе считается, что наличие болезненных ощущений во время носки брекетов – это не норма, а явный сигнал ошибки ортодонта. Отечественная стоматологическая практика далека от таких стандартов, но если боль носит острый характер и не стихает на протяжении 5-7 дней после установки, необходимо срочно обратиться к врачу.
Процедура установки брекетов – наименее неприятный этап ортодонтического лечения. После него пациента ждут долгие месяцы щеголянья с «железкой» во рту. Но все неприятности забываются, как только человек замечает первые признаки улучшений: ради красивой улыбки можно перетерпеть некоторые неудобства.
Еще
- Как долго нужно носить брекеты
- Брекеты Даймон
- Как чистить брекеты
Когда возникает дискомфорт при ношении?
Уже в процессе лечения боль возникает по гораздо большему количеству причин. Причем это может произойти в любой момент ношения брекет-системы.
Отзыв о том, больно ли носить брекеты и как с ними жить, смотрите на видео:
Адаптация
Адаптационный период после фиксации брекетов и активации системы составляет от 2–3 дней до недели. В редких случаях, когда у пациента очень низкий болевой порог, привыкание может проходить около двух – двух с половиной недель.
Именно это время обычно и сопровождается неприятной ноющей болью, которая может усиливаться во время приема пищи или проведения гигиенических процедур.
По прошествии этого времени пациент перестает не только испытывать боль, но также почти не замечает самой брекет-системы.
Индивидуальные особенности строения зубочелюстной системы также часто могут быть причиной сильных неприятных и болезненных ощущений. Степень выраженности аномалий всего зубного ряда и отдельных его единиц влияет на то, насколько комфортно пациент себя чувствует.
Чем сильнее деформации, тем большее усилие требуется для их исправления. Соответственно, и сами зубы, и ткани, их удерживающие, подвергаются сильному давлению, которое причиняет боль.
Какие особенности учесть при выборе электрической зубной щетки для брекетов? Обзор производителей.
В отдельной статье мы рассматриваем методы лечения открытого прикуса у детей.
Читайте по ссылке https://www.vash-dentist.ru/ortodontiya/prikus/distalnyiy-prognaticheskiy-u-cheloveka.html, в каких случаях прибегают к установке брекетов для исправления дистального прикуса.
Особенности системы
- Пациент также может испытывать боль в процессе ношения брекет-системы не со стороны зубов, мышц и околозубных тканей, а со стороны слизистой полости рта. Брекеты не являются плоскими конструкциями, они заметно выступают над поверхностью зубов. При этом иногда возможно перманентное травмирование слизистой оболочки.
Такие явления в большинстве случаев сопровождаются сильной болью в районе поврежденных тканей. Такой же эффект могут вызвать слишком острые выступающие части ортодонтической дуги.
Если это происходит довольно длительное время, то велика вероятность попадания в образующуюся ранку болезнетворных микроорганизмов. Это может вызвать появление отдельных язв и даже травматической разновидности стоматита.
Другие причины
- Появление аллергических реакций также может стать причиной того, что брекеты причиняют пациенту боль. Чаще всего это происходит с металлическими ортодонтическими конструкциями, содержащими никель и другие металлы. Причем такой эффект может проявиться по прошествии достаточно длительного времени, когда негативное влияние от аллергена накапливается.
- В процессе лечения, когда мышцы и ткани привыкают к оказываемому на них давлению, приходится корректировать положение дуги или менять ее. После процедуры давно исчезнувшая боль может появиться снова. Однако теперь привыкание к новому воздействию происходит намного быстрее, чем сразу после установки.
- Если при установке конструкции врачом были допущены ошибки, это может привести к перемещению зубов в неправильном направлении. Когда перемещение будет выражено достаточно сильно, может возникнуть боль. Причем это происходит далеко не сразу, а сами ощущения будут постепенно только усиливаться.
Как и в случае проявлений болезненности при установке брекетов, возникновение боли во время их ношения – сугубо индивидуально. Зависит от многих факторов, в том числе индивидуальной чувствительности каждого пациента.
Что поможет снять болевые ощущения?
Есть несколько рекомендаций, которые помогут справиться с болью, которая возникает в процессе ортодонтического лечения брекет-системами:
- Изменить свой психологический настрой. Как только появляется дискомфорт, нужно вспомнить, как прекрасно будет выглядеть новая улыбка. Также следует переключить внимание на какое-либо занятие, чтобы отвлечься. Это помогает тем пациентам, которые испытывают слабую боль.
- В период адаптации к установленной конструкции следует временно сменить принцип питания и особенно тщательно выбирать блюда и продукты. Мягкая, жидкая или полужидкая пища – идеальное решение.
- Когда боль сильная, можно принять обезболивающее средство. Для этих случаев больше всего подойдут такие препараты, как ибупрофен, ацеклофенак или мелоксикам.
- Полоскания теплым раствором соды помогут снять неприятные ощущения, в том числе, и со стороны слизистой.
- Использовать специальный воск для защиты слизистых оболочек щек и внутренней поверхности губ от натирания или травмирования брекетами.
- Использовать качественные щадящие средства гигиены – зубные пасты, щетки, ершики, возможно, ирригаторы.
Диагностика и подготовка к лечению
Перед началом коррекции пациент должен пройти комплексную диагностику и ряд подготовительных мероприятий. Во время обследования ортодонт должен задает больному ряд вопросов, осматривает лицо и ротовую полость, а также выполняет несколько проб. В качестве дополнительных процедур назначается обследование на рентгеновском аппарате, снятие слепков и создание демонстрационных моделей челюстей. Такие мероприятия позволяют упростить дальнейшее лечение.
Подготовительный этап заключается в очистке зубного ряда от всевозможных загрязнений, кариеса и остатков пищи. Еще врач покрывает зубы фторлаком.
Какие бывают брекеты?
Существует несколько видов зубных конструкций:
- Металлические брекеты. Они состоят из металлических кронштейнов и проводов. Современные металлические фигурные скобки намного меньше и менее заметны, чем те, что были в прошлом. Этот вариант является самым доступным типом брекетов. Металлические брекеты являются наиболее заметным типом изделий. Одним из преимуществ металлических брекетов является то, что они сильнее керамических брекетов, которые могут легко разрушиться.Они биосовместимы с организмом. Их главным преимуществом является низкая цена и сила слабого трения между замочком и дугами, что способствует быстрому перемещению зубов.
- Керамические брекеты. Хотя они имеют тот же размер и форму, что и металлические скобы, но они менее заметны на зубах и могут быть подобраны по цвету эмали.
- Лингвальные брекеты. Эти скобки такие же, как металлические конструкции, но размещены на внутренней стороне зубов. Это делает их невидимыми снаружи, но это затрудняет процесс чистки зубов.
- Пластиковые брекеты (невидимые).При этом пациент носит прозрачные съемные выравниватели, которые выпрямляют зубы.
- Сапфировые брекеты. Чтобы максимально разрешить вопрос несовершенства брекетов, были созданы сапфировые скобки. По форме и размеру они почти такие же, как металл, но в отличие от последних, они прозрачны и, следовательно, менее заметны. Стоит подчеркнуть, что они подходят абсолютно для любого цвета и оттенка зубов. То, что нельзя сказать о керамических брекетах.
Преимущества сапфировых конструкций:
- Долговечность и надежность. Чистый монокристаллический сапфир является одним из самых устойчивых к механическим и ударным воздействиям.
- Элегантность и эстетика. Сапфировые скобки очень тонкие, что делает их почти невидимыми для глаз.
- Гигиена. Сапфировые брекеты не окрашиваются пищевыми красителями, на них не образуется налет, они не изменяются под действием слюны.
- Нейтралитет. Сапфировые брекеты не искажают натуральный вкус еды и напитков.
- Безопасность. Они не вызывают аллергии и удобны в использовании. Конструкции из сапфира имеют высокое качество полировки и практически не трут щеки и язык.
Недостатки сапфировых брекетов:
- Сапфировые скобки крепче, чем керамические, но они могут ломаться и часто отклеиваются при лечении.
- Самые дорогие эстетические конструкции.
Нужно ли ставить конструкции?
Стоит ли ставить брекеты? Для того, чтобы ответить на этот вопрос вам необходимо посетить врача-ортодонта, который проведет тщательную диагностику и определит есть ли нарушение прикуса или нет. Если проблема не очень серьезная, то специалист может назначить ношение капов или пластин. В том случае, если зубы сильно смещены относительно друг друга, то пациенту показано ношение брекетов.
На первой консультации врач должен объяснить пациенту что такое брекеты, какие виды конструкций бывают, для чего ставят конструкции на зубы, нужно ли ставить брекеты, время ношения, ценовой диапазон, эффект от ортодонтического лечения.
Проблемы, которые устраняют брекеты:
- Головные боли.
- Боль в ухе.
- Проблемы с жеванием пищи.
- Нарушение дикции.
- Желудочно-кишечные проблемы от неспособности правильно пережевывать пищу.
- Боль в челюсти.
- Неправильная чистка зубов, что приводит к возникновению зубного налета и застреванию пищи между зубами.
- Развитие кариеса и периодонтальной болезни.
- Эрозии на деснах.
- Быстрый износ зубной эмали.
- Боль в лице.
- Заболевания сухожилий.
Брекеты отличаются между собой:
- По способу фиксации.
- Химическому составу.
- Форме.
- Эстетическому показателю.
Ортодонтическое лечение в среднем занимает около 2 лет. Самый недорогой (бюджетный) вариант — это классические металлические брекеты, а самые дорогие — современные лингвальные системы.
Из чего состоят брекеты
В систему входят три основных компонента: 1. Брекеты
Так выглядят брекеты без соединяющей дуги 2. Дуга (соединяющая брекеты)
Так выглядит дуга для брекетов
3. Механизм, позволяющий дуге фиксироваться в брекетном пазе (к примеру, через использование лигатур).
Болезненна ли процедура снятия?
Снятие брекетов практически всегда является совершенно безболезненной процедурой, тем более что снимать их намного быстрее, чем устанавливать и активировать.
Пациенты, особенно если это дети, могут испугаться инструментов, которые используются для снятия – специальных щипцов. Однако во время этой процедуры не затрагиваются нервные окончания, поэтому боли быть не должно.
Может быть, небольшой дискомфорт, который проходит сразу после ее завершения.
Если на любом из этапов ортодонтического лечения пациент начинает испытывать болевые ощущения, в первую очередь, ему необходимо записаться на прием к своему лечащему врачу, который выяснит причину и сможет предпринять определенные меры для ее устранения.
Если вы нашли ошибку, пожалуйста, выделите фрагмент текста и нажмите Ctrl+Enter.
Теги боли брекеты исправление прикуса лечение
Понравилась статья? Следите за обновлениями
Предыдущая статья
Cамолигирующие (безлигатурные) брекеты: принцип действия, особенности, рекомендации
Следующая статья
Воск для брекетов: преимущества и правила использования
Движение зубов во время лечения
Что же происходит с единицами и тканями, окружающими их, в процессе такого механического воздействия? Люди думают, что зубы закреплены в своих лунках совершенно неподвижно на протяжении всей жизни. На самом деле в каждом альвеолярном отростке есть так званый запас динамики. Ее и используют врачи-ортодонты, применяя принцип действия дуги в брекетах.
Как при прорезывании, так и под механическим влиянием конструкции лунка слегка расширяется и зуб имеет возможность изменить свое положение под таким давлением. С освободившейся стороны соединительная ткань быстро растягивается и на свободном месте образуются новые костные клетки.
За счет этого происходит смещение единиц, исправление прикуса и коррекция большинства дефектов. Стоит отдельно отметить, что подобные физиологические процессы наблюдаются на протяжении всей жизни человека, поэтому вылечить ортодонтические проблемы можно в любом возрасте.
Советы по чистке брекетов после приема пищи
Если брекеты оснащены съемными элементами (резинками, тягами), перед процедурой их нужно снять. На чистку каждого зуба отводится не менее 10 секунд. Аккуратными движениями следует прочищать дугу, каждый кронштейн, чтобы щетина щетки затрагивала территорию вокруг брекета. В течение процедуры можно несколько раз полоскать рот, чтобы вымыть из зубных промежутков остатки еды. Флосы помогут справиться с частицами пищи, которые остались после обработки щетками. В завершение стоит прополоскать рот специальной жидкостью.
По мнению тех, кто носит брекеты, трудоемкость гигиенических процедур приучает питаться правильно: избегать незапланированных перекусов и жевания на ходу.
Этапы ортодонтического лечения
Лечение с брекет-системой проходит в несколько этапов. Каждый из них очень важен для получения выраженного эффекта и отличного результата.
- На начальном этапе врач-ортодонт проводит визуальный осмотр и оценку состояния зубного ряда. Он определяет все имеющиеся проблемы и решает, возможно ли выровнять зубы брекетами. Далее вас ждет ряд стандартных ортодонтических исследований, которые включают в себя слепки, панорамный снимок зубов, рентген черепа в боковой проекции и изготовление на их основе гипсовых моделей. Все эти обследования позволяют врачу поставить точный диагноз, сформировать план и продолжительность лечения.
- Брекет-системы устанавливаются на длительный период до 2-3 лет, поэтому обязательно нужно провести полную санацию полости рта. Брекеты затрудняют уход за зубами, что повышает риск ускоренного размножения бактерий, которые становятся источником развития заболеваний десен и кариеса. Предварительно проведенное качественное лечение позволяет носить систему с минимальным риском для здоровья зубов.
- Далее следует установка брекетов на зубы и активация системы. После всех необходимых приготовлений врач-ортодонт устанавливает первую дугу. Уже с этого момента начинается процесс постепенного, но верного исправления прикуса. Дуги двигаются, задавая правильное направление зубам.
- После этого вам придется периодически показываться специалисту, чтобы заменять или активировать дугу.
- Когда пройдет положенный срок, система будет снята. Вместо нее вам некоторое время придется носить ретейнеры для того, чтобы зубы не вернулись в неправильное положение.
Брекет-системы дают выраженный эффект только при соблюдении всех этих условий, поэтому инструкция врача должна неукоснительно выполняться.
Температура пищи
Эффективность работы ортодонтической конструкции во многом зависит от температуры принимаемой пищи. Чередование чересчур холодной и горячей пищи за один прием пагубно воздействует на эмаль зубов, а брекеты с термоактивными элементами при перепадах температуры могут изменить цвет.
Нельзя сразу есть продукты, вынутые из морозильной камеры, например, ягоды или мороженое. Запрещена и слишком горячая пища. Супы, бульоны, напитки должны быть комфортной для полости рта температуры.
О вреде мороженого нет единого мнения. Некоторые ортодонты рекомендуют есть его в первые дни после установки аппарата, чтобы снизить болевые ощущения, другие категорически запрещают делать это – слишком холодная пища может спровоцировать повреждение системы. Если совсем невозможно отказаться от этого десерта, следует есть его чайной ложечкой, постепенно растапливая во рту. Важно, чтобы мороженое не содержало пищевых красителей.
Как предотвратить развитие кариеса при лечении брекет-системой?
Необходимо регулярно посещать лечащего стоматолога. Не меньше двух раз в день чистить зубы электрической или специальной щеткой для брекетов и ершик. В составе зубных паст содержится компонент, который предупреждает фиксацию на поверхности зубов мягких отложений. Его действие длится на протяжении 10-12 часов, но эффект проявляется исключительно на чистой зубной поверхности. После того, как зубы будут почищены, нужно провести оценку результата: вычищенная поверхность эмали имеет сухой блеск. В том случае, если видно участки эмали без блеска, то необходимо еще раз почистить зубы.
Если Вы обнаружили ярко-белые участки эмали или другие подозрительные очаги, сразу же обращайтесь к врачу.
Как действует система?
Брекеты представляют собой миниатюрные элементы, крепящиеся к поверхности зуба и предназначенные для удержания специальной дуги. Именно она и является основным действующим элементом системы.
Дуга изготавливается из особого материала, имеющего так называемую память формы. То есть, стремится принять первоначальную конфигурацию.
При этом оказывается некоторое несильное, но постоянное давление на зубы, под воздействием которого они медленно смещаются в заранее определенную специалистом-ортодонтом сторону.
Именно это воздействие во многих случаях и является причиной возникновения болевых ощущений. Дело в том, что зубы, хоть и стоят довольно прочно, имеют возможность немного смещаться.
Под действием давления, передающегося от дуги к зубу, изменяются ткани вокруг зуба, ранее прочно удерживавшие его. Соответственно, чем плотнее структура костной ткани, тем сложнее происходит перемещение, и тем вероятнее появление неприятных ощущений и боли.
Почему боль в брекетах – это «нормально»
Болевые ощущения говорят нам о том, что оказывается воздействие на зуб. Так происходит его перемещение. В этом процессе задействованы и мягкие ткани десны и костяное основание челюстей.
И если мягкие ткани легко перестраиваются под новое положение зуба и быстро заживают, то костные ткани не могут так быстро измениться и дольше болят.
Важно понимать, что эта боль связана не с разрушением зуба, а с его перемещением в новое ровное положение.
От взаимодействия с железной лигатурой брекетов во рту также могут возникать небольшие язвочки, которые саднят. Такое раздражение и даже повреждение слизистых вызывают металлические части брекет-системы. Эти ранки достаточно быстро проходят, после адаптации полости рта к аппарату. Но — могут и не проходить, как например, в этом случае:
Можно сказать, что слизистая адаптируется к такому внешнему воздействию металла. Как говорится, всем приходится привыкать и смиряться с тем, что теперь год-два придется носить на зубах брекеты.
Вопрос-ответ
Больно ли ставить ортодонтические конструкции?
Нет, процедура осуществляется совершенно безболезненно. Предварительное лечение кариеса, пульпита, периодонтита проводится с применением местной анестезии. Во время реабилитационного периода, после фиксации конструкций, пациенты жалуются на присутствие неприятных ощущений;
Как снимают брекеты с зубов?
После установки роторасширителя, стоматолог с помощью специального пинцета снимает лигатуры или открывает замки, затем извлекает металлическую дугу. Далее врач аккуратно снимает скобы щипчиками, проводит полировку эмали, покрывает зубы фтористым лаком;
Когда можно ставить брекеты ребенку?
Конструкции устанавливают подросткам 13 -14 лет, после полного завершения этапа развития постоянного прикуса. Малышам для коррекции используют съемные ортодонтические пластинки, каппы, трейнеры. Скорейшему исправлению прикуса в детском возрасте, способствует мимическая гимнастика.
Под ортодонтическими конструкциями может образоваться кариес?
Да, может, если нарушать правила личной гигиены, некачественно ухаживать за ротовой полостью и систематически забывать чистить зубы;
Сколько надо носить брекеты?
Время лечения зависит от вида патологии. При использовании вестибулярных конструкций, эффект достигается в меньшие сроки, чем при ношении лингвальных конструкций. В среднем носить коррекционные устройства необходимо около 1.6-2 лет;
Какие существуют противопоказания для лечения брекетами?
Явными противопоказаниями являются: отсутствие большого количества зубов, психические заболевания, туберкулез, болезни крови, иммунной или эндокринной систем, злокачественные новообразования;
После снятия брекетов, могут ли зубы снова стать кривыми?
Да, это случается с некоторыми пациентами. Для предотвращения подобной неприятности, после завершения всех этапов лечения пользуются специальными ортодонтическими ретейнерами. При соблюдении всех рекомендаций стоматолога, усилия врача и пациента, не пройдут напрасно, и ваша улыбка обретет здоровье и красоту!
Отзывы
Александра: Я работаю учителем английского языка, поэтому мне нужно сохранить идеальную дикцию. Врач предупредил, что лингвальные брекеты требуют около 1–1,5 месяцев привыкания, пока не восстановится четкая речь. Этот вариант мне не подошел, я установила обычные металлические брекеты на наружную поверхность зубов, довольна результатом.
Анна: Мне, как девушке, всегда было стыдно за свои неровные зубы – я стеснялась улыбаться на людях, знакомиться с молодыми людьми. В 19 лет решилась, наконец, поставить брекет-систему. Выбрала лигатурную, поскольку нет материальной возможности на большее. Осталась довольна – врач предложил мне варианты цветных лигатур, они оригинально смотрятся, а через 4 месяца я уже заметила первые положительные результаты.
Петр: Я публичный человек, не могу допустить, чтобы люди догадались о ношении брекетов, выбрал лингвальную систему. Брекеты, расположенные на внутренней стороне зубов, совершенно незаметны окружающим, я ношу их уже почти год. Зубы начали активно двигаться, врач говорит, что все идет хорошо. Через год я стану обладателем шикарной улыбки, а процесс лечения проходит незаметно для всех – я очень доволен!
Как же все-таки избежать боли на брекетах?
ОТВЕТ: Очень просто — элайнеры. А — не брекеты. Вот что должно являться вашим нормальным выбором для исправления прикуса. Элайнеры давно уже доказали всем — и докторам, и пациентам, что у них огромная куча преимуществ перед брекетами.


















